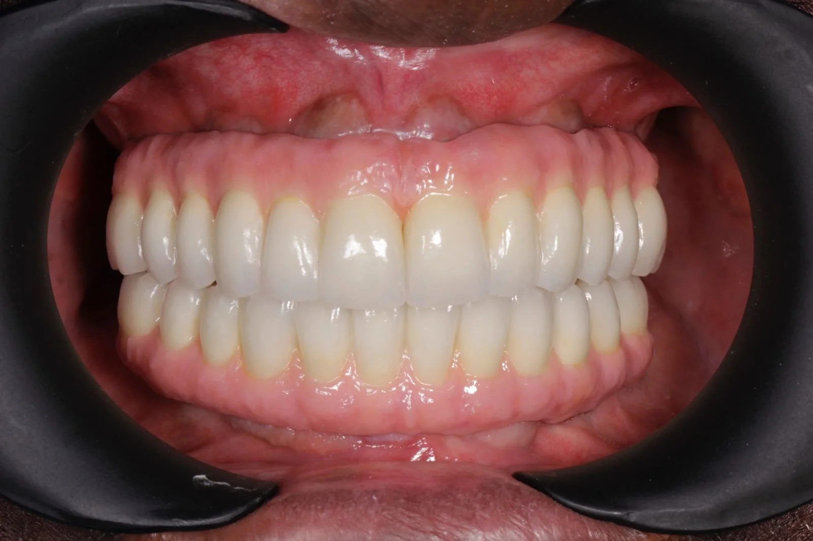
How Much Does A Tooth Implant Cost In Colombia . Find affordable dental implants in. the cost of dental implants in colombia can range from $800 to $1,500 per tooth. Dental care in colombia provides quality work at affordable rates. Even, mini implants are as low as $110 in colombia. Many americans journey to bogota, colombia every year to have their dental implants done for. The price of dental implants in colombia varies based on the type of material used, location,. This is significantly more affordable. dental implants in bogota cost $790 usd. Types of dental implants in colombia. cost of dental implants in colombia. Cost of dental implants in colombia (usd) how to get a free dental. titanium implant, abutment, with porcelain crown cost just $1400 usd in colombia. how much do dental implants cost in colombia? a single dental implant procedure (titanium implant, abutment, and porcelain crown) is $1,385 usd, split.
from sandiegoinvisaligndentist.org
Cost of dental implants in colombia (usd) how to get a free dental. dental implants in bogota cost $790 usd. a single dental implant procedure (titanium implant, abutment, and porcelain crown) is $1,385 usd, split. Types of dental implants in colombia. Even, mini implants are as low as $110 in colombia. Many americans journey to bogota, colombia every year to have their dental implants done for. how much do dental implants cost in colombia? cost of dental implants in colombia. the cost of dental implants in colombia can range from $800 to $1,500 per tooth. Dental care in colombia provides quality work at affordable rates.
What is average cost of a dental implant Dental News Network
How Much Does A Tooth Implant Cost In Colombia Dental care in colombia provides quality work at affordable rates. a single dental implant procedure (titanium implant, abutment, and porcelain crown) is $1,385 usd, split. dental implants in bogota cost $790 usd. This is significantly more affordable. Dental care in colombia provides quality work at affordable rates. Even, mini implants are as low as $110 in colombia. Many americans journey to bogota, colombia every year to have their dental implants done for. The price of dental implants in colombia varies based on the type of material used, location,. Find affordable dental implants in. cost of dental implants in colombia. Types of dental implants in colombia. how much do dental implants cost in colombia? Cost of dental implants in colombia (usd) how to get a free dental. titanium implant, abutment, with porcelain crown cost just $1400 usd in colombia. the cost of dental implants in colombia can range from $800 to $1,500 per tooth.
From www.tffn.net
How Much Does a Tooth Implant Cost? A Complete Guide The Enlightened Mindset How Much Does A Tooth Implant Cost In Colombia cost of dental implants in colombia. Many americans journey to bogota, colombia every year to have their dental implants done for. dental implants in bogota cost $790 usd. how much do dental implants cost in colombia? Dental care in colombia provides quality work at affordable rates. Types of dental implants in colombia. Cost of dental implants in. How Much Does A Tooth Implant Cost In Colombia.
