Throwing A Football After Labrum Surgery . The labrum is a rubbery bumper of cartilage that runs the circumference of the socket (glenoid) of the shoulder joint. The head of the upper arm bone fits into a rounded socket in the shoulder blade. This article provides guidelines and considerations for safely resuming physical activities after a labral tear. Patients may be able to return to sports six months to one year after surgery. Learn about diagnosis and treatments. However, with proper treatment and rehabilitation, returning to sports and activities is possible. It helps to cushion and stabilize the joint, but when. Suffering a labral tear can be a setback for athletes and active individuals. This socket is called the glenoid. One of the most common injuries sustained by throwing athletes is a slap tear of the soft tissue, known as the labrum. If you have had or are planning to have labral surgery, it's best to work with your surgeon and care team to. In addition to eliminating pain and inflammation, the rehabilitation process for throwing athletes must include the restoration of motion, strength, and endurance, as well as restoration of proprioception, dynamic stability, and neuromuscular control. Surrounding the outside edge of the glenoid is a rim of strong, fibrous tissue called the labrum. The labrum helps to deepen the socket and stabilize the shoulder joint. Slap repairs, once the standard surgical approach, involve reattaching the torn labrum to the glenoid.
from elevenwarriors.com
If you have had or are planning to have labral surgery, it's best to work with your surgeon and care team to. However, with proper treatment and rehabilitation, returning to sports and activities is possible. In addition to eliminating pain and inflammation, the rehabilitation process for throwing athletes must include the restoration of motion, strength, and endurance, as well as restoration of proprioception, dynamic stability, and neuromuscular control. One of the most common injuries sustained by throwing athletes is a slap tear of the soft tissue, known as the labrum. This socket is called the glenoid. Surrounding the outside edge of the glenoid is a rim of strong, fibrous tissue called the labrum. Learn about diagnosis and treatments. This article provides guidelines and considerations for safely resuming physical activities after a labral tear. Suffering a labral tear can be a setback for athletes and active individuals. It helps to cushion and stabilize the joint, but when.
The Pathophysiology Behind Braxton Miller’s Torn Labrum Eleven Warriors
Throwing A Football After Labrum Surgery This socket is called the glenoid. If you have had or are planning to have labral surgery, it's best to work with your surgeon and care team to. Patients may be able to return to sports six months to one year after surgery. This article provides guidelines and considerations for safely resuming physical activities after a labral tear. The labrum helps to deepen the socket and stabilize the shoulder joint. It helps to cushion and stabilize the joint, but when. The labrum is a rubbery bumper of cartilage that runs the circumference of the socket (glenoid) of the shoulder joint. Slap repairs, once the standard surgical approach, involve reattaching the torn labrum to the glenoid. Learn about diagnosis and treatments. In addition to eliminating pain and inflammation, the rehabilitation process for throwing athletes must include the restoration of motion, strength, and endurance, as well as restoration of proprioception, dynamic stability, and neuromuscular control. This socket is called the glenoid. One of the most common injuries sustained by throwing athletes is a slap tear of the soft tissue, known as the labrum. The head of the upper arm bone fits into a rounded socket in the shoulder blade. Suffering a labral tear can be a setback for athletes and active individuals. Surrounding the outside edge of the glenoid is a rim of strong, fibrous tissue called the labrum. However, with proper treatment and rehabilitation, returning to sports and activities is possible.
From www.ajronline.org
Increased Risk of Posterior Glenoid Labrum Tears in Football Players AJR Throwing A Football After Labrum Surgery However, with proper treatment and rehabilitation, returning to sports and activities is possible. It helps to cushion and stabilize the joint, but when. Patients may be able to return to sports six months to one year after surgery. Suffering a labral tear can be a setback for athletes and active individuals. One of the most common injuries sustained by throwing. Throwing A Football After Labrum Surgery.
