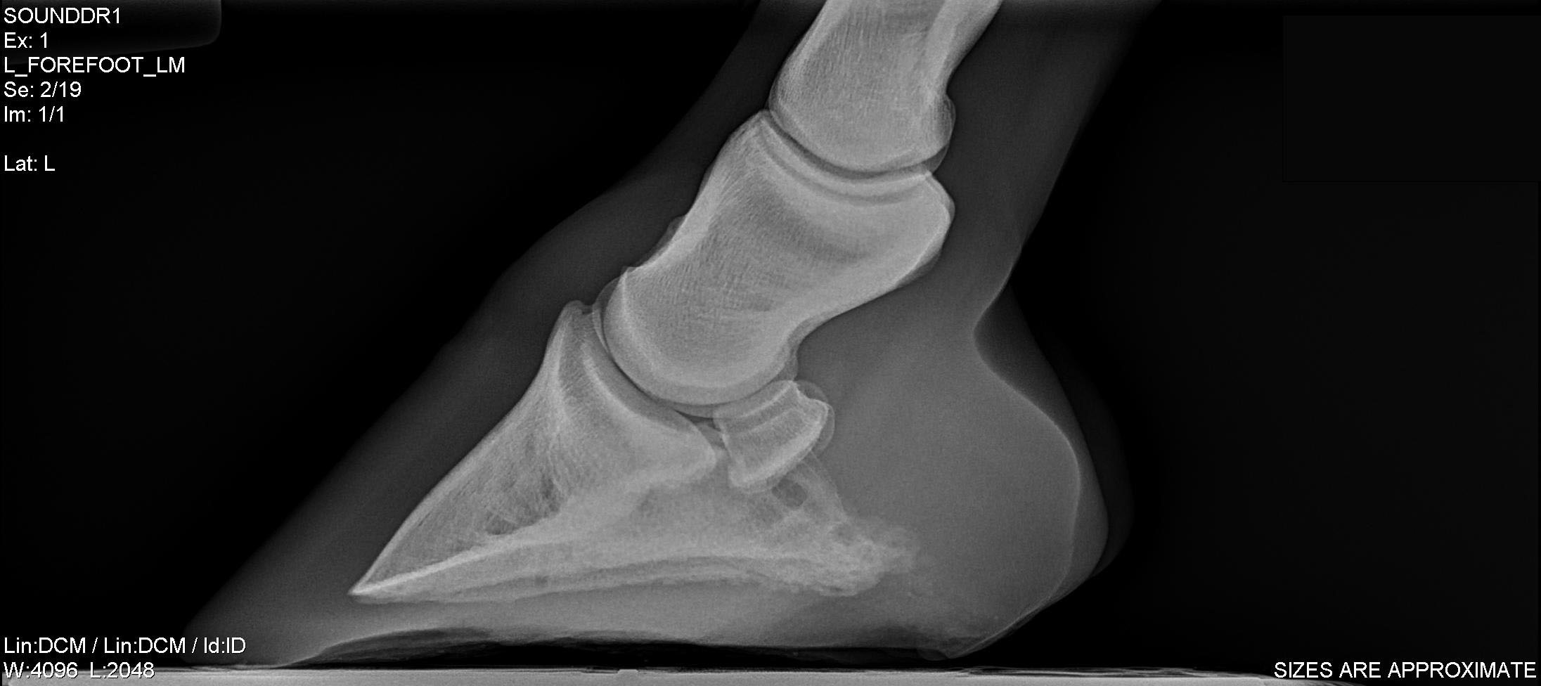
Equine Foot Radiographs Views . much has been written about specific views for imaging the equine foot. the following radiographs are the lateral, dorsopalmar, sixty degree dorsoplamar (60 dp) and sixty degree dorsopalmar. Almost without exception, the primary. radiographic examination of the equine foot can provide the veterinarian and farrier with a wealth of. indications to radiographic the foot include lameness that localized to the region, farriery, regions wounds/lacerations,. there are two main views that are most helpful to the hoof care provider: current radiographic techniques applied to the equine foot allow more accurate diagnoses and reduce radiation exposure.
from www.semanticscholar.org
much has been written about specific views for imaging the equine foot. there are two main views that are most helpful to the hoof care provider: current radiographic techniques applied to the equine foot allow more accurate diagnoses and reduce radiation exposure. Almost without exception, the primary. indications to radiographic the foot include lameness that localized to the region, farriery, regions wounds/lacerations,. the following radiographs are the lateral, dorsopalmar, sixty degree dorsoplamar (60 dp) and sixty degree dorsopalmar. radiographic examination of the equine foot can provide the veterinarian and farrier with a wealth of.
