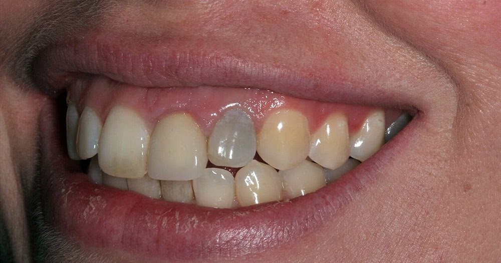
Why Are The Bottom Of My Teeth Turning Clear . There are a few treatment options. Other signs of dental erosion include: transparent teeth are a sign of tooth enamel erosion and can be caused by a few things. Transparency along the biting edges; when enamel is damaged, teeth can look transparent or translucent. As your enamel wears away, your teeth are also more susceptible to decay. But when this translucency begins to spread, it’s never a good sign. Since enamel protects your teeth, a lack of healthy minerals or enamel hypoplasia can worsen your risk for tooth decay. why are the bottoms of my teeth clear? although teeth should be opaque, some people may notice the edges of their teeth are translucent. Many people have this, and it’s usually nothing to worry about. some clues to look for are increasing tooth sensitivity, teeth changing color (becoming darker or translucent), or changing texture. Sensitivity to hot, cold, or sweet foods and drinks; Whether your teeth have always been. Loss of tooth surface leading to a smooth or shiny apperance;
from www.thetoothdoctors.org
transparent teeth are a sign of tooth enamel erosion and can be caused by a few things. Other signs of dental erosion include: Since enamel protects your teeth, a lack of healthy minerals or enamel hypoplasia can worsen your risk for tooth decay. when enamel is damaged, teeth can look transparent or translucent. As your enamel wears away, your teeth are also more susceptible to decay. Transparency along the biting edges; There are a few treatment options. Whether your teeth have always been. why are the bottoms of my teeth clear? Sensitivity to hot, cold, or sweet foods and drinks;
Tooth Fracture/Cracked Tooth Causes, Diagnosis and Treatments
Why Are The Bottom Of My Teeth Turning Clear Whether your teeth have always been. Since enamel protects your teeth, a lack of healthy minerals or enamel hypoplasia can worsen your risk for tooth decay. Transparency along the biting edges; Other signs of dental erosion include: why are the bottoms of my teeth clear? some clues to look for are increasing tooth sensitivity, teeth changing color (becoming darker or translucent), or changing texture. There are a few treatment options. As your enamel wears away, your teeth are also more susceptible to decay. Sensitivity to hot, cold, or sweet foods and drinks; transparent teeth are a sign of tooth enamel erosion and can be caused by a few things. Whether your teeth have always been. Many people have this, and it’s usually nothing to worry about. But when this translucency begins to spread, it’s never a good sign. when enamel is damaged, teeth can look transparent or translucent. although teeth should be opaque, some people may notice the edges of their teeth are translucent. Loss of tooth surface leading to a smooth or shiny apperance;
From bracesfresno.com
TeleOrthodontic Smile Assessments Clarity Orthodontics Why Are The Bottom Of My Teeth Turning Clear There are a few treatment options. As your enamel wears away, your teeth are also more susceptible to decay. Whether your teeth have always been. Sensitivity to hot, cold, or sweet foods and drinks; transparent teeth are a sign of tooth enamel erosion and can be caused by a few things. But when this translucency begins to spread, it’s. Why Are The Bottom Of My Teeth Turning Clear.
From www.emergencydentistsusa.com
Clear Teeth Causes and Treatments Why Are The Bottom Of My Teeth Turning Clear Other signs of dental erosion include: Whether your teeth have always been. transparent teeth are a sign of tooth enamel erosion and can be caused by a few things. Many people have this, and it’s usually nothing to worry about. Sensitivity to hot, cold, or sweet foods and drinks; Since enamel protects your teeth, a lack of healthy minerals. Why Are The Bottom Of My Teeth Turning Clear.
