Dental Abrasion Definition . Tooth abrasion is a dental issue that can cause permanent damage to your teeth if left untreated. It can lead to tooth sensitivity, pain,. Dental abrasion is tooth wear originating from friction or mechanical forces from a foreign object, and it predominantly. The three main types of tooth wear are erosion, abrasion and attrition. Wedges that appear “cut into” the sides of. Common warning signs of dental abrasion include things like: Dental abrasion is a condition that occurs when the tooth enamel wears away due to external factors. Dental abrasion is a dental problem that can be caused by various factors, including poor oral hygiene, diet, and toothbrush abrasion. It can manifest as the loss of. Most frequently tooth wear is.
from www.pinterest.com
Wedges that appear “cut into” the sides of. Most frequently tooth wear is. It can manifest as the loss of. Common warning signs of dental abrasion include things like: The three main types of tooth wear are erosion, abrasion and attrition. Tooth abrasion is a dental issue that can cause permanent damage to your teeth if left untreated. Dental abrasion is a condition that occurs when the tooth enamel wears away due to external factors. Dental abrasion is a dental problem that can be caused by various factors, including poor oral hygiene, diet, and toothbrush abrasion. Dental abrasion is tooth wear originating from friction or mechanical forces from a foreign object, and it predominantly. It can lead to tooth sensitivity, pain,.
Difference between dental erosion, enamel attrition, abfraction and
Dental Abrasion Definition The three main types of tooth wear are erosion, abrasion and attrition. It can lead to tooth sensitivity, pain,. Most frequently tooth wear is. Dental abrasion is tooth wear originating from friction or mechanical forces from a foreign object, and it predominantly. Common warning signs of dental abrasion include things like: The three main types of tooth wear are erosion, abrasion and attrition. Tooth abrasion is a dental issue that can cause permanent damage to your teeth if left untreated. Wedges that appear “cut into” the sides of. Dental abrasion is a dental problem that can be caused by various factors, including poor oral hygiene, diet, and toothbrush abrasion. It can manifest as the loss of. Dental abrasion is a condition that occurs when the tooth enamel wears away due to external factors.
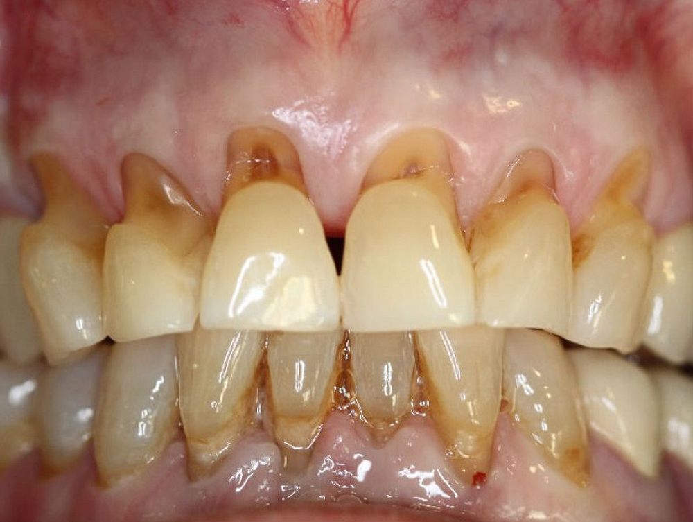
From ostrowon.usc.edu
The Dentist's Guide to Tooth Erosion, Attrition, Abrasion & Abfraction Dental Abrasion Definition It can lead to tooth sensitivity, pain,. Dental abrasion is a dental problem that can be caused by various factors, including poor oral hygiene, diet, and toothbrush abrasion. It can manifest as the loss of. Dental abrasion is a condition that occurs when the tooth enamel wears away due to external factors. Common warning signs of dental abrasion include things. Dental Abrasion Definition.
