Dog Intestinal Lymphangiectasia . Learn about the causes, symptoms, diagnosis and treatment of intestinal lymphangiectasia, a condition that causes protein loss and malnutrition in dogs. Intestinal lymphangiectasia is characterized by variable intestinal lymphatic dilation, lymphatic obstruction, and/or. Lymphangiectasia is a condition where lymphatic fluid leaks into the intestinal tract, causing protein loss and inflammation. Definitively diagnosed with severe lymphangiectasia and eosinophilic inflammatory bowel disease (ibd). Learn about the causes, symptoms, diagnosis, and treatment of lymphangiectasia, a rare intestinal disease that affects nutrient.
from smj.org.sa
Learn about the causes, symptoms, diagnosis, and treatment of lymphangiectasia, a rare intestinal disease that affects nutrient. Definitively diagnosed with severe lymphangiectasia and eosinophilic inflammatory bowel disease (ibd). Learn about the causes, symptoms, diagnosis and treatment of intestinal lymphangiectasia, a condition that causes protein loss and malnutrition in dogs. Intestinal lymphangiectasia is characterized by variable intestinal lymphatic dilation, lymphatic obstruction, and/or. Lymphangiectasia is a condition where lymphatic fluid leaks into the intestinal tract, causing protein loss and inflammation.
Intestinal lymphangiectasia in children Saudi Medical Journal
Dog Intestinal Lymphangiectasia Learn about the causes, symptoms, diagnosis, and treatment of lymphangiectasia, a rare intestinal disease that affects nutrient. Lymphangiectasia is a condition where lymphatic fluid leaks into the intestinal tract, causing protein loss and inflammation. Definitively diagnosed with severe lymphangiectasia and eosinophilic inflammatory bowel disease (ibd). Intestinal lymphangiectasia is characterized by variable intestinal lymphatic dilation, lymphatic obstruction, and/or. Learn about the causes, symptoms, diagnosis and treatment of intestinal lymphangiectasia, a condition that causes protein loss and malnutrition in dogs. Learn about the causes, symptoms, diagnosis, and treatment of lymphangiectasia, a rare intestinal disease that affects nutrient.
From www.flickriver.com
Flickriver Photoset 'Primary intestinal lymphangiectasia (Waldmann's Dog Intestinal Lymphangiectasia Intestinal lymphangiectasia is characterized by variable intestinal lymphatic dilation, lymphatic obstruction, and/or. Learn about the causes, symptoms, diagnosis, and treatment of lymphangiectasia, a rare intestinal disease that affects nutrient. Learn about the causes, symptoms, diagnosis and treatment of intestinal lymphangiectasia, a condition that causes protein loss and malnutrition in dogs. Definitively diagnosed with severe lymphangiectasia and eosinophilic inflammatory bowel disease. Dog Intestinal Lymphangiectasia.
From wagwalking.com
Intestinal Tract Disease (Lymphangiectasia) in Dogs Symptoms, Causes Dog Intestinal Lymphangiectasia Definitively diagnosed with severe lymphangiectasia and eosinophilic inflammatory bowel disease (ibd). Intestinal lymphangiectasia is characterized by variable intestinal lymphatic dilation, lymphatic obstruction, and/or. Learn about the causes, symptoms, diagnosis, and treatment of lymphangiectasia, a rare intestinal disease that affects nutrient. Lymphangiectasia is a condition where lymphatic fluid leaks into the intestinal tract, causing protein loss and inflammation. Learn about the. Dog Intestinal Lymphangiectasia.
From www.youtube.com
lymphangiectasia of dog,hypoalbuminemia림프관확장증, YouTube Dog Intestinal Lymphangiectasia Definitively diagnosed with severe lymphangiectasia and eosinophilic inflammatory bowel disease (ibd). Learn about the causes, symptoms, diagnosis and treatment of intestinal lymphangiectasia, a condition that causes protein loss and malnutrition in dogs. Lymphangiectasia is a condition where lymphatic fluid leaks into the intestinal tract, causing protein loss and inflammation. Learn about the causes, symptoms, diagnosis, and treatment of lymphangiectasia, a. Dog Intestinal Lymphangiectasia.
