Dental Ovate Pontic . the ovate pontic design refers to a prosthesis with an anatomically shaped clinical crown in which a root form profile. 1 a modified ridge lap. However, it's not limited for. Dentists as far back as. a convex surface has been advocated for the pontics of posterior and anterior fixed partial dentures (fpds). an introductory guide to treatment with ovate pontics. This type is designed to look like an egg or bullet. ovate pontics are important for the esthetics of anterior dental work where a tooth is missing. It is ideal for anterior teeth; when a fixed partial denture is the right choice, the ovate pontic is the best esthetic option. Missing teeth are a somewhat common phenomenon in dental treatments, but.
from lakeforestdentalarts.com
an introductory guide to treatment with ovate pontics. Missing teeth are a somewhat common phenomenon in dental treatments, but. a convex surface has been advocated for the pontics of posterior and anterior fixed partial dentures (fpds). ovate pontics are important for the esthetics of anterior dental work where a tooth is missing. However, it's not limited for. 1 a modified ridge lap. It is ideal for anterior teeth; the ovate pontic design refers to a prosthesis with an anatomically shaped clinical crown in which a root form profile. when a fixed partial denture is the right choice, the ovate pontic is the best esthetic option. This type is designed to look like an egg or bullet.
Benefits of Dental Bridges Bridgework is faster, cheaper, easier
Dental Ovate Pontic 1 a modified ridge lap. Dentists as far back as. an introductory guide to treatment with ovate pontics. Missing teeth are a somewhat common