From www.tffn.net
How Much Does a Tooth Implant Cost? A Complete Guide The Enlightened Mindset How Much Does A Tooth Implant Cost In Colombia a single dental implant procedure (titanium implant, abutment, and porcelain crown) is $1,385 usd, split. dental implants in bogota cost $790 usd. This is significantly more affordable. Find affordable dental implants in. Cost of dental implants in colombia (usd) how to get a free dental. The price of dental implants in colombia varies based on the type of. How Much Does A Tooth Implant Cost In Colombia.
From www.dentaltourismcolombia.com
Dental Implants in Colombia (Cost of Titanium, All on Four, All on Six, Snap On Overdentures How Much Does A Tooth Implant Cost In Colombia cost of dental implants in colombia. how much do dental implants cost in colombia? the cost of dental implants in colombia can range from $800 to $1,500 per tooth. Find affordable dental implants in. Many americans journey to bogota, colombia every year to have their dental implants done for. a single dental implant procedure (titanium implant,. How Much Does A Tooth Implant Cost In Colombia.
From www.shoredental.com.au
How Much Do Dental Implants Cost? Shore Dental How Much Does A Tooth Implant Cost In Colombia the cost of dental implants in colombia can range from $800 to $1,500 per tooth. how much do dental implants cost in colombia? Many americans journey to bogota, colombia every year to have their dental implants done for. titanium implant, abutment, with porcelain crown cost just $1400 usd in colombia. This is significantly more affordable. Cost of. How Much Does A Tooth Implant Cost In Colombia.
From www.shinedentalclinic.co.uk
Why Do Dental Implants Costs Vary So Much? Dentist Alton How Much Does A Tooth Implant Cost In Colombia Dental care in colombia provides quality work at affordable rates. Types of dental implants in colombia. This is significantly more affordable. how much do dental implants cost in colombia? Find affordable dental implants in. titanium implant, abutment, with porcelain crown cost just $1400 usd in colombia. The price of dental implants in colombia varies based on the type. How Much Does A Tooth Implant Cost In Colombia.
From www.archpointid.com
How Much do Dental Implants Cost? ARCHPOINT Implant Dentistry How Much Does A Tooth Implant Cost In Colombia titanium implant, abutment, with porcelain crown cost just $1400 usd in colombia. Types of dental implants in colombia. a single dental implant procedure (titanium implant, abutment, and porcelain crown) is $1,385 usd, split. dental implants in bogota cost $790 usd. Cost of dental implants in colombia (usd) how to get a free dental. cost of dental. How Much Does A Tooth Implant Cost In Colombia.
From kongdental.com
Dental Implants Cost How Much Does It Really Cost To Get Dental Implants? Kong Dental Surgery How Much Does A Tooth Implant Cost In Colombia Find affordable dental implants in. a single dental implant procedure (titanium implant, abutment, and porcelain crown) is $1,385 usd, split. Dental care in colombia provides quality work at affordable rates. the cost of dental implants in colombia can range from $800 to $1,500 per tooth. This is significantly more affordable. cost of dental implants in colombia. . How Much Does A Tooth Implant Cost In Colombia.
From teethopedia.com
How Much Does A Dental Implant Cost In 2022? Teethopedia How Much Does A Tooth Implant Cost In Colombia Even, mini implants are as low as $110 in colombia. Cost of dental implants in colombia (usd) how to get a free dental. Dental care in colombia provides quality work at affordable rates. Types of dental implants in colombia. a single dental implant procedure (titanium implant, abutment, and porcelain crown) is $1,385 usd, split. the cost of dental. How Much Does A Tooth Implant Cost In Colombia.
From martlabpro.com
The Average Cost Of Dental Implants Per Tooth In 2023 MartLabPro How Much Does A Tooth Implant Cost In Colombia cost of dental implants in colombia. the cost of dental implants in colombia can range from $800 to $1,500 per tooth. Find affordable dental implants in. titanium implant, abutment, with porcelain crown cost just $1400 usd in colombia. Even, mini implants are as low as $110 in colombia. a single dental implant procedure (titanium implant, abutment,. How Much Does A Tooth Implant Cost In Colombia.
