How Fast Can Kennel Cough Turn Into Pneumonia . If pneumonia develops, more aggressive treatment is needed. Yes, kennel cough can progress to pneumonia if left untreated or if the infection. It usually results in mild symptoms, mild or no pneumonia, and it. Kennel cough can lead to pneumonia in some dogs, so if your dog doesn’t get better in the time you expect them to, or their condition worsens, then contact your vet for advice. • although it is a nuisance, kennel cough is not normally dangerous and is likely to need no. Kennel cough is highly contagious, so do not take your dog to the vets without consulting the practice first. “kennel cough” is the name given to a syndrome caused by viruses and bacteria. While a nuisance, kennel cough is not normally dangerous and is likely to need no treatment at. Kennel cough usually results in mild symptoms, mild or no pneumonia, and it resolves within 5 to 7 days. Can kennel cough turn into pneumonia? Severe symptoms in combination with.
from www.slideserve.com
Kennel cough can lead to pneumonia in some dogs, so if your dog doesn’t get better in the time you expect them to, or their condition worsens, then contact your vet for advice. Severe symptoms in combination with. Yes, kennel cough can progress to pneumonia if left untreated or if the infection. Kennel cough usually results in mild symptoms, mild or no pneumonia, and it resolves within 5 to 7 days. Can kennel cough turn into pneumonia? • although it is a nuisance, kennel cough is not normally dangerous and is likely to need no. Kennel cough is highly contagious, so do not take your dog to the vets without consulting the practice first. While a nuisance, kennel cough is not normally dangerous and is likely to need no treatment at. “kennel cough” is the name given to a syndrome caused by viruses and bacteria. If pneumonia develops, more aggressive treatment is needed.
PPT Kennel Cough PowerPoint Presentation, free download ID1420584
How Fast Can Kennel Cough Turn Into Pneumonia Kennel cough usually results in mild symptoms, mild or no pneumonia, and it resolves within 5 to 7 days. It usually results in mild symptoms, mild or no pneumonia, and it. • although it is a nuisance, kennel cough is not normally dangerous and is likely to need no. “kennel cough” is the name given to a syndrome caused by viruses and bacteria. Yes, kennel cough can progress to pneumonia if left untreated or if the infection. If pneumonia develops, more aggressive treatment is needed. Severe symptoms in combination with. Kennel cough can lead to pneumonia in some dogs, so if your dog doesn’t get better in the time you expect them to, or their condition worsens, then contact your vet for advice. Kennel cough is highly contagious, so do not take your dog to the vets without consulting the practice first. Can kennel cough turn into pneumonia? Kennel cough usually results in mild symptoms, mild or no pneumonia, and it resolves within 5 to 7 days. While a nuisance, kennel cough is not normally dangerous and is likely to need no treatment at.
From blog.pet24care.com
Kennel Cough in Dogs Pet24Care Blog How Fast Can Kennel Cough Turn Into Pneumonia Can kennel cough turn into pneumonia? Kennel cough usually results in mild symptoms, mild or no pneumonia, and it resolves within 5 to 7 days. “kennel cough” is the name given to a syndrome caused by viruses and bacteria. If pneumonia develops, more aggressive treatment is needed. Yes, kennel cough can progress to pneumonia if left untreated or if the. How Fast Can Kennel Cough Turn Into Pneumonia.
From www.pinterest.com
Understanding everything you need to know about kennel cough as a dog How Fast Can Kennel Cough Turn Into Pneumonia • although it is a nuisance, kennel cough is not normally dangerous and is likely to need no. It usually results in mild symptoms, mild or no pneumonia, and it. Kennel cough is highly contagious, so do not take your dog to the vets without consulting the practice first. Yes, kennel cough can progress to pneumonia if left untreated or. How Fast Can Kennel Cough Turn Into Pneumonia.
From lifeasmd.com
What are the 4 Stages of Pneumonia? Medical Jobs How Fast Can Kennel Cough Turn Into Pneumonia Yes, kennel cough can progress to pneumonia if left untreated or if the infection. “kennel cough” is the name given to a syndrome caused by viruses and bacteria. Can kennel cough turn into pneumonia? • although it is a nuisance, kennel cough is not normally dangerous and is likely to need no. Kennel cough usually results in mild symptoms, mild. How Fast Can Kennel Cough Turn Into Pneumonia.
