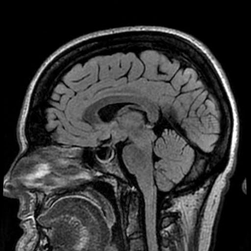
Iih Radiology Case . Dilated csf spaces around the optic nerves. Haouimi a, idiopathic intracranial hypertension (iih). The diagnostic criteria for iih are based on clinical signs and symptoms, as well as on mri findings and the measurement of csf. Idiopathic intracranial hypertension (iih) is defined as a syndrome of raised intracranial pressure with normal imaging of the brain and cerebrospinal. Advances in ophthalmic diagnostics and results of interventional clinical trials are shifting diagnosis and management of idiopathic intracranial. This case demonstrates some of the key features of idiopathic intracranial hypertension (iih): Idiopathic intracranial hypertension (iih), also known as pseudotumor cerebri, is a neurological disorder characterized by high.
from www.pinterest.com
Idiopathic intracranial hypertension (iih), also known as pseudotumor cerebri, is a neurological disorder characterized by high. Dilated csf spaces around the optic nerves. Advances in ophthalmic diagnostics and results of interventional clinical trials are shifting diagnosis and management of idiopathic intracranial. This case demonstrates some of the key features of idiopathic intracranial hypertension (iih): Haouimi a, idiopathic intracranial hypertension (iih). Idiopathic intracranial hypertension (iih) is defined as a syndrome of raised intracranial pressure with normal imaging of the brain and cerebrospinal. The diagnostic criteria for iih are based on clinical signs and symptoms, as well as on mri findings and the measurement of csf.
Odontoid fracture (type II) Radiology Case
Iih Radiology Case Dilated csf spaces around the optic nerves. This case demonstrates some of the key features of idiopathic intracranial hypertension (iih): Dilated csf spaces around the optic nerves. Idiopathic intracranial hypertension (iih), also known as pseudotumor cerebri, is a neurological disorder characterized by high. Advances in ophthalmic diagnostics and results of interventional clinical trials are shifting diagnosis and management of idiopathic intracranial. The diagnostic criteria for iih are based on clinical signs and symptoms, as well as on mri findings and the measurement of csf. Idiopathic intracranial hypertension (iih) is defined as a syndrome of raised intracranial pressure with normal imaging of the brain and cerebrospinal. Haouimi a, idiopathic intracranial hypertension (iih).
From journals.sagepub.com
Idiopathic intracranial hypertension BR Wakerley, MH Tan, EY Ting, 2015 Iih Radiology Case Haouimi a, idiopathic intracranial hypertension (iih). This case demonstrates some of the key features of idiopathic intracranial hypertension (iih): Idiopathic intracranial hypertension (iih), also known as pseudotumor cerebri, is a neurological disorder characterized by high. Dilated csf spaces around the optic nerves. Advances in ophthalmic diagnostics and results of interventional clinical trials are shifting diagnosis and management of idiopathic intracranial.. Iih Radiology Case.
From medicscenter.com
100 Cases in Radiology PDF Download Free2021 Medical Students Corner Iih Radiology Case Dilated csf spaces around the optic nerves. Idiopathic intracranial hypertension (iih) is defined as a syndrome of raised intracranial pressure with normal imaging of the brain and cerebrospinal. Advances in ophthalmic diagnostics and results of interventional clinical trials are shifting diagnosis and management of idiopathic intracranial. This case demonstrates some of the key features of idiopathic intracranial hypertension (iih): The. Iih Radiology Case.
From serenity-medical.com
Transverse sinus stenosis and IIH Serenity Medical Iih Radiology Case Advances in ophthalmic diagnostics and results of interventional clinical trials are shifting diagnosis and management of idiopathic intracranial. The diagnostic criteria for iih are based on clinical signs and symptoms, as well as on mri findings and the measurement of csf. Haouimi a, idiopathic intracranial hypertension (iih). This case demonstrates some of the key features of idiopathic intracranial hypertension (iih):. Iih Radiology Case.
