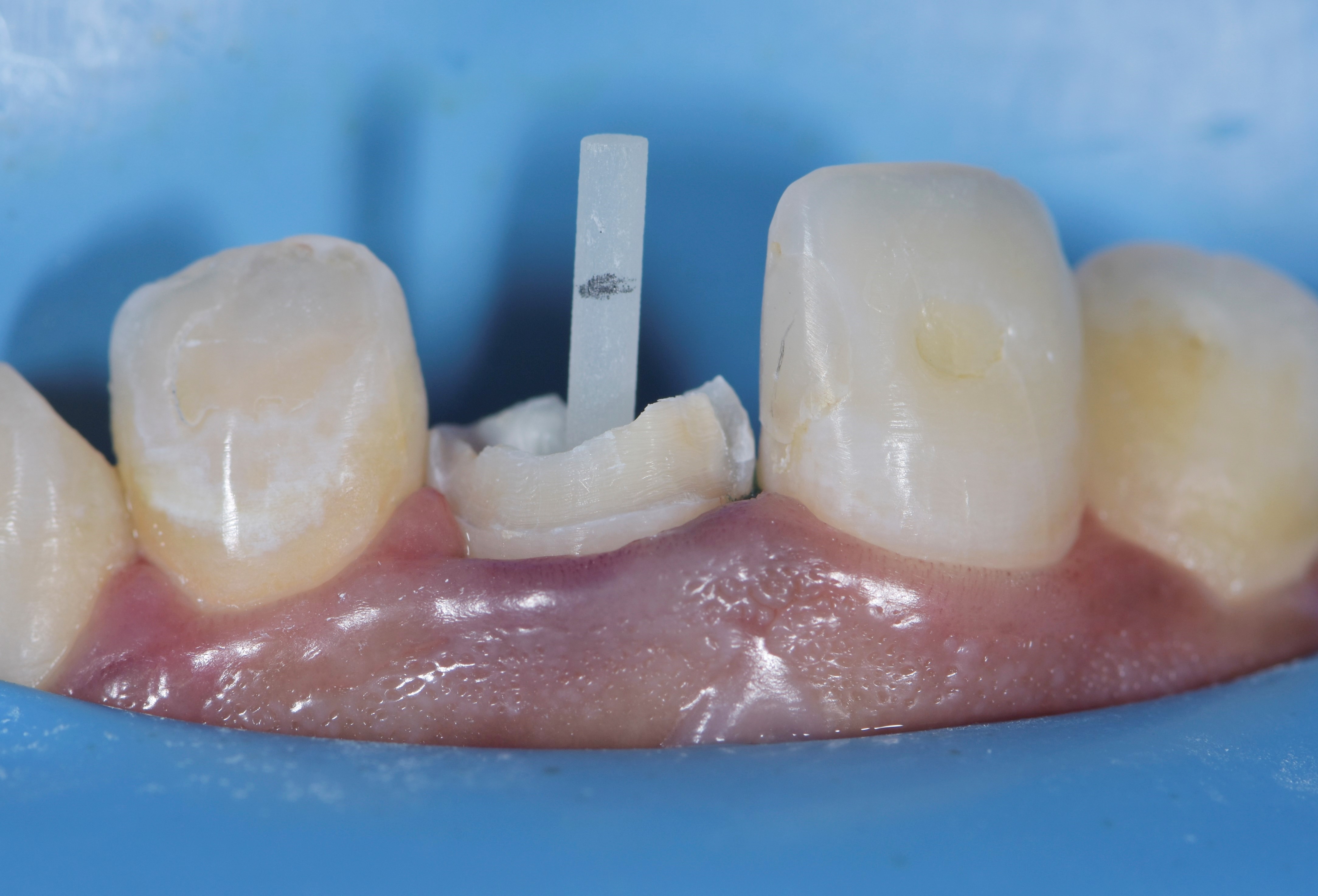
Post Dentistry Meaning . Each clinician has a unique way in which he or she performs successful post and core dentistry; Considerations to optimize success in endodontic cases. principles of post and core dentistry. Here are the steps your dentist will perform. This is often the last option if the root of the tooth isn’t healthy enough to support a tooth or dental appliance. Dentists use a dental post to help stabilize and secure a tooth that has. The topic of post and core is pertinent to both endodontics and general dentistry. a dental post is added to an existing tooth that is still in place but needs to be reinforced. The field is highly complex. the post is a small rod, usually metal, that is inserted into the root space of the tooth and protrudes from the root a couple of. a dental post is a small, metal shaft implanted in a tooth. sometimes, when planning for the new crown, they may determine that a dental post and core or else just a core (without a post) must be placed first.
