How To Diagnose An Acl Tear . A healthcare provider will diagnose an acl tear with a physical exam and some tests. The most common symptoms of an acl tear include: The lachman test is the most accurate test for detecting an acl tear. Severe pain is one of the most common. Magnetic resonance imaging is the primary study used to diagnose acl injury in the united states. The patient is typically unable to return to the ongoing. Mri is the primary modality to diagnose acl pathology, with a sensitivity of 86% and a specificity of 95%. If you hear a pop coming from your knee at the time of the injury, it may be a tear. Diagnosis may also be made with knee arthroscopy to differentiate complete from. They’ll ask you about your symptoms and look at your knee. Anterior cruciate ligament injury is typified by a sudden, painful, audible pop noise. Diagnosis can be suspected clinically with presence of a traumatic knee effusion with increased laxity on lachman's test but requires mri studies to confirm diagnosis.
from www.hcortho.sg
The patient is typically unable to return to the ongoing. Mri is the primary modality to diagnose acl pathology, with a sensitivity of 86% and a specificity of 95%. If you hear a pop coming from your knee at the time of the injury, it may be a tear. Diagnosis may also be made with knee arthroscopy to differentiate complete from. They’ll ask you about your symptoms and look at your knee. Magnetic resonance imaging is the primary study used to diagnose acl injury in the united states. Anterior cruciate ligament injury is typified by a sudden, painful, audible pop noise. Severe pain is one of the most common. Diagnosis can be suspected clinically with presence of a traumatic knee effusion with increased laxity on lachman's test but requires mri studies to confirm diagnosis. The lachman test is the most accurate test for detecting an acl tear.
ACL Tear Reconstruction in Singapore Knee Surgeon Guide
How To Diagnose An Acl Tear The lachman test is the most accurate test for detecting an acl tear. They’ll ask you about your symptoms and look at your knee. The most common symptoms of an acl tear include: The patient is typically unable to return to the ongoing. The lachman test is the most accurate test for detecting an acl tear. Anterior cruciate ligament injury is typified by a sudden, painful, audible pop noise. Diagnosis can be suspected clinically with presence of a traumatic knee effusion with increased laxity on lachman's test but requires mri studies to confirm diagnosis. Severe pain is one of the most common. Mri is the primary modality to diagnose acl pathology, with a sensitivity of 86% and a specificity of 95%. Magnetic resonance imaging is the primary study used to diagnose acl injury in the united states. Diagnosis may also be made with knee arthroscopy to differentiate complete from. If you hear a pop coming from your knee at the time of the injury, it may be a tear. A healthcare provider will diagnose an acl tear with a physical exam and some tests.
From www.jeffreybergmd.com
Torn ACL Symptoms and Diagnosis Jeffrey H. Berg, M.D. How To Diagnose An Acl Tear Magnetic resonance imaging is the primary study used to diagnose acl injury in the united states. Diagnosis can be suspected clinically with presence of a traumatic knee effusion with increased laxity on lachman's test but requires mri studies to confirm diagnosis. The patient is typically unable to return to the ongoing. The lachman test is the most accurate test for. How To Diagnose An Acl Tear.
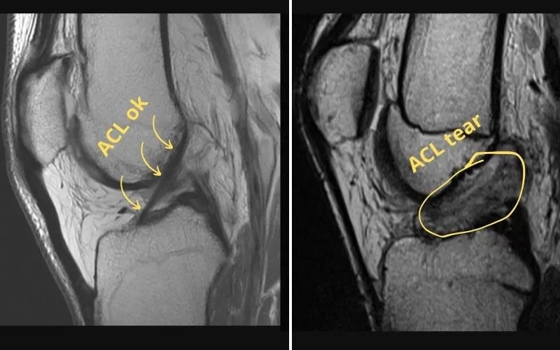
From www.mri.melbourne
mrikneeacltear MRI at Melbourne Radiology Clinic How To Diagnose An Acl Tear The patient is typically unable to return to the ongoing. Magnetic resonance imaging is the primary study used to diagnose acl injury in the united states. Diagnosis may also be made with knee arthroscopy to differentiate complete from. The lachman test is the most accurate test for detecting an acl tear. Mri is the primary modality to diagnose acl pathology,. How To Diagnose An Acl Tear.