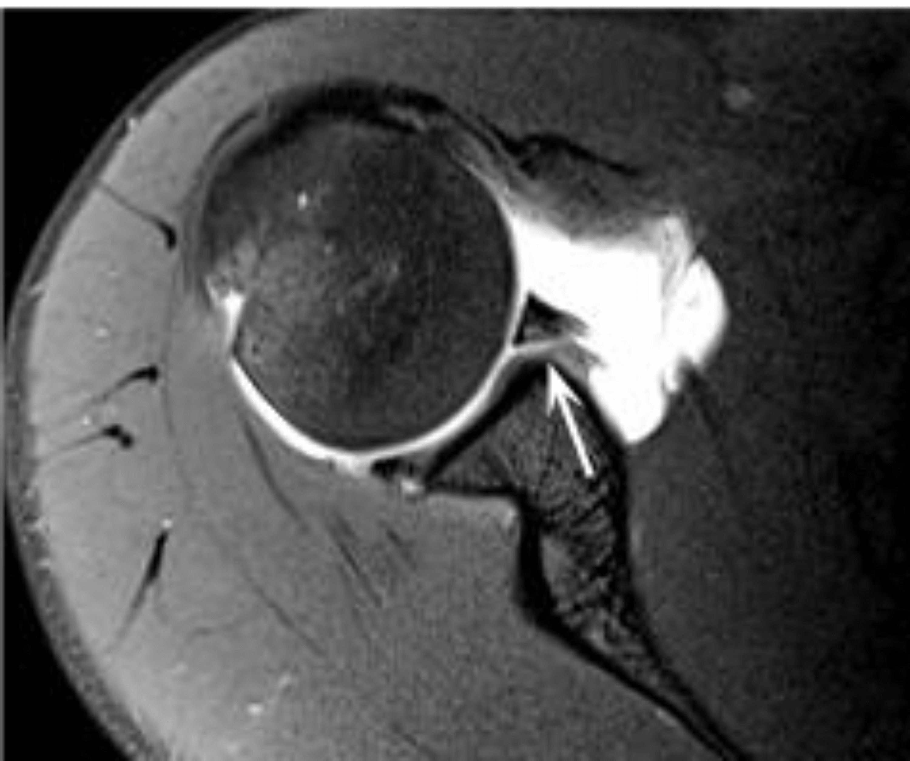
From www.researchgate.net
A 22yearold male collegiate football player with a right posterior Throwing A Football After Labrum Surgery Suffering a labral tear can be a setback for athletes and active individuals. In addition to eliminating pain and inflammation, the rehabilitation process for throwing athletes must include the restoration of motion, strength, and endurance, as well as restoration of proprioception, dynamic stability, and neuromuscular control. Slap repairs, once the standard surgical approach, involve reattaching the torn labrum to the. Throwing A Football After Labrum Surgery.
From www.husky-ct.com
How To Throw A Football Farther? You Need To Know! Throwing A Football After Labrum Surgery In addition to eliminating pain and inflammation, the rehabilitation process for throwing athletes must include the restoration of motion, strength, and endurance, as well as restoration of proprioception, dynamic stability, and neuromuscular control. However, with proper treatment and rehabilitation, returning to sports and activities is possible. It helps to cushion and stabilize the joint, but when. One of the most. Throwing A Football After Labrum Surgery.
From vcpfootball.com
Justin Herbert undergoes surgery to repair torn labrum VCP Football Throwing A Football After Labrum Surgery This socket is called the glenoid. The head of the upper arm bone fits into a rounded socket in the shoulder blade. Learn about diagnosis and treatments. Suffering a labral tear can be a setback for athletes and active individuals. The labrum helps to deepen the socket and stabilize the shoulder joint. This article provides guidelines and considerations for safely. Throwing A Football After Labrum Surgery.
From www.coastalorthoteam.com
High School Football Injuries and your Orthopedic Physician Corpus Throwing A Football After Labrum Surgery The labrum helps to deepen the socket and stabilize the shoulder joint. It helps to cushion and stabilize the joint, but when. Patients may be able to return to sports six months to one year after surgery. This article provides guidelines and considerations for safely resuming physical activities after a labral tear. Slap repairs, once the standard surgical approach, involve. Throwing A Football After Labrum Surgery.
From exowvakkz.blob.core.windows.net
Shoulder Labral Repair Return To Sport at Steven Curl blog Throwing A Football After Labrum Surgery Suffering a labral tear can be a setback for athletes and active individuals. The head of the upper arm bone fits into a rounded socket in the shoulder blade. In addition to eliminating pain and inflammation, the rehabilitation process for throwing athletes must include the restoration of motion, strength, and endurance, as well as restoration of proprioception, dynamic stability, and. Throwing A Football After Labrum Surgery.
From www.semanticscholar.org
Figure 1 from Rehabilitation after hip arthroscopy and labral repair in Throwing A Football After Labrum Surgery The labrum is a rubbery bumper of cartilage that runs the circumference of the socket (glenoid) of the shoulder joint. Patients may be able to return to sports six months to one year after surgery. This socket is called the glenoid. In addition to eliminating pain and inflammation, the rehabilitation process for throwing athletes must include the restoration of motion,. Throwing A Football After Labrum Surgery.
