Cholestasis Of Liver . Cholestasis is reduction or stoppage of bile flow. Cholestatic liver disease is a disease that causes liver damage and fibrosis owing to bile stasis. Cholestasis occurs when the flow of bile from the liver stops or slows. Clinically, cholestasis leads to retention. Bile is fluid produced by your liver that aids in the digestion of food,. The differential diagnosis of cholestatic liver diseases is broad, and the etiologies of cholestasis vary in the anatomical location of the defect and acuity of presentation. Bile is the digestive fluid produced by the liver. Disorders of the liver, bile duct, or pancreas can cause cholestasis. Cholestatic jaundice can be classified into intrahepatic or extrahepatic cholestasis, depending upon the level of obstruction to bile flow. It occurs when the flow of bile from your liver is reduced or blocked. Cholestasis describes impairment in bile formation or flow which can manifest clinically with fatigue, pruritus, and jaundice. Cholestasis is a liver disease. When this happens, the bile can back up into. It is represented by primary biliary cholangitis (pbc).
from healthtian.com
Bile is fluid produced by your liver that aids in the digestion of food,. The differential diagnosis of cholestatic liver diseases is broad, and the etiologies of cholestasis vary in the anatomical location of the defect and acuity of presentation. Disorders of the liver, bile duct, or pancreas can cause cholestasis. It is represented by primary biliary cholangitis (pbc). When this happens, the bile can back up into. Clinically, cholestasis leads to retention. Cholestasis occurs when the flow of bile from the liver stops or slows. Cholestasis is a liver disease. Cholestasis describes impairment in bile formation or flow which can manifest clinically with fatigue, pruritus, and jaundice. Cholestasis is reduction or stoppage of bile flow.
Cholestasis Causes, Symptoms and Treatment Healthtian
Cholestasis Of Liver Cholestasis occurs when the flow of bile from the liver stops or slows. Clinically, cholestasis leads to retention. Cholestasis is reduction or stoppage of bile flow. It occurs when the flow of bile from your liver is reduced or blocked. When this happens, the bile can back up into. The differential diagnosis of cholestatic liver diseases is broad, and the etiologies of cholestasis vary in the anatomical location of the defect and acuity of presentation. Cholestasis occurs when the flow of bile from the liver stops or slows. Bile is fluid produced by your liver that aids in the digestion of food,. It is represented by primary biliary cholangitis (pbc). Bile is the digestive fluid produced by the liver. Cholestasis is a liver disease. Cholestatic jaundice can be classified into intrahepatic or extrahepatic cholestasis, depending upon the level of obstruction to bile flow. Cholestasis describes impairment in bile formation or flow which can manifest clinically with fatigue, pruritus, and jaundice. Cholestatic liver disease is a disease that causes liver damage and fibrosis owing to bile stasis. Disorders of the liver, bile duct, or pancreas can cause cholestasis.
From journals.sagepub.com
Cholestatic liver diseases new targets, new therapies Priscila Cholestasis Of Liver Cholestasis is a liver disease. Bile is the digestive fluid produced by the liver. Cholestasis describes impairment in bile formation or flow which can manifest clinically with fatigue, pruritus, and jaundice. It occurs when the flow of bile from your liver is reduced or blocked. Cholestatic liver disease is a disease that causes liver damage and fibrosis owing to bile. Cholestasis Of Liver.
