Abscess Scrotum Icd 10 . Abrasion and/or friction burn of scrotum with infection, abscess of. The 2025 edition of icd. If the abscess is caused by cancer, chemotherapy and/or radical inguinal orchiectomy (removing an affected testicle and spermatic cord) are the best choices. N49.2 is a billable diagnosis code used to specify inflammatory disorders of scrotum. Be sure to palpate for the spermatic cord, urethra, and ipsilateral testicle. Icd 10 code for abscess of epididymis or testis. Simple hair follicle scrotal wall abscess i+d;
from www.slideshare.net
Simple hair follicle scrotal wall abscess i+d; The 2025 edition of icd. Icd 10 code for abscess of epididymis or testis. Be sure to palpate for the spermatic cord, urethra, and ipsilateral testicle. If the abscess is caused by cancer, chemotherapy and/or radical inguinal orchiectomy (removing an affected testicle and spermatic cord) are the best choices. Abrasion and/or friction burn of scrotum with infection, abscess of. N49.2 is a billable diagnosis code used to specify inflammatory disorders of scrotum.
Acute vs chronic scrotal swelling
Abscess Scrotum Icd 10 The 2025 edition of icd. Be sure to palpate for the spermatic cord, urethra, and ipsilateral testicle. The 2025 edition of icd. Simple hair follicle scrotal wall abscess i+d; If the abscess is caused by cancer, chemotherapy and/or radical inguinal orchiectomy (removing an affected testicle and spermatic cord) are the best choices. Abrasion and/or friction burn of scrotum with infection, abscess of. N49.2 is a billable diagnosis code used to specify inflammatory disorders of scrotum. Icd 10 code for abscess of epididymis or testis.
From jamanetwork.com
Painful Ulcers of the Scrotum JAMA Dermatology JAMA Network Abscess Scrotum Icd 10 Be sure to palpate for the spermatic cord, urethra, and ipsilateral testicle. N49.2 is a billable diagnosis code used to specify inflammatory disorders of scrotum. The 2025 edition of icd. Abrasion and/or friction burn of scrotum with infection, abscess of. Icd 10 code for abscess of epididymis or testis. If the abscess is caused by cancer, chemotherapy and/or radical inguinal. Abscess Scrotum Icd 10.
From teachmesurgery.com
Scrotal Lumps TeachMeSurgery Abscess Scrotum Icd 10 If the abscess is caused by cancer, chemotherapy and/or radical inguinal orchiectomy (removing an affected testicle and spermatic cord) are the best choices. The 2025 edition of icd. Simple hair follicle scrotal wall abscess i+d; Icd 10 code for abscess of epididymis or testis. Be sure to palpate for the spermatic cord, urethra, and ipsilateral testicle. Abrasion and/or friction burn. Abscess Scrotum Icd 10.
From icd-faq.com
Icd 10 Cm Code For Scrotal Irritation Abscess Scrotum Icd 10 Icd 10 code for abscess of epididymis or testis. The 2025 edition of icd. Simple hair follicle scrotal wall abscess i+d; Be sure to palpate for the spermatic cord, urethra, and ipsilateral testicle. Abrasion and/or friction burn of scrotum with infection, abscess of. N49.2 is a billable diagnosis code used to specify inflammatory disorders of scrotum. If the abscess is. Abscess Scrotum Icd 10.
From icd-faq.com
Icd 10 Code For Left Scrotal Swelling Abscess Scrotum Icd 10 Abrasion and/or friction burn of scrotum with infection, abscess of. Simple hair follicle scrotal wall abscess i+d; The 2025 edition of icd. If the abscess is caused by cancer, chemotherapy and/or radical inguinal orchiectomy (removing an affected testicle and spermatic cord) are the best choices. N49.2 is a billable diagnosis code used to specify inflammatory disorders of scrotum. Be sure. Abscess Scrotum Icd 10.
From radiopaedia.org
Scrotal wall abscess Image Abscess Scrotum Icd 10 The 2025 edition of icd. Icd 10 code for abscess of epididymis or testis. Simple hair follicle scrotal wall abscess i+d; If the abscess is caused by cancer, chemotherapy and/or radical inguinal orchiectomy (removing an affected testicle and spermatic cord) are the best choices. Be sure to palpate for the spermatic cord, urethra, and ipsilateral testicle. Abrasion and/or friction burn. Abscess Scrotum Icd 10.
