Bonding To Cover Exposed Roots . Dental bonding is a tooth. Here’s how to tell if you have an exposed root and how to get it treated. What to expect prep for bonding. Even if you have perfect dental hygiene, you can still develop an exposed tooth root. Relieve pain from exposed tooth roots due to gum recession. Bonding can alter the shape and size of teeth, making them appear more uniform and well. Even better, the bonding can also help address any sensitivity issues that may be caused by the roots being exposed because of gum recession. Fill a tooth cavity instead of using amalgam fillings. This can help provide necessary protection to the roots and prevent cavities from forming. To cover a discolored tooth, match the color or shade to the natural teeth around it; To close spaces between teeth; Once you and your dentist have decided teeth bonding is your best option, the remaining prep is a breeze! Dental bonding, sometimes called composite bonding or teeth bonding, is a cosmetic dentistry treatment used to enhance your smile. To protect a tooth’s root exposed from receding gums; One of the most traditional options for people with mild abrasion or exposure to their roots is bonding over that space.
from www.pinterest.com
Here’s how to tell if you have an exposed root and how to get it treated. To protect a tooth’s root exposed from receding gums; This can help provide necessary protection to the roots and prevent cavities from forming. Other treatment options, such as dental crowns and porcelain veneers, are more expensive and invasive than bonding treatment. What to expect prep for bonding. Even if you have perfect dental hygiene, you can still develop an exposed tooth root. Dental bonding is a tooth. To close spaces between teeth; One of the most traditional options for people with mild abrasion or exposure to their roots is bonding over that space. Dental bonding, sometimes called composite bonding or teeth bonding, is a cosmetic dentistry treatment used to enhance your smile.
Exposed root surfaces can also be treated by applying bonding resin
Bonding To Cover Exposed Roots The bonding can also be applied to the exposed areas on the tooth’s root caused by gum recession. Other treatment options, such as dental crowns and porcelain veneers, are more expensive and invasive than bonding treatment. Dental bonding, sometimes called composite bonding or teeth bonding, is a cosmetic dentistry treatment used to enhance your smile. The bonding can also be applied to the exposed areas on the tooth’s root caused by gum recession. To protect a tooth’s root exposed from receding gums; Even better, the bonding can also help address any sensitivity issues that may be caused by the roots being exposed because of gum recession. Once you and your dentist have decided teeth bonding is your best option, the remaining prep is a breeze! Bonding can alter the shape and size of teeth, making them appear more uniform and well. Dental bonding is a tooth. To close spaces between teeth; What to expect prep for bonding. Relieve pain from exposed tooth roots due to gum recession. Fill a tooth cavity instead of using amalgam fillings. Here’s how to tell if you have an exposed root and how to get it treated. This can help provide necessary protection to the roots and prevent cavities from forming. One of the most traditional options for people with mild abrasion or exposure to their roots is bonding over that space.
From vivaldismiles.com.au
Composite Bonding in Sydney Composite & Dental Bonding Bonding To Cover Exposed Roots Even if you have perfect dental hygiene, you can still develop an exposed tooth root. This can help provide necessary protection to the roots and prevent cavities from forming. Here’s how to tell if you have an exposed root and how to get it treated. To cover a discolored tooth, match the color or shade to the natural teeth around. Bonding To Cover Exposed Roots.
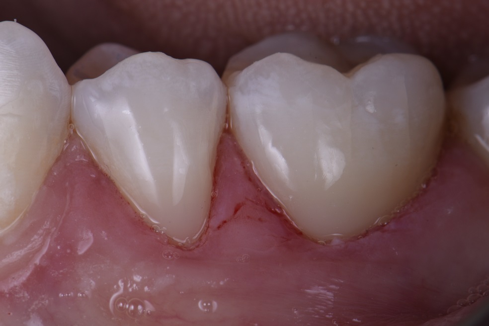
From www.clarencetam.co.nz
Bonding to Protect Sensitive Root Surfaces Bonding to Protect Sensitive Bonding To Cover Exposed Roots Dental bonding, sometimes called composite bonding or teeth bonding, is a cosmetic dentistry treatment used to enhance your smile. One of the most traditional options for people with mild abrasion or exposure to their roots is bonding over that space. What to expect prep for bonding. To close spaces between teeth; Dental bonding is a tooth. Bonding can alter the. Bonding To Cover Exposed Roots.
