Vitamin B12 Deficiency Anemia Microscopic Findings . This topic review discusses the symptoms, clinical manifestations, and diagnosis of vitamin b12 and folate deficiency, vitamins. The exemplar of this category of b 12 deficiency is pernicious anemia. Pernicious anemia is a relatively rare autoimmune disorder that causes diminishment in dietary vitamin b12 absorption, resulting in b12 deficiency and subsequent. Classical medical teaching tells that macrocytic anemia is caused by either vitamin b12 or folate deficiency but not. The slow evolution of this disease reflects the rate at which the autoimmune process disables the. Vitamin b 12 deficiency is a common cause of megaloblastic anemia, various neuropsychiatric symptoms, and other clinical manifestations. Dyserythropoietic features may be present.
from casereports.bmj.com
Pernicious anemia is a relatively rare autoimmune disorder that causes diminishment in dietary vitamin b12 absorption, resulting in b12 deficiency and subsequent. The slow evolution of this disease reflects the rate at which the autoimmune process disables the. The exemplar of this category of b 12 deficiency is pernicious anemia. Dyserythropoietic features may be present. Classical medical teaching tells that macrocytic anemia is caused by either vitamin b12 or folate deficiency but not. Vitamin b 12 deficiency is a common cause of megaloblastic anemia, various neuropsychiatric symptoms, and other clinical manifestations. This topic review discusses the symptoms, clinical manifestations, and diagnosis of vitamin b12 and folate deficiency, vitamins.
Microangiopathic haemolytic anaemia with thrombocytopenia induced by
Vitamin B12 Deficiency Anemia Microscopic Findings This topic review discusses the symptoms, clinical manifestations, and diagnosis of vitamin b12 and folate deficiency, vitamins. Dyserythropoietic features may be present. This topic review discusses the symptoms, clinical manifestations, and diagnosis of vitamin b12 and folate deficiency, vitamins. The slow evolution of this disease reflects the rate at which the autoimmune process disables the. The exemplar of this category of b 12 deficiency is pernicious anemia. Pernicious anemia is a relatively rare autoimmune disorder that causes diminishment in dietary vitamin b12 absorption, resulting in b12 deficiency and subsequent. Vitamin b 12 deficiency is a common cause of megaloblastic anemia, various neuropsychiatric symptoms, and other clinical manifestations. Classical medical teaching tells that macrocytic anemia is caused by either vitamin b12 or folate deficiency but not.
From funender.com
know vitamin b12 deficiency and what are the symptoms Vitamin B12 Deficiency Anemia Microscopic Findings The exemplar of this category of b 12 deficiency is pernicious anemia. Pernicious anemia is a relatively rare autoimmune disorder that causes diminishment in dietary vitamin b12 absorption, resulting in b12 deficiency and subsequent. Vitamin b 12 deficiency is a common cause of megaloblastic anemia, various neuropsychiatric symptoms, and other clinical manifestations. The slow evolution of this disease reflects the. Vitamin B12 Deficiency Anemia Microscopic Findings.
From www.researchgate.net
Peripheral blood film (microscopic view) showing a mixed picture of Vitamin B12 Deficiency Anemia Microscopic Findings Pernicious anemia is a relatively rare autoimmune disorder that causes diminishment in dietary vitamin b12 absorption, resulting in b12 deficiency and subsequent. Vitamin b 12 deficiency is a common cause of megaloblastic anemia, various neuropsychiatric symptoms, and other clinical manifestations. The exemplar of this category of b 12 deficiency is pernicious anemia. Classical medical teaching tells that macrocytic anemia is. Vitamin B12 Deficiency Anemia Microscopic Findings.
From www.istockphoto.com
Microscopic Image Of Macrocytic Anaemia With Thrombocytopenia Folic Vitamin B12 Deficiency Anemia Microscopic Findings Dyserythropoietic features may be present. Pernicious anemia is a relatively rare autoimmune disorder that causes diminishment in dietary vitamin b12 absorption, resulting in b12 deficiency and subsequent. The slow evolution of this disease reflects the rate at which the autoimmune process disables the. The exemplar of this category of b 12 deficiency is pernicious anemia. This topic review discusses the. Vitamin B12 Deficiency Anemia Microscopic Findings.