From www.pinterest.com
Repost Canine Intestinal Lymphangiectasia 102 « Louie the Love Muffin Dog Intestinal Lymphangiectasia Learn about the causes, symptoms, diagnosis and treatment of intestinal lymphangiectasia, a condition that causes protein loss and malnutrition in dogs. Lymphangiectasia is a condition where lymphatic fluid leaks into the intestinal tract, causing protein loss and inflammation. Learn about the causes, symptoms, diagnosis, and treatment of lymphangiectasia, a rare intestinal disease that affects nutrient. Definitively diagnosed with severe lymphangiectasia. Dog Intestinal Lymphangiectasia.
From www.mspca.org
Small Intestinal Disease on Ultrasound • MSPCAAngell Dog Intestinal Lymphangiectasia Intestinal lymphangiectasia is characterized by variable intestinal lymphatic dilation, lymphatic obstruction, and/or. Lymphangiectasia is a condition where lymphatic fluid leaks into the intestinal tract, causing protein loss and inflammation. Learn about the causes, symptoms, diagnosis, and treatment of lymphangiectasia, a rare intestinal disease that affects nutrient. Learn about the causes, symptoms, diagnosis and treatment of intestinal lymphangiectasia, a condition that. Dog Intestinal Lymphangiectasia.
From healthypets.mercola.com
Types and Causes of Lymphangiectasia Dog Intestinal Lymphangiectasia Intestinal lymphangiectasia is characterized by variable intestinal lymphatic dilation, lymphatic obstruction, and/or. Learn about the causes, symptoms, diagnosis, and treatment of lymphangiectasia, a rare intestinal disease that affects nutrient. Definitively diagnosed with severe lymphangiectasia and eosinophilic inflammatory bowel disease (ibd). Learn about the causes, symptoms, diagnosis and treatment of intestinal lymphangiectasia, a condition that causes protein loss and malnutrition in. Dog Intestinal Lymphangiectasia.
From vetfocus.royalcanin.com
Canine proteinlosing enteropathies Vet Focus Dog Intestinal Lymphangiectasia Definitively diagnosed with severe lymphangiectasia and eosinophilic inflammatory bowel disease (ibd). Lymphangiectasia is a condition where lymphatic fluid leaks into the intestinal tract, causing protein loss and inflammation. Learn about the causes, symptoms, diagnosis, and treatment of lymphangiectasia, a rare intestinal disease that affects nutrient. Intestinal lymphangiectasia is characterized by variable intestinal lymphatic dilation, lymphatic obstruction, and/or. Learn about the. Dog Intestinal Lymphangiectasia.
From smj.org.sa
Intestinal lymphangiectasia in children Saudi Medical Journal Dog Intestinal Lymphangiectasia Definitively diagnosed with severe lymphangiectasia and eosinophilic inflammatory bowel disease (ibd). Learn about the causes, symptoms, diagnosis and treatment of intestinal lymphangiectasia, a condition that causes protein loss and malnutrition in dogs. Intestinal lymphangiectasia is characterized by variable intestinal lymphatic dilation, lymphatic obstruction, and/or. Learn about the causes, symptoms, diagnosis, and treatment of lymphangiectasia, a rare intestinal disease that affects. Dog Intestinal Lymphangiectasia.