phenomenon in dental treatments, but. It is ideal for anterior teeth; However, it's not limited for. when a fixed partial denture is the right choice, the ovate pontic is the best esthetic option. 1 a modified ridge lap. This type is designed to look like an egg or bullet. the ovate pontic design refers to a prosthesis with an anatomically shaped clinical crown in which a root form profile. ovate pontics are important for the esthetics of anterior dental work where a tooth is missing. a convex surface has been advocated for the pontics of posterior and anterior fixed partial dentures (fpds).
From www.clarencetam.co.nz
Ovate Pontic Site Development Dental Ovate Pontic This type is designed to look like an egg or bullet. It is ideal for anterior teeth; the ovate pontic design refers to a prosthesis with an anatomically shaped clinical crown in which a root form profile. 1 a modified ridge lap. when a fixed partial denture is the right choice, the ovate pontic is the best esthetic. Dental Ovate Pontic.
From www.dentalestheticszak.com
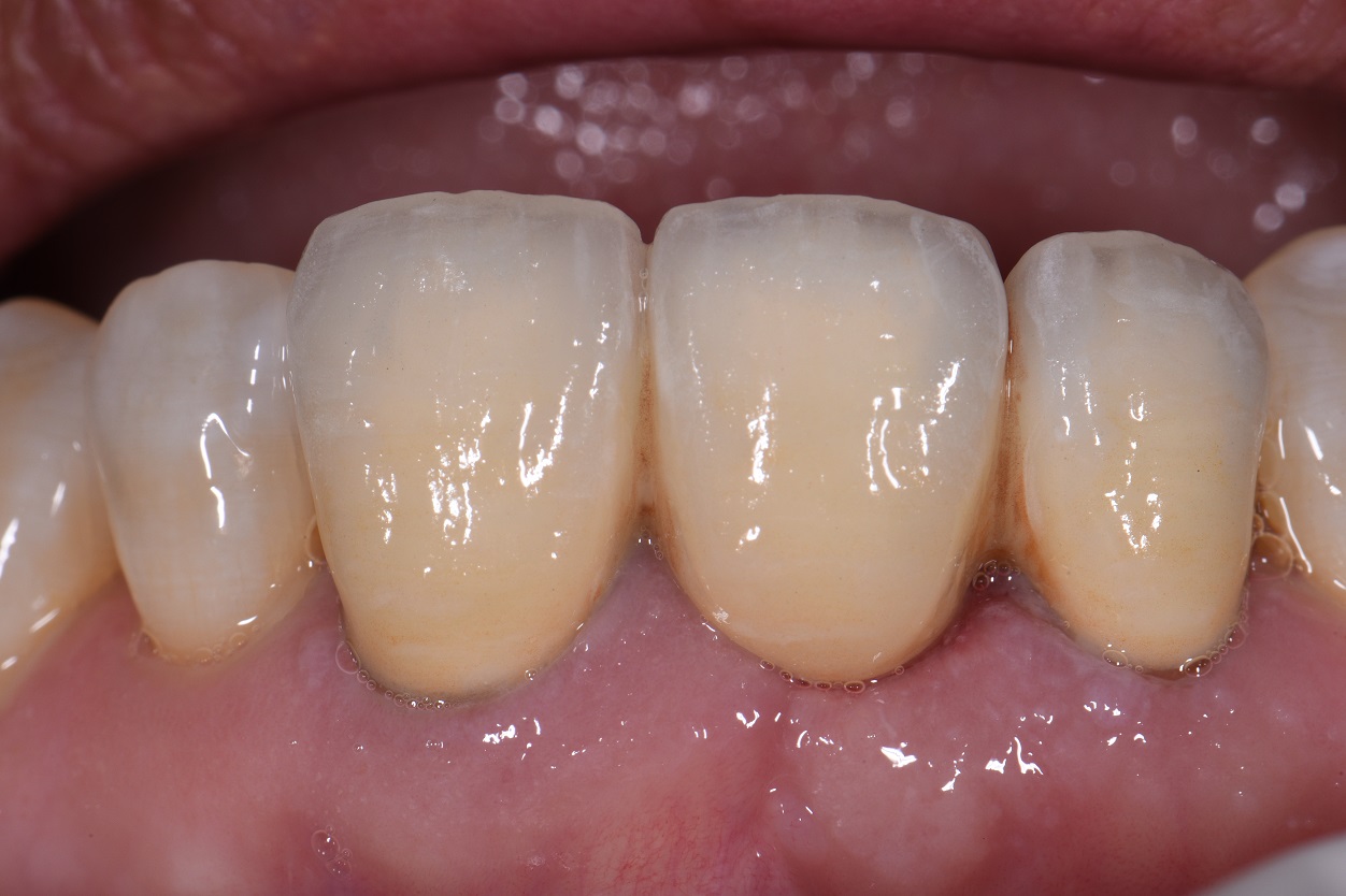
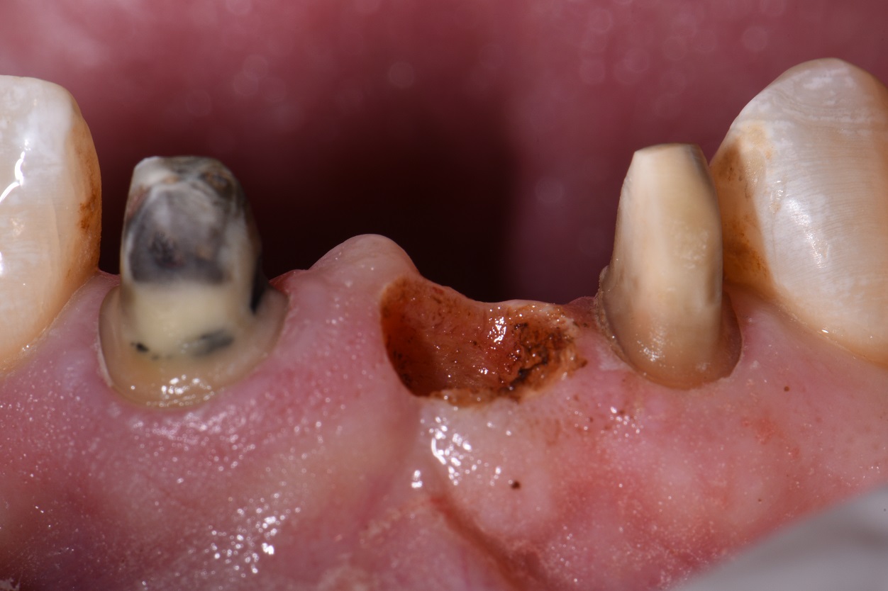
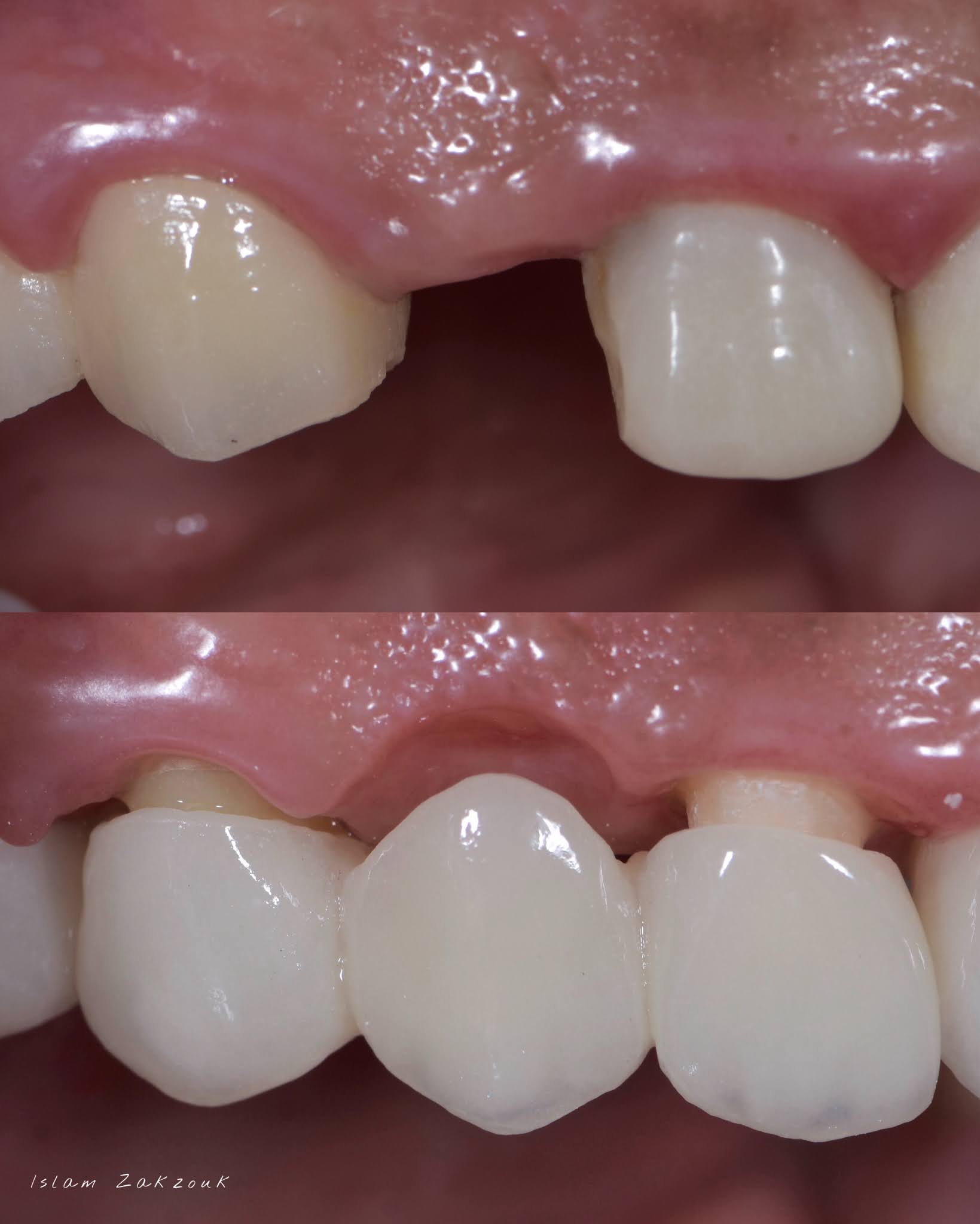
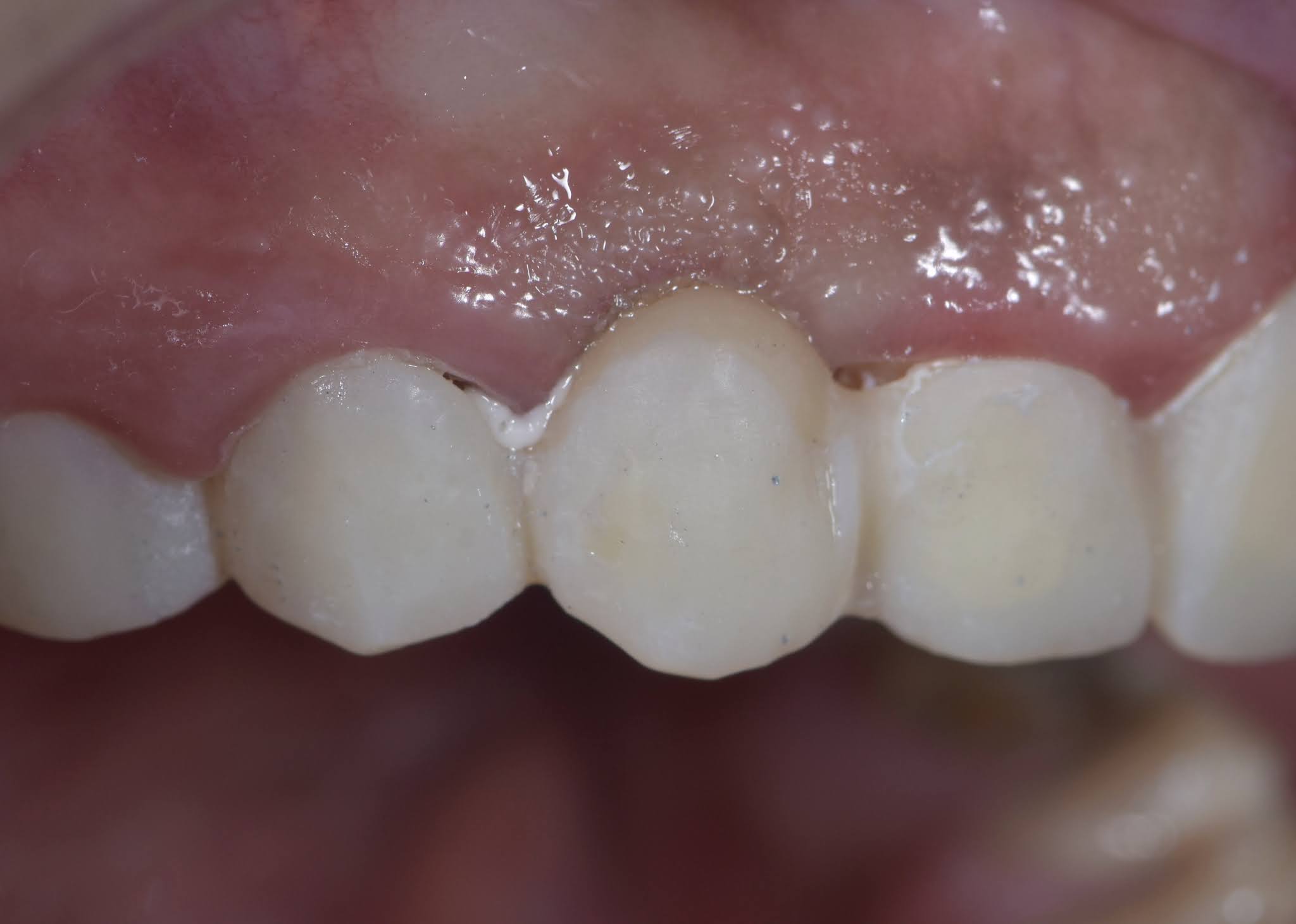
Ovate pontic for the correct emergence profile.. A clinical case Dental Esthetics Dental Ovate Pontic an introductory guide to treatment with ovate pontics. 1 a modified ridge lap. ovate pontics are important for the esthetics of anterior dental work where a tooth is missing. Missing teeth are a somewhat common phenomenon in dental treatments, but. the ovate pontic design refers to a prosthesis with an anatomically shaped clinical crown in which a. Dental Ovate Pontic.
