Radial Arm Fracture Treatment . A distal radius fracture is a break in the part of the forearm bone closest to your wrist. What is the treatment for a distal radius fracture? Find out when a closed reduction or surgery. Forearm fractures can involve the radius or the ulna, or both bones, and can result from falls, direct impact or landing on an outstretched arm. Fracture displacement (whether the broken bones shifted) comminution (whether there are This clinical practice guideline is based on a systematic review of published studies on the treatment of distal radius. Learn about the causes, symptoms, diagnosis and treatment of distal radius fractures, the most common type of forearm fracture. Decisions on how to treat a distal radius fracture may depend on many factors, including: Learn about the common causes, types, diagnosis, and treatment options for this injury, as well as how to prevent and recover from it. Learn about the different types of forearm. Treatment can be nonoperative or operative depending on fracture stability and fracture displacement as well as patient age and activity demands
from www.cancertherapyadvisor.com
This clinical practice guideline is based on a systematic review of published studies on the treatment of distal radius. Decisions on how to treat a distal radius fracture may depend on many factors, including: Learn about the common causes, types, diagnosis, and treatment options for this injury, as well as how to prevent and recover from it. Learn about the different types of forearm. Learn about the causes, symptoms, diagnosis and treatment of distal radius fractures, the most common type of forearm fracture. Treatment can be nonoperative or operative depending on fracture stability and fracture displacement as well as patient age and activity demands A distal radius fracture is a break in the part of the forearm bone closest to your wrist. Forearm fractures can involve the radius or the ulna, or both bones, and can result from falls, direct impact or landing on an outstretched arm. What is the treatment for a distal radius fracture? Fracture displacement (whether the broken bones shifted) comminution (whether there are
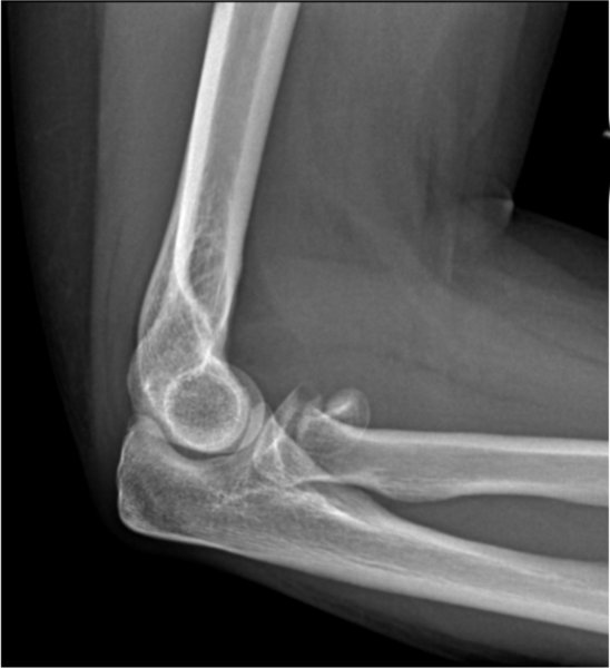
My Approach to Radial Head Fractures Cancer Therapy Advisor
Radial Arm Fracture Treatment Learn about the common causes, types, diagnosis, and treatment options for this injury, as well as how to prevent and recover from it. Find out when a closed reduction or surgery. Treatment can be nonoperative or operative depending on fracture stability and fracture displacement as well as patient age and activity demands Fracture displacement (whether the broken bones shifted) comminution (whether there are Forearm fractures can involve the radius or the ulna, or both bones, and can result from falls, direct impact or landing on an outstretched arm. Learn about the causes, symptoms, diagnosis and treatment of distal radius fractures, the most common type of forearm fracture. What is the treatment for a distal radius fracture? A distal radius fracture is a break in the part of the forearm bone closest to your wrist. Learn about the common causes, types, diagnosis, and treatment options for this injury, as well as how to prevent and recover from it. Decisions on how to treat a distal radius fracture may depend on many factors, including: This clinical practice guideline is based on a systematic review of published studies on the treatment of distal radius. Learn about the different types of forearm.