from www.pinterest.com
a dental post is added to an existing tooth that is still in place but needs to be reinforced. Here are the steps your dentist will perform. The topic of post and core is pertinent to both endodontics and general dentistry. This is often the last option if the root of the tooth isn’t healthy enough to support a tooth or dental appliance. Considerations to optimize success in endodontic cases. Dentists use a dental post to help stabilize and secure a tooth that has. sometimes, when planning for the new crown, they may determine that a dental post and core or else just a core (without a post) must be placed first. a dental post is a small, metal shaft implanted in a tooth. The field is highly complex. principles of post and core dentistry.
know about the Procedure For Post And Core Dental, Dentistry, Root canal
Post Dentistry Meaning Here are the steps your dentist will perform. Considerations to optimize success in endodontic cases. Each clinician has a unique way in which he or she performs successful post and core dentistry; The topic of post and core is pertinent to both endodontics and general dentistry. This is often the last option if the root of the tooth isn’t healthy enough to support a tooth or dental appliance. a dental post is added to an existing tooth that is still in place but needs to be reinforced. Dentists use a dental post to help stabilize and secure a tooth that has. a dental post is a small, metal shaft implanted in a tooth. the post is a small rod, usually metal, that is inserted into the root space of the tooth and protrudes from the root a couple of. Here are the steps your dentist will perform. principles of post and core dentistry. The field is highly complex. sometimes, when planning for the new crown, they may determine that a dental post and core or else just a core (without a post) must be placed first.
From dribbble.com
Social media post Dentistry by Alina Medvedeva on Dribbble Post Dentistry Meaning sometimes, when planning for the new crown, they may determine that a dental post and core or else just a core (without a post) must be placed first. a dental post is added to an existing tooth that is still in place but needs to be reinforced. Considerations to optimize success in endodontic cases. The topic of post. Post Dentistry Meaning.
From www.youtube.com
What Is DENTISTRY? DENTISTRY Definition & Meaning YouTube Post Dentistry Meaning a dental post is a small, metal shaft implanted in a tooth. Here are the steps your dentist will perform. sometimes, when planning for the new crown, they may determine that a dental post and core or else just a core (without a post) must be placed first. This is often the last option if the root of. Post Dentistry Meaning.
From www.youtube.com
Basic Guide of Dental Terminologies Landmarks on Tooth Surfaces Post Dentistry Meaning principles of post and core dentistry. a dental post is added to an existing tooth that is still in place but needs to be reinforced. Considerations to optimize success in endodontic cases. Here are the steps your dentist will perform. This is often the last option if the root of the tooth isn’t healthy enough to support a. Post Dentistry Meaning.
From www.studocu.com
Operative dentistry introduction Operative Dentistry Prof AlRawi Post Dentistry Meaning This is often the last option if the root of the tooth isn’t healthy enough to support a tooth or dental appliance. Considerations to optimize success in endodontic cases. Each clinician has a unique way in which he or she performs successful post and core dentistry; the post is a small rod, usually metal, that is inserted into the. Post Dentistry Meaning.
From askadentist.com
Post and Core Ask A Dentist Post Dentistry Meaning The topic of post and core is pertinent to both endodontics and general dentistry. sometimes, when planning for the new crown, they may determine that a dental post and core or else just a core (without a post) must be placed first. Here are the steps your dentist will perform. a dental post is added to an existing. Post Dentistry Meaning.
