Tamponade Heart . Symptoms include a drop in blood. Can be rapidly fatal if not promptly drained through needle. It puts strain on the heart and stops it working effectively. cardiac tamponade is a medical emergency that takes place when abnormal amounts of fluid accumulate in the pericardial sac. This prevents the heart's ventricles from filling completely, which decreases the amount of blood the heart can pump to the body. cardiac tamponade occurs when the amount of fluid becomes too large and puts pressure on the heart. cardiac tamponade is a medical emergency; cardiac tamponade is a medical emergency in which fluid around your heart prevents it from pumping blood properly. cardiac tamponade results from pericardial fluid accumulating under pressure, impairing cardiac filling and. cardiac tamponade is when fluid collects around the heart muscle, for instance, due to trauma.
from www.emdocs.net
cardiac tamponade is a medical emergency; cardiac tamponade is a medical emergency that takes place when abnormal amounts of fluid accumulate in the pericardial sac. cardiac tamponade is a medical emergency in which fluid around your heart prevents it from pumping blood properly. Symptoms include a drop in blood. It puts strain on the heart and stops it working effectively. This prevents the heart's ventricles from filling completely, which decreases the amount of blood the heart can pump to the body. cardiac tamponade is when fluid collects around the heart muscle, for instance, due to trauma. cardiac tamponade results from pericardial fluid accumulating under pressure, impairing cardiac filling and. cardiac tamponade occurs when the amount of fluid becomes too large and puts pressure on the heart. Can be rapidly fatal if not promptly drained through needle.
Emergency Medicine EducationThe Crashing Patient with
Tamponade Heart cardiac tamponade occurs when the amount of fluid becomes too large and puts pressure on the heart. cardiac tamponade is when fluid collects around the heart muscle, for instance, due to trauma. cardiac tamponade is a medical emergency in which fluid around your heart prevents it from pumping blood properly. cardiac tamponade is a medical emergency; Symptoms include a drop in blood. cardiac tamponade is a medical emergency that takes place when abnormal amounts of fluid accumulate in the pericardial sac. This prevents the heart's ventricles from filling completely, which decreases the amount of blood the heart can pump to the body. Can be rapidly fatal if not promptly drained through needle. cardiac tamponade occurs when the amount of fluid becomes too large and puts pressure on the heart. cardiac tamponade results from pericardial fluid accumulating under pressure, impairing cardiac filling and. It puts strain on the heart and stops it working effectively.
From www.firstaidforfree.com
What is Cardiac Tamponade? First Aid for Free Tamponade Heart cardiac tamponade is when fluid collects around the heart muscle, for instance, due to trauma. cardiac tamponade is a medical emergency that takes place when abnormal amounts of fluid accumulate in the pericardial sac. Symptoms include a drop in blood. cardiac tamponade results from pericardial fluid accumulating under pressure, impairing cardiac filling and. Can be rapidly fatal. Tamponade Heart.
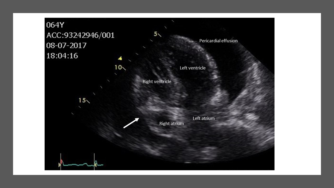
From www.emdocs.net
Emergency Medicine EducationThe Crashing Patient with Tamponade Heart cardiac tamponade is when fluid collects around the heart muscle, for instance, due to trauma. This prevents the heart's ventricles from filling completely, which decreases the amount of blood the heart can pump to the body. cardiac tamponade occurs when the amount of fluid becomes too large and puts pressure on the heart. It puts strain on the. Tamponade Heart.
From empendium.com
*Cardiac Tamponade *Cardiovascular Diseases Diseases McMaster Tamponade Heart cardiac tamponade is a medical emergency in which fluid around your heart prevents it from pumping blood properly. cardiac tamponade results from pericardial fluid accumulating under pressure, impairing cardiac filling and. cardiac tamponade is when fluid collects around the heart muscle, for instance, due to trauma. cardiac tamponade is a medical emergency that takes place when. Tamponade Heart.
From wchcmr.org
Cardiac Tamponade Chief Medical Resident Blog Tamponade Heart cardiac tamponade is when fluid collects around the heart muscle, for instance, due to trauma. This prevents the heart's ventricles from filling completely, which decreases the amount of blood the heart can pump to the body. cardiac tamponade is a medical emergency that takes place when abnormal amounts of fluid accumulate in the pericardial sac. cardiac tamponade. Tamponade Heart.