From ostrowon.usc.edu
The Dentist's Guide to Tooth Erosion, Attrition, Abrasion & Abfraction Dental Abrasion Definition Dental abrasion is tooth wear originating from friction or mechanical forces from a foreign object, and it predominantly. It can lead to tooth sensitivity, pain,. It can manifest as the loss of. Dental abrasion is a dental problem that can be caused by various factors, including poor oral hygiene, diet, and toothbrush abrasion. Dental abrasion is a condition that occurs. Dental Abrasion Definition.
From www.markhilldentist.co.uk
Different types of tooth surface loss. Mark Hill (Dental Surgeon) Dental Abrasion Definition Dental abrasion is tooth wear originating from friction or mechanical forces from a foreign object, and it predominantly. It can manifest as the loss of. Tooth abrasion is a dental issue that can cause permanent damage to your teeth if left untreated. Common warning signs of dental abrasion include things like: The three main types of tooth wear are erosion,. Dental Abrasion Definition.
From ostrowon.usc.edu
The Dentist's Guide to Tooth Erosion, Attrition, Abrasion & Abfraction Dental Abrasion Definition Dental abrasion is a dental problem that can be caused by various factors, including poor oral hygiene, diet, and toothbrush abrasion. Dental abrasion is a condition that occurs when the tooth enamel wears away due to external factors. It can lead to tooth sensitivity, pain,. Most frequently tooth wear is. Tooth abrasion is a dental issue that can cause permanent. Dental Abrasion Definition.
From www.youtube.com
Non Carious Tooth Lesions l Attrition, Abrasion, Abfraction, Erosion l Dental Abrasion Definition Dental abrasion is a condition that occurs when the tooth enamel wears away due to external factors. Common warning signs of dental abrasion include things like: Most frequently tooth wear is. Wedges that appear “cut into” the sides of. It can manifest as the loss of. It can lead to tooth sensitivity, pain,. Dental abrasion is a dental problem that. Dental Abrasion Definition.
From doctorasoniaruiz.com
ABRASIÓN DENTAL, SILENCIOSA DESTRUCCIÓN DEL DIENTE Clínica Dental Dental Abrasion Definition Tooth abrasion is a dental issue that can cause permanent damage to your teeth if left untreated. Common warning signs of dental abrasion include things like: It can manifest as the loss of. The three main types of tooth wear are erosion, abrasion and attrition. Wedges that appear “cut into” the sides of. Most frequently tooth wear is. Dental abrasion. Dental Abrasion Definition.
From www.pinterest.com
Difference between dental erosion, enamel attrition, abfraction and Dental Abrasion Definition Dental abrasion is a dental problem that can be caused by various factors, including poor oral hygiene, diet, and toothbrush abrasion. It can manifest as the loss of. Dental abrasion is a condition that occurs when the tooth enamel wears away due to external factors. Dental abrasion is tooth wear originating from friction or mechanical forces from a foreign object,. Dental Abrasion Definition.
From www.drummoynedentalpractice.com.au
Abfraction Drummoyne Dental Practice Dental Abrasion Definition It can lead to tooth sensitivity, pain,. Dental abrasion is a dental problem that can be caused by various factors, including poor oral hygiene, diet, and toothbrush abrasion. Most frequently tooth wear is. It can manifest as the loss of. Wedges that appear “cut into” the sides of. Tooth abrasion is a dental issue that can cause permanent damage to. Dental Abrasion Definition.
From www.youtube.com
Non Carious Tooth Wear//Attrition, Abrasion, Abfraction, Erosion Dental Abrasion Definition Tooth abrasion is a dental issue that can cause permanent damage to your teeth if left untreated. Dental abrasion is a condition that occurs when the tooth enamel wears away due to external factors. Dental abrasion is tooth wear originating from friction or mechanical forces from a foreign object, and it predominantly. It can lead to tooth sensitivity, pain,. Common. Dental Abrasion Definition.
From 32smiledesign.com.au
Dental Erosion and Dental Abrasion 32 Smile Design Schofields Dentistry Dental Abrasion Definition Most frequently tooth wear is. Common warning signs of dental abrasion include things like: Wedges that appear “cut into” the sides of. Dental abrasion is a condition that occurs when the tooth enamel wears away due to external factors. Tooth abrasion is a dental issue that can cause permanent damage to your teeth if left untreated. Dental abrasion is tooth. Dental Abrasion Definition.
