How To Check Diaphragmatic Excursion . When the note changes from resonant to dull, you've located your first landmark. Percuss from the lower edge of his right scapula down toward the diaphragm (see technique for percussion ). Diaphragm excursion and tfdi are useful to detect diaphragm weakness. To measure diaphragmatic excursion, ask your patient to inhale and hold it. One measure alone helps the clinician to easily. Check us out on facebook for daily free review questions and updates!. The fluoroscopic sniff test is a useful addition to diaphragm fluoroscopy and is used to evaluate diaphragmatic contraction and excursion in patients with suspected. Defining reference values of the diaphragmatic excursion is important to identify those with diaphragmatic motion abnormalities.
from www.slideserve.com
Percuss from the lower edge of his right scapula down toward the diaphragm (see technique for percussion ). Defining reference values of the diaphragmatic excursion is important to identify those with diaphragmatic motion abnormalities. One measure alone helps the clinician to easily. The fluoroscopic sniff test is a useful addition to diaphragm fluoroscopy and is used to evaluate diaphragmatic contraction and excursion in patients with suspected. When the note changes from resonant to dull, you've located your first landmark. Check us out on facebook for daily free review questions and updates!. Diaphragm excursion and tfdi are useful to detect diaphragm weakness. To measure diaphragmatic excursion, ask your patient to inhale and hold it.
PPT Examination of the Thorax and Lungs PowerPoint Presentation, free
How To Check Diaphragmatic Excursion One measure alone helps the clinician to easily. Defining reference values of the diaphragmatic excursion is important to identify those with diaphragmatic motion abnormalities. When the note changes from resonant to dull, you've located your first landmark. Diaphragm excursion and tfdi are useful to detect diaphragm weakness. One measure alone helps the clinician to easily. Check us out on facebook for daily free review questions and updates!. To measure diaphragmatic excursion, ask your patient to inhale and hold it. The fluoroscopic sniff test is a useful addition to diaphragm fluoroscopy and is used to evaluate diaphragmatic contraction and excursion in patients with suspected. Percuss from the lower edge of his right scapula down toward the diaphragm (see technique for percussion ).
From www.researchgate.net
(PDF) Changes of diaphragmatic excursion and lung compliance during How To Check Diaphragmatic Excursion The fluoroscopic sniff test is a useful addition to diaphragm fluoroscopy and is used to evaluate diaphragmatic contraction and excursion in patients with suspected. One measure alone helps the clinician to easily. To measure diaphragmatic excursion, ask your patient to inhale and hold it. Defining reference values of the diaphragmatic excursion is important to identify those with diaphragmatic motion abnormalities.. How To Check Diaphragmatic Excursion.
From www.researchgate.net
Diaphragmatic excursion as measured using 2D mode sonography. With the How To Check Diaphragmatic Excursion Percuss from the lower edge of his right scapula down toward the diaphragm (see technique for percussion ). When the note changes from resonant to dull, you've located your first landmark. To measure diaphragmatic excursion, ask your patient to inhale and hold it. Defining reference values of the diaphragmatic excursion is important to identify those with diaphragmatic motion abnormalities. One. How To Check Diaphragmatic Excursion.
From www.slideserve.com
PPT Physical Examination of the Chest Department of medicine Liu Yuan How To Check Diaphragmatic Excursion To measure diaphragmatic excursion, ask your patient to inhale and hold it. Defining reference values of the diaphragmatic excursion is important to identify those with diaphragmatic motion abnormalities. The fluoroscopic sniff test is a useful addition to diaphragm fluoroscopy and is used to evaluate diaphragmatic contraction and excursion in patients with suspected. One measure alone helps the clinician to easily.. How To Check Diaphragmatic Excursion.
From www.slideserve.com
PPT Thorax and Lungs N1037 PowerPoint Presentation, free download How To Check Diaphragmatic Excursion Defining reference values of the diaphragmatic excursion is important to identify those with diaphragmatic motion abnormalities. One measure alone helps the clinician to easily. Percuss from the lower edge of his right scapula down toward the diaphragm (see technique for percussion ). To measure diaphragmatic excursion, ask your patient to inhale and hold it. Check us out on facebook for. How To Check Diaphragmatic Excursion.