From www.instituteofurology.in
Testicular Abscess Causes, Symptoms, Diagnosis, and Treatment Abscess Scrotum Icd 10 Abrasion and/or friction burn of scrotum with infection, abscess of. The 2025 edition of icd. Simple hair follicle scrotal wall abscess i+d; If the abscess is caused by cancer, chemotherapy and/or radical inguinal orchiectomy (removing an affected testicle and spermatic cord) are the best choices. Icd 10 code for abscess of epididymis or testis. N49.2 is a billable diagnosis code. Abscess Scrotum Icd 10.
From www.researchgate.net
CT and ultrasound imaging of right scrotum. Legend Right testis (white... Download Scientific Abscess Scrotum Icd 10 N49.2 is a billable diagnosis code used to specify inflammatory disorders of scrotum. Icd 10 code for abscess of epididymis or testis. Abrasion and/or friction burn of scrotum with infection, abscess of. If the abscess is caused by cancer, chemotherapy and/or radical inguinal orchiectomy (removing an affected testicle and spermatic cord) are the best choices. The 2025 edition of icd.. Abscess Scrotum Icd 10.
From icdlist.com
ICD10CM Diagnosis Code N49.2 Inflammatory disorders of scrotum Abscess Scrotum Icd 10 Icd 10 code for abscess of epididymis or testis. Simple hair follicle scrotal wall abscess i+d; Be sure to palpate for the spermatic cord, urethra, and ipsilateral testicle. Abrasion and/or friction burn of scrotum with infection, abscess of. The 2025 edition of icd. If the abscess is caused by cancer, chemotherapy and/or radical inguinal orchiectomy (removing an affected testicle and. Abscess Scrotum Icd 10.
From icd-faq.com
2015 Icd 10 Code For Cystic Lesion Scrotum Abscess Scrotum Icd 10 Be sure to palpate for the spermatic cord, urethra, and ipsilateral testicle. The 2025 edition of icd. Abrasion and/or friction burn of scrotum with infection, abscess of. Icd 10 code for abscess of epididymis or testis. Simple hair follicle scrotal wall abscess i+d; N49.2 is a billable diagnosis code used to specify inflammatory disorders of scrotum. If the abscess is. Abscess Scrotum Icd 10.
From icd-faq.com
2017 Icd 10 Code For Inflammed Scrotum Abscess Scrotum Icd 10 Simple hair follicle scrotal wall abscess i+d; Be sure to palpate for the spermatic cord, urethra, and ipsilateral testicle. Icd 10 code for abscess of epididymis or testis. The 2025 edition of icd. N49.2 is a billable diagnosis code used to specify inflammatory disorders of scrotum. Abrasion and/or friction burn of scrotum with infection, abscess of. If the abscess is. Abscess Scrotum Icd 10.
From www.researchgate.net
Ultrasound scan of the scrotum shows abscess within the left scrotum... Download Scientific Abscess Scrotum Icd 10 If the abscess is caused by cancer, chemotherapy and/or radical inguinal orchiectomy (removing an affected testicle and spermatic cord) are the best choices. Simple hair follicle scrotal wall abscess i+d; Be sure to palpate for the spermatic cord, urethra, and ipsilateral testicle. The 2025 edition of icd. Icd 10 code for abscess of epididymis or testis. Abrasion and/or friction burn. Abscess Scrotum Icd 10.
From www.cureus.com
Cureus Testicular Abscess and Ischemia Secondary to Epididymoorchitis Abscess Scrotum Icd 10 Simple hair follicle scrotal wall abscess i+d; If the abscess is caused by cancer, chemotherapy and/or radical inguinal orchiectomy (removing an affected testicle and spermatic cord) are the best choices. Icd 10 code for abscess of epididymis or testis. Abrasion and/or friction burn of scrotum with infection, abscess of. The 2025 edition of icd. Be sure to palpate for the. Abscess Scrotum Icd 10.