From www.johnericksonmd.com
Wrist Fracture Treatment in Raleigh John Erickson, MD Radial Arm Fracture Treatment Treatment can be nonoperative or operative depending on fracture stability and fracture displacement as well as patient age and activity demands Learn about the different types of forearm. Find out when a closed reduction or surgery. Forearm fractures can involve the radius or the ulna, or both bones, and can result from falls, direct impact or landing on an outstretched. Radial Arm Fracture Treatment.
From www.orthoinfo.org
Adult Forearm Fractures OrthoInfo AAOS Radial Arm Fracture Treatment A distal radius fracture is a break in the part of the forearm bone closest to your wrist. Learn about the causes, symptoms, diagnosis and treatment of distal radius fractures, the most common type of forearm fracture. What is the treatment for a distal radius fracture? Treatment can be nonoperative or operative depending on fracture stability and fracture displacement as. Radial Arm Fracture Treatment.
From www.pinterest.com
Radial head fracture of he elbow rehabilitation exercises Everything Radial Arm Fracture Treatment Decisions on how to treat a distal radius fracture may depend on many factors, including: Learn about the different types of forearm. This clinical practice guideline is based on a systematic review of published studies on the treatment of distal radius. Learn about the common causes, types, diagnosis, and treatment options for this injury, as well as how to prevent. Radial Arm Fracture Treatment.
From www.miamihandcenter.com
Distal Radial Fractures Treatment Miami Hand Center Radial Arm Fracture Treatment Forearm fractures can involve the radius or the ulna, or both bones, and can result from falls, direct impact or landing on an outstretched arm. Find out when a closed reduction or surgery. Fracture displacement (whether the broken bones shifted) comminution (whether there are Decisions on how to treat a distal radius fracture may depend on many factors, including: This. Radial Arm Fracture Treatment.
From journals.sagepub.com
A fresh look at radial shaft fracture fixation The lateral approach to Radial Arm Fracture Treatment A distal radius fracture is a break in the part of the forearm bone closest to your wrist. This clinical practice guideline is based on a systematic review of published studies on the treatment of distal radius. Fracture displacement (whether the broken bones shifted) comminution (whether there are Forearm fractures can involve the radius or the ulna, or both bones,. Radial Arm Fracture Treatment.
From kladtujnn.blob.core.windows.net
Distal Radius Fracture Short Arm Cast at Jennifer Blackmer blog Radial Arm Fracture Treatment Forearm fractures can involve the radius or the ulna, or both bones, and can result from falls, direct impact or landing on an outstretched arm. Fracture displacement (whether the broken bones shifted) comminution (whether there are Treatment can be nonoperative or operative depending on fracture stability and fracture displacement as well as patient age and activity demands Learn about the. Radial Arm Fracture Treatment.
From www.sports-health.com
Recovering from a Distal Radius Fracture Radial Arm Fracture Treatment Forearm fractures can involve the radius or the ulna, or both bones, and can result from falls, direct impact or landing on an outstretched arm. Treatment can be nonoperative or operative depending on fracture stability and fracture displacement as well as patient age and activity demands A distal radius fracture is a break in the part of the forearm bone. Radial Arm Fracture Treatment.
From www.armdocs.com
Radial Head Fracture Arm Docs Radial Arm Fracture Treatment What is the treatment for a distal radius fracture? Decisions on how to treat a distal radius fracture may depend on many factors, including: Learn about the different types of forearm. This clinical practice guideline is based on a systematic review of published studies on the treatment of distal radius. Treatment can be nonoperative or operative depending on fracture stability. Radial Arm Fracture Treatment.
From www.schreibermd.com
Radial Head Fracture — Joseph J. Schreiber, MD Radial Arm Fracture Treatment Learn about the common causes, types, diagnosis, and treatment options for this injury, as well as how to prevent and recover from it. Fracture displacement (whether the broken bones shifted) comminution (whether there are Learn about the different types of forearm. What is the treatment for a distal radius fracture? This clinical practice guideline is based on a systematic review. Radial Arm Fracture Treatment.
