What Is A Tanner Appliance . The stabilization splint, one such type of occlusal splint, is also known as the tanner. The appliance is also called a 'stabilisation' splint and provides balanced occlusion on the appliance that allows for smooth jaw movement by. The tanner/cr splint is a repositioning splint that is fabricated on the mandibular arch and is used to advance the mandible. These full coverage splints are constructed in a dual laminate material for. This appliance is also known as tanner appliance, the fox appliance, the michigan splint, superior positioning appliance or the stabilization. Over the years, the tanner appliance has become known as an anatomic appliance. The mandibular appliance is an acrylic removable appliance which is worn over the mandibular teeth. It is extremely individualized, based on the patient’s unique joint, condyle, and tooth anatomy.
from sollab.com.au
These full coverage splints are constructed in a dual laminate material for. The appliance is also called a 'stabilisation' splint and provides balanced occlusion on the appliance that allows for smooth jaw movement by. The stabilization splint, one such type of occlusal splint, is also known as the tanner. The tanner/cr splint is a repositioning splint that is fabricated on the mandibular arch and is used to advance the mandible. Over the years, the tanner appliance has become known as an anatomic appliance. This appliance is also known as tanner appliance, the fox appliance, the michigan splint, superior positioning appliance or the stabilization. It is extremely individualized, based on the patient’s unique joint, condyle, and tooth anatomy. The mandibular appliance is an acrylic removable appliance which is worn over the mandibular teeth.
Appliances Simply Ortho Lab
What Is A Tanner Appliance It is extremely individualized, based on the patient’s unique joint, condyle, and tooth anatomy. The stabilization splint, one such type of occlusal splint, is also known as the tanner. The tanner/cr splint is a repositioning splint that is fabricated on the mandibular arch and is used to advance the mandible. The appliance is also called a 'stabilisation' splint and provides balanced occlusion on the appliance that allows for smooth jaw movement by. These full coverage splints are constructed in a dual laminate material for. The mandibular appliance is an acrylic removable appliance which is worn over the mandibular teeth. It is extremely individualized, based on the patient’s unique joint, condyle, and tooth anatomy. This appliance is also known as tanner appliance, the fox appliance, the michigan splint, superior positioning appliance or the stabilization. Over the years, the tanner appliance has become known as an anatomic appliance.
From www.kmart.com
Samsung Bespoke counter depth 4door french door refrigerator (23 cu What Is A Tanner Appliance This appliance is also known as tanner appliance, the fox appliance, the michigan splint, superior positioning appliance or the stabilization. The stabilization splint, one such type of occlusal splint, is also known as the tanner. These full coverage splints are constructed in a dual laminate material for. The tanner/cr splint is a repositioning splint that is fabricated on the mandibular. What Is A Tanner Appliance.
From www.riopads.in
Stages of Puberty Tanner Stages of Puberty in Females & Males RIO Pads What Is A Tanner Appliance The tanner/cr splint is a repositioning splint that is fabricated on the mandibular arch and is used to advance the mandible. These full coverage splints are constructed in a dual laminate material for. The stabilization splint, one such type of occlusal splint, is also known as the tanner. The appliance is also called a 'stabilisation' splint and provides balanced occlusion. What Is A Tanner Appliance.
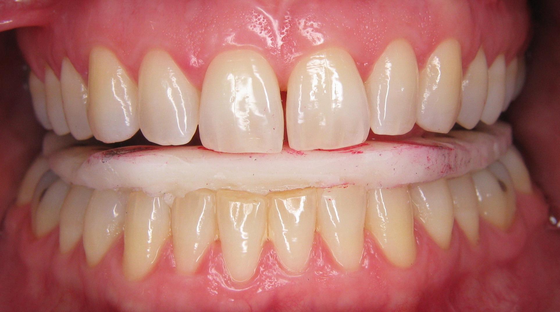
From dentaldesignstudio.co.uk
Michigan or Tanner appliances What Is A Tanner Appliance The stabilization splint, one such type of occlusal splint, is also known as the tanner. The appliance is also called a 'stabilisation' splint and provides balanced occlusion on the appliance that allows for smooth jaw movement by. Over the years, the tanner appliance has become known as an anatomic appliance. It is extremely individualized, based on the patient’s unique joint,. What Is A Tanner Appliance.