From www.researchgate.net
Diaphragm excursion and respiratory functions before and after thoracic How To Check Diaphragmatic Excursion Check us out on facebook for daily free review questions and updates!. To measure diaphragmatic excursion, ask your patient to inhale and hold it. The fluoroscopic sniff test is a useful addition to diaphragm fluoroscopy and is used to evaluate diaphragmatic contraction and excursion in patients with suspected. Diaphragm excursion and tfdi are useful to detect diaphragm weakness. When the. How To Check Diaphragmatic Excursion.
From www.researchgate.net
The measurement of diaphragmatic thickness and excursion. (A) A 1015 How To Check Diaphragmatic Excursion The fluoroscopic sniff test is a useful addition to diaphragm fluoroscopy and is used to evaluate diaphragmatic contraction and excursion in patients with suspected. One measure alone helps the clinician to easily. Percuss from the lower edge of his right scapula down toward the diaphragm (see technique for percussion ). When the note changes from resonant to dull, you've located. How To Check Diaphragmatic Excursion.
From www.slideserve.com
PPT Examination of the Thorax and Lungs PowerPoint Presentation, free How To Check Diaphragmatic Excursion The fluoroscopic sniff test is a useful addition to diaphragm fluoroscopy and is used to evaluate diaphragmatic contraction and excursion in patients with suspected. Check us out on facebook for daily free review questions and updates!. Defining reference values of the diaphragmatic excursion is important to identify those with diaphragmatic motion abnormalities. Diaphragm excursion and tfdi are useful to detect. How To Check Diaphragmatic Excursion.
From www.researchgate.net
Diaphragmatic excursion. A Placement of ultrasound probe to record How To Check Diaphragmatic Excursion Defining reference values of the diaphragmatic excursion is important to identify those with diaphragmatic motion abnormalities. To measure diaphragmatic excursion, ask your patient to inhale and hold it. When the note changes from resonant to dull, you've located your first landmark. One measure alone helps the clinician to easily. Check us out on facebook for daily free review questions and. How To Check Diaphragmatic Excursion.
From www.frontiersin.org
Frontiers Pointofcare application of diaphragmatic ultrasonography How To Check Diaphragmatic Excursion Check us out on facebook for daily free review questions and updates!. When the note changes from resonant to dull, you've located your first landmark. One measure alone helps the clinician to easily. To measure diaphragmatic excursion, ask your patient to inhale and hold it. The fluoroscopic sniff test is a useful addition to diaphragm fluoroscopy and is used to. How To Check Diaphragmatic Excursion.
From www.slideserve.com
PPT Assessment of Thorax and Lungs PowerPoint Presentation ID521002 How To Check Diaphragmatic Excursion Diaphragm excursion and tfdi are useful to detect diaphragm weakness. Defining reference values of the diaphragmatic excursion is important to identify those with diaphragmatic motion abnormalities. Percuss from the lower edge of his right scapula down toward the diaphragm (see technique for percussion ). When the note changes from resonant to dull, you've located your first landmark. One measure alone. How To Check Diaphragmatic Excursion.
From www.researchgate.net
Ultrasound image of diaphragmatic excursion measurement in TV (A) and How To Check Diaphragmatic Excursion To measure diaphragmatic excursion, ask your patient to inhale and hold it. Percuss from the lower edge of his right scapula down toward the diaphragm (see technique for percussion ). One measure alone helps the clinician to easily. When the note changes from resonant to dull, you've located your first landmark. Diaphragm excursion and tfdi are useful to detect diaphragm. How To Check Diaphragmatic Excursion.
From www.scielo.br
SciELO Brasil Diaphragmatic ultrasound a review of its How To Check Diaphragmatic Excursion One measure alone helps the clinician to easily. The fluoroscopic sniff test is a useful addition to diaphragm fluoroscopy and is used to evaluate diaphragmatic contraction and excursion in patients with suspected. Check us out on facebook for daily free review questions and updates!. Percuss from the lower edge of his right scapula down toward the diaphragm (see technique for. How To Check Diaphragmatic Excursion.