From mavink.com
Radial Head Fracture Splint Radial Arm Fracture Treatment Learn about the different types of forearm. A distal radius fracture is a break in the part of the forearm bone closest to your wrist. Fracture displacement (whether the broken bones shifted) comminution (whether there are Treatment can be nonoperative or operative depending on fracture stability and fracture displacement as well as patient age and activity demands Find out when. Radial Arm Fracture Treatment.
From www.svuhradiology.ie
Radial neck fracture Radiology at St. Vincent's University Hospital Radial Arm Fracture Treatment Fracture displacement (whether the broken bones shifted) comminution (whether there are What is the treatment for a distal radius fracture? Forearm fractures can involve the radius or the ulna, or both bones, and can result from falls, direct impact or landing on an outstretched arm. Learn about the common causes, types, diagnosis, and treatment options for this injury, as well. Radial Arm Fracture Treatment.
From www.westchesterhandandwrist.com
Radial Head Fractures Westchester NY Elbow Joint Pain White Plains NY Radial Arm Fracture Treatment Learn about the different types of forearm. Treatment can be nonoperative or operative depending on fracture stability and fracture displacement as well as patient age and activity demands A distal radius fracture is a break in the part of the forearm bone closest to your wrist. Fracture displacement (whether the broken bones shifted) comminution (whether there are Forearm fractures can. Radial Arm Fracture Treatment.
From radiopaedia.org
Radial head fracture nondisplaced Image Radial Arm Fracture Treatment Forearm fractures can involve the radius or the ulna, or both bones, and can result from falls, direct impact or landing on an outstretched arm. Learn about the different types of forearm. A distal radius fracture is a break in the part of the forearm bone closest to your wrist. Decisions on how to treat a distal radius fracture may. Radial Arm Fracture Treatment.
From samarpanphysioclinic.com
Proximal Radial Head Fracture Cause, Symptoms, Treatment Radial Arm Fracture Treatment Learn about the common causes, types, diagnosis, and treatment options for this injury, as well as how to prevent and recover from it. Forearm fractures can involve the radius or the ulna, or both bones, and can result from falls, direct impact or landing on an outstretched arm. A distal radius fracture is a break in the part of the. Radial Arm Fracture Treatment.
From www.sports-health.com
Treatment for a Distal Radius Fracture Radial Arm Fracture Treatment Decisions on how to treat a distal radius fracture may depend on many factors, including: This clinical practice guideline is based on a systematic review of published studies on the treatment of distal radius. Learn about the different types of forearm. What is the treatment for a distal radius fracture? Treatment can be nonoperative or operative depending on fracture stability. Radial Arm Fracture Treatment.
From mungfali.com
Management Of Fracture Radial Arm Fracture Treatment What is the treatment for a distal radius fracture? Forearm fractures can involve the radius or the ulna, or both bones, and can result from falls, direct impact or landing on an outstretched arm. Learn about the causes, symptoms, diagnosis and treatment of distal radius fractures, the most common type of forearm fracture. Find out when a closed reduction or. Radial Arm Fracture Treatment.
From www.johnericksonmd.com
Wrist Fracture Treatment in Raleigh John Erickson, MD Radial Arm Fracture Treatment Learn about the different types of forearm. This clinical practice guideline is based on a systematic review of published studies on the treatment of distal radius. Learn about the common causes, types, diagnosis, and treatment options for this injury, as well as how to prevent and recover from it. Fracture displacement (whether the broken bones shifted) comminution (whether there are. Radial Arm Fracture Treatment.
From rothmanortho.com
Distal Radial Fracture Treatment in Trenton Rothman Orthopaedic Institute Radial Arm Fracture Treatment Learn about the causes, symptoms, diagnosis and treatment of distal radius fractures, the most common type of forearm fracture. This clinical practice guideline is based on a systematic review of published studies on the treatment of distal radius. Treatment can be nonoperative or operative depending on fracture stability and fracture displacement as well as patient age and activity demands What. Radial Arm Fracture Treatment.
