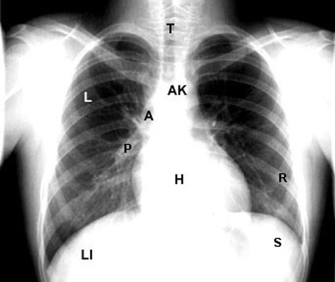
What Does A Normal Chest X Ray Look Like . Darker colors indicate less dense material, and lighter colors indicate more dense material. Doctors typically use this procedure to help diagnose breathing difficulties, a bad or. This image shows a normal chest. There are no visible nodules, tumors or masses.
        
        from animalia-life.club 
     
        
        There are no visible nodules, tumors or masses. Doctors typically use this procedure to help diagnose breathing difficulties, a bad or. This image shows a normal chest. Darker colors indicate less dense material, and lighter colors indicate more dense material.
    
    	
            
	
		 
         
    Normal Chest X Ray Images 
    What Does A Normal Chest X Ray Look Like  Darker colors indicate less dense material, and lighter colors indicate more dense material. Doctors typically use this procedure to help diagnose breathing difficulties, a bad or. Darker colors indicate less dense material, and lighter colors indicate more dense material. There are no visible nodules, tumors or masses. This image shows a normal chest.
            
	
		 
         
 
    
        From radiopaedia.org 
                    Normal frontal chest xray Image What Does A Normal Chest X Ray Look Like  This image shows a normal chest. Doctors typically use this procedure to help diagnose breathing difficulties, a bad or. Darker colors indicate less dense material, and lighter colors indicate more dense material. There are no visible nodules, tumors or masses. What Does A Normal Chest X Ray Look Like.
     
    
        From fyobltpge.blob.core.windows.net 
                    Chest X Ray Normal Means at Caroline Anderson blog What Does A Normal Chest X Ray Look Like  Doctors typically use this procedure to help diagnose breathing difficulties, a bad or. There are no visible nodules, tumors or masses. This image shows a normal chest. Darker colors indicate less dense material, and lighter colors indicate more dense material. What Does A Normal Chest X Ray Look Like.
     
    
        From www.sciencephoto.com 
                    Normal chest Xray Stock Image C019/7404 Science Photo Library What Does A Normal Chest X Ray Look Like  Darker colors indicate less dense material, and lighter colors indicate more dense material. There are no visible nodules, tumors or masses. Doctors typically use this procedure to help diagnose breathing difficulties, a bad or. This image shows a normal chest. What Does A Normal Chest X Ray Look Like.
     
    
        From radiopaedia.org 
                    Normal chest xray Image What Does A Normal Chest X Ray Look Like  Doctors typically use this procedure to help diagnose breathing difficulties, a bad or. There are no visible nodules, tumors or masses. This image shows a normal chest. Darker colors indicate less dense material, and lighter colors indicate more dense material. What Does A Normal Chest X Ray Look Like.
     
    
        From www.alamy.com 
                    Chest xray image , Normal Chest Stock Photo Alamy What Does A Normal Chest X Ray Look Like  Darker colors indicate less dense material, and lighter colors indicate more dense material. There are no visible nodules, tumors or masses. Doctors typically use this procedure to help diagnose breathing difficulties, a bad or. This image shows a normal chest. What Does A Normal Chest X Ray Look Like.
     
    
        From pt.slideshare.net 
                    Normal Chest Xray What Does A Normal Chest X Ray Look Like  Doctors typically use this procedure to help diagnose breathing difficulties, a bad or. There are no visible nodules, tumors or masses. Darker colors indicate less dense material, and lighter colors indicate more dense material. This image shows a normal chest. What Does A Normal Chest X Ray Look Like.
     
    
        From www.kenhub.com 
                    Normal chest xray Anatomy tutorial Kenhub What Does A Normal Chest X Ray Look Like  This image shows a normal chest. Darker colors indicate less dense material, and lighter colors indicate more dense material. There are no visible nodules, tumors or masses. Doctors typically use this procedure to help diagnose breathing difficulties, a bad or. What Does A Normal Chest X Ray Look Like.
     
    
        From glassboxmedicine.com 
                    Radiology Normal Chest XRays Glass Box What Does A Normal Chest X Ray Look Like  Darker colors indicate less dense material, and lighter colors indicate more dense material. This image shows a normal chest. Doctors typically use this procedure to help diagnose breathing difficulties, a bad or. There are no visible nodules, tumors or masses. What Does A Normal Chest X Ray Look Like.
     
    
        From mavink.com 
                    Lateral View Of Chest X Ray What Does A Normal Chest X Ray Look Like  Doctors typically use this procedure to help diagnose breathing difficulties, a bad or. This image shows a normal chest. Darker colors indicate less dense material, and lighter colors indicate more dense material. There are no visible nodules, tumors or masses. What Does A Normal Chest X Ray Look Like.
     
    
        From www.radiologymasterclass.co.uk 
                    Chest Xray Quality Normal chest Xray male What Does A Normal Chest X Ray Look Like  Darker colors indicate less dense material, and lighter colors indicate more dense material. This image shows a normal chest. Doctors typically use this procedure to help diagnose breathing difficulties, a bad or. There are no visible nodules, tumors or masses. What Does A Normal Chest X Ray Look Like.
     
    
        From animalia-life.club 
                    Normal Chest X Ray Images What Does A Normal Chest X Ray Look Like  There are no visible nodules, tumors or masses. Doctors typically use this procedure to help diagnose breathing difficulties, a bad or. This image shows a normal chest. Darker colors indicate less dense material, and lighter colors indicate more dense material. What Does A Normal Chest X Ray Look Like.
     
    
        From animalia-life.club 
                    Normal Chest X Ray Images What Does A Normal Chest X Ray Look Like  This image shows a normal chest. There are no visible nodules, tumors or masses. Darker colors indicate less dense material, and lighter colors indicate more dense material. Doctors typically use this procedure to help diagnose breathing difficulties, a bad or. What Does A Normal Chest X Ray Look Like.
     
    
        From animalia-life.club 
                    Normal Chest X Ray Images What Does A Normal Chest X Ray Look Like  There are no visible nodules, tumors or masses. This image shows a normal chest. Darker colors indicate less dense material, and lighter colors indicate more dense material. Doctors typically use this procedure to help diagnose breathing difficulties, a bad or. What Does A Normal Chest X Ray Look Like.
     
    
        From animalia-life.club 
                    Normal Chest X Ray Images What Does A Normal Chest X Ray Look Like  Doctors typically use this procedure to help diagnose breathing difficulties, a bad or. There are no visible nodules, tumors or masses. This image shows a normal chest. Darker colors indicate less dense material, and lighter colors indicate more dense material. What Does A Normal Chest X Ray Look Like.
     
    
        From clinicalimage.blogspot.com 
                    clinical images Chest X ray PA normal lebelled What Does A Normal Chest X Ray Look Like  There are no visible nodules, tumors or masses. This image shows a normal chest. Doctors typically use this procedure to help diagnose breathing difficulties, a bad or. Darker colors indicate less dense material, and lighter colors indicate more dense material. What Does A Normal Chest X Ray Look Like.
     
    
        From ar.inspiredpencil.com 
                    Normal Chest X Ray Labeled What Does A Normal Chest X Ray Look Like  Darker colors indicate less dense material, and lighter colors indicate more dense material. This image shows a normal chest. Doctors typically use this procedure to help diagnose breathing difficulties, a bad or. There are no visible nodules, tumors or masses. What Does A Normal Chest X Ray Look Like.
     
    
        From www.sciencephoto.com 
                    Healthy lungs, Xray Stock Image C009/6770 Science Photo Library What Does A Normal Chest X Ray Look Like  Doctors typically use this procedure to help diagnose breathing difficulties, a bad or. Darker colors indicate less dense material, and lighter colors indicate more dense material. This image shows a normal chest. There are no visible nodules, tumors or masses. What Does A Normal Chest X Ray Look Like.
     
    
        From www.sciencephoto.com 
                    Normal healthy Chest xray Stock Image C019/7286 Science Photo What Does A Normal Chest X Ray Look Like  There are no visible nodules, tumors or masses. Darker colors indicate less dense material, and lighter colors indicate more dense material. Doctors typically use this procedure to help diagnose breathing difficulties, a bad or. This image shows a normal chest. What Does A Normal Chest X Ray Look Like.
     
    
        From animalia-life.club 
                    Normal Chest X Ray Images What Does A Normal Chest X Ray Look Like  Doctors typically use this procedure to help diagnose breathing difficulties, a bad or. Darker colors indicate less dense material, and lighter colors indicate more dense material. There are no visible nodules, tumors or masses. This image shows a normal chest. What Does A Normal Chest X Ray Look Like.
     
    
        From radiologykey.com 
                    Normal Chest Radiography and Computed Tomography Radiology Key What Does A Normal Chest X Ray Look Like  There are no visible nodules, tumors or masses. This image shows a normal chest. Darker colors indicate less dense material, and lighter colors indicate more dense material. Doctors typically use this procedure to help diagnose breathing difficulties, a bad or. What Does A Normal Chest X Ray Look Like.
     
    
        From www.sciencephoto.com 
                    Normal chest Xray with labels Stock Image C036/6419 Science What Does A Normal Chest X Ray Look Like  Darker colors indicate less dense material, and lighter colors indicate more dense material. Doctors typically use this procedure to help diagnose breathing difficulties, a bad or. There are no visible nodules, tumors or masses. This image shows a normal chest. What Does A Normal Chest X Ray Look Like.
     
    
        From www.animalia-life.club 
                    Normal Chest Xray Labeled What Does A Normal Chest X Ray Look Like  This image shows a normal chest. There are no visible nodules, tumors or masses. Doctors typically use this procedure to help diagnose breathing difficulties, a bad or. Darker colors indicate less dense material, and lighter colors indicate more dense material. What Does A Normal Chest X Ray Look Like.
     