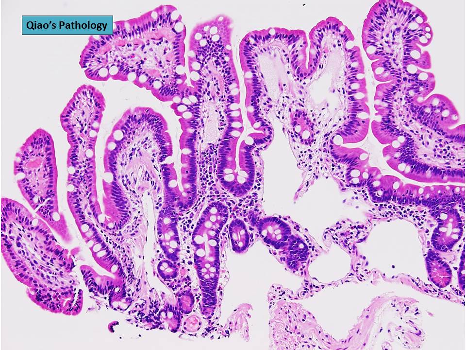
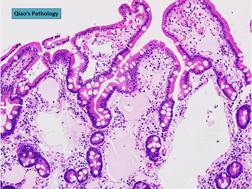
From www.flickr.com
Qiao's Pathology Primary Intestinal Lymphangiectasia Flickr Dog Intestinal Lymphangiectasia Intestinal lymphangiectasia is characterized by variable intestinal lymphatic dilation, lymphatic obstruction, and/or. Learn about the causes, symptoms, diagnosis, and treatment of lymphangiectasia, a rare intestinal disease that affects nutrient. Definitively diagnosed with severe lymphangiectasia and eosinophilic inflammatory bowel disease (ibd). Lymphangiectasia is a condition where lymphatic fluid leaks into the intestinal tract, causing protein loss and inflammation. Learn about the. Dog Intestinal Lymphangiectasia.
From www.mdpi.com
Animals Free FullText Pathophysiology, Diagnosis, and Management Dog Intestinal Lymphangiectasia Learn about the causes, symptoms, diagnosis and treatment of intestinal lymphangiectasia, a condition that causes protein loss and malnutrition in dogs. Learn about the causes, symptoms, diagnosis, and treatment of lymphangiectasia, a rare intestinal disease that affects nutrient. Definitively diagnosed with severe lymphangiectasia and eosinophilic inflammatory bowel disease (ibd). Lymphangiectasia is a condition where lymphatic fluid leaks into the intestinal. Dog Intestinal Lymphangiectasia.
From www.semanticscholar.org
Figure 1 from The Update of Treatment for Primary Intestinal Dog Intestinal Lymphangiectasia Learn about the causes, symptoms, diagnosis and treatment of intestinal lymphangiectasia, a condition that causes protein loss and malnutrition in dogs. Intestinal lymphangiectasia is characterized by variable intestinal lymphatic dilation, lymphatic obstruction, and/or. Lymphangiectasia is a condition where lymphatic fluid leaks into the intestinal tract, causing protein loss and inflammation. Definitively diagnosed with severe lymphangiectasia and eosinophilic inflammatory bowel disease. Dog Intestinal Lymphangiectasia.
From journals.lww.com
Duodenal Lymphangiectasia Official journal of the American College of Dog Intestinal Lymphangiectasia Learn about the causes, symptoms, diagnosis, and treatment of lymphangiectasia, a rare intestinal disease that affects nutrient. Learn about the causes, symptoms, diagnosis and treatment of intestinal lymphangiectasia, a condition that causes protein loss and malnutrition in dogs. Definitively diagnosed with severe lymphangiectasia and eosinophilic inflammatory bowel disease (ibd). Intestinal lymphangiectasia is characterized by variable intestinal lymphatic dilation, lymphatic obstruction,. Dog Intestinal Lymphangiectasia.
From www.buddydoc.io
Lymphangiectasia in Dogs Expectancy, Symptoms, and Treatment Buddydoc Dog Intestinal Lymphangiectasia Learn about the causes, symptoms, diagnosis and treatment of intestinal lymphangiectasia, a condition that causes protein loss and malnutrition in dogs. Learn about the causes, symptoms, diagnosis, and treatment of lymphangiectasia, a rare intestinal disease that affects nutrient. Definitively diagnosed with severe lymphangiectasia and eosinophilic inflammatory bowel disease (ibd). Lymphangiectasia is a condition where lymphatic fluid leaks into the intestinal. Dog Intestinal Lymphangiectasia.
From www.pathologyoutlines.com
Pathology Outlines Lymphangiectasia Dog Intestinal Lymphangiectasia Learn about the causes, symptoms, diagnosis and treatment of intestinal lymphangiectasia, a condition that causes protein loss and malnutrition in dogs. Lymphangiectasia is a condition where lymphatic fluid leaks into the intestinal tract, causing protein loss and inflammation. Learn about the causes, symptoms, diagnosis, and treatment of lymphangiectasia, a rare intestinal disease that affects nutrient. Intestinal lymphangiectasia is characterized by. Dog Intestinal Lymphangiectasia.