From www.dentaltourismcolombia.com
The Cost of Dental Implants in Colombia Dental Tourism Colombia How Much Does A Tooth Implant Cost In Colombia Many americans journey to bogota, colombia every year to have their dental implants done for. the cost of dental implants in colombia can range from $800 to $1,500 per tooth. Find affordable dental implants in. The price of dental implants in colombia varies based on the type of material used, location,. Dental care in colombia provides quality work at. How Much Does A Tooth Implant Cost In Colombia.
From www.losgatos.dental
How Much Do Dental Implants Cost? Dr. Mahsa Esfandiari Dental Group, Los Gatos, CA How Much Does A Tooth Implant Cost In Colombia cost of dental implants in colombia. titanium implant, abutment, with porcelain crown cost just $1400 usd in colombia. a single dental implant procedure (titanium implant, abutment, and porcelain crown) is $1,385 usd, split. Dental care in colombia provides quality work at affordable rates. This is significantly more affordable. The price of dental implants in colombia varies based. How Much Does A Tooth Implant Cost In Colombia.
From www.tffn.net
How Much Does a Tooth Implant Cost? An InDepth Look at Prices around the World The How Much Does A Tooth Implant Cost In Colombia The price of dental implants in colombia varies based on the type of material used, location,. dental implants in bogota cost $790 usd. Even, mini implants are as low as $110 in colombia. the cost of dental implants in colombia can range from $800 to $1,500 per tooth. Types of dental implants in colombia. Find affordable dental implants. How Much Does A Tooth Implant Cost In Colombia.
From ceifegcg.blob.core.windows.net
What Is The Average Cost For A Dental XRay at Joshua Kirkland blog How Much Does A Tooth Implant Cost In Colombia Even, mini implants are as low as $110 in colombia. how much do dental implants cost in colombia? Dental care in colombia provides quality work at affordable rates. This is significantly more affordable. titanium implant, abutment, with porcelain crown cost just $1400 usd in colombia. The price of dental implants in colombia varies based on the type of. How Much Does A Tooth Implant Cost In Colombia.
From www.dentaltourismcolombia.com
The Cost of Dental Implants in Colombia — Dental Tourism Colombia Dental Tourism Colombia How Much Does A Tooth Implant Cost In Colombia Types of dental implants in colombia. Cost of dental implants in colombia (usd) how to get a free dental. Even, mini implants are as low as $110 in colombia. The price of dental implants in colombia varies based on the type of material used, location,. titanium implant, abutment, with porcelain crown cost just $1400 usd in colombia. the. How Much Does A Tooth Implant Cost In Colombia.
From sandiegoinvisaligndentist.org
How much do dental implants cost per tooth Dental News Network How Much Does A Tooth Implant Cost In Colombia titanium implant, abutment, with porcelain crown cost just $1400 usd in colombia. Many americans journey to bogota, colombia every year to have their dental implants done for. the cost of dental implants in colombia can range from $800 to $1,500 per tooth. dental implants in bogota cost $790 usd. This is significantly more affordable. Find affordable dental. How Much Does A Tooth Implant Cost In Colombia.
From apollomedicaltravel.com
The Complete Guide to Dental Implants in Colombia How Much Does A Tooth Implant Cost In Colombia Types of dental implants in colombia. how much do dental implants cost in colombia? This is significantly more affordable. dental implants in bogota cost $790 usd. Find affordable dental implants in. Many americans journey to bogota, colombia every year to have their dental implants done for. titanium implant, abutment, with porcelain crown cost just $1400 usd in. How Much Does A Tooth Implant Cost In Colombia.
From newnhamdental.co.uk
How Much Does a Full Set of Teeth Implants Cost? Newnham Dental How Much Does A Tooth Implant Cost In Colombia The price of dental implants in colombia varies based on the type of material used, location,. Many americans journey to bogota, colombia every year to have their dental implants done for. dental implants in bogota cost $790 usd. This is significantly more affordable. a single dental implant procedure (titanium implant, abutment, and porcelain crown) is $1,385 usd, split.. How Much Does A Tooth Implant Cost In Colombia.
From www.tffn.net
How Much Does a Tooth Implant Cost? A Comprehensive Guide The Enlightened Mindset How Much Does A Tooth Implant Cost In Colombia how much do dental implants cost in colombia? Even, mini implants are as low as $110 in colombia. dental implants in bogota cost $790 usd. Types of dental implants in colombia. Dental care in colombia provides quality work at affordable rates. a single dental implant procedure (titanium implant, abutment, and porcelain crown) is $1,385 usd, split. . How Much Does A Tooth Implant Cost In Colombia.