From stock.adobe.com
Microscopic image of macrocytic anaemia, folic acid deficiency, vitamin Vitamin B12 Deficiency Anemia Microscopic Findings Dyserythropoietic features may be present. Vitamin b 12 deficiency is a common cause of megaloblastic anemia, various neuropsychiatric symptoms, and other clinical manifestations. Classical medical teaching tells that macrocytic anemia is caused by either vitamin b12 or folate deficiency but not. The exemplar of this category of b 12 deficiency is pernicious anemia. Pernicious anemia is a relatively rare autoimmune. Vitamin B12 Deficiency Anemia Microscopic Findings.
From stock.adobe.com
Microscopic image of macrocytic anaemia with thrombocytopenia, folic Vitamin B12 Deficiency Anemia Microscopic Findings Pernicious anemia is a relatively rare autoimmune disorder that causes diminishment in dietary vitamin b12 absorption, resulting in b12 deficiency and subsequent. Classical medical teaching tells that macrocytic anemia is caused by either vitamin b12 or folate deficiency but not. The exemplar of this category of b 12 deficiency is pernicious anemia. The slow evolution of this disease reflects the. Vitamin B12 Deficiency Anemia Microscopic Findings.
From www.cureus.com
Cureus Microcytic Anemia Hiding Vitamin B12 Deficiency Anemia Vitamin B12 Deficiency Anemia Microscopic Findings This topic review discusses the symptoms, clinical manifestations, and diagnosis of vitamin b12 and folate deficiency, vitamins. The exemplar of this category of b 12 deficiency is pernicious anemia. Classical medical teaching tells that macrocytic anemia is caused by either vitamin b12 or folate deficiency but not. The slow evolution of this disease reflects the rate at which the autoimmune. Vitamin B12 Deficiency Anemia Microscopic Findings.
From www.gettyimagesbank.com
Microscopic image of macrocytic anaemia with thrombocytopenia, folic Vitamin B12 Deficiency Anemia Microscopic Findings Classical medical teaching tells that macrocytic anemia is caused by either vitamin b12 or folate deficiency but not. This topic review discusses the symptoms, clinical manifestations, and diagnosis of vitamin b12 and folate deficiency, vitamins. Dyserythropoietic features may be present. The exemplar of this category of b 12 deficiency is pernicious anemia. Pernicious anemia is a relatively rare autoimmune disorder. Vitamin B12 Deficiency Anemia Microscopic Findings.
From www.captodayonline.com
Peripheral blood evaluation B12 deficiency, anemia, ET, CMML CAP TODAY Vitamin B12 Deficiency Anemia Microscopic Findings This topic review discusses the symptoms, clinical manifestations, and diagnosis of vitamin b12 and folate deficiency, vitamins. Classical medical teaching tells that macrocytic anemia is caused by either vitamin b12 or folate deficiency but not. Vitamin b 12 deficiency is a common cause of megaloblastic anemia, various neuropsychiatric symptoms, and other clinical manifestations. Pernicious anemia is a relatively rare autoimmune. Vitamin B12 Deficiency Anemia Microscopic Findings.
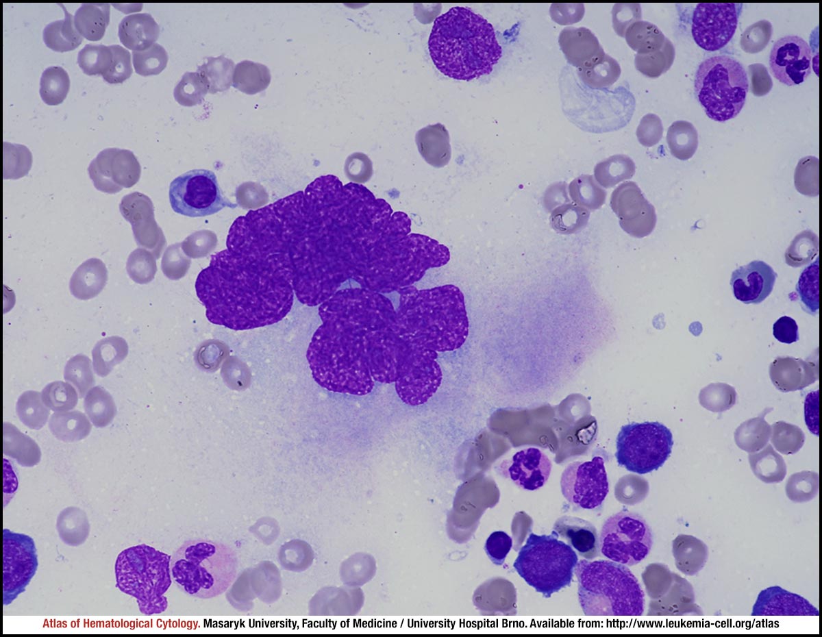
From www.leukemia-cell.org
Vitamin B12 deficiency CELL Atlas of Haematological Cytology Vitamin B12 Deficiency Anemia Microscopic Findings The exemplar of this category of b 12 deficiency is pernicious anemia. Pernicious anemia is a relatively rare autoimmune disorder that causes diminishment in dietary vitamin b12 absorption, resulting in b12 deficiency and subsequent. Dyserythropoietic features may be present. Vitamin b 12 deficiency is a common cause of megaloblastic anemia, various neuropsychiatric symptoms, and other clinical manifestations. The slow evolution. Vitamin B12 Deficiency Anemia Microscopic Findings.