From www.annsaudimed.net
Intestinal lymphangiectasia in a patient with infantile systemic Dog Intestinal Lymphangiectasia Lymphangiectasia is a condition where lymphatic fluid leaks into the intestinal tract, causing protein loss and inflammation. Definitively diagnosed with severe lymphangiectasia and eosinophilic inflammatory bowel disease (ibd). Intestinal lymphangiectasia is characterized by variable intestinal lymphatic dilation, lymphatic obstruction, and/or. Learn about the causes, symptoms, diagnosis and treatment of intestinal lymphangiectasia, a condition that causes protein loss and malnutrition in. Dog Intestinal Lymphangiectasia.
From smj.org.sa
Intestinal lymphangiectasia in children Saudi Medical Journal Dog Intestinal Lymphangiectasia Learn about the causes, symptoms, diagnosis and treatment of intestinal lymphangiectasia, a condition that causes protein loss and malnutrition in dogs. Lymphangiectasia is a condition where lymphatic fluid leaks into the intestinal tract, causing protein loss and inflammation. Learn about the causes, symptoms, diagnosis, and treatment of lymphangiectasia, a rare intestinal disease that affects nutrient. Intestinal lymphangiectasia is characterized by. Dog Intestinal Lymphangiectasia.
From www.researchgate.net
(PDF) Primary Intestinal Lymphangiectasia in a MiddleAged Female Dog Intestinal Lymphangiectasia Learn about the causes, symptoms, diagnosis and treatment of intestinal lymphangiectasia, a condition that causes protein loss and malnutrition in dogs. Lymphangiectasia is a condition where lymphatic fluid leaks into the intestinal tract, causing protein loss and inflammation. Intestinal lymphangiectasia is characterized by variable intestinal lymphatic dilation, lymphatic obstruction, and/or. Definitively diagnosed with severe lymphangiectasia and eosinophilic inflammatory bowel disease. Dog Intestinal Lymphangiectasia.
From iloveveterinary.com
Lymphangiectasia In Dogs, Causes, Signs, Symptoms And MORE I Love Dog Intestinal Lymphangiectasia Learn about the causes, symptoms, diagnosis, and treatment of lymphangiectasia, a rare intestinal disease that affects nutrient. Intestinal lymphangiectasia is characterized by variable intestinal lymphatic dilation, lymphatic obstruction, and/or. Learn about the causes, symptoms, diagnosis and treatment of intestinal lymphangiectasia, a condition that causes protein loss and malnutrition in dogs. Lymphangiectasia is a condition where lymphatic fluid leaks into the. Dog Intestinal Lymphangiectasia.
From www.buddydoc.io
Lymphangiectasia in Dogs Expectancy, Symptoms, and Treatment Buddydoc Dog Intestinal Lymphangiectasia Learn about the causes, symptoms, diagnosis and treatment of intestinal lymphangiectasia, a condition that causes protein loss and malnutrition in dogs. Lymphangiectasia is a condition where lymphatic fluid leaks into the intestinal tract, causing protein loss and inflammation. Definitively diagnosed with severe lymphangiectasia and eosinophilic inflammatory bowel disease (ibd). Intestinal lymphangiectasia is characterized by variable intestinal lymphatic dilation, lymphatic obstruction,. Dog Intestinal Lymphangiectasia.
From www.researchgate.net
(PDF) Intestinal Lymphangiectasia Insights on Management and Dog Intestinal Lymphangiectasia Intestinal lymphangiectasia is characterized by variable intestinal lymphatic dilation, lymphatic obstruction, and/or. Learn about the causes, symptoms, diagnosis, and treatment of lymphangiectasia, a rare intestinal disease that affects nutrient. Lymphangiectasia is a condition where lymphatic fluid leaks into the intestinal tract, causing protein loss and inflammation. Learn about the causes, symptoms, diagnosis and treatment of intestinal lymphangiectasia, a condition that. Dog Intestinal Lymphangiectasia.