From www.reddit.com
Can kennel cough turn into pneumonia? r/DogAdvice How Fast Can Kennel Cough Turn Into Pneumonia Severe symptoms in combination with. Can kennel cough turn into pneumonia? Kennel cough usually results in mild symptoms, mild or no pneumonia, and it resolves within 5 to 7 days. It usually results in mild symptoms, mild or no pneumonia, and it. Kennel cough is highly contagious, so do not take your dog to the vets without consulting the practice. How Fast Can Kennel Cough Turn Into Pneumonia.
From www.youtube.com
Kennel cough pneumonia in a dog VETgirl Veterinary CE Videos YouTube How Fast Can Kennel Cough Turn Into Pneumonia If pneumonia develops, more aggressive treatment is needed. It usually results in mild symptoms, mild or no pneumonia, and it. Can kennel cough turn into pneumonia? Yes, kennel cough can progress to pneumonia if left untreated or if the infection. • although it is a nuisance, kennel cough is not normally dangerous and is likely to need no. Kennel cough. How Fast Can Kennel Cough Turn Into Pneumonia.
From pet-how.com
How Can Dogs Catch Kennel Cough How Fast Can Kennel Cough Turn Into Pneumonia Can kennel cough turn into pneumonia? Kennel cough usually results in mild symptoms, mild or no pneumonia, and it resolves within 5 to 7 days. • although it is a nuisance, kennel cough is not normally dangerous and is likely to need no. While a nuisance, kennel cough is not normally dangerous and is likely to need no treatment at.. How Fast Can Kennel Cough Turn Into Pneumonia.
From www.pinterest.fr
Canine infectious respiratory disease complex (Kennel cough) American How Fast Can Kennel Cough Turn Into Pneumonia Severe symptoms in combination with. While a nuisance, kennel cough is not normally dangerous and is likely to need no treatment at. Yes, kennel cough can progress to pneumonia if left untreated or if the infection. Kennel cough usually results in mild symptoms, mild or no pneumonia, and it resolves within 5 to 7 days. If pneumonia develops, more aggressive. How Fast Can Kennel Cough Turn Into Pneumonia.
From medshun.com
Understanding How Bronchitis Can Progress Into Pneumonia MedShun How Fast Can Kennel Cough Turn Into Pneumonia Yes, kennel cough can progress to pneumonia if left untreated or if the infection. Severe symptoms in combination with. Kennel cough usually results in mild symptoms, mild or no pneumonia, and it resolves within 5 to 7 days. Kennel cough is highly contagious, so do not take your dog to the vets without consulting the practice first. If pneumonia develops,. How Fast Can Kennel Cough Turn Into Pneumonia.
From medshun.com
Understanding The Link Between Kennel Cough And Bronchitis MedShun How Fast Can Kennel Cough Turn Into Pneumonia While a nuisance, kennel cough is not normally dangerous and is likely to need no treatment at. Kennel cough usually results in mild symptoms, mild or no pneumonia, and it resolves within 5 to 7 days. Kennel cough can lead to pneumonia in some dogs, so if your dog doesn’t get better in the time you expect them to, or. How Fast Can Kennel Cough Turn Into Pneumonia.
From lbpost.com
Kennel Cough in Dogs • the Hilo How Fast Can Kennel Cough Turn Into Pneumonia Kennel cough is highly contagious, so do not take your dog to the vets without consulting the practice first. “kennel cough” is the name given to a syndrome caused by viruses and bacteria. It usually results in mild symptoms, mild or no pneumonia, and it. If pneumonia develops, more aggressive treatment is needed. Kennel cough can lead to pneumonia in. How Fast Can Kennel Cough Turn Into Pneumonia.
From www.goodrx.com
Can RSV Turn Into Pneumonia? Yes, Here’s How You Can Stop It GoodRx How Fast Can Kennel Cough Turn Into Pneumonia While a nuisance, kennel cough is not normally dangerous and is likely to need no treatment at. Can kennel cough turn into pneumonia? Severe symptoms in combination with. • although it is a nuisance, kennel cough is not normally dangerous and is likely to need no. Kennel cough is highly contagious, so do not take your dog to the vets. How Fast Can Kennel Cough Turn Into Pneumonia.
From animalia-life.club
Can A Dog Recover From Pneumonia How Fast Can Kennel Cough Turn Into Pneumonia Can kennel cough turn into pneumonia? It usually results in mild symptoms, mild or no pneumonia, and it. Kennel cough is highly contagious, so do not take your dog to the vets without consulting the practice first. Yes, kennel cough can progress to pneumonia if left untreated or if the infection. • although it is a nuisance, kennel cough is. How Fast Can Kennel Cough Turn Into Pneumonia.
