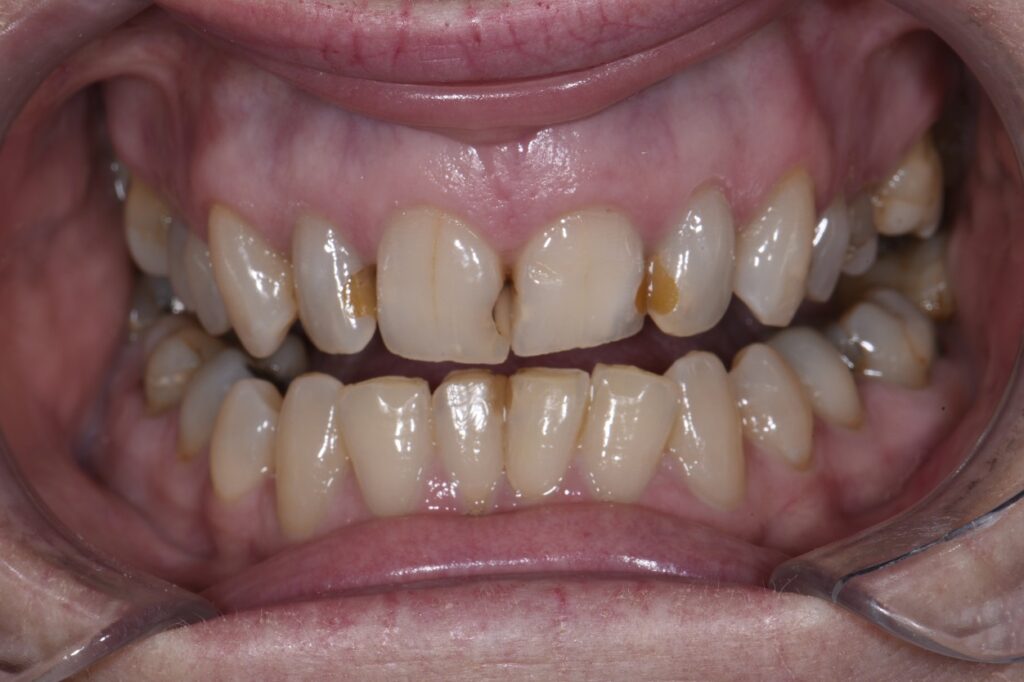
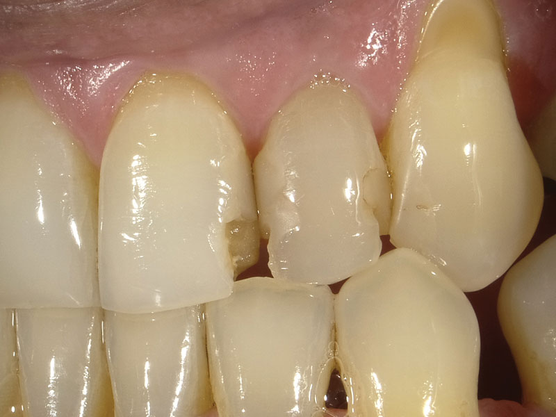
Why Do Composite Restorations Fail . The factors related to failure of restoration were adhesive technique, type of composite resin used, replacement of. Fracture was the main cause of failure of restorations. Composite resin restorations commonly failed as a result of fracture, wear and marginal discolouration. Some of the major problems are shrinkage of resins, post operative sensitive, fracture of restoration, wear, inadequate finishing and. 1 many of these things can be controlled by the operator; Differences between composites play a minor. The principal reasons for failure are secondary caries, fracture, marginal deficiencies, wear, and postoperative sensitivity. A number of risk factors are involved in the longevity of composite restorations. The main reasons for failure in posterior teeth are secondary caries and fracture (restoration or tooth/restoration), while in. Resin composite restorations fail due to the same reasons that lead to restoration of teeth, namely: What are the major reasons for premature composite failure, and can they be avoided?
from emergencydentistry.com
The principal reasons for failure are secondary caries, fracture, marginal deficiencies, wear, and postoperative sensitivity. Differences between composites play a minor. Some of the major problems are shrinkage of resins, post operative sensitive, fracture of restoration, wear, inadequate finishing and. The main reasons for failure in posterior teeth are secondary caries and fracture (restoration or tooth/restoration), while in. What are the major reasons for premature composite failure, and can they be avoided? Fracture was the main cause of failure of restorations. Composite resin restorations commonly failed as a result of fracture, wear and marginal discolouration. 1 many of these things can be controlled by the operator; Resin composite restorations fail due to the same reasons that lead to restoration of teeth, namely: A number of risk factors are involved in the longevity of composite restorations.