From neuroangio.org
Case Archives Venous Pulsatile Tinnitus Iih Radiology Case Haouimi a, idiopathic intracranial hypertension (iih). Advances in ophthalmic diagnostics and results of interventional clinical trials are shifting diagnosis and management of idiopathic intracranial. The diagnostic criteria for iih are based on clinical signs and symptoms, as well as on mri findings and the measurement of csf. Dilated csf spaces around the optic nerves. This case demonstrates some of the. Iih Radiology Case.
From www.researchgate.net
Radiological changes seen following lumbar puncture in IIH. MRI head Iih Radiology Case Idiopathic intracranial hypertension (iih), also known as pseudotumor cerebri, is a neurological disorder characterized by high. The diagnostic criteria for iih are based on clinical signs and symptoms, as well as on mri findings and the measurement of csf. Advances in ophthalmic diagnostics and results of interventional clinical trials are shifting diagnosis and management of idiopathic intracranial. Dilated csf spaces. Iih Radiology Case.
From www.frontiersin.org
Frontiers Case report Rare isolated cystic hepatic metastasis of a Iih Radiology Case Idiopathic intracranial hypertension (iih), also known as pseudotumor cerebri, is a neurological disorder characterized by high. The diagnostic criteria for iih are based on clinical signs and symptoms, as well as on mri findings and the measurement of csf. This case demonstrates some of the key features of idiopathic intracranial hypertension (iih): Idiopathic intracranial hypertension (iih) is defined as a. Iih Radiology Case.
From www.neurores.org
J Neurol Res Iih Radiology Case Advances in ophthalmic diagnostics and results of interventional clinical trials are shifting diagnosis and management of idiopathic intracranial. The diagnostic criteria for iih are based on clinical signs and symptoms, as well as on mri findings and the measurement of csf. Haouimi a, idiopathic intracranial hypertension (iih). Idiopathic intracranial hypertension (iih) is defined as a syndrome of raised intracranial pressure. Iih Radiology Case.
From bobbyjonescsf.org
Idiopathic intracranial hypertension doc Bobby Jones CSF Iih Radiology Case Advances in ophthalmic diagnostics and results of interventional clinical trials are shifting diagnosis and management of idiopathic intracranial. Idiopathic intracranial hypertension (iih), also known as pseudotumor cerebri, is a neurological disorder characterized by high. Dilated csf spaces around the optic nerves. The diagnostic criteria for iih are based on clinical signs and symptoms, as well as on mri findings and. Iih Radiology Case.
From www.slideshare.net
Neuroradiology of idopathic Intracranial Hypertension PPT Iih Radiology Case Haouimi a, idiopathic intracranial hypertension (iih). Dilated csf spaces around the optic nerves. Idiopathic intracranial hypertension (iih) is defined as a syndrome of raised intracranial pressure with normal imaging of the brain and cerebrospinal. This case demonstrates some of the key features of idiopathic intracranial hypertension (iih): Advances in ophthalmic diagnostics and results of interventional clinical trials are shifting diagnosis. Iih Radiology Case.
From jnis.bmj.com
A new index for the assessment of transverse sinus stenosis for Iih Radiology Case This case demonstrates some of the key features of idiopathic intracranial hypertension (iih): The diagnostic criteria for iih are based on clinical signs and symptoms, as well as on mri findings and the measurement of csf. Idiopathic intracranial hypertension (iih), also known as pseudotumor cerebri, is a neurological disorder characterized by high. Dilated csf spaces around the optic nerves. Advances. Iih Radiology Case.
From radiologycases.blogspot.com
Radiology Cases Idiopathic Intracranial Hyertension Iih Radiology Case Haouimi a, idiopathic intracranial hypertension (iih). Advances in ophthalmic diagnostics and results of interventional clinical trials are shifting diagnosis and management of idiopathic intracranial. The diagnostic criteria for iih are based on clinical signs and symptoms, as well as on mri findings and the measurement of csf. Idiopathic intracranial hypertension (iih) is defined as a syndrome of raised intracranial pressure. Iih Radiology Case.