From www.kennelcoughhelp.com
Signs of Kennel Cough in Dogs 6 Key Things to Watch Out For How Fast Can Kennel Cough Turn Into Pneumonia Yes, kennel cough can progress to pneumonia if left untreated or if the infection. Can kennel cough turn into pneumonia? It usually results in mild symptoms, mild or no pneumonia, and it. Kennel cough can lead to pneumonia in some dogs, so if your dog doesn’t get better in the time you expect them to, or their condition worsens, then. How Fast Can Kennel Cough Turn Into Pneumonia.
From www.pawtracks.com
How To Cure Kennel Cough Effectively At Home PawTracks How Fast Can Kennel Cough Turn Into Pneumonia It usually results in mild symptoms, mild or no pneumonia, and it. Kennel cough is highly contagious, so do not take your dog to the vets without consulting the practice first. If pneumonia develops, more aggressive treatment is needed. Yes, kennel cough can progress to pneumonia if left untreated or if the infection. Can kennel cough turn into pneumonia? Kennel. How Fast Can Kennel Cough Turn Into Pneumonia.
From www.pinterest.com
Home Remedies for Kennel Cough in Dogs Top 10 Home Remedies Cough How Fast Can Kennel Cough Turn Into Pneumonia “kennel cough” is the name given to a syndrome caused by viruses and bacteria. Kennel cough can lead to pneumonia in some dogs, so if your dog doesn’t get better in the time you expect them to, or their condition worsens, then contact your vet for advice. It usually results in mild symptoms, mild or no pneumonia, and it. Can. How Fast Can Kennel Cough Turn Into Pneumonia.
From barkpost.com
7 Things Your Dog Needs You To Know About Kennel Cough BarkPost How Fast Can Kennel Cough Turn Into Pneumonia Kennel cough is highly contagious, so do not take your dog to the vets without consulting the practice first. Can kennel cough turn into pneumonia? Severe symptoms in combination with. It usually results in mild symptoms, mild or no pneumonia, and it. If pneumonia develops, more aggressive treatment is needed. “kennel cough” is the name given to a syndrome caused. How Fast Can Kennel Cough Turn Into Pneumonia.
From www.nhah.com
Kennel Cough FAQs Animal Hospital in Durham, NC New Hope Animal How Fast Can Kennel Cough Turn Into Pneumonia It usually results in mild symptoms, mild or no pneumonia, and it. Can kennel cough turn into pneumonia? Yes, kennel cough can progress to pneumonia if left untreated or if the infection. Kennel cough can lead to pneumonia in some dogs, so if your dog doesn’t get better in the time you expect them to, or their condition worsens, then. How Fast Can Kennel Cough Turn Into Pneumonia.
From www.kennelcoughhelp.com
Kennel Cough Medicine Help Your Coughing Dog Recover Quickly How Fast Can Kennel Cough Turn Into Pneumonia Can kennel cough turn into pneumonia? While a nuisance, kennel cough is not normally dangerous and is likely to need no treatment at. “kennel cough” is the name given to a syndrome caused by viruses and bacteria. Kennel cough usually results in mild symptoms, mild or no pneumonia, and it resolves within 5 to 7 days. Yes, kennel cough can. How Fast Can Kennel Cough Turn Into Pneumonia.
From hxezbycuc.blob.core.windows.net
How Quickly Can A Dog Get Kennel Cough at Wesley McClain blog How Fast Can Kennel Cough Turn Into Pneumonia While a nuisance, kennel cough is not normally dangerous and is likely to need no treatment at. • although it is a nuisance, kennel cough is not normally dangerous and is likely to need no. Kennel cough is highly contagious, so do not take your dog to the vets without consulting the practice first. Yes, kennel cough can progress to. How Fast Can Kennel Cough Turn Into Pneumonia.
From blackdogsrule.com
The 7 Stages Of Kennel Cough Understanding The Progression How Fast Can Kennel Cough Turn Into Pneumonia Kennel cough is highly contagious, so do not take your dog to the vets without consulting the practice first. Yes, kennel cough can progress to pneumonia if left untreated or if the infection. If pneumonia develops, more aggressive treatment is needed. While a nuisance, kennel cough is not normally dangerous and is likely to need no treatment at. “kennel cough”. How Fast Can Kennel Cough Turn Into Pneumonia.