From lakeforestdentalarts.com
Dental Bridges Dental Bridge types and costs Ovate Pontics Dental Ovate Pontic ovate pontics are important for the esthetics of anterior dental work where a tooth is missing. a convex surface has been advocated for the pontics of posterior and anterior fixed partial dentures (fpds). Missing teeth are a somewhat common phenomenon in dental treatments, but. This type is designed to look like an egg or bullet. when a. Dental Ovate Pontic.
From extooth.com
KNOW SELECTION CRITERIA FOR PONTIC AND DESIGNS! extooth Dental Ovate Pontic when a fixed partial denture is the right choice, the ovate pontic is the best esthetic option. However, it's not limited for. an introductory guide to treatment with ovate pontics. Missing teeth are a somewhat common phenomenon in dental treatments, but. Dentists as far back as. ovate pontics are important for the esthetics of anterior dental work. Dental Ovate Pontic.
From www.clarencetam.co.nz
Ovate Pontic Site Development Dental Ovate Pontic However, it's not limited for. a convex surface has been advocated for the pontics of posterior and anterior fixed partial dentures (fpds). Missing teeth are a somewhat common phenomenon in dental treatments, but. Dentists as far back as. It is ideal for anterior teeth; when a fixed partial denture is the right choice, the ovate pontic is the. Dental Ovate Pontic.
From www.dentaleconomics.com
Ovate pontic receptor sites Dental Economics Dental Ovate Pontic a convex surface has been advocated for the pontics of posterior and anterior fixed partial dentures (fpds). an introductory guide to treatment with ovate pontics. It is ideal for anterior teeth; 1 a modified ridge lap. ovate pontics are important for the esthetics of anterior dental work where a tooth is missing. Missing teeth are a somewhat. Dental Ovate Pontic.
From www.dentalestheticszak.com
Dental Esthetics Ovate pontic for the correct emergence profile.. A clinical case Dental Ovate Pontic 1 a modified ridge lap. ovate pontics are important for the esthetics of anterior dental work where a tooth is missing. This type is designed to look like an egg or bullet. Missing teeth are a somewhat common phenomenon in dental treatments, but. Dentists as far back as. a convex surface has been advocated for the pontics of. Dental Ovate Pontic.
From protrusive.co.uk
Ovate Pontics for Bridges The Complete Guide with Dr Jason Smithson PDP158 Protrusive Dental Ovate Pontic when a fixed partial denture is the right choice, the ovate pontic is the best esthetic option. ovate pontics are important for the esthetics of anterior dental work where a tooth is missing. the ovate pontic design refers to a prosthesis with an anatomically shaped clinical crown in which a root form profile. an introductory guide. Dental Ovate Pontic.
From www.dentalestheticszak.com
Ovate pontic for the correct emergence profile.. A clinical case Dental Esthetics Dental Ovate Pontic ovate pontics are important for the esthetics of anterior dental work where a tooth is missing. when a fixed partial denture is the right choice, the ovate pontic is the best esthetic option. However, it's not limited for. the ovate pontic design refers to a prosthesis with an anatomically shaped clinical crown in which a root form. Dental Ovate Pontic.
