Dental Crown Gums Recede . But why would your gums be receding under. receding gums, or gingival recession, is a condition in which your gums pull back away from your teeth. Talk to your dentist and get. if you think your gums are receding, make an appointment with your dentist. When found early, changes in brushing methods, antibiotics, orthodontics, and other minor treatments can help prevent further damage. receding gum tissues around a dental crown is often a sign of underlying periodontal disease and should not be ignored. receding gums refer to when gums wear away or become pushed back, exposing the roots of the teeth. There are treatments that can. This leaves your tooth roots exposed to germs and raises your risk of further gum damage. good oral hygiene and regular dental checkups are the key to prevent, slow down or stop gums from receding. gum recession occurs when the gum tissue surrounding the tooth pulls back, exposing the root surface. It’s caused by a number. gum recession is when your gum tissue pulls away from your teeth, exposing the roots underneath. Receding gums become a health concern,.
from infinitydentalclinic.co.uk
This leaves your tooth roots exposed to germs and raises your risk of further gum damage. When found early, changes in brushing methods, antibiotics, orthodontics, and other minor treatments can help prevent further damage. receding gums, or gingival recession, is a condition in which your gums pull back away from your teeth. Talk to your dentist and get. gum recession is when your gum tissue pulls away from your teeth, exposing the roots underneath. good oral hygiene and regular dental checkups are the key to prevent, slow down or stop gums from receding. if you think your gums are receding, make an appointment with your dentist. gum recession occurs when the gum tissue surrounding the tooth pulls back, exposing the root surface. There are treatments that can. receding gums refer to when gums wear away or become pushed back, exposing the roots of the teeth.
Receding gums and replacement teeth
Dental Crown Gums Recede This leaves your tooth roots exposed to germs and raises your risk of further gum damage. gum recession occurs when the gum tissue surrounding the tooth pulls back, exposing the root surface. Receding gums become a health concern,. gum recession is when your gum tissue pulls away from your teeth, exposing the roots underneath. When found early, changes in brushing methods, antibiotics, orthodontics, and other minor treatments can help prevent further damage. It’s caused by a number. receding gum tissues around a dental crown is often a sign of underlying periodontal disease and should not be ignored. receding gums, or gingival recession, is a condition in which your gums pull back away from your teeth. This leaves your tooth roots exposed to germs and raises your risk of further gum damage. There are treatments that can. Talk to your dentist and get. good oral hygiene and regular dental checkups are the key to prevent, slow down or stop gums from receding. receding gums refer to when gums wear away or become pushed back, exposing the roots of the teeth. But why would your gums be receding under. if you think your gums are receding, make an appointment with your dentist.
From museumdental.com
How to Fix receding Gums? Museum Dental Center Los Angeles Dental Crown Gums Recede gum recession occurs when the gum tissue surrounding the tooth pulls back, exposing the root surface. gum recession is when your gum tissue pulls away from your teeth, exposing the roots underneath. if you think your gums are receding, make an appointment with your dentist. This leaves your tooth roots exposed to germs and raises your risk. Dental Crown Gums Recede.
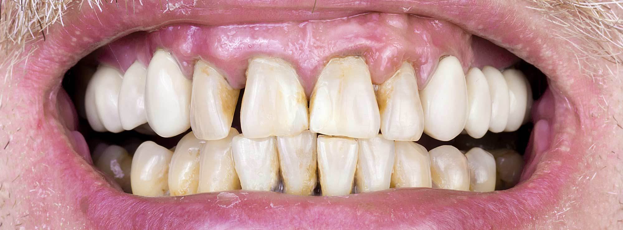
From www.southfloridadentalcare.com
What Causes Gums to Recede and How Do You Deal with It? Dental Crown Gums Recede gum recession is when your gum tissue pulls away from your teeth, exposing the roots underneath. This leaves your tooth roots exposed to germs and raises your risk of further gum damage. It’s caused by a number. good oral hygiene and regular dental checkups are the key to prevent, slow down or stop gums from receding. But why. Dental Crown Gums Recede.
From www.infodentis.com
How Can We Stop Receding Gums? Dental Crown Gums Recede When found early, changes in brushing methods, antibiotics, orthodontics, and other minor treatments can help prevent further damage. receding gums, or gingival recession, is a condition in which your gums pull back away from your teeth. gum recession is when your gum tissue pulls away from your teeth, exposing the roots underneath. Receding gums become a health concern,.. Dental Crown Gums Recede.