From radiogyan.com
Classic Radiology Cases 3 Spotters Set 57 RadioGyan Iih Radiology Case Dilated csf spaces around the optic nerves. This case demonstrates some of the key features of idiopathic intracranial hypertension (iih): Idiopathic intracranial hypertension (iih), also known as pseudotumor cerebri, is a neurological disorder characterized by high. Advances in ophthalmic diagnostics and results of interventional clinical trials are shifting diagnosis and management of idiopathic intracranial. Idiopathic intracranial hypertension (iih) is defined. Iih Radiology Case.
From www.reviewofoptometry.com
IIH Missed or Prematurely Diagnosed in Literature by Almost 20 Iih Radiology Case Idiopathic intracranial hypertension (iih), also known as pseudotumor cerebri, is a neurological disorder characterized by high. The diagnostic criteria for iih are based on clinical signs and symptoms, as well as on mri findings and the measurement of csf. Advances in ophthalmic diagnostics and results of interventional clinical trials are shifting diagnosis and management of idiopathic intracranial. This case demonstrates. Iih Radiology Case.
From www.pinterest.com
Introduction to Radiology Cases Radiology, Nuclear medicine, Radiography Iih Radiology Case Advances in ophthalmic diagnostics and results of interventional clinical trials are shifting diagnosis and management of idiopathic intracranial. Haouimi a, idiopathic intracranial hypertension (iih). This case demonstrates some of the key features of idiopathic intracranial hypertension (iih): Dilated csf spaces around the optic nerves. Idiopathic intracranial hypertension (iih), also known as pseudotumor cerebri, is a neurological disorder characterized by high.. Iih Radiology Case.
From www.dunyakitabevi.com.tr
Radiology Case Review Series Thoracic Imaging Iih Radiology Case Advances in ophthalmic diagnostics and results of interventional clinical trials are shifting diagnosis and management of idiopathic intracranial. The diagnostic criteria for iih are based on clinical signs and symptoms, as well as on mri findings and the measurement of csf. Dilated csf spaces around the optic nerves. Idiopathic intracranial hypertension (iih) is defined as a syndrome of raised intracranial. Iih Radiology Case.
From www.researchgate.net
(PDF) Clinical Radiology Case Presentation Do’s and Don’ts Iih Radiology Case The diagnostic criteria for iih are based on clinical signs and symptoms, as well as on mri findings and the measurement of csf. Advances in ophthalmic diagnostics and results of interventional clinical trials are shifting diagnosis and management of idiopathic intracranial. This case demonstrates some of the key features of idiopathic intracranial hypertension (iih): Idiopathic intracranial hypertension (iih), also known. Iih Radiology Case.
From www.youtube.com
Cases in Radiology Episode 3 (pediatric, chest xray) YouTube Iih Radiology Case Haouimi a, idiopathic intracranial hypertension (iih). The diagnostic criteria for iih are based on clinical signs and symptoms, as well as on mri findings and the measurement of csf. Advances in ophthalmic diagnostics and results of interventional clinical trials are shifting diagnosis and management of idiopathic intracranial. This case demonstrates some of the key features of idiopathic intracranial hypertension (iih):. Iih Radiology Case.
From www.scielo.br
SciELO Brasil Idiopathic intracranial hypertension an illustrated Iih Radiology Case Idiopathic intracranial hypertension (iih), also known as pseudotumor cerebri, is a neurological disorder characterized by high. This case demonstrates some of the key features of idiopathic intracranial hypertension (iih): Dilated csf spaces around the optic nerves. Haouimi a, idiopathic intracranial hypertension (iih). Advances in ophthalmic diagnostics and results of interventional clinical trials are shifting diagnosis and management of idiopathic intracranial.. Iih Radiology Case.
From www.pinterest.com
Odontoid fracture (type II) Radiology Case Iih Radiology Case Haouimi a, idiopathic intracranial hypertension (iih). The diagnostic criteria for iih are based on clinical signs and symptoms, as well as on mri findings and the measurement of csf. This case demonstrates some of the key features of idiopathic intracranial hypertension (iih): Idiopathic intracranial hypertension (iih), also known as pseudotumor cerebri, is a neurological disorder characterized by high. Dilated csf. Iih Radiology Case.