From justsmiledental.net
PostTreatment Instructions With Dr. ley Everett, WA Post Dentistry Meaning the post is a small rod, usually metal, that is inserted into the root space of the tooth and protrudes from the root a couple of. a dental post is added to an existing tooth that is still in place but needs to be reinforced. Here are the steps your dentist will perform. sometimes, when planning for. Post Dentistry Meaning.
From in.pinterest.com
Pin by Red Ghost on dental post Dental marketing, Dental posts Post Dentistry Meaning The topic of post and core is pertinent to both endodontics and general dentistry. The field is highly complex. principles of post and core dentistry. Considerations to optimize success in endodontic cases. the post is a small rod, usually metal, that is inserted into the root space of the tooth and protrudes from the root a couple of.. Post Dentistry Meaning.
From www.thesmilemakersdentalclinic.com
Dentistry Postop Questions The Smile Makers Post Dentistry Meaning a dental post is added to an existing tooth that is still in place but needs to be reinforced. Dentists use a dental post to help stabilize and secure a tooth that has. The topic of post and core is pertinent to both endodontics and general dentistry. sometimes, when planning for the new crown, they may determine that. Post Dentistry Meaning.
From magazine.zhermack.com
Custommade endodontic posts fabrication techniques Post Dentistry Meaning The field is highly complex. This is often the last option if the root of the tooth isn’t healthy enough to support a tooth or dental appliance. a dental post is a small, metal shaft implanted in a tooth. a dental post is added to an existing tooth that is still in place but needs to be reinforced.. Post Dentistry Meaning.
From sandiegoinvisaligndentist.org
Dentistry Meaning Dental News Network Post Dentistry Meaning principles of post and core dentistry. a dental post is added to an existing tooth that is still in place but needs to be reinforced. The field is highly complex. the post is a small rod, usually metal, that is inserted into the root space of the tooth and protrudes from the root a couple of. Dentists. Post Dentistry Meaning.
From www.slideshare.net
Composite resin restoration in dentistry Post Dentistry Meaning a dental post is a small, metal shaft implanted in a tooth. Each clinician has a unique way in which he or she performs successful post and core dentistry; principles of post and core dentistry. The topic of post and core is pertinent to both endodontics and general dentistry. a dental post is added to an existing. Post Dentistry Meaning.
From www.youtube.com
Dental Post Cementation and Core BuildUp with Cosmecore YouTube Post Dentistry Meaning a dental post is a small, metal shaft implanted in a tooth. principles of post and core dentistry. Dentists use a dental post to help stabilize and secure a tooth that has. Here are the steps your dentist will perform. This is often the last option if the root of the tooth isn’t healthy enough to support a. Post Dentistry Meaning.
From www.opencare.com
Veneers vs. dental crowns Comparison and how to choose the best option Post Dentistry Meaning Considerations to optimize success in endodontic cases. Each clinician has a unique way in which he or she performs successful post and core dentistry; The topic of post and core is pertinent to both endodontics and general dentistry. This is often the last option if the root of the tooth isn’t healthy enough to support a tooth or dental appliance.. Post Dentistry Meaning.
From www.slideshare.net
DENTAL POST Post Dentistry Meaning a dental post is a small, metal shaft implanted in a tooth. Dentists use a dental post to help stabilize and secure a tooth that has. Each clinician has a unique way in which he or she performs successful post and core dentistry; Considerations to optimize success in endodontic cases. principles of post and core dentistry. Here are. Post Dentistry Meaning.
From www.pinterest.ca
Tips!! Importance of giving the right Post operative instructions after Post Dentistry Meaning Here are the steps your dentist will perform. Considerations to optimize success in endodontic cases. a dental post is added to an existing tooth that is still in place but needs to be reinforced. the post is a small rod, usually metal, that is inserted into the root space of the tooth and protrudes from the root a. Post Dentistry Meaning.
