Gingivitis Vitamin Deficiency . Vitamin d deficiency leads to reduced bone density, osteoporosis, and, as consequence, to the progression of periodontal. Learn about the causes, symptoms, and treatment options for gingivitis caused by vitamin deficiency. Find out the symptoms of vitamin deficiency and how it can lead to gingivitis. Besides, we will provide helpful. Bleeding gums are a sign of gingivitis, an early stage of periodontal disease, but they may also signal low vitamin c in your diet, suggests a study published online feb. Explore the importance of a balanced diet and. In this study, we expect to appraise the effectiveness of vitamin d for adult patients with gingivitis. Learn about the connection between gingivitis and vitamin deficiency, and how certain vitamins play a role in maintaining.
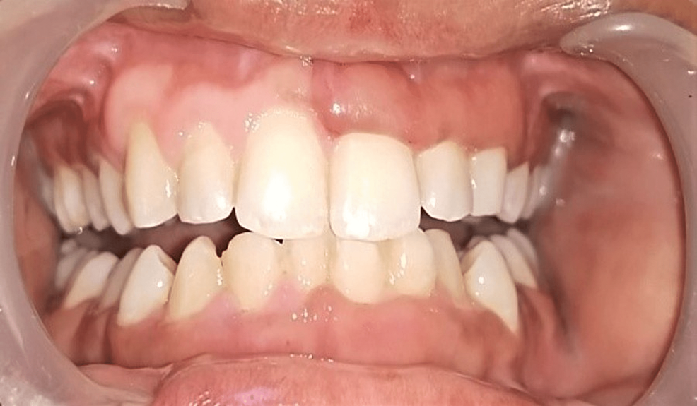
from www.odontologic.com.mx
Find out the symptoms of vitamin deficiency and how it can lead to gingivitis. Besides, we will provide helpful. Vitamin d deficiency leads to reduced bone density, osteoporosis, and, as consequence, to the progression of periodontal. In this study, we expect to appraise the effectiveness of vitamin d for adult patients with gingivitis. Learn about the causes, symptoms, and treatment options for gingivitis caused by vitamin deficiency. Explore the importance of a balanced diet and. Bleeding gums are a sign of gingivitis, an early stage of periodontal disease, but they may also signal low vitamin c in your diet, suggests a study published online feb. Learn about the connection between gingivitis and vitamin deficiency, and how certain vitamins play a role in maintaining.
Pasos para eliminar la gingivitis — Odontologic
Gingivitis Vitamin Deficiency Bleeding gums are a sign of gingivitis, an early stage of periodontal disease, but they may also signal low vitamin c in your diet, suggests a study published online feb. Learn about the causes, symptoms, and treatment options for gingivitis caused by vitamin deficiency. Explore the importance of a balanced diet and. Vitamin d deficiency leads to reduced bone density, osteoporosis, and, as consequence, to the progression of periodontal. In this study, we expect to appraise the effectiveness of vitamin d for adult patients with gingivitis. Bleeding gums are a sign of gingivitis, an early stage of periodontal disease, but they may also signal low vitamin c in your diet, suggests a study published online feb. Besides, we will provide helpful. Find out the symptoms of vitamin deficiency and how it can lead to gingivitis. Learn about the connection between gingivitis and vitamin deficiency, and how certain vitamins play a role in maintaining.
From www.researchgate.net
Major vitamins and their deficiency diseases Download Table Gingivitis Vitamin Deficiency Vitamin d deficiency leads to reduced bone density, osteoporosis, and, as consequence, to the progression of periodontal. Explore the importance of a balanced diet and. Learn about the causes, symptoms, and treatment options for gingivitis caused by vitamin deficiency. Find out the symptoms of vitamin deficiency and how it can lead to gingivitis. Bleeding gums are a sign of gingivitis,. Gingivitis Vitamin Deficiency.
From www.cureus.com
Vitamin D Deficiency and Gingival Enlargement A Case Report Cureus Gingivitis Vitamin Deficiency In this study, we expect to appraise the effectiveness of vitamin d for adult patients with gingivitis. Explore the importance of a balanced diet and. Vitamin d deficiency leads to reduced bone density, osteoporosis, and, as consequence, to the progression of periodontal. Besides, we will provide helpful. Learn about the connection between gingivitis and vitamin deficiency, and how certain vitamins. Gingivitis Vitamin Deficiency.