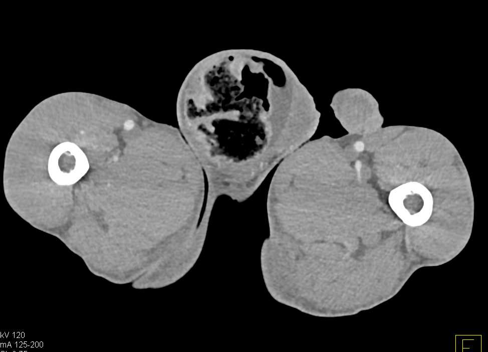
From www.ctisus.com
Scrotal Abscess with Incarcerated Hernia Genitourinary Case Studies CTisus CT Scanning Abscess Scrotum Icd 10 Be sure to palpate for the spermatic cord, urethra, and ipsilateral testicle. Simple hair follicle scrotal wall abscess i+d; N49.2 is a billable diagnosis code used to specify inflammatory disorders of scrotum. Icd 10 code for abscess of epididymis or testis. The 2025 edition of icd. If the abscess is caused by cancer, chemotherapy and/or radical inguinal orchiectomy (removing an. Abscess Scrotum Icd 10.
From icd-faq.com
Icd 10 Code For Left Scrotal Ulceration Abscess Scrotum Icd 10 Be sure to palpate for the spermatic cord, urethra, and ipsilateral testicle. Simple hair follicle scrotal wall abscess i+d; Abrasion and/or friction burn of scrotum with infection, abscess of. N49.2 is a billable diagnosis code used to specify inflammatory disorders of scrotum. Icd 10 code for abscess of epididymis or testis. The 2025 edition of icd. If the abscess is. Abscess Scrotum Icd 10.
From www.jmaj.jp
Scrotal Abscess JMA Journal Abscess Scrotum Icd 10 N49.2 is a billable diagnosis code used to specify inflammatory disorders of scrotum. Abrasion and/or friction burn of scrotum with infection, abscess of. Icd 10 code for abscess of epididymis or testis. Simple hair follicle scrotal wall abscess i+d; Be sure to palpate for the spermatic cord, urethra, and ipsilateral testicle. The 2025 edition of icd. If the abscess is. Abscess Scrotum Icd 10.
From www.semanticscholar.org
Figure 2 from Scrotal Abscess Mimicking as Infarcted Testicular Abscess in a Patient with Abscess Scrotum Icd 10 Icd 10 code for abscess of epididymis or testis. If the abscess is caused by cancer, chemotherapy and/or radical inguinal orchiectomy (removing an affected testicle and spermatic cord) are the best choices. Be sure to palpate for the spermatic cord, urethra, and ipsilateral testicle. Abrasion and/or friction burn of scrotum with infection, abscess of. Simple hair follicle scrotal wall abscess. Abscess Scrotum Icd 10.
From radiopaedia.org
Scrotal abscess Image Abscess Scrotum Icd 10 N49.2 is a billable diagnosis code used to specify inflammatory disorders of scrotum. Abrasion and/or friction burn of scrotum with infection, abscess of. If the abscess is caused by cancer, chemotherapy and/or radical inguinal orchiectomy (removing an affected testicle and spermatic cord) are the best choices. Icd 10 code for abscess of epididymis or testis. The 2025 edition of icd.. Abscess Scrotum Icd 10.
From smj.org.sa
Scrotal abscess as the first symptom of fatal necrotizing pancreatitis Saudi Medical Journal Abscess Scrotum Icd 10 N49.2 is a billable diagnosis code used to specify inflammatory disorders of scrotum. Be sure to palpate for the spermatic cord, urethra, and ipsilateral testicle. Simple hair follicle scrotal wall abscess i+d; The 2025 edition of icd. Icd 10 code for abscess of epididymis or testis. If the abscess is caused by cancer, chemotherapy and/or radical inguinal orchiectomy (removing an. Abscess Scrotum Icd 10.
From www.slideserve.com
PPT Testis PowerPoint Presentation, free download ID9303657 Abscess Scrotum Icd 10 Abrasion and/or friction burn of scrotum with infection, abscess of. N49.2 is a billable diagnosis code used to specify inflammatory disorders of scrotum. Icd 10 code for abscess of epididymis or testis. If the abscess is caused by cancer, chemotherapy and/or radical inguinal orchiectomy (removing an affected testicle and spermatic cord) are the best choices. Simple hair follicle scrotal wall. Abscess Scrotum Icd 10.
