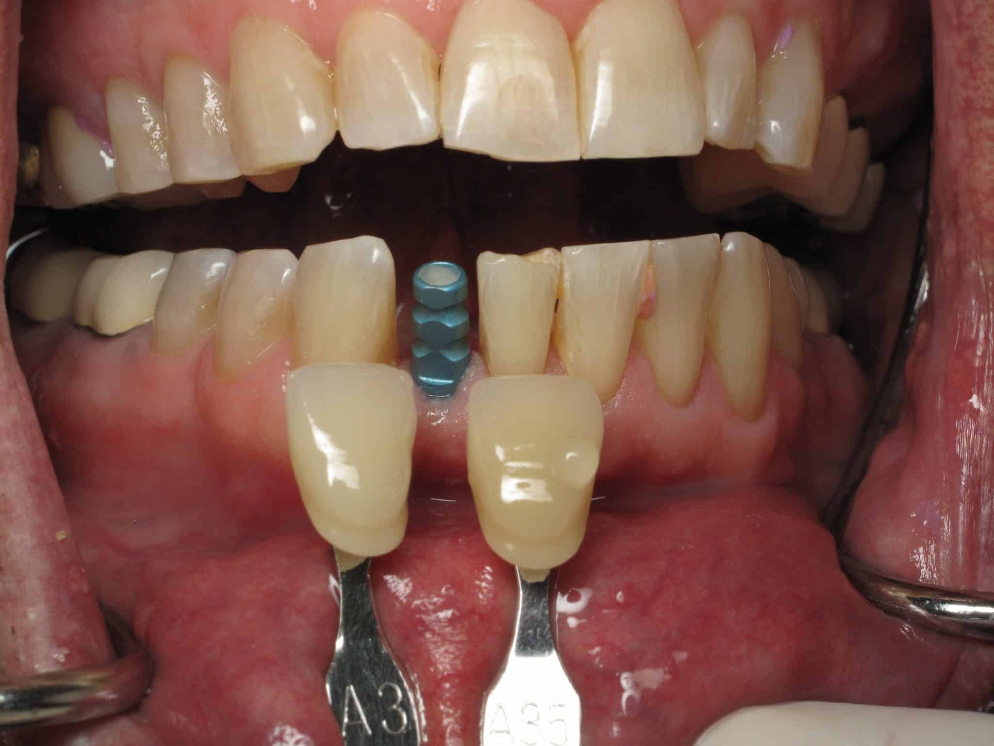
Tooth Implant Impression . Closed tray or open tray. The object of making an impression in implant dentistry is to accurately relate the position of the most coronal portion of the implant (implant. Find out how to choose the right impression material, abutment, and tray for accurate and reliable implant restorations. Learn how to take accurate implant impressions using open or closed trays, impression materials, screwdrivers, and copings. Simultaneous tooth‐implant impression techniques decrease the possible errors that may occur during adaptation of final restoration of the prepared. Accuracy of implant restorations begins with accurate impressions that capture the implant’s orientation to adjacent implants and natural teeth, as well as the implant connector’s rotational orientation. Impression copings for implant prosthetics generally come in two distinctly different types:
from my.clevelandclinic.org
The object of making an impression in implant dentistry is to accurately relate the position of the most coronal portion of the implant (implant. Accuracy of implant restorations begins with accurate impressions that capture the implant’s orientation to adjacent implants and natural teeth, as well as the implant connector’s rotational orientation. Learn how to take accurate implant impressions using open or closed trays, impression materials, screwdrivers, and copings. Find out how to choose the right impression material, abutment, and tray for accurate and reliable implant restorations. Impression copings for implant prosthetics generally come in two distinctly different types: Simultaneous tooth‐implant impression techniques decrease the possible errors that may occur during adaptation of final restoration of the prepared. Closed tray or open tray.