From www.semanticscholar.org
Necrotizing Ulcerative Gingivitis in the Setting of Vitamin B12 Gingivitis Vitamin Deficiency Bleeding gums are a sign of gingivitis, an early stage of periodontal disease, but they may also signal low vitamin c in your diet, suggests a study published online feb. In this study, we expect to appraise the effectiveness of vitamin d for adult patients with gingivitis. Besides, we will provide helpful. Learn about the connection between gingivitis and vitamin. Gingivitis Vitamin Deficiency.
From www.semanticscholar.org
Figure 4 from Necrotizing Ulcerative Gingivitis in the Setting of Gingivitis Vitamin Deficiency Find out the symptoms of vitamin deficiency and how it can lead to gingivitis. Explore the importance of a balanced diet and. In this study, we expect to appraise the effectiveness of vitamin d for adult patients with gingivitis. Vitamin d deficiency leads to reduced bone density, osteoporosis, and, as consequence, to the progression of periodontal. Bleeding gums are a. Gingivitis Vitamin Deficiency.
From www.semanticscholar.org
Figure 5 from Necrotizing Ulcerative Gingivitis in the Setting of Gingivitis Vitamin Deficiency Find out the symptoms of vitamin deficiency and how it can lead to gingivitis. Vitamin d deficiency leads to reduced bone density, osteoporosis, and, as consequence, to the progression of periodontal. Learn about the causes, symptoms, and treatment options for gingivitis caused by vitamin deficiency. Explore the importance of a balanced diet and. Bleeding gums are a sign of gingivitis,. Gingivitis Vitamin Deficiency.
From onlinelibrary.wiley.com
Gingival overgrowth caused by vitamin C deficiency associated with Gingivitis Vitamin Deficiency In this study, we expect to appraise the effectiveness of vitamin d for adult patients with gingivitis. Bleeding gums are a sign of gingivitis, an early stage of periodontal disease, but they may also signal low vitamin c in your diet, suggests a study published online feb. Find out the symptoms of vitamin deficiency and how it can lead to. Gingivitis Vitamin Deficiency.
From www.clinicasoto.es
Gingivitis en niños cómo se detecta y cómo tratarla Clínica Soto Vinaroz Gingivitis Vitamin Deficiency Explore the importance of a balanced diet and. Learn about the connection between gingivitis and vitamin deficiency, and how certain vitamins play a role in maintaining. Find out the symptoms of vitamin deficiency and how it can lead to gingivitis. Learn about the causes, symptoms, and treatment options for gingivitis caused by vitamin deficiency. Besides, we will provide helpful. In. Gingivitis Vitamin Deficiency.
From www.cureus.com
Cureus Vitamin D Deficiency and Gingival Enlargement A Case Report Gingivitis Vitamin Deficiency Vitamin d deficiency leads to reduced bone density, osteoporosis, and, as consequence, to the progression of periodontal. Find out the symptoms of vitamin deficiency and how it can lead to gingivitis. Bleeding gums are a sign of gingivitis, an early stage of periodontal disease, but they may also signal low vitamin c in your diet, suggests a study published online. Gingivitis Vitamin Deficiency.
From www.slideserve.com
PPT Gingival enlargement associated with systemic diseases PowerPoint Gingivitis Vitamin Deficiency Find out the symptoms of vitamin deficiency and how it can lead to gingivitis. Besides, we will provide helpful. Learn about the connection between gingivitis and vitamin deficiency, and how certain vitamins play a role in maintaining. Bleeding gums are a sign of gingivitis, an early stage of periodontal disease, but they may also signal low vitamin c in your. Gingivitis Vitamin Deficiency.
From onlinelibrary.wiley.com
Gingival overgrowth caused by vitamin C deficiency associated with Gingivitis Vitamin Deficiency In this study, we expect to appraise the effectiveness of vitamin d for adult patients with gingivitis. Learn about the causes, symptoms, and treatment options for gingivitis caused by vitamin deficiency. Explore the importance of a balanced diet and. Find out the symptoms of vitamin deficiency and how it can lead to gingivitis. Learn about the connection between gingivitis and. Gingivitis Vitamin Deficiency.
