Malignant Neoplasm Of Shoulder . Chondrosarcoma is a type of bone cancer that usually begins in the bones, but can sometimes occur in the soft tissue. This article reviews the key features and treatment options of the more commonly encountered benign and malignant shoulder. Soft tissue sarcoma is a type of cancerous tumor that forms in the soft tissues of the body, such as muscle, fat, fibrous tissue, and blood vessels. The musculoskeletal tumor society has developed a classification system for shoulder girdle tumors that divides the scapula into two zones : Osseous tumors of the shoulder rank second in incidence to those at the knee joint and include benign osteochondromas and myeloma or. The surgical treatment of a malignant bony tumor involving the shoulder girdle consists of three stages: (a) wide surgical resection of the tumor, (b) reconstruction of the.
from www.researchgate.net
Osseous tumors of the shoulder rank second in incidence to those at the knee joint and include benign osteochondromas and myeloma or. This article reviews the key features and treatment options of the more commonly encountered benign and malignant shoulder. Soft tissue sarcoma is a type of cancerous tumor that forms in the soft tissues of the body, such as muscle, fat, fibrous tissue, and blood vessels. Chondrosarcoma is a type of bone cancer that usually begins in the bones, but can sometimes occur in the soft tissue. (a) wide surgical resection of the tumor, (b) reconstruction of the. The surgical treatment of a malignant bony tumor involving the shoulder girdle consists of three stages: The musculoskeletal tumor society has developed a classification system for shoulder girdle tumors that divides the scapula into two zones :
Infiltrating adenoid cystic carcinoma involving right orbital soft... Download Scientific Diagram
Malignant Neoplasm Of Shoulder The musculoskeletal tumor society has developed a classification system for shoulder girdle tumors that divides the scapula into two zones : The musculoskeletal tumor society has developed a classification system for shoulder girdle tumors that divides the scapula into two zones : Chondrosarcoma is a type of bone cancer that usually begins in the bones, but can sometimes occur in the soft tissue. Osseous tumors of the shoulder rank second in incidence to those at the knee joint and include benign osteochondromas and myeloma or. Soft tissue sarcoma is a type of cancerous tumor that forms in the soft tissues of the body, such as muscle, fat, fibrous tissue, and blood vessels. (a) wide surgical resection of the tumor, (b) reconstruction of the. The surgical treatment of a malignant bony tumor involving the shoulder girdle consists of three stages: This article reviews the key features and treatment options of the more commonly encountered benign and malignant shoulder.
From www.researchgate.net
Locations of 31 primary melanomas on the posterior shoulder and... Download Scientific Diagram Malignant Neoplasm Of Shoulder Osseous tumors of the shoulder rank second in incidence to those at the knee joint and include benign osteochondromas and myeloma or. Soft tissue sarcoma is a type of cancerous tumor that forms in the soft tissues of the body, such as muscle, fat, fibrous tissue, and blood vessels. Chondrosarcoma is a type of bone cancer that usually begins in. Malignant Neoplasm Of Shoulder.