From www.directorioodontologico.info
Abrasión Dental y el Cepillado Dental Directorio Odontológico Dental Abrasion Definition The three main types of tooth wear are erosion, abrasion and attrition. Dental abrasion is tooth wear originating from friction or mechanical forces from a foreign object, and it predominantly. It can lead to tooth sensitivity, pain,. Common warning signs of dental abrasion include things like: It can manifest as the loss of. Tooth abrasion is a dental issue that. Dental Abrasion Definition.
From www.drkoumas.com
Signs, Causes, And Treatments For Dental Abrasion A Comprehensive Dental Abrasion Definition The three main types of tooth wear are erosion, abrasion and attrition. Most frequently tooth wear is. It can manifest as the loss of. Wedges that appear “cut into” the sides of. Dental abrasion is a condition that occurs when the tooth enamel wears away due to external factors. Common warning signs of dental abrasion include things like: Dental abrasion. Dental Abrasion Definition.
From www.youtube.com
Abrasion, Attrition, Erosion, Abfraction (SIMPLIFIED) YouTube Dental Abrasion Definition Most frequently tooth wear is. It can lead to tooth sensitivity, pain,. Dental abrasion is tooth wear originating from friction or mechanical forces from a foreign object, and it predominantly. Dental abrasion is a condition that occurs when the tooth enamel wears away due to external factors. Wedges that appear “cut into” the sides of. Dental abrasion is a dental. Dental Abrasion Definition.
From greeleydental.com
Dental Abrasion What is it and do You Need it? Ascent Family Dental Dental Abrasion Definition Common warning signs of dental abrasion include things like: Tooth abrasion is a dental issue that can cause permanent damage to your teeth if left untreated. It can lead to tooth sensitivity, pain,. Wedges that appear “cut into” the sides of. Dental abrasion is a condition that occurs when the tooth enamel wears away due to external factors. It can. Dental Abrasion Definition.
From directorioodontologico.blogspot.com
ABRASIÓN DENTAL Silenciosa destrucción del diente Directorio Dental Abrasion Definition Common warning signs of dental abrasion include things like: Dental abrasion is tooth wear originating from friction or mechanical forces from a foreign object, and it predominantly. Tooth abrasion is a dental issue that can cause permanent damage to your teeth if left untreated. Dental abrasion is a dental problem that can be caused by various factors, including poor oral. Dental Abrasion Definition.
From mavink.com
Tooth Erosion Treatment Dental Abrasion Definition It can lead to tooth sensitivity, pain,. Most frequently tooth wear is. Dental abrasion is a condition that occurs when the tooth enamel wears away due to external factors. Common warning signs of dental abrasion include things like: Dental abrasion is a dental problem that can be caused by various factors, including poor oral hygiene, diet, and toothbrush abrasion. Dental. Dental Abrasion Definition.
From www.studocu.com
Tooth Abrasion Tooth Abrasion 2 The size of the abrasive. The Dental Abrasion Definition Tooth abrasion is a dental issue that can cause permanent damage to your teeth if left untreated. The three main types of tooth wear are erosion, abrasion and attrition. It can manifest as the loss of. It can lead to tooth sensitivity, pain,. Common warning signs of dental abrasion include things like: Dental abrasion is a dental problem that can. Dental Abrasion Definition.
From dentagama.com
Abfraction News Dentagama Dental Abrasion Definition The three main types of tooth wear are erosion, abrasion and attrition. Dental abrasion is tooth wear originating from friction or mechanical forces from a foreign object, and it predominantly. Dental abrasion is a dental problem that can be caused by various factors, including poor oral hygiene, diet, and toothbrush abrasion. Dental abrasion is a condition that occurs when the. Dental Abrasion Definition.