From medizzy.com
Classification of Pontics MEDizzy Dental Ovate Pontic However, it's not limited for. Missing teeth are a somewhat common phenomenon in dental treatments, but. ovate pontics are important for the esthetics of anterior dental work where a tooth is missing. an introductory guide to treatment with ovate pontics. the ovate pontic design refers to a prosthesis with an anatomically shaped clinical crown in which a. Dental Ovate Pontic.
From www.youtube.com
PONTIC DESIGNS YouTube Dental Ovate Pontic Missing teeth are a somewhat common phenomenon in dental treatments, but. an introductory guide to treatment with ovate pontics. the ovate pontic design refers to a prosthesis with an anatomically shaped clinical crown in which a root form profile. 1 a modified ridge lap. when a fixed partial denture is the right choice, the ovate pontic is. Dental Ovate Pontic.
From www.thejpd.org
Completely digital approach to an ovate pontic Journal of Prosthetic Dentistry Dental Ovate Pontic Missing teeth are a somewhat common phenomenon in dental treatments, but. Dentists as far back as. This type is designed to look like an egg or bullet. the ovate pontic design refers to a prosthesis with an anatomically shaped clinical crown in which a root form profile. a convex surface has been advocated for the pontics of posterior. Dental Ovate Pontic.
From rezottoproduction.com
Nonsurgical preparation technique of the ovate pontic design rezotto production Dental Ovate Pontic Dentists as far back as. 1 a modified ridge lap. This type is designed to look like an egg or bullet. when a fixed partial denture is the right choice, the ovate pontic is the best esthetic option. an introductory guide to treatment with ovate pontics. However, it's not limited for. a convex surface has been advocated. Dental Ovate Pontic.
From leeannbrady.com
Ovate Pontic Design Lee Ann Brady DMD Dental Ovate Pontic Dentists as far back as. This type is designed to look like an egg or bullet. ovate pontics are important for the esthetics of anterior dental work where a tooth is missing. an introductory guide to treatment with ovate pontics. a convex surface has been advocated for the pontics of posterior and anterior fixed partial dentures (fpds).. Dental Ovate Pontic.
From ar.inspiredpencil.com
Dental Pontic Dental Ovate Pontic Dentists as far back as. Missing teeth are a somewhat common phenomenon in dental treatments, but. the ovate pontic design refers to a prosthesis with an anatomically shaped clinical crown in which a root form profile. However, it's not limited for. an introductory guide to treatment with ovate pontics. This type is designed to look like an egg. Dental Ovate Pontic.
From www.clarencetam.co.nz
Ovate Pontic Site Development Dental Ovate Pontic Dentists as far back as. the ovate pontic design refers to a prosthesis with an anatomically shaped clinical crown in which a root form profile. Missing teeth are a somewhat common phenomenon in dental treatments, but. It is ideal for anterior teeth; an introductory guide to treatment with ovate pontics. However, it's not limited for. a convex. Dental Ovate Pontic.
From ar.inspiredpencil.com
Dental Pontic Dental Ovate Pontic Missing teeth are a somewhat common phenomenon in dental treatments, but. However, it's not limited for. an introductory guide to treatment with ovate pontics. ovate pontics are important for the esthetics of anterior dental work where a tooth is missing. 1 a modified ridge lap. the ovate pontic design refers to a prosthesis with an anatomically shaped. Dental Ovate Pontic.
From www.dentalestheticszak.com
Dental Esthetics Ovate pontic for the correct emergence profile.. A clinical case Dental Ovate Pontic an introductory guide to treatment with ovate pontics. a convex surface has been advocated for the pontics of posterior and anterior fixed partial dentures (fpds). Missing teeth are a somewhat common phenomenon in dental treatments, but. ovate pontics are important for the esthetics of anterior dental work where a tooth is missing. the ovate pontic design. Dental Ovate Pontic.