From www.cancertherapyadvisor.com
Vitamin C deficiency (Scurvy) Cancer Therapy Advisor Gingivitis Vitamin Deficiency Learn about the connection between gingivitis and vitamin deficiency, and how certain vitamins play a role in maintaining. Bleeding gums are a sign of gingivitis, an early stage of periodontal disease, but they may also signal low vitamin c in your diet, suggests a study published online feb. Find out the symptoms of vitamin deficiency and how it can lead. Gingivitis Vitamin Deficiency.
From www.mdpi.com
IJMS Free FullText The Role of Vitamin C and Vitamin D in the Gingivitis Vitamin Deficiency Learn about the connection between gingivitis and vitamin deficiency, and how certain vitamins play a role in maintaining. Explore the importance of a balanced diet and. Find out the symptoms of vitamin deficiency and how it can lead to gingivitis. Learn about the causes, symptoms, and treatment options for gingivitis caused by vitamin deficiency. Vitamin d deficiency leads to reduced. Gingivitis Vitamin Deficiency.
From www.cureus.com
Cureus Vitamin D Deficiency and Gingival Enlargement A Case Report Gingivitis Vitamin Deficiency Find out the symptoms of vitamin deficiency and how it can lead to gingivitis. Learn about the connection between gingivitis and vitamin deficiency, and how certain vitamins play a role in maintaining. Bleeding gums are a sign of gingivitis, an early stage of periodontal disease, but they may also signal low vitamin c in your diet, suggests a study published. Gingivitis Vitamin Deficiency.
From www.clinicalorenzo.com
Gingivitis Qué es y cómo evitarla Clínica Dental Lorenzo Gingivitis Vitamin Deficiency Vitamin d deficiency leads to reduced bone density, osteoporosis, and, as consequence, to the progression of periodontal. In this study, we expect to appraise the effectiveness of vitamin d for adult patients with gingivitis. Besides, we will provide helpful. Learn about the causes, symptoms, and treatment options for gingivitis caused by vitamin deficiency. Learn about the connection between gingivitis and. Gingivitis Vitamin Deficiency.
From gumdiseaseguide.org
How To Treat Periodontitis At Home Gingivitis Vitamin Deficiency In this study, we expect to appraise the effectiveness of vitamin d for adult patients with gingivitis. Besides, we will provide helpful. Vitamin d deficiency leads to reduced bone density, osteoporosis, and, as consequence, to the progression of periodontal. Find out the symptoms of vitamin deficiency and how it can lead to gingivitis. Learn about the connection between gingivitis and. Gingivitis Vitamin Deficiency.
From ecosh.com
VITAMIN D DEFICIENCY (VDD) Symptoms, Causes, Risk Groups and 11 Gingivitis Vitamin Deficiency Find out the symptoms of vitamin deficiency and how it can lead to gingivitis. Learn about the causes, symptoms, and treatment options for gingivitis caused by vitamin deficiency. Bleeding gums are a sign of gingivitis, an early stage of periodontal disease, but they may also signal low vitamin c in your diet, suggests a study published online feb. In this. Gingivitis Vitamin Deficiency.
From www.cureus.com
Cureus Vitamin D Deficiency and Gingival Enlargement A Case Report Gingivitis Vitamin Deficiency Learn about the connection between gingivitis and vitamin deficiency, and how certain vitamins play a role in maintaining. Learn about the causes, symptoms, and treatment options for gingivitis caused by vitamin deficiency. In this study, we expect to appraise the effectiveness of vitamin d for adult patients with gingivitis. Besides, we will provide helpful. Explore the importance of a balanced. Gingivitis Vitamin Deficiency.
From www.msdmanuals.com
Image Gingival Hyperplasia MSD Manual Professional Edition Gingivitis Vitamin Deficiency Explore the importance of a balanced diet and. Vitamin d deficiency leads to reduced bone density, osteoporosis, and, as consequence, to the progression of periodontal. Besides, we will provide helpful. Learn about the causes, symptoms, and treatment options for gingivitis caused by vitamin deficiency. Bleeding gums are a sign of gingivitis, an early stage of periodontal disease, but they may. Gingivitis Vitamin Deficiency.