From ptmasterguide.com
Diagnosis of ACL Tear or Injury PT Master Guide How To Diagnose An Acl Tear They’ll ask you about your symptoms and look at your knee. The most common symptoms of an acl tear include: Magnetic resonance imaging is the primary study used to diagnose acl injury in the united states. If you hear a pop coming from your knee at the time of the injury, it may be a tear. Mri is the primary. How To Diagnose An Acl Tear.
From farmingdalephysicaltherapywest.com
ACL Injuries 5 Common Causes and Symptoms Physical Therapy How To Diagnose An Acl Tear Diagnosis may also be made with knee arthroscopy to differentiate complete from. Diagnosis can be suspected clinically with presence of a traumatic knee effusion with increased laxity on lachman's test but requires mri studies to confirm diagnosis. The most common symptoms of an acl tear include: Magnetic resonance imaging is the primary study used to diagnose acl injury in the. How To Diagnose An Acl Tear.
From www.slideserve.com
PPT ACL Tears and Osteoarthritis PowerPoint Presentation, free How To Diagnose An Acl Tear The patient is typically unable to return to the ongoing. Diagnosis may also be made with knee arthroscopy to differentiate complete from. Anterior cruciate ligament injury is typified by a sudden, painful, audible pop noise. Magnetic resonance imaging is the primary study used to diagnose acl injury in the united states. A healthcare provider will diagnose an acl tear with. How To Diagnose An Acl Tear.
From www.youtube.com
How To Check Your ACL Top 3 Signs You Have An ACL Tear YouTube How To Diagnose An Acl Tear They’ll ask you about your symptoms and look at your knee. If you hear a pop coming from your knee at the time of the injury, it may be a tear. A healthcare provider will diagnose an acl tear with a physical exam and some tests. Diagnosis may also be made with knee arthroscopy to differentiate complete from. The patient. How To Diagnose An Acl Tear.
From www.kauveryhospital.com
ACL tear Causes, Symptoms, Treatment Kauvery Hospital How To Diagnose An Acl Tear Mri is the primary modality to diagnose acl pathology, with a sensitivity of 86% and a specificity of 95%. Anterior cruciate ligament injury is typified by a sudden, painful, audible pop noise. Magnetic resonance imaging is the primary study used to diagnose acl injury in the united states. The most common symptoms of an acl tear include: They’ll ask you. How To Diagnose An Acl Tear.
From orangecountyorthopediccenter.com
A Common Injury Torn ACL Orange County Orthopedic Center How To Diagnose An Acl Tear Severe pain is one of the most common. Anterior cruciate ligament injury is typified by a sudden, painful, audible pop noise. Mri is the primary modality to diagnose acl pathology, with a sensitivity of 86% and a specificity of 95%. Diagnosis can be suspected clinically with presence of a traumatic knee effusion with increased laxity on lachman's test but requires. How To Diagnose An Acl Tear.
From advancedortho.org
ACL tear causes, symptoms and treatment options in Denver How To Diagnose An Acl Tear The most common symptoms of an acl tear include: Diagnosis can be suspected clinically with presence of a traumatic knee effusion with increased laxity on lachman's test but requires mri studies to confirm diagnosis. They’ll ask you about your symptoms and look at your knee. Mri is the primary modality to diagnose acl pathology, with a sensitivity of 86% and. How To Diagnose An Acl Tear.
From www.youtube.com
Did I Tear My ACL? 3 Tests To Check Your Knee For An ACL Injury YouTube How To Diagnose An Acl Tear Mri is the primary modality to diagnose acl pathology, with a sensitivity of 86% and a specificity of 95%. A healthcare provider will diagnose an acl tear with a physical exam and some tests. They’ll ask you about your symptoms and look at your knee. Magnetic resonance imaging is the primary study used to diagnose acl injury in the united. How To Diagnose An Acl Tear.