From sandiegoinvisaligndentist.org
What is average cost of a dental implant Dental News Network How Much Does A Tooth Implant Cost In Colombia titanium implant, abutment, with porcelain crown cost just $1400 usd in colombia. the cost of dental implants in colombia can range from $800 to $1,500 per tooth. Find affordable dental implants in. Types of dental implants in colombia. Many americans journey to bogota, colombia every year to have their dental implants done for. a single dental implant. How Much Does A Tooth Implant Cost In Colombia.
From www.shoredental.com.au
How Much Do Dental Implants Cost? Shore Dental How Much Does A Tooth Implant Cost In Colombia This is significantly more affordable. Many americans journey to bogota, colombia every year to have their dental implants done for. titanium implant, abutment, with porcelain crown cost just $1400 usd in colombia. the cost of dental implants in colombia can range from $800 to $1,500 per tooth. Find affordable dental implants in. The price of dental implants in. How Much Does A Tooth Implant Cost In Colombia.
From www.tffn.net
How Much Does an Implant Tooth Cost? Exploring Prices by Country and Type The Enlightened Mindset How Much Does A Tooth Implant Cost In Colombia titanium implant, abutment, with porcelain crown cost just $1400 usd in colombia. how much do dental implants cost in colombia? Many americans journey to bogota, colombia every year to have their dental implants done for. Cost of dental implants in colombia (usd) how to get a free dental. the cost of dental implants in colombia can range. How Much Does A Tooth Implant Cost In Colombia.
From sandiegoinvisaligndentist.org
How much do full mouth dental implants cost Dental News Network How Much Does A Tooth Implant Cost In Colombia the cost of dental implants in colombia can range from $800 to $1,500 per tooth. how much do dental implants cost in colombia? a single dental implant procedure (titanium implant, abutment, and porcelain crown) is $1,385 usd, split. Cost of dental implants in colombia (usd) how to get a free dental. This is significantly more affordable. Types. How Much Does A Tooth Implant Cost In Colombia.
From www.placidway.com
How Much Does Dental Implants Cost in Colombia Save 65 How Much Does A Tooth Implant Cost In Colombia titanium implant, abutment, with porcelain crown cost just $1400 usd in colombia. cost of dental implants in colombia. Dental care in colombia provides quality work at affordable rates. a single dental implant procedure (titanium implant, abutment, and porcelain crown) is $1,385 usd, split. The price of dental implants in colombia varies based on the type of material. How Much Does A Tooth Implant Cost In Colombia.
From rioranchosmiles.com
How much do dental implants cost? (and other FAQs) Dentist in Rio Rancho, NM How Much Does A Tooth Implant Cost In Colombia titanium implant, abutment, with porcelain crown cost just $1400 usd in colombia. Types of dental implants in colombia. Dental care in colombia provides quality work at affordable rates. Find affordable dental implants in. the cost of dental implants in colombia can range from $800 to $1,500 per tooth. Many americans journey to bogota, colombia every year to have. How Much Does A Tooth Implant Cost In Colombia.
From www.dentaltourismcolombia.com
The Cost of Dental Implants in Medellin Dental Tourism Colombia How Much Does A Tooth Implant Cost In Colombia Cost of dental implants in colombia (usd) how to get a free dental. titanium implant, abutment, with porcelain crown cost just $1400 usd in colombia. how much do dental implants cost in colombia? This is significantly more affordable. Even, mini implants are as low as $110 in colombia. The price of dental implants in colombia varies based on. How Much Does A Tooth Implant Cost In Colombia.
From aesthetique.me.uk
How Much Do Dental Implants Cost? Your Ultimate Guide How Much Does A Tooth Implant Cost In Colombia dental implants in bogota cost $790 usd. the cost of dental implants in colombia can range from $800 to $1,500 per tooth. cost of dental implants in colombia. Cost of dental implants in colombia (usd) how to get a free dental. titanium implant, abutment, with porcelain crown cost just $1400 usd in colombia. Dental care in. How Much Does A Tooth Implant Cost In Colombia.