    
        From litfl.com 
                    Normal Chest XRay • LITFL Medical Blog • Labelled Radiology What Does A Normal Chest X Ray Look Like  There are no visible nodules, tumors or masses. This image shows a normal chest. Darker colors indicate less dense material, and lighter colors indicate more dense material. Doctors typically use this procedure to help diagnose breathing difficulties, a bad or. What Does A Normal Chest X Ray Look Like.
     
    
        From animalia-life.club 
                    Normal Chest X Ray Images What Does A Normal Chest X Ray Look Like  There are no visible nodules, tumors or masses. Darker colors indicate less dense material, and lighter colors indicate more dense material. This image shows a normal chest. Doctors typically use this procedure to help diagnose breathing difficulties, a bad or. What Does A Normal Chest X Ray Look Like.
     
    
        From www.dreamstime.com 
                    Normal Xray Of The Chest, Lateral Stock Photo Image of doctor, lung What Does A Normal Chest X Ray Look Like  Darker colors indicate less dense material, and lighter colors indicate more dense material. Doctors typically use this procedure to help diagnose breathing difficulties, a bad or. There are no visible nodules, tumors or masses. This image shows a normal chest. What Does A Normal Chest X Ray Look Like.
     
    
        From www.slideshare.net 
                    Normal Chest Xray What Does A Normal Chest X Ray Look Like  Darker colors indicate less dense material, and lighter colors indicate more dense material. This image shows a normal chest. Doctors typically use this procedure to help diagnose breathing difficulties, a bad or. There are no visible nodules, tumors or masses. What Does A Normal Chest X Ray Look Like.
     
    
        From animalia-life.club 
                    Normal Chest X Ray Images What Does A Normal Chest X Ray Look Like  This image shows a normal chest. There are no visible nodules, tumors or masses. Darker colors indicate less dense material, and lighter colors indicate more dense material. Doctors typically use this procedure to help diagnose breathing difficulties, a bad or. What Does A Normal Chest X Ray Look Like.
     
    
        From www.youtube.com 
                    Normal Chest XRay Labelled Anatomy PA View CXR Interpretation Ribs What Does A Normal Chest X Ray Look Like  Doctors typically use this procedure to help diagnose breathing difficulties, a bad or. Darker colors indicate less dense material, and lighter colors indicate more dense material. There are no visible nodules, tumors or masses. This image shows a normal chest. What Does A Normal Chest X Ray Look Like.
     
    
        From www.youtube.com 
                    Anatomy of a Chest XRay How to Read a Chest XRay (Part 1) YouTube What Does A Normal Chest X Ray Look Like  There are no visible nodules, tumors or masses. Darker colors indicate less dense material, and lighter colors indicate more dense material. Doctors typically use this procedure to help diagnose breathing difficulties, a bad or. This image shows a normal chest. What Does A Normal Chest X Ray Look Like.
     
    
        From married2medicine.hubpages.com 
                    Reading The Chest XRay (Chest Radiography) Identifying A Normal Chest What Does A Normal Chest X Ray Look Like  Doctors typically use this procedure to help diagnose breathing difficulties, a bad or. This image shows a normal chest. Darker colors indicate less dense material, and lighter colors indicate more dense material. There are no visible nodules, tumors or masses. What Does A Normal Chest X Ray Look Like.
     
    
        From mavink.com 
                    Normal Chest X Ray Pa And Lateral What Does A Normal Chest X Ray Look Like  This image shows a normal chest. Doctors typically use this procedure to help diagnose breathing difficulties, a bad or. Darker colors indicate less dense material, and lighter colors indicate more dense material. There are no visible nodules, tumors or masses. What Does A Normal Chest X Ray Look Like.
     
    
        From www.dreamstime.com 
                    Normal Chest On Xray Stock Photo Image 65386600 What Does A Normal Chest X Ray Look Like  This image shows a normal chest. Darker colors indicate less dense material, and lighter colors indicate more dense material. There are no visible nodules, tumors or masses. Doctors typically use this procedure to help diagnose breathing difficulties, a bad or. What Does A Normal Chest X Ray Look Like.
     
    
        From mavink.com 
                    Normal Chest X Ray With Labels What Does A Normal Chest X Ray Look Like  Doctors typically use this procedure to help diagnose breathing difficulties, a bad or. This image shows a normal chest. There are no visible nodules, tumors or masses. Darker colors indicate less dense material, and lighter colors indicate more dense material. What Does A Normal Chest X Ray Look Like.
     
    
        From johnsonfrancis.org 
                    Normal Chest XRay All About Heart And Blood Vessels What Does A Normal Chest X Ray Look Like  This image shows a normal chest. Doctors typically use this procedure to help diagnose breathing difficulties, a bad or. There are no visible nodules, tumors or masses. Darker colors indicate less dense material, and lighter colors indicate more dense material. What Does A Normal Chest X Ray Look Like.
     
    
        From mungfali.com 
                    Normal Chest X Ray Side View What Does A Normal Chest X Ray Look Like  There are no visible nodules, tumors or masses. Darker colors indicate less dense material, and lighter colors indicate more dense material. This image shows a normal chest. Doctors typically use this procedure to help diagnose breathing difficulties, a bad or. What Does A Normal Chest X Ray Look Like.