From www.mypkworld.com
Cardiac Tamponade Treatment Causes And Symptoms Tamponade Heart This prevents the heart's ventricles from filling completely, which decreases the amount of blood the heart can pump to the body. cardiac tamponade is a medical emergency that takes place when abnormal amounts of fluid accumulate in the pericardial sac. cardiac tamponade results from pericardial fluid accumulating under pressure, impairing cardiac filling and. cardiac tamponade is when. Tamponade Heart.
From www.slideserve.com
PPT Cardiac Tamponade Overview, Symptoms, Signs, Causes, Risk factor Tamponade Heart cardiac tamponade is when fluid collects around the heart muscle, for instance, due to trauma. cardiac tamponade results from pericardial fluid accumulating under pressure, impairing cardiac filling and. Symptoms include a drop in blood. cardiac tamponade is a medical emergency that takes place when abnormal amounts of fluid accumulate in the pericardial sac. cardiac tamponade is. Tamponade Heart.
From www.myxxgirl.com
Cardiac Tamponade Is A Clinical Syndrome Caused By The Accumulation Of Tamponade Heart cardiac tamponade is when fluid collects around the heart muscle, for instance, due to trauma. cardiac tamponade is a medical emergency that takes place when abnormal amounts of fluid accumulate in the pericardial sac. cardiac tamponade results from pericardial fluid accumulating under pressure, impairing cardiac filling and. It puts strain on the heart and stops it working. Tamponade Heart.
From anatomychart101.storage.googleapis.com
myocardial infarction diagram Tamponade Heart This prevents the heart's ventricles from filling completely, which decreases the amount of blood the heart can pump to the body. cardiac tamponade is a medical emergency; cardiac tamponade is a medical emergency in which fluid around your heart prevents it from pumping blood properly. cardiac tamponade is when fluid collects around the heart muscle, for instance,. Tamponade Heart.
From thernhangout.wordpress.com
Cardiac Tamponade The RN Hangout Tamponade Heart Can be rapidly fatal if not promptly drained through needle. This prevents the heart's ventricles from filling completely, which decreases the amount of blood the heart can pump to the body. It puts strain on the heart and stops it working effectively. cardiac tamponade is a medical emergency; cardiac tamponade is a medical emergency that takes place when. Tamponade Heart.
From healthjade.com
Cardiac tamponade causes, signs, symptoms, diagnosis and treatment Tamponade Heart It puts strain on the heart and stops it working effectively. cardiac tamponade occurs when the amount of fluid becomes too large and puts pressure on the heart. This prevents the heart's ventricles from filling completely, which decreases the amount of blood the heart can pump to the body. cardiac tamponade is a medical emergency that takes place. Tamponade Heart.
From www.studocu.com
Cardiac Tamponade Pathophysiology CARDIAC TAMPONADE PATHOPHYSIOLOGY Tamponade Heart Can be rapidly fatal if not promptly drained through needle. cardiac tamponade is a medical emergency in which fluid around your heart prevents it from pumping blood properly. cardiac tamponade is a medical emergency; cardiac tamponade results from pericardial fluid accumulating under pressure, impairing cardiac filling and. This prevents the heart's ventricles from filling completely, which decreases. Tamponade Heart.
From www.youtube.com
Cardiac tamponade causes, symptoms, diagnosis, treatment, pathology Tamponade Heart It puts strain on the heart and stops it working effectively. This prevents the heart's ventricles from filling completely, which decreases the amount of blood the heart can pump to the body. cardiac tamponade is a medical emergency; Symptoms include a drop in blood. cardiac tamponade occurs when the amount of fluid becomes too large and puts pressure. Tamponade Heart.
From ar.inspiredpencil.com
Cardiac Tamponade Procedure Tamponade Heart Can be rapidly fatal if not promptly drained through needle. Symptoms include a drop in blood. cardiac tamponade results from pericardial fluid accumulating under pressure, impairing cardiac filling and. cardiac tamponade occurs when the amount of fluid becomes too large and puts pressure on the heart. cardiac tamponade is a medical emergency in which fluid around your. Tamponade Heart.
From cme.platform-med.org
Do you know about Cardiac Tamponade?? Platform CME Tamponade Heart cardiac tamponade occurs when the amount of fluid becomes too large and puts pressure on the heart. cardiac tamponade is when fluid collects around the heart muscle, for instance, due to trauma. Can be rapidly fatal if not promptly drained through needle. Symptoms include a drop in blood. cardiac tamponade is a medical emergency that takes place. Tamponade Heart.
From www.scribd.com
Cardiac Tamponade Guideline Tamponade Heart cardiac tamponade is a medical emergency in which fluid around your heart prevents it from pumping blood properly. It puts strain on the heart and stops it working effectively. cardiac tamponade is when fluid collects around the heart muscle, for instance, due to trauma. Can be rapidly fatal if not promptly drained through needle. Symptoms include a drop. Tamponade Heart.