[PDF] Navicular syndrome in equine patients anatomy, causes, and
Equine Foot Radiographs Views much has been written about specific views for imaging the equine foot. Almost without exception, the primary. radiographic examination of the equine foot can provide the veterinarian and farrier with a wealth of. the following radiographs are the lateral, dorsopalmar, sixty degree dorsoplamar (60 dp) and sixty degree dorsopalmar. much has been written about specific views for imaging the equine foot. indications to radiographic the foot include lameness that localized to the region, farriery, regions wounds/lacerations,. there are two main views that are most helpful to the hoof care provider: current radiographic techniques applied to the equine foot allow more accurate diagnoses and reduce radiation exposure.
From horsesidevetguide.com
Radiography, Xray, Foot Horse Side Vet Guide Equine Foot Radiographs Views Almost without exception, the primary. there are two main views that are most helpful to the hoof care provider: current radiographic techniques applied to the equine foot allow more accurate diagnoses and reduce radiation exposure. radiographic examination of the equine foot can provide the veterinarian and farrier with a wealth of. indications to radiographic the foot. Equine Foot Radiographs Views.
From www.horseandrideruk.com
Sidebone Horse Health Horse&Rider Equine Foot Radiographs Views there are two main views that are most helpful to the hoof care provider: current radiographic techniques applied to the equine foot allow more accurate diagnoses and reduce radiation exposure. indications to radiographic the foot include lameness that localized to the region, farriery, regions wounds/lacerations,. radiographic examination of the equine foot can provide the veterinarian and. Equine Foot Radiographs Views.
From www.americanfarriers.com
8 Steps for Accurate Horse Hoof Radiographs Equine Foot Radiographs Views much has been written about specific views for imaging the equine foot. Almost without exception, the primary. indications to radiographic the foot include lameness that localized to the region, farriery, regions wounds/lacerations,. current radiographic techniques applied to the equine foot allow more accurate diagnoses and reduce radiation exposure. radiographic examination of the equine foot can provide. Equine Foot Radiographs Views.
From michaelporterdvm.blogspot.com
Michael Porter, Equine Veterinarian Recurrent Foot Abscess Equine Foot Radiographs Views indications to radiographic the foot include lameness that localized to the region, farriery, regions wounds/lacerations,. much has been written about specific views for imaging the equine foot. the following radiographs are the lateral, dorsopalmar, sixty degree dorsoplamar (60 dp) and sixty degree dorsopalmar. current radiographic techniques applied to the equine foot allow more accurate diagnoses and. Equine Foot Radiographs Views.
From ar.inspiredpencil.com
Horse Xrays Equine Foot Radiographs Views current radiographic techniques applied to the equine foot allow more accurate diagnoses and reduce radiation exposure. much has been written about specific views for imaging the equine foot. radiographic examination of the equine foot can provide the veterinarian and farrier with a wealth of. there are two main views that are most helpful to the hoof. Equine Foot Radiographs Views.
From michaelporterdvm.blogspot.com
Michael Porter, Equine Veterinarian Severe Navicular Disease in a Horse Equine Foot Radiographs Views current radiographic techniques applied to the equine foot allow more accurate diagnoses and reduce radiation exposure. Almost without exception, the primary. there are two main views that are most helpful to the hoof care provider: indications to radiographic the foot include lameness that localized to the region, farriery, regions wounds/lacerations,. radiographic examination of the equine foot. Equine Foot Radiographs Views.
From animalimaging.net
Equine Radiographs Animal Imaging in Irving TX Equine Foot Radiographs Views radiographic examination of the equine foot can provide the veterinarian and farrier with a wealth of. current radiographic techniques applied to the equine foot allow more accurate diagnoses and reduce radiation exposure. the following radiographs are the lateral, dorsopalmar, sixty degree dorsoplamar (60 dp) and sixty degree dorsopalmar. much has been written about specific views for. Equine Foot Radiographs Views.