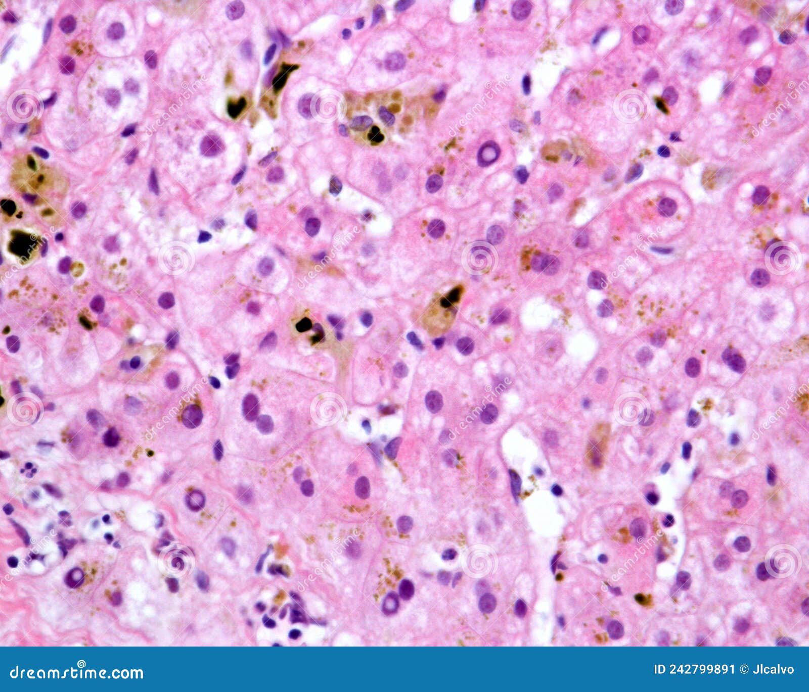
From www.dreamstime.com
Human liver. Cholestasis stock image. Image of histopathological Cholestasis Of Liver Disorders of the liver, bile duct, or pancreas can cause cholestasis. Cholestasis is reduction or stoppage of bile flow. When this happens, the bile can back up into. The differential diagnosis of cholestatic liver diseases is broad, and the etiologies of cholestasis vary in the anatomical location of the defect and acuity of presentation. Cholestasis is a liver disease. Bile. Cholestasis Of Liver.
From www.slideserve.com
PPT LIVER DISEASES PowerPoint Presentation ID1940263 Cholestasis Of Liver It occurs when the flow of bile from your liver is reduced or blocked. Bile is the digestive fluid produced by the liver. The differential diagnosis of cholestatic liver diseases is broad, and the etiologies of cholestasis vary in the anatomical location of the defect and acuity of presentation. Bile is fluid produced by your liver that aids in the. Cholestasis Of Liver.
From www.pathologyoutlines.com
Pathology Outlines Cholestasis Cholestasis Of Liver Cholestatic liver disease is a disease that causes liver damage and fibrosis owing to bile stasis. It occurs when the flow of bile from your liver is reduced or blocked. Bile is fluid produced by your liver that aids in the digestion of food,. Cholestasis describes impairment in bile formation or flow which can manifest clinically with fatigue, pruritus, and. Cholestasis Of Liver.
From www.researchgate.net
Liver pathology at time of autopsy. Bland cholestasis, depicted as Cholestasis Of Liver Cholestasis is reduction or stoppage of bile flow. Cholestatic jaundice can be classified into intrahepatic or extrahepatic cholestasis, depending upon the level of obstruction to bile flow. It is represented by primary biliary cholangitis (pbc). It occurs when the flow of bile from your liver is reduced or blocked. The differential diagnosis of cholestatic liver diseases is broad, and the. Cholestasis Of Liver.
From www.slideserve.com
PPT CHOLESTASIS & CHOLESTATIC LIVER DISEASES PowerPoint Presentation Cholestasis Of Liver Cholestasis describes impairment in bile formation or flow which can manifest clinically with fatigue, pruritus, and jaundice. Clinically, cholestasis leads to retention. It is represented by primary biliary cholangitis (pbc). Cholestasis is a liver disease. Bile is the digestive fluid produced by the liver. Cholestasis is reduction or stoppage of bile flow. Bile is fluid produced by your liver that. Cholestasis Of Liver.
From www.dreamstime.com
Human liver. Cholestasis stock image. Image of histological 242799115 Cholestasis Of Liver Cholestatic jaundice can be classified into intrahepatic or extrahepatic cholestasis, depending upon the level of obstruction to bile flow. Cholestasis is reduction or stoppage of bile flow. It is represented by primary biliary cholangitis (pbc). Cholestasis describes impairment in bile formation or flow which can manifest clinically with fatigue, pruritus, and jaundice. Bile is the digestive fluid produced by the. Cholestasis Of Liver.
From www.ccjm.org
Pediatric cholestatic liver disease Successful transition of care Cholestasis Of Liver It occurs when the flow of bile from your liver is reduced or blocked. Cholestatic jaundice can be classified into intrahepatic or extrahepatic cholestasis, depending upon the level of obstruction to bile flow. Disorders of the liver, bile duct, or pancreas can cause cholestasis. It is represented by primary biliary cholangitis (pbc). When this happens, the bile can back up. Cholestasis Of Liver.