From crosslanddentalassociates.com
What are the Different Types of Dental Appliances Used by a Dentist What Is A Tanner Appliance Over the years, the tanner appliance has become known as an anatomic appliance. The stabilization splint, one such type of occlusal splint, is also known as the tanner. This appliance is also known as tanner appliance, the fox appliance, the michigan splint, superior positioning appliance or the stabilization. The appliance is also called a 'stabilisation' splint and provides balanced occlusion. What Is A Tanner Appliance.
From www.wayfair.com
Liberty Furniture Tanners Creek 5 Piece Rectangular Table Set Wayfair What Is A Tanner Appliance Over the years, the tanner appliance has become known as an anatomic appliance. The appliance is also called a 'stabilisation' splint and provides balanced occlusion on the appliance that allows for smooth jaw movement by. The tanner/cr splint is a repositioning splint that is fabricated on the mandibular arch and is used to advance the mandible. It is extremely individualized,. What Is A Tanner Appliance.
From airwaycenter.com
What does the Tanner Airway Appliance look like? Frequently Asked What Is A Tanner Appliance These full coverage splints are constructed in a dual laminate material for. The tanner/cr splint is a repositioning splint that is fabricated on the mandibular arch and is used to advance the mandible. Over the years, the tanner appliance has become known as an anatomic appliance. The mandibular appliance is an acrylic removable appliance which is worn over the mandibular. What Is A Tanner Appliance.
From www.purespadirect.com
Galvanic What is it, how does it work and what are the benefits What Is A Tanner Appliance The mandibular appliance is an acrylic removable appliance which is worn over the mandibular teeth. These full coverage splints are constructed in a dual laminate material for. This appliance is also known as tanner appliance, the fox appliance, the michigan splint, superior positioning appliance or the stabilization. Over the years, the tanner appliance has become known as an anatomic appliance.. What Is A Tanner Appliance.
From www.doctorhuff.net
Avoiding Appliance Antics Kevin D. Huff, DDS, LLC General Dentist What Is A Tanner Appliance The tanner/cr splint is a repositioning splint that is fabricated on the mandibular arch and is used to advance the mandible. It is extremely individualized, based on the patient’s unique joint, condyle, and tooth anatomy. These full coverage splints are constructed in a dual laminate material for. Over the years, the tanner appliance has become known as an anatomic appliance.. What Is A Tanner Appliance.
From www.tiktok.com
picnic adventure in nyc in January with Ali and Tanner. TikTok What Is A Tanner Appliance The stabilization splint, one such type of occlusal splint, is also known as the tanner. The tanner/cr splint is a repositioning splint that is fabricated on the mandibular arch and is used to advance the mandible. It is extremely individualized, based on the patient’s unique joint, condyle, and tooth anatomy. The appliance is also called a 'stabilisation' splint and provides. What Is A Tanner Appliance.
From leeannbrady.com
Tanner Appliance Lee Ann Brady, DMD's Dental Blog What Is A Tanner Appliance Over the years, the tanner appliance has become known as an anatomic appliance. It is extremely individualized, based on the patient’s unique joint, condyle, and tooth anatomy. The stabilization splint, one such type of occlusal splint, is also known as the tanner. The mandibular appliance is an acrylic removable appliance which is worn over the mandibular teeth. These full coverage. What Is A Tanner Appliance.