Implant Supported Dentures Process, Benefits & Care
Tooth Implant Impression Accuracy of implant restorations begins with accurate impressions that capture the implant’s orientation to adjacent implants and natural teeth, as well as the implant connector’s rotational orientation. The object of making an impression in implant dentistry is to accurately relate the position of the most coronal portion of the implant (implant. Simultaneous tooth‐implant impression techniques decrease the possible errors that may occur during adaptation of final restoration of the prepared. Accuracy of implant restorations begins with accurate impressions that capture the implant’s orientation to adjacent implants and natural teeth, as well as the implant connector’s rotational orientation. Learn how to take accurate implant impressions using open or closed trays, impression materials, screwdrivers, and copings. Find out how to choose the right impression material, abutment, and tray for accurate and reliable implant restorations. Impression copings for implant prosthetics generally come in two distinctly different types: Closed tray or open tray.
From www.youtube.com
2. Impression procedure Single Piece Dental Implants GenXT YouTube Tooth Implant Impression The object of making an impression in implant dentistry is to accurately relate the position of the most coronal portion of the implant (implant. Accuracy of implant restorations begins with accurate impressions that capture the implant’s orientation to adjacent implants and natural teeth, as well as the implant connector’s rotational orientation. Impression copings for implant prosthetics generally come in two. Tooth Implant Impression.
From prestige-dental-care.com.my
Dental Implant A case of an Implant at the lower front jaw prestige Tooth Implant Impression Accuracy of implant restorations begins with accurate impressions that capture the implant’s orientation to adjacent implants and natural teeth, as well as the implant connector’s rotational orientation. Find out how to choose the right impression material, abutment, and tray for accurate and reliable implant restorations. Impression copings for implant prosthetics generally come in two distinctly different types: Learn how to. Tooth Implant Impression.
From fairfielddentalarts.com
What To Expect During Your First Dental Implant Procedure Tooth Implant Impression Find out how to choose the right impression material, abutment, and tray for accurate and reliable implant restorations. The object of making an impression in implant dentistry is to accurately relate the position of the most coronal portion of the implant (implant. Learn how to take accurate implant impressions using open or closed trays, impression materials, screwdrivers, and copings. Impression. Tooth Implant Impression.
From www.bodyexpert.online
Best dental implant brand which one came out on top? Body Expert Tooth Implant Impression Find out how to choose the right impression material, abutment, and tray for accurate and reliable implant restorations. Accuracy of implant restorations begins with accurate impressions that capture the implant’s orientation to adjacent implants and natural teeth, as well as the implant connector’s rotational orientation. The object of making an impression in implant dentistry is to accurately relate the position. Tooth Implant Impression.
From dreamdentalimplants.com
What is an Overdenture? Dream Dental Implant Center Tooth Implant Impression Impression copings for implant prosthetics generally come in two distinctly different types: Simultaneous tooth‐implant impression techniques decrease the possible errors that may occur during adaptation of final restoration of the prepared. Find out how to choose the right impression material, abutment, and tray for accurate and reliable implant restorations. Learn how to take accurate implant impressions using open or closed. Tooth Implant Impression.
From infinitydentalclinic.co.uk
Dental Implant Retained Denture Leeds Securing your teeth Tooth Implant Impression Simultaneous tooth‐implant impression techniques decrease the possible errors that may occur during adaptation of final restoration of the prepared. Learn how to take accurate implant impressions using open or closed trays, impression materials, screwdrivers, and copings. Impression copings for implant prosthetics generally come in two distinctly different types: Find out how to choose the right impression material, abutment, and tray. Tooth Implant Impression.
From www.infodentis.com
How Does Your Doctor Take the Dental Impression? Tooth Implant Impression Learn how to take accurate implant impressions using open or closed trays, impression materials, screwdrivers, and copings. The object of making an impression in implant dentistry is to accurately relate the position of the most coronal portion of the implant (implant. Accuracy of implant restorations begins with accurate impressions that capture the implant’s orientation to adjacent implants and natural teeth,. Tooth Implant Impression.
From prestige-dental-care.com.my
Dental Implant A case of an implant placement over missing canine Tooth Implant Impression Simultaneous tooth‐implant impression techniques decrease the possible errors that may occur during adaptation of final restoration of the prepared. Find out how to choose the right impression material, abutment, and tray for accurate and reliable implant restorations. The object of making an impression in implant dentistry is to accurately relate the position of the most coronal portion of the implant. Tooth Implant Impression.
From www.fabeydentalstudios.com
Easton Dental Implants Replace Missing Teeth Restorations Tooth Implant Impression Accuracy of implant restorations begins with accurate impressions that capture the implant’s orientation to adjacent implants and natural teeth, as well as the implant connector’s rotational orientation. Simultaneous tooth‐implant impression techniques decrease the possible errors that may occur during adaptation of final restoration of the prepared. The object of making an impression in implant dentistry is to accurately relate the. Tooth Implant Impression.
From www.youtube.com
Dental Implant for Upper Incisor and Canine. YouTube Tooth Implant Impression Learn how to take accurate implant impressions using open or closed trays, impression materials, screwdrivers, and copings. Simultaneous tooth‐implant impression techniques decrease the possible errors that may occur during adaptation of final restoration of the prepared. Find out how to choose the right impression material, abutment, and tray for accurate and reliable implant restorations. Closed tray or open tray. Accuracy. Tooth Implant Impression.
From www.bauersmiles.com
Dental implant temporary needed on front tooth? Choices? Tooth Implant Impression Find out how to choose the right impression material, abutment, and tray for accurate and reliable implant restorations. The object of making an impression in implant dentistry is to accurately relate the position of the most coronal portion of the implant (implant. Simultaneous tooth‐implant impression techniques decrease the possible errors that may occur during adaptation of final restoration of the. Tooth Implant Impression.
From www.youtube.com
Straumann Implantborne singletooth treatment YouTube Tooth Implant Impression The object of making an impression in implant dentistry is to accurately relate the position of the most coronal portion of the implant (implant. Accuracy of implant restorations begins with accurate impressions that capture the implant’s orientation to adjacent implants and natural teeth, as well as the implant connector’s rotational orientation. Find out how to choose the right impression material,. Tooth Implant Impression.
From www.aegisdentalnetwork.com
The Current State of Digital Impression Systems in Dentistry August Tooth Implant Impression Closed tray or open tray. Simultaneous tooth‐implant impression techniques decrease the possible errors that may occur during adaptation of final restoration of the prepared. Accuracy of implant restorations begins with accurate impressions that capture the implant’s orientation to adjacent implants and natural teeth, as well as the implant connector’s rotational orientation. Learn how to take accurate implant impressions using open. Tooth Implant Impression.
From smileartsny.com
Dental Implants Before And After Photos NYC Dentist Tooth Implant Impression Impression copings for implant prosthetics generally come in two distinctly different types: Closed tray or open tray. The object of making an impression in implant dentistry is to accurately relate the position of the most coronal portion of the implant (implant. Learn how to take accurate implant impressions using open or closed trays, impression materials, screwdrivers, and copings. Simultaneous tooth‐implant. Tooth Implant Impression.
From burbankdentalimplants.com
Lower Front Tooth Implants Tooth Implant Impression Learn how to take accurate implant impressions using open or closed trays, impression materials, screwdrivers, and copings. Find out how to choose the right impression material, abutment, and tray for accurate and reliable implant restorations. Closed tray or open tray. Impression copings for implant prosthetics generally come in two distinctly different types: Accuracy of implant restorations begins with accurate impressions. Tooth Implant Impression.
From www.brightsmiledesign.com
Dental Implants Teeth In A Day Bright Smile Design Dental Tooth Implant Impression Learn how to take accurate implant impressions using open or closed trays, impression materials, screwdrivers, and copings. Simultaneous tooth‐implant impression techniques decrease the possible errors that may occur during adaptation of final restoration of the prepared. Accuracy of implant restorations begins with accurate impressions that capture the implant’s orientation to adjacent implants and natural teeth, as well as the implant. Tooth Implant Impression.
From avedentturkey.com
Dental Implants Turkey Istanbul tooth implant Turkey dental clinic Tooth Implant Impression Accuracy of implant restorations begins with accurate impressions that capture the implant’s orientation to adjacent implants and natural teeth, as well as the implant connector’s rotational orientation. The object of making an impression in implant dentistry is to accurately relate the position of the most coronal portion of the implant (implant. Simultaneous tooth‐implant impression techniques decrease the possible errors that. Tooth Implant Impression.
From my.clevelandclinic.org
Implant Supported Dentures Process, Benefits & Care Tooth Implant Impression Learn how to take accurate implant impressions using open or closed trays, impression materials, screwdrivers, and copings. Closed tray or open tray. Find out how to choose the right impression material, abutment, and tray for accurate and reliable implant restorations. Impression copings for implant prosthetics generally come in two distinctly different types: Simultaneous tooth‐implant impression techniques decrease the possible errors. Tooth Implant Impression.
From www.adcteam.com
Dental Implants Valdosta, GA Implant Dentistry Advanced Dental Care Tooth Implant Impression Closed tray or open tray. Accuracy of implant restorations begins with accurate impressions that capture the implant’s orientation to adjacent implants and natural teeth, as well as the implant connector’s rotational orientation. Learn how to take accurate implant impressions using open or closed trays, impression materials, screwdrivers, and copings. Simultaneous tooth‐implant impression techniques decrease the possible errors that may occur. Tooth Implant Impression.
From dentistry.co.uk
Implant insights the implant impression Dentistry Tooth Implant Impression Learn how to take accurate implant impressions using open or closed trays, impression materials, screwdrivers, and copings. Simultaneous tooth‐implant impression techniques decrease the possible errors that may occur during adaptation of final restoration of the prepared. Find out how to choose the right impression material, abutment, and tray for accurate and reliable implant restorations. The object of making an impression. Tooth Implant Impression.
From www.smiledentalcenterct.com
Dental Implant Supported Bridges CT Smile Dental Center Tooth Implant Impression The object of making an impression in implant dentistry is to accurately relate the position of the most coronal portion of the implant (implant. Closed tray or open tray. Impression copings for implant prosthetics generally come in two distinctly different types: Simultaneous tooth‐implant impression techniques decrease the possible errors that may occur during adaptation of final restoration of the prepared.. Tooth Implant Impression.
From www.firstimpressiondentalfresno.com
Dental Implants There's Never Been a Better Option for Replacing Tooth Implant Impression Learn how to take accurate implant impressions using open or closed trays, impression materials, screwdrivers, and copings. Accuracy of implant restorations begins with accurate impressions that capture the implant’s orientation to adjacent implants and natural teeth, as well as the implant connector’s rotational orientation. Impression copings for implant prosthetics generally come in two distinctly different types: Simultaneous tooth‐implant impression techniques. Tooth Implant Impression.
From www.advanceddentaltmj.com
Full Mouth Digital Dental Surgery Memphis Hernando Tooth Implant Impression Closed tray or open tray. The object of making an impression in implant dentistry is to accurately relate the position of the most coronal portion of the implant (implant. Find out how to choose the right impression material, abutment, and tray for accurate and reliable implant restorations. Accuracy of implant restorations begins with accurate impressions that capture the implant’s orientation. Tooth Implant Impression.
From www.burbankdentalimplants.com
Converting Bad Dental Implant Overdentures To Fixed Full Arch Bridges Tooth Implant Impression Impression copings for implant prosthetics generally come in two distinctly different types: Learn how to take accurate implant impressions using open or closed trays, impression materials, screwdrivers, and copings. Find out how to choose the right impression material, abutment, and tray for accurate and reliable implant restorations. Accuracy of implant restorations begins with accurate impressions that capture the implant’s orientation. Tooth Implant Impression.
From www.gilbertarizonadental.com
Dental Implants Can Help Restore Your Smile and Bite Function Tooth Implant Impression Learn how to take accurate implant impressions using open or closed trays, impression materials, screwdrivers, and copings. The object of making an impression in implant dentistry is to accurately relate the position of the most coronal portion of the implant (implant. Closed tray or open tray. Simultaneous tooth‐implant impression techniques decrease the possible errors that may occur during adaptation of. Tooth Implant Impression.
From sfdental.en.made-in-china.com
Screw Retained Dental Implant Crown and Bridge for Dental Lab Tooth Implant Impression Simultaneous tooth‐implant impression techniques decrease the possible errors that may occur during adaptation of final restoration of the prepared. Impression copings for implant prosthetics generally come in two distinctly different types: Accuracy of implant restorations begins with accurate impressions that capture the implant’s orientation to adjacent implants and natural teeth, as well as the implant connector’s rotational orientation. The object. Tooth Implant Impression.
