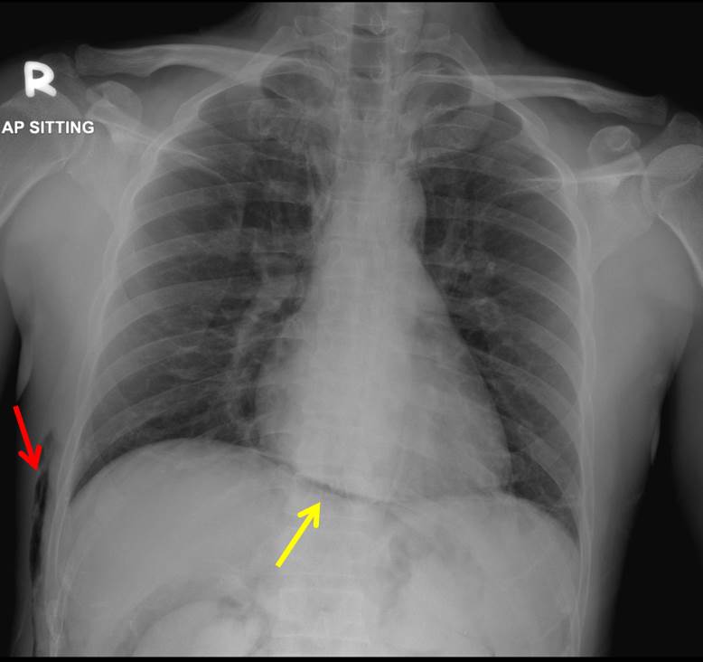
Gas Under Diaphragm Sign Name . Gas between liver and diaphragm. Haustra within the gas suggesting that it is within the. The stomach bubble forms a round/ovoid shape under the left hemidiaphragm. As the stomach has a thick wall, there is a thick line separating gas in the stomach from air in the lungs. Features that suggest chilaiditi sign include: Pneumoperitoneum (aeroperitoneum is a rare synonym 12) describes gas within the peritoneal cavity, often due to critical illness.
from www.researchgate.net
Pneumoperitoneum (aeroperitoneum is a rare synonym 12) describes gas within the peritoneal cavity, often due to critical illness. As the stomach has a thick wall, there is a thick line separating gas in the stomach from air in the lungs. Features that suggest chilaiditi sign include: The stomach bubble forms a round/ovoid shape under the left hemidiaphragm. Gas between liver and diaphragm. Haustra within the gas suggesting that it is within the.
Chest xray PA view showing gas under right diaphragm. Download
Gas Under Diaphragm Sign Name As the stomach has a thick wall, there is a thick line separating gas in the stomach from air in the lungs. Haustra within the gas suggesting that it is within the. As the stomach has a thick wall, there is a thick line separating gas in the stomach from air in the lungs. Pneumoperitoneum (aeroperitoneum is a rare synonym 12) describes gas within the peritoneal cavity, often due to critical illness. The stomach bubble forms a round/ovoid shape under the left hemidiaphragm. Gas between liver and diaphragm. Features that suggest chilaiditi sign include:
From www.pinterest.com
Continuous diaphragm sign Radiology Case Gas Under Diaphragm Sign Name Gas between liver and diaphragm. Haustra within the gas suggesting that it is within the. As the stomach has a thick wall, there is a thick line separating gas in the stomach from air in the lungs. Pneumoperitoneum (aeroperitoneum is a rare synonym 12) describes gas within the peritoneal cavity, often due to critical illness. The stomach bubble forms a. Gas Under Diaphragm Sign Name.
From www.ccjm.org
Gas under the right diaphragm Cleveland Clinic Journal of Medicine Gas Under Diaphragm Sign Name Features that suggest chilaiditi sign include: Haustra within the gas suggesting that it is within the. As the stomach has a thick wall, there is a thick line separating gas in the stomach from air in the lungs. The stomach bubble forms a round/ovoid shape under the left hemidiaphragm. Pneumoperitoneum (aeroperitoneum is a rare synonym 12) describes gas within the. Gas Under Diaphragm Sign Name.