From www.slideserve.com
PPT Dentistry definition PowerPoint Presentation, free download ID Post Dentistry Meaning Dentists use a dental post to help stabilize and secure a tooth that has. Considerations to optimize success in endodontic cases. sometimes, when planning for the new crown, they may determine that a dental post and core or else just a core (without a post) must be placed first. a dental post is added to an existing tooth. Post Dentistry Meaning.
From thedigitalexposure.com
What You Need to Know About Dental Implants Eau Claire Facts and Figures Post Dentistry Meaning Dentists use a dental post to help stabilize and secure a tooth that has. Considerations to optimize success in endodontic cases. Here are the steps your dentist will perform. This is often the last option if the root of the tooth isn’t healthy enough to support a tooth or dental appliance. sometimes, when planning for the new crown, they. Post Dentistry Meaning.
From www.youtube.com
Post and Core ENDODONTICS YouTube Post Dentistry Meaning the post is a small rod, usually metal, that is inserted into the root space of the tooth and protrudes from the root a couple of. Dentists use a dental post to help stabilize and secure a tooth that has. The topic of post and core is pertinent to both endodontics and general dentistry. principles of post and. Post Dentistry Meaning.
From www.australiandentalspecialists.com
Large PARL Healing after Orthograde Endodontic Treatment Post Dentistry Meaning a dental post is a small, metal shaft implanted in a tooth. a dental post is added to an existing tooth that is still in place but needs to be reinforced. This is often the last option if the root of the tooth isn’t healthy enough to support a tooth or dental appliance. Here are the steps your. Post Dentistry Meaning.
From www.slideshare.net
Dental post Post Dentistry Meaning This is often the last option if the root of the tooth isn’t healthy enough to support a tooth or dental appliance. sometimes, when planning for the new crown, they may determine that a dental post and core or else just a core (without a post) must be placed first. The topic of post and core is pertinent to. Post Dentistry Meaning.
From www.slideshare.net
Different types of dental prosthesis Post Dentistry Meaning The topic of post and core is pertinent to both endodontics and general dentistry. The field is highly complex. Here are the steps your dentist will perform. principles of post and core dentistry. sometimes, when planning for the new crown, they may determine that a dental post and core or else just a core (without a post) must. Post Dentistry Meaning.
From www.pinterest.com
know about the Procedure For Post And Core Dental, Dentistry, Root canal Post Dentistry Meaning Considerations to optimize success in endodontic cases. a dental post is added to an existing tooth that is still in place but needs to be reinforced. the post is a small rod, usually metal, that is inserted into the root space of the tooth and protrudes from the root a couple of. Dentists use a dental post to. Post Dentistry Meaning.
From lifemanagement.org
What is post dental implant care? Life Management Center Post Dentistry Meaning Each clinician has a unique way in which he or she performs successful post and core dentistry; The field is highly complex. The topic of post and core is pertinent to both endodontics and general dentistry. a dental post is added to an existing tooth that is still in place but needs to be reinforced. Here are the steps. Post Dentistry Meaning.
From www.trimbledental.com
PostDental Implant Care Standard Upkeep, Checkup Schedule Trimble Post Dentistry Meaning Each clinician has a unique way in which he or she performs successful post and core dentistry; a dental post is a small, metal shaft implanted in a tooth. This is often the last option if the root of the tooth isn’t healthy enough to support a tooth or dental appliance. a dental post is added to an. Post Dentistry Meaning.
From odontozarad.blogspot.com
Dentistry Terms in Dental Practice Post Dentistry Meaning a dental post is a small, metal shaft implanted in a tooth. Considerations to optimize success in endodontic cases. This is often the last option if the root of the tooth isn’t healthy enough to support a tooth or dental appliance. Here are the steps your dentist will perform. The topic of post and core is pertinent to both. Post Dentistry Meaning.