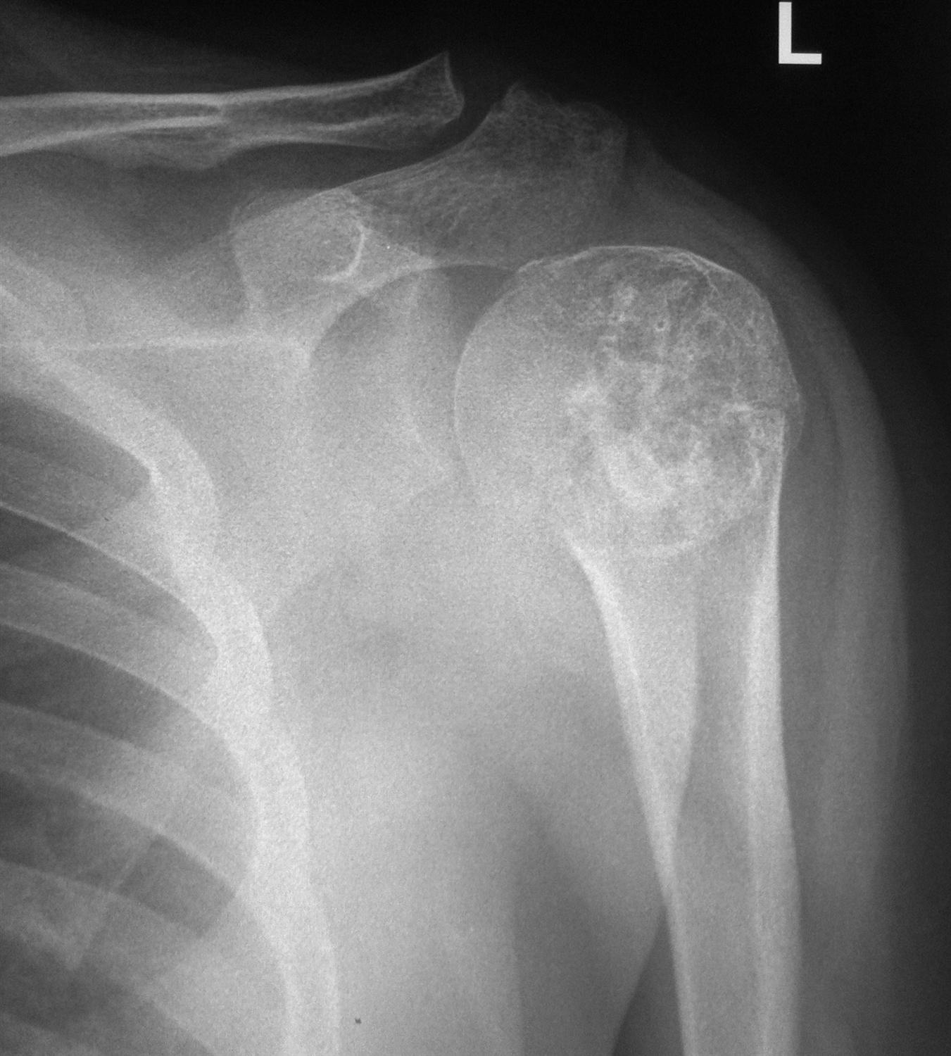
From musculoskeletalkey.com
Management of Neoplasms of the Shoulder Musculoskeletal Key Malignant Neoplasm Of Shoulder (a) wide surgical resection of the tumor, (b) reconstruction of the. The musculoskeletal tumor society has developed a classification system for shoulder girdle tumors that divides the scapula into two zones : Soft tissue sarcoma is a type of cancerous tumor that forms in the soft tissues of the body, such as muscle, fat, fibrous tissue, and blood vessels. Osseous. Malignant Neoplasm Of Shoulder.
From cartoondealer.com
Large Nevus On Female Shoulder, Woman Visiting Doctor Dermatologist, Concept Of Benign Neoplasms Malignant Neoplasm Of Shoulder (a) wide surgical resection of the tumor, (b) reconstruction of the. This article reviews the key features and treatment options of the more commonly encountered benign and malignant shoulder. The musculoskeletal tumor society has developed a classification system for shoulder girdle tumors that divides the scapula into two zones : The surgical treatment of a malignant bony tumor involving the. Malignant Neoplasm Of Shoulder.
From www.slideserve.com
PPT The Radiology of Malignant Neoplasms PowerPoint Presentation, free download ID2015057 Malignant Neoplasm Of Shoulder The surgical treatment of a malignant bony tumor involving the shoulder girdle consists of three stages: Chondrosarcoma is a type of bone cancer that usually begins in the bones, but can sometimes occur in the soft tissue. (a) wide surgical resection of the tumor, (b) reconstruction of the. The musculoskeletal tumor society has developed a classification system for shoulder girdle. Malignant Neoplasm Of Shoulder.