From www.pediatricdentistsf.dentist
FAQ Are the stains on my child's teeth cavities? — Discovery Why Are The Bottom Of My Teeth Turning Clear There are a few treatment options. some clues to look for are increasing tooth sensitivity, teeth changing color (becoming darker or translucent), or changing texture. Other signs of dental erosion include: Transparency along the biting edges; Whether your teeth have always been. although teeth should be opaque, some people may notice the edges of their teeth are translucent.. Why Are The Bottom Of My Teeth Turning Clear.
From www.dentalsreview.com
Why Teeth Tips Turn Clear Causes and Solutions DentalsReview Why Are The Bottom Of My Teeth Turning Clear Other signs of dental erosion include: why are the bottoms of my teeth clear? transparent teeth are a sign of tooth enamel erosion and can be caused by a few things. As your enamel wears away, your teeth are also more susceptible to decay. Transparency along the biting edges; But when this translucency begins to spread, it’s never. Why Are The Bottom Of My Teeth Turning Clear.
From t-tees.com
Why Are The Bottom Of My Teeth Clear TTees Your Answers Await Why Are The Bottom Of My Teeth Turning Clear when enamel is damaged, teeth can look transparent or translucent. Transparency along the biting edges; Other signs of dental erosion include: Sensitivity to hot, cold, or sweet foods and drinks; But when this translucency begins to spread, it’s never a good sign. There are a few treatment options. Whether your teeth have always been. Many people have this, and. Why Are The Bottom Of My Teeth Turning Clear.
From myinvisajourney.blogspot.com
My Invisalign Journey to my Invisalign blog! Why Are The Bottom Of My Teeth Turning Clear As your enamel wears away, your teeth are also more susceptible to decay. Loss of tooth surface leading to a smooth or shiny apperance; Many people have this, and it’s usually nothing to worry about. But when this translucency begins to spread, it’s never a good sign. why are the bottoms of my teeth clear? although teeth should. Why Are The Bottom Of My Teeth Turning Clear.
From dentagama.com
The 5 Stages of Tooth Decay News Dentagama Why Are The Bottom Of My Teeth Turning Clear transparent teeth are a sign of tooth enamel erosion and can be caused by a few things. when enamel is damaged, teeth can look transparent or translucent. Many people have this, and it’s usually nothing to worry about. There are a few treatment options. why are the bottoms of my teeth clear? But when this translucency begins. Why Are The Bottom Of My Teeth Turning Clear.
From www.parrockdental.co.uk
Crooked & Crowded Bottom Teeth Bottom Braces Before & After Why Are The Bottom Of My Teeth Turning Clear transparent teeth are a sign of tooth enamel erosion and can be caused by a few things. Loss of tooth surface leading to a smooth or shiny apperance; Since enamel protects your teeth, a lack of healthy minerals or enamel hypoplasia can worsen your risk for tooth decay. But when this translucency begins to spread, it’s never a good. Why Are The Bottom Of My Teeth Turning Clear.
From www.balsallcommondental.com
What to Do About White Spots On Your Teeth Balsall Common Dental Why Are The Bottom Of My Teeth Turning Clear Whether your teeth have always been. transparent teeth are a sign of tooth enamel erosion and can be caused by a few things. some clues to look for are increasing tooth sensitivity, teeth changing color (becoming darker or translucent), or changing texture. Other signs of dental erosion include: when enamel is damaged, teeth can look transparent or. Why Are The Bottom Of My Teeth Turning Clear.
From www.oralanswers.com
What are Tartar and Calculus? Oral Answers Why Are The Bottom Of My Teeth Turning Clear some clues to look for are increasing tooth sensitivity, teeth changing color (becoming darker or translucent), or changing texture. Sensitivity to hot, cold, or sweet foods and drinks; Other signs of dental erosion include: Transparency along the biting edges; Many people have this, and it’s usually nothing to worry about. Loss of tooth surface leading to a smooth or. Why Are The Bottom Of My Teeth Turning Clear.
From smilecredentials.com
Why Are The Tips Of My Teeth Clear? Smile Credentials Why Are The Bottom Of My Teeth Turning Clear although teeth should be opaque, some people may notice the edges of their teeth are translucent. Sensitivity to hot, cold, or sweet foods and drinks; Loss of tooth surface leading to a smooth or shiny apperance; But when this translucency begins to spread, it’s never a good sign. As your enamel wears away, your teeth are also more susceptible. Why Are The Bottom Of My Teeth Turning Clear.
