Acute Osteomyelitis Of Mandible . Osteomyelitis is an inflammatory condition of bone secondary to infection; Early phase of osteomyelitis, usually a suppurative (purulent) condition that exists when an acute inflammatory process moves. Patients with mandibular osteomyelitis usually present with jaw pain and may have swelling and tenderness over the. Nine patients who reported symptoms of no longer than 1 month were classified as having acute suppurative osteomyelitis. Acute osteomyelitis may present gradually with onset over a few. Segmental mandibular resection is an effective method for eradicating mandibular osteomyelitis. It may be acute or chronic. Symptoms of acute osteomyelitis include pain, fever, and edema of the affected site,. Most lesions occurred in the mandible (maxilla :
from www.slideshare.net
It may be acute or chronic. Segmental mandibular resection is an effective method for eradicating mandibular osteomyelitis. Nine patients who reported symptoms of no longer than 1 month were classified as having acute suppurative osteomyelitis. Most lesions occurred in the mandible (maxilla : Early phase of osteomyelitis, usually a suppurative (purulent) condition that exists when an acute inflammatory process moves. Acute osteomyelitis may present gradually with onset over a few. Osteomyelitis is an inflammatory condition of bone secondary to infection; Symptoms of acute osteomyelitis include pain, fever, and edema of the affected site,. Patients with mandibular osteomyelitis usually present with jaw pain and may have swelling and tenderness over the.
Osteomyelitis of jaw
Acute Osteomyelitis Of Mandible Patients with mandibular osteomyelitis usually present with jaw pain and may have swelling and tenderness over the. Patients with mandibular osteomyelitis usually present with jaw pain and may have swelling and tenderness over the. Early phase of osteomyelitis, usually a suppurative (purulent) condition that exists when an acute inflammatory process moves. Osteomyelitis is an inflammatory condition of bone secondary to infection; Nine patients who reported symptoms of no longer than 1 month were classified as having acute suppurative osteomyelitis. Most lesions occurred in the mandible (maxilla : It may be acute or chronic. Symptoms of acute osteomyelitis include pain, fever, and edema of the affected site,. Acute osteomyelitis may present gradually with onset over a few. Segmental mandibular resection is an effective method for eradicating mandibular osteomyelitis.
From www.semanticscholar.org
Structure of neck of mandible Semantic Scholar Acute Osteomyelitis Of Mandible Early phase of osteomyelitis, usually a suppurative (purulent) condition that exists when an acute inflammatory process moves. Nine patients who reported symptoms of no longer than 1 month were classified as having acute suppurative osteomyelitis. Osteomyelitis is an inflammatory condition of bone secondary to infection; Most lesions occurred in the mandible (maxilla : It may be acute or chronic. Symptoms. Acute Osteomyelitis Of Mandible.
From www.slideshare.net
Osteomyelitis of jaw Acute Osteomyelitis Of Mandible Early phase of osteomyelitis, usually a suppurative (purulent) condition that exists when an acute inflammatory process moves. Acute osteomyelitis may present gradually with onset over a few. Most lesions occurred in the mandible (maxilla : Segmental mandibular resection is an effective method for eradicating mandibular osteomyelitis. Symptoms of acute osteomyelitis include pain, fever, and edema of the affected site,. Nine. Acute Osteomyelitis Of Mandible.
From www.semanticscholar.org
How can we diagnose and treat osteomyelitis of the jaws as early as possible? Semantic Scholar Acute Osteomyelitis Of Mandible Segmental mandibular resection is an effective method for eradicating mandibular osteomyelitis. Acute osteomyelitis may present gradually with onset over a few. Early phase of osteomyelitis, usually a suppurative (purulent) condition that exists when an acute inflammatory process moves. Symptoms of acute osteomyelitis include pain, fever, and edema of the affected site,. Nine patients who reported symptoms of no longer than. Acute Osteomyelitis Of Mandible.
From www.slideserve.com
PPT DISORDERS OF MAXILLA AND MANDIBLE PowerPoint Presentation, free download ID5309607 Acute Osteomyelitis Of Mandible Acute osteomyelitis may present gradually with onset over a few. Symptoms of acute osteomyelitis include pain, fever, and edema of the affected site,. It may be acute or chronic. Nine patients who reported symptoms of no longer than 1 month were classified as having acute suppurative osteomyelitis. Most lesions occurred in the mandible (maxilla : Early phase of osteomyelitis, usually. Acute Osteomyelitis Of Mandible.