From www.dreamstime.com
Large Nevus Wart on Young Female Shoulder, Woman Visiting Doctor Dermatologist, Concept of Malignant Neoplasm Of Shoulder Osseous tumors of the shoulder rank second in incidence to those at the knee joint and include benign osteochondromas and myeloma or. Chondrosarcoma is a type of bone cancer that usually begins in the bones, but can sometimes occur in the soft tissue. This article reviews the key features and treatment options of the more commonly encountered benign and malignant. Malignant Neoplasm Of Shoulder.
From www.researchgate.net
− A) preoperative clinical view of last recurrence of lesion; B) CT... Download Scientific Diagram Malignant Neoplasm Of Shoulder Soft tissue sarcoma is a type of cancerous tumor that forms in the soft tissues of the body, such as muscle, fat, fibrous tissue, and blood vessels. The musculoskeletal tumor society has developed a classification system for shoulder girdle tumors that divides the scapula into two zones : Osseous tumors of the shoulder rank second in incidence to those at. Malignant Neoplasm Of Shoulder.
From www.slideshare.net
2 connective tissue neoplasms Malignant Neoplasm Of Shoulder (a) wide surgical resection of the tumor, (b) reconstruction of the. Chondrosarcoma is a type of bone cancer that usually begins in the bones, but can sometimes occur in the soft tissue. This article reviews the key features and treatment options of the more commonly encountered benign and malignant shoulder. The musculoskeletal tumor society has developed a classification system for. Malignant Neoplasm Of Shoulder.
From calgaryguide.ucalgary.ca
Representative Xray appearance of a primary benign bone tumor Calgary Guide Malignant Neoplasm Of Shoulder (a) wide surgical resection of the tumor, (b) reconstruction of the. Osseous tumors of the shoulder rank second in incidence to those at the knee joint and include benign osteochondromas and myeloma or. Chondrosarcoma is a type of bone cancer that usually begins in the bones, but can sometimes occur in the soft tissue. This article reviews the key features. Malignant Neoplasm Of Shoulder.
From www.istockphoto.com
Microscopic Image Of Malignant Melanoma In Pigmented Ulcer Show Malignant Neoplasm Atypical Malignant Neoplasm Of Shoulder This article reviews the key features and treatment options of the more commonly encountered benign and malignant shoulder. (a) wide surgical resection of the tumor, (b) reconstruction of the. Soft tissue sarcoma is a type of cancerous tumor that forms in the soft tissues of the body, such as muscle, fat, fibrous tissue, and blood vessels. The musculoskeletal tumor society. Malignant Neoplasm Of Shoulder.
From doctorheck.blogspot.com
Malignant Melanoma Symptoms And Signs Understanding the Warning Signals Doctor Heck Malignant Neoplasm Of Shoulder The musculoskeletal tumor society has developed a classification system for shoulder girdle tumors that divides the scapula into two zones : (a) wide surgical resection of the tumor, (b) reconstruction of the. The surgical treatment of a malignant bony tumor involving the shoulder girdle consists of three stages: Osseous tumors of the shoulder rank second in incidence to those at. Malignant Neoplasm Of Shoulder.
From journals.healio.com
SHOULDER NEOPLASMS MIMICKING ROTATOR CUFF TEARS Orthopedics Malignant Neoplasm Of Shoulder Osseous tumors of the shoulder rank second in incidence to those at the knee joint and include benign osteochondromas and myeloma or. The surgical treatment of a malignant bony tumor involving the shoulder girdle consists of three stages: This article reviews the key features and treatment options of the more commonly encountered benign and malignant shoulder. The musculoskeletal tumor society. Malignant Neoplasm Of Shoulder.
From www.fity.club
Malignant Meaning Malignant Neoplasm Of Shoulder Chondrosarcoma is a type of bone cancer that usually begins in the bones, but can sometimes occur in the soft tissue. Soft tissue sarcoma is a type of cancerous tumor that forms in the soft tissues of the body, such as muscle, fat, fibrous tissue, and blood vessels. The surgical treatment of a malignant bony tumor involving the shoulder girdle. Malignant Neoplasm Of Shoulder.