From healthtian.com
Cholestasis Causes, Symptoms and Treatment Healthtian Cholestasis Of Liver It is represented by primary biliary cholangitis (pbc). Cholestatic liver disease is a disease that causes liver damage and fibrosis owing to bile stasis. Cholestatic jaundice can be classified into intrahepatic or extrahepatic cholestasis, depending upon the level of obstruction to bile flow. Cholestasis is reduction or stoppage of bile flow. Disorders of the liver, bile duct, or pancreas can. Cholestasis Of Liver.
From www.slideserve.com
PPT CHOLESTASIS & CHOLESTATIC LIVER DISEASES PowerPoint Presentation Cholestasis Of Liver Cholestasis is reduction or stoppage of bile flow. Disorders of the liver, bile duct, or pancreas can cause cholestasis. Cholestasis describes impairment in bile formation or flow which can manifest clinically with fatigue, pruritus, and jaundice. Cholestatic liver disease is a disease that causes liver damage and fibrosis owing to bile stasis. The differential diagnosis of cholestatic liver diseases is. Cholestasis Of Liver.
From www.liver.theclinics.com
Mechanisms of Cholestasis Clinics in Liver Disease Cholestasis Of Liver It occurs when the flow of bile from your liver is reduced or blocked. Clinically, cholestasis leads to retention. Bile is fluid produced by your liver that aids in the digestion of food,. Cholestasis is a liver disease. When this happens, the bile can back up into. Cholestasis occurs when the flow of bile from the liver stops or slows.. Cholestasis Of Liver.
From www.slideserve.com
PPT Cholestatic Liver Disease PBC and PSC PowerPoint Presentation Cholestasis Of Liver Clinically, cholestasis leads to retention. It occurs when the flow of bile from your liver is reduced or blocked. It is represented by primary biliary cholangitis (pbc). The differential diagnosis of cholestatic liver diseases is broad, and the etiologies of cholestasis vary in the anatomical location of the defect and acuity of presentation. Disorders of the liver, bile duct, or. Cholestasis Of Liver.
From www.osmosis.org
Cholestatic liver disease Video, Anatomy & Definition Osmosis Cholestasis Of Liver Cholestasis is reduction or stoppage of bile flow. It is represented by primary biliary cholangitis (pbc). Cholestatic jaundice can be classified into intrahepatic or extrahepatic cholestasis, depending upon the level of obstruction to bile flow. Cholestasis describes impairment in bile formation or flow which can manifest clinically with fatigue, pruritus, and jaundice. Bile is fluid produced by your liver that. Cholestasis Of Liver.
From www.researchgate.net
Updated version of the AOP on cholestatic liver injury. Druginduced Cholestasis Of Liver The differential diagnosis of cholestatic liver diseases is broad, and the etiologies of cholestasis vary in the anatomical location of the defect and acuity of presentation. Cholestasis occurs when the flow of bile from the liver stops or slows. Bile is fluid produced by your liver that aids in the digestion of food,. When this happens, the bile can back. Cholestasis Of Liver.
From www.slideshare.net
02.03.12 Cholestatic Liver Diseases Cholestasis Of Liver Cholestatic liver disease is a disease that causes liver damage and fibrosis owing to bile stasis. Bile is fluid produced by your liver that aids in the digestion of food,. It is represented by primary biliary cholangitis (pbc). Disorders of the liver, bile duct, or pancreas can cause cholestasis. Cholestasis describes impairment in bile formation or flow which can manifest. Cholestasis Of Liver.
From www.online-sciences.com
Liver Cholestasis types, causes, features, symptoms, diagnosis and Cholestasis Of Liver It occurs when the flow of bile from your liver is reduced or blocked. Bile is the digestive fluid produced by the liver. The differential diagnosis of cholestatic liver diseases is broad, and the etiologies of cholestasis vary in the anatomical location of the defect and acuity of presentation. It is represented by primary biliary cholangitis (pbc). Cholestasis is reduction. Cholestasis Of Liver.
From www.researchgate.net
Cholestasis in zone 3 of the liver The arrowhead shows central vein Cholestasis Of Liver Cholestatic liver disease is a disease that causes liver damage and fibrosis owing to bile stasis. The differential diagnosis of cholestatic liver diseases is broad, and the etiologies of cholestasis vary in the anatomical location of the defect and acuity of presentation. Cholestasis is reduction or stoppage of bile flow. Bile is the digestive fluid produced by the liver. When. Cholestasis Of Liver.
