C Section Scar Endometriosis Treatment . We report our experience in managing cesarean scar endometriosis (cse). Caesarian scar endometriosis can be located in the skin, subcutaneous tissue, rectus muscle/sheath, intraperitoneally, or in the uterine myometrium (within uterine. Concerning the rising caesarean section rate, scar endometriosis may occur more frequently than generally assumed; Doctors may choose medical treatments, surgery, or a combination of both. Treatment for endometriosis usually depends on your.
from www.youtube.com
Concerning the rising caesarean section rate, scar endometriosis may occur more frequently than generally assumed; We report our experience in managing cesarean scar endometriosis (cse). Doctors may choose medical treatments, surgery, or a combination of both. Caesarian scar endometriosis can be located in the skin, subcutaneous tissue, rectus muscle/sheath, intraperitoneally, or in the uterine myometrium (within uterine. Treatment for endometriosis usually depends on your.
CSection Uterus Ultrasound Normal Vs Abnormal Image Appearances
C Section Scar Endometriosis Treatment Doctors may choose medical treatments, surgery, or a combination of both. We report our experience in managing cesarean scar endometriosis (cse). Caesarian scar endometriosis can be located in the skin, subcutaneous tissue, rectus muscle/sheath, intraperitoneally, or in the uterine myometrium (within uterine. Concerning the rising caesarean section rate, scar endometriosis may occur more frequently than generally assumed; Doctors may choose medical treatments, surgery, or a combination of both. Treatment for endometriosis usually depends on your.
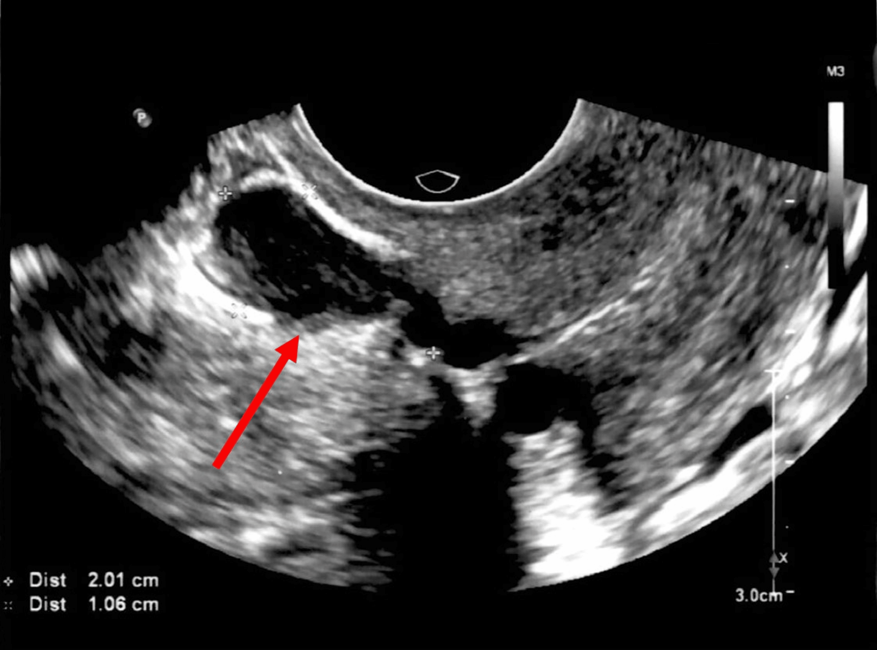
From radiopaedia.org
Post Cesarean section scar endometriosis Image C Section Scar Endometriosis Treatment Caesarian scar endometriosis can be located in the skin, subcutaneous tissue, rectus muscle/sheath, intraperitoneally, or in the uterine myometrium (within uterine. We report our experience in managing cesarean scar endometriosis (cse). Treatment for endometriosis usually depends on your. Concerning the rising caesarean section rate, scar endometriosis may occur more frequently than generally assumed; Doctors may choose medical treatments, surgery, or. C Section Scar Endometriosis Treatment.