From radiopaedia.org
Scrotal wall abscess Image Abscess Scrotum Icd 10 Be sure to palpate for the spermatic cord, urethra, and ipsilateral testicle. Simple hair follicle scrotal wall abscess i+d; The 2025 edition of icd. Abrasion and/or friction burn of scrotum with infection, abscess of. Icd 10 code for abscess of epididymis or testis. N49.2 is a billable diagnosis code used to specify inflammatory disorders of scrotum. If the abscess is. Abscess Scrotum Icd 10.
From ar.inspiredpencil.com
Scrotal Abscess Abscess Scrotum Icd 10 Icd 10 code for abscess of epididymis or testis. Be sure to palpate for the spermatic cord, urethra, and ipsilateral testicle. Simple hair follicle scrotal wall abscess i+d; Abrasion and/or friction burn of scrotum with infection, abscess of. N49.2 is a billable diagnosis code used to specify inflammatory disorders of scrotum. If the abscess is caused by cancer, chemotherapy and/or. Abscess Scrotum Icd 10.
From ar.inspiredpencil.com
Scrotal Abscess Abscess Scrotum Icd 10 Simple hair follicle scrotal wall abscess i+d; N49.2 is a billable diagnosis code used to specify inflammatory disorders of scrotum. If the abscess is caused by cancer, chemotherapy and/or radical inguinal orchiectomy (removing an affected testicle and spermatic cord) are the best choices. Icd 10 code for abscess of epididymis or testis. Abrasion and/or friction burn of scrotum with infection,. Abscess Scrotum Icd 10.
From www.carepatron.com
Scrotum Abscess ICD10CM Codes 2023 Abscess Scrotum Icd 10 If the abscess is caused by cancer, chemotherapy and/or radical inguinal orchiectomy (removing an affected testicle and spermatic cord) are the best choices. N49.2 is a billable diagnosis code used to specify inflammatory disorders of scrotum. Icd 10 code for abscess of epididymis or testis. The 2025 edition of icd. Abrasion and/or friction burn of scrotum with infection, abscess of.. Abscess Scrotum Icd 10.
From www.ctisus.com
Scrotal Abscess with Incarcerated Hernia Genitourinary Case Studies CTisus CT Scanning Abscess Scrotum Icd 10 If the abscess is caused by cancer, chemotherapy and/or radical inguinal orchiectomy (removing an affected testicle and spermatic cord) are the best choices. Icd 10 code for abscess of epididymis or testis. N49.2 is a billable diagnosis code used to specify inflammatory disorders of scrotum. Simple hair follicle scrotal wall abscess i+d; Abrasion and/or friction burn of scrotum with infection,. Abscess Scrotum Icd 10.
From icd-faq.com
Icd 10 Cm Code For Scrotal Swelling Abscess Scrotum Icd 10 Be sure to palpate for the spermatic cord, urethra, and ipsilateral testicle. If the abscess is caused by cancer, chemotherapy and/or radical inguinal orchiectomy (removing an affected testicle and spermatic cord) are the best choices. Abrasion and/or friction burn of scrotum with infection, abscess of. Simple hair follicle scrotal wall abscess i+d; Icd 10 code for abscess of epididymis or. Abscess Scrotum Icd 10.
From www.slideserve.com
PPT Scrotal Ultrasound PowerPoint Presentation, free download ID5671926 Abscess Scrotum Icd 10 If the abscess is caused by cancer, chemotherapy and/or radical inguinal orchiectomy (removing an affected testicle and spermatic cord) are the best choices. Icd 10 code for abscess of epididymis or testis. Be sure to palpate for the spermatic cord, urethra, and ipsilateral testicle. N49.2 is a billable diagnosis code used to specify inflammatory disorders of scrotum. Simple hair follicle. Abscess Scrotum Icd 10.
From www.slideshare.net
Acute vs chronic scrotal swelling Abscess Scrotum Icd 10 Icd 10 code for abscess of epididymis or testis. Be sure to palpate for the spermatic cord, urethra, and ipsilateral testicle. The 2025 edition of icd. N49.2 is a billable diagnosis code used to specify inflammatory disorders of scrotum. Simple hair follicle scrotal wall abscess i+d; Abrasion and/or friction burn of scrotum with infection, abscess of. If the abscess is. Abscess Scrotum Icd 10.