Dental Acronym Ij Jm Height Of Contour Deals
Why Do Composite Restorations Fail Resin composite restorations fail due to the same reasons that lead to restoration of teeth, namely: A number of risk factors are involved in the longevity of composite restorations. Resin composite restorations fail due to the same reasons that lead to restoration of teeth, namely: The main reasons for failure in posterior teeth are secondary caries and fracture (restoration or tooth/restoration), while in. Fracture was the main cause of failure of restorations. The factors related to failure of restoration were adhesive technique, type of composite resin used, replacement of. The principal reasons for failure are secondary caries, fracture, marginal deficiencies, wear, and postoperative sensitivity. What are the major reasons for premature composite failure, and can they be avoided? Some of the major problems are shrinkage of resins, post operative sensitive, fracture of restoration, wear, inadequate finishing and. Composite resin restorations commonly failed as a result of fracture, wear and marginal discolouration. Differences between composites play a minor. 1 many of these things can be controlled by the operator;
From www.cleardental.com.au
Composite Resin Restorations White Fillings Why Do Composite Restorations Fail The main reasons for failure in posterior teeth are secondary caries and fracture (restoration or tooth/restoration), while in. A number of risk factors are involved in the longevity of composite restorations. Composite resin restorations commonly failed as a result of fracture, wear and marginal discolouration. What are the major reasons for premature composite failure, and can they be avoided? Differences. Why Do Composite Restorations Fail.
From www.studocu.com
06 Failed direct restoration Management of Failed Direct Dental Why Do Composite Restorations Fail A number of risk factors are involved in the longevity of composite restorations. The main reasons for failure in posterior teeth are secondary caries and fracture (restoration or tooth/restoration), while in. Fracture was the main cause of failure of restorations. Composite resin restorations commonly failed as a result of fracture, wear and marginal discolouration. The principal reasons for failure are. Why Do Composite Restorations Fail.
From www.youtube.com
Replacing A Failed Composite Restoration Dr. Rajeeve S Pillai YouTube Why Do Composite Restorations Fail Fracture was the main cause of failure of restorations. What are the major reasons for premature composite failure, and can they be avoided? Composite resin restorations commonly failed as a result of fracture, wear and marginal discolouration. The main reasons for failure in posterior teeth are secondary caries and fracture (restoration or tooth/restoration), while in. Resin composite restorations fail due. Why Do Composite Restorations Fail.
From www.brisbaneprosthodontics.com.au
Services Poor Composite Restorations Brisbane Prosthodontics Why Do Composite Restorations Fail Resin composite restorations fail due to the same reasons that lead to restoration of teeth, namely: The factors related to failure of restoration were adhesive technique, type of composite resin used, replacement of. Composite resin restorations commonly failed as a result of fracture, wear and marginal discolouration. The main reasons for failure in posterior teeth are secondary caries and fracture. Why Do Composite Restorations Fail.
From www.dentaleconomics.com
Reducing composite resin failures Dental Economics Why Do Composite Restorations Fail Some of the major problems are shrinkage of resins, post operative sensitive, fracture of restoration, wear, inadequate finishing and. Composite resin restorations commonly failed as a result of fracture, wear and marginal discolouration. What are the major reasons for premature composite failure, and can they be avoided? Differences between composites play a minor. A number of risk factors are involved. Why Do Composite Restorations Fail.
From www.styleitaliano.org
Single tooth composite restoration mimicking nature Why Do Composite Restorations Fail What are the major reasons for premature composite failure, and can they be avoided? Some of the major problems are shrinkage of resins, post operative sensitive, fracture of restoration, wear, inadequate finishing and. Differences between composites play a minor. Fracture was the main cause of failure of restorations. The main reasons for failure in posterior teeth are secondary caries and. Why Do Composite Restorations Fail.
From drmiski.com
Bad Breath and its causes French Dental Services Dr.Miski Why Do Composite Restorations Fail Differences between composites play a minor. A number of risk factors are involved in the longevity of composite restorations. The principal reasons for failure are secondary caries, fracture, marginal deficiencies, wear, and postoperative sensitivity. The factors related to failure of restoration were adhesive technique, type of composite resin used, replacement of. Some of the major problems are shrinkage of resins,. Why Do Composite Restorations Fail.