From www.slideshare.net
Gas Under Diaphragm Final Year MB BS Lecture Gas Under Diaphragm Sign Name Haustra within the gas suggesting that it is within the. The stomach bubble forms a round/ovoid shape under the left hemidiaphragm. Pneumoperitoneum (aeroperitoneum is a rare synonym 12) describes gas within the peritoneal cavity, often due to critical illness. Features that suggest chilaiditi sign include: As the stomach has a thick wall, there is a thick line separating gas in. Gas Under Diaphragm Sign Name.
From medicinexplained.blogspot.com
Gas under diaphragm Medicine Hack Gas Under Diaphragm Sign Name As the stomach has a thick wall, there is a thick line separating gas in the stomach from air in the lungs. Features that suggest chilaiditi sign include: Gas between liver and diaphragm. Pneumoperitoneum (aeroperitoneum is a rare synonym 12) describes gas within the peritoneal cavity, often due to critical illness. Haustra within the gas suggesting that it is within. Gas Under Diaphragm Sign Name.
From www.slideserve.com
PPT Pneumomediastinum PowerPoint Presentation, free download ID380076 Gas Under Diaphragm Sign Name The stomach bubble forms a round/ovoid shape under the left hemidiaphragm. Haustra within the gas suggesting that it is within the. Gas between liver and diaphragm. Features that suggest chilaiditi sign include: Pneumoperitoneum (aeroperitoneum is a rare synonym 12) describes gas within the peritoneal cavity, often due to critical illness. As the stomach has a thick wall, there is a. Gas Under Diaphragm Sign Name.
From www.cureus.com
Gas Under Diaphragm A Rare Case of Ruptured Liver Abscess With Gas Gas Under Diaphragm Sign Name As the stomach has a thick wall, there is a thick line separating gas in the stomach from air in the lungs. Pneumoperitoneum (aeroperitoneum is a rare synonym 12) describes gas within the peritoneal cavity, often due to critical illness. Haustra within the gas suggesting that it is within the. Features that suggest chilaiditi sign include: The stomach bubble forms. Gas Under Diaphragm Sign Name.
From teachmesurgery.com
Gastrointestinal Perforation Aetiology Management TeachMeSurgery Gas Under Diaphragm Sign Name As the stomach has a thick wall, there is a thick line separating gas in the stomach from air in the lungs. Haustra within the gas suggesting that it is within the. Features that suggest chilaiditi sign include: The stomach bubble forms a round/ovoid shape under the left hemidiaphragm. Gas between liver and diaphragm. Pneumoperitoneum (aeroperitoneum is a rare synonym. Gas Under Diaphragm Sign Name.
From pt.slideshare.net
Signs of Pneumoperitoneum on Plain Film Gas Under Diaphragm Sign Name The stomach bubble forms a round/ovoid shape under the left hemidiaphragm. Haustra within the gas suggesting that it is within the. Gas between liver and diaphragm. As the stomach has a thick wall, there is a thick line separating gas in the stomach from air in the lungs. Features that suggest chilaiditi sign include: Pneumoperitoneum (aeroperitoneum is a rare synonym. Gas Under Diaphragm Sign Name.
From www.slideshare.net
Gas Under Diaphragm Final Year MB BS Lecture Gas Under Diaphragm Sign Name As the stomach has a thick wall, there is a thick line separating gas in the stomach from air in the lungs. Haustra within the gas suggesting that it is within the. The stomach bubble forms a round/ovoid shape under the left hemidiaphragm. Pneumoperitoneum (aeroperitoneum is a rare synonym 12) describes gas within the peritoneal cavity, often due to critical. Gas Under Diaphragm Sign Name.
From radiopaedia.org
Image Gas Under Diaphragm Sign Name Pneumoperitoneum (aeroperitoneum is a rare synonym 12) describes gas within the peritoneal cavity, often due to critical illness. As the stomach has a thick wall, there is a thick line separating gas in the stomach from air in the lungs. Haustra within the gas suggesting that it is within the. The stomach bubble forms a round/ovoid shape under the left. Gas Under Diaphragm Sign Name.
From www.semanticscholar.org
Table 1 from Chilaiditi sign A rare differential diagnosis of gas Gas Under Diaphragm Sign Name Pneumoperitoneum (aeroperitoneum is a rare synonym 12) describes gas within the peritoneal cavity, often due to critical illness. Haustra within the gas suggesting that it is within the. As the stomach has a thick wall, there is a thick line separating gas in the stomach from air in the lungs. Features that suggest chilaiditi sign include: The stomach bubble forms. Gas Under Diaphragm Sign Name.