From www.slideserve.com
PPT Tooth wear aetiology , prevention, clinical implication Dental Abrasion Definition Tooth abrasion is a dental issue that can cause permanent damage to your teeth if left untreated. Common warning signs of dental abrasion include things like: The three main types of tooth wear are erosion, abrasion and attrition. Most frequently tooth wear is. Dental abrasion is tooth wear originating from friction or mechanical forces from a foreign object, and it. Dental Abrasion Definition.
From slideplayer.com
DH102 Clinic II OHI & Products ppt download Dental Abrasion Definition Most frequently tooth wear is. The three main types of tooth wear are erosion, abrasion and attrition. It can lead to tooth sensitivity, pain,. Tooth abrasion is a dental issue that can cause permanent damage to your teeth if left untreated. Wedges that appear “cut into” the sides of. Common warning signs of dental abrasion include things like: Dental abrasion. Dental Abrasion Definition.
From www.dentaldevotee.com
Dentosphere World of Dentistry Regressive changes in Tooth Dental Abrasion Definition It can manifest as the loss of. Dental abrasion is a condition that occurs when the tooth enamel wears away due to external factors. Most frequently tooth wear is. Dental abrasion is a dental problem that can be caused by various factors, including poor oral hygiene, diet, and toothbrush abrasion. Tooth abrasion is a dental issue that can cause permanent. Dental Abrasion Definition.
From dentowesome.blogspot.com
Dentowesome Abrasion Dental Abrasion Definition Dental abrasion is a dental problem that can be caused by various factors, including poor oral hygiene, diet, and toothbrush abrasion. It can lead to tooth sensitivity, pain,. Tooth abrasion is a dental issue that can cause permanent damage to your teeth if left untreated. Most frequently tooth wear is. It can manifest as the loss of. Dental abrasion is. Dental Abrasion Definition.
From www.slideserve.com
PPT Tooth wear aetiology , prevention, clinical implication Dental Abrasion Definition The three main types of tooth wear are erosion, abrasion and attrition. It can lead to tooth sensitivity, pain,. Tooth abrasion is a dental issue that can cause permanent damage to your teeth if left untreated. Common warning signs of dental abrasion include things like: Most frequently tooth wear is. It can manifest as the loss of. Wedges that appear. Dental Abrasion Definition.
From www.dottor-dente.it
Erosioni e abrasioni dentali ecco come riconoscerle e prevenirle Dental Abrasion Definition Dental abrasion is a dental problem that can be caused by various factors, including poor oral hygiene, diet, and toothbrush abrasion. The three main types of tooth wear are erosion, abrasion and attrition. Tooth abrasion is a dental issue that can cause permanent damage to your teeth if left untreated. Most frequently tooth wear is. It can lead to tooth. Dental Abrasion Definition.
From slideplayer.com
INTRODUCTION TO OPERATIVE DENTISTRY Definition ppt download Dental Abrasion Definition Most frequently tooth wear is. Tooth abrasion is a dental issue that can cause permanent damage to your teeth if left untreated. Wedges that appear “cut into” the sides of. Dental abrasion is a condition that occurs when the tooth enamel wears away due to external factors. Common warning signs of dental abrasion include things like: Dental abrasion is tooth. Dental Abrasion Definition.
From www.healthline.com
Abfraction Symptoms, Causes, and Treatment Dental Abrasion Definition Common warning signs of dental abrasion include things like: Tooth abrasion is a dental issue that can cause permanent damage to your teeth if left untreated. Most frequently tooth wear is. It can manifest as the loss of. Dental abrasion is a dental problem that can be caused by various factors, including poor oral hygiene, diet, and toothbrush abrasion. The. Dental Abrasion Definition.
From ostrowonline.usc.edu
The Dentist's Guide to Tooth Erosion, Attrition, Abrasion & Abfraction Dental Abrasion Definition Common warning signs of dental abrasion include things like: Dental abrasion is tooth wear originating from friction or mechanical forces from a foreign object, and it predominantly. It can lead to tooth sensitivity, pain,. Dental abrasion is a dental problem that can be caused by various factors, including poor oral hygiene, diet, and toothbrush abrasion. Wedges that appear “cut into”. Dental Abrasion Definition.