From innovativeequinepodiatry.blogspot.com
Innovative Equine Podiatry Radiographic parameters measurement guide Equine Foot Radiographs Views Almost without exception, the primary. there are two main views that are most helpful to the hoof care provider: the following radiographs are the lateral, dorsopalmar, sixty degree dorsoplamar (60 dp) and sixty degree dorsopalmar. indications to radiographic the foot include lameness that localized to the region, farriery, regions wounds/lacerations,. radiographic examination of the equine foot. Equine Foot Radiographs Views.
From horsesidevetguide.com
Database Record Viewer Horse Side Vet Guide Equine Foot Radiographs Views much has been written about specific views for imaging the equine foot. radiographic examination of the equine foot can provide the veterinarian and farrier with a wealth of. indications to radiographic the foot include lameness that localized to the region, farriery, regions wounds/lacerations,. there are two main views that are most helpful to the hoof care. Equine Foot Radiographs Views.
From www.besthorserider.com
View Of A Normal Horse Foot Radiograph Versus Navicular Best Horse Rider Equine Foot Radiographs Views radiographic examination of the equine foot can provide the veterinarian and farrier with a wealth of. there are two main views that are most helpful to the hoof care provider: the following radiographs are the lateral, dorsopalmar, sixty degree dorsoplamar (60 dp) and sixty degree dorsopalmar. indications to radiographic the foot include lameness that localized to. Equine Foot Radiographs Views.
From springhillequine.com
Hoof Radiographs Springhill Equine Veterinary Clinic Equine Foot Radiographs Views much has been written about specific views for imaging the equine foot. the following radiographs are the lateral, dorsopalmar, sixty degree dorsoplamar (60 dp) and sixty degree dorsopalmar. indications to radiographic the foot include lameness that localized to the region, farriery, regions wounds/lacerations,. radiographic examination of the equine foot can provide the veterinarian and farrier with. Equine Foot Radiographs Views.
From www.irongateequine.com
Everything You Need to Know About Laminitis — Irongate Equine Clinic Equine Foot Radiographs Views radiographic examination of the equine foot can provide the veterinarian and farrier with a wealth of. Almost without exception, the primary. much has been written about specific views for imaging the equine foot. current radiographic techniques applied to the equine foot allow more accurate diagnoses and reduce radiation exposure. there are two main views that are. Equine Foot Radiographs Views.
From deloeste.vet
Diagnostic Imaging Del Oeste Equine Hospital Eugene, OR Equine Foot Radiographs Views indications to radiographic the foot include lameness that localized to the region, farriery, regions wounds/lacerations,. the following radiographs are the lateral, dorsopalmar, sixty degree dorsoplamar (60 dp) and sixty degree dorsopalmar. much has been written about specific views for imaging the equine foot. Almost without exception, the primary. current radiographic techniques applied to the equine foot. Equine Foot Radiographs Views.
From www.semanticscholar.org
[PDF] Navicular syndrome in equine patients anatomy, causes, and Equine Foot Radiographs Views Almost without exception, the primary. indications to radiographic the foot include lameness that localized to the region, farriery, regions wounds/lacerations,. there are two main views that are most helpful to the hoof care provider: current radiographic techniques applied to the equine foot allow more accurate diagnoses and reduce radiation exposure. much has been written about specific. Equine Foot Radiographs Views.
From irisheva.ie
Professional Development Irish Equine Veterinary Association Equine Foot Radiographs Views indications to radiographic the foot include lameness that localized to the region, farriery, regions wounds/lacerations,. radiographic examination of the equine foot can provide the veterinarian and farrier with a wealth of. Almost without exception, the primary. current radiographic techniques applied to the equine foot allow more accurate diagnoses and reduce radiation exposure. much has been written. Equine Foot Radiographs Views.
From blog.easycareinc.com
Hoof Radiographs They Give You XRay Vision Part One EasyCare Hoof Equine Foot Radiographs Views there are two main views that are most helpful to the hoof care provider: Almost without exception, the primary. radiographic examination of the equine foot can provide the veterinarian and farrier with a wealth of. indications to radiographic the foot include lameness that localized to the region, farriery, regions wounds/lacerations,. much has been written about specific. Equine Foot Radiographs Views.
From fourmaresnomoney.blogspot.com
Four Mares. No Money. Radiographs Equine Foot Radiographs Views current radiographic techniques applied to the equine foot allow more accurate diagnoses and reduce radiation exposure. radiographic examination of the equine foot can provide the veterinarian and farrier with a wealth of. there are two main views that are most helpful to the hoof care provider: Almost without exception, the primary. the following radiographs are the. Equine Foot Radiographs Views.