From www.hartedental.com
Dental Bonding Before & After Photos Milton MA Bonding To Cover Exposed Roots Bonding can alter the shape and size of teeth, making them appear more uniform and well. One of the most traditional options for people with mild abrasion or exposure to their roots is bonding over that space. Once you and your dentist have decided teeth bonding is your best option, the remaining prep is a breeze! Even better, the bonding. Bonding To Cover Exposed Roots.
From www.apolloroofingsolutions.co.uk
5 Tips for Bonding to Upstands & Detail Areas Blog Apollo Roofing Bonding To Cover Exposed Roots Dental bonding is a tooth. One of the most traditional options for people with mild abrasion or exposure to their roots is bonding over that space. Even if you have perfect dental hygiene, you can still develop an exposed tooth root. Other treatment options, such as dental crowns and porcelain veneers, are more expensive and invasive than bonding treatment. Even. Bonding To Cover Exposed Roots.
From www.foxeslair.org
Rhizomes and Sand Binding Roots Bonding To Cover Exposed Roots Fill a tooth cavity instead of using amalgam fillings. Dental bonding, sometimes called composite bonding or teeth bonding, is a cosmetic dentistry treatment used to enhance your smile. Even if you have perfect dental hygiene, you can still develop an exposed tooth root. Other treatment options, such as dental crowns and porcelain veneers, are more expensive and invasive than bonding. Bonding To Cover Exposed Roots.
From www.clarencetam.co.nz
Bonding to Protect Sensitive Root Surfaces Bonding to Protect Sensitive Bonding To Cover Exposed Roots What to expect prep for bonding. Dental bonding is a tooth. To cover a discolored tooth, match the color or shade to the natural teeth around it; Relieve pain from exposed tooth roots due to gum recession. To close spaces between teeth; Even better, the bonding can also help address any sensitivity issues that may be caused by the roots. Bonding To Cover Exposed Roots.
From www.worksafe.qld.gov.au
The importance of equipotential bonding for plumbers and pool builders Bonding To Cover Exposed Roots Even if you have perfect dental hygiene, you can still develop an exposed tooth root. This can help provide necessary protection to the roots and prevent cavities from forming. To protect a tooth’s root exposed from receding gums; Dental bonding is a tooth. To close spaces between teeth; Even better, the bonding can also help address any sensitivity issues that. Bonding To Cover Exposed Roots.
From alamoimplantcenter.com
Exposed tooth roots The “root” of tooth sensitivity in aging Alamo Bonding To Cover Exposed Roots Dental bonding, sometimes called composite bonding or teeth bonding, is a cosmetic dentistry treatment used to enhance your smile. Once you and your dentist have decided teeth bonding is your best option, the remaining prep is a breeze! Relieve pain from exposed tooth roots due to gum recession. Dental bonding is a tooth. Here’s how to tell if you have. Bonding To Cover Exposed Roots.
From cosmeticdentistchicago.com
Root Surface Bonding Advanced Cosmetic Dentistry Bonding To Cover Exposed Roots Other treatment options, such as dental crowns and porcelain veneers, are more expensive and invasive than bonding treatment. To cover a discolored tooth, match the color or shade to the natural teeth around it; Dental bonding is a tooth. Here’s how to tell if you have an exposed root and how to get it treated. Relieve pain from exposed tooth. Bonding To Cover Exposed Roots.
