Gingival Hyperplasia Back Teeth . If your gums are growing over your teeth or appear to be bumpy and protuding, you may have a condition known as gingival hyperplasia. Gingival hyperplasia is the abnormal growth of excessive gum tissue that can cover the teeth, possibly interfering with tooth alignment and leading to impaired oral. Gingival hyperplasia, also referred to as gingival enlargement, is the overgrowth of gum tissue around your teeth. Gingival hyperplasia is a condition of the mouth involving overgrowth of the gingiva (the gum tissue) surrounding the teeth. 1) inflammatory gingival enlargement, 2). Gingival enlargement refers to excessive growth of the gums, and may also be known as gingival hyperplasia or hypertrophy. If your gums are growing over your teeth or swelling up to form bumps, you may have a condition known as gingival hyperplasia. The affected gum tissue often becomes. What are the possible causes? Once the condition begins, it creates a cycle of difficulty performing good oral hygiene, leading to higher risk (and possibly more severe symptoms) of overgrowth. There are several causes of gingival enlargement and they can be grouped into four categories:
from dentaljournal.home.blog
If your gums are growing over your teeth or appear to be bumpy and protuding, you may have a condition known as gingival hyperplasia. What are the possible causes? Gingival hyperplasia is the abnormal growth of excessive gum tissue that can cover the teeth, possibly interfering with tooth alignment and leading to impaired oral. Gingival hyperplasia, also referred to as gingival enlargement, is the overgrowth of gum tissue around your teeth. If your gums are growing over your teeth or swelling up to form bumps, you may have a condition known as gingival hyperplasia. Gingival enlargement refers to excessive growth of the gums, and may also be known as gingival hyperplasia or hypertrophy. Once the condition begins, it creates a cycle of difficulty performing good oral hygiene, leading to higher risk (and possibly more severe symptoms) of overgrowth. 1) inflammatory gingival enlargement, 2). Gingival hyperplasia is a condition of the mouth involving overgrowth of the gingiva (the gum tissue) surrounding the teeth. The affected gum tissue often becomes.
Gingival hyperplasia Dentistry and Practices
Gingival Hyperplasia Back Teeth There are several causes of gingival enlargement and they can be grouped into four categories: If your gums are growing over your teeth or swelling up to form bumps, you may have a condition known as gingival hyperplasia. There are several causes of gingival enlargement and they can be grouped into four categories: If your gums are growing over your teeth or appear to be bumpy and protuding, you may have a condition known as gingival hyperplasia. Gingival hyperplasia is the abnormal growth of excessive gum tissue that can cover the teeth, possibly interfering with tooth alignment and leading to impaired oral. The affected gum tissue often becomes. Gingival hyperplasia is a condition of the mouth involving overgrowth of the gingiva (the gum tissue) surrounding the teeth. Gingival hyperplasia, also referred to as gingival enlargement, is the overgrowth of gum tissue around your teeth. Gingival enlargement refers to excessive growth of the gums, and may also be known as gingival hyperplasia or hypertrophy. What are the possible causes? 1) inflammatory gingival enlargement, 2). Once the condition begins, it creates a cycle of difficulty performing good oral hygiene, leading to higher risk (and possibly more severe symptoms) of overgrowth.
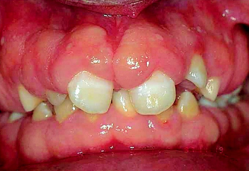
From medtech.med.wayne.edu
PICT0010 Gingival hyperplasia Dr. Ken Hashimoto Wayne State University SOM Dermatology Gingival Hyperplasia Back Teeth Gingival hyperplasia, also referred to as gingival enlargement, is the overgrowth of gum tissue around your teeth. Once the condition begins, it creates a cycle of difficulty performing good oral hygiene, leading to higher risk (and possibly more severe symptoms) of overgrowth. Gingival hyperplasia is a condition of the mouth involving overgrowth of the gingiva (the gum tissue) surrounding the. Gingival Hyperplasia Back Teeth.
From casereports.bmj.com
Phenytoininduced gingival enlargement a dental awakening for patients with epilepsy BMJ Case Gingival Hyperplasia Back Teeth Gingival hyperplasia, also referred to as gingival enlargement, is the overgrowth of gum tissue around your teeth. The affected gum tissue often becomes. Gingival hyperplasia is the abnormal growth of excessive gum tissue that can cover the teeth, possibly interfering with tooth alignment and leading to impaired oral. Gingival hyperplasia is a condition of the mouth involving overgrowth of the. Gingival Hyperplasia Back Teeth.
From www.semanticscholar.org
Figure 1 from Gingival hyperplasia treatment using diode laser gingivectomy in a child with Gingival Hyperplasia Back Teeth If your gums are growing over your teeth or swelling up to form bumps, you may have a condition known as gingival hyperplasia. There are several causes of gingival enlargement and they can be grouped into four categories: Gingival hyperplasia is the abnormal growth of excessive gum tissue that can cover the teeth, possibly interfering with tooth alignment and leading. Gingival Hyperplasia Back Teeth.