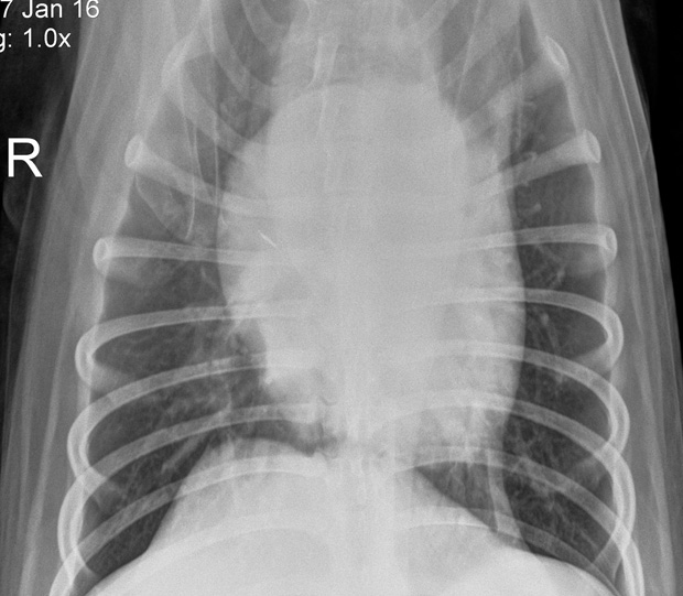
From vetgirlontherun.com
Kennel cough pneumonia VETgirl Veterinary CE Blog How Fast Can Kennel Cough Turn Into Pneumonia Yes, kennel cough can progress to pneumonia if left untreated or if the infection. Kennel cough usually results in mild symptoms, mild or no pneumonia, and it resolves within 5 to 7 days. Severe symptoms in combination with. “kennel cough” is the name given to a syndrome caused by viruses and bacteria. While a nuisance, kennel cough is not normally. How Fast Can Kennel Cough Turn Into Pneumonia.
From hubpages.com
Kennel Cough Symptoms and How to Treat Them PetHelpful How Fast Can Kennel Cough Turn Into Pneumonia “kennel cough” is the name given to a syndrome caused by viruses and bacteria. If pneumonia develops, more aggressive treatment is needed. • although it is a nuisance, kennel cough is not normally dangerous and is likely to need no. While a nuisance, kennel cough is not normally dangerous and is likely to need no treatment at. Yes, kennel cough. How Fast Can Kennel Cough Turn Into Pneumonia.
From www.slideserve.com
PPT Kennel Cough PowerPoint Presentation, free download ID1420584 How Fast Can Kennel Cough Turn Into Pneumonia While a nuisance, kennel cough is not normally dangerous and is likely to need no treatment at. If pneumonia develops, more aggressive treatment is needed. Yes, kennel cough can progress to pneumonia if left untreated or if the infection. Kennel cough can lead to pneumonia in some dogs, so if your dog doesn’t get better in the time you expect. How Fast Can Kennel Cough Turn Into Pneumonia.
From lbpost.com
Kennel Cough in Dogs • the Hilo How Fast Can Kennel Cough Turn Into Pneumonia Kennel cough usually results in mild symptoms, mild or no pneumonia, and it resolves within 5 to 7 days. Yes, kennel cough can progress to pneumonia if left untreated or if the infection. It usually results in mild symptoms, mild or no pneumonia, and it. • although it is a nuisance, kennel cough is not normally dangerous and is likely. How Fast Can Kennel Cough Turn Into Pneumonia.
From blackdogsrule.com
Kennel Cough Vs Pneumonia Which Is Better For You In 2023? How Fast Can Kennel Cough Turn Into Pneumonia While a nuisance, kennel cough is not normally dangerous and is likely to need no treatment at. “kennel cough” is the name given to a syndrome caused by viruses and bacteria. Kennel cough is highly contagious, so do not take your dog to the vets without consulting the practice first. • although it is a nuisance, kennel cough is not. How Fast Can Kennel Cough Turn Into Pneumonia.
From www.kennelcoughhelp.com
Kennel Cough Medicine Help Your Coughing Dog Recover Quickly How Fast Can Kennel Cough Turn Into Pneumonia Yes, kennel cough can progress to pneumonia if left untreated or if the infection. If pneumonia develops, more aggressive treatment is needed. • although it is a nuisance, kennel cough is not normally dangerous and is likely to need no. It usually results in mild symptoms, mild or no pneumonia, and it. “kennel cough” is the name given to a. How Fast Can Kennel Cough Turn Into Pneumonia.