From drmiski.com
Teeth Sensitivity & Exposed tooth Roots French Dental Services Dr Bonding To Cover Exposed Roots To cover a discolored tooth, match the color or shade to the natural teeth around it; Fill a tooth cavity instead of using amalgam fillings. What to expect prep for bonding. Dental bonding is a tooth. Even better, the bonding can also help address any sensitivity issues that may be caused by the roots being exposed because of gum recession.. Bonding To Cover Exposed Roots.
From fineartamerica.com
Bonding Roots Photograph by Christy Usilton Fine Art America Bonding To Cover Exposed Roots This can help provide necessary protection to the roots and prevent cavities from forming. Dental bonding, sometimes called composite bonding or teeth bonding, is a cosmetic dentistry treatment used to enhance your smile. Fill a tooth cavity instead of using amalgam fillings. Even if you have perfect dental hygiene, you can still develop an exposed tooth root. Other treatment options,. Bonding To Cover Exposed Roots.
From www.dreamstime.com
Exposed Roots of Trees Binding the Tree with the Rocks Near the Ghaat Bonding To Cover Exposed Roots What to expect prep for bonding. Dental bonding is a tooth. To close spaces between teeth; Other treatment options, such as dental crowns and porcelain veneers, are more expensive and invasive than bonding treatment. Even better, the bonding can also help address any sensitivity issues that may be caused by the roots being exposed because of gum recession. To protect. Bonding To Cover Exposed Roots.
From www.willowtreedental.co.uk
Composite Bonding Willow Tree Dental Bonding To Cover Exposed Roots This can help provide necessary protection to the roots and prevent cavities from forming. To close spaces between teeth; One of the most traditional options for people with mild abrasion or exposure to their roots is bonding over that space. Dental bonding, sometimes called composite bonding or teeth bonding, is a cosmetic dentistry treatment used to enhance your smile. Other. Bonding To Cover Exposed Roots.
From drritadental.com
HOW BONDING CAN HELP CORRECT UNSIGHTLY AND SENSITIVE ROOT DEFECTS Dr Bonding To Cover Exposed Roots To cover a discolored tooth, match the color or shade to the natural teeth around it; Dental bonding, sometimes called composite bonding or teeth bonding, is a cosmetic dentistry treatment used to enhance your smile. To protect a tooth’s root exposed from receding gums; Other treatment options, such as dental crowns and porcelain veneers, are more expensive and invasive than. Bonding To Cover Exposed Roots.
From www.thriftyfun.com
Dealing With Exposed Tree Roots? ThriftyFun Bonding To Cover Exposed Roots Other treatment options, such as dental crowns and porcelain veneers, are more expensive and invasive than bonding treatment. Here’s how to tell if you have an exposed root and how to get it treated. Dental bonding is a tooth. To close spaces between teeth; One of the most traditional options for people with mild abrasion or exposure to their roots. Bonding To Cover Exposed Roots.
From www.dreamstime.com
Exposed Roots of Trees Binding the Tree with the Rocks Near the Ghaat Bonding To Cover Exposed Roots Other treatment options, such as dental crowns and porcelain veneers, are more expensive and invasive than bonding treatment. Bonding can alter the shape and size of teeth, making them appear more uniform and well. One of the most traditional options for people with mild abrasion or exposure to their roots is bonding over that space. Even better, the bonding can. Bonding To Cover Exposed Roots.
From themalldental.co.uk
Composite Bonding vs. Edge Bonding Unraveling the Distinctions The Bonding To Cover Exposed Roots This can help provide necessary protection to the roots and prevent cavities from forming. Fill a tooth cavity instead of using amalgam fillings. Even better, the bonding can also help address any sensitivity issues that may be caused by the roots being exposed because of gum recession. Once you and your dentist have decided teeth bonding is your best option,. Bonding To Cover Exposed Roots.
From ce.dental.ufl.edu
Management of Root Exposure Gingival Recession in the 21st Century Bonding To Cover Exposed Roots Even better, the bonding can also help address any sensitivity issues that may be caused by the roots being exposed because of gum recession. Here’s how to tell if you have an exposed root and how to get it treated. One of the most traditional options for people with mild abrasion or exposure to their roots is bonding over that. Bonding To Cover Exposed Roots.