From www.thevbaclink.com
CSection Incision Types Learn More About Special Scars C Section Scar Endometriosis Treatment Treatment for endometriosis usually depends on your. We report our experience in managing cesarean scar endometriosis (cse). Caesarian scar endometriosis can be located in the skin, subcutaneous tissue, rectus muscle/sheath, intraperitoneally, or in the uterine myometrium (within uterine. Concerning the rising caesarean section rate, scar endometriosis may occur more frequently than generally assumed; Doctors may choose medical treatments, surgery, or. C Section Scar Endometriosis Treatment.
From shruthians.wordpress.com
SCAR ENDOMETRIOSISA STORY OF HEALING THROUGH AYURVEDIC C Section Scar Endometriosis Treatment We report our experience in managing cesarean scar endometriosis (cse). Treatment for endometriosis usually depends on your. Doctors may choose medical treatments, surgery, or a combination of both. Caesarian scar endometriosis can be located in the skin, subcutaneous tissue, rectus muscle/sheath, intraperitoneally, or in the uterine myometrium (within uterine. Concerning the rising caesarean section rate, scar endometriosis may occur more. C Section Scar Endometriosis Treatment.
From www.researchgate.net
(PDF) Endometriosis arising in a cesarean section scar A case report C Section Scar Endometriosis Treatment Doctors may choose medical treatments, surgery, or a combination of both. We report our experience in managing cesarean scar endometriosis (cse). Caesarian scar endometriosis can be located in the skin, subcutaneous tissue, rectus muscle/sheath, intraperitoneally, or in the uterine myometrium (within uterine. Concerning the rising caesarean section rate, scar endometriosis may occur more frequently than generally assumed; Treatment for endometriosis. C Section Scar Endometriosis Treatment.
From www.zoeyolivia.com
Endometriosislaparoscopyscaroperationzoeyoliviabloggerstage4 C Section Scar Endometriosis Treatment We report our experience in managing cesarean scar endometriosis (cse). Treatment for endometriosis usually depends on your. Doctors may choose medical treatments, surgery, or a combination of both. Concerning the rising caesarean section rate, scar endometriosis may occur more frequently than generally assumed; Caesarian scar endometriosis can be located in the skin, subcutaneous tissue, rectus muscle/sheath, intraperitoneally, or in the. C Section Scar Endometriosis Treatment.
From www.youtube.com
How to Get Rid of C Section Scar Fast At Home YouTube C Section Scar Endometriosis Treatment Concerning the rising caesarean section rate, scar endometriosis may occur more frequently than generally assumed; Caesarian scar endometriosis can be located in the skin, subcutaneous tissue, rectus muscle/sheath, intraperitoneally, or in the uterine myometrium (within uterine. Treatment for endometriosis usually depends on your. We report our experience in managing cesarean scar endometriosis (cse). Doctors may choose medical treatments, surgery, or. C Section Scar Endometriosis Treatment.
From radiopaedia.org
Image C Section Scar Endometriosis Treatment Treatment for endometriosis usually depends on your. Caesarian scar endometriosis can be located in the skin, subcutaneous tissue, rectus muscle/sheath, intraperitoneally, or in the uterine myometrium (within uterine. We report our experience in managing cesarean scar endometriosis (cse). Doctors may choose medical treatments, surgery, or a combination of both. Concerning the rising caesarean section rate, scar endometriosis may occur more. C Section Scar Endometriosis Treatment.
From www.momjunction.com
CSection Scar Infection Causes, Types, Signs And Treatment C Section Scar Endometriosis Treatment Treatment for endometriosis usually depends on your. Caesarian scar endometriosis can be located in the skin, subcutaneous tissue, rectus muscle/sheath, intraperitoneally, or in the uterine myometrium (within uterine. Concerning the rising caesarean section rate, scar endometriosis may occur more frequently than generally assumed; Doctors may choose medical treatments, surgery, or a combination of both. We report our experience in managing. C Section Scar Endometriosis Treatment.