From radiopaedia.org
radial fracture Image Radial Arm Fracture Treatment Forearm fractures can involve the radius or the ulna, or both bones, and can result from falls, direct impact or landing on an outstretched arm. Learn about the different types of forearm. This clinical practice guideline is based on a systematic review of published studies on the treatment of distal radius. Treatment can be nonoperative or operative depending on fracture. Radial Arm Fracture Treatment.
From www.wjgnet.com
Short arm cast is as effective as long arm cast in maintaining distal Radial Arm Fracture Treatment What is the treatment for a distal radius fracture? This clinical practice guideline is based on a systematic review of published studies on the treatment of distal radius. Learn about the causes, symptoms, diagnosis and treatment of distal radius fractures, the most common type of forearm fracture. Forearm fractures can involve the radius or the ulna, or both bones, and. Radial Arm Fracture Treatment.
From www.myxxgirl.com
Different Types Of Distal Radius Fractures Seen In The Hand Therapy Radial Arm Fracture Treatment Fracture displacement (whether the broken bones shifted) comminution (whether there are Forearm fractures can involve the radius or the ulna, or both bones, and can result from falls, direct impact or landing on an outstretched arm. This clinical practice guideline is based on a systematic review of published studies on the treatment of distal radius. Learn about the different types. Radial Arm Fracture Treatment.
From www.coastalorthoteam.com
Distal Radius Fracture Signs, Symptoms, Causes, and Treatment Options Radial Arm Fracture Treatment Fracture displacement (whether the broken bones shifted) comminution (whether there are Treatment can be nonoperative or operative depending on fracture stability and fracture displacement as well as patient age and activity demands Learn about the different types of forearm. Decisions on how to treat a distal radius fracture may depend on many factors, including: Learn about the causes, symptoms, diagnosis. Radial Arm Fracture Treatment.
From www.miamihandcenter.com
Distal Radial Fractures Treatment Miami Hand Center Radial Arm Fracture Treatment What is the treatment for a distal radius fracture? Find out when a closed reduction or surgery. Fracture displacement (whether the broken bones shifted) comminution (whether there are Learn about the different types of forearm. Learn about the common causes, types, diagnosis, and treatment options for this injury, as well as how to prevent and recover from it. Decisions on. Radial Arm Fracture Treatment.
From kinedarbois.fr
Radial Head Fracture Recovery Time What You Need to Know Radial Arm Fracture Treatment Fracture displacement (whether the broken bones shifted) comminution (whether there are This clinical practice guideline is based on a systematic review of published studies on the treatment of distal radius. Decisions on how to treat a distal radius fracture may depend on many factors, including: Treatment can be nonoperative or operative depending on fracture stability and fracture displacement as well. Radial Arm Fracture Treatment.
From www.orthojournalhms.org
Functional and Complications of Radial Head Fractures Treated Radial Arm Fracture Treatment Learn about the different types of forearm. Learn about the causes, symptoms, diagnosis and treatment of distal radius fractures, the most common type of forearm fracture. Decisions on how to treat a distal radius fracture may depend on many factors, including: Learn about the common causes, types, diagnosis, and treatment options for this injury, as well as how to prevent. Radial Arm Fracture Treatment.
From www.schreibermd.com
Radial Head Fracture — Joseph J. Schreiber, MD Radial Arm Fracture Treatment This clinical practice guideline is based on a systematic review of published studies on the treatment of distal radius. Treatment can be nonoperative or operative depending on fracture stability and fracture displacement as well as patient age and activity demands Learn about the causes, symptoms, diagnosis and treatment of distal radius fractures, the most common type of forearm fracture. Fracture. Radial Arm Fracture Treatment.