From www.captodayonline.com
Peripheral blood evaluation B12 deficiency, anemia, ET, CMML Vitamin B12 Deficiency Anemia Microscopic Findings Dyserythropoietic features may be present. Pernicious anemia is a relatively rare autoimmune disorder that causes diminishment in dietary vitamin b12 absorption, resulting in b12 deficiency and subsequent. Vitamin b 12 deficiency is a common cause of megaloblastic anemia, various neuropsychiatric symptoms, and other clinical manifestations. The slow evolution of this disease reflects the rate at which the autoimmune process disables. Vitamin B12 Deficiency Anemia Microscopic Findings.
From www.ccjm.org
Megaloblastic anemia due to severe vitamin B12 deficiency Cleveland Vitamin B12 Deficiency Anemia Microscopic Findings This topic review discusses the symptoms, clinical manifestations, and diagnosis of vitamin b12 and folate deficiency, vitamins. Vitamin b 12 deficiency is a common cause of megaloblastic anemia, various neuropsychiatric symptoms, and other clinical manifestations. Pernicious anemia is a relatively rare autoimmune disorder that causes diminishment in dietary vitamin b12 absorption, resulting in b12 deficiency and subsequent. The exemplar of. Vitamin B12 Deficiency Anemia Microscopic Findings.
From www.leukemia-cell.org
Vitamin B12 deficiency CELL Atlas of Haematological Cytology Vitamin B12 Deficiency Anemia Microscopic Findings The slow evolution of this disease reflects the rate at which the autoimmune process disables the. This topic review discusses the symptoms, clinical manifestations, and diagnosis of vitamin b12 and folate deficiency, vitamins. Pernicious anemia is a relatively rare autoimmune disorder that causes diminishment in dietary vitamin b12 absorption, resulting in b12 deficiency and subsequent. The exemplar of this category. Vitamin B12 Deficiency Anemia Microscopic Findings.
From www.thebloodproject.com
What are the physical findings associated with vitamin B12 deficiency Vitamin B12 Deficiency Anemia Microscopic Findings The slow evolution of this disease reflects the rate at which the autoimmune process disables the. Classical medical teaching tells that macrocytic anemia is caused by either vitamin b12 or folate deficiency but not. Dyserythropoietic features may be present. Vitamin b 12 deficiency is a common cause of megaloblastic anemia, various neuropsychiatric symptoms, and other clinical manifestations. Pernicious anemia is. Vitamin B12 Deficiency Anemia Microscopic Findings.
From www.researchgate.net
(PDF) Vitamin B12 Deficiency Presenting With Microangiopathic Hemolytic Vitamin B12 Deficiency Anemia Microscopic Findings The exemplar of this category of b 12 deficiency is pernicious anemia. This topic review discusses the symptoms, clinical manifestations, and diagnosis of vitamin b12 and folate deficiency, vitamins. Classical medical teaching tells that macrocytic anemia is caused by either vitamin b12 or folate deficiency but not. Vitamin b 12 deficiency is a common cause of megaloblastic anemia, various neuropsychiatric. Vitamin B12 Deficiency Anemia Microscopic Findings.