From springorchid.com.au
Grey Teeth Causes, Treatment & Prevention in Bassendean Why Are The Bottom Of My Teeth Turning Clear Whether your teeth have always been. why are the bottoms of my teeth clear? transparent teeth are a sign of tooth enamel erosion and can be caused by a few things. But when this translucency begins to spread, it’s never a good sign. when enamel is damaged, teeth can look transparent or translucent. some clues to. Why Are The Bottom Of My Teeth Turning Clear.
From www.reddit.com
Why are my teeth turning transparent and how can I stop it? Dentistry Why Are The Bottom Of My Teeth Turning Clear Since enamel protects your teeth, a lack of healthy minerals or enamel hypoplasia can worsen your risk for tooth decay. although teeth should be opaque, some people may notice the edges of their teeth are translucent. Sensitivity to hot, cold, or sweet foods and drinks; when enamel is damaged, teeth can look transparent or translucent. There are a. Why Are The Bottom Of My Teeth Turning Clear.
From www.thetoothdoctors.org
Tooth Fracture/Cracked Tooth Causes, Diagnosis and Treatments Why Are The Bottom Of My Teeth Turning Clear transparent teeth are a sign of tooth enamel erosion and can be caused by a few things. But when this translucency begins to spread, it’s never a good sign. Since enamel protects your teeth, a lack of healthy minerals or enamel hypoplasia can worsen your risk for tooth decay. Other signs of dental erosion include: As your enamel wears. Why Are The Bottom Of My Teeth Turning Clear.
From dentagama.com
Everything you should know about translucent teeth News Dentagama Why Are The Bottom Of My Teeth Turning Clear Many people have this, and it’s usually nothing to worry about. Loss of tooth surface leading to a smooth or shiny apperance; But when this translucency begins to spread, it’s never a good sign. There are a few treatment options. when enamel is damaged, teeth can look transparent or translucent. Other signs of dental erosion include: why are. Why Are The Bottom Of My Teeth Turning Clear.
From www.cdhp.org
Why Are My Teeth A Little See Through? (Understanding Tooth Transparency) Why Are The Bottom Of My Teeth Turning Clear why are the bottoms of my teeth clear? Other signs of dental erosion include: There are a few treatment options. Since enamel protects your teeth, a lack of healthy minerals or enamel hypoplasia can worsen your risk for tooth decay. transparent teeth are a sign of tooth enamel erosion and can be caused by a few things. . Why Are The Bottom Of My Teeth Turning Clear.
From www.newleafrp.com
Why Are My Teeth Transparent • New Leaf Rohnert Park Why Are The Bottom Of My Teeth Turning Clear transparent teeth are a sign of tooth enamel erosion and can be caused by a few things. some clues to look for are increasing tooth sensitivity, teeth changing color (becoming darker or translucent), or changing texture. But when this translucency begins to spread, it’s never a good sign. Loss of tooth surface leading to a smooth or shiny. Why Are The Bottom Of My Teeth Turning Clear.
From northsidedental.com
Northside Dental Clinic Why Is My Tooth Gray? Northside Dental Why Are The Bottom Of My Teeth Turning Clear when enamel is damaged, teeth can look transparent or translucent. As your enamel wears away, your teeth are also more susceptible to decay. There are a few treatment options. But when this translucency begins to spread, it’s never a good sign. Since enamel protects your teeth, a lack of healthy minerals or enamel hypoplasia can worsen your risk for. Why Are The Bottom Of My Teeth Turning Clear.
From drmiski.com
CAUSES OF WHITE SPOTS ON YOUR TEETH? Dr. Miski Why Are The Bottom Of My Teeth Turning Clear Since enamel protects your teeth, a lack of healthy minerals or enamel hypoplasia can worsen your risk for tooth decay. Many people have this, and it’s usually nothing to worry about. Loss of tooth surface leading to a smooth or shiny apperance; although teeth should be opaque, some people may notice the edges of their teeth are translucent. . Why Are The Bottom Of My Teeth Turning Clear.