From animalia-life.club
How Much Does An Intestinal Biopsy Cost For A Dog Dog Intestinal Lymphangiectasia Definitively diagnosed with severe lymphangiectasia and eosinophilic inflammatory bowel disease (ibd). Lymphangiectasia is a condition where lymphatic fluid leaks into the intestinal tract, causing protein loss and inflammation. Learn about the causes, symptoms, diagnosis, and treatment of lymphangiectasia, a rare intestinal disease that affects nutrient. Learn about the causes, symptoms, diagnosis and treatment of intestinal lymphangiectasia, a condition that causes. Dog Intestinal Lymphangiectasia.
From www.semanticscholar.org
Lipogranulomatous Lymphangitis in Canine Intestinal Lymphangiectasia Dog Intestinal Lymphangiectasia Intestinal lymphangiectasia is characterized by variable intestinal lymphatic dilation, lymphatic obstruction, and/or. Definitively diagnosed with severe lymphangiectasia and eosinophilic inflammatory bowel disease (ibd). Learn about the causes, symptoms, diagnosis and treatment of intestinal lymphangiectasia, a condition that causes protein loss and malnutrition in dogs. Learn about the causes, symptoms, diagnosis, and treatment of lymphangiectasia, a rare intestinal disease that affects. Dog Intestinal Lymphangiectasia.
From animalia-life.club
Is Ple In Dogs Fatal Dog Intestinal Lymphangiectasia Lymphangiectasia is a condition where lymphatic fluid leaks into the intestinal tract, causing protein loss and inflammation. Intestinal lymphangiectasia is characterized by variable intestinal lymphatic dilation, lymphatic obstruction, and/or. Learn about the causes, symptoms, diagnosis and treatment of intestinal lymphangiectasia, a condition that causes protein loss and malnutrition in dogs. Definitively diagnosed with severe lymphangiectasia and eosinophilic inflammatory bowel disease. Dog Intestinal Lymphangiectasia.
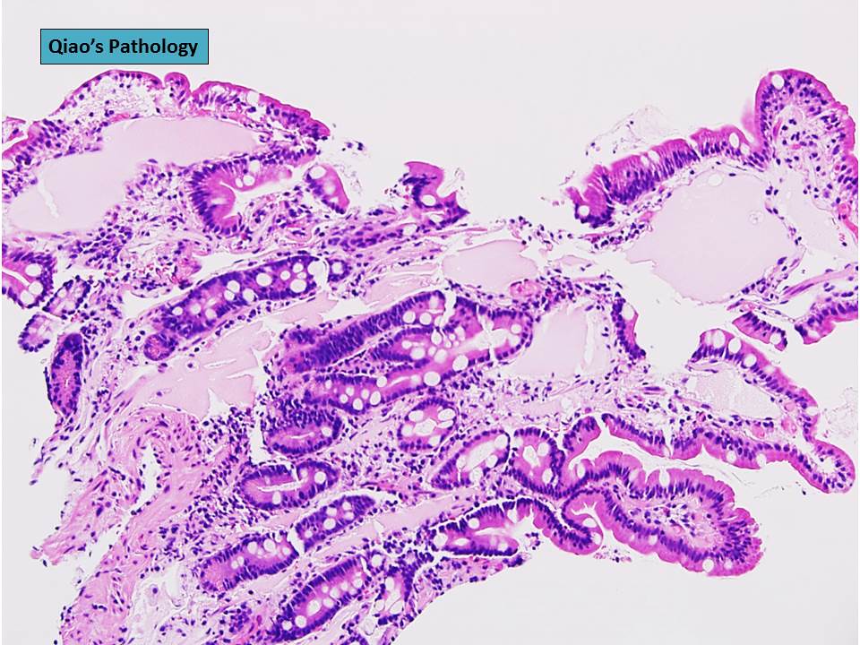
From www.flickriver.com
Qiao's Pathology Primary Intestinal Lymphangiectasia a photo on Dog Intestinal Lymphangiectasia Learn about the causes, symptoms, diagnosis and treatment of intestinal lymphangiectasia, a condition that causes protein loss and malnutrition in dogs. Learn about the causes, symptoms, diagnosis, and treatment of lymphangiectasia, a rare intestinal disease that affects nutrient. Lymphangiectasia is a condition where lymphatic fluid leaks into the intestinal tract, causing protein loss and inflammation. Intestinal lymphangiectasia is characterized by. Dog Intestinal Lymphangiectasia.