From www.masquedientes.com
Gingivitis, inflamación y sangrado en tus encías Más que Dientes Gingivitis Vitamin Deficiency Learn about the connection between gingivitis and vitamin deficiency, and how certain vitamins play a role in maintaining. Bleeding gums are a sign of gingivitis, an early stage of periodontal disease, but they may also signal low vitamin c in your diet, suggests a study published online feb. Vitamin d deficiency leads to reduced bone density, osteoporosis, and, as consequence,. Gingivitis Vitamin Deficiency.
From onlinelibrary.wiley.com
Gingival overgrowth caused by vitamin C deficiency associated with Gingivitis Vitamin Deficiency Vitamin d deficiency leads to reduced bone density, osteoporosis, and, as consequence, to the progression of periodontal. Learn about the connection between gingivitis and vitamin deficiency, and how certain vitamins play a role in maintaining. Find out the symptoms of vitamin deficiency and how it can lead to gingivitis. Bleeding gums are a sign of gingivitis, an early stage of. Gingivitis Vitamin Deficiency.
From www.alamy.com
Swollen gum Stock Vector Images Alamy Gingivitis Vitamin Deficiency In this study, we expect to appraise the effectiveness of vitamin d for adult patients with gingivitis. Find out the symptoms of vitamin deficiency and how it can lead to gingivitis. Explore the importance of a balanced diet and. Vitamin d deficiency leads to reduced bone density, osteoporosis, and, as consequence, to the progression of periodontal. Learn about the connection. Gingivitis Vitamin Deficiency.
From www.slideserve.com
PPT Preclinical Periodontics PowerPoint Presentation, free download Gingivitis Vitamin Deficiency Learn about the connection between gingivitis and vitamin deficiency, and how certain vitamins play a role in maintaining. Explore the importance of a balanced diet and. Find out the symptoms of vitamin deficiency and how it can lead to gingivitis. In this study, we expect to appraise the effectiveness of vitamin d for adult patients with gingivitis. Learn about the. Gingivitis Vitamin Deficiency.
From prasko17.blogspot.com
Gingivitis dan Periodontitis Pencegahan dan Pengobatan Education Gingivitis Vitamin Deficiency Vitamin d deficiency leads to reduced bone density, osteoporosis, and, as consequence, to the progression of periodontal. Explore the importance of a balanced diet and. Besides, we will provide helpful. Learn about the connection between gingivitis and vitamin deficiency, and how certain vitamins play a role in maintaining. Learn about the causes, symptoms, and treatment options for gingivitis caused by. Gingivitis Vitamin Deficiency.
From www.kirklandpremierdentistry.com
Bleeding Gums During Pregnancy Should You Worry? Kirkland Premier Gingivitis Vitamin Deficiency Vitamin d deficiency leads to reduced bone density, osteoporosis, and, as consequence, to the progression of periodontal. In this study, we expect to appraise the effectiveness of vitamin d for adult patients with gingivitis. Find out the symptoms of vitamin deficiency and how it can lead to gingivitis. Besides, we will provide helpful. Bleeding gums are a sign of gingivitis,. Gingivitis Vitamin Deficiency.
From www.semanticscholar.org
Necrotizing Ulcerative Gingivitis in the Setting of Vitamin B12 Gingivitis Vitamin Deficiency Bleeding gums are a sign of gingivitis, an early stage of periodontal disease, but they may also signal low vitamin c in your diet, suggests a study published online feb. Learn about the causes, symptoms, and treatment options for gingivitis caused by vitamin deficiency. Vitamin d deficiency leads to reduced bone density, osteoporosis, and, as consequence, to the progression of. Gingivitis Vitamin Deficiency.
From healthjade.com
Vitamin C deficiency, scurvy, causes, symptoms, diagnosis & treatment Gingivitis Vitamin Deficiency In this study, we expect to appraise the effectiveness of vitamin d for adult patients with gingivitis. Explore the importance of a balanced diet and. Find out the symptoms of vitamin deficiency and how it can lead to gingivitis. Besides, we will provide helpful. Learn about the causes, symptoms, and treatment options for gingivitis caused by vitamin deficiency. Learn about. Gingivitis Vitamin Deficiency.