From www.msdmanuals.com
Cholestasis Liver and Gallbladder Disorders MSD Manual Consumer Version Cholestasis Of Liver Disorders of the liver, bile duct, or pancreas can cause cholestasis. It occurs when the flow of bile from your liver is reduced or blocked. Bile is fluid produced by your liver that aids in the digestion of food,. The differential diagnosis of cholestatic liver diseases is broad, and the etiologies of cholestasis vary in the anatomical location of the. Cholestasis Of Liver.
From www.mdpi.com
Nutrients Free FullText The GutLiver Axis in Cholestatic Liver Cholestasis Of Liver Bile is fluid produced by your liver that aids in the digestion of food,. Cholestasis is a liver disease. The differential diagnosis of cholestatic liver diseases is broad, and the etiologies of cholestasis vary in the anatomical location of the defect and acuity of presentation. Cholestatic liver disease is a disease that causes liver damage and fibrosis owing to bile. Cholestasis Of Liver.
From www.gastrojournal.org
Pathogenesis of Cholestatic Liver Disease and Therapeutic Approaches Cholestasis Of Liver Disorders of the liver, bile duct, or pancreas can cause cholestasis. It is represented by primary biliary cholangitis (pbc). The differential diagnosis of cholestatic liver diseases is broad, and the etiologies of cholestasis vary in the anatomical location of the defect and acuity of presentation. Bile is the digestive fluid produced by the liver. Cholestasis occurs when the flow of. Cholestasis Of Liver.
From www.pathologyoutlines.com
Pathology Outlines Cholestasis Cholestasis Of Liver Cholestasis occurs when the flow of bile from the liver stops or slows. It is represented by primary biliary cholangitis (pbc). Cholestasis is a liver disease. Clinically, cholestasis leads to retention. Disorders of the liver, bile duct, or pancreas can cause cholestasis. Cholestasis describes impairment in bile formation or flow which can manifest clinically with fatigue, pruritus, and jaundice. The. Cholestasis Of Liver.
From www.merckmanuals.com
Cholestasis Liver and Gallbladder Disorders Merck Manuals Consumer Cholestasis Of Liver When this happens, the bile can back up into. Cholestasis occurs when the flow of bile from the liver stops or slows. Cholestatic liver disease is a disease that causes liver damage and fibrosis owing to bile stasis. Cholestasis is a liver disease. Bile is fluid produced by your liver that aids in the digestion of food,. Disorders of the. Cholestasis Of Liver.
From www.researchgate.net
TPN related liver injury. Steatosis, cholestasis, and duct Cholestasis Of Liver Disorders of the liver, bile duct, or pancreas can cause cholestasis. It occurs when the flow of bile from your liver is reduced or blocked. Cholestasis describes impairment in bile formation or flow which can manifest clinically with fatigue, pruritus, and jaundice. The differential diagnosis of cholestatic liver diseases is broad, and the etiologies of cholestasis vary in the anatomical. Cholestasis Of Liver.
From www.pathologyoutlines.com
Pathology Outlines Cholestasis Cholestasis Of Liver When this happens, the bile can back up into. Cholestasis occurs when the flow of bile from the liver stops or slows. Bile is the digestive fluid produced by the liver. Cholestasis describes impairment in bile formation or flow which can manifest clinically with fatigue, pruritus, and jaundice. The differential diagnosis of cholestatic liver diseases is broad, and the etiologies. Cholestasis Of Liver.
From www.vedobi.com
Vedobi Cholestasis A disease of the Liver Cholestasis Of Liver Cholestasis describes impairment in bile formation or flow which can manifest clinically with fatigue, pruritus, and jaundice. Clinically, cholestasis leads to retention. Bile is fluid produced by your liver that aids in the digestion of food,. Cholestasis is reduction or stoppage of bile flow. Cholestatic liver disease is a disease that causes liver damage and fibrosis owing to bile stasis.. Cholestasis Of Liver.
From www.pathologyoutlines.com
Pathology Outlines Cholestasis Cholestasis Of Liver Disorders of the liver, bile duct, or pancreas can cause cholestasis. Cholestasis is a liver disease. The differential diagnosis of cholestatic liver diseases is broad, and the etiologies of cholestasis vary in the anatomical location of the defect and acuity of presentation. Cholestasis occurs when the flow of bile from the liver stops or slows. Cholestasis is reduction or stoppage. Cholestasis Of Liver.