From www.mdpi.com
Dentistry Journal Free FullText A Simplified Technique for Implant Tooth Implant Impression Simultaneous tooth‐implant impression techniques decrease the possible errors that may occur during adaptation of final restoration of the prepared. Find out how to choose the right impression material, abutment, and tray for accurate and reliable implant restorations. Impression copings for implant prosthetics generally come in two distinctly different types: Closed tray or open tray. Accuracy of implant restorations begins with. Tooth Implant Impression.
From www.vitalitytechllc.com
How to Take Precise Impressions for Comfortable Dentures Tooth Implant Impression The object of making an impression in implant dentistry is to accurately relate the position of the most coronal portion of the implant (implant. Impression copings for implant prosthetics generally come in two distinctly different types: Find out how to choose the right impression material, abutment, and tray for accurate and reliable implant restorations. Accuracy of implant restorations begins with. Tooth Implant Impression.
From animalia-life.club
Tooth Implant Before After Tooth Implant Impression Impression copings for implant prosthetics generally come in two distinctly different types: Closed tray or open tray. Find out how to choose the right impression material, abutment, and tray for accurate and reliable implant restorations. Learn how to take accurate implant impressions using open or closed trays, impression materials, screwdrivers, and copings. Accuracy of implant restorations begins with accurate impressions. Tooth Implant Impression.
From burbankdentalimplants.com
All On Dental Implants With Prettau Solid Zirconia Dental Implant Tooth Implant Impression The object of making an impression in implant dentistry is to accurately relate the position of the most coronal portion of the implant (implant. Learn how to take accurate implant impressions using open or closed trays, impression materials, screwdrivers, and copings. Accuracy of implant restorations begins with accurate impressions that capture the implant’s orientation to adjacent implants and natural teeth,. Tooth Implant Impression.
From www.dentaleconomics.com
Obtaining accurate fullarch impressions using multiunit impression Tooth Implant Impression Simultaneous tooth‐implant impression techniques decrease the possible errors that may occur during adaptation of final restoration of the prepared. Impression copings for implant prosthetics generally come in two distinctly different types: Find out how to choose the right impression material, abutment, and tray for accurate and reliable implant restorations. Closed tray or open tray. Accuracy of implant restorations begins with. Tooth Implant Impression.
From www.creekviewdental.com
What Are Dental Implants Made Of? Creekview Dental Tooth Implant Impression Closed tray or open tray. Simultaneous tooth‐implant impression techniques decrease the possible errors that may occur during adaptation of final restoration of the prepared. Impression copings for implant prosthetics generally come in two distinctly different types: Accuracy of implant restorations begins with accurate impressions that capture the implant’s orientation to adjacent implants and natural teeth, as well as the implant. Tooth Implant Impression.
From burbankdentalimplants.com
Lower Front Tooth Implants Tooth Implant Impression Find out how to choose the right impression material, abutment, and tray for accurate and reliable implant restorations. Impression copings for implant prosthetics generally come in two distinctly different types: Simultaneous tooth‐implant impression techniques decrease the possible errors that may occur during adaptation of final restoration of the prepared. Learn how to take accurate implant impressions using open or closed. Tooth Implant Impression.
From www.golddustdental.com
Dr. Lee Ann Brady On Fabricating A Custom Implant Impression Coping Tooth Implant Impression The object of making an impression in implant dentistry is to accurately relate the position of the most coronal portion of the implant (implant. Impression copings for implant prosthetics generally come in two distinctly different types: Closed tray or open tray. Find out how to choose the right impression material, abutment, and tray for accurate and reliable implant restorations. Simultaneous. Tooth Implant Impression.
From nvwelldental.com
The Dental Implant Process Smile Well Dental Tooth Implant Impression Find out how to choose the right impression material, abutment, and tray for accurate and reliable implant restorations. Learn how to take accurate implant impressions using open or closed trays, impression materials, screwdrivers, and copings. Simultaneous tooth‐implant impression techniques decrease the possible errors that may occur during adaptation of final restoration of the prepared. The object of making an impression. Tooth Implant Impression.