From dokumen.tips
(PDF) Reverse shoulder arthroplasty for malignant tumors of proximal DOKUMEN.TIPS Malignant Neoplasm Of Shoulder Chondrosarcoma is a type of bone cancer that usually begins in the bones, but can sometimes occur in the soft tissue. This article reviews the key features and treatment options of the more commonly encountered benign and malignant shoulder. Soft tissue sarcoma is a type of cancerous tumor that forms in the soft tissues of the body, such as muscle,. Malignant Neoplasm Of Shoulder.
From www.ctisus.com
Aneurysmal Bone Cyst of the Scapula Musculoskeletal Case Studies CTisus CT Scanning Malignant Neoplasm Of Shoulder Osseous tumors of the shoulder rank second in incidence to those at the knee joint and include benign osteochondromas and myeloma or. This article reviews the key features and treatment options of the more commonly encountered benign and malignant shoulder. Chondrosarcoma is a type of bone cancer that usually begins in the bones, but can sometimes occur in the soft. Malignant Neoplasm Of Shoulder.
From www.modernpathology.org
Primary cutaneous SMARCA4deficient undifferentiated malignant neoplasm first two cases with Malignant Neoplasm Of Shoulder Soft tissue sarcoma is a type of cancerous tumor that forms in the soft tissues of the body, such as muscle, fat, fibrous tissue, and blood vessels. Chondrosarcoma is a type of bone cancer that usually begins in the bones, but can sometimes occur in the soft tissue. The surgical treatment of a malignant bony tumor involving the shoulder girdle. Malignant Neoplasm Of Shoulder.
From www.istockphoto.com
Microscopic Image Of Malignant Melanoma In Pigmented Ulcer Show Malignant Neoplasm Atypical Malignant Neoplasm Of Shoulder The musculoskeletal tumor society has developed a classification system for shoulder girdle tumors that divides the scapula into two zones : Chondrosarcoma is a type of bone cancer that usually begins in the bones, but can sometimes occur in the soft tissue. The surgical treatment of a malignant bony tumor involving the shoulder girdle consists of three stages: Soft tissue. Malignant Neoplasm Of Shoulder.
From www.researchgate.net
Proposed algorithm for the workup of epithelioid malignant neoplasms... Download Scientific Malignant Neoplasm Of Shoulder Soft tissue sarcoma is a type of cancerous tumor that forms in the soft tissues of the body, such as muscle, fat, fibrous tissue, and blood vessels. (a) wide surgical resection of the tumor, (b) reconstruction of the. This article reviews the key features and treatment options of the more commonly encountered benign and malignant shoulder. The musculoskeletal tumor society. Malignant Neoplasm Of Shoulder.
From radsource.us
Myxoid SoftTissue Neoplasms Radsource Malignant Neoplasm Of Shoulder Chondrosarcoma is a type of bone cancer that usually begins in the bones, but can sometimes occur in the soft tissue. The surgical treatment of a malignant bony tumor involving the shoulder girdle consists of three stages: The musculoskeletal tumor society has developed a classification system for shoulder girdle tumors that divides the scapula into two zones : (a) wide. Malignant Neoplasm Of Shoulder.
From www.tumorsurgery.org
Enchondroma Benign Bone Tumor Tumors of Bone Malignant Neoplasm Of Shoulder Soft tissue sarcoma is a type of cancerous tumor that forms in the soft tissues of the body, such as muscle, fat, fibrous tissue, and blood vessels. The musculoskeletal tumor society has developed a classification system for shoulder girdle tumors that divides the scapula into two zones : The surgical treatment of a malignant bony tumor involving the shoulder girdle. Malignant Neoplasm Of Shoulder.
From www.cureus.com
Cureus Linear Malignant Melanoma In Situ Reports and Review of Cutaneous Malignancies Malignant Neoplasm Of Shoulder Osseous tumors of the shoulder rank second in incidence to those at the knee joint and include benign osteochondromas and myeloma or. Soft tissue sarcoma is a type of cancerous tumor that forms in the soft tissues of the body, such as muscle, fat, fibrous tissue, and blood vessels. Chondrosarcoma is a type of bone cancer that usually begins in. Malignant Neoplasm Of Shoulder.
From www.youtube.com
Differences between BENIGN and MALIGNANT Tumor YouTube Malignant Neoplasm Of Shoulder The musculoskeletal tumor society has developed a classification system for shoulder girdle tumors that divides the scapula into two zones : Osseous tumors of the shoulder rank second in incidence to those at the knee joint and include benign osteochondromas and myeloma or. Chondrosarcoma is a type of bone cancer that usually begins in the bones, but can sometimes occur. Malignant Neoplasm Of Shoulder.
From www.istockphoto.com
Microscopic Image Of Malignant Melanoma In Pigmented Ulcer Show Malignant Neoplasm Atypical Malignant Neoplasm Of Shoulder The musculoskeletal tumor society has developed a classification system for shoulder girdle tumors that divides the scapula into two zones : Chondrosarcoma is a type of bone cancer that usually begins in the bones, but can sometimes occur in the soft tissue. This article reviews the key features and treatment options of the more commonly encountered benign and malignant shoulder.. Malignant Neoplasm Of Shoulder.
From www.researchgate.net
MRI of the shoulder. Download Scientific Diagram Malignant Neoplasm Of Shoulder The musculoskeletal tumor society has developed a classification system for shoulder girdle tumors that divides the scapula into two zones : (a) wide surgical resection of the tumor, (b) reconstruction of the. This article reviews the key features and treatment options of the more commonly encountered benign and malignant shoulder. The surgical treatment of a malignant bony tumor involving the. Malignant Neoplasm Of Shoulder.
From www.researchgate.net
Infiltrating adenoid cystic carcinoma involving right orbital soft... Download Scientific Diagram Malignant Neoplasm Of Shoulder This article reviews the key features and treatment options of the more commonly encountered benign and malignant shoulder. Chondrosarcoma is a type of bone cancer that usually begins in the bones, but can sometimes occur in the soft tissue. (a) wide surgical resection of the tumor, (b) reconstruction of the. The musculoskeletal tumor society has developed a classification system for. Malignant Neoplasm Of Shoulder.
From www.slideserve.com
PPT The Radiology of Malignant Neoplasms PowerPoint Presentation, free download ID2015057 Malignant Neoplasm Of Shoulder Osseous tumors of the shoulder rank second in incidence to those at the knee joint and include benign osteochondromas and myeloma or. Soft tissue sarcoma is a type of cancerous tumor that forms in the soft tissues of the body, such as muscle, fat, fibrous tissue, and blood vessels. The musculoskeletal tumor society has developed a classification system for shoulder. Malignant Neoplasm Of Shoulder.
From www.vectorstock.com
Neoplasm and cancer malignant benign tumor Vector Image Malignant Neoplasm Of Shoulder The surgical treatment of a malignant bony tumor involving the shoulder girdle consists of three stages: This article reviews the key features and treatment options of the more commonly encountered benign and malignant shoulder. Osseous tumors of the shoulder rank second in incidence to those at the knee joint and include benign osteochondromas and myeloma or. The musculoskeletal tumor society. Malignant Neoplasm Of Shoulder.
From www.researchgate.net
(PDF) On the issue of interscapularthoracic amputation in malignant neoplasms of the shoulder Malignant Neoplasm Of Shoulder The musculoskeletal tumor society has developed a classification system for shoulder girdle tumors that divides the scapula into two zones : (a) wide surgical resection of the tumor, (b) reconstruction of the. Soft tissue sarcoma is a type of cancerous tumor that forms in the soft tissues of the body, such as muscle, fat, fibrous tissue, and blood vessels. This. Malignant Neoplasm Of Shoulder.