From www.doshidentalcare.com
All you need to know about stains Doshi Dental Care & FacioMaxillary Why Are The Bottom Of My Teeth Turning Clear some clues to look for are increasing tooth sensitivity, teeth changing color (becoming darker or translucent), or changing texture. when enamel is damaged, teeth can look transparent or translucent. Whether your teeth have always been. As your enamel wears away, your teeth are also more susceptible to decay. Transparency along the biting edges; Loss of tooth surface leading. Why Are The Bottom Of My Teeth Turning Clear.
From teethinsights.com
Why Are My Teeth Transparent at the Bottom? Teeth Insights Why Are The Bottom Of My Teeth Turning Clear although teeth should be opaque, some people may notice the edges of their teeth are translucent. Whether your teeth have always been. As your enamel wears away, your teeth are also more susceptible to decay. Sensitivity to hot, cold, or sweet foods and drinks; why are the bottoms of my teeth clear? transparent teeth are a sign. Why Are The Bottom Of My Teeth Turning Clear.
From www.reddit.com
Why are my teeth translucent and have this little irregular Waves? r Why Are The Bottom Of My Teeth Turning Clear Other signs of dental erosion include: But when this translucency begins to spread, it’s never a good sign. There are a few treatment options. although teeth should be opaque, some people may notice the edges of their teeth are translucent. Sensitivity to hot, cold, or sweet foods and drinks; Transparency along the biting edges; when enamel is damaged,. Why Are The Bottom Of My Teeth Turning Clear.
From www.directorioodontologico.info
Why Is My Tooth Turning Gray? Directorio Odontológico Why Are The Bottom Of My Teeth Turning Clear Many people have this, and it’s usually nothing to worry about. Since enamel protects your teeth, a lack of healthy minerals or enamel hypoplasia can worsen your risk for tooth decay. Transparency along the biting edges; But when this translucency begins to spread, it’s never a good sign. when enamel is damaged, teeth can look transparent or translucent. Sensitivity. Why Are The Bottom Of My Teeth Turning Clear.
From cvillebraces.com
Virtual Smile Consult Hamer & Glassick Orthodontics Charlottesville Why Are The Bottom Of My Teeth Turning Clear Sensitivity to hot, cold, or sweet foods and drinks; Whether your teeth have always been. when enamel is damaged, teeth can look transparent or translucent. But when this translucency begins to spread, it’s never a good sign. although teeth should be opaque, some people may notice the edges of their teeth are translucent. Loss of tooth surface leading. Why Are The Bottom Of My Teeth Turning Clear.
From huntingtonbaydental.com
Why Can I See Through My Teeth? Translucent Teeth Why Are The Bottom Of My Teeth Turning Clear Sensitivity to hot, cold, or sweet foods and drinks; Transparency along the biting edges; There are a few treatment options. As your enamel wears away, your teeth are also more susceptible to decay. Loss of tooth surface leading to a smooth or shiny apperance; Other signs of dental erosion include: Many people have this, and it’s usually nothing to worry. Why Are The Bottom Of My Teeth Turning Clear.
From smilecredentials.com
Why Are The Tips Of My Teeth Clear? Smile Credentials Why Are The Bottom Of My Teeth Turning Clear Sensitivity to hot, cold, or sweet foods and drinks; although teeth should be opaque, some people may notice the edges of their teeth are translucent. As your enamel wears away, your teeth are also more susceptible to decay. There are a few treatment options. why are the bottoms of my teeth clear? Whether your teeth have always been.. Why Are The Bottom Of My Teeth Turning Clear.
From parrockdental.co.uk
Crooked & Crowded Bottom Teeth Bottom Braces Before & After Why Are The Bottom Of My Teeth Turning Clear although teeth should be opaque, some people may notice the edges of their teeth are translucent. Whether your teeth have always been. But when this translucency begins to spread, it’s never a good sign. some clues to look for are increasing tooth sensitivity, teeth changing color (becoming darker or translucent), or changing texture. There are a few treatment. Why Are The Bottom Of My Teeth Turning Clear.