From pacs.de
scrotal abscess pacs Abscess Scrotum Icd 10 Abrasion and/or friction burn of scrotum with infection, abscess of. If the abscess is caused by cancer, chemotherapy and/or radical inguinal orchiectomy (removing an affected testicle and spermatic cord) are the best choices. Be sure to palpate for the spermatic cord, urethra, and ipsilateral testicle. N49.2 is a billable diagnosis code used to specify inflammatory disorders of scrotum. The 2025. Abscess Scrotum Icd 10.
From www.pinterest.co.kr
Testicle Testicular abscess Transverse gray scale image of the left hemiscrotum shows a Abscess Scrotum Icd 10 Simple hair follicle scrotal wall abscess i+d; Icd 10 code for abscess of epididymis or testis. Abrasion and/or friction burn of scrotum with infection, abscess of. The 2025 edition of icd. If the abscess is caused by cancer, chemotherapy and/or radical inguinal orchiectomy (removing an affected testicle and spermatic cord) are the best choices. Be sure to palpate for the. Abscess Scrotum Icd 10.
From icd-faq.com
Icd 10 Cm Code For Scrotal Abscess. Abscess Scrotum Icd 10 The 2025 edition of icd. N49.2 is a billable diagnosis code used to specify inflammatory disorders of scrotum. If the abscess is caused by cancer, chemotherapy and/or radical inguinal orchiectomy (removing an affected testicle and spermatic cord) are the best choices. Simple hair follicle scrotal wall abscess i+d; Icd 10 code for abscess of epididymis or testis. Be sure to. Abscess Scrotum Icd 10.
From www.ctisus.com
Scrotal Abscess with Incarcerated Hernia Genitourinary Case Studies CTisus CT Scanning Abscess Scrotum Icd 10 The 2025 edition of icd. Icd 10 code for abscess of epididymis or testis. If the abscess is caused by cancer, chemotherapy and/or radical inguinal orchiectomy (removing an affected testicle and spermatic cord) are the best choices. N49.2 is a billable diagnosis code used to specify inflammatory disorders of scrotum. Be sure to palpate for the spermatic cord, urethra, and. Abscess Scrotum Icd 10.
From icd-faq.com
Icd 10 Cm Code For Scrotal Irritation Abscess Scrotum Icd 10 Be sure to palpate for the spermatic cord, urethra, and ipsilateral testicle. Abrasion and/or friction burn of scrotum with infection, abscess of. The 2025 edition of icd. If the abscess is caused by cancer, chemotherapy and/or radical inguinal orchiectomy (removing an affected testicle and spermatic cord) are the best choices. Icd 10 code for abscess of epididymis or testis. N49.2. Abscess Scrotum Icd 10.
From www.slideshare.net
005 Scrotal Swellings Introduction to Clinical Surgery Lectures Abscess Scrotum Icd 10 N49.2 is a billable diagnosis code used to specify inflammatory disorders of scrotum. The 2025 edition of icd. If the abscess is caused by cancer, chemotherapy and/or radical inguinal orchiectomy (removing an affected testicle and spermatic cord) are the best choices. Icd 10 code for abscess of epididymis or testis. Simple hair follicle scrotal wall abscess i+d; Abrasion and/or friction. Abscess Scrotum Icd 10.
From radiopaedia.org
Scrotal wall abscess Image Abscess Scrotum Icd 10 If the abscess is caused by cancer, chemotherapy and/or radical inguinal orchiectomy (removing an affected testicle and spermatic cord) are the best choices. Icd 10 code for abscess of epididymis or testis. Abrasion and/or friction burn of scrotum with infection, abscess of. Simple hair follicle scrotal wall abscess i+d; Be sure to palpate for the spermatic cord, urethra, and ipsilateral. Abscess Scrotum Icd 10.
From www.eurorad.org
Scrotal abscess Eurorad Abscess Scrotum Icd 10 Be sure to palpate for the spermatic cord, urethra, and ipsilateral testicle. N49.2 is a billable diagnosis code used to specify inflammatory disorders of scrotum. The 2025 edition of icd. If the abscess is caused by cancer, chemotherapy and/or radical inguinal orchiectomy (removing an affected testicle and spermatic cord) are the best choices. Simple hair follicle scrotal wall abscess i+d;. Abscess Scrotum Icd 10.