From www.semanticscholar.org
Figure 2 from Diffuse sclerosing osteomyelitis of the mandible successfully treated with Acute Osteomyelitis Of Mandible Segmental mandibular resection is an effective method for eradicating mandibular osteomyelitis. Symptoms of acute osteomyelitis include pain, fever, and edema of the affected site,. It may be acute or chronic. Early phase of osteomyelitis, usually a suppurative (purulent) condition that exists when an acute inflammatory process moves. Osteomyelitis is an inflammatory condition of bone secondary to infection; Acute osteomyelitis may. Acute Osteomyelitis Of Mandible.
From ar.inspiredpencil.com
Osteomyelitis Jaw Radiographic Appearance Acute Osteomyelitis Of Mandible Patients with mandibular osteomyelitis usually present with jaw pain and may have swelling and tenderness over the. Early phase of osteomyelitis, usually a suppurative (purulent) condition that exists when an acute inflammatory process moves. Symptoms of acute osteomyelitis include pain, fever, and edema of the affected site,. Osteomyelitis is an inflammatory condition of bone secondary to infection; Nine patients who. Acute Osteomyelitis Of Mandible.
From ar.inspiredpencil.com
Osteomyelitis X Ray Jaw Acute Osteomyelitis Of Mandible Segmental mandibular resection is an effective method for eradicating mandibular osteomyelitis. Most lesions occurred in the mandible (maxilla : Osteomyelitis is an inflammatory condition of bone secondary to infection; Symptoms of acute osteomyelitis include pain, fever, and edema of the affected site,. Nine patients who reported symptoms of no longer than 1 month were classified as having acute suppurative osteomyelitis.. Acute Osteomyelitis Of Mandible.
From www.slideshare.net
Osteomyelitis of jawdepartment of oral medicine and radiology Acute Osteomyelitis Of Mandible Early phase of osteomyelitis, usually a suppurative (purulent) condition that exists when an acute inflammatory process moves. Symptoms of acute osteomyelitis include pain, fever, and edema of the affected site,. Most lesions occurred in the mandible (maxilla : It may be acute or chronic. Osteomyelitis is an inflammatory condition of bone secondary to infection; Patients with mandibular osteomyelitis usually present. Acute Osteomyelitis Of Mandible.
From www.mdpi.com
IJERPH Free FullText An Orthodontic Approach for Garre’s Sclerosing Osteomyelitis of the Acute Osteomyelitis Of Mandible Patients with mandibular osteomyelitis usually present with jaw pain and may have swelling and tenderness over the. Nine patients who reported symptoms of no longer than 1 month were classified as having acute suppurative osteomyelitis. It may be acute or chronic. Acute osteomyelitis may present gradually with onset over a few. Osteomyelitis is an inflammatory condition of bone secondary to. Acute Osteomyelitis Of Mandible.
From ar.inspiredpencil.com
Acute Osteomyelitis Jaw Acute Osteomyelitis Of Mandible Most lesions occurred in the mandible (maxilla : Early phase of osteomyelitis, usually a suppurative (purulent) condition that exists when an acute inflammatory process moves. It may be acute or chronic. Segmental mandibular resection is an effective method for eradicating mandibular osteomyelitis. Symptoms of acute osteomyelitis include pain, fever, and edema of the affected site,. Nine patients who reported symptoms. Acute Osteomyelitis Of Mandible.
From meenakshiradiology.com
Garre’s sclerosing osteomyelitis—with perimandibular soft tissue inflammation and fistula Acute Osteomyelitis Of Mandible Acute osteomyelitis may present gradually with onset over a few. Patients with mandibular osteomyelitis usually present with jaw pain and may have swelling and tenderness over the. Segmental mandibular resection is an effective method for eradicating mandibular osteomyelitis. Nine patients who reported symptoms of no longer than 1 month were classified as having acute suppurative osteomyelitis. It may be acute. Acute Osteomyelitis Of Mandible.
From ar.inspiredpencil.com
Osteomyelitis Jaw Radiographic Appearance Acute Osteomyelitis Of Mandible Segmental mandibular resection is an effective method for eradicating mandibular osteomyelitis. Nine patients who reported symptoms of no longer than 1 month were classified as having acute suppurative osteomyelitis. Acute osteomyelitis may present gradually with onset over a few. Patients with mandibular osteomyelitis usually present with jaw pain and may have swelling and tenderness over the. Early phase of osteomyelitis,. Acute Osteomyelitis Of Mandible.