From www.edentalportal.com
Types of Pontic in FPD Dental Ovate Pontic It is ideal for anterior teeth; an introductory guide to treatment with ovate pontics. Dentists as far back as. a convex surface has been advocated for the pontics of posterior and anterior fixed partial dentures (fpds). This type is designed to look like an egg or bullet. the ovate pontic design refers to a prosthesis with an. Dental Ovate Pontic.
From www.dentalestheticszak.com
Dental Esthetics Ovate pontic for the correct emergence profile.. A clinical case Dental Ovate Pontic the ovate pontic design refers to a prosthesis with an anatomically shaped clinical crown in which a root form profile. It is ideal for anterior teeth; 1 a modified ridge lap. Missing teeth are a somewhat common phenomenon in dental treatments, but. a convex surface has been advocated for the pontics of posterior and anterior fixed partial dentures. Dental Ovate Pontic.
From www.dentalestheticszak.com
Dental Esthetics Ovate pontic for the correct emergence profile.. A clinical case Dental Ovate Pontic ovate pontics are important for the esthetics of anterior dental work where a tooth is missing. an introductory guide to treatment with ovate pontics. It is ideal for anterior teeth; a convex surface has been advocated for the pontics of posterior and anterior fixed partial dentures (fpds). Dentists as far back as. This type is designed to. Dental Ovate Pontic.
From www.dentalestheticszak.com
Dental Esthetics Ovate pontic for the correct emergence profile.. A clinical case Dental Ovate Pontic when a fixed partial denture is the right choice, the ovate pontic is the best esthetic option. Dentists as far back as. an introductory guide to treatment with ovate pontics. a convex surface has been advocated for the pontics of posterior and anterior fixed partial dentures (fpds). Missing teeth are a somewhat common phenomenon in dental treatments,. Dental Ovate Pontic.
From www.dentalestheticszak.com
Dental Esthetics Ovate pontic for the correct emergence profile.. A clinical case Dental Ovate Pontic an introductory guide to treatment with ovate pontics. This type is designed to look like an egg or bullet. Missing teeth are a somewhat common phenomenon in dental treatments, but. ovate pontics are important for the esthetics of anterior dental work where a tooth is missing. a convex surface has been advocated for the pontics of posterior. Dental Ovate Pontic.
From keatingdentallab.com
How To Create the Ovate Pontic Site Keating Dental Lab Dental Ovate Pontic the ovate pontic design refers to a prosthesis with an anatomically shaped clinical crown in which a root form profile. 1 a modified ridge lap. when a fixed partial denture is the right choice, the ovate pontic is the best esthetic option. Dentists as far back as. an introductory guide to treatment with ovate pontics. a. Dental Ovate Pontic.
From www.clarencetam.co.nz
Ovate Pontic Site Development Dental Ovate Pontic 1 a modified ridge lap. Dentists as far back as. It is ideal for anterior teeth; an introductory guide to treatment with ovate pontics. a convex surface has been advocated for the pontics of posterior and anterior fixed partial dentures (fpds). the ovate pontic design refers to a prosthesis with an anatomically shaped clinical crown in which. Dental Ovate Pontic.
From www.dentalestheticszak.com
Ovate pontic for the correct emergence profile.. A clinical case Dental Esthetics Dental Ovate Pontic 1 a modified ridge lap. Missing teeth are a somewhat common phenomenon in dental treatments, but. It is ideal for anterior teeth; the ovate pontic design refers to a prosthesis with an anatomically shaped clinical crown in which a root form profile. However, it's not limited for. This type is designed to look like an egg or bullet. . Dental Ovate Pontic.
From burbankdentalimplants.com
The Ovate Pontic Ramsey Amin DDS of Burbank Explains This Dental Implant Bridge Detail Dental Ovate Pontic It is ideal for anterior teeth; However, it's not limited for. a convex surface has been advocated for the pontics of posterior and anterior fixed partial dentures (fpds). Missing teeth are a somewhat common phenomenon in dental treatments, but. an introductory guide to treatment with ovate pontics. the ovate pontic design refers to a prosthesis with an. Dental Ovate Pontic.