From ar.inspiredpencil.com
Gingival Hyperplasia With Calculus Gingival Hyperplasia Back Teeth Gingival hyperplasia, also referred to as gingival enlargement, is the overgrowth of gum tissue around your teeth. Gingival enlargement refers to excessive growth of the gums, and may also be known as gingival hyperplasia or hypertrophy. Gingival hyperplasia is a condition of the mouth involving overgrowth of the gingiva (the gum tissue) surrounding the teeth. Once the condition begins, it. Gingival Hyperplasia Back Teeth.
From casereports.bmj.com
Phenytoininduced gingival enlargement a dental awakening for patients with epilepsy BMJ Case Gingival Hyperplasia Back Teeth The affected gum tissue often becomes. Once the condition begins, it creates a cycle of difficulty performing good oral hygiene, leading to higher risk (and possibly more severe symptoms) of overgrowth. There are several causes of gingival enlargement and they can be grouped into four categories: 1) inflammatory gingival enlargement, 2). If your gums are growing over your teeth or. Gingival Hyperplasia Back Teeth.
From www.bmj.com
Gingival hyperplasia associated with diltiazem The BMJ Gingival Hyperplasia Back Teeth What are the possible causes? 1) inflammatory gingival enlargement, 2). Gingival hyperplasia, also referred to as gingival enlargement, is the overgrowth of gum tissue around your teeth. If your gums are growing over your teeth or swelling up to form bumps, you may have a condition known as gingival hyperplasia. Gingival enlargement refers to excessive growth of the gums, and. Gingival Hyperplasia Back Teeth.
From healthjade.net
Gingival hypertrophy causes, symptoms, diagnosis & treatment Gingival Hyperplasia Back Teeth Gingival hyperplasia, also referred to as gingival enlargement, is the overgrowth of gum tissue around your teeth. Gingival hyperplasia is the abnormal growth of excessive gum tissue that can cover the teeth, possibly interfering with tooth alignment and leading to impaired oral. If your gums are growing over your teeth or appear to be bumpy and protuding, you may have. Gingival Hyperplasia Back Teeth.
From dentaljournal.home.blog
Gingival hyperplasia Dentistry and Practices Gingival Hyperplasia Back Teeth The affected gum tissue often becomes. Once the condition begins, it creates a cycle of difficulty performing good oral hygiene, leading to higher risk (and possibly more severe symptoms) of overgrowth. There are several causes of gingival enlargement and they can be grouped into four categories: Gingival hyperplasia, also referred to as gingival enlargement, is the overgrowth of gum tissue. Gingival Hyperplasia Back Teeth.
From flexikon.doccheck.com
Gingivahyperplasie DocCheck Flexikon Gingival Hyperplasia Back Teeth Once the condition begins, it creates a cycle of difficulty performing good oral hygiene, leading to higher risk (and possibly more severe symptoms) of overgrowth. Gingival hyperplasia is a condition of the mouth involving overgrowth of the gingiva (the gum tissue) surrounding the teeth. What are the possible causes? If your gums are growing over your teeth or swelling up. Gingival Hyperplasia Back Teeth.
From mavink.com
Gingival Hyperplasia Braces Gingival Hyperplasia Back Teeth Gingival hyperplasia, also referred to as gingival enlargement, is the overgrowth of gum tissue around your teeth. If your gums are growing over your teeth or appear to be bumpy and protuding, you may have a condition known as gingival hyperplasia. Gingival hyperplasia is the abnormal growth of excessive gum tissue that can cover the teeth, possibly interfering with tooth. Gingival Hyperplasia Back Teeth.
From ajouimplant.blogspot.com
Dental implant professional Gingival hyperplasia of implants supported bar & clip overdenture Gingival Hyperplasia Back Teeth If your gums are growing over your teeth or swelling up to form bumps, you may have a condition known as gingival hyperplasia. Gingival hyperplasia is a condition of the mouth involving overgrowth of the gingiva (the gum tissue) surrounding the teeth. What are the possible causes? There are several causes of gingival enlargement and they can be grouped into. Gingival Hyperplasia Back Teeth.
From www.oooojournal.net
Localized juvenile spongiotic gingival hyperplasia Oral Surgery, Oral Medicine, Oral Pathology Gingival Hyperplasia Back Teeth What are the possible causes? Gingival hyperplasia is a condition of the mouth involving overgrowth of the gingiva (the gum tissue) surrounding the teeth. Gingival hyperplasia, also referred to as gingival enlargement, is the overgrowth of gum tissue around your teeth. The affected gum tissue often becomes. If your gums are growing over your teeth or appear to be bumpy. Gingival Hyperplasia Back Teeth.
From www.newburysmiles.com
Gingival hyperplasia Dentist in Newbury Park Gingival Hyperplasia Back Teeth 1) inflammatory gingival enlargement, 2). The affected gum tissue often becomes. If your gums are growing over your teeth or appear to be bumpy and protuding, you may have a condition known as gingival hyperplasia. There are several causes of gingival enlargement and they can be grouped into four categories: Gingival hyperplasia is a condition of the mouth involving overgrