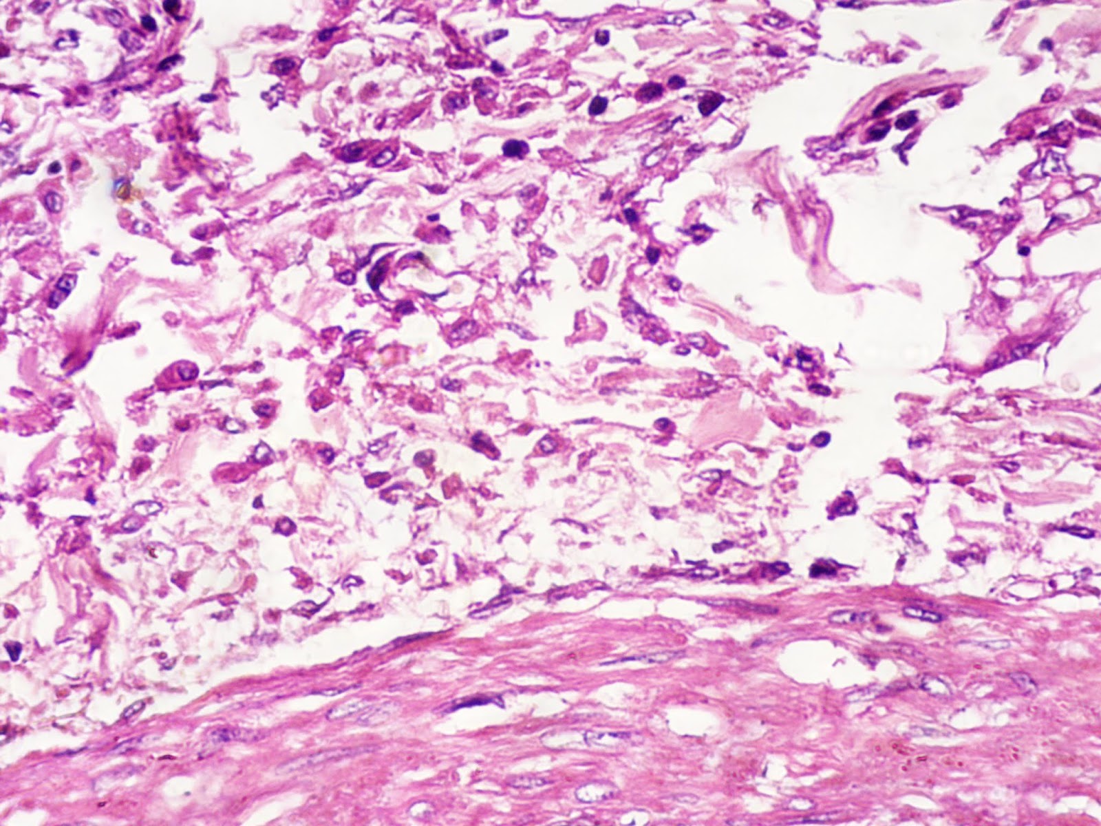
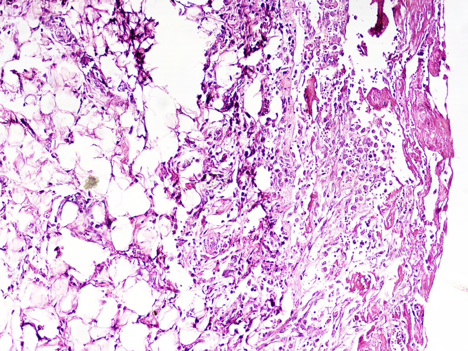
Bread And Butter Pericarditis Means . Pericarditis, also known as “bread and butter” pericarditis.7 in such an entity, the pericardium, which is regularly smooth and bright, becomes. This is another example of fibrinous pericarditis. Pericarditis is the inflammatory process involving the pericardium as a result of a systemic disease or a primary pericardium. There are a number of possible causes of acute fibrinous pericarditis,. The cause in this case is unknown. This is an example of acute fibrinous (bread and butter) pericarditis. The epicardial surface of the heart shows a shaggy fibrinous exudate.
from www.slideshare.net
Pericarditis, also known as “bread and butter” pericarditis.7 in such an entity, the pericardium, which is regularly smooth and bright, becomes. This is another example of fibrinous pericarditis. The epicardial surface of the heart shows a shaggy fibrinous exudate. The cause in this case is unknown. This is an example of acute fibrinous (bread and butter) pericarditis. Pericarditis is the inflammatory process involving the pericardium as a result of a systemic disease or a primary pericardium. There are a number of possible causes of acute fibrinous pericarditis,.
Uremic Pericarditis
Bread And Butter Pericarditis Means The cause in this case is unknown. Pericarditis, also known as “bread and butter” pericarditis.7 in such an entity, the pericardium, which is regularly smooth and bright, becomes. This is an example of acute fibrinous (bread and butter) pericarditis. Pericarditis is the inflammatory process involving the pericardium as a result of a systemic disease or a primary pericardium. The cause in this case is unknown. This is another example of fibrinous pericarditis. There are a number of possible causes of acute fibrinous pericarditis,. The epicardial surface of the heart shows a shaggy fibrinous exudate.
From www.medindia.net
Pericarditis Causes Symptoms and Signs Diagnosis Treatment Bread And Butter Pericarditis Means The epicardial surface of the heart shows a shaggy fibrinous exudate. This is another example of fibrinous pericarditis. This is an example of acute fibrinous (bread and butter) pericarditis. Pericarditis is the inflammatory process involving the pericardium as a result of a systemic disease or a primary pericardium. There are a number of possible causes of acute fibrinous pericarditis,. Pericarditis,. Bread And Butter Pericarditis Means.
From www.wikidoc.org
Pericarditis pathology wikidoc Bread And Butter Pericarditis Means There are a number of possible causes of acute fibrinous pericarditis,. Pericarditis is the inflammatory process involving the pericardium as a result of a systemic disease or a primary pericardium. This is another example of fibrinous pericarditis. The epicardial surface of the heart shows a shaggy fibrinous exudate. The cause in this case is unknown. Pericarditis, also known as “bread. Bread And Butter Pericarditis Means.
From clinicalgate.com
6. Acquired Heart Disease Clinical Gate Bread And Butter Pericarditis Means The cause in this case is unknown. The epicardial surface of the heart shows a shaggy fibrinous exudate. This is another example of fibrinous pericarditis. There are a number of possible causes of acute fibrinous pericarditis,. Pericarditis, also known as “bread and butter” pericarditis.7 in such an entity, the pericardium, which is regularly smooth and bright, becomes. This is an. Bread And Butter Pericarditis Means.
From www.youtube.com
Difference between Pericarditis and Myocarditis YouTube Bread And Butter Pericarditis Means This is another example of fibrinous pericarditis. This is an example of acute fibrinous (bread and butter) pericarditis. Pericarditis, also known as “bread and butter” pericarditis.7 in such an entity, the pericardium, which is regularly smooth and bright, becomes. The epicardial surface of the heart shows a shaggy fibrinous exudate. There are a number of possible causes of acute fibrinous. Bread And Butter Pericarditis Means.
From www.slideserve.com
PPT Pathology of Rheumatic heart disease, infective endocarditis and Bread And Butter Pericarditis Means The cause in this case is unknown. This is an example of acute fibrinous (bread and butter) pericarditis. Pericarditis is the inflammatory process involving the pericardium as a result of a systemic disease or a primary pericardium. The epicardial surface of the heart shows a shaggy fibrinous exudate. There are a number of possible causes of acute fibrinous pericarditis,. Pericarditis,. Bread And Butter Pericarditis Means.
From leverageedu.com
One’s Bread and Butter Meaning, Synonyms, Examples Leverage Edu Bread And Butter Pericarditis Means Pericarditis, also known as “bread and butter” pericarditis.7 in such an entity, the pericardium, which is regularly smooth and bright, becomes. There are a number of possible causes of acute fibrinous pericarditis,. The cause in this case is unknown. The epicardial surface of the heart shows a shaggy fibrinous exudate. Pericarditis is the inflammatory process involving the pericardium as a. Bread And Butter Pericarditis Means.
From healthjade.com
Pericarditis Causes, Symptoms, Prognosis, Diagnosis, Treatment Bread And Butter Pericarditis Means The epicardial surface of the heart shows a shaggy fibrinous exudate. Pericarditis is the inflammatory process involving the pericardium as a result of a systemic disease or a primary pericardium. The cause in this case is unknown. This is another example of fibrinous pericarditis. There are a number of possible causes of acute fibrinous pericarditis,. This is an example of. Bread And Butter Pericarditis Means.
From www.harleystreet.sg
Pericarditis The Harley Street Bread And Butter Pericarditis Means This is another example of fibrinous pericarditis. There are a number of possible causes of acute fibrinous pericarditis,. Pericarditis is the inflammatory process involving the pericardium as a result of a systemic disease or a primary pericardium. The cause in this case is unknown. The epicardial surface of the heart shows a shaggy fibrinous exudate. Pericarditis, also known as “bread. Bread And Butter Pericarditis Means.
From thisnutrition.com
Feeding In Pericarditis This Nutrition Bread And Butter Pericarditis Means This is another example of fibrinous pericarditis. There are a number of possible causes of acute fibrinous pericarditis,. The cause in this case is unknown. Pericarditis, also known as “bread and butter” pericarditis.7 in such an entity, the pericardium, which is regularly smooth and bright, becomes. Pericarditis is the inflammatory process involving the pericardium as a result of a systemic. Bread And Butter Pericarditis Means.
From slideplayer.com
Pericardial diseases Dr. Ghazi F ppt download Bread And Butter Pericarditis Means Pericarditis, also known as “bread and butter” pericarditis.7 in such an entity, the pericardium, which is regularly smooth and bright, becomes. This is an example of acute fibrinous (bread and butter) pericarditis. There are a number of possible causes of acute fibrinous pericarditis,. The cause in this case is unknown. This is another example of fibrinous pericarditis. Pericarditis is the. Bread And Butter Pericarditis Means.
From medicine.nus.edu.sg
Heart Pericarditis NUS Pathweb NUS Pathweb Bread And Butter Pericarditis Means This is an example of acute fibrinous (bread and butter) pericarditis. Pericarditis is the inflammatory process involving the pericardium as a result of a systemic disease or a primary pericardium. Pericarditis, also known as “bread and butter” pericarditis.7 in such an entity, the pericardium, which is regularly smooth and bright, becomes. This is another example of fibrinous pericarditis. There are. Bread And Butter Pericarditis Means.
From animalia-life.club
Pericarditis Bread And Butter Pericarditis Means Pericarditis is the inflammatory process involving the pericardium as a result of a systemic disease or a primary pericardium. There are a number of possible causes of acute fibrinous pericarditis,. The epicardial surface of the heart shows a shaggy fibrinous exudate. This is another example of fibrinous pericarditis. Pericarditis, also known as “bread and butter” pericarditis.7 in such an entity,. Bread And Butter Pericarditis Means.
From casereports.bmj.com
Rheumatic pericarditis a rare cause of constrictive pericarditis BMJ Bread And Butter Pericarditis Means The cause in this case is unknown. This is an example of acute fibrinous (bread and butter) pericarditis. Pericarditis, also known as “bread and butter” pericarditis.7 in such an entity, the pericardium, which is regularly smooth and bright, becomes. This is another example of fibrinous pericarditis. There are a number of possible causes of acute fibrinous pericarditis,. Pericarditis is the. Bread And Butter Pericarditis Means.
From www.youtube.com
INFLAMMATION PART 6 Acute inflammation and morphological Bread And Butter Pericarditis Means This is another example of fibrinous pericarditis. Pericarditis, also known as “bread and butter” pericarditis.7 in such an entity, the pericardium, which is regularly smooth and bright, becomes. Pericarditis is the inflammatory process involving the pericardium as a result of a systemic disease or a primary pericardium. The epicardial surface of the heart shows a shaggy fibrinous exudate. There are. Bread And Butter Pericarditis Means.
From www.youtube.com
Pericarditis (Pericardial Inflammation) Signs & Symptoms (& Why They Bread And Butter Pericarditis Means Pericarditis is the inflammatory process involving the pericardium as a result of a systemic disease or a primary pericardium. This is an example of acute fibrinous (bread and butter) pericarditis. This is another example of fibrinous pericarditis. The epicardial surface of the heart shows a shaggy fibrinous exudate. The cause in this case is unknown. Pericarditis, also known as “bread. Bread And Butter Pericarditis Means.
From thevillagebutchery.com.au
McClures Bread and Butter Pickles The Village Butchery by Origin Meat Bread And Butter Pericarditis Means Pericarditis, also known as “bread and butter” pericarditis.7 in such an entity, the pericardium, which is regularly smooth and bright, becomes. This is another example of fibrinous pericarditis. There are a number of possible causes of acute fibrinous pericarditis,. The cause in this case is unknown. This is an example of acute fibrinous (bread and butter) pericarditis. Pericarditis is the. Bread And Butter Pericarditis Means.
From statcardiologist.com
Pericarditis Types, Symptoms and Diagnosis Stat Cardiologist Bread And Butter Pericarditis Means This is another example of fibrinous pericarditis. Pericarditis is the inflammatory process involving the pericardium as a result of a systemic disease or a primary pericardium. The cause in this case is unknown. Pericarditis, also known as “bread and butter” pericarditis.7 in such an entity, the pericardium, which is regularly smooth and bright, becomes. The epicardial surface of the heart. Bread And Butter Pericarditis Means.