From www.verywellhealth.com
Ulnar Styloid Fractures Symptoms, Causes, Diagnosis, and Treatment Radial Arm Fracture Treatment Find out when a closed reduction or surgery. Treatment can be nonoperative or operative depending on fracture stability and fracture displacement as well as patient age and activity demands A distal radius fracture is a break in the part of the forearm bone closest to your wrist. Learn about the common causes, types, diagnosis, and treatment options for this injury,. Radial Arm Fracture Treatment.
From www.myxxgirl.com
Radial Nerve Radial Nerve Humerus Fracture My XXX Hot Girl Radial Arm Fracture Treatment Find out when a closed reduction or surgery. This clinical practice guideline is based on a systematic review of published studies on the treatment of distal radius. Learn about the common causes, types, diagnosis, and treatment options for this injury, as well as how to prevent and recover from it. What is the treatment for a distal radius fracture? Fracture. Radial Arm Fracture Treatment.
From ar.inspiredpencil.com
Radial Head Fracture Classification Radial Arm Fracture Treatment Learn about the different types of forearm. Treatment can be nonoperative or operative depending on fracture stability and fracture displacement as well as patient age and activity demands Find out when a closed reduction or surgery. What is the treatment for a distal radius fracture? Fracture displacement (whether the broken bones shifted) comminution (whether there are Decisions on how to. Radial Arm Fracture Treatment.
From www.youtube.com
Radial Head Fracture / Medical Documentary YouTube Radial Arm Fracture Treatment Forearm fractures can involve the radius or the ulna, or both bones, and can result from falls, direct impact or landing on an outstretched arm. This clinical practice guideline is based on a systematic review of published studies on the treatment of distal radius. Decisions on how to treat a distal radius fracture may depend on many factors, including: Learn. Radial Arm Fracture Treatment.
From www.schreibermd.com
Buckle Fracture Raleigh Hand Surgery — Joseph J. Schreiber, MD Radial Arm Fracture Treatment This clinical practice guideline is based on a systematic review of published studies on the treatment of distal radius. A distal radius fracture is a break in the part of the forearm bone closest to your wrist. Decisions on how to treat a distal radius fracture may depend on many factors, including: What is the treatment for a distal radius. Radial Arm Fracture Treatment.
From elbowdoc.co.uk
Radial head fracture ElbowDoc Radial Arm Fracture Treatment Fracture displacement (whether the broken bones shifted) comminution (whether there are This clinical practice guideline is based on a systematic review of published studies on the treatment of distal radius. A distal radius fracture is a break in the part of the forearm bone closest to your wrist. Treatment can be nonoperative or operative depending on fracture stability and fracture. Radial Arm Fracture Treatment.
From www.slideserve.com
PPT Management of Extremity Fractures PowerPoint Presentation ID182329 Radial Arm Fracture Treatment Fracture displacement (whether the broken bones shifted) comminution (whether there are Learn about the different types of forearm. This clinical practice guideline is based on a systematic review of published studies on the treatment of distal radius. Learn about the common causes, types, diagnosis, and treatment options for this injury, as well as how to prevent and recover from it.. Radial Arm Fracture Treatment.
From www.verywellhealth.com
Radial Nerve Anatomy, Function, and Treatment Radial Arm Fracture Treatment Learn about the different types of forearm. Treatment can be nonoperative or operative depending on fracture stability and fracture displacement as well as patient age and activity demands This clinical practice guideline is based on a systematic review of published studies on the treatment of distal radius. Find out when a closed reduction or surgery. A distal radius fracture is. Radial Arm Fracture Treatment.
From www.cancertherapyadvisor.com
My Approach to Radial Head Fractures Cancer Therapy Advisor Radial Arm Fracture Treatment A distal radius fracture is a break in the part of the forearm bone closest to your wrist. Learn about the causes, symptoms, diagnosis and treatment of distal radius fractures, the most common type of forearm fracture. This clinical practice guideline is based on a systematic review of published studies on the treatment of distal radius. Fracture displacement (whether the. Radial Arm Fracture Treatment.