From www.medicalnewstoday.com
Endometriosis after Csection Symptoms, treatment, and scars C Section Scar Endometriosis Treatment Caesarian scar endometriosis can be located in the skin, subcutaneous tissue, rectus muscle/sheath, intraperitoneally, or in the uterine myometrium (within uterine. We report our experience in managing cesarean scar endometriosis (cse). Treatment for endometriosis usually depends on your. Concerning the rising caesarean section rate, scar endometriosis may occur more frequently than generally assumed; Doctors may choose medical treatments, surgery, or. C Section Scar Endometriosis Treatment.
From archderm.jamanetwork.com
Cutaneous Incisional Endometriosis JAMA Dermatology JAMA Network C Section Scar Endometriosis Treatment Treatment for endometriosis usually depends on your. Caesarian scar endometriosis can be located in the skin, subcutaneous tissue, rectus muscle/sheath, intraperitoneally, or in the uterine myometrium (within uterine. Doctors may choose medical treatments, surgery, or a combination of both. Concerning the rising caesarean section rate, scar endometriosis may occur more frequently than generally assumed; We report our experience in managing. C Section Scar Endometriosis Treatment.
From www.cureus.com
Cureus Laparoscopic Correction of Isthmocele and Cesarean Scar C Section Scar Endometriosis Treatment Caesarian scar endometriosis can be located in the skin, subcutaneous tissue, rectus muscle/sheath, intraperitoneally, or in the uterine myometrium (within uterine. Doctors may choose medical treatments, surgery, or a combination of both. We report our experience in managing cesarean scar endometriosis (cse). Treatment for endometriosis usually depends on your. Concerning the rising caesarean section rate, scar endometriosis may occur more. C Section Scar Endometriosis Treatment.
From www.frontiersin.org
Frontiers Experience With Medical Treatment of Cesarean Scar Ectopic C Section Scar Endometriosis Treatment Caesarian scar endometriosis can be located in the skin, subcutaneous tissue, rectus muscle/sheath, intraperitoneally, or in the uterine myometrium (within uterine. Concerning the rising caesarean section rate, scar endometriosis may occur more frequently than generally assumed; We report our experience in managing cesarean scar endometriosis (cse). Treatment for endometriosis usually depends on your. Doctors may choose medical treatments, surgery, or. C Section Scar Endometriosis Treatment.
From www.clinicalradiologyonline.net
Caesareansection scar endometriosis (CSSE) clinical and imaging C Section Scar Endometriosis Treatment Concerning the rising caesarean section rate, scar endometriosis may occur more frequently than generally assumed; We report our experience in managing cesarean scar endometriosis (cse). Doctors may choose medical treatments, surgery, or a combination of both. Treatment for endometriosis usually depends on your. Caesarian scar endometriosis can be located in the skin, subcutaneous tissue, rectus muscle/sheath, intraperitoneally, or in the. C Section Scar Endometriosis Treatment.
From www.researchgate.net
(PDF) ENDOMETRIOSIS IN CAESARIAN SECTION SCAR C Section Scar Endometriosis Treatment Treatment for endometriosis usually depends on your. We report our experience in managing cesarean scar endometriosis (cse). Caesarian scar endometriosis can be located in the skin, subcutaneous tissue, rectus muscle/sheath, intraperitoneally, or in the uterine myometrium (within uterine. Concerning the rising caesarean section rate, scar endometriosis may occur more frequently than generally assumed; Doctors may choose medical treatments, surgery, or. C Section Scar Endometriosis Treatment.
