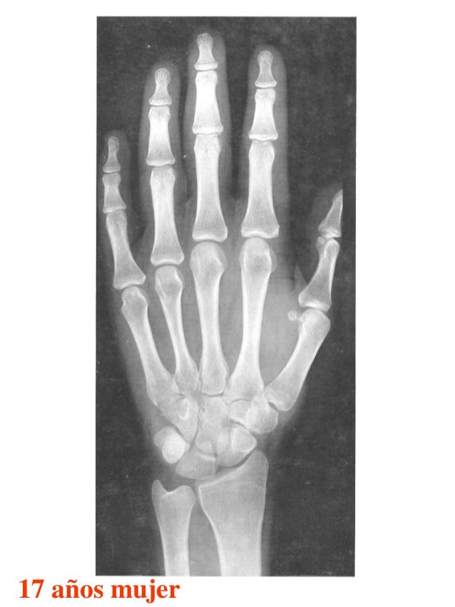
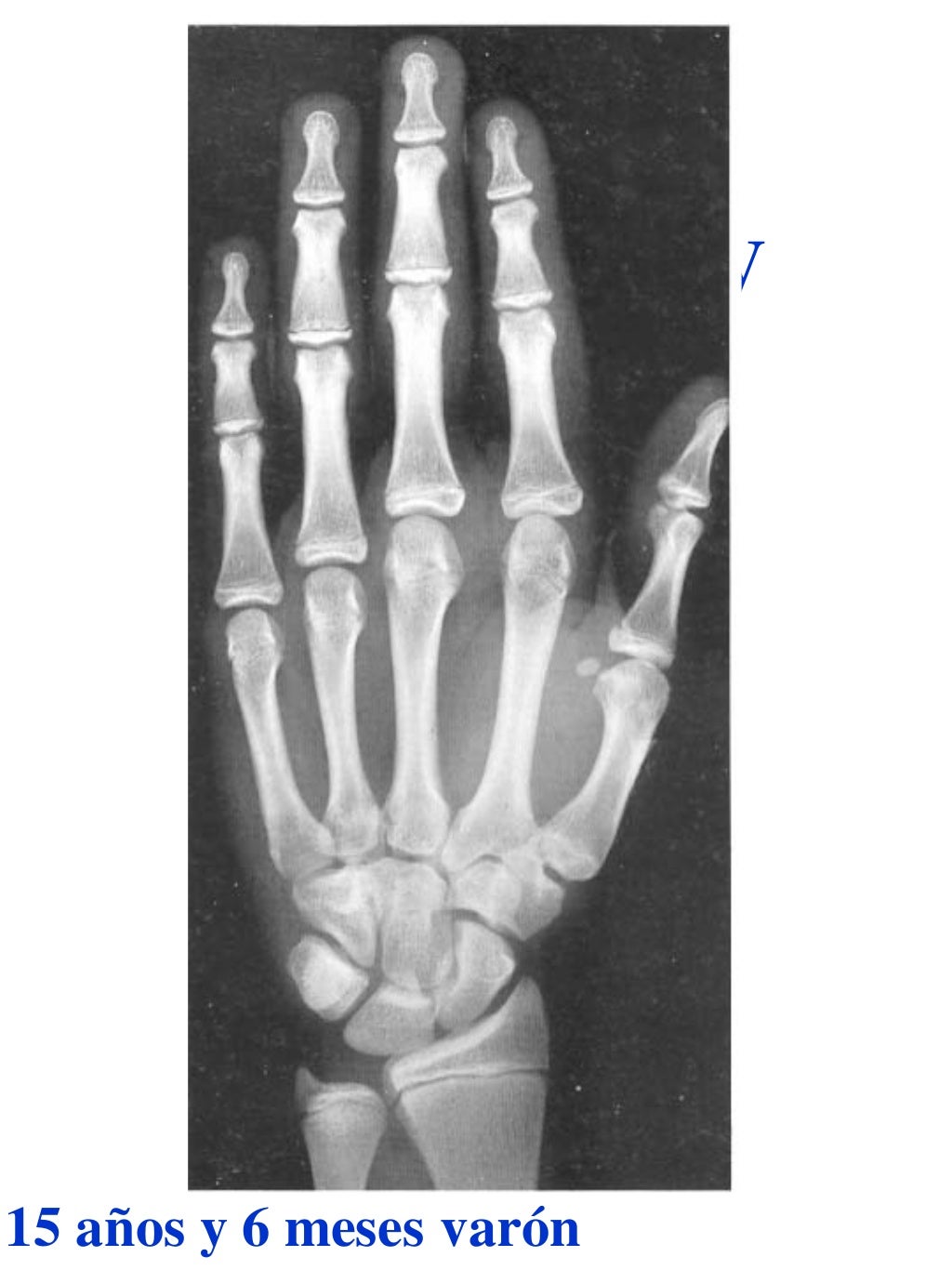
Tablas De Greulich Y Pyle . Scribd is the world's largest social reading and publishing site. This systematic review summarizes the. The radiographic atlas of skeletal development of the hand and wrist by ww greulich and si pyle is a classic radiological. The standards established by greulich and pyle, undoubtedly the most popular method, consist of two series of standard plates. The greulich and pyle method is one of the two main ways to assess the bone age of children. El documento lista las edades. Both main methods of bone age. 153 recomendaciones • 616,869 vistas. Atlas greulich y pyle | pdf | descarga gratuita. The greulich and pyle atlas is used to estimate the age of children and adolescents.