From radiogyan.com
Radiology Cases RadioGyan Iih Radiology Case The diagnostic criteria for iih are based on clinical signs and symptoms, as well as on mri findings and the measurement of csf. Dilated csf spaces around the optic nerves. Idiopathic intracranial hypertension (iih) is defined as a syndrome of raised intracranial pressure with normal imaging of the brain and cerebrospinal. This case demonstrates some of the key features of. Iih Radiology Case.
From radiologycases.blogspot.com
Radiology Cases Idiopathic Intracranial Hyertension Iih Radiology Case This case demonstrates some of the key features of idiopathic intracranial hypertension (iih): The diagnostic criteria for iih are based on clinical signs and symptoms, as well as on mri findings and the measurement of csf. Dilated csf spaces around the optic nerves. Idiopathic intracranial hypertension (iih) is defined as a syndrome of raised intracranial pressure with normal imaging of. Iih Radiology Case.
From www.scielo.br
SciELO Brasil Idiopathic intracranial hypertension an illustrated Iih Radiology Case Haouimi a, idiopathic intracranial hypertension (iih). Idiopathic intracranial hypertension (iih), also known as pseudotumor cerebri, is a neurological disorder characterized by high. This case demonstrates some of the key features of idiopathic intracranial hypertension (iih): Advances in ophthalmic diagnostics and results of interventional clinical trials are shifting diagnosis and management of idiopathic intracranial. Dilated csf spaces around the optic nerves.. Iih Radiology Case.
From pediatricimaging.org
Pediatric Idiopathic Intracranial Hypertension Pediatric Radiology Iih Radiology Case Idiopathic intracranial hypertension (iih) is defined as a syndrome of raised intracranial pressure with normal imaging of the brain and cerebrospinal. The diagnostic criteria for iih are based on clinical signs and symptoms, as well as on mri findings and the measurement of csf. Dilated csf spaces around the optic nerves. Idiopathic intracranial hypertension (iih), also known as pseudotumor cerebri,. Iih Radiology Case.
From www.cureus.com
Freehand Ventriculoperitoneal Shunt for Idiopathic Intracranial Iih Radiology Case Haouimi a, idiopathic intracranial hypertension (iih). This case demonstrates some of the key features of idiopathic intracranial hypertension (iih): The diagnostic criteria for iih are based on clinical signs and symptoms, as well as on mri findings and the measurement of csf. Idiopathic intracranial hypertension (iih), also known as pseudotumor cerebri, is a neurological disorder characterized by high. Dilated csf. Iih Radiology Case.
From radiogyan.com
Classic Radiology Cases 2 Spotters Set 56 RadioGyan Iih Radiology Case Advances in ophthalmic diagnostics and results of interventional clinical trials are shifting diagnosis and management of idiopathic intracranial. Idiopathic intracranial hypertension (iih), also known as pseudotumor cerebri, is a neurological disorder characterized by high. Idiopathic intracranial hypertension (iih) is defined as a syndrome of raised intracranial pressure with normal imaging of the brain and cerebrospinal. Dilated csf spaces around the. Iih Radiology Case.
From www.analesdepediatria.org
Idiopathic intracranial hypertension Experience over 25 years and a Iih Radiology Case Advances in ophthalmic diagnostics and results of interventional clinical trials are shifting diagnosis and management of idiopathic intracranial. Idiopathic intracranial hypertension (iih) is defined as a syndrome of raised intracranial pressure with normal imaging of the brain and cerebrospinal. Haouimi a, idiopathic intracranial hypertension (iih). The diagnostic criteria for iih are based on clinical signs and symptoms, as well as. Iih Radiology Case.
From neuroangio.org
Pulsatile Tinnitus Intracranial Hypertension Persistent Sinus Stenosis Iih Radiology Case Dilated csf spaces around the optic nerves. Idiopathic intracranial hypertension (iih), also known as pseudotumor cerebri, is a neurological disorder characterized by high. Advances in ophthalmic diagnostics and results of interventional clinical trials are shifting diagnosis and management of idiopathic intracranial. Haouimi a, idiopathic intracranial hypertension (iih). The diagnostic criteria for iih are based on clinical signs and symptoms, as. Iih Radiology Case.