From gumdiseaseguide.org
Bonding vs Gum Grafting Bonding To Cover Exposed Roots Even better, the bonding can also help address any sensitivity issues that may be caused by the roots being exposed because of gum recession. Bonding can alter the shape and size of teeth, making them appear more uniform and well. To cover a discolored tooth, match the color or shade to the natural teeth around it; Fill a tooth cavity. Bonding To Cover Exposed Roots.
From www.acrdentistry.com
Before and After Tooth Bonding in Alpharetta GA Bonding To Cover Exposed Roots What to expect prep for bonding. Other treatment options, such as dental crowns and porcelain veneers, are more expensive and invasive than bonding treatment. Here’s how to tell if you have an exposed root and how to get it treated. One of the most traditional options for people with mild abrasion or exposure to their roots is bonding over that. Bonding To Cover Exposed Roots.
From cosmeticdentistchicago.com
Root Surface Bonding Advanced Cosmetic Dentistry Bonding To Cover Exposed Roots Fill a tooth cavity instead of using amalgam fillings. Dental bonding is a tooth. To close spaces between teeth; Relieve pain from exposed tooth roots due to gum recession. This can help provide necessary protection to the roots and prevent cavities from forming. The bonding can also be applied to the exposed areas on the tooth’s root caused by gum. Bonding To Cover Exposed Roots.
From www.bakerstreetdental.com
Brilliant composite bonding results from £245 per tooth Bonding To Cover Exposed Roots Once you and your dentist have decided teeth bonding is your best option, the remaining prep is a breeze! Dental bonding is a tooth. Even better, the bonding can also help address any sensitivity issues that may be caused by the roots being exposed because of gum recession. The bonding can also be applied to the exposed areas on the. Bonding To Cover Exposed Roots.
From www.dreamstime.com
Exposed Roots of Trees Binding the Tree with the Rocks Near the Ghaat Bonding To Cover Exposed Roots This can help provide necessary protection to the roots and prevent cavities from forming. Once you and your dentist have decided teeth bonding is your best option, the remaining prep is a breeze! The bonding can also be applied to the exposed areas on the tooth’s root caused by gum recession. Fill a tooth cavity instead of using amalgam fillings.. Bonding To Cover Exposed Roots.
From www.pinterest.com
Exposed root surfaces can also be treated by applying bonding resin Bonding To Cover Exposed Roots Other treatment options, such as dental crowns and porcelain veneers, are more expensive and invasive than bonding treatment. Bonding can alter the shape and size of teeth, making them appear more uniform and well. Once you and your dentist have decided teeth bonding is your best option, the remaining prep is a breeze! What to expect prep for bonding. To. Bonding To Cover Exposed Roots.
From www.dreamstime.com
Exposed Roots of Trees Binding the Tree with the Rocks Near the Ghaat Bonding To Cover Exposed Roots One of the most traditional options for people with mild abrasion or exposure to their roots is bonding over that space. Once you and your dentist have decided teeth bonding is your best option, the remaining prep is a breeze! Fill a tooth cavity instead of using amalgam fillings. Dental bonding is a tooth. Dental bonding, sometimes called composite bonding. Bonding To Cover Exposed Roots.
From alamoimplantcenter.com
Exposed tooth roots The “root” of tooth sensitivity in aging Alamo Bonding To Cover Exposed Roots The bonding can also be applied to the exposed areas on the tooth’s root caused by gum recession. To cover a discolored tooth, match the color or shade to the natural teeth around it; Once you and your dentist have decided teeth bonding is your best option, the remaining prep is a breeze! Other treatment options, such as dental crowns. Bonding To Cover Exposed Roots.