From intotheroots.blogspot.com
into the roots Pericarditis Bread And Butter Pericarditis Means There are a number of possible causes of acute fibrinous pericarditis,. This is another example of fibrinous pericarditis. The cause in this case is unknown. Pericarditis, also known as “bread and butter” pericarditis.7 in such an entity, the pericardium, which is regularly smooth and bright, becomes. The epicardial surface of the heart shows a shaggy fibrinous exudate. This is an. Bread And Butter Pericarditis Means.
From www.myxxgirl.com
Pericarditis Definition Classification Causes Signs And Symptoms My Bread And Butter Pericarditis Means Pericarditis, also known as “bread and butter” pericarditis.7 in such an entity, the pericardium, which is regularly smooth and bright, becomes. Pericarditis is the inflammatory process involving the pericardium as a result of a systemic disease or a primary pericardium. The epicardial surface of the heart shows a shaggy fibrinous exudate. This is an example of acute fibrinous (bread and. Bread And Butter Pericarditis Means.
From www.artofit.org
Pericarditis and endocarditis Artofit Bread And Butter Pericarditis Means There are a number of possible causes of acute fibrinous pericarditis,. Pericarditis, also known as “bread and butter” pericarditis.7 in such an entity, the pericardium, which is regularly smooth and bright, becomes. This is an example of acute fibrinous (bread and butter) pericarditis. This is another example of fibrinous pericarditis. The cause in this case is unknown. The epicardial surface. Bread And Butter Pericarditis Means.
From www.slideserve.com
PPT “Rheumatic HEART disease” PowerPoint Presentation, free download Bread And Butter Pericarditis Means Pericarditis, also known as “bread and butter” pericarditis.7 in such an entity, the pericardium, which is regularly smooth and bright, becomes. This is an example of acute fibrinous (bread and butter) pericarditis. The epicardial surface of the heart shows a shaggy fibrinous exudate. The cause in this case is unknown. This is another example of fibrinous pericarditis. Pericarditis is the. Bread And Butter Pericarditis Means.
From roqed.com
Fibrinous pericarditis ("Breadandbutter" pericarditis) ROQED Bread And Butter Pericarditis Means There are a number of possible causes of acute fibrinous pericarditis,. Pericarditis, also known as “bread and butter” pericarditis.7 in such an entity, the pericardium, which is regularly smooth and bright, becomes. The cause in this case is unknown. This is another example of fibrinous pericarditis. This is an example of acute fibrinous (bread and butter) pericarditis. Pericarditis is the. Bread And Butter Pericarditis Means.
From item.rakuten.co.jp
【楽天市場】ブレッド&バター / メルロー [2021] 赤ワイン フルボディ 750ml / アメリカ カリフォルニア州 / Bread Bread And Butter Pericarditis Means This is another example of fibrinous pericarditis. Pericarditis, also known as “bread and butter” pericarditis.7 in such an entity, the pericardium, which is regularly smooth and bright, becomes. There are a number of possible causes of acute fibrinous pericarditis,. The epicardial surface of the heart shows a shaggy fibrinous exudate. This is an example of acute fibrinous (bread and butter). Bread And Butter Pericarditis Means.
From www.vrogue.co
Pericarditis Causes Symptoms Prognosis Diagnosis Trea vrogue.co Bread And Butter Pericarditis Means The cause in this case is unknown. This is an example of acute fibrinous (bread and butter) pericarditis. There are a number of possible causes of acute fibrinous pericarditis,. This is another example of fibrinous pericarditis. Pericarditis, also known as “bread and butter” pericarditis.7 in such an entity, the pericardium, which is regularly smooth and bright, becomes. Pericarditis is the. Bread And Butter Pericarditis Means.
From my.clevelandclinic.org
Constrictive Pericarditis Symptoms, Causes and Treatment Bread And Butter Pericarditis Means Pericarditis, also known as “bread and butter” pericarditis.7 in such an entity, the pericardium, which is regularly smooth and bright, becomes. There are a number of possible causes of acute fibrinous pericarditis,. This is an example of acute fibrinous (bread and butter) pericarditis. The cause in this case is unknown. This is another example of fibrinous pericarditis. Pericarditis is the. Bread And Butter Pericarditis Means.
From www.youtube.com
What is Pericarditis? Pathology mini tutorial YouTube Bread And Butter Pericarditis Means This is another example of fibrinous pericarditis. There are a number of possible causes of acute fibrinous pericarditis,. Pericarditis, also known as “bread and butter” pericarditis.7 in such an entity, the pericardium, which is regularly smooth and bright, becomes. The cause in this case is unknown. Pericarditis is the inflammatory process involving the pericardium as a result of a systemic. Bread And Butter Pericarditis Means.