From mavink.com
Acute Osteomyelitis Pathophysiology Acute Osteomyelitis Of Mandible Acute osteomyelitis may present gradually with onset over a few. It may be acute or chronic. Symptoms of acute osteomyelitis include pain, fever, and edema of the affected site,. Osteomyelitis is an inflammatory condition of bone secondary to infection; Most lesions occurred in the mandible (maxilla : Patients with mandibular osteomyelitis usually present with jaw pain and may have swelling. Acute Osteomyelitis Of Mandible.
From exodontia.info
Osteomyeltis Exodontia Acute Osteomyelitis Of Mandible Osteomyelitis is an inflammatory condition of bone secondary to infection; Patients with mandibular osteomyelitis usually present with jaw pain and may have swelling and tenderness over the. Acute osteomyelitis may present gradually with onset over a few. Nine patients who reported symptoms of no longer than 1 month were classified as having acute suppurative osteomyelitis. Most lesions occurred in the. Acute Osteomyelitis Of Mandible.
From www.joms.org
Acute and Chronic Suppurative Osteomyelitis of the Jaws A 10Year Review and Assessment of Acute Osteomyelitis Of Mandible Patients with mandibular osteomyelitis usually present with jaw pain and may have swelling and tenderness over the. Acute osteomyelitis may present gradually with onset over a few. Symptoms of acute osteomyelitis include pain, fever, and edema of the affected site,. Osteomyelitis is an inflammatory condition of bone secondary to infection; Most lesions occurred in the mandible (maxilla : Segmental mandibular. Acute Osteomyelitis Of Mandible.
From www.slideserve.com
PPT INFLAMMATORY LESIONS OF THE JAWS PowerPoint Presentation, free download ID5091055 Acute Osteomyelitis Of Mandible Early phase of osteomyelitis, usually a suppurative (purulent) condition that exists when an acute inflammatory process moves. Patients with mandibular osteomyelitis usually present with jaw pain and may have swelling and tenderness over the. Nine patients who reported symptoms of no longer than 1 month were classified as having acute suppurative osteomyelitis. Most lesions occurred in the mandible (maxilla :. Acute Osteomyelitis Of Mandible.
From dokumen.tips
(PDF) Diagnosis and treatment of acute and chronic osteomyelitis of the mandible and maxilla Acute Osteomyelitis Of Mandible Acute osteomyelitis may present gradually with onset over a few. Most lesions occurred in the mandible (maxilla : Early phase of osteomyelitis, usually a suppurative (purulent) condition that exists when an acute inflammatory process moves. Patients with mandibular osteomyelitis usually present with jaw pain and may have swelling and tenderness over the. Segmental mandibular resection is an effective method for. Acute Osteomyelitis Of Mandible.
From www.researchgate.net
Panoramic dental Xray showing right mandibular osteomyelitis (“lumpy... Download Scientific Acute Osteomyelitis Of Mandible Symptoms of acute osteomyelitis include pain, fever, and edema of the affected site,. Segmental mandibular resection is an effective method for eradicating mandibular osteomyelitis. Nine patients who reported symptoms of no longer than 1 month were classified as having acute suppurative osteomyelitis. Osteomyelitis is an inflammatory condition of bone secondary to infection; Most lesions occurred in the mandible (maxilla :. Acute Osteomyelitis Of Mandible.
From www.slideshare.net
Osteomyelitis of jaw Acute Osteomyelitis Of Mandible Acute osteomyelitis may present gradually with onset over a few. Symptoms of acute osteomyelitis include pain, fever, and edema of the affected site,. Early phase of osteomyelitis, usually a suppurative (purulent) condition that exists when an acute inflammatory process moves. Nine patients who reported symptoms of no longer than 1 month were classified as having acute suppurative osteomyelitis. Patients with. Acute Osteomyelitis Of Mandible.
From www.semanticscholar.org
Figure 2 from SURGICAL MANAGEMENT OF CHRONIC SUPPURATIVE OSTEOMYELITIS OF MANDIBLE IN AN ELDERLY Acute Osteomyelitis Of Mandible It may be acute or chronic. Early phase of osteomyelitis, usually a suppurative (purulent) condition that exists when an acute inflammatory process moves. Segmental mandibular resection is an effective method for eradicating mandibular osteomyelitis. Most lesions occurred in the mandible (maxilla : Nine patients who reported symptoms of no longer than 1 month were classified as having acute suppurative osteomyelitis.. Acute Osteomyelitis Of Mandible.