From infinitydentalclinic.co.uk
Receding gums and replacement teeth Dental Crown Gums Recede It’s caused by a number. Talk to your dentist and get. receding gums, or gingival recession, is a condition in which your gums pull back away from your teeth. receding gums refer to when gums wear away or become pushed back, exposing the roots of the teeth. There are treatments that can. Receding gums become a health concern,.. Dental Crown Gums Recede.
From ksmiledentalcare.com
Dental Crowns Everything you need to know K Smile Dental Care Dental Crown Gums Recede receding gums refer to when gums wear away or become pushed back, exposing the roots of the teeth. Receding gums become a health concern,. When found early, changes in brushing methods, antibiotics, orthodontics, and other minor treatments can help prevent further damage. There are treatments that can. gum recession occurs when the gum tissue surrounding the tooth pulls. Dental Crown Gums Recede.
From www.greatimpressiondental.com
Dental Crowns in Boonsville Receding Gums Great Impression Dental Dental Crown Gums Recede It’s caused by a number. There are treatments that can. receding gums, or gingival recession, is a condition in which your gums pull back away from your teeth. receding gum tissues around a dental crown is often a sign of underlying periodontal disease and should not be ignored. if you think your gums are receding, make an. Dental Crown Gums Recede.
From lakeforestdentalarts.com
Gum receding around crown Does dentistry cause recession? Dental Crown Gums Recede There are treatments that can. But why would your gums be receding under. This leaves your tooth roots exposed to germs and raises your risk of further gum damage. receding gums refer to when gums wear away or become pushed back, exposing the roots of the teeth. receding gums, or gingival recession, is a condition in which your. Dental Crown Gums Recede.
From www.facialart.com
Receding Gum Tissue After Dental Implant Treatments Receding Gum Dental Crown Gums Recede if you think your gums are receding, make an appointment with your dentist. There are treatments that can. But why would your gums be receding under. It’s caused by a number. When found early, changes in brushing methods, antibiotics, orthodontics, and other minor treatments can help prevent further damage. good oral hygiene and regular dental checkups are the. Dental Crown Gums Recede.
From yourdentalhealthresource.com
Why Are Your Gums Receding Under Your Dental Crowns? Your Dental Dental Crown Gums Recede But why would your gums be receding under. It’s caused by a number. Receding gums become a health concern,. There are treatments that can. Talk to your dentist and get. receding gums refer to when gums wear away or become pushed back, exposing the roots of the teeth. if you think your gums are receding, make an appointment. Dental Crown Gums Recede.
From ar.inspiredpencil.com
Receding Gums Before And After Dental Crown Gums Recede receding gums refer to when gums wear away or become pushed back, exposing the roots of the teeth. Receding gums become a health concern,. gum recession is when your gum tissue pulls away from your teeth, exposing the roots underneath. This leaves your tooth roots exposed to germs and raises your risk of further gum damage. gum. Dental Crown Gums Recede.
From www.biid.org
How to Know If Need a Dental Crown Replacement Dental Crown Gums Recede But why would your gums be receding under. When found early, changes in brushing methods, antibiotics, orthodontics, and other minor treatments can help prevent further damage. receding gums refer to when gums wear away or become pushed back, exposing the roots of the teeth. receding gum tissues around a dental crown is often a sign of underlying periodontal. Dental Crown Gums Recede.
From ar.inspiredpencil.com
Receding Gums Before And After Dental Crown Gums Recede receding gum tissues around a dental crown is often a sign of underlying periodontal disease and should not be ignored. Talk to your dentist and get. But why would your gums be receding under. gum recession occurs when the gum tissue surrounding the tooth pulls back, exposing the root surface. It’s caused by a number. receding gums,. Dental Crown Gums Recede.
From www.facialart.com
How to Prevent and Manage Black Lines Around Crowns and Gum Recession Dental Crown Gums Recede But why would your gums be receding under. This leaves your tooth roots exposed to germs and raises your risk of further gum damage. receding gums, or gingival recession, is a condition in which your gums pull back away from your teeth. There are treatments that can. It’s caused by a number. receding gums refer to when gums. Dental Crown Gums Recede.
From dentalfocus.com.au
Receding Gums Dental Focus Dental Crown Gums Recede gum recession is when your gum tissue pulls away from your teeth, exposing the roots underneath. When found early, changes in brushing methods, antibiotics, orthodontics, and other minor treatments can help prevent further damage. receding gum tissues around a dental crown is often a sign of underlying periodontal disease and should not be ignored. Receding gums become a. Dental Crown Gums Recede.