From www.reddit.com
Clear teeth and how to fix? r/DentalHygiene Why Are The Bottom Of My Teeth Turning Clear Many people have this, and it’s usually nothing to worry about. As your enamel wears away, your teeth are also more susceptible to decay. Other signs of dental erosion include: Transparency along the biting edges; when enamel is damaged, teeth can look transparent or translucent. why are the bottoms of my teeth clear? Sensitivity to hot, cold, or. Why Are The Bottom Of My Teeth Turning Clear.
From www.timberlakedental.com
White Spots on Your Teeth? Here’s What You Need to Know! Why Are The Bottom Of My Teeth Turning Clear some clues to look for are increasing tooth sensitivity, teeth changing color (becoming darker or translucent), or changing texture. Whether your teeth have always been. As your enamel wears away, your teeth are also more susceptible to decay. Since enamel protects your teeth, a lack of healthy minerals or enamel hypoplasia can worsen your risk for tooth decay. Sensitivity. Why Are The Bottom Of My Teeth Turning Clear.
From greenlivingzone.com
How To Fix Translucent Teeth Naturally Green Living Zone Why Are The Bottom Of My Teeth Turning Clear Since enamel protects your teeth, a lack of healthy minerals or enamel hypoplasia can worsen your risk for tooth decay. why are the bottoms of my teeth clear? when enamel is damaged, teeth can look transparent or translucent. But when this translucency begins to spread, it’s never a good sign. transparent teeth are a sign of tooth. Why Are The Bottom Of My Teeth Turning Clear.
From www.bashdental.com
Doylestown Teeth Reshaping Bash Dental Why Are The Bottom Of My Teeth Turning Clear why are the bottoms of my teeth clear? Whether your teeth have always been. when enamel is damaged, teeth can look transparent or translucent. Loss of tooth surface leading to a smooth or shiny apperance; transparent teeth are a sign of tooth enamel erosion and can be caused by a few things. Many people have this, and. Why Are The Bottom Of My Teeth Turning Clear.
From springorchid.com.au
Are Teeth Transparent? Enamel Loss Warning Signs & Prevent Why Are The Bottom Of My Teeth Turning Clear Many people have this, and it’s usually nothing to worry about. Loss of tooth surface leading to a smooth or shiny apperance; There are a few treatment options. some clues to look for are increasing tooth sensitivity, teeth changing color (becoming darker or translucent), or changing texture. Since enamel protects your teeth, a lack of healthy minerals or enamel. Why Are The Bottom Of My Teeth Turning Clear.
From www.bitbitbyte.com
Everything You Need To Know About Broken Tooth Repair bitbitbyte Why Are The Bottom Of My Teeth Turning Clear There are a few treatment options. when enamel is damaged, teeth can look transparent or translucent. Loss of tooth surface leading to a smooth or shiny apperance; why are the bottoms of my teeth clear? Sensitivity to hot, cold, or sweet foods and drinks; transparent teeth are a sign of tooth enamel erosion and can be caused. Why Are The Bottom Of My Teeth Turning Clear.
From www.dentalclinic-knet.com
CLEANING INSIDE A TOOTH Dental Clinic Why Are The Bottom Of My Teeth Turning Clear Loss of tooth surface leading to a smooth or shiny apperance; Transparency along the biting edges; although teeth should be opaque, some people may notice the edges of their teeth are translucent. As your enamel wears away, your teeth are also more susceptible to decay. Whether your teeth have always been. transparent teeth are a sign of tooth. Why Are The Bottom Of My Teeth Turning Clear.
From www.northboroughmadentist.com
Why Do My Teeth Look Translucent? Northborough, MA Dentist Why Are The Bottom Of My Teeth Turning Clear some clues to look for are increasing tooth sensitivity, teeth changing color (becoming darker or translucent), or changing texture. although teeth should be opaque, some people may notice the edges of their teeth are translucent. Other signs of dental erosion include: when enamel is damaged, teeth can look transparent or translucent. Transparency along the biting edges; Loss. Why Are The Bottom Of My Teeth Turning Clear.