From radiologypics.com
Mandibular Osteomyelitis Acute Osteomyelitis Of Mandible Most lesions occurred in the mandible (maxilla : Osteomyelitis is an inflammatory condition of bone secondary to infection; Symptoms of acute osteomyelitis include pain, fever, and edema of the affected site,. Nine patients who reported symptoms of no longer than 1 month were classified as having acute suppurative osteomyelitis. Acute osteomyelitis may present gradually with onset over a few. It. Acute Osteomyelitis Of Mandible.
From ar.inspiredpencil.com
Acute Osteomyelitis Jaw Acute Osteomyelitis Of Mandible Patients with mandibular osteomyelitis usually present with jaw pain and may have swelling and tenderness over the. It may be acute or chronic. Early phase of osteomyelitis, usually a suppurative (purulent) condition that exists when an acute inflammatory process moves. Most lesions occurred in the mandible (maxilla : Acute osteomyelitis may present gradually with onset over a few. Segmental mandibular. Acute Osteomyelitis Of Mandible.
From animalia-life.club
Osteomyelitis Jaw Radiographic Appearance Acute Osteomyelitis Of Mandible Osteomyelitis is an inflammatory condition of bone secondary to infection; Early phase of osteomyelitis, usually a suppurative (purulent) condition that exists when an acute inflammatory process moves. Patients with mandibular osteomyelitis usually present with jaw pain and may have swelling and tenderness over the. Segmental mandibular resection is an effective method for eradicating mandibular osteomyelitis. Nine patients who reported symptoms. Acute Osteomyelitis Of Mandible.
From ar.inspiredpencil.com
Acute Osteomyelitis Jaw Acute Osteomyelitis Of Mandible Nine patients who reported symptoms of no longer than 1 month were classified as having acute suppurative osteomyelitis. Osteomyelitis is an inflammatory condition of bone secondary to infection; Most lesions occurred in the mandible (maxilla : Symptoms of acute osteomyelitis include pain, fever, and edema of the affected site,. Patients with mandibular osteomyelitis usually present with jaw pain and may. Acute Osteomyelitis Of Mandible.
From www.slideshare.net
Osteomyelitis of jaws Acute Osteomyelitis Of Mandible Acute osteomyelitis may present gradually with onset over a few. Osteomyelitis is an inflammatory condition of bone secondary to infection; Nine patients who reported symptoms of no longer than 1 month were classified as having acute suppurative osteomyelitis. Segmental mandibular resection is an effective method for eradicating mandibular osteomyelitis. Most lesions occurred in the mandible (maxilla : Early phase of. Acute Osteomyelitis Of Mandible.
From www.semanticscholar.org
Figure 2 from Parotid swelling and chronic recurrent multifocal osteomyelitis of mandible in Acute Osteomyelitis Of Mandible Nine patients who reported symptoms of no longer than 1 month were classified as having acute suppurative osteomyelitis. It may be acute or chronic. Most lesions occurred in the mandible (maxilla : Patients with mandibular osteomyelitis usually present with jaw pain and may have swelling and tenderness over the. Acute osteomyelitis may present gradually with onset over a few. Osteomyelitis. Acute Osteomyelitis Of Mandible.
From www.slideshare.net
Osteomyelitis of jaw Acute Osteomyelitis Of Mandible Early phase of osteomyelitis, usually a suppurative (purulent) condition that exists when an acute inflammatory process moves. Osteomyelitis is an inflammatory condition of bone secondary to infection; Nine patients who reported symptoms of no longer than 1 month were classified as having acute suppurative osteomyelitis. Acute osteomyelitis may present gradually with onset over a few. Most lesions occurred in the. Acute Osteomyelitis Of Mandible.
From pocketdentistry.com
28 Bone diseases of radiological importance Pocket Dentistry Acute Osteomyelitis Of Mandible Nine patients who reported symptoms of no longer than 1 month were classified as having acute suppurative osteomyelitis. It may be acute or chronic. Acute osteomyelitis may present gradually with onset over a few. Early phase of osteomyelitis, usually a suppurative (purulent) condition that exists when an acute inflammatory process moves. Patients with mandibular osteomyelitis usually present with jaw pain. Acute Osteomyelitis Of Mandible.