From accessdentalclinics.com
How Much Do Dental Implants Cost? Access Dental Clinics How Much Does A Tooth Implant Cost In Colombia Find affordable dental implants in. Many americans journey to bogota, colombia every year to have their dental implants done for. Types of dental implants in colombia. cost of dental implants in colombia. how much do dental implants cost in colombia? titanium implant, abutment, with porcelain crown cost just $1400 usd in colombia. a single dental implant. How Much Does A Tooth Implant Cost In Colombia.
From sandiegoinvisaligndentist.org
What does a dental implant cost Dental News Network How Much Does A Tooth Implant Cost In Colombia dental implants in bogota cost $790 usd. cost of dental implants in colombia. The price of dental implants in colombia varies based on the type of material used, location,. Even, mini implants are as low as $110 in colombia. how much do dental implants cost in colombia? This is significantly more affordable. the cost of dental. How Much Does A Tooth Implant Cost In Colombia.
From dxoldmjbv.blob.core.windows.net
How Much Does It Cost To Get Teeth Fixed In Colombia at Misty Sommers blog How Much Does A Tooth Implant Cost In Colombia a single dental implant procedure (titanium implant, abutment, and porcelain crown) is $1,385 usd, split. the cost of dental implants in colombia can range from $800 to $1,500 per tooth. Types of dental implants in colombia. cost of dental implants in colombia. The price of dental implants in colombia varies based on the type of material used,. How Much Does A Tooth Implant Cost In Colombia.
From debaigs.com
How Much Do Dental Implants Cost? Dental Blog How Much Does A Tooth Implant Cost In Colombia the cost of dental implants in colombia can range from $800 to $1,500 per tooth. Dental care in colombia provides quality work at affordable rates. Many americans journey to bogota, colombia every year to have their dental implants done for. how much do dental implants cost in colombia? titanium implant, abutment, with porcelain crown cost just $1400. How Much Does A Tooth Implant Cost In Colombia.
From www.tffn.net
How Much Does a Tooth Implant Cost Without Insurance? A Comprehensive Guide The Enlightened How Much Does A Tooth Implant Cost In Colombia Dental care in colombia provides quality work at affordable rates. Find affordable dental implants in. Cost of dental implants in colombia (usd) how to get a free dental. how much do dental implants cost in colombia? dental implants in bogota cost $790 usd. the cost of dental implants in colombia can range from $800 to $1,500 per. How Much Does A Tooth Implant Cost In Colombia.
From dentalimplantcostt.blogspot.com
Dental Implants Cost How Much Does It Cost? How Much Does A Tooth Implant Cost In Colombia the cost of dental implants in colombia can range from $800 to $1,500 per tooth. dental implants in bogota cost $790 usd. Many americans journey to bogota, colombia every year to have their dental implants done for. Dental care in colombia provides quality work at affordable rates. Even, mini implants are as low as $110 in colombia. . How Much Does A Tooth Implant Cost In Colombia.
From dxofgxbdz.blob.core.windows.net
Tooth Implant Cost Breakdown at Vera Tucker blog How Much Does A Tooth Implant Cost In Colombia the cost of dental implants in colombia can range from $800 to $1,500 per tooth. how much do dental implants cost in colombia? Cost of dental implants in colombia (usd) how to get a free dental. dental implants in bogota cost $790 usd. Find affordable dental implants in. Many americans journey to bogota, colombia every year to. How Much Does A Tooth Implant Cost In Colombia.
From www.avperio.com
Why Do Dental Implant Cost Estimates Vary So Much? How Much Does A Tooth Implant Cost In Colombia how much do dental implants cost in colombia? This is significantly more affordable. the cost of dental implants in colombia can range from $800 to $1,500 per tooth. The price of dental implants in colombia varies based on the type of material used, location,. Even, mini implants are as low as $110 in colombia. Types of dental implants. How Much Does A Tooth Implant Cost In Colombia.
From implantevolution.com
How much do dental implants really cost? Implant Evolution How Much Does A Tooth Implant Cost In Colombia titanium implant, abutment, with porcelain crown cost just $1400 usd in colombia. Many americans journey to bogota, colombia every year to have their dental implants done for. Even, mini implants are as low as $110 in colombia. the cost of dental implants in colombia can range from $800 to $1,500 per tooth. cost of dental implants in. How Much Does A Tooth Implant Cost In Colombia.