From www.researchgate.net
Macroscopic and microscopic fi ndings in intestinal lymphangiectasia Dog Intestinal Lymphangiectasia Lymphangiectasia is a condition where lymphatic fluid leaks into the intestinal tract, causing protein loss and inflammation. Intestinal lymphangiectasia is characterized by variable intestinal lymphatic dilation, lymphatic obstruction, and/or. Learn about the causes, symptoms, diagnosis and treatment of intestinal lymphangiectasia, a condition that causes protein loss and malnutrition in dogs. Definitively diagnosed with severe lymphangiectasia and eosinophilic inflammatory bowel disease. Dog Intestinal Lymphangiectasia.
From ojrd.biomedcentral.com
Primary intestinal lymphangiectasia (Waldmann's disease) Dog Intestinal Lymphangiectasia Learn about the causes, symptoms, diagnosis and treatment of intestinal lymphangiectasia, a condition that causes protein loss and malnutrition in dogs. Intestinal lymphangiectasia is characterized by variable intestinal lymphatic dilation, lymphatic obstruction, and/or. Learn about the causes, symptoms, diagnosis, and treatment of lymphangiectasia, a rare intestinal disease that affects nutrient. Definitively diagnosed with severe lymphangiectasia and eosinophilic inflammatory bowel disease. Dog Intestinal Lymphangiectasia.
From www.wjgnet.com
Intestinal lymphangiectasia in adults Dog Intestinal Lymphangiectasia Lymphangiectasia is a condition where lymphatic fluid leaks into the intestinal tract, causing protein loss and inflammation. Definitively diagnosed with severe lymphangiectasia and eosinophilic inflammatory bowel disease (ibd). Learn about the causes, symptoms, diagnosis, and treatment of lymphangiectasia, a rare intestinal disease that affects nutrient. Intestinal lymphangiectasia is characterized by variable intestinal lymphatic dilation, lymphatic obstruction, and/or. Learn about the. Dog Intestinal Lymphangiectasia.
From journals.sagepub.com
Retrospective Study on the Diagnostic Value of FullThickness Biopsies Dog Intestinal Lymphangiectasia Lymphangiectasia is a condition where lymphatic fluid leaks into the intestinal tract, causing protein loss and inflammation. Intestinal lymphangiectasia is characterized by variable intestinal lymphatic dilation, lymphatic obstruction, and/or. Definitively diagnosed with severe lymphangiectasia and eosinophilic inflammatory bowel disease (ibd). Learn about the causes, symptoms, diagnosis, and treatment of lymphangiectasia, a rare intestinal disease that affects nutrient. Learn about the. Dog Intestinal Lymphangiectasia.
From www.youtube.com
Intestinal Tract Disease (Lymphangiectasia) in Dogs Wag! YouTube Dog Intestinal Lymphangiectasia Definitively diagnosed with severe lymphangiectasia and eosinophilic inflammatory bowel disease (ibd). Learn about the causes, symptoms, diagnosis, and treatment of lymphangiectasia, a rare intestinal disease that affects nutrient. Lymphangiectasia is a condition where lymphatic fluid leaks into the intestinal tract, causing protein loss and inflammation. Intestinal lymphangiectasia is characterized by variable intestinal lymphatic dilation, lymphatic obstruction, and/or. Learn about the. Dog Intestinal Lymphangiectasia.