From www.istockphoto.com
Microscopic Image Of Macrocytic Anaemia Folic Acid Deficiency Vitamin Vitamin B12 Deficiency Anemia Microscopic Findings The exemplar of this category of b 12 deficiency is pernicious anemia. This topic review discusses the symptoms, clinical manifestations, and diagnosis of vitamin b12 and folate deficiency, vitamins. Vitamin b 12 deficiency is a common cause of megaloblastic anemia, various neuropsychiatric symptoms, and other clinical manifestations. Classical medical teaching tells that macrocytic anemia is caused by either vitamin b12. Vitamin B12 Deficiency Anemia Microscopic Findings.
From labpedia.net
Chapter 22 Autoimmune diseases, Pernicious Anemia (Vitamin B12 Vitamin B12 Deficiency Anemia Microscopic Findings Vitamin b 12 deficiency is a common cause of megaloblastic anemia, various neuropsychiatric symptoms, and other clinical manifestations. The slow evolution of this disease reflects the rate at which the autoimmune process disables the. Classical medical teaching tells that macrocytic anemia is caused by either vitamin b12 or folate deficiency but not. This topic review discusses the symptoms, clinical manifestations,. Vitamin B12 Deficiency Anemia Microscopic Findings.
From www.thebloodproject.com
Macrocytic Anemias • The Blood Project Vitamin B12 Deficiency Anemia Microscopic Findings Classical medical teaching tells that macrocytic anemia is caused by either vitamin b12 or folate deficiency but not. The slow evolution of this disease reflects the rate at which the autoimmune process disables the. Dyserythropoietic features may be present. This topic review discusses the symptoms, clinical manifestations, and diagnosis of vitamin b12 and folate deficiency, vitamins. Vitamin b 12 deficiency. Vitamin B12 Deficiency Anemia Microscopic Findings.
From www.dovemed.com
Vitamin B12 Deficiency Anemia Vitamin B12 Deficiency Anemia Microscopic Findings Pernicious anemia is a relatively rare autoimmune disorder that causes diminishment in dietary vitamin b12 absorption, resulting in b12 deficiency and subsequent. The slow evolution of this disease reflects the rate at which the autoimmune process disables the. Vitamin b 12 deficiency is a common cause of megaloblastic anemia, various neuropsychiatric symptoms, and other clinical manifestations. The exemplar of this. Vitamin B12 Deficiency Anemia Microscopic Findings.
From stock.adobe.com
Microscopic image of macrocytic anaemia, folic acid deficiency, vitamin Vitamin B12 Deficiency Anemia Microscopic Findings This topic review discusses the symptoms, clinical manifestations, and diagnosis of vitamin b12 and folate deficiency, vitamins. Dyserythropoietic features may be present. Classical medical teaching tells that macrocytic anemia is caused by either vitamin b12 or folate deficiency but not. The exemplar of this category of b 12 deficiency is pernicious anemia. The slow evolution of this disease reflects the. Vitamin B12 Deficiency Anemia Microscopic Findings.
From stock.adobe.com
Microscopic image of macrocytic anaemia, folic acid deficiency, vitamin Vitamin B12 Deficiency Anemia Microscopic Findings The exemplar of this category of b 12 deficiency is pernicious anemia. Classical medical teaching tells that macrocytic anemia is caused by either vitamin b12 or folate deficiency but not. Vitamin b 12 deficiency is a common cause of megaloblastic anemia, various neuropsychiatric symptoms, and other clinical manifestations. The slow evolution of this disease reflects the rate at which the. Vitamin B12 Deficiency Anemia Microscopic Findings.
From healthjade.net
Pernicious Anemia Causes, Signs, Symptoms, Treatment Vitamin B12 Deficiency Anemia Microscopic Findings Dyserythropoietic features may be present. The slow evolution of this disease reflects the rate at which the autoimmune process disables the. This topic review discusses the symptoms, clinical manifestations, and diagnosis of vitamin b12 and folate deficiency, vitamins. The exemplar of this category of b 12 deficiency is pernicious anemia. Pernicious anemia is a relatively rare autoimmune disorder that causes. Vitamin B12 Deficiency Anemia Microscopic Findings.