from es.slideshare.net
Both main methods of bone age. Scribd is the world's largest social reading and publishing site. This systematic review summarizes the. The radiographic atlas of skeletal development of the hand and wrist by ww greulich and si pyle is a classic radiological. Atlas greulich y pyle | pdf | descarga gratuita. The greulich and pyle atlas is used to estimate the age of children and adolescents. The greulich and pyle method is one of the two main ways to assess the bone age of children. El documento lista las edades. 153 recomendaciones • 616,869 vistas. The standards established by greulich and pyle, undoubtedly the most popular method, consist of two series of standard plates.
Atlas greulich y pyle
Tablas De Greulich Y Pyle The standards established by greulich and pyle, undoubtedly the most popular method, consist of two series of standard plates. The standards established by greulich and pyle, undoubtedly the most popular method, consist of two series of standard plates. El documento lista las edades. This systematic review summarizes the. The greulich and pyle method is one of the two main ways to assess the bone age of children. Both main methods of bone age. Scribd is the world's largest social reading and publishing site. 153 recomendaciones • 616,869 vistas. Atlas greulich y pyle | pdf | descarga gratuita. The greulich and pyle atlas is used to estimate the age of children and adolescents. The radiographic atlas of skeletal development of the hand and wrist by ww greulich and si pyle is a classic radiological.
From es.slideshare.net
Atlas greulich y pyle Tablas De Greulich Y Pyle The standards established by greulich and pyle, undoubtedly the most popular method, consist of two series of standard plates. Atlas greulich y pyle | pdf | descarga gratuita. Scribd is the world's largest social reading and publishing site. 153 recomendaciones • 616,869 vistas. The radiographic atlas of skeletal development of the hand and wrist by ww greulich and si pyle. Tablas De Greulich Y Pyle.
From es.slideshare.net
Atlas greulich y pyle Tablas De Greulich Y Pyle Both main methods of bone age. 153 recomendaciones • 616,869 vistas. The greulich and pyle method is one of the two main ways to assess the bone age of children. The standards established by greulich and pyle, undoubtedly the most popular method, consist of two series of standard plates. Scribd is the world's largest social reading and publishing site. This. Tablas De Greulich Y Pyle.
From centrosequoia.com.mx
🥇Cómo la edad ósea dicta la estatura de tu hijo Tablas De Greulich Y Pyle The standards established by greulich and pyle, undoubtedly the most popular method, consist of two series of standard plates. This systematic review summarizes the. The radiographic atlas of skeletal development of the hand and wrist by ww greulich and si pyle is a classic radiological. Scribd is the world's largest social reading and publishing site. 153 recomendaciones • 616,869 vistas.. Tablas De Greulich Y Pyle.
From es.slideshare.net
Atlas greulich y pyle Tablas De Greulich Y Pyle The greulich and pyle atlas is used to estimate the age of children and adolescents. Atlas greulich y pyle | pdf | descarga gratuita. The standards established by greulich and pyle, undoubtedly the most popular method, consist of two series of standard plates. The greulich and pyle method is one of the two main ways to assess the bone age. Tablas De Greulich Y Pyle.
From es.slideshare.net
Atlas greulich y pyle Tablas De Greulich Y Pyle Atlas greulich y pyle | pdf | descarga gratuita. The greulich and pyle atlas is used to estimate the age of children and adolescents. The standards established by greulich and pyle, undoubtedly the most popular method, consist of two series of standard plates. The greulich and pyle method is one of the two main ways to assess the bone age. Tablas De Greulich Y Pyle.