From www.acrdentistry.com
Before and After Tooth Bonding in Alpharetta GA Bonding To Cover Exposed Roots To protect a tooth’s root exposed from receding gums; To cover a discolored tooth, match the color or shade to the natural teeth around it; Dental bonding, sometimes called composite bonding or teeth bonding, is a cosmetic dentistry treatment used to enhance your smile. Relieve pain from exposed tooth roots due to gum recession. Fill a tooth cavity instead of. Bonding To Cover Exposed Roots.
From www.grs.ie
Gravel Bonding Resin 5kg Glassfibre and Resin Supplies Ltd Bonding To Cover Exposed Roots To close spaces between teeth; Dental bonding, sometimes called composite bonding or teeth bonding, is a cosmetic dentistry treatment used to enhance your smile. This can help provide necessary protection to the roots and prevent cavities from forming. The bonding can also be applied to the exposed areas on the tooth’s root caused by gum recession. Bonding can alter the. Bonding To Cover Exposed Roots.
From alamoimplantcenter.com
Exposed tooth roots The “root” of tooth sensitivity in aging Alamo Bonding To Cover Exposed Roots Even better, the bonding can also help address any sensitivity issues that may be caused by the roots being exposed because of gum recession. What to expect prep for bonding. To close spaces between teeth; Relieve pain from exposed tooth roots due to gum recession. To cover a discolored tooth, match the color or shade to the natural teeth around. Bonding To Cover Exposed Roots.
From www.youtube.com
Exposed Tooth Root Dentist Pasadena Texas YouTube Bonding To Cover Exposed Roots Other treatment options, such as dental crowns and porcelain veneers, are more expensive and invasive than bonding treatment. Fill a tooth cavity instead of using amalgam fillings. One of the most traditional options for people with mild abrasion or exposure to their roots is bonding over that space. Once you and your dentist have decided teeth bonding is your best. Bonding To Cover Exposed Roots.
From exycraoda.blob.core.windows.net
Composite Bonding Decking at Fletcher Lopez blog Bonding To Cover Exposed Roots Once you and your dentist have decided teeth bonding is your best option, the remaining prep is a breeze! Fill a tooth cavity instead of using amalgam fillings. One of the most traditional options for people with mild abrasion or exposure to their roots is bonding over that space. Bonding can alter the shape and size of teeth, making them. Bonding To Cover Exposed Roots.
From www.researchgate.net
(PDF) Bonding to root canal Structural characteristics of the substrate Bonding To Cover Exposed Roots Even if you have perfect dental hygiene, you can still develop an exposed tooth root. The bonding can also be applied to the exposed areas on the tooth’s root caused by gum recession. This can help provide necessary protection to the roots and prevent cavities from forming. Here’s how to tell if you have an exposed root and how to. Bonding To Cover Exposed Roots.
From www.clarencetam.co.nz
Root exposure and coverage with composite Bonding To Cover Exposed Roots Fill a tooth cavity instead of using amalgam fillings. To close spaces between teeth; Here’s how to tell if you have an exposed root and how to get it treated. The bonding can also be applied to the exposed areas on the tooth’s root caused by gum recession. Even if you have perfect dental hygiene, you can still develop an. Bonding To Cover Exposed Roots.
From www.slideserve.com
PPT What You Need To Know About Cosmetic Bonding Teeth PowerPoint Bonding To Cover Exposed Roots To cover a discolored tooth, match the color or shade to the natural teeth around it; Even if you have perfect dental hygiene, you can still develop an exposed tooth root. This can help provide necessary protection to the roots and prevent cavities from forming. Dental bonding, sometimes called composite bonding or teeth bonding, is a cosmetic dentistry treatment used. Bonding To Cover Exposed Roots.
From dentagama.com
Exposed tooth root What may I expect now News Dentagama Bonding To Cover Exposed Roots Fill a tooth cavity instead of using amalgam fillings. What to expect prep for bonding. Dental bonding is a tooth. To protect a tooth’s root exposed from receding gums; Even if you have perfect dental hygiene, you can still develop an exposed tooth root. Once you and your dentist have decided teeth bonding is your best option, the remaining prep. Bonding To Cover Exposed Roots.