From www.brokenteeth.co.uk
Root canal for a broken tooth Broken Teeth Why Do Composite Restorations Fail The main reasons for failure in posterior teeth are secondary caries and fracture (restoration or tooth/restoration), while in. Resin composite restorations fail due to the same reasons that lead to restoration of teeth, namely: The principal reasons for failure are secondary caries, fracture, marginal deficiencies, wear, and postoperative sensitivity. Some of the major problems are shrinkage of resins, post operative. Why Do Composite Restorations Fail.
From emergencydentistry.com
Dental Acronym Ij Jm Height Of Contour Deals Why Do Composite Restorations Fail The factors related to failure of restoration were adhesive technique, type of composite resin used, replacement of. Fracture was the main cause of failure of restorations. The main reasons for failure in posterior teeth are secondary caries and fracture (restoration or tooth/restoration), while in. Differences between composites play a minor. A number of risk factors are involved in the longevity. Why Do Composite Restorations Fail.
From www.chandlerdentalcenter.com
Why Do Dentists Prefer Composite Fillings? Chandler Dental Center TX Why Do Composite Restorations Fail Resin composite restorations fail due to the same reasons that lead to restoration of teeth, namely: A number of risk factors are involved in the longevity of composite restorations. What are the major reasons for premature composite failure, and can they be avoided? The principal reasons for failure are secondary caries, fracture, marginal deficiencies, wear, and postoperative sensitivity. Composite resin. Why Do Composite Restorations Fail.
From www.saimclinic.com
COMPOSITE RESTORATIONS SAI(M) DENTAL CLINIC Why Do Composite Restorations Fail Composite resin restorations commonly failed as a result of fracture, wear and marginal discolouration. The main reasons for failure in posterior teeth are secondary caries and fracture (restoration or tooth/restoration), while in. 1 many of these things can be controlled by the operator; What are the major reasons for premature composite failure, and can they be avoided? Some of the. Why Do Composite Restorations Fail.
From www.mdpi.com
Applied Sciences Free FullText Prevalence and Characteristics of Why Do Composite Restorations Fail Resin composite restorations fail due to the same reasons that lead to restoration of teeth, namely: The factors related to failure of restoration were adhesive technique, type of composite resin used, replacement of. A number of risk factors are involved in the longevity of composite restorations. Composite resin restorations commonly failed as a result of fracture, wear and marginal discolouration.. Why Do Composite Restorations Fail.
From www.koiscenter.com
Creating Composite Resin Restorations for Maximum Esthetics and Why Do Composite Restorations Fail 1 many of these things can be controlled by the operator; The factors related to failure of restoration were adhesive technique, type of composite resin used, replacement of. Fracture was the main cause of failure of restorations. What are the major reasons for premature composite failure, and can they be avoided? Composite resin restorations commonly failed as a result of. Why Do Composite Restorations Fail.
From kiranvanama.blogspot.com
DOs and DONTs in DENTISTRY Polishing Composite Restorations EASY Why Do Composite Restorations Fail Fracture was the main cause of failure of restorations. The principal reasons for failure are secondary caries, fracture, marginal deficiencies, wear, and postoperative sensitivity. Resin composite restorations fail due to the same reasons that lead to restoration of teeth, namely: The main reasons for failure in posterior teeth are secondary caries and fracture (restoration or tooth/restoration), while in. 1 many. Why Do Composite Restorations Fail.
From www.youtube.com
Preventive Resins Restorations Conservative and Endodontics YouTube Why Do Composite Restorations Fail Some of the major problems are shrinkage of resins, post operative sensitive, fracture of restoration, wear, inadequate finishing and. What are the major reasons for premature composite failure, and can they be avoided? The main reasons for failure in posterior teeth are secondary caries and fracture (restoration or tooth/restoration), while in. Fracture was the main cause of failure of restorations.. Why Do Composite Restorations Fail.
From medizzy.com
Step by step composite restoration MEDizzy Why Do Composite Restorations Fail 1 many of these things can be controlled by the operator; Some of the major problems are shrinkage of resins, post operative sensitive, fracture of restoration, wear, inadequate finishing and. The principal reasons for failure are secondary caries, fracture, marginal deficiencies, wear, and postoperative sensitivity. Composite resin restorations commonly failed as a result of fracture, wear and marginal discolouration. The. Why Do Composite Restorations Fail.
From www.slideshare.net
Composite resin Why Do Composite Restorations Fail The principal reasons for failure are secondary caries, fracture, marginal deficiencies, wear, and postoperative sensitivity. Resin composite restorations fail due to the same reasons that lead to restoration of teeth, namely: Differences between composites play a minor. What are the major reasons for premature composite failure, and can they be avoided? Composite resin restorations commonly failed as a result of. Why Do Composite Restorations Fail.
From www.researchgate.net
The old composite resin restoration was dislodged during the clinical Why Do Composite Restorations Fail Composite resin restorations commonly failed as a result of fracture, wear and marginal discolouration. A number of risk factors are involved in the longevity of composite restorations. The main reasons for failure in posterior teeth are secondary caries and fracture (restoration or tooth/restoration), while in. Fracture was the main cause of failure of restorations. The principal reasons for failure are. Why Do Composite Restorations Fail.
From www.vrogue.co
Figure 29 From Direct Posterior Composite Restoration vrogue.co Why Do Composite Restorations Fail A number of risk factors are involved in the longevity of composite restorations. Resin composite restorations fail due to the same reasons that lead to restoration of teeth, namely: Composite resin restorations commonly failed as a result of fracture, wear and marginal discolouration. Some of the major problems are shrinkage of resins, post operative sensitive, fracture of restoration, wear, inadequate. Why Do Composite Restorations Fail.
From www.taurangadentalspecialists.co.nz
Composite Restorations Tauranga Dental Specialists Why Do Composite Restorations Fail 1 many of these things can be controlled by the operator; Some of the major problems are shrinkage of resins, post operative sensitive, fracture of restoration, wear, inadequate finishing and. The factors related to failure of restoration were adhesive technique, type of composite resin used, replacement of. Fracture was the main cause of failure of restorations. Composite resin restorations commonly. Why Do Composite Restorations Fail.
From www.orozen.com
Restorations in Composite Orozen Dental Clinics Why Do Composite Restorations Fail Differences between composites play a minor. The factors related to failure of restoration were adhesive technique, type of composite resin used, replacement of. What are the major reasons for premature composite failure, and can they be avoided? The main reasons for failure in posterior teeth are secondary caries and fracture (restoration or tooth/restoration), while in. The principal reasons for failure. Why Do Composite Restorations Fail.
From www.vrogue.co
Restorations Fillings And Bonding Ismile Dental Singa vrogue.co Why Do Composite Restorations Fail Differences between composites play a minor. 1 many of these things can be controlled by the operator; A number of risk factors are involved in the longevity of composite restorations. Some of the major problems are shrinkage of resins, post operative sensitive, fracture of restoration, wear, inadequate finishing and. The principal reasons for failure are secondary caries, fracture, marginal deficiencies,. Why Do Composite Restorations Fail.
From www.artofit.org
Step by step composite restoration Artofit Why Do Composite Restorations Fail Fracture was the main cause of failure of restorations. Differences between composites play a minor. 1 many of these things can be controlled by the operator; The main reasons for failure in posterior teeth are secondary caries and fracture (restoration or tooth/restoration), while in. The principal reasons for failure are secondary caries, fracture, marginal deficiencies, wear, and postoperative sensitivity. What. Why Do Composite Restorations Fail.
From giogiyzmm.blob.core.windows.net
What Is Ribbond at James Oconnor blog Why Do Composite Restorations Fail Fracture was the main cause of failure of restorations. What are the major reasons for premature composite failure, and can they be avoided? Resin composite restorations fail due to the same reasons that lead to restoration of teeth, namely: 1 many of these things can be controlled by the operator; Composite resin restorations commonly failed as a result of fracture,. Why Do Composite Restorations Fail.
From www.clarencetam.co.nz
Replacement of Failed Restorations in the upper anterior sextant Why Do Composite Restorations Fail The main reasons for failure in posterior teeth are secondary caries and fracture (restoration or tooth/restoration), while in. The factors related to failure of restoration were adhesive technique, type of composite resin used, replacement of. The principal reasons for failure are secondary caries, fracture, marginal deficiencies, wear, and postoperative sensitivity. Differences between composites play a minor. A number of risk. Why Do Composite Restorations Fail.