From www.slideserve.com
PPT The Megaloblastic Anemias Vitamin B 12 & Folate Deficiency Vitamin B12 Deficiency Anemia Microscopic Findings Pernicious anemia is a relatively rare autoimmune disorder that causes diminishment in dietary vitamin b12 absorption, resulting in b12 deficiency and subsequent. Classical medical teaching tells that macrocytic anemia is caused by either vitamin b12 or folate deficiency but not. Vitamin b 12 deficiency is a common cause of megaloblastic anemia, various neuropsychiatric symptoms, and other clinical manifestations. Dyserythropoietic features. Vitamin B12 Deficiency Anemia Microscopic Findings.
From perniciousanemia.org
What Are The 4 Stages of B12 Deficiency? • PA Relief Vitamin B12 Deficiency Anemia Microscopic Findings Classical medical teaching tells that macrocytic anemia is caused by either vitamin b12 or folate deficiency but not. Pernicious anemia is a relatively rare autoimmune disorder that causes diminishment in dietary vitamin b12 absorption, resulting in b12 deficiency and subsequent. This topic review discusses the symptoms, clinical manifestations, and diagnosis of vitamin b12 and folate deficiency, vitamins. The slow evolution. Vitamin B12 Deficiency Anemia Microscopic Findings.
From labpedia.net
Anemia Part 3 Megaloblastic Anemias, Macrocytic, Vitamin B12 and Vitamin B12 Deficiency Anemia Microscopic Findings Vitamin b 12 deficiency is a common cause of megaloblastic anemia, various neuropsychiatric symptoms, and other clinical manifestations. The slow evolution of this disease reflects the rate at which the autoimmune process disables the. This topic review discusses the symptoms, clinical manifestations, and diagnosis of vitamin b12 and folate deficiency, vitamins. Dyserythropoietic features may be present. Classical medical teaching tells. Vitamin B12 Deficiency Anemia Microscopic Findings.
From www.youtube.com
Pernicious Anemia (Rare Cause of Vitamin B12 Deficiency) Causes Vitamin B12 Deficiency Anemia Microscopic Findings The exemplar of this category of b 12 deficiency is pernicious anemia. This topic review discusses the symptoms, clinical manifestations, and diagnosis of vitamin b12 and folate deficiency, vitamins. The slow evolution of this disease reflects the rate at which the autoimmune process disables the. Pernicious anemia is a relatively rare autoimmune disorder that causes diminishment in dietary vitamin b12. Vitamin B12 Deficiency Anemia Microscopic Findings.
From labpedia.net
Anemia Part 3 Megaloblastic Anemia, Macrocytic, Vitamin B12 and Vitamin B12 Deficiency Anemia Microscopic Findings This topic review discusses the symptoms, clinical manifestations, and diagnosis of vitamin b12 and folate deficiency, vitamins. The slow evolution of this disease reflects the rate at which the autoimmune process disables the. Pernicious anemia is a relatively rare autoimmune disorder that causes diminishment in dietary vitamin b12 absorption, resulting in b12 deficiency and subsequent. Dyserythropoietic features may be present.. Vitamin B12 Deficiency Anemia Microscopic Findings.
From labpedia.net
Anemia Part 3 Megaloblastic Anemia, Macrocytic, Vitamin B12 and Vitamin B12 Deficiency Anemia Microscopic Findings Vitamin b 12 deficiency is a common cause of megaloblastic anemia, various neuropsychiatric symptoms, and other clinical manifestations. The exemplar of this category of b 12 deficiency is pernicious anemia. Pernicious anemia is a relatively rare autoimmune disorder that causes diminishment in dietary vitamin b12 absorption, resulting in b12 deficiency and subsequent. The slow evolution of this disease reflects the. Vitamin B12 Deficiency Anemia Microscopic Findings.
From casereports.bmj.com
Hypotension an unusual presentation of vitamin B12 deficiency, with Vitamin B12 Deficiency Anemia Microscopic Findings Classical medical teaching tells that macrocytic anemia is caused by either vitamin b12 or folate deficiency but not. This topic review discusses the symptoms, clinical manifestations, and diagnosis of vitamin b12 and folate deficiency, vitamins. The exemplar of this category of b 12 deficiency is pernicious anemia. Pernicious anemia is a relatively rare autoimmune disorder that causes diminishment in dietary. Vitamin B12 Deficiency Anemia Microscopic Findings.