From www.cghjournal.org
Diagnosis and Management of Cholestatic Liver Disease Clinical Cholestasis Of Liver The differential diagnosis of cholestatic liver diseases is broad, and the etiologies of cholestasis vary in the anatomical location of the defect and acuity of presentation. Cholestatic jaundice can be classified into intrahepatic or extrahepatic cholestasis, depending upon the level of obstruction to bile flow. When this happens, the bile can back up into. Cholestasis is a liver disease. Cholestatic. Cholestasis Of Liver.
From www.dreamstime.com
Human liver. Cholestasis stock image. Image of tissue 242799023 Cholestasis Of Liver It is represented by primary biliary cholangitis (pbc). Cholestatic liver disease is a disease that causes liver damage and fibrosis owing to bile stasis. It occurs when the flow of bile from your liver is reduced or blocked. Cholestasis occurs when the flow of bile from the liver stops or slows. Clinically, cholestasis leads to retention. Cholestatic jaundice can be. Cholestasis Of Liver.
From www.slideshare.net
Metabolic liver disease presenting with cholestasis talk anshu sriva… Cholestasis Of Liver It is represented by primary biliary cholangitis (pbc). The differential diagnosis of cholestatic liver diseases is broad, and the etiologies of cholestasis vary in the anatomical location of the defect and acuity of presentation. Cholestasis is reduction or stoppage of bile flow. Cholestatic jaundice can be classified into intrahepatic or extrahepatic cholestasis, depending upon the level of obstruction to bile. Cholestasis Of Liver.
From www.researchgate.net
8. Liverkidney axis in cholestasis. Obstructive cholestasis forces Cholestasis Of Liver The differential diagnosis of cholestatic liver diseases is broad, and the etiologies of cholestasis vary in the anatomical location of the defect and acuity of presentation. Cholestasis is reduction or stoppage of bile flow. It occurs when the flow of bile from your liver is reduced or blocked. Cholestasis occurs when the flow of bile from the liver stops or. Cholestasis Of Liver.
From encyclopedia.pub
Gene Therapy for Cholestasis Encyclopedia MDPI Cholestasis Of Liver Cholestasis occurs when the flow of bile from the liver stops or slows. It is represented by primary biliary cholangitis (pbc). Cholestasis is a liver disease. Disorders of the liver, bile duct, or pancreas can cause cholestasis. Bile is the digestive fluid produced by the liver. The differential diagnosis of cholestatic liver diseases is broad, and the etiologies of cholestasis. Cholestasis Of Liver.
From basicmedicalkey.com
DrugInduced Cholestatic Liver Injury Basicmedical Key Cholestasis Of Liver Bile is fluid produced by your liver that aids in the digestion of food,. Cholestasis describes impairment in bile formation or flow which can manifest clinically with fatigue, pruritus, and jaundice. Bile is the digestive fluid produced by the liver. The differential diagnosis of cholestatic liver diseases is broad, and the etiologies of cholestasis vary in the anatomical location of. Cholestasis Of Liver.
From www.youtube.com
Cholestasis liver pathology YouTube Cholestasis Of Liver It occurs when the flow of bile from your liver is reduced or blocked. Cholestatic jaundice can be classified into intrahepatic or extrahepatic cholestasis, depending upon the level of obstruction to bile flow. Cholestasis describes impairment in bile formation or flow which can manifest clinically with fatigue, pruritus, and jaundice. Disorders of the liver, bile duct, or pancreas can cause. Cholestasis Of Liver.
From www.pathologyoutlines.com
Pathology Outlines Cholestasis Cholestasis Of Liver Cholestatic jaundice can be classified into intrahepatic or extrahepatic cholestasis, depending upon the level of obstruction to bile flow. Cholestasis occurs when the flow of bile from the liver stops or slows. The differential diagnosis of cholestatic liver diseases is broad, and the etiologies of cholestasis vary in the anatomical location of the defect and acuity of presentation. It is. Cholestasis Of Liver.
From www.osmosis.org
Cholestatic liver disease Video, Anatomy & Definition Osmosis Cholestasis Of Liver Bile is fluid produced by your liver that aids in the digestion of food,. Cholestasis is a liver disease. Cholestasis occurs when the flow of bile from the liver stops or slows. Cholestatic jaundice can be classified into intrahepatic or extrahepatic cholestasis, depending upon the level of obstruction to bile flow. The differential diagnosis of cholestatic liver diseases is broad,. Cholestasis Of Liver.