From www.contemporaryobgyn.net
How to diagnose and treat cesarean scar pregnancy C Section Scar Endometriosis Treatment Doctors may choose medical treatments, surgery, or a combination of both. Concerning the rising caesarean section rate, scar endometriosis may occur more frequently than generally assumed; Treatment for endometriosis usually depends on your. Caesarian scar endometriosis can be located in the skin, subcutaneous tissue, rectus muscle/sheath, intraperitoneally, or in the uterine myometrium (within uterine. We report our experience in managing. C Section Scar Endometriosis Treatment.
From www.cureus.com
A Typical Presentation of Cesarean Section Scar Endometriosis A Case C Section Scar Endometriosis Treatment Caesarian scar endometriosis can be located in the skin, subcutaneous tissue, rectus muscle/sheath, intraperitoneally, or in the uterine myometrium (within uterine. We report our experience in managing cesarean scar endometriosis (cse). Treatment for endometriosis usually depends on your. Concerning the rising caesarean section rate, scar endometriosis may occur more frequently than generally assumed; Doctors may choose medical treatments, surgery, or. C Section Scar Endometriosis Treatment.
From www.researchgate.net
Cesarean scar niche 2D vaginal ultrasound. Download Scientific Diagram C Section Scar Endometriosis Treatment We report our experience in managing cesarean scar endometriosis (cse). Caesarian scar endometriosis can be located in the skin, subcutaneous tissue, rectus muscle/sheath, intraperitoneally, or in the uterine myometrium (within uterine. Treatment for endometriosis usually depends on your. Concerning the rising caesarean section rate, scar endometriosis may occur more frequently than generally assumed; Doctors may choose medical treatments, surgery, or. C Section Scar Endometriosis Treatment.
From www.slideshare.net
Cutaneous cesarean scar endometriosis PPT C Section Scar Endometriosis Treatment We report our experience in managing cesarean scar endometriosis (cse). Caesarian scar endometriosis can be located in the skin, subcutaneous tissue, rectus muscle/sheath, intraperitoneally, or in the uterine myometrium (within uterine. Doctors may choose medical treatments, surgery, or a combination of both. Treatment for endometriosis usually depends on your. Concerning the rising caesarean section rate, scar endometriosis may occur more. C Section Scar Endometriosis Treatment.
From www.ctisus.com
Csection scar endometriosis Body MR Case Studies CTisus CT Scanning C Section Scar Endometriosis Treatment Caesarian scar endometriosis can be located in the skin, subcutaneous tissue, rectus muscle/sheath, intraperitoneally, or in the uterine myometrium (within uterine. Concerning the rising caesarean section rate, scar endometriosis may occur more frequently than generally assumed; Doctors may choose medical treatments, surgery, or a combination of both. We report our experience in managing cesarean scar endometriosis (cse). Treatment for endometriosis. C Section Scar Endometriosis Treatment.
From drseckin.com
CSection Scar Endometriosis Seckin Endometriosis Center C Section Scar Endometriosis Treatment We report our experience in managing cesarean scar endometriosis (cse). Caesarian scar endometriosis can be located in the skin, subcutaneous tissue, rectus muscle/sheath, intraperitoneally, or in the uterine myometrium (within uterine. Doctors may choose medical treatments, surgery, or a combination of both. Concerning the rising caesarean section rate, scar endometriosis may occur more frequently than generally assumed; Treatment for endometriosis. C Section Scar Endometriosis Treatment.
From reconnecthealth.ca
Silicone Scar Treatment for CSections ReConnect Health Center C Section Scar Endometriosis Treatment Concerning the rising caesarean section rate, scar endometriosis may occur more frequently than generally assumed; We report our experience in managing cesarean scar endometriosis (cse). Treatment for endometriosis usually depends on your. Doctors may choose medical treatments, surgery, or a combination of both. Caesarian scar endometriosis can be located in the skin, subcutaneous tissue, rectus muscle/sheath, intraperitoneally, or in the. C Section Scar Endometriosis Treatment.