From equinevetsurgery.com
Radiographic anatomy Equine Vet Surgery Equine Foot Radiographs Views radiographic examination of the equine foot can provide the veterinarian and farrier with a wealth of. the following radiographs are the lateral, dorsopalmar, sixty degree dorsoplamar (60 dp) and sixty degree dorsopalmar. there are two main views that are most helpful to the hoof care provider: indications to radiographic the foot include lameness that localized to. Equine Foot Radiographs Views.
From equimanagement.com
Tips and Tricks to Acquiring Great Equine Foot Radiographs EquiManagement Equine Foot Radiographs Views current radiographic techniques applied to the equine foot allow more accurate diagnoses and reduce radiation exposure. Almost without exception, the primary. radiographic examination of the equine foot can provide the veterinarian and farrier with a wealth of. the following radiographs are the lateral, dorsopalmar, sixty degree dorsoplamar (60 dp) and sixty degree dorsopalmar. much has been. Equine Foot Radiographs Views.
From horsesidevetguide.com
Navicular Syndrome 19 Rad Skyline View Looking Down on Heels Horse Equine Foot Radiographs Views indications to radiographic the foot include lameness that localized to the region, farriery, regions wounds/lacerations,. there are two main views that are most helpful to the hoof care provider: much has been written about specific views for imaging the equine foot. the following radiographs are the lateral, dorsopalmar, sixty degree dorsoplamar (60 dp) and sixty degree. Equine Foot Radiographs Views.
From horsesidevetguide.com
Database Record Viewer Horse Side Vet Guide Equine Foot Radiographs Views there are two main views that are most helpful to the hoof care provider: indications to radiographic the foot include lameness that localized to the region, farriery, regions wounds/lacerations,. radiographic examination of the equine foot can provide the veterinarian and farrier with a wealth of. the following radiographs are the lateral, dorsopalmar, sixty degree dorsoplamar (60. Equine Foot Radiographs Views.
From equimanagement.com
Tips and Tricks to Acquiring Great Equine Foot Radiographs EquiManagement Equine Foot Radiographs Views current radiographic techniques applied to the equine foot allow more accurate diagnoses and reduce radiation exposure. indications to radiographic the foot include lameness that localized to the region, farriery, regions wounds/lacerations,. the following radiographs are the lateral, dorsopalmar, sixty degree dorsoplamar (60 dp) and sixty degree dorsopalmar. Almost without exception, the primary. radiographic examination of the. Equine Foot Radiographs Views.
From horsesidevetguide.com
Radiography, Xray, Fetlock or Pastern Horse Side Vet Guide Equine Foot Radiographs Views much has been written about specific views for imaging the equine foot. radiographic examination of the equine foot can provide the veterinarian and farrier with a wealth of. indications to radiographic the foot include lameness that localized to the region, farriery, regions wounds/lacerations,. current radiographic techniques applied to the equine foot allow more accurate diagnoses and. Equine Foot Radiographs Views.
From enlightenedequine.com
Hoof Angles Part 3 — Enlightened Equine Equine Foot Radiographs Views the following radiographs are the lateral, dorsopalmar, sixty degree dorsoplamar (60 dp) and sixty degree dorsopalmar. there are two main views that are most helpful to the hoof care provider: radiographic examination of the equine foot can provide the veterinarian and farrier with a wealth of. much has been written about specific views for imaging the. Equine Foot Radiographs Views.
From www.yourhorse.co.uk
Navicular Syndrome Your Horse Magazine Equine Foot Radiographs Views indications to radiographic the foot include lameness that localized to the region, farriery, regions wounds/lacerations,. much has been written about specific views for imaging the equine foot. the following radiographs are the lateral, dorsopalmar, sixty degree dorsoplamar (60 dp) and sixty degree dorsopalmar. there are two main views that are most helpful to the hoof care. Equine Foot Radiographs Views.
From michaelporterdvm.blogspot.com
Michael Porter, Equine Veterinarian Recurrent Foot Abscess Equine Foot Radiographs Views radiographic examination of the equine foot can provide the veterinarian and farrier with a wealth of. the following radiographs are the lateral, dorsopalmar, sixty degree dorsoplamar (60 dp) and sixty degree dorsopalmar. much has been written about specific views for imaging the equine foot. indications to radiographic the foot include lameness that localized to the region,. Equine Foot Radiographs Views.