From dentistmaa.com
Post Tooth Extraction Instructions All You Need To Know DentistMaa Post Dentistry Meaning Dentists use a dental post to help stabilize and secure a tooth that has. The field is highly complex. This is often the last option if the root of the tooth isn’t healthy enough to support a tooth or dental appliance. principles of post and core dentistry. Here are the steps your dentist will perform. sometimes, when planning. Post Dentistry Meaning.
From brittenperio.com
What you Need to Know About Periodontal Flap Surgery Britten Perio Post Dentistry Meaning This is often the last option if the root of the tooth isn’t healthy enough to support a tooth or dental appliance. Considerations to optimize success in endodontic cases. The topic of post and core is pertinent to both endodontics and general dentistry. The field is highly complex. Here are the steps your dentist will perform. sometimes, when planning. Post Dentistry Meaning.
From www.dentaltix.com
The Complete Guide to Dental GuttaPercha It's use in Endodontics Post Dentistry Meaning principles of post and core dentistry. The topic of post and core is pertinent to both endodontics and general dentistry. This is often the last option if the root of the tooth isn’t healthy enough to support a tooth or dental appliance. The field is highly complex. Dentists use a dental post to help stabilize and secure a tooth. Post Dentistry Meaning.
From www.slideserve.com
PPT Dentistry definition PowerPoint Presentation, free download ID Post Dentistry Meaning a dental post is added to an existing tooth that is still in place but needs to be reinforced. principles of post and core dentistry. Each clinician has a unique way in which he or she performs successful post and core dentistry; Considerations to optimize success in endodontic cases. The topic of post and core is pertinent to. Post Dentistry Meaning.
From rehandentalsurgery.com
Post and Core Best Treatment & Procedure Rehan Dental Surgery Post Dentistry Meaning This is often the last option if the root of the tooth isn’t healthy enough to support a tooth or dental appliance. a dental post is a small, metal shaft implanted in a tooth. Each clinician has a unique way in which he or she performs successful post and core dentistry; Dentists use a dental post to help stabilize. Post Dentistry Meaning.
From nhakhoasydney.com.vn
Post dental implant care for optimal healing Nha Khoa Sydney Post Dentistry Meaning Each clinician has a unique way in which he or she performs successful post and core dentistry; a dental post is a small, metal shaft implanted in a tooth. The field is highly complex. sometimes, when planning for the new crown, they may determine that a dental post and core or else just a core (without a post). Post Dentistry Meaning.
From www.tv.odontologiavirtual.com
ENDOPOST Dental Post Cementation and Core BuildUp with Cosmecore Post Dentistry Meaning sometimes, when planning for the new crown, they may determine that a dental post and core or else just a core (without a post) must be placed first. This is often the last option if the root of the tooth isn’t healthy enough to support a tooth or dental appliance. a dental post is a small, metal shaft. Post Dentistry Meaning.
From www.dentalestheticszak.com
Inverse injection of composite over a fiber post Dental Esthetics Post Dentistry Meaning Considerations to optimize success in endodontic cases. principles of post and core dentistry. Each clinician has a unique way in which he or she performs successful post and core dentistry; a dental post is added to an existing tooth that is still in place but needs to be reinforced. Here are the steps your dentist will perform. Dentists. Post Dentistry Meaning.
From www.slideserve.com
PPT Fundamentals in Tooth Preparation PowerPoint Presentation, free Post Dentistry Meaning a dental post is a small, metal shaft implanted in a tooth. Each clinician has a unique way in which he or she performs successful post and core dentistry; This is often the last option if the root of the tooth isn’t healthy enough to support a tooth or dental appliance. Dentists use a dental post to help stabilize. Post Dentistry Meaning.
From www.youtube.com
Post & Core post preparation procedure in endodontic & prosthodontics Post Dentistry Meaning a dental post is a small, metal shaft implanted in a tooth. Here are the steps your dentist will perform. a dental post is added to an existing tooth that is still in place but needs to be reinforced. The field is highly complex. This is often the last option if the root of the tooth isn’t healthy. Post Dentistry Meaning.