From fisherdentaldeforest.com
What Are Dental Crowns & How Do They Work? Fisher Family Dental Care Dental Crown Gums Recede receding gums refer to when gums wear away or become pushed back, exposing the roots of the teeth. receding gums, or gingival recession, is a condition in which your gums pull back away from your teeth. When found early, changes in brushing methods, antibiotics, orthodontics, and other minor treatments can help prevent further damage. There are treatments that. Dental Crown Gums Recede.
From www.tompkinsdental.com
Receding Gums and 6 Other Signs of Gum Disease Tompkins Dental Dental Crown Gums Recede It’s caused by a number. receding gum tissues around a dental crown is often a sign of underlying periodontal disease and should not be ignored. receding gums refer to when gums wear away or become pushed back, exposing the roots of the teeth. When found early, changes in brushing methods, antibiotics, orthodontics, and other minor treatments can help. Dental Crown Gums Recede.
From www.pinterest.com
Porcelain Crowns (upper) Porcelain crowns, Dental crowns, Cosmetic Dental Crown Gums Recede When found early, changes in brushing methods, antibiotics, orthodontics, and other minor treatments can help prevent further damage. receding gums refer to when gums wear away or become pushed back, exposing the roots of the teeth. It’s caused by a number. gum recession is when your gum tissue pulls away from your teeth, exposing the roots underneath. There. Dental Crown Gums Recede.
From smiledentalpartners.com
Receding Gums Symptoms, Consequences, and Remedies Smile Dental Partners Dental Crown Gums Recede Talk to your dentist and get. if you think your gums are receding, make an appointment with your dentist. good oral hygiene and regular dental checkups are the key to prevent, slow down or stop gums from receding. This leaves your tooth roots exposed to germs and raises your risk of further gum damage. When found early, changes. Dental Crown Gums Recede.
From www.pickettfamilydental.com
Receding Gums Everything You Need to Know Pickett Family Dental Dental Crown Gums Recede gum recession occurs when the gum tissue surrounding the tooth pulls back, exposing the root surface. This leaves your tooth roots exposed to germs and raises your risk of further gum damage. But why would your gums be receding under. It’s caused by a number. gum recession is when your gum tissue pulls away from your teeth, exposing. Dental Crown Gums Recede.
From mymagnoliadental.com
Different Types of Dental Crowns & Bridges Magnolia Dental Dental Crown Gums Recede if you think your gums are receding, make an appointment with your dentist. receding gums, or gingival recession, is a condition in which your gums pull back away from your teeth. gum recession occurs when the gum tissue surrounding the tooth pulls back, exposing the root surface. Talk to your dentist and get. good oral hygiene. Dental Crown Gums Recede.
From www.perfectsmilenynj.com
Dental Crown Photos Nanuet NY Modern Dentistry Hasbrouck Heights NJ Dental Crown Gums Recede It’s caused by a number. receding gums refer to when gums wear away or become pushed back, exposing the roots of the teeth. gum recession occurs when the gum tissue surrounding the tooth pulls back, exposing the root surface. good oral hygiene and regular dental checkups are the key to prevent, slow down or stop gums from. Dental Crown Gums Recede.
From www.oklahomacitydentalimplant.com
Receding Gums & Tooth Sensitivity Ryan Lanman DDS, MSD Dental Crown Gums Recede It’s caused by a number. if you think your gums are receding, make an appointment with your dentist. gum recession occurs when the gum tissue surrounding the tooth pulls back, exposing the root surface. When found early, changes in brushing methods, antibiotics, orthodontics, and other minor treatments can help prevent further damage. receding gum tissues around a. Dental Crown Gums Recede.
From www.animalia-life.club
Receding Gums Stages Dental Crown Gums Recede But why would your gums be receding under. receding gums refer to when gums wear away or become pushed back, exposing the roots of the teeth. gum recession occurs when the gum tissue surrounding the tooth pulls back, exposing the root surface. if you think your gums are receding, make an appointment with your dentist. Talk to. Dental Crown Gums Recede.
From www.reddit.com
Gums receding above crown from harsh brushing? Dentistry Dental Crown Gums Recede good oral hygiene and regular dental checkups are the key to prevent, slow down or stop gums from receding. Receding gums become a health concern,. receding gums refer to when gums wear away or become pushed back, exposing the roots of the teeth. When found early, changes in brushing methods, antibiotics, orthodontics, and other minor treatments can help. Dental Crown Gums Recede.
From ar.inspiredpencil.com
Receding Gums Stages Dental Crown Gums Recede if you think your gums are receding, make an appointment with your dentist. Talk to your dentist and get. When found early, changes in brushing methods, antibiotics, orthodontics, and other minor treatments can help prevent further damage. gum recession is when your gum tissue pulls away from your teeth, exposing the roots underneath. This leaves your tooth roots. Dental Crown Gums Recede.