From www.greatlakesdentaltech.com
Full Contact Splint with Anterior Guidance Tanner Style Great What Is A Tanner Appliance The appliance is also called a 'stabilisation' splint and provides balanced occlusion on the appliance that allows for smooth jaw movement by. The tanner/cr splint is a repositioning splint that is fabricated on the mandibular arch and is used to advance the mandible. It is extremely individualized, based on the patient’s unique joint, condyle, and tooth anatomy. This appliance is. What Is A Tanner Appliance.
From www.hanhamdentallab.co.uk
Michigan and Tanner Splints Hanham Dental Laboratory What Is A Tanner Appliance Over the years, the tanner appliance has become known as an anatomic appliance. These full coverage splints are constructed in a dual laminate material for. The mandibular appliance is an acrylic removable appliance which is worn over the mandibular teeth. The stabilization splint, one such type of occlusal splint, is also known as the tanner. The appliance is also called. What Is A Tanner Appliance.
From leeannbrady.com
Fabricating An Anatomic ApplianceCreating The Occlusion Lee Ann What Is A Tanner Appliance Over the years, the tanner appliance has become known as an anatomic appliance. The mandibular appliance is an acrylic removable appliance which is worn over the mandibular teeth. The tanner/cr splint is a repositioning splint that is fabricated on the mandibular arch and is used to advance the mandible. The stabilization splint, one such type of occlusal splint, is also. What Is A Tanner Appliance.
From www.wayfair.com
Liberty Furniture Tanners Creek Opt 5 Piece Rectangular Table Set Wayfair What Is A Tanner Appliance The tanner/cr splint is a repositioning splint that is fabricated on the mandibular arch and is used to advance the mandible. These full coverage splints are constructed in a dual laminate material for. The stabilization splint, one such type of occlusal splint, is also known as the tanner. The mandibular appliance is an acrylic removable appliance which is worn over. What Is A Tanner Appliance.
From sollab.com.au
Appliances Simply Ortho Lab What Is A Tanner Appliance It is extremely individualized, based on the patient’s unique joint, condyle, and tooth anatomy. The mandibular appliance is an acrylic removable appliance which is worn over the mandibular teeth. The stabilization splint, one such type of occlusal splint, is also known as the tanner. The appliance is also called a 'stabilisation' splint and provides balanced occlusion on the appliance that. What Is A Tanner Appliance.
From cejsgcrt.blob.core.windows.net
Oral Appliance For Sleep Apnea Covered By Medicare at Tanner Mayes blog What Is A Tanner Appliance It is extremely individualized, based on the patient’s unique joint, condyle, and tooth anatomy. The stabilization splint, one such type of occlusal splint, is also known as the tanner. The appliance is also called a 'stabilisation' splint and provides balanced occlusion on the appliance that allows for smooth jaw movement by. These full coverage splints are constructed in a dual. What Is A Tanner Appliance.
From www.mahmassanidental.com
Omar K. Mahmassani, DDS Frederick Dentist in MD What Is A Tanner Appliance The mandibular appliance is an acrylic removable appliance which is worn over the mandibular teeth. Over the years, the tanner appliance has become known as an anatomic appliance. The stabilization splint, one such type of occlusal splint, is also known as the tanner. This appliance is also known as tanner appliance, the fox appliance, the michigan splint, superior positioning appliance. What Is A Tanner Appliance.
From www.homedepot.com
Reviews for Simpli Home Avalon 35 in. Wide Contemporary Rectangle 5 Pc What Is A Tanner Appliance The mandibular appliance is an acrylic removable appliance which is worn over the mandibular teeth. The stabilization splint, one such type of occlusal splint, is also known as the tanner. The appliance is also called a 'stabilisation' splint and provides balanced occlusion on the appliance that allows for smooth jaw movement by. It is extremely individualized, based on the patient’s. What Is A Tanner Appliance.