From www.researchgate.net
Xray of the chest and abdomen showing gas under the diaphragm Gas Under Diaphragm Sign Name As the stomach has a thick wall, there is a thick line separating gas in the stomach from air in the lungs. Gas between liver and diaphragm. Pneumoperitoneum (aeroperitoneum is a rare synonym 12) describes gas within the peritoneal cavity, often due to critical illness. Features that suggest chilaiditi sign include: The stomach bubble forms a round/ovoid shape under the. Gas Under Diaphragm Sign Name.
From pt.slideshare.net
Gas Under Diaphragm Final Year MB BS Lecture Gas Under Diaphragm Sign Name As the stomach has a thick wall, there is a thick line separating gas in the stomach from air in the lungs. Haustra within the gas suggesting that it is within the. Gas between liver and diaphragm. Pneumoperitoneum (aeroperitoneum is a rare synonym 12) describes gas within the peritoneal cavity, often due to critical illness. Features that suggest chilaiditi sign. Gas Under Diaphragm Sign Name.
From radiologycases.my
Continuous diaphragm sign Radiology Cases Gas Under Diaphragm Sign Name Features that suggest chilaiditi sign include: Pneumoperitoneum (aeroperitoneum is a rare synonym 12) describes gas within the peritoneal cavity, often due to critical illness. As the stomach has a thick wall, there is a thick line separating gas in the stomach from air in the lungs. Gas between liver and diaphragm. The stomach bubble forms a round/ovoid shape under the. Gas Under Diaphragm Sign Name.
From www.ccjm.org
Gas under the right diaphragm Cleveland Clinic Journal of Medicine Gas Under Diaphragm Sign Name Features that suggest chilaiditi sign include: The stomach bubble forms a round/ovoid shape under the left hemidiaphragm. As the stomach has a thick wall, there is a thick line separating gas in the stomach from air in the lungs. Haustra within the gas suggesting that it is within the. Pneumoperitoneum (aeroperitoneum is a rare synonym 12) describes gas within the. Gas Under Diaphragm Sign Name.
From www.slideshare.net
Gas Under Diaphragm Final Year MB BS Lecture Gas Under Diaphragm Sign Name As the stomach has a thick wall, there is a thick line separating gas in the stomach from air in the lungs. Haustra within the gas suggesting that it is within the. Features that suggest chilaiditi sign include: Gas between liver and diaphragm. Pneumoperitoneum (aeroperitoneum is a rare synonym 12) describes gas within the peritoneal cavity, often due to critical. Gas Under Diaphragm Sign Name.
From www.youtube.com
Gas Under Diaphragm XRays Surgery Dr. Shankar Dey YouTube Gas Under Diaphragm Sign Name The stomach bubble forms a round/ovoid shape under the left hemidiaphragm. Features that suggest chilaiditi sign include: Pneumoperitoneum (aeroperitoneum is a rare synonym 12) describes gas within the peritoneal cavity, often due to critical illness. As the stomach has a thick wall, there is a thick line separating gas in the stomach from air in the lungs. Haustra within the. Gas Under Diaphragm Sign Name.
From www.slideshare.net
Gas Under Diaphragm Final Year MB BS Lecture Gas Under Diaphragm Sign Name Haustra within the gas suggesting that it is within the. As the stomach has a thick wall, there is a thick line separating gas in the stomach from air in the lungs. Features that suggest chilaiditi sign include: The stomach bubble forms a round/ovoid shape under the left hemidiaphragm. Gas between liver and diaphragm. Pneumoperitoneum (aeroperitoneum is a rare synonym. Gas Under Diaphragm Sign Name.
From medicalschoolimportant.blogspot.com
XRAY FREE GAS UNDER DIAPHRAGM Gas Under Diaphragm Sign Name Gas between liver and diaphragm. The stomach bubble forms a round/ovoid shape under the left hemidiaphragm. As the stomach has a thick wall, there is a thick line separating gas in the stomach from air in the lungs. Features that suggest chilaiditi sign include: Pneumoperitoneum (aeroperitoneum is a rare synonym 12) describes gas within the peritoneal cavity, often due to. Gas Under Diaphragm Sign Name.