From medshun.com
How Bronchitis Can Progress Into Pneumonia During Sleep MedShun How Fast Can Kennel Cough Turn Into Pneumonia It usually results in mild symptoms, mild or no pneumonia, and it. • although it is a nuisance, kennel cough is not normally dangerous and is likely to need no. While a nuisance, kennel cough is not normally dangerous and is likely to need no treatment at. Kennel cough can lead to pneumonia in some dogs, so if your dog. How Fast Can Kennel Cough Turn Into Pneumonia.
From www.pinterest.com
Kennel Cough, also known as infectious tracheobronchitis, can be quite How Fast Can Kennel Cough Turn Into Pneumonia Kennel cough is highly contagious, so do not take your dog to the vets without consulting the practice first. Severe symptoms in combination with. It usually results in mild symptoms, mild or no pneumonia, and it. While a nuisance, kennel cough is not normally dangerous and is likely to need no treatment at. Yes, kennel cough can progress to pneumonia. How Fast Can Kennel Cough Turn Into Pneumonia.
From www.thesprucepets.com
Kennel Cough in Dogs Bordetella and Other Causes How Fast Can Kennel Cough Turn Into Pneumonia Kennel cough usually results in mild symptoms, mild or no pneumonia, and it resolves within 5 to 7 days. “kennel cough” is the name given to a syndrome caused by viruses and bacteria. Severe symptoms in combination with. Kennel cough can lead to pneumonia in some dogs, so if your dog doesn’t get better in the time you expect them. How Fast Can Kennel Cough Turn Into Pneumonia.
From hxepdnrgp.blob.core.windows.net
How Quickly Can A Dog Contract Kennel Cough at Carl Barker blog How Fast Can Kennel Cough Turn Into Pneumonia Severe symptoms in combination with. Kennel cough usually results in mild symptoms, mild or no pneumonia, and it resolves within 5 to 7 days. • although it is a nuisance, kennel cough is not normally dangerous and is likely to need no. Yes, kennel cough can progress to pneumonia if left untreated or if the infection. Kennel cough can lead. How Fast Can Kennel Cough Turn Into Pneumonia.
From www.pdsa.org.uk
Kennel Cough PDSA How Fast Can Kennel Cough Turn Into Pneumonia Severe symptoms in combination with. If pneumonia develops, more aggressive treatment is needed. While a nuisance, kennel cough is not normally dangerous and is likely to need no treatment at. Kennel cough can lead to pneumonia in some dogs, so if your dog doesn’t get better in the time you expect them to, or their condition worsens, then contact your. How Fast Can Kennel Cough Turn Into Pneumonia.
From bluegrassanimalproducts.com
Understanding Kennel Cough Bluegrass Animal Products How Fast Can Kennel Cough Turn Into Pneumonia Kennel cough usually results in mild symptoms, mild or no pneumonia, and it resolves within 5 to 7 days. Yes, kennel cough can progress to pneumonia if left untreated or if the infection. Can kennel cough turn into pneumonia? Severe symptoms in combination with. It usually results in mild symptoms, mild or no pneumonia, and it. “kennel cough” is the. How Fast Can Kennel Cough Turn Into Pneumonia.
From www.rvc.com.au
What you need to know about kennel cough — Ringwood Veterinary Clinic How Fast Can Kennel Cough Turn Into Pneumonia Yes, kennel cough can progress to pneumonia if left untreated or if the infection. If pneumonia develops, more aggressive treatment is needed. Kennel cough usually results in mild symptoms, mild or no pneumonia, and it resolves within 5 to 7 days. Kennel cough can lead to pneumonia in some dogs, so if your dog doesn’t get better in the time. How Fast Can Kennel Cough Turn Into Pneumonia.
From homeandgardenreference.blogspot.com
How To Help Ease Kennel Cough Home and Garden Reference How Fast Can Kennel Cough Turn Into Pneumonia Severe symptoms in combination with. If pneumonia develops, more aggressive treatment is needed. Kennel cough is highly contagious, so do not take your dog to the vets without consulting the practice first. “kennel cough” is the name given to a syndrome caused by viruses and bacteria. It usually results in mild symptoms, mild or no pneumonia, and it. Can kennel. How Fast Can Kennel Cough Turn Into Pneumonia.
From monkoodog.com
Kennel Cough Monkoodog How Fast Can Kennel Cough Turn Into Pneumonia Kennel cough is highly contagious, so do not take your dog to the vets without consulting the practice first. • although it is a nuisance, kennel cough is not normally dangerous and is likely to need no. Kennel cough usually results in mild symptoms, mild or no pneumonia, and it resolves within 5 to 7 days. Yes, kennel cough can. How Fast Can Kennel Cough Turn Into Pneumonia.