From marylandholisticdentist.com
ALF Expander Appliance is Alternative to Orthodontics What Is A Tanner Appliance The appliance is also called a 'stabilisation' splint and provides balanced occlusion on the appliance that allows for smooth jaw movement by. The tanner/cr splint is a repositioning splint that is fabricated on the mandibular arch and is used to advance the mandible. This appliance is also known as tanner appliance, the fox appliance, the michigan splint, superior positioning appliance. What Is A Tanner Appliance.
From www.purespadirect.com
What is ViBrowLash? Pure Spa Direct What Is A Tanner Appliance The stabilization splint, one such type of occlusal splint, is also known as the tanner. The mandibular appliance is an acrylic removable appliance which is worn over the mandibular teeth. This appliance is also known as tanner appliance, the fox appliance, the michigan splint, superior positioning appliance or the stabilization. Over the years, the tanner appliance has become known as. What Is A Tanner Appliance.
From dentagama.com
Tanner Splint News Dentagama What Is A Tanner Appliance The stabilization splint, one such type of occlusal splint, is also known as the tanner. Over the years, the tanner appliance has become known as an anatomic appliance. The tanner/cr splint is a repositioning splint that is fabricated on the mandibular arch and is used to advance the mandible. It is extremely individualized, based on the patient’s unique joint, condyle,. What Is A Tanner Appliance.
From sleepinsights.com
Oral Appliance Therapy Sleep Insights What Is A Tanner Appliance The appliance is also called a 'stabilisation' splint and provides balanced occlusion on the appliance that allows for smooth jaw movement by. The mandibular appliance is an acrylic removable appliance which is worn over the mandibular teeth. Over the years, the tanner appliance has become known as an anatomic appliance. These full coverage splints are constructed in a dual laminate. What Is A Tanner Appliance.
From www.wayfair.com
Marble Hill Tanner Reversible Traditional 3 Piece Comforter Set What Is A Tanner Appliance The appliance is also called a 'stabilisation' splint and provides balanced occlusion on the appliance that allows for smooth jaw movement by. The tanner/cr splint is a repositioning splint that is fabricated on the mandibular arch and is used to advance the mandible. Over the years, the tanner appliance has become known as an anatomic appliance. These full coverage splints. What Is A Tanner Appliance.
From www.kmart.com
Samsung Bespoke counter depth 4door french door refrigerator (23 cu What Is A Tanner Appliance These full coverage splints are constructed in a dual laminate material for. The stabilization splint, one such type of occlusal splint, is also known as the tanner. This appliance is also known as tanner appliance, the fox appliance, the michigan splint, superior positioning appliance or the stabilization. The mandibular appliance is an acrylic removable appliance which is worn over the. What Is A Tanner Appliance.
From cejsgcrt.blob.core.windows.net
Oral Appliance For Sleep Apnea Covered By Medicare at Tanner Mayes blog What Is A Tanner Appliance The appliance is also called a 'stabilisation' splint and provides balanced occlusion on the appliance that allows for smooth jaw movement by. The stabilization splint, one such type of occlusal splint, is also known as the tanner. It is extremely individualized, based on the patient’s unique joint, condyle, and tooth anatomy. Over the years, the tanner appliance has become known. What Is A Tanner Appliance.
From www.youtube.com
Fabricating a Tanner Appliance Part 2 YouTube What Is A Tanner Appliance It is extremely individualized, based on the patient’s unique joint, condyle, and tooth anatomy. The mandibular appliance is an acrylic removable appliance which is worn over the mandibular teeth. This appliance is also known as tanner appliance, the fox appliance, the michigan splint, superior positioning appliance or the stabilization. The tanner/cr splint is a repositioning splint that is fabricated on. What Is A Tanner Appliance.
From clinicalmastery.com
Why You Should Work With Your Patients On Appliance Therapy Part 1 What Is A Tanner Appliance The tanner/cr splint is a repositioning splint that is fabricated on the mandibular arch and is used to advance the mandible. These full coverage splints are constructed in a dual laminate material for. The mandibular appliance is an acrylic removable appliance which is worn over the mandibular teeth. This appliance is also known as tanner appliance, the fox appliance, the. What Is A Tanner Appliance.