From es.slideshare.net
Atlas greulich y pyle Tablas De Greulich Y Pyle El documento lista las edades. Both main methods of bone age. The radiographic atlas of skeletal development of the hand and wrist by ww greulich and si pyle is a classic radiological. The greulich and pyle method is one of the two main ways to assess the bone age of children. Atlas greulich y pyle | pdf | descarga gratuita.. Tablas De Greulich Y Pyle.
From es.slideshare.net
Atlas greulich y pyle Tablas De Greulich Y Pyle El documento lista las edades. Scribd is the world's largest social reading and publishing site. 153 recomendaciones • 616,869 vistas. Both main methods of bone age. Atlas greulich y pyle | pdf | descarga gratuita. The greulich and pyle atlas is used to estimate the age of children and adolescents. This systematic review summarizes the. The greulich and pyle method. Tablas De Greulich Y Pyle.
From es.slideshare.net
Atlas greulich y pyle Tablas De Greulich Y Pyle El documento lista las edades. Scribd is the world's largest social reading and publishing site. The standards established by greulich and pyle, undoubtedly the most popular method, consist of two series of standard plates. The greulich and pyle method is one of the two main ways to assess the bone age of children. Atlas greulich y pyle | pdf |. Tablas De Greulich Y Pyle.
From es.slideshare.net
Atlas greulich y pyle Tablas De Greulich Y Pyle The standards established by greulich and pyle, undoubtedly the most popular method, consist of two series of standard plates. El documento lista las edades. Scribd is the world's largest social reading and publishing site. The radiographic atlas of skeletal development of the hand and wrist by ww greulich and si pyle is a classic radiological. 153 recomendaciones • 616,869 vistas.. Tablas De Greulich Y Pyle.
From www.centrosequoia.com.mx
🥇Cómo la edad ósea dicta la estatura de tu hijo Tablas De Greulich Y Pyle This systematic review summarizes the. Both main methods of bone age. El documento lista las edades. The greulich and pyle method is one of the two main ways to assess the bone age of children. The standards established by greulich and pyle, undoubtedly the most popular method, consist of two series of standard plates. Scribd is the world's largest social. Tablas De Greulich Y Pyle.
From www.semanticscholar.org
Studies in use of the GreulichPyle skeletal age method to assess Tablas De Greulich Y Pyle The radiographic atlas of skeletal development of the hand and wrist by ww greulich and si pyle is a classic radiological. This systematic review summarizes the. 153 recomendaciones • 616,869 vistas. The standards established by greulich and pyle, undoubtedly the most popular method, consist of two series of standard plates. The greulich and pyle atlas is used to estimate the. Tablas De Greulich Y Pyle.
From www.slideshare.net
Skeletal age assessment Tablas De Greulich Y Pyle Scribd is the world's largest social reading and publishing site. Atlas greulich y pyle | pdf | descarga gratuita. The greulich and pyle method is one of the two main ways to assess the bone age of children. The greulich and pyle atlas is used to estimate the age of children and adolescents. The standards established by greulich and pyle,. Tablas De Greulich Y Pyle.
From www.udocz.com
Soy Radiólogo Edad ósea Método Greulich y Pyle. Soy Radiólogo uDocz Tablas De Greulich Y Pyle The greulich and pyle atlas is used to estimate the age of children and adolescents. The standards established by greulich and pyle, undoubtedly the most popular method, consist of two series of standard plates. Atlas greulich y pyle | pdf | descarga gratuita. This systematic review summarizes the. Both main methods of bone age. The greulich and pyle method is. Tablas De Greulich Y Pyle.
From www.scribd.com
Atlas of Hand Bone Age, Atlas de Greulich y Pyle PDF Tablas De Greulich Y Pyle The greulich and pyle atlas is used to estimate the age of children and adolescents. Atlas greulich y pyle | pdf | descarga gratuita. The greulich and pyle method is one of the two main ways to assess the bone age of children. 153 recomendaciones • 616,869 vistas. The standards established by greulich and pyle, undoubtedly the most popular method,. Tablas De Greulich Y Pyle.
From pt.slideshare.net
Atlas greulich y pyle Tablas De Greulich Y Pyle The greulich and pyle method is one of the two main ways to assess the bone age of children. Atlas greulich y pyle | pdf | descarga gratuita. Both main methods of bone age. This systematic review summarizes the. The standards established by greulich and pyle, undoubtedly the most popular method, consist of two series of standard plates. The greulich. Tablas De Greulich Y Pyle.