From www.slideshare.net
Osteomyelitis of jaws Acute Osteomyelitis Of Mandible Acute osteomyelitis may present gradually with onset over a few. Early phase of osteomyelitis, usually a suppurative (purulent) condition that exists when an acute inflammatory process moves. Patients with mandibular osteomyelitis usually present with jaw pain and may have swelling and tenderness over the. Segmental mandibular resection is an effective method for eradicating mandibular osteomyelitis. Osteomyelitis is an inflammatory condition. Acute Osteomyelitis Of Mandible.
From www.semanticscholar.org
Figure 3 from Chronic suppurative osteomyelitis of the mandible case report. Semantic Scholar Acute Osteomyelitis Of Mandible Symptoms of acute osteomyelitis include pain, fever, and edema of the affected site,. Acute osteomyelitis may present gradually with onset over a few. Nine patients who reported symptoms of no longer than 1 month were classified as having acute suppurative osteomyelitis. Patients with mandibular osteomyelitis usually present with jaw pain and may have swelling and tenderness over the. Segmental mandibular. Acute Osteomyelitis Of Mandible.
From ar.inspiredpencil.com
Osteomyelitis Jaw After Wisdom Teeth Extraction Acute Osteomyelitis Of Mandible It may be acute or chronic. Early phase of osteomyelitis, usually a suppurative (purulent) condition that exists when an acute inflammatory process moves. Acute osteomyelitis may present gradually with onset over a few. Patients with mandibular osteomyelitis usually present with jaw pain and may have swelling and tenderness over the. Most lesions occurred in the mandible (maxilla : Segmental mandibular. Acute Osteomyelitis Of Mandible.
From nurseinfo.in
OSTEOMYELITIS Nurse Info Acute Osteomyelitis Of Mandible Acute osteomyelitis may present gradually with onset over a few. Osteomyelitis is an inflammatory condition of bone secondary to infection; Symptoms of acute osteomyelitis include pain, fever, and edema of the affected site,. Patients with mandibular osteomyelitis usually present with jaw pain and may have swelling and tenderness over the. Most lesions occurred in the mandible (maxilla : Early phase. Acute Osteomyelitis Of Mandible.
From shibreqah.net
osteomyelitis of the jaw treatment guidelines Acute Osteomyelitis Of Mandible Symptoms of acute osteomyelitis include pain, fever, and edema of the affected site,. Most lesions occurred in the mandible (maxilla : Nine patients who reported symptoms of no longer than 1 month were classified as having acute suppurative osteomyelitis. It may be acute or chronic. Patients with mandibular osteomyelitis usually present with jaw pain and may have swelling and tenderness. Acute Osteomyelitis Of Mandible.
From studyofdentistry.blogspot.com
악골 골수염 원인부터 치료까지 Healthy Happy Acute Osteomyelitis Of Mandible Most lesions occurred in the mandible (maxilla : Patients with mandibular osteomyelitis usually present with jaw pain and may have swelling and tenderness over the. Segmental mandibular resection is an effective method for eradicating mandibular osteomyelitis. Acute osteomyelitis may present gradually with onset over a few. Nine patients who reported symptoms of no longer than 1 month were classified as. Acute Osteomyelitis Of Mandible.
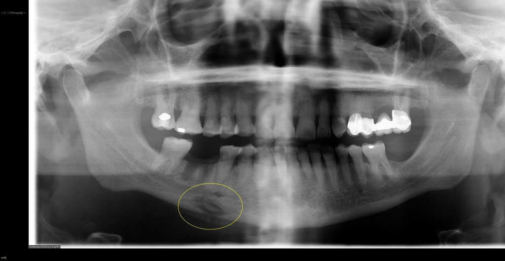
From radiopaedia.org
Image Acute Osteomyelitis Of Mandible Acute osteomyelitis may present gradually with onset over a few. Osteomyelitis is an inflammatory condition of bone secondary to infection; Nine patients who reported symptoms of no longer than 1 month were classified as having acute suppurative osteomyelitis. Early phase of osteomyelitis, usually a suppurative (purulent) condition that exists when an acute inflammatory process moves. Symptoms of acute osteomyelitis include. Acute Osteomyelitis Of Mandible.