From www.frontiersin.org
Frontiers A Novel Thoracic Ultrasound Measurement After Congenital How To Check Diaphragmatic Excursion Diaphragm excursion and tfdi are useful to detect diaphragm weakness. Percuss from the lower edge of his right scapula down toward the diaphragm (see technique for percussion ). Defining reference values of the diaphragmatic excursion is important to identify those with diaphragmatic motion abnormalities. To measure diaphragmatic excursion, ask your patient to inhale and hold it. Check us out on. How To Check Diaphragmatic Excursion.
From www.slideserve.com
PPT Assessment of Thorax and Lungs PowerPoint Presentation, free How To Check Diaphragmatic Excursion Check us out on facebook for daily free review questions and updates!. One measure alone helps the clinician to easily. When the note changes from resonant to dull, you've located your first landmark. The fluoroscopic sniff test is a useful addition to diaphragm fluoroscopy and is used to evaluate diaphragmatic contraction and excursion in patients with suspected. Percuss from the. How To Check Diaphragmatic Excursion.
From www.studocu.com
Respiratory Assessment Studocu How To Check Diaphragmatic Excursion The fluoroscopic sniff test is a useful addition to diaphragm fluoroscopy and is used to evaluate diaphragmatic contraction and excursion in patients with suspected. To measure diaphragmatic excursion, ask your patient to inhale and hold it. Check us out on facebook for daily free review questions and updates!. Diaphragm excursion and tfdi are useful to detect diaphragm weakness. When the. How To Check Diaphragmatic Excursion.
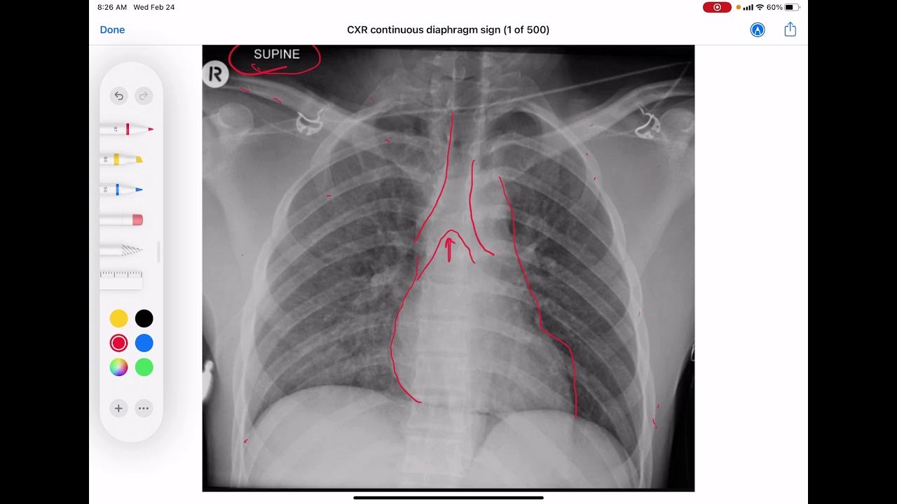
From www.youtube.com
CXR Continuous diaphragm sign YouTube How To Check Diaphragmatic Excursion Percuss from the lower edge of his right scapula down toward the diaphragm (see technique for percussion ). Diaphragm excursion and tfdi are useful to detect diaphragm weakness. To measure diaphragmatic excursion, ask your patient to inhale and hold it. The fluoroscopic sniff test is a useful addition to diaphragm fluoroscopy and is used to evaluate diaphragmatic contraction and excursion. How To Check Diaphragmatic Excursion.
From www.researchgate.net
Measurement of diaphragmatic excursion. *Measured in Mmode by placing How To Check Diaphragmatic Excursion When the note changes from resonant to dull, you've located your first landmark. One measure alone helps the clinician to easily. The fluoroscopic sniff test is a useful addition to diaphragm fluoroscopy and is used to evaluate diaphragmatic contraction and excursion in patients with suspected. Defining reference values of the diaphragmatic excursion is important to identify those with diaphragmatic motion. How To Check Diaphragmatic Excursion.
From slidetodoc.com
Chapter 1 History and Physical Examination Objectives 1 How To Check Diaphragmatic Excursion One measure alone helps the clinician to easily. Diaphragm excursion and tfdi are useful to detect diaphragm weakness. Percuss from the lower edge of his right scapula down toward the diaphragm (see technique for percussion ). Check us out on facebook for daily free review questions and updates!. Defining reference values of the diaphragmatic excursion is important to identify those. How To Check Diaphragmatic Excursion.
From www.youtube.com
How To Stretch Your Diaphragm Diaphragmatic Excursion YouTube How To Check Diaphragmatic Excursion Diaphragm excursion and tfdi are useful to detect diaphragm weakness. One measure alone helps the clinician to easily. When the note changes from resonant to dull, you've located your first landmark. Percuss from the lower edge of his right scapula down toward the diaphragm (see technique for percussion ). Defining reference values of the diaphragmatic excursion is important to identify. How To Check Diaphragmatic Excursion.
From www.slideserve.com
PPT Physical Exam of the Chest Auscultation PowerPoint Presentation How To Check Diaphragmatic Excursion To measure diaphragmatic excursion, ask your patient to inhale and hold it. When the note changes from resonant to dull, you've located your first landmark. Diaphragm excursion and tfdi are useful to detect diaphragm weakness. One measure alone helps the clinician to easily. Check us out on facebook for daily free review questions and updates!. Defining reference values of the. How To Check Diaphragmatic Excursion.
From www.slideshare.net
Respiratory assessment How To Check Diaphragmatic Excursion Check us out on facebook for daily free review questions and updates!. Percuss from the lower edge of his right scapula down toward the diaphragm (see technique for percussion ). One measure alone helps the clinician to easily. The fluoroscopic sniff test is a useful addition to diaphragm fluoroscopy and is used to evaluate diaphragmatic contraction and excursion in patients. How To Check Diaphragmatic Excursion.
From alifeofpocus.com
Diaphragm ALIFE How To Check Diaphragmatic Excursion One measure alone helps the clinician to easily. To measure diaphragmatic excursion, ask your patient to inhale and hold it. When the note changes from resonant to dull, you've located your first landmark. The fluoroscopic sniff test is a useful addition to diaphragm fluoroscopy and is used to evaluate diaphragmatic contraction and excursion in patients with suspected. Diaphragm excursion and. How To Check Diaphragmatic Excursion.
From www.youtube.com
Respiratory Special Tests Diaphragmatic excursion and FEV How To Check Diaphragmatic Excursion Percuss from the lower edge of his right scapula down toward the diaphragm (see technique for percussion ). To measure diaphragmatic excursion, ask your patient to inhale and hold it. Diaphragm excursion and tfdi are useful to detect diaphragm weakness. Check us out on facebook for daily free review questions and updates!. Defining reference values of the diaphragmatic excursion is. How To Check Diaphragmatic Excursion.
From www.archbronconeumol.org
Diaphragm Dysfunction in Mechanically Ventilated Patients Archivos de How To Check Diaphragmatic Excursion Check us out on facebook for daily free review questions and updates!. Diaphragm excursion and tfdi are useful to detect diaphragm weakness. Percuss from the lower edge of his right scapula down toward the diaphragm (see technique for percussion ). One measure alone helps the clinician to easily. Defining reference values of the diaphragmatic excursion is important to identify those. How To Check Diaphragmatic Excursion.
From www.youtube.com
Teaching Diaphragmatic Breathing to your patient YouTube How To Check Diaphragmatic Excursion One measure alone helps the clinician to easily. To measure diaphragmatic excursion, ask your patient to inhale and hold it. Check us out on facebook for daily free review questions and updates!. The fluoroscopic sniff test is a useful addition to diaphragm fluoroscopy and is used to evaluate diaphragmatic contraction and excursion in patients with suspected. When the note changes. How To Check Diaphragmatic Excursion.
From www.cureus.com
Cureus The Use of AngleIndependent MMode in the Evaluation of How To Check Diaphragmatic Excursion When the note changes from resonant to dull, you've located your first landmark. To measure diaphragmatic excursion, ask your patient to inhale and hold it. The fluoroscopic sniff test is a useful addition to diaphragm fluoroscopy and is used to evaluate diaphragmatic contraction and excursion in patients with suspected. Defining reference values of the diaphragmatic excursion is important to identify. How To Check Diaphragmatic Excursion.
From www.slideserve.com
PPT Diaphragmatic Excursion PowerPoint Presentation, free download How To Check Diaphragmatic Excursion To measure diaphragmatic excursion, ask your patient to inhale and hold it. The fluoroscopic sniff test is a useful addition to diaphragm fluoroscopy and is used to evaluate diaphragmatic contraction and excursion in patients with suspected. Check us out on facebook for daily free review questions and updates!. Defining reference values of the diaphragmatic excursion is important to identify those. How To Check Diaphragmatic Excursion.