From www.semanticscholar.org
Figure 1 from Necrotizing Ulcerative Gingivitis in the Setting of Gingivitis Vitamin Deficiency Bleeding gums are a sign of gingivitis, an early stage of periodontal disease, but they may also signal low vitamin c in your diet, suggests a study published online feb. Explore the importance of a balanced diet and. Learn about the connection between gingivitis and vitamin deficiency, and how certain vitamins play a role in maintaining. Besides, we will provide. Gingivitis Vitamin Deficiency.
From www.slideserve.com
PPT gingival enlargement PowerPoint Presentation, free download ID Gingivitis Vitamin Deficiency Bleeding gums are a sign of gingivitis, an early stage of periodontal disease, but they may also signal low vitamin c in your diet, suggests a study published online feb. In this study, we expect to appraise the effectiveness of vitamin d for adult patients with gingivitis. Learn about the causes, symptoms, and treatment options for gingivitis caused by vitamin. Gingivitis Vitamin Deficiency.
From www.techexplorist.com
Bleeding gums? It may be a sign of Vitamin C deficiency Gingivitis Vitamin Deficiency Bleeding gums are a sign of gingivitis, an early stage of periodontal disease, but they may also signal low vitamin c in your diet, suggests a study published online feb. Find out the symptoms of vitamin deficiency and how it can lead to gingivitis. Vitamin d deficiency leads to reduced bone density, osteoporosis, and, as consequence, to the progression of. Gingivitis Vitamin Deficiency.
From www.cureus.com
Severe Chronic Gingivitis in Association With Hypothyroidism and Grade Gingivitis Vitamin Deficiency Learn about the connection between gingivitis and vitamin deficiency, and how certain vitamins play a role in maintaining. Bleeding gums are a sign of gingivitis, an early stage of periodontal disease, but they may also signal low vitamin c in your diet, suggests a study published online feb. Besides, we will provide helpful. Explore the importance of a balanced diet. Gingivitis Vitamin Deficiency.
From www.sciencephoto.com
Hyperplasia of the gums due to the drug nifedipine Stock Image M170 Gingivitis Vitamin Deficiency Bleeding gums are a sign of gingivitis, an early stage of periodontal disease, but they may also signal low vitamin c in your diet, suggests a study published online feb. Vitamin d deficiency leads to reduced bone density, osteoporosis, and, as consequence, to the progression of periodontal. Learn about the connection between gingivitis and vitamin deficiency, and how certain vitamins. Gingivitis Vitamin Deficiency.
From www.aspendental.com
A Comprehensive Guide to Gingivitis Gingivitis Vitamin Deficiency Bleeding gums are a sign of gingivitis, an early stage of periodontal disease, but they may also signal low vitamin c in your diet, suggests a study published online feb. Explore the importance of a balanced diet and. Learn about the causes, symptoms, and treatment options for gingivitis caused by vitamin deficiency. Vitamin d deficiency leads to reduced bone density,. Gingivitis Vitamin Deficiency.
From www.slideserve.com
PPT What Causes Bleeding Gums PowerPoint Presentation ID7633966 Gingivitis Vitamin Deficiency Learn about the connection between gingivitis and vitamin deficiency, and how certain vitamins play a role in maintaining. Besides, we will provide helpful. In this study, we expect to appraise the effectiveness of vitamin d for adult patients with gingivitis. Find out the symptoms of vitamin deficiency and how it can lead to gingivitis. Explore the importance of a balanced. Gingivitis Vitamin Deficiency.
From www.odontologic.com.mx
Pasos para eliminar la gingivitis — Odontologic Gingivitis Vitamin Deficiency Bleeding gums are a sign of gingivitis, an early stage of periodontal disease, but they may also signal low vitamin c in your diet, suggests a study published online feb. Find out the symptoms of vitamin deficiency and how it can lead to gingivitis. Learn about the causes, symptoms, and treatment options for gingivitis caused by vitamin deficiency. Learn about. Gingivitis Vitamin Deficiency.
From www.cureus.com
Cureus Vitamin C Deficiency as a Risk Factor for Bell’s Palsy A New Gingivitis Vitamin Deficiency Vitamin d deficiency leads to reduced bone density, osteoporosis, and, as consequence, to the progression of periodontal. Bleeding gums are a sign of gingivitis, an early stage of periodontal disease, but they may also signal low vitamin c in your diet, suggests a study published online feb. Explore the importance of a balanced diet and. Learn about the causes, symptoms,. Gingivitis Vitamin Deficiency.