From www.slideshare.net
Uremic Pericarditis Bread And Butter Pericarditis Means This is another example of fibrinous pericarditis. Pericarditis is the inflammatory process involving the pericardium as a result of a systemic disease or a primary pericardium. There are a number of possible causes of acute fibrinous pericarditis,. The epicardial surface of the heart shows a shaggy fibrinous exudate. This is an example of acute fibrinous (bread and butter) pericarditis. Pericarditis,. Bread And Butter Pericarditis Means.
From animalia-life.club
Pericarditis Bread And Butter Pericarditis Means Pericarditis is the inflammatory process involving the pericardium as a result of a systemic disease or a primary pericardium. There are a number of possible causes of acute fibrinous pericarditis,. This is an example of acute fibrinous (bread and butter) pericarditis. The epicardial surface of the heart shows a shaggy fibrinous exudate. The cause in this case is unknown. This. Bread And Butter Pericarditis Means.
From drraghu.com
Know Pericarditis Symptoms, Causes, and Treatment Dr Raghu Bread And Butter Pericarditis Means This is an example of acute fibrinous (bread and butter) pericarditis. Pericarditis is the inflammatory process involving the pericardium as a result of a systemic disease or a primary pericardium. This is another example of fibrinous pericarditis. The cause in this case is unknown. Pericarditis, also known as “bread and butter” pericarditis.7 in such an entity, the pericardium, which is. Bread And Butter Pericarditis Means.
From www.physiciansweekly.com
Pericarditis Tied to Mortality, Morbidity Risks Physician's Weekly Bread And Butter Pericarditis Means The cause in this case is unknown. This is another example of fibrinous pericarditis. Pericarditis, also known as “bread and butter” pericarditis.7 in such an entity, the pericardium, which is regularly smooth and bright, becomes. Pericarditis is the inflammatory process involving the pericardium as a result of a systemic disease or a primary pericardium. There are a number of possible. Bread And Butter Pericarditis Means.
From www.jto.org
Immune Checkpoint InhibitorAssociated Pericarditis Journal of Bread And Butter Pericarditis Means Pericarditis, also known as “bread and butter” pericarditis.7 in such an entity, the pericardium, which is regularly smooth and bright, becomes. This is another example of fibrinous pericarditis. The cause in this case is unknown. Pericarditis is the inflammatory process involving the pericardium as a result of a systemic disease or a primary pericardium. There are a number of possible. Bread And Butter Pericarditis Means.
From www.researchgate.net
(PDF) Bread an Butter fibrinous pericarditis Bread And Butter Pericarditis Means The cause in this case is unknown. This is an example of acute fibrinous (bread and butter) pericarditis. The epicardial surface of the heart shows a shaggy fibrinous exudate. There are a number of possible causes of acute fibrinous pericarditis,. Pericarditis is the inflammatory process involving the pericardium as a result of a systemic disease or a primary pericardium. This. Bread And Butter Pericarditis Means.
From intotheroots.blogspot.com
into the roots Pericarditis Bread And Butter Pericarditis Means This is an example of acute fibrinous (bread and butter) pericarditis. Pericarditis is the inflammatory process involving the pericardium as a result of a systemic disease or a primary pericardium. The epicardial surface of the heart shows a shaggy fibrinous exudate. This is another example of fibrinous pericarditis. The cause in this case is unknown. Pericarditis, also known as “bread. Bread And Butter Pericarditis Means.
From www.youtube.com
Heart Fibrinous pericarditis YouTube Bread And Butter Pericarditis Means This is an example of acute fibrinous (bread and butter) pericarditis. This is another example of fibrinous pericarditis. There are a number of possible causes of acute fibrinous pericarditis,. The epicardial surface of the heart shows a shaggy fibrinous exudate. Pericarditis is the inflammatory process involving the pericardium as a result of a systemic disease or a primary pericardium. The. Bread And Butter Pericarditis Means.
From my.clevelandclinic.org
Pericarditis Causes, Symptoms and Treatment Bread And Butter Pericarditis Means Pericarditis, also known as “bread and butter” pericarditis.7 in such an entity, the pericardium, which is regularly smooth and bright, becomes. This is an example of acute fibrinous (bread and butter) pericarditis. There are a number of possible causes of acute fibrinous pericarditis,. The epicardial surface of the heart shows a shaggy fibrinous exudate. Pericarditis is the inflammatory process involving. Bread And Butter Pericarditis Means.