From www.performancelabofcalifornia.com
How to Throw a Football in 6 Steps Performance Lab of California Throwing A Football After Labrum Surgery It helps to cushion and stabilize the joint, but when. If you have had or are planning to have labral surgery, it's best to work with your surgeon and care team to. Patients may be able to return to sports six months to one year after surgery. This article provides guidelines and considerations for safely resuming physical activities after a. Throwing A Football After Labrum Surgery.
From www.instructables.com
How to Throw a Football 6 Steps (with Pictures) Instructables Throwing A Football After Labrum Surgery If you have had or are planning to have labral surgery, it's best to work with your surgeon and care team to. It helps to cushion and stabilize the joint, but when. The head of the upper arm bone fits into a rounded socket in the shoulder blade. Suffering a labral tear can be a setback for athletes and active. Throwing A Football After Labrum Surgery.
From calgarykeen.weebly.com
Baseball Throwing Program After Labrum Surgery calgarykeen Throwing A Football After Labrum Surgery The labrum helps to deepen the socket and stabilize the shoulder joint. Suffering a labral tear can be a setback for athletes and active individuals. If you have had or are planning to have labral surgery, it's best to work with your surgeon and care team to. Patients may be able to return to sports six months to one year. Throwing A Football After Labrum Surgery.
From www.floridaortho.com
Glenoid Labrum Tear Florida Orthopaedic Institute Throwing A Football After Labrum Surgery The labrum helps to deepen the socket and stabilize the shoulder joint. Learn about diagnosis and treatments. The labrum is a rubbery bumper of cartilage that runs the circumference of the socket (glenoid) of the shoulder joint. This socket is called the glenoid. In addition to eliminating pain and inflammation, the rehabilitation process for throwing athletes must include the restoration. Throwing A Football After Labrum Surgery.
From www.childrenscolorado.org
Football After Shoulder Injury Children's Hospital Colorado Throwing A Football After Labrum Surgery If you have had or are planning to have labral surgery, it's best to work with your surgeon and care team to. One of the most common injuries sustained by throwing athletes is a slap tear of the soft tissue, known as the labrum. In addition to eliminating pain and inflammation, the rehabilitation process for throwing athletes must include the. Throwing A Football After Labrum Surgery.
From www.cureus.com
Type IX Superior Labrum Anterior and Posterior Lesion in a Professional Throwing A Football After Labrum Surgery The labrum helps to deepen the socket and stabilize the shoulder joint. Learn about diagnosis and treatments. Slap repairs, once the standard surgical approach, involve reattaching the torn labrum to the glenoid. In addition to eliminating pain and inflammation, the rehabilitation process for throwing athletes must include the restoration of motion, strength, and endurance, as well as restoration of proprioception,. Throwing A Football After Labrum Surgery.
From www.cureus.com
Type IX Superior Labrum Anterior and Posterior Lesion in a Professional Throwing A Football After Labrum Surgery One of the most common injuries sustained by throwing athletes is a slap tear of the soft tissue, known as the labrum. Learn about diagnosis and treatments. The labrum helps to deepen the socket and stabilize the shoulder joint. However, with proper treatment and rehabilitation, returning to sports and activities is possible. If you have had or are planning to. Throwing A Football After Labrum Surgery.
From www.instructables.com
How to Throw a Football 5 Steps (with Pictures) Instructables Throwing A Football After Labrum Surgery Patients may be able to return to sports six months to one year after surgery. The labrum helps to deepen the socket and stabilize the shoulder joint. Suffering a labral tear can be a setback for athletes and active individuals. This socket is called the glenoid. Slap repairs, once the standard surgical approach, involve reattaching the torn labrum to the. Throwing A Football After Labrum Surgery.
From elevenwarriors.com
The Pathophysiology Behind Braxton Miller’s Torn Labrum Eleven Warriors Throwing A Football After Labrum Surgery This article provides guidelines and considerations for safely resuming physical activities after a labral tear. One of the most common injuries sustained by throwing athletes is a slap tear of the soft tissue, known as the labrum. However, with proper treatment and rehabilitation, returning to sports and activities is possible. In addition to eliminating pain and inflammation, the rehabilitation process. Throwing A Football After Labrum Surgery.