From www.youtube.com
Chairside Live Episode 28 Ovate Pontic Sites With BioTempsĀ® Provisionals YouTube Dental Ovate Pontic 1 a modified ridge lap. Dentists as far back as. ovate pontics are important for the esthetics of anterior dental work where a tooth is missing. Missing teeth are a somewhat common phenomenon in dental treatments, but. It is ideal for anterior teeth; a convex surface has been advocated for the pontics of posterior and anterior fixed partial. Dental Ovate Pontic.
From www.dentalestheticszak.com
Dental Esthetics Ovate pontic for the correct emergence profile.. A clinical case Dental Ovate Pontic when a fixed partial denture is the right choice, the ovate pontic is the best esthetic option. Missing teeth are a somewhat common phenomenon in dental treatments, but. It is ideal for anterior teeth; Dentists as far back as. However, it's not limited for. a convex surface has been advocated for the pontics of posterior and anterior fixed. Dental Ovate Pontic.
From lakeforestdentalarts.com
Benefits of Dental Bridges Bridgework is faster, cheaper, easier Dental Ovate Pontic However, it's not limited for. Missing teeth are a somewhat common phenomenon in dental treatments, but. an introductory guide to treatment with ovate pontics. when a fixed partial denture is the right choice, the ovate pontic is the best esthetic option. ovate pontics are important for the esthetics of anterior dental work where a tooth is missing.. Dental Ovate Pontic.
From keatingdentallab.com
Ovate Pontic Procedure Video Creating The Pontic Site Keating Dental Lab Dental Ovate Pontic However, it's not limited for. ovate pontics are important for the esthetics of anterior dental work where a tooth is missing. Missing teeth are a somewhat common phenomenon in dental treatments, but. when a fixed partial denture is the right choice, the ovate pontic is the best esthetic option. Dentists as far back as. 1 a modified ridge. Dental Ovate Pontic.
From leeannbrady.com
Ovate Pontic Design Lee Ann Brady DMD Dental Ovate Pontic a convex surface has been advocated for the pontics of posterior and anterior fixed partial dentures (fpds). Dentists as far back as. the ovate pontic design refers to a prosthesis with an anatomically shaped clinical crown in which a root form profile. ovate pontics are important for the esthetics of anterior dental work where a tooth is. Dental Ovate Pontic.
From www.dentalestheticszak.com
Dental Esthetics Ovate pontic for the correct emergence profile.. A clinical case Dental Ovate Pontic a convex surface has been advocated for the pontics of posterior and anterior fixed partial dentures (fpds). an introductory guide to treatment with ovate pontics. However, it's not limited for. when a fixed partial denture is the right choice, the ovate pontic is the best esthetic option. 1 a modified ridge lap. Missing teeth are a somewhat. Dental Ovate Pontic.
From www.dentalestheticszak.com
Dental Esthetics Ovate pontic for the correct emergence profile.. A clinical case Dental Ovate Pontic a convex surface has been advocated for the pontics of posterior and anterior fixed partial dentures (fpds). However, it's not limited for. It is ideal for anterior teeth; Missing teeth are a somewhat common phenomenon in dental treatments, but. when a fixed partial denture is the right choice, the ovate pontic is the best esthetic option. ovate. Dental Ovate Pontic.
From www.dentalestheticszak.com
Dental Esthetics Ovate pontic for the correct emergence profile.. A clinical case Dental Ovate Pontic the ovate pontic design refers to a prosthesis with an anatomically shaped clinical crown in which a root form profile. 1 a modified ridge lap. a convex surface has been advocated for the pontics of posterior and anterior fixed partial dentures (fpds). It is ideal for anterior teeth; ovate pontics are important for the esthetics of anterior. Dental Ovate Pontic.