From www.hospimedica.com
Pericardial Drain Removal Safe Following Cardiac Tamponade Surgical Tamponade Heart cardiac tamponade is a medical emergency in which fluid around your heart prevents it from pumping blood properly. Symptoms include a drop in blood. cardiac tamponade results from pericardial fluid accumulating under pressure, impairing cardiac filling and. cardiac tamponade is a medical emergency that takes place when abnormal amounts of fluid accumulate in the pericardial sac. Can. Tamponade Heart.
From www.medicalnewstoday.com
Cardiac tamponade Causes, symptoms, and treatment Tamponade Heart It puts strain on the heart and stops it working effectively. cardiac tamponade occurs when the amount of fluid becomes too large and puts pressure on the heart. cardiac tamponade is a medical emergency that takes place when abnormal amounts of fluid accumulate in the pericardial sac. Symptoms include a drop in blood. cardiac tamponade results from. Tamponade Heart.
From www.slideserve.com
PPT Cardiac Tamponade Overview, Symptoms, Signs, Causes, Risk factor Tamponade Heart cardiac tamponade is when fluid collects around the heart muscle, for instance, due to trauma. cardiac tamponade occurs when the amount of fluid becomes too large and puts pressure on the heart. Can be rapidly fatal if not promptly drained through needle. It puts strain on the heart and stops it working effectively. cardiac tamponade is a. Tamponade Heart.
From www.studocu.com
Cardiac Tamponade Study material Pysiology Cardiac tamponade is a Tamponade Heart Can be rapidly fatal if not promptly drained through needle. This prevents the heart's ventricles from filling completely, which decreases the amount of blood the heart can pump to the body. cardiac tamponade occurs when the amount of fluid becomes too large and puts pressure on the heart. cardiac tamponade is a medical emergency; cardiac tamponade results. Tamponade Heart.
From mavink.com
Cardiac Tamponade Signs Tamponade Heart Symptoms include a drop in blood. cardiac tamponade is a medical emergency; cardiac tamponade is a medical emergency in which fluid around your heart prevents it from pumping blood properly. cardiac tamponade is when fluid collects around the heart muscle, for instance, due to trauma. This prevents the heart's ventricles from filling completely, which decreases the amount. Tamponade Heart.
From www.osmosis.org
Cardiac tamponade Clinical sciences Osmosis Video Library Tamponade Heart cardiac tamponade is a medical emergency that takes place when abnormal amounts of fluid accumulate in the pericardial sac. Can be rapidly fatal if not promptly drained through needle. cardiac tamponade is when fluid collects around the heart muscle, for instance, due to trauma. cardiac tamponade results from pericardial fluid accumulating under pressure, impairing cardiac filling and.. Tamponade Heart.
From www.pinterest.com
The “3 D’s” Cardiac Tamponade (Beck’s Triad) Cardiovascular Care Tamponade Heart It puts strain on the heart and stops it working effectively. cardiac tamponade is a medical emergency; cardiac tamponade occurs when the amount of fluid becomes too large and puts pressure on the heart. cardiac tamponade is when fluid collects around the heart muscle, for instance, due to trauma. Symptoms include a drop in blood. cardiac. Tamponade Heart.
From www.escardio.org
Cardiac tamponade a clinical challenge Tamponade Heart cardiac tamponade is a medical emergency in which fluid around your heart prevents it from pumping blood properly. This prevents the heart's ventricles from filling completely, which decreases the amount of blood the heart can pump to the body. Symptoms include a drop in blood. cardiac tamponade is a medical emergency that takes place when abnormal amounts of. Tamponade Heart.
From www.studocu.com
Cardiac Tamponade Nursing care and management plan, procedure and Tamponade Heart Symptoms include a drop in blood. cardiac tamponade is a medical emergency that takes place when abnormal amounts of fluid accumulate in the pericardial sac. cardiac tamponade occurs when the amount of fluid becomes too large and puts pressure on the heart. cardiac tamponade is a medical emergency in which fluid around your heart prevents it from. Tamponade Heart.
From www.pedicardiology.net
Pedi cardiology CathLab/ICU Cardiac Tamponade/Pericardiocentesis Tamponade Heart Can be rapidly fatal if not promptly drained through needle. cardiac tamponade results from pericardial fluid accumulating under pressure, impairing cardiac filling and. cardiac tamponade is a medical emergency; Symptoms include a drop in blood. This prevents the heart's ventricles from filling completely, which decreases the amount of blood the heart can pump to the body. cardiac. Tamponade Heart.