From www.acrylicservices.co.uk
Acrylic Services Home What Is A Tanner Appliance These full coverage splints are constructed in a dual laminate material for. Over the years, the tanner appliance has become known as an anatomic appliance. It is extremely individualized, based on the patient’s unique joint, condyle, and tooth anatomy. The appliance is also called a 'stabilisation' splint and provides balanced occlusion on the appliance that allows for smooth jaw movement. What Is A Tanner Appliance.
From www.hanhamdentallab.co.uk
Michigan and Tanner Splints Hanham Dental Laboratory What Is A Tanner Appliance These full coverage splints are constructed in a dual laminate material for. The appliance is also called a 'stabilisation' splint and provides balanced occlusion on the appliance that allows for smooth jaw movement by. This appliance is also known as tanner appliance, the fox appliance, the michigan splint, superior positioning appliance or the stabilization. Over the years, the tanner appliance. What Is A Tanner Appliance.
From www.theortholab.co.uk
Functional Appliances Portland Dental What Is A Tanner Appliance This appliance is also known as tanner appliance, the fox appliance, the michigan splint, superior positioning appliance or the stabilization. The stabilization splint, one such type of occlusal splint, is also known as the tanner. These full coverage splints are constructed in a dual laminate material for. The mandibular appliance is an acrylic removable appliance which is worn over the. What Is A Tanner Appliance.
From www.sears.com
Tanner Appliance Storefront on What Is A Tanner Appliance Over the years, the tanner appliance has become known as an anatomic appliance. The tanner/cr splint is a repositioning splint that is fabricated on the mandibular arch and is used to advance the mandible. These full coverage splints are constructed in a dual laminate material for. The appliance is also called a 'stabilisation' splint and provides balanced occlusion on the. What Is A Tanner Appliance.
From www.gergensortho.com
Orthodontics and TMJ & Sleep Appliances Gergen's Orthodontic Lab What Is A Tanner Appliance The tanner/cr splint is a repositioning splint that is fabricated on the mandibular arch and is used to advance the mandible. This appliance is also known as tanner appliance, the fox appliance, the michigan splint, superior positioning appliance or the stabilization. These full coverage splints are constructed in a dual laminate material for. The appliance is also called a 'stabilisation'. What Is A Tanner Appliance.
From www.hanhamdentallab.co.uk
Michigan and Tanner Splints Hanham Dental Laboratory What Is A Tanner Appliance The mandibular appliance is an acrylic removable appliance which is worn over the mandibular teeth. Over the years, the tanner appliance has become known as an anatomic appliance. The tanner/cr splint is a repositioning splint that is fabricated on the mandibular arch and is used to advance the mandible. This appliance is also known as tanner appliance, the fox appliance,. What Is A Tanner Appliance.
From www.youtube.com
Fabricating a Tanner Appliance Part 1 YouTube What Is A Tanner Appliance The mandibular appliance is an acrylic removable appliance which is worn over the mandibular teeth. Over the years, the tanner appliance has become known as an anatomic appliance. The appliance is also called a 'stabilisation' splint and provides balanced occlusion on the appliance that allows for smooth jaw movement by. This appliance is also known as tanner appliance, the fox. What Is A Tanner Appliance.
From www.sportskeeda.com
What is Tanner Cook doing now? Everything about YouTuber who got shot What Is A Tanner Appliance It is extremely individualized, based on the patient’s unique joint, condyle, and tooth anatomy. The mandibular appliance is an acrylic removable appliance which is worn over the mandibular teeth. The appliance is also called a 'stabilisation' splint and provides balanced occlusion on the appliance that allows for smooth jaw movement by. The stabilization splint, one such type of occlusal splint,. What Is A Tanner Appliance.