From www.youtube.com
Football players accelerated recovery after ACL InternalBrace surgery Throwing A Football After Labrum Surgery Surrounding the outside edge of the glenoid is a rim of strong, fibrous tissue called the labrum. It helps to cushion and stabilize the joint, but when. One of the most common injuries sustained by throwing athletes is a slap tear of the soft tissue, known as the labrum. In addition to eliminating pain and inflammation, the rehabilitation process for. Throwing A Football After Labrum Surgery.
From www.azisks.com
LABRAL tear Anteriorinferior in college football player Arizona Throwing A Football After Labrum Surgery Surrounding the outside edge of the glenoid is a rim of strong, fibrous tissue called the labrum. This article provides guidelines and considerations for safely resuming physical activities after a labral tear. It helps to cushion and stabilize the joint, but when. The labrum is a rubbery bumper of cartilage that runs the circumference of the socket (glenoid) of the. Throwing A Football After Labrum Surgery.
From hxedyedpz.blob.core.windows.net
Mlb Pitchers Labrum Surgery at Lewis Chau blog Throwing A Football After Labrum Surgery The labrum helps to deepen the socket and stabilize the shoulder joint. In addition to eliminating pain and inflammation, the rehabilitation process for throwing athletes must include the restoration of motion, strength, and endurance, as well as restoration of proprioception, dynamic stability, and neuromuscular control. Slap repairs, once the standard surgical approach, involve reattaching the torn labrum to the glenoid.. Throwing A Football After Labrum Surgery.
From www.wkyc.com
Odell Beckham Jr. relates to Baker Mayfield's torn labrum Throwing A Football After Labrum Surgery Suffering a labral tear can be a setback for athletes and active individuals. If you have had or are planning to have labral surgery, it's best to work with your surgeon and care team to. It helps to cushion and stabilize the joint, but when. The head of the upper arm bone fits into a rounded socket in the shoulder. Throwing A Football After Labrum Surgery.
From www.cureus.com
Type IX Superior Labrum Anterior and Posterior Lesion in a Professional Throwing A Football After Labrum Surgery The labrum helps to deepen the socket and stabilize the shoulder joint. This socket is called the glenoid. Learn about diagnosis and treatments. Patients may be able to return to sports six months to one year after surgery. The labrum is a rubbery bumper of cartilage that runs the circumference of the socket (glenoid) of the shoulder joint. In addition. Throwing A Football After Labrum Surgery.
From www.instructables.com
How to Throw a Football 6 Steps (with Pictures) Instructables Throwing A Football After Labrum Surgery The labrum is a rubbery bumper of cartilage that runs the circumference of the socket (glenoid) of the shoulder joint. The labrum helps to deepen the socket and stabilize the shoulder joint. This article provides guidelines and considerations for safely resuming physical activities after a labral tear. This socket is called the glenoid. Slap repairs, once the standard surgical approach,. Throwing A Football After Labrum Surgery.
From www.impactphysicaltherapy.com
Most Common Football Injuries IMPACT Physical Therapy Throwing A Football After Labrum Surgery The head of the upper arm bone fits into a rounded socket in the shoulder blade. In addition to eliminating pain and inflammation, the rehabilitation process for throwing athletes must include the restoration of motion, strength, and endurance, as well as restoration of proprioception, dynamic stability, and neuromuscular control. Learn about diagnosis and treatments. Suffering a labral tear can be. Throwing A Football After Labrum Surgery.
From www.popsci.com
How to throw a football spiral Popular Science Throwing A Football After Labrum Surgery However, with proper treatment and rehabilitation, returning to sports and activities is possible. In addition to eliminating pain and inflammation, the rehabilitation process for throwing athletes must include the restoration of motion, strength, and endurance, as well as restoration of proprioception, dynamic stability, and neuromuscular control. Surrounding the outside edge of the glenoid is a rim of strong, fibrous tissue. Throwing A Football After Labrum Surgery.
From hughston.com
Soccer Players Sprains, Strains, and Breaks Hughston Clinic Throwing A Football After Labrum Surgery The labrum helps to deepen the socket and stabilize the shoulder joint. However, with proper treatment and rehabilitation, returning to sports and activities is possible. Patients may be able to return to sports six months to one year after surgery. Slap repairs, once the standard surgical approach, involve reattaching the torn labrum to the glenoid. In addition to eliminating pain. Throwing A Football After Labrum Surgery.
From www.ironphysicaltherapy.com
High School Football Player Recovers from Torn Labrum and Fractured Throwing A Football After Labrum Surgery In addition to eliminating pain and inflammation, the rehabilitation process for throwing athletes must include the restoration of motion, strength, and endurance, as well as restoration of proprioception, dynamic stability, and neuromuscular control. However, with proper treatment and rehabilitation, returning to sports and activities is possible. Learn about diagnosis and treatments. Slap repairs, once the standard surgical approach, involve reattaching. Throwing A Football After Labrum Surgery.