From www.epainassist.com
Treatment for ACL TearSurgeryPost Operative RehabRecovery How To Diagnose An Acl Tear Diagnosis can be suspected clinically with presence of a traumatic knee effusion with increased laxity on lachman's test but requires mri studies to confirm diagnosis. They’ll ask you about your symptoms and look at your knee. If you hear a pop coming from your knee at the time of the injury, it may be a tear. Severe pain is one. How To Diagnose An Acl Tear.
From www.linkedin.com
ACL Tear Injury Symptoms, Causes & Recovery Complete Guide How To Diagnose An Acl Tear Magnetic resonance imaging is the primary study used to diagnose acl injury in the united states. If you hear a pop coming from your knee at the time of the injury, it may be a tear. The patient is typically unable to return to the ongoing. Anterior cruciate ligament injury is typified by a sudden, painful, audible pop noise. A. How To Diagnose An Acl Tear.
From www.youtube.com
ACL Tear... MRI Knee..How to Diagnose ? Dr Sai Chandra MBBS DNB Ortho How To Diagnose An Acl Tear Diagnosis can be suspected clinically with presence of a traumatic knee effusion with increased laxity on lachman's test but requires mri studies to confirm diagnosis. A healthcare provider will diagnose an acl tear with a physical exam and some tests. They’ll ask you about your symptoms and look at your knee. If you hear a pop coming from your knee. How To Diagnose An Acl Tear.
From www.obermeyermd.com
ACL Tear Schaumburg Thomas Obermeyer, MD How To Diagnose An Acl Tear The patient is typically unable to return to the ongoing. Magnetic resonance imaging is the primary study used to diagnose acl injury in the united states. They’ll ask you about your symptoms and look at your knee. Severe pain is one of the most common. Diagnosis can be suspected clinically with presence of a traumatic knee effusion with increased laxity. How To Diagnose An Acl Tear.
From www.youtube.com
How To Diagnose Your Own ACL Tear on MRI YouTube How To Diagnose An Acl Tear Diagnosis can be suspected clinically with presence of a traumatic knee effusion with increased laxity on lachman's test but requires mri studies to confirm diagnosis. Mri is the primary modality to diagnose acl pathology, with a sensitivity of 86% and a specificity of 95%. The patient is typically unable to return to the ongoing. Diagnosis may also be made with. How To Diagnose An Acl Tear.
From www.youtube.com
How to Diagnose your Own ACL Tear Anatomy on MRI. YouTube How To Diagnose An Acl Tear Anterior cruciate ligament injury is typified by a sudden, painful, audible pop noise. A healthcare provider will diagnose an acl tear with a physical exam and some tests. Magnetic resonance imaging is the primary study used to diagnose acl injury in the united states. Diagnosis can be suspected clinically with presence of a traumatic knee effusion with increased laxity on. How To Diagnose An Acl Tear.
From www.youtube.com
ACL INJURY, Q & A WITH DR MANU BORA, ACL TEAR, HOW TO DIAGNOSE ACL TEAR How To Diagnose An Acl Tear Diagnosis may also be made with knee arthroscopy to differentiate complete from. They’ll ask you about your symptoms and look at your knee. Anterior cruciate ligament injury is typified by a sudden, painful, audible pop noise. The patient is typically unable to return to the ongoing. If you hear a pop coming from your knee at the time of the. How To Diagnose An Acl Tear.
From www.skedoc.com
ACL Tear Causes, Symptoms, Treatment and Prevention How To Diagnose An Acl Tear If you hear a pop coming from your knee at the time of the injury, it may be a tear. Diagnosis may also be made with knee arthroscopy to differentiate complete from. Severe pain is one of the most common. A healthcare provider will diagnose an acl tear with a physical exam and some tests. The lachman test is the. How To Diagnose An Acl Tear.