From www.pediatriaintegral.es
Estudio comparativo entre las edades óseas GreulichPyle, TannerW2 y Tablas De Greulich Y Pyle 153 recomendaciones • 616,869 vistas. El documento lista las edades. Both main methods of bone age. The greulich and pyle atlas is used to estimate the age of children and adolescents. Scribd is the world's largest social reading and publishing site. The standards established by greulich and pyle, undoubtedly the most popular method, consist of two series of standard plates.. Tablas De Greulich Y Pyle.
From es.slideshare.net
Atlas greulich y pyle Tablas De Greulich Y Pyle This systematic review summarizes the. Atlas greulich y pyle | pdf | descarga gratuita. 153 recomendaciones • 616,869 vistas. Both main methods of bone age. The standards established by greulich and pyle, undoubtedly the most popular method, consist of two series of standard plates. Scribd is the world's largest social reading and publishing site. The greulich and pyle atlas is. Tablas De Greulich Y Pyle.
From es.slideshare.net
Atlas greulich y pyle Tablas De Greulich Y Pyle The greulich and pyle method is one of the two main ways to assess the bone age of children. The standards established by greulich and pyle, undoubtedly the most popular method, consist of two series of standard plates. The radiographic atlas of skeletal development of the hand and wrist by ww greulich and si pyle is a classic radiological. Both. Tablas De Greulich Y Pyle.
From es.slideshare.net
Atlas greulich y pyle Tablas De Greulich Y Pyle Atlas greulich y pyle | pdf | descarga gratuita. This systematic review summarizes the. 153 recomendaciones • 616,869 vistas. The greulich and pyle method is one of the two main ways to assess the bone age of children. The greulich and pyle atlas is used to estimate the age of children and adolescents. The radiographic atlas of skeletal development of. Tablas De Greulich Y Pyle.
From es.slideshare.net
Atlas greulich y pyle Tablas De Greulich Y Pyle 153 recomendaciones • 616,869 vistas. The greulich and pyle atlas is used to estimate the age of children and adolescents. Scribd is the world's largest social reading and publishing site. The standards established by greulich and pyle, undoubtedly the most popular method, consist of two series of standard plates. Both main methods of bone age. This systematic review summarizes the.. Tablas De Greulich Y Pyle.
From es.slideshare.net
Atlas greulich y pyle Tablas De Greulich Y Pyle 153 recomendaciones • 616,869 vistas. The standards established by greulich and pyle, undoubtedly the most popular method, consist of two series of standard plates. The radiographic atlas of skeletal development of the hand and wrist by ww greulich and si pyle is a classic radiological. Both main methods of bone age. This systematic review summarizes the. Atlas greulich y pyle. Tablas De Greulich Y Pyle.
From mungfali.com
Tabla Tanner Tablas De Greulich Y Pyle Scribd is the world's largest social reading and publishing site. Atlas greulich y pyle | pdf | descarga gratuita. The standards established by greulich and pyle, undoubtedly the most popular method, consist of two series of standard plates. The greulich and pyle atlas is used to estimate the age of children and adolescents. El documento lista las edades. 153 recomendaciones. Tablas De Greulich Y Pyle.
From es.slideshare.net
Atlas greulich y pyle Tablas De Greulich Y Pyle Atlas greulich y pyle | pdf | descarga gratuita. 153 recomendaciones • 616,869 vistas. The greulich and pyle atlas is used to estimate the age of children and adolescents. The greulich and pyle method is one of the two main ways to assess the bone age of children. Both main methods of bone age. This systematic review summarizes the. El. Tablas De Greulich Y Pyle.
From slideplayer.es
EVALUACION DE LA EDAD OSEA ppt video online descargar Tablas De Greulich Y Pyle Atlas greulich y pyle | pdf | descarga gratuita. El documento lista las edades. The greulich and pyle atlas is used to estimate the age of children and adolescents. The greulich and pyle method is one of the two main ways to assess the bone age of children. 153 recomendaciones • 616,869 vistas. This systematic review summarizes the. Scribd is. Tablas De Greulich Y Pyle.
From pt.slideshare.net
Atlas greulich y pyle Tablas De Greulich Y Pyle The greulich and pyle method is one of the two main ways to assess the bone age of children. 153 recomendaciones • 616,869 vistas. The greulich and pyle atlas is used to estimate the age of children and adolescents. The radiographic atlas of skeletal development of the hand and wrist by ww greulich and si pyle is a classic radiological.. Tablas De Greulich Y Pyle.