From newsnetwork.mayoclinic.org
Mayo Clinic Radio Musculoskeletal tumors Mayo Clinic News Network Malignant Neoplasm Of Shoulder The surgical treatment of a malignant bony tumor involving the shoulder girdle consists of three stages: The musculoskeletal tumor society has developed a classification system for shoulder girdle tumors that divides the scapula into two zones : Soft tissue sarcoma is a type of cancerous tumor that forms in the soft tissues of the body, such as muscle, fat, fibrous. Malignant Neoplasm Of Shoulder.
From my.clevelandclinic.org
Malignant Neoplasm What It Is, Types & Factors Malignant Neoplasm Of Shoulder The surgical treatment of a malignant bony tumor involving the shoulder girdle consists of three stages: This article reviews the key features and treatment options of the more commonly encountered benign and malignant shoulder. Soft tissue sarcoma is a type of cancerous tumor that forms in the soft tissues of the body, such as muscle, fat, fibrous tissue, and blood. Malignant Neoplasm Of Shoulder.
From www.orthobullets.com
Differential Groups Pathology Orthobullets Malignant Neoplasm Of Shoulder Osseous tumors of the shoulder rank second in incidence to those at the knee joint and include benign osteochondromas and myeloma or. This article reviews the key features and treatment options of the more commonly encountered benign and malignant shoulder. The surgical treatment of a malignant bony tumor involving the shoulder girdle consists of three stages: (a) wide surgical resection. Malignant Neoplasm Of Shoulder.
From www.health365.sg
What Is A Malignant Neoplasm? Health365.sg Malignant Neoplasm Of Shoulder (a) wide surgical resection of the tumor, (b) reconstruction of the. Soft tissue sarcoma is a type of cancerous tumor that forms in the soft tissues of the body, such as muscle, fat, fibrous tissue, and blood vessels. The surgical treatment of a malignant bony tumor involving the shoulder girdle consists of three stages: Chondrosarcoma is a type of bone. Malignant Neoplasm Of Shoulder.
From onlinelibrary.wiley.com
Functional Results and Emotional Acceptance after Scapulectomy for Malignant Shoulder Tumors Malignant Neoplasm Of Shoulder This article reviews the key features and treatment options of the more commonly encountered benign and malignant shoulder. (a) wide surgical resection of the tumor, (b) reconstruction of the. The musculoskeletal tumor society has developed a classification system for shoulder girdle tumors that divides the scapula into two zones : The surgical treatment of a malignant bony tumor involving the. Malignant Neoplasm Of Shoulder.
From www.frontiersin.org
Frontiers The WHO 2018 Classification of Cutaneous Melanocytic Neoplasms Suggestions From Malignant Neoplasm Of Shoulder The musculoskeletal tumor society has developed a classification system for shoulder girdle tumors that divides the scapula into two zones : Osseous tumors of the shoulder rank second in incidence to those at the knee joint and include benign osteochondromas and myeloma or. (a) wide surgical resection of the tumor, (b) reconstruction of the. Chondrosarcoma is a type of bone. Malignant Neoplasm Of Shoulder.
From facty.com
10 Types of Malignant Tumors Facty Health Malignant Neoplasm Of Shoulder Osseous tumors of the shoulder rank second in incidence to those at the knee joint and include benign osteochondromas and myeloma or. (a) wide surgical resection of the tumor, (b) reconstruction of the. The musculoskeletal tumor society has developed a classification system for shoulder girdle tumors that divides the scapula into two zones : Soft tissue sarcoma is a type. Malignant Neoplasm Of Shoulder.
From onlinelibrary.wiley.com
Functional Results and Emotional Acceptance after Scapulectomy for Malignant Shoulder Tumors Malignant Neoplasm Of Shoulder Osseous tumors of the shoulder rank second in incidence to those at the knee joint and include benign osteochondromas and myeloma or. This article reviews the key features and treatment options of the more commonly encountered benign and malignant shoulder. Soft tissue sarcoma is a type of cancerous tumor that forms in the soft tissues of the body, such as. Malignant Neoplasm Of Shoulder.