From radiopaedia.org
Fluidfilled cesarean scar niche Image C Section Scar Endometriosis Treatment Caesarian scar endometriosis can be located in the skin, subcutaneous tissue, rectus muscle/sheath, intraperitoneally, or in the uterine myometrium (within uterine. Concerning the rising caesarean section rate, scar endometriosis may occur more frequently than generally assumed; Treatment for endometriosis usually depends on your. We report our experience in managing cesarean scar endometriosis (cse). Doctors may choose medical treatments, surgery, or. C Section Scar Endometriosis Treatment.
From getmomstrong.com
CSection Scar Massage How and Why Get Mom Strong C Section Scar Endometriosis Treatment Concerning the rising caesarean section rate, scar endometriosis may occur more frequently than generally assumed; We report our experience in managing cesarean scar endometriosis (cse). Doctors may choose medical treatments, surgery, or a combination of both. Treatment for endometriosis usually depends on your. Caesarian scar endometriosis can be located in the skin, subcutaneous tissue, rectus muscle/sheath, intraperitoneally, or in the. C Section Scar Endometriosis Treatment.
From www.shreeivfclinic.com
Scar Endometriosis Endometriosis Clinic In Mumbai C Section Scar Endometriosis Treatment Treatment for endometriosis usually depends on your. Caesarian scar endometriosis can be located in the skin, subcutaneous tissue, rectus muscle/sheath, intraperitoneally, or in the uterine myometrium (within uterine. Concerning the rising caesarean section rate, scar endometriosis may occur more frequently than generally assumed; We report our experience in managing cesarean scar endometriosis (cse). Doctors may choose medical treatments, surgery, or. C Section Scar Endometriosis Treatment.
From www.ctisus.com
Csection scar endometriosis Body MR Case Studies CTisus CT Scanning C Section Scar Endometriosis Treatment Doctors may choose medical treatments, surgery, or a combination of both. Treatment for endometriosis usually depends on your. Caesarian scar endometriosis can be located in the skin, subcutaneous tissue, rectus muscle/sheath, intraperitoneally, or in the uterine myometrium (within uterine. We report our experience in managing cesarean scar endometriosis (cse). Concerning the rising caesarean section rate, scar endometriosis may occur more. C Section Scar Endometriosis Treatment.
From www.ctisus.com
Csection scar endometriosis Body MR Case Studies CTisus CT Scanning C Section Scar Endometriosis Treatment Doctors may choose medical treatments, surgery, or a combination of both. Treatment for endometriosis usually depends on your. We report our experience in managing cesarean scar endometriosis (cse). Caesarian scar endometriosis can be located in the skin, subcutaneous tissue, rectus muscle/sheath, intraperitoneally, or in the uterine myometrium (within uterine. Concerning the rising caesarean section rate, scar endometriosis may occur more. C Section Scar Endometriosis Treatment.
From www.mdpi.com
Diagnostics Free FullText Ultrasonography and Atypical Sites of C Section Scar Endometriosis Treatment Treatment for endometriosis usually depends on your. Concerning the rising caesarean section rate, scar endometriosis may occur more frequently than generally assumed; Caesarian scar endometriosis can be located in the skin, subcutaneous tissue, rectus muscle/sheath, intraperitoneally, or in the uterine myometrium (within uterine. Doctors may choose medical treatments, surgery, or a combination of both. We report our experience in managing. C Section Scar Endometriosis Treatment.
From www.ctisus.com
Scar Endometriosis Body MR Case Studies CTisus CT Scanning C Section Scar Endometriosis Treatment Concerning the rising caesarean section rate, scar endometriosis may occur more frequently than generally assumed; Caesarian scar endometriosis can be located in the skin, subcutaneous tissue, rectus muscle/sheath, intraperitoneally, or in the uterine myometrium (within uterine. Doctors may choose medical treatments, surgery, or a combination of both. We report our experience in managing cesarean scar endometriosis (cse). Treatment for endometriosis. C Section Scar Endometriosis Treatment.