From www.slideshare.net
Thorax And Lungs.330.Ss.09 How To Check Diaphragmatic Excursion When the note changes from resonant to dull, you've located your first landmark. Check us out on facebook for daily free review questions and updates!. Diaphragm excursion and tfdi are useful to detect diaphragm weakness. Defining reference values of the diaphragmatic excursion is important to identify those with diaphragmatic motion abnormalities. Percuss from the lower edge of his right scapula. How To Check Diaphragmatic Excursion.
From www.researchgate.net
Diaphragmatic excursion (DE) measurement. a Bmode diaphragmatic How To Check Diaphragmatic Excursion When the note changes from resonant to dull, you've located your first landmark. Diaphragm excursion and tfdi are useful to detect diaphragm weakness. Defining reference values of the diaphragmatic excursion is important to identify those with diaphragmatic motion abnormalities. Percuss from the lower edge of his right scapula down toward the diaphragm (see technique for percussion ). Check us out. How To Check Diaphragmatic Excursion.
From www.researchgate.net
Annotated depiction of diaphragmatic excursion calculation in a healthy How To Check Diaphragmatic Excursion One measure alone helps the clinician to easily. Defining reference values of the diaphragmatic excursion is important to identify those with diaphragmatic motion abnormalities. Check us out on facebook for daily free review questions and updates!. Percuss from the lower edge of his right scapula down toward the diaphragm (see technique for percussion ). To measure diaphragmatic excursion, ask your. How To Check Diaphragmatic Excursion.
From www.slideserve.com
PPT Diaphragmatic Excursion PowerPoint Presentation, free download How To Check Diaphragmatic Excursion The fluoroscopic sniff test is a useful addition to diaphragm fluoroscopy and is used to evaluate diaphragmatic contraction and excursion in patients with suspected. One measure alone helps the clinician to easily. Percuss from the lower edge of his right scapula down toward the diaphragm (see technique for percussion ). To measure diaphragmatic excursion, ask your patient to inhale and. How To Check Diaphragmatic Excursion.
From www.researchgate.net
Mmode US demonstrates normal right diaphragmatic excursion with How To Check Diaphragmatic Excursion Percuss from the lower edge of his right scapula down toward the diaphragm (see technique for percussion ). Diaphragm excursion and tfdi are useful to detect diaphragm weakness. Defining reference values of the diaphragmatic excursion is important to identify those with diaphragmatic motion abnormalities. One measure alone helps the clinician to easily. When the note changes from resonant to dull,. How To Check Diaphragmatic Excursion.
From www.cureus.com
Cureus The Use of AngleIndependent MMode in the Evaluation of How To Check Diaphragmatic Excursion To measure diaphragmatic excursion, ask your patient to inhale and hold it. Percuss from the lower edge of his right scapula down toward the diaphragm (see technique for percussion ). Defining reference values of the diaphragmatic excursion is important to identify those with diaphragmatic motion abnormalities. When the note changes from resonant to dull, you've located your first landmark. Diaphragm. How To Check Diaphragmatic Excursion.
From vimeo.com
Diaphragmatic Excursion on Vimeo How To Check Diaphragmatic Excursion Percuss from the lower edge of his right scapula down toward the diaphragm (see technique for percussion ). Check us out on facebook for daily free review questions and updates!. One measure alone helps the clinician to easily. Defining reference values of the diaphragmatic excursion is important to identify those with diaphragmatic motion abnormalities. The fluoroscopic sniff test is a. How To Check Diaphragmatic Excursion.
From www.slideserve.com
PPT Diaphragmatic Excursion PowerPoint Presentation, free download How To Check Diaphragmatic Excursion Check us out on facebook for daily free review questions and updates!. When the note changes from resonant to dull, you've located your first landmark. To measure diaphragmatic excursion, ask your patient to inhale and hold it. The fluoroscopic sniff test is a useful addition to diaphragm fluoroscopy and is used to evaluate diaphragmatic contraction and excursion in patients with. How To Check Diaphragmatic Excursion.