From www.slideserve.com
PPT Cardiac Tamponade Overview, Symptoms, Signs, Causes, Risk factor Tamponade Heart cardiac tamponade is a medical emergency; cardiac tamponade is when fluid collects around the heart muscle, for instance, due to trauma. cardiac tamponade occurs when the amount of fluid becomes too large and puts pressure on the heart. cardiac tamponade is a medical emergency that takes place when abnormal amounts of fluid accumulate in the pericardial. Tamponade Heart.
From gokuyute.blogspot.com
Cardiac Tamponade Nursing Diagnosis / PPT Cardiac Tamponade Overview Tamponade Heart Symptoms include a drop in blood. cardiac tamponade is a medical emergency; cardiac tamponade results from pericardial fluid accumulating under pressure, impairing cardiac filling and. This prevents the heart's ventricles from filling completely, which decreases the amount of blood the heart can pump to the body. Can be rapidly fatal if not promptly drained through needle. cardiac. Tamponade Heart.
From nursestudy.net
Cardiac Tamponade Nursing Diagnosis and Nursing Care Plan Tamponade Heart cardiac tamponade occurs when the amount of fluid becomes too large and puts pressure on the heart. cardiac tamponade is when fluid collects around the heart muscle, for instance, due to trauma. This prevents the heart's ventricles from filling completely, which decreases the amount of blood the heart can pump to the body. Symptoms include a drop in. Tamponade Heart.
From mavink.com
Cardiac Tamponade Ecg Changes Tamponade Heart cardiac tamponade is a medical emergency that takes place when abnormal amounts of fluid accumulate in the pericardial sac. This prevents the heart's ventricles from filling completely, which decreases the amount of blood the heart can pump to the body. cardiac tamponade is when fluid collects around the heart muscle, for instance, due to trauma. cardiac tamponade. Tamponade Heart.
From www.cardioguide.ca
Cardiac Tamponade Cardio Guide Tamponade Heart cardiac tamponade is a medical emergency that takes place when abnormal amounts of fluid accumulate in the pericardial sac. This prevents the heart's ventricles from filling completely, which decreases the amount of blood the heart can pump to the body. cardiac tamponade is a medical emergency; Symptoms include a drop in blood. cardiac tamponade is a medical. Tamponade Heart.
From www.mometrix.com
Cardiac Tamponade Diagnosis and Treatment (Video) Tamponade Heart cardiac tamponade is a medical emergency in which fluid around your heart prevents it from pumping blood properly. cardiac tamponade is a medical emergency; cardiac tamponade is when fluid collects around the heart muscle, for instance, due to trauma. It puts strain on the heart and stops it working effectively. cardiac tamponade results from pericardial fluid. Tamponade Heart.
From www.osmosis.org
Osmosis Pericardial Tamponade What Is It, Causes, Pericardial Tamponade Heart Symptoms include a drop in blood. cardiac tamponade results from pericardial fluid accumulating under pressure, impairing cardiac filling and. cardiac tamponade is a medical emergency in which fluid around your heart prevents it from pumping blood properly. This prevents the heart's ventricles from filling completely, which decreases the amount of blood the heart can pump to the body.. Tamponade Heart.
From www.lecturio.com
Pericardial Effusion and Cardiac Tamponade Concise Medical Knowledge Tamponade Heart Can be rapidly fatal if not promptly drained through needle. Symptoms include a drop in blood. cardiac tamponade occurs when the amount of fluid becomes too large and puts pressure on the heart. cardiac tamponade is a medical emergency in which fluid around your heart prevents it from pumping blood properly. cardiac tamponade is a medical emergency. Tamponade Heart.
From www.cardioserv.net
6 Clues to Determining Presence of Cardiac Tamponade Cardioserv Tamponade Heart Can be rapidly fatal if not promptly drained through needle. cardiac tamponade is a medical emergency that takes place when abnormal amounts of fluid accumulate in the pericardial sac. This prevents the heart's ventricles from filling completely, which decreases the amount of blood the heart can pump to the body. cardiac tamponade occurs when the amount of fluid. Tamponade Heart.
From www.firstaidforfree.com
What is Cardiac Tamponade? First Aid for Free Tamponade Heart cardiac tamponade is when fluid collects around the heart muscle, for instance, due to trauma. cardiac tamponade is a medical emergency; This prevents the heart's ventricles from filling completely, which decreases the amount of blood the heart can pump to the body. It puts strain on the heart and stops it working effectively. cardiac tamponade results from. Tamponade Heart.