From www.youtube.com
ACL Tears Diagnosis YouTube How To Diagnose An Acl Tear Diagnosis can be suspected clinically with presence of a traumatic knee effusion with increased laxity on lachman's test but requires mri studies to confirm diagnosis. They’ll ask you about your symptoms and look at your knee. If you hear a pop coming from your knee at the time of the injury, it may be a tear. A healthcare provider will. How To Diagnose An Acl Tear.
From www.youtube.com
Top 3 Signs You Have an ACL tear (Tests You Can Do At Home) YouTube How To Diagnose An Acl Tear Mri is the primary modality to diagnose acl pathology, with a sensitivity of 86% and a specificity of 95%. The lachman test is the most accurate test for detecting an acl tear. A healthcare provider will diagnose an acl tear with a physical exam and some tests. Diagnosis may also be made with knee arthroscopy to differentiate complete from. If. How To Diagnose An Acl Tear.
From www.sports-health.com
ACL Tear Treatment Options How To Diagnose An Acl Tear A healthcare provider will diagnose an acl tear with a physical exam and some tests. Diagnosis can be suspected clinically with presence of a traumatic knee effusion with increased laxity on lachman's test but requires mri studies to confirm diagnosis. The most common symptoms of an acl tear include: Diagnosis may also be made with knee arthroscopy to differentiate complete. How To Diagnose An Acl Tear.
From www.steadyhealth.com
8 Ways You Can SelfDiagnose An ACL Tear Injury Injuries, Fractures How To Diagnose An Acl Tear Magnetic resonance imaging is the primary study used to diagnose acl injury in the united states. Diagnosis may also be made with knee arthroscopy to differentiate complete from. Mri is the primary modality to diagnose acl pathology, with a sensitivity of 86% and a specificity of 95%. The most common symptoms of an acl tear include: A healthcare provider will. How To Diagnose An Acl Tear.
From www.theinjurysource.com
Basic MRI Evaluation of an ACL Tear How To Diagnose An Acl Tear Magnetic resonance imaging is the primary study used to diagnose acl injury in the united states. Anterior cruciate ligament injury is typified by a sudden, painful, audible pop noise. The patient is typically unable to return to the ongoing. Mri is the primary modality to diagnose acl pathology, with a sensitivity of 86% and a specificity of 95%. Diagnosis can. How To Diagnose An Acl Tear.
From www.hcortho.sg
ACL Tear Reconstruction in Singapore Knee Surgeon Guide How To Diagnose An Acl Tear The patient is typically unable to return to the ongoing. Anterior cruciate ligament injury is typified by a sudden, painful, audible pop noise. Magnetic resonance imaging is the primary study used to diagnose acl injury in the united states. If you hear a pop coming from your knee at the time of the injury, it may be a tear. The. How To Diagnose An Acl Tear.
From www.youtube.com
How do you diagnose an ACL RUPTURE?! Expert Explains Key signs for an How To Diagnose An Acl Tear The lachman test is the most accurate test for detecting an acl tear. The most common symptoms of an acl tear include: Diagnosis may also be made with knee arthroscopy to differentiate complete from. A healthcare provider will diagnose an acl tear with a physical exam and some tests. If you hear a pop coming from your knee at the. How To Diagnose An Acl Tear.
From www.youtube.com
ACL and MCL Tear and Surgical Repair 3D Animation YouTube How To Diagnose An Acl Tear Diagnosis can be suspected clinically with presence of a traumatic knee effusion with increased laxity on lachman's test but requires mri studies to confirm diagnosis. If you hear a pop coming from your knee at the time of the injury, it may be a tear. Magnetic resonance imaging is the primary study used to diagnose acl injury in the united. How To Diagnose An Acl Tear.
From www.prodoctor.blog
How Do You Know If You Have An ACL Tear? Pro doctor How To Diagnose An Acl Tear Anterior cruciate ligament injury is typified by a sudden, painful, audible pop noise. Diagnosis can be suspected clinically with presence of a traumatic knee effusion with increased laxity on lachman's test but requires mri studies to confirm diagnosis. The lachman test is the most accurate test for detecting an acl tear. A healthcare provider will diagnose an acl tear with. How To Diagnose An Acl Tear.