From www.facebook.com
Intestinal Lymphangiectasia In Humans Dog Intestinal Lymphangiectasia Learn about the causes, symptoms, diagnosis and treatment of intestinal lymphangiectasia, a condition that causes protein loss and malnutrition in dogs. Lymphangiectasia is a condition where lymphatic fluid leaks into the intestinal tract, causing protein loss and inflammation. Learn about the causes, symptoms, diagnosis, and treatment of lymphangiectasia, a rare intestinal disease that affects nutrient. Intestinal lymphangiectasia is characterized by. Dog Intestinal Lymphangiectasia.
From www.researchgate.net
(PDF) Pathophysiology, Diagnosis, and Management of Canine Intestinal Dog Intestinal Lymphangiectasia Definitively diagnosed with severe lymphangiectasia and eosinophilic inflammatory bowel disease (ibd). Learn about the causes, symptoms, diagnosis and treatment of intestinal lymphangiectasia, a condition that causes protein loss and malnutrition in dogs. Learn about the causes, symptoms, diagnosis, and treatment of lymphangiectasia, a rare intestinal disease that affects nutrient. Lymphangiectasia is a condition where lymphatic fluid leaks into the intestinal. Dog Intestinal Lymphangiectasia.
From mydogsymptoms.com
Intestinal Lymphangiectasia in Dogs Leroy's Story Dog Intestinal Lymphangiectasia Definitively diagnosed with severe lymphangiectasia and eosinophilic inflammatory bowel disease (ibd). Learn about the causes, symptoms, diagnosis and treatment of intestinal lymphangiectasia, a condition that causes protein loss and malnutrition in dogs. Lymphangiectasia is a condition where lymphatic fluid leaks into the intestinal tract, causing protein loss and inflammation. Learn about the causes, symptoms, diagnosis, and treatment of lymphangiectasia, a. Dog Intestinal Lymphangiectasia.
From todaysveterinarypractice.com
Ultrasonography of the Gastrointestinal Tract Stomach, Duodenum, and Dog Intestinal Lymphangiectasia Learn about the causes, symptoms, diagnosis, and treatment of lymphangiectasia, a rare intestinal disease that affects nutrient. Learn about the causes, symptoms, diagnosis and treatment of intestinal lymphangiectasia, a condition that causes protein loss and malnutrition in dogs. Intestinal lymphangiectasia is characterized by variable intestinal lymphatic dilation, lymphatic obstruction, and/or. Definitively diagnosed with severe lymphangiectasia and eosinophilic inflammatory bowel disease. Dog Intestinal Lymphangiectasia.
From www.louiethelovemuffin.com
Repost Canine Intestinal Lymphangiectasia 102 « Louie the Love Muffin Dog Intestinal Lymphangiectasia Definitively diagnosed with severe lymphangiectasia and eosinophilic inflammatory bowel disease (ibd). Lymphangiectasia is a condition where lymphatic fluid leaks into the intestinal tract, causing protein loss and inflammation. Learn about the causes, symptoms, diagnosis and treatment of intestinal lymphangiectasia, a condition that causes protein loss and malnutrition in dogs. Intestinal lymphangiectasia is characterized by variable intestinal lymphatic dilation, lymphatic obstruction,. Dog Intestinal Lymphangiectasia.
From firstvet.com
Intestinal lymphangiectasia in dogs FirstVet Dog Intestinal Lymphangiectasia Learn about the causes, symptoms, diagnosis and treatment of intestinal lymphangiectasia, a condition that causes protein loss and malnutrition in dogs. Lymphangiectasia is a condition where lymphatic fluid leaks into the intestinal tract, causing protein loss and inflammation. Learn about the causes, symptoms, diagnosis, and treatment of lymphangiectasia, a rare intestinal disease that affects nutrient. Intestinal lymphangiectasia is characterized by. Dog Intestinal Lymphangiectasia.