From medicalschoolimportant.blogspot.com
XRAY FREE GAS UNDER DIAPHRAGM Gas Under Diaphragm Sign Name As the stomach has a thick wall, there is a thick line separating gas in the stomach from air in the lungs. Features that suggest chilaiditi sign include: Gas between liver and diaphragm. Pneumoperitoneum (aeroperitoneum is a rare synonym 12) describes gas within the peritoneal cavity, often due to critical illness. The stomach bubble forms a round/ovoid shape under the. Gas Under Diaphragm Sign Name.
From www.slideshare.net
Gas Under Diaphragm Final Year MB BS Lecture Gas Under Diaphragm Sign Name Features that suggest chilaiditi sign include: Gas between liver and diaphragm. The stomach bubble forms a round/ovoid shape under the left hemidiaphragm. As the stomach has a thick wall, there is a thick line separating gas in the stomach from air in the lungs. Haustra within the gas suggesting that it is within the. Pneumoperitoneum (aeroperitoneum is a rare synonym. Gas Under Diaphragm Sign Name.
From www.shutterstock.com
Gas Under Diaphragm Chest Xray Foto stock 1145233346 Shutterstock Gas Under Diaphragm Sign Name Haustra within the gas suggesting that it is within the. As the stomach has a thick wall, there is a thick line separating gas in the stomach from air in the lungs. Pneumoperitoneum (aeroperitoneum is a rare synonym 12) describes gas within the peritoneal cavity, often due to critical illness. The stomach bubble forms a round/ovoid shape under the left. Gas Under Diaphragm Sign Name.
From casereports.bmj.com
Abnormal gas pattern under diaphragm BMJ Case Reports Gas Under Diaphragm Sign Name Pneumoperitoneum (aeroperitoneum is a rare synonym 12) describes gas within the peritoneal cavity, often due to critical illness. The stomach bubble forms a round/ovoid shape under the left hemidiaphragm. Gas between liver and diaphragm. As the stomach has a thick wall, there is a thick line separating gas in the stomach from air in the lungs. Haustra within the gas. Gas Under Diaphragm Sign Name.
From www.slideshare.net
Gas Under Diaphragm Final Year MB BS Lecture Gas Under Diaphragm Sign Name Features that suggest chilaiditi sign include: Pneumoperitoneum (aeroperitoneum is a rare synonym 12) describes gas within the peritoneal cavity, often due to critical illness. The stomach bubble forms a round/ovoid shape under the left hemidiaphragm. As the stomach has a thick wall, there is a thick line separating gas in the stomach from air in the lungs. Gas between liver. Gas Under Diaphragm Sign Name.
From medizzy.com
Gas under Diaphragm MEDizzy Gas Under Diaphragm Sign Name Gas between liver and diaphragm. Features that suggest chilaiditi sign include: As the stomach has a thick wall, there is a thick line separating gas in the stomach from air in the lungs. The stomach bubble forms a round/ovoid shape under the left hemidiaphragm. Haustra within the gas suggesting that it is within the. Pneumoperitoneum (aeroperitoneum is a rare synonym. Gas Under Diaphragm Sign Name.
From www.americanjournalofsurgery.com
Chilaiditi's syndrome A nonemergent cause of “free gas under diaphragm Gas Under Diaphragm Sign Name Gas between liver and diaphragm. Haustra within the gas suggesting that it is within the. As the stomach has a thick wall, there is a thick line separating gas in the stomach from air in the lungs. The stomach bubble forms a round/ovoid shape under the left hemidiaphragm. Pneumoperitoneum (aeroperitoneum is a rare synonym 12) describes gas within the peritoneal. Gas Under Diaphragm Sign Name.
From fg.bmj.com
When gastroenterology meets radiology air under right diaphragm Gas Under Diaphragm Sign Name Haustra within the gas suggesting that it is within the. The stomach bubble forms a round/ovoid shape under the left hemidiaphragm. Features that suggest chilaiditi sign include: As the stomach has a thick wall, there is a thick line separating gas in the stomach from air in the lungs. Gas between liver and diaphragm. Pneumoperitoneum (aeroperitoneum is a rare synonym. Gas Under Diaphragm Sign Name.
From www.slideshare.net
Gas Under Diaphragm Final Year MB BS Lecture Gas Under Diaphragm Sign Name Gas between liver and diaphragm. Pneumoperitoneum (aeroperitoneum is a rare synonym 12) describes gas within the peritoneal cavity, often due to critical illness. The stomach bubble forms a round/ovoid shape under the left hemidiaphragm. Features that suggest chilaiditi sign include: As the stomach has a thick wall, there is a thick line separating gas in the stomach from air in. Gas Under Diaphragm Sign Name.
From www.researchgate.net
(PDF) Chilaiditi sign A rare differential diagnosis of gas under diaphragm Gas Under Diaphragm Sign Name As the stomach has a thick wall, there is a thick line separating gas in the stomach from air in the lungs. Features that suggest chilaiditi sign include: The stomach bubble forms a round/ovoid shape under the left hemidiaphragm. Gas between liver and diaphragm. Pneumoperitoneum (aeroperitoneum is a rare synonym 12) describes gas within the peritoneal cavity, often due to. Gas Under Diaphragm Sign Name.
From www.ccjm.org
Gas under the right diaphragm Cleveland Clinic Journal of Medicine Gas Under Diaphragm Sign Name Pneumoperitoneum (aeroperitoneum is a rare synonym 12) describes gas within the peritoneal cavity, often due to critical illness. The stomach bubble forms a round/ovoid shape under the left hemidiaphragm. Gas between liver and diaphragm. As the stomach has a thick wall, there is a thick line separating gas in the stomach from air in the lungs. Haustra within the gas. Gas Under Diaphragm Sign Name.
From www.slideserve.com
PPT Abdominal Xray Radiological Signs PowerPoint Presentation, free Gas Under Diaphragm Sign Name Features that suggest chilaiditi sign include: As the stomach has a thick wall, there is a thick line separating gas in the stomach from air in the lungs. Pneumoperitoneum (aeroperitoneum is a rare synonym 12) describes gas within the peritoneal cavity, often due to critical illness. Gas between liver and diaphragm. The stomach bubble forms a round/ovoid shape under the. Gas Under Diaphragm Sign Name.
From www.researchgate.net
Chest xray PA view showing gas under right diaphragm. Download Gas Under Diaphragm Sign Name The stomach bubble forms a round/ovoid shape under the left hemidiaphragm. Features that suggest chilaiditi sign include: Pneumoperitoneum (aeroperitoneum is a rare synonym 12) describes gas within the peritoneal cavity, often due to critical illness. Haustra within the gas suggesting that it is within the. Gas between liver and diaphragm. As the stomach has a thick wall, there is a. Gas Under Diaphragm Sign Name.
From www.vrogue.co
Chest X Ray Pa View Showing Gas Under The Diaphragm B vrogue.co Gas Under Diaphragm Sign Name Gas between liver and diaphragm. Features that suggest chilaiditi sign include: Haustra within the gas suggesting that it is within the. As the stomach has a thick wall, there is a thick line separating gas in the stomach from air in the lungs. The stomach bubble forms a round/ovoid shape under the left hemidiaphragm. Pneumoperitoneum (aeroperitoneum is a rare synonym. Gas Under Diaphragm Sign Name.
From www.slideshare.net
Gas Under Diaphragm Final Year MB BS Lecture Gas Under Diaphragm Sign Name Haustra within the gas suggesting that it is within the. The stomach bubble forms a round/ovoid shape under the left hemidiaphragm. Features that suggest chilaiditi sign include: Pneumoperitoneum (aeroperitoneum is a rare synonym 12) describes gas within the peritoneal cavity, often due to critical illness. As the stomach has a thick wall, there is a thick line separating gas in. Gas Under Diaphragm Sign Name.
From www.researchgate.net
Abdominal xray showing gas under the diaphragm. Download Scientific Gas Under Diaphragm Sign Name Pneumoperitoneum (aeroperitoneum is a rare synonym 12) describes gas within the peritoneal cavity, often due to critical illness. Features that suggest chilaiditi sign include: Haustra within the gas suggesting that it is within the. The stomach bubble forms a round/ovoid shape under the left hemidiaphragm. Gas between liver and diaphragm. As the stomach has a thick wall, there is a. Gas Under Diaphragm Sign Name.