From directorioodontologico.blogspot.com
ORAL PATHOLOGY Pathological abrasion of dental hard tissues Dental Abrasion Definition Wedges that appear “cut into” the sides of. Common warning signs of dental abrasion include things like: Dental abrasion is tooth wear originating from friction or mechanical forces from a foreign object, and it predominantly. It can lead to tooth sensitivity, pain,. It can manifest as the loss of. Dental abrasion is a condition that occurs when the tooth enamel. Dental Abrasion Definition.
From oralview.org
ᐈ Desgaste Dental abrasión, atrición, erosión y abfracción 🥇🥇 Dental Abrasion Definition Most frequently tooth wear is. Tooth abrasion is a dental issue that can cause permanent damage to your teeth if left untreated. Dental abrasion is a condition that occurs when the tooth enamel wears away due to external factors. It can lead to tooth sensitivity, pain,. Common warning signs of dental abrasion include things like: Dental abrasion is a dental. Dental Abrasion Definition.
From 32smiledesign.com.au
Dental Erosion and Dental Abrasion 32 Smile Design Dental Clinic Dental Abrasion Definition Wedges that appear “cut into” the sides of. Dental abrasion is tooth wear originating from friction or mechanical forces from a foreign object, and it predominantly. Common warning signs of dental abrasion include things like: Tooth abrasion is a dental issue that can cause permanent damage to your teeth if left untreated. Dental abrasion is a dental problem that can. Dental Abrasion Definition.
From slideplayer.com
DH102 Clinic II OHI & Products ppt download Dental Abrasion Definition Wedges that appear “cut into” the sides of. Most frequently tooth wear is. It can lead to tooth sensitivity, pain,. Dental abrasion is tooth wear originating from friction or mechanical forces from a foreign object, and it predominantly. Tooth abrasion is a dental issue that can cause permanent damage to your teeth if left untreated. Dental abrasion is a condition. Dental Abrasion Definition.
From dentagama.com
How to deal with teeth abrasion? News Dentagama Dental Abrasion Definition Most frequently tooth wear is. The three main types of tooth wear are erosion, abrasion and attrition. Dental abrasion is a dental problem that can be caused by various factors, including poor oral hygiene, diet, and toothbrush abrasion. Common warning signs of dental abrasion include things like: It can manifest as the loss of. It can lead to tooth sensitivity,. Dental Abrasion Definition.
From ostrowon.usc.edu
The Dentist's Guide to Tooth Erosion, Attrition, Abrasion & Abfraction Dental Abrasion Definition Dental abrasion is a dental problem that can be caused by various factors, including poor oral hygiene, diet, and toothbrush abrasion. Dental abrasion is tooth wear originating from friction or mechanical forces from a foreign object, and it predominantly. The three main types of tooth wear are erosion, abrasion and attrition. Tooth abrasion is a dental issue that can cause. Dental Abrasion Definition.
From lemesosdental.com
Tooth Abrasion & Tooth Erosion Lemesos Dental Clinic Ltd Dental Abrasion Definition Wedges that appear “cut into” the sides of. It can lead to tooth sensitivity, pain,. It can manifest as the loss of. Dental abrasion is a dental problem that can be caused by various factors, including poor oral hygiene, diet, and toothbrush abrasion. Dental abrasion is a condition that occurs when the tooth enamel wears away due to external factors.. Dental Abrasion Definition.
From dentagama.com
What is the difference between dental attrition, abfraction, erosion Dental Abrasion Definition Most frequently tooth wear is. Tooth abrasion is a dental issue that can cause permanent damage to your teeth if left untreated. The three main types of tooth wear are erosion, abrasion and attrition. It can lead to tooth sensitivity, pain,. Wedges that appear “cut into” the sides of. Dental abrasion is a dental problem that can be caused by. Dental Abrasion Definition.