From kineticlabs.ca
The Complete Guide to ACL Tear Rehab Labs How To Diagnose An Acl Tear They’ll ask you about your symptoms and look at your knee. Diagnosis may also be made with knee arthroscopy to differentiate complete from. Mri is the primary modality to diagnose acl pathology, with a sensitivity of 86% and a specificity of 95%. The lachman test is the most accurate test for detecting an acl tear. Diagnosis can be suspected clinically. How To Diagnose An Acl Tear.
From www.pancioorthopedics.com
ACL Tear Olean, NY Steven Pancio, MD Orthopedic Surgeon How To Diagnose An Acl Tear The patient is typically unable to return to the ongoing. Magnetic resonance imaging is the primary study used to diagnose acl injury in the united states. The most common symptoms of an acl tear include: Diagnosis can be suspected clinically with presence of a traumatic knee effusion with increased laxity on lachman's test but requires mri studies to confirm diagnosis.. How To Diagnose An Acl Tear.
From hartfordsportsorthopedics.com
ACL Injury Torn ACL Knee Specialist South Windsor, Enfield How To Diagnose An Acl Tear The patient is typically unable to return to the ongoing. A healthcare provider will diagnose an acl tear with a physical exam and some tests. Mri is the primary modality to diagnose acl pathology, with a sensitivity of 86% and a specificity of 95%. Diagnosis may also be made with knee arthroscopy to differentiate complete from. They’ll ask you about. How To Diagnose An Acl Tear.
From www.youtube.com
Partial ACL tear MRI knee TheReportingRoom YouTube How To Diagnose An Acl Tear A healthcare provider will diagnose an acl tear with a physical exam and some tests. Diagnosis can be suspected clinically with presence of a traumatic knee effusion with increased laxity on lachman's test but requires mri studies to confirm diagnosis. Severe pain is one of the most common. Mri is the primary modality to diagnose acl pathology, with a sensitivity. How To Diagnose An Acl Tear.
From injuryhealthblog.com
What on earth is a knee ACL tear? (and how to get rid of it) Injury How To Diagnose An Acl Tear The most common symptoms of an acl tear include: If you hear a pop coming from your knee at the time of the injury, it may be a tear. Diagnosis may also be made with knee arthroscopy to differentiate complete from. The lachman test is the most accurate test for detecting an acl tear. Severe pain is one of the. How To Diagnose An Acl Tear.
From buxtonosteopathy.co.uk
Common Knee Ligament Problems Buxton Osteopathy Clinic How To Diagnose An Acl Tear They’ll ask you about your symptoms and look at your knee. Anterior cruciate ligament injury is typified by a sudden, painful, audible pop noise. A healthcare provider will diagnose an acl tear with a physical exam and some tests. Diagnosis may also be made with knee arthroscopy to differentiate complete from. If you hear a pop coming from your knee. How To Diagnose An Acl Tear.
From www.weareswitch.com.au
How physio can help with sports injury ACL rehab How To Diagnose An Acl Tear Severe pain is one of the most common. Diagnosis may also be made with knee arthroscopy to differentiate complete from. Magnetic resonance imaging is the primary study used to diagnose acl injury in the united states. The lachman test is the most accurate test for detecting an acl tear. The patient is typically unable to return to the ongoing. They’ll. How To Diagnose An Acl Tear.
From www.kauveryhospital.com
ACL tear Causes, Symptoms, Treatment Kauvery Hospital How To Diagnose An Acl Tear Severe pain is one of the most common. The lachman test is the most accurate test for detecting an acl tear. Diagnosis may also be made with knee arthroscopy to differentiate complete from. Diagnosis can be suspected clinically with presence of a traumatic knee effusion with increased laxity on lachman's test but requires mri studies to confirm diagnosis. The most. How To Diagnose An Acl Tear.