From iih-hub.com
MRI findings in IIH IIH Hub Iih Radiology Case Haouimi a, idiopathic intracranial hypertension (iih). Idiopathic intracranial hypertension (iih), also known as pseudotumor cerebri, is a neurological disorder characterized by high. Advances in ophthalmic diagnostics and results of interventional clinical trials are shifting diagnosis and management of idiopathic intracranial. This case demonstrates some of the key features of idiopathic intracranial hypertension (iih): The diagnostic criteria for iih are based. Iih Radiology Case.
From www.medpagetoday.com
Bariatric Surgery Promising in Idiopathic Intracranial Hypertension Iih Radiology Case Dilated csf spaces around the optic nerves. Haouimi a, idiopathic intracranial hypertension (iih). Idiopathic intracranial hypertension (iih), also known as pseudotumor cerebri, is a neurological disorder characterized by high. This case demonstrates some of the key features of idiopathic intracranial hypertension (iih): Idiopathic intracranial hypertension (iih) is defined as a syndrome of raised intracranial pressure with normal imaging of the. Iih Radiology Case.
From medprofvideos.mayoclinic.org
Idiopathic intracranial hypertension (IIH) treatment at Mayo Clinic Iih Radiology Case Dilated csf spaces around the optic nerves. Advances in ophthalmic diagnostics and results of interventional clinical trials are shifting diagnosis and management of idiopathic intracranial. Idiopathic intracranial hypertension (iih), also known as pseudotumor cerebri, is a neurological disorder characterized by high. Idiopathic intracranial hypertension (iih) is defined as a syndrome of raised intracranial pressure with normal imaging of the brain. Iih Radiology Case.
From studylib.net
RADIOLOGY CASE REPORT Iih Radiology Case Idiopathic intracranial hypertension (iih) is defined as a syndrome of raised intracranial pressure with normal imaging of the brain and cerebrospinal. This case demonstrates some of the key features of idiopathic intracranial hypertension (iih): Advances in ophthalmic diagnostics and results of interventional clinical trials are shifting diagnosis and management of idiopathic intracranial. Dilated csf spaces around the optic nerves. The. Iih Radiology Case.
From www.pinterest.com
SLAP tear Radiology Case Radiology, Tears, Case Iih Radiology Case Haouimi a, idiopathic intracranial hypertension (iih). Idiopathic intracranial hypertension (iih) is defined as a syndrome of raised intracranial pressure with normal imaging of the brain and cerebrospinal. Advances in ophthalmic diagnostics and results of interventional clinical trials are shifting diagnosis and management of idiopathic intracranial. Idiopathic intracranial hypertension (iih), also known as pseudotumor cerebri, is a neurological disorder characterized by. Iih Radiology Case.
From www.casestacks.com
Case 38 Iih Radiology Case Advances in ophthalmic diagnostics and results of interventional clinical trials are shifting diagnosis and management of idiopathic intracranial. Dilated csf spaces around the optic nerves. Idiopathic intracranial hypertension (iih) is defined as a syndrome of raised intracranial pressure with normal imaging of the brain and cerebrospinal. This case demonstrates some of the key features of idiopathic intracranial hypertension (iih): Idiopathic. Iih Radiology Case.
From www.researchgate.net
MRI scans of case 1 and 3 with typical signs of IIH. A + C Small Iih Radiology Case Dilated csf spaces around the optic nerves. The diagnostic criteria for iih are based on clinical signs and symptoms, as well as on mri findings and the measurement of csf. Advances in ophthalmic diagnostics and results of interventional clinical trials are shifting diagnosis and management of idiopathic intracranial. Idiopathic intracranial hypertension (iih), also known as pseudotumor cerebri, is a neurological. Iih Radiology Case.
From ar.inspiredpencil.com
Idiopathic Intracranial Hypertension Mri Iih Radiology Case Advances in ophthalmic diagnostics and results of interventional clinical trials are shifting diagnosis and management of idiopathic intracranial. The diagnostic criteria for iih are based on clinical signs and symptoms, as well as on mri findings and the measurement of csf. Idiopathic intracranial hypertension (iih), also known as pseudotumor cerebri, is a neurological disorder characterized by high. Idiopathic intracranial hypertension. Iih Radiology Case.