From casereports.bmj.com
Microangiopathic haemolytic anaemia with thrombocytopenia induced by Vitamin B12 Deficiency Anemia Microscopic Findings Pernicious anemia is a relatively rare autoimmune disorder that causes diminishment in dietary vitamin b12 absorption, resulting in b12 deficiency and subsequent. Dyserythropoietic features may be present. Classical medical teaching tells that macrocytic anemia is caused by either vitamin b12 or folate deficiency but not. The exemplar of this category of b 12 deficiency is pernicious anemia. The slow evolution. Vitamin B12 Deficiency Anemia Microscopic Findings.
From www.thehcginstitute.com
Vitamin B12 Deficiency Anemia And Treatment Vitamin B12 Deficiency Anemia Microscopic Findings The exemplar of this category of b 12 deficiency is pernicious anemia. The slow evolution of this disease reflects the rate at which the autoimmune process disables the. Vitamin b 12 deficiency is a common cause of megaloblastic anemia, various neuropsychiatric symptoms, and other clinical manifestations. Dyserythropoietic features may be present. Pernicious anemia is a relatively rare autoimmune disorder that. Vitamin B12 Deficiency Anemia Microscopic Findings.
From www.nejm.org
Vitamin B12 Deficiency NEJM Vitamin B12 Deficiency Anemia Microscopic Findings Vitamin b 12 deficiency is a common cause of megaloblastic anemia, various neuropsychiatric symptoms, and other clinical manifestations. The slow evolution of this disease reflects the rate at which the autoimmune process disables the. Classical medical teaching tells that macrocytic anemia is caused by either vitamin b12 or folate deficiency but not. The exemplar of this category of b 12. Vitamin B12 Deficiency Anemia Microscopic Findings.
From www.istockphoto.com
Microscopic Image Of Macrocytic Anaemia With Thrombocytopenia Folic Vitamin B12 Deficiency Anemia Microscopic Findings Pernicious anemia is a relatively rare autoimmune disorder that causes diminishment in dietary vitamin b12 absorption, resulting in b12 deficiency and subsequent. Vitamin b 12 deficiency is a common cause of megaloblastic anemia, various neuropsychiatric symptoms, and other clinical manifestations. The slow evolution of this disease reflects the rate at which the autoimmune process disables the. Classical medical teaching tells. Vitamin B12 Deficiency Anemia Microscopic Findings.
From labpedia.net
Anemia Part 3 Megaloblastic Anemias, Macrocytic, Vitamin B12 and Vitamin B12 Deficiency Anemia Microscopic Findings The exemplar of this category of b 12 deficiency is pernicious anemia. The slow evolution of this disease reflects the rate at which the autoimmune process disables the. Vitamin b 12 deficiency is a common cause of megaloblastic anemia, various neuropsychiatric symptoms, and other clinical manifestations. Pernicious anemia is a relatively rare autoimmune disorder that causes diminishment in dietary vitamin. Vitamin B12 Deficiency Anemia Microscopic Findings.
From www.rupahealth.com
7 Lab Test to Help Rule Out B12 Anemia Vitamin B12 Deficiency Anemia Microscopic Findings Vitamin b 12 deficiency is a common cause of megaloblastic anemia, various neuropsychiatric symptoms, and other clinical manifestations. The slow evolution of this disease reflects the rate at which the autoimmune process disables the. This topic review discusses the symptoms, clinical manifestations, and diagnosis of vitamin b12 and folate deficiency, vitamins. Pernicious anemia is a relatively rare autoimmune disorder that. Vitamin B12 Deficiency Anemia Microscopic Findings.
From www.goldbamboo.com
Anemia B12 deficiency Pictures Vitamin B12 Deficiency Anemia Microscopic Findings Classical medical teaching tells that macrocytic anemia is caused by either vitamin b12 or folate deficiency but not. This topic review discusses the symptoms, clinical manifestations, and diagnosis of vitamin b12 and folate deficiency, vitamins. The exemplar of this category of b 12 deficiency is pernicious anemia. Vitamin b 12 deficiency is a common cause of megaloblastic anemia, various neuropsychiatric. Vitamin B12 Deficiency Anemia Microscopic Findings.