From es.slideshare.net
Atlas greulich y pyle Tablas De Greulich Y Pyle Both main methods of bone age. The radiographic atlas of skeletal development of the hand and wrist by ww greulich and si pyle is a classic radiological. The greulich and pyle atlas is used to estimate the age of children and adolescents. 153 recomendaciones • 616,869 vistas. Atlas greulich y pyle | pdf | descarga gratuita. The standards established by. Tablas De Greulich Y Pyle.
From es.slideshare.net
Atlas greulich y pyle Tablas De Greulich Y Pyle The greulich and pyle method is one of the two main ways to assess the bone age of children. 153 recomendaciones • 616,869 vistas. This systematic review summarizes the. Scribd is the world's largest social reading and publishing site. The radiographic atlas of skeletal development of the hand and wrist by ww greulich and si pyle is a classic radiological.. Tablas De Greulich Y Pyle.
From es.slideshare.net
Atlas greulich y pyle Tablas De Greulich Y Pyle Scribd is the world's largest social reading and publishing site. El documento lista las edades. The standards established by greulich and pyle, undoubtedly the most popular method, consist of two series of standard plates. This systematic review summarizes the. The greulich and pyle method is one of the two main ways to assess the bone age of children. The greulich. Tablas De Greulich Y Pyle.
From es.slideshare.net
Atlas greulich y pyle Tablas De Greulich Y Pyle Scribd is the world's largest social reading and publishing site. 153 recomendaciones • 616,869 vistas. Atlas greulich y pyle | pdf | descarga gratuita. El documento lista las edades. The radiographic atlas of skeletal development of the hand and wrist by ww greulich and si pyle is a classic radiological. The greulich and pyle method is one of the two. Tablas De Greulich Y Pyle.
From pt.slideshare.net
Atlas greulich y pyle Tablas De Greulich Y Pyle Atlas greulich y pyle | pdf | descarga gratuita. Both main methods of bone age. Scribd is the world's largest social reading and publishing site. The greulich and pyle atlas is used to estimate the age of children and adolescents. The standards established by greulich and pyle, undoubtedly the most popular method, consist of two series of standard plates. The. Tablas De Greulich Y Pyle.
From es.slideshare.net
Atlas greulich y pyle Tablas De Greulich Y Pyle The standards established by greulich and pyle, undoubtedly the most popular method, consist of two series of standard plates. Scribd is the world's largest social reading and publishing site. The greulich and pyle method is one of the two main ways to assess the bone age of children. The radiographic atlas of skeletal development of the hand and wrist by. Tablas De Greulich Y Pyle.
From de.slideshare.net
Atlas greulich y pyle Tablas De Greulich Y Pyle The greulich and pyle atlas is used to estimate the age of children and adolescents. The standards established by greulich and pyle, undoubtedly the most popular method, consist of two series of standard plates. 153 recomendaciones • 616,869 vistas. Atlas greulich y pyle | pdf | descarga gratuita. El documento lista las edades. The greulich and pyle method is one. Tablas De Greulich Y Pyle.
From es.slideshare.net
Atlas greulich y pyle Tablas De Greulich Y Pyle This systematic review summarizes the. 153 recomendaciones • 616,869 vistas. The standards established by greulich and pyle, undoubtedly the most popular method, consist of two series of standard plates. The greulich and pyle atlas is used to estimate the age of children and adolescents. The radiographic atlas of skeletal development of the hand and wrist by ww greulich and si. Tablas De Greulich Y Pyle.
From es.slideshare.net
Atlas greulich y pyle Tablas De Greulich Y Pyle The greulich and pyle method is one of the two main ways to assess the bone age of children. This systematic review summarizes the. El documento lista las edades. Scribd is the world's largest social reading and publishing site. The greulich and pyle atlas is used to estimate the age of children and adolescents. The radiographic atlas of skeletal development. Tablas De Greulich Y Pyle.
From es.slideshare.net
Atlas greulich y pyle Tablas De Greulich Y Pyle The standards established by greulich and pyle, undoubtedly the most popular method, consist of two series of standard plates. Both main methods of bone age. 153 recomendaciones • 616,869 vistas. El documento lista las edades. Scribd is the world's largest social reading and publishing site. Atlas greulich y pyle | pdf | descarga gratuita. The greulich and pyle atlas is. Tablas De Greulich Y Pyle.