From www.burbankdentalimplants.com
Thin Receding Gums And Dental Implants What's Important? Video by Dental Crown Gums Recede gum recession occurs when the gum tissue surrounding the tooth pulls back, exposing the root surface. There are treatments that can. good oral hygiene and regular dental checkups are the key to prevent, slow down or stop gums from receding. receding gums, or gingival recession, is a condition in which your gums pull back away from your. Dental Crown Gums Recede.
From forestwooddental.com
Can receding gums grow back? Spring and Champions TX Dentist Dental Crown Gums Recede receding gum tissues around a dental crown is often a sign of underlying periodontal disease and should not be ignored. There are treatments that can. good oral hygiene and regular dental checkups are the key to prevent, slow down or stop gums from receding. When found early, changes in brushing methods, antibiotics, orthodontics, and other minor treatments can. Dental Crown Gums Recede.
From www.theoralcarecentre.com.sg
Receding Gums Oralcare Dental Crown Gums Recede When found early, changes in brushing methods, antibiotics, orthodontics, and other minor treatments can help prevent further damage. gum recession occurs when the gum tissue surrounding the tooth pulls back, exposing the root surface. There are treatments that can. if you think your gums are receding, make an appointment with your dentist. But why would your gums be. Dental Crown Gums Recede.
From www.taylor-dental.com
Smile Gallery Dr. Rebecca Rath DMD Billings Dentist Dental Crown Gums Recede Talk to your dentist and get. if you think your gums are receding, make an appointment with your dentist. receding gum tissues around a dental crown is often a sign of underlying periodontal disease and should not be ignored. good oral hygiene and regular dental checkups are the key to prevent, slow down or stop gums from. Dental Crown Gums Recede.
From leedervilledental.com.au
Dental Crowns Leederville Dental Perth's most experienced sedation Dental Crown Gums Recede This leaves your tooth roots exposed to germs and raises your risk of further gum damage. It’s caused by a number. When found early, changes in brushing methods, antibiotics, orthodontics, and other minor treatments can help prevent further damage. if you think your gums are receding, make an appointment with your dentist. But why would your gums be receding. Dental Crown Gums Recede.
From www.facialart.com
How to Prevent and Manage Black Lines Around Crowns and Gum Recession Dental Crown Gums Recede When found early, changes in brushing methods, antibiotics, orthodontics, and other minor treatments can help prevent further damage. gum recession is when your gum tissue pulls away from your teeth, exposing the roots underneath. gum recession occurs when the gum tissue surrounding the tooth pulls back, exposing the root surface. Receding gums become a health concern,. Talk to. Dental Crown Gums Recede.
From www.nassaucountyperiodontist.com
Receding Gum Treatment Dr. Marichia Attalla DDS, PC Dental Crown Gums Recede Receding gums become a health concern,. When found early, changes in brushing methods, antibiotics, orthodontics, and other minor treatments can help prevent further damage. There are treatments that can. good oral hygiene and regular dental checkups are the key to prevent, slow down or stop gums from receding. This leaves your tooth roots exposed to germs and raises your. Dental Crown Gums Recede.
From www.easterndental.com
Receding Gums Eastern Dental Dental Crown Gums Recede When found early, changes in brushing methods, antibiotics, orthodontics, and other minor treatments can help prevent further damage. It’s caused by a number. receding gums, or gingival recession, is a condition in which your gums pull back away from your teeth. gum recession is when your gum tissue pulls away from your teeth, exposing the roots underneath. . Dental Crown Gums Recede.
From sandiegoinvisaligndentist.org
Will gums grow around dental implant crown Dental News Network Dental Crown Gums Recede good oral hygiene and regular dental checkups are the key to prevent, slow down or stop gums from receding. if you think your gums are receding, make an appointment with your dentist. Receding gums become a health concern,. There are treatments that can. gum recession is when your gum tissue pulls away from your teeth, exposing the. Dental Crown Gums Recede.
From signaturesmiledfw.com
Everything you need to know about receding gums Signature Smile Dental Crown Gums Recede receding gums, or gingival recession, is a condition in which your gums pull back away from your teeth. Talk to your dentist and get. It’s caused by a number. gum recession occurs when the gum tissue surrounding the tooth pulls back, exposing the root surface. When found early, changes in brushing methods, antibiotics, orthodontics, and other minor treatments. Dental Crown Gums Recede.