From newvetequipment.com
Taking, Measuring, and Interpreting Radiographs of the Equine Foot Equine Foot Radiographs Views radiographic examination of the equine foot can provide the veterinarian and farrier with a wealth of. there are two main views that are most helpful to the hoof care provider: much has been written about specific views for imaging the equine foot. indications to radiographic the foot include lameness that localized to the region, farriery, regions. Equine Foot Radiographs Views.
From innovativeequinepodiatry.blogspot.com
Innovative Equine Podiatry Follow up Venograms and Radiographs of the Equine Foot Radiographs Views the following radiographs are the lateral, dorsopalmar, sixty degree dorsoplamar (60 dp) and sixty degree dorsopalmar. current radiographic techniques applied to the equine foot allow more accurate diagnoses and reduce radiation exposure. there are two main views that are most helpful to the hoof care provider: radiographic examination of the equine foot can provide the veterinarian. Equine Foot Radiographs Views.
From www.horsesandus.com
Developmental Orthopedic Disease in Horses [Beginner Guide] Equine Foot Radiographs Views current radiographic techniques applied to the equine foot allow more accurate diagnoses and reduce radiation exposure. much has been written about specific views for imaging the equine foot. there are two main views that are most helpful to the hoof care provider: the following radiographs are the lateral, dorsopalmar, sixty degree dorsoplamar (60 dp) and sixty. Equine Foot Radiographs Views.
From medium.com
Measuring the Equine Hoof in Radiographs — a Focus on Calibration by Equine Foot Radiographs Views Almost without exception, the primary. much has been written about specific views for imaging the equine foot. radiographic examination of the equine foot can provide the veterinarian and farrier with a wealth of. the following radiographs are the lateral, dorsopalmar, sixty degree dorsoplamar (60 dp) and sixty degree dorsopalmar. there are two main views that are. Equine Foot Radiographs Views.
From michaelporterdvm.blogspot.com
Michael Porter, Equine Veterinarian Recurrent Foot Abscess Equine Foot Radiographs Views the following radiographs are the lateral, dorsopalmar, sixty degree dorsoplamar (60 dp) and sixty degree dorsopalmar. there are two main views that are most helpful to the hoof care provider: much has been written about specific views for imaging the equine foot. indications to radiographic the foot include lameness that localized to the region, farriery, regions. Equine Foot Radiographs Views.
From horsesidevetguide.com
Radiography, Xray, Fetlock or Pastern Horse Side Vet Guide Equine Foot Radiographs Views the following radiographs are the lateral, dorsopalmar, sixty degree dorsoplamar (60 dp) and sixty degree dorsopalmar. indications to radiographic the foot include lameness that localized to the region, farriery, regions wounds/lacerations,. radiographic examination of the equine foot can provide the veterinarian and farrier with a wealth of. current radiographic techniques applied to the equine foot allow. Equine Foot Radiographs Views.
From sites.google.com
Aspectos fisiopatológicos LAMINITIS EQUINA Equine Foot Radiographs Views the following radiographs are the lateral, dorsopalmar, sixty degree dorsoplamar (60 dp) and sixty degree dorsopalmar. much has been written about specific views for imaging the equine foot. there are two main views that are most helpful to the hoof care provider: Almost without exception, the primary. radiographic examination of the equine foot can provide the. Equine Foot Radiographs Views.
From www.ballingerequine.com
Laminitis Not Necessarily Seasonal Ballinger Equine Equine Foot Radiographs Views the following radiographs are the lateral, dorsopalmar, sixty degree dorsoplamar (60 dp) and sixty degree dorsopalmar. there are two main views that are most helpful to the hoof care provider: indications to radiographic the foot include lameness that localized to the region, farriery, regions wounds/lacerations,. much has been written about specific views for imaging the equine. Equine Foot Radiographs Views.
From blog.easycareinc.com
Hoof Radiographs They Give You XRay Vision Part Two EasyCare Hoof Equine Foot Radiographs Views current radiographic techniques applied to the equine foot allow more accurate diagnoses and reduce radiation exposure. Almost without exception, the primary. much has been written about specific views for imaging the equine foot. there are two main views that are most helpful to the hoof care provider: radiographic examination of the equine foot can provide the. Equine Foot Radiographs Views.