From ar.inspiredpencil.com
Phases Of Throwing A Football Throwing A Football After Labrum Surgery One of the most common injuries sustained by throwing athletes is a slap tear of the soft tissue, known as the labrum. The labrum is a rubbery bumper of cartilage that runs the circumference of the socket (glenoid) of the shoulder joint. It helps to cushion and stabilize the joint, but when. This article provides guidelines and considerations for safely. Throwing A Football After Labrum Surgery.
From www.instructables.com
How to Throw a Football ? 10 Steps (with Pictures) Instructables Throwing A Football After Labrum Surgery This socket is called the glenoid. The labrum is a rubbery bumper of cartilage that runs the circumference of the socket (glenoid) of the shoulder joint. The head of the upper arm bone fits into a rounded socket in the shoulder blade. However, with proper treatment and rehabilitation, returning to sports and activities is possible. This article provides guidelines and. Throwing A Football After Labrum Surgery.
From www.youtube.com
Back To Football After Shoulder Labrum Surgery YouTube Throwing A Football After Labrum Surgery Suffering a labral tear can be a setback for athletes and active individuals. The labrum is a rubbery bumper of cartilage that runs the circumference of the socket (glenoid) of the shoulder joint. The labrum helps to deepen the socket and stabilize the shoulder joint. Slap repairs, once the standard surgical approach, involve reattaching the torn labrum to the glenoid.. Throwing A Football After Labrum Surgery.
From www.performancelabofcalifornia.com
How to Throw a Football in 6 Steps Performance Lab of California Throwing A Football After Labrum Surgery However, with proper treatment and rehabilitation, returning to sports and activities is possible. It helps to cushion and stabilize the joint, but when. Surrounding the outside edge of the glenoid is a rim of strong, fibrous tissue called the labrum. Learn about diagnosis and treatments. The labrum helps to deepen the socket and stabilize the shoulder joint. This socket is. Throwing A Football After Labrum Surgery.
From www.totalprosports.com
Aaron Rodgers Dropping Back & Throwing During Jets Pregame Throwing A Football After Labrum Surgery Patients may be able to return to sports six months to one year after surgery. The labrum is a rubbery bumper of cartilage that runs the circumference of the socket (glenoid) of the shoulder joint. Surrounding the outside edge of the glenoid is a rim of strong, fibrous tissue called the labrum. The labrum helps to deepen the socket and. Throwing A Football After Labrum Surgery.
From hxesaenmo.blob.core.windows.net
How To Throw A Football By Yourself at Ellen Browning blog Throwing A Football After Labrum Surgery Suffering a labral tear can be a setback for athletes and active individuals. This socket is called the glenoid. One of the most common injuries sustained by throwing athletes is a slap tear of the soft tissue, known as the labrum. Patients may be able to return to sports six months to one year after surgery. Slap repairs, once the. Throwing A Football After Labrum Surgery.
From www.animalia-life.club
Phases Of Throwing A Football Throwing A Football After Labrum Surgery One of the most common injuries sustained by throwing athletes is a slap tear of the soft tissue, known as the labrum. Surrounding the outside edge of the glenoid is a rim of strong, fibrous tissue called the labrum. If you have had or are planning to have labral surgery, it's best to work with your surgeon and care team. Throwing A Football After Labrum Surgery.
From www.animalia-life.club
Phases Of Throwing A Football Throwing A Football After Labrum Surgery In addition to eliminating pain and inflammation, the rehabilitation process for throwing athletes must include the restoration of motion, strength, and endurance, as well as restoration of proprioception, dynamic stability, and neuromuscular control. This article provides guidelines and considerations for safely resuming physical activities after a labral tear. If you have had or are planning to have labral surgery, it's. Throwing A Football After Labrum Surgery.
From www.gulflive.com
Mississippi State QB Tyler Russell has shoulder surgery to repair torn Throwing A Football After Labrum Surgery Learn about diagnosis and treatments. Surrounding the outside edge of the glenoid is a rim of strong, fibrous tissue called the labrum. However, with proper treatment and rehabilitation, returning to sports and activities is possible. In addition to eliminating pain and inflammation, the rehabilitation process for throwing athletes must include the restoration of motion, strength, and endurance, as well as. Throwing A Football After Labrum Surgery.