From www.ejog.org
Multidisciplinary treatment of abdominal wall endometriosis A case C Section Scar Endometriosis Treatment Doctors may choose medical treatments, surgery, or a combination of both. Concerning the rising caesarean section rate, scar endometriosis may occur more frequently than generally assumed; We report our experience in managing cesarean scar endometriosis (cse). Treatment for endometriosis usually depends on your. Caesarian scar endometriosis can be located in the skin, subcutaneous tissue, rectus muscle/sheath, intraperitoneally, or in the. C Section Scar Endometriosis Treatment.
From www.youtube.com
CSection Uterus Ultrasound Normal Vs Abnormal Image Appearances C Section Scar Endometriosis Treatment Caesarian scar endometriosis can be located in the skin, subcutaneous tissue, rectus muscle/sheath, intraperitoneally, or in the uterine myometrium (within uterine. Concerning the rising caesarean section rate, scar endometriosis may occur more frequently than generally assumed; Treatment for endometriosis usually depends on your. Doctors may choose medical treatments, surgery, or a combination of both. We report our experience in managing. C Section Scar Endometriosis Treatment.
From www.researchgate.net
(PDF) Cesarean section scar endometriosis C Section Scar Endometriosis Treatment Doctors may choose medical treatments, surgery, or a combination of both. Concerning the rising caesarean section rate, scar endometriosis may occur more frequently than generally assumed; Caesarian scar endometriosis can be located in the skin, subcutaneous tissue, rectus muscle/sheath, intraperitoneally, or in the uterine myometrium (within uterine. Treatment for endometriosis usually depends on your. We report our experience in managing. C Section Scar Endometriosis Treatment.
From www.semanticscholar.org
Figure 2 from Resection and Abdominal Wall Reconstruction for Cesarean C Section Scar Endometriosis Treatment Concerning the rising caesarean section rate, scar endometriosis may occur more frequently than generally assumed; Caesarian scar endometriosis can be located in the skin, subcutaneous tissue, rectus muscle/sheath, intraperitoneally, or in the uterine myometrium (within uterine. Treatment for endometriosis usually depends on your. We report our experience in managing cesarean scar endometriosis (cse). Doctors may choose medical treatments, surgery, or. C Section Scar Endometriosis Treatment.
From nghenhansu.edu.vn
Top 99+ Images Csection Scar Photos Stunning 11/2023 C Section Scar Endometriosis Treatment Doctors may choose medical treatments, surgery, or a combination of both. Concerning the rising caesarean section rate, scar endometriosis may occur more frequently than generally assumed; Treatment for endometriosis usually depends on your. Caesarian scar endometriosis can be located in the skin, subcutaneous tissue, rectus muscle/sheath, intraperitoneally, or in the uterine myometrium (within uterine. We report our experience in managing. C Section Scar Endometriosis Treatment.
From www.medicalnewstoday.com
Endometriosis after Csection Symptoms, treatment, and scars C Section Scar Endometriosis Treatment Doctors may choose medical treatments, surgery, or a combination of both. Treatment for endometriosis usually depends on your. Concerning the rising caesarean section rate, scar endometriosis may occur more frequently than generally assumed; We report our experience in managing cesarean scar endometriosis (cse). Caesarian scar endometriosis can be located in the skin, subcutaneous tissue, rectus muscle/sheath, intraperitoneally, or in the. C Section Scar Endometriosis Treatment.
From www.researchgate.net
(PDF) A case series on management of scar endometriosis following C C Section Scar Endometriosis Treatment Treatment for endometriosis usually depends on your. Concerning the rising caesarean section rate, scar endometriosis may occur more frequently than generally assumed; We report our experience in managing cesarean scar endometriosis (cse). Caesarian scar endometriosis can be located in the skin, subcutaneous tissue, rectus muscle/sheath, intraperitoneally, or in the uterine myometrium (within uterine. Doctors may choose medical treatments, surgery, or. C Section Scar Endometriosis Treatment.