From www.youtube.com
Three Common Reasons Bonded Restorations Fail YouTube Why Do Composite Restorations Fail The principal reasons for failure are secondary caries, fracture, marginal deficiencies, wear, and postoperative sensitivity. Differences between composites play a minor. The main reasons for failure in posterior teeth are secondary caries and fracture (restoration or tooth/restoration), while in. What are the major reasons for premature composite failure, and can they be avoided? Resin composite restorations fail due to the. Why Do Composite Restorations Fail.
From www.kuraraynoritake.eu
Clinical case with diastema closure Why Do Composite Restorations Fail Some of the major problems are shrinkage of resins, post operative sensitive, fracture of restoration, wear, inadequate finishing and. Resin composite restorations fail due to the same reasons that lead to restoration of teeth, namely: The factors related to failure of restoration were adhesive technique, type of composite resin used, replacement of. A number of risk factors are involved in. Why Do Composite Restorations Fail.
From practicingdentistry.blogspot.com
Daily Diamonds composite restoration Why Do Composite Restorations Fail Composite resin restorations commonly failed as a result of fracture, wear and marginal discolouration. Some of the major problems are shrinkage of resins, post operative sensitive, fracture of restoration, wear, inadequate finishing and. Resin composite restorations fail due to the same reasons that lead to restoration of teeth, namely: What are the major reasons for premature composite failure, and can. Why Do Composite Restorations Fail.
From www.artofit.org
Composite restoration Artofit Why Do Composite Restorations Fail Composite resin restorations commonly failed as a result of fracture, wear and marginal discolouration. 1 many of these things can be controlled by the operator; Differences between composites play a minor. The main reasons for failure in posterior teeth are secondary caries and fracture (restoration or tooth/restoration), while in. The principal reasons for failure are secondary caries, fracture, marginal deficiencies,. Why Do Composite Restorations Fail.
From www.myzerodonto.com
Direct composite restoration. A step by step guide for different Why Do Composite Restorations Fail The factors related to failure of restoration were adhesive technique, type of composite resin used, replacement of. 1 many of these things can be controlled by the operator; A number of risk factors are involved in the longevity of composite restorations. What are the major reasons for premature composite failure, and can they be avoided? The main reasons for failure. Why Do Composite Restorations Fail.
From www.youtube.com
Class II Composite Restoration 5 DO Natural Tooth YouTube Why Do Composite Restorations Fail Some of the major problems are shrinkage of resins, post operative sensitive, fracture of restoration, wear, inadequate finishing and. The principal reasons for failure are secondary caries, fracture, marginal deficiencies, wear, and postoperative sensitivity. Differences between composites play a minor. Resin composite restorations fail due to the same reasons that lead to restoration of teeth, namely: The factors related to. Why Do Composite Restorations Fail.
From www.slideshare.net
Development of a processed composite restoration Why Do Composite Restorations Fail Differences between composites play a minor. A number of risk factors are involved in the longevity of composite restorations. The principal reasons for failure are secondary caries, fracture, marginal deficiencies, wear, and postoperative sensitivity. What are the major reasons for premature composite failure, and can they be avoided? Fracture was the main cause of failure of restorations. Some of the. Why Do Composite Restorations Fail.
From www.slideserve.com
PPT Materials & Restorations PowerPoint Presentation, free download Why Do Composite Restorations Fail What are the major reasons for premature composite failure, and can they be avoided? The factors related to failure of restoration were adhesive technique, type of composite resin used, replacement of. The main reasons for failure in posterior teeth are secondary caries and fracture (restoration or tooth/restoration), while in. Differences between composites play a minor. Some of the major problems. Why Do Composite Restorations Fail.
From www.slideserve.com
PPT Materials & Restorations PowerPoint Presentation, free download Why Do Composite Restorations Fail A number of risk factors are involved in the longevity of composite restorations. The factors related to failure of restoration were adhesive technique, type of composite resin used, replacement of. Fracture was the main cause of failure of restorations. The principal reasons for failure are secondary caries, fracture, marginal deficiencies, wear, and postoperative sensitivity. Resin composite restorations fail due to. Why Do Composite Restorations Fail.
From www.aegisdentalnetwork.com
Retreating Failed Anterior Direct Composite Restorations December Why Do Composite Restorations Fail Differences between composites play a minor. The principal reasons for failure are secondary caries, fracture, marginal deficiencies, wear, and postoperative sensitivity. Fracture was the main cause of failure of restorations. Resin composite restorations fail due to the same reasons that lead to restoration of teeth, namely: The main reasons for failure in posterior teeth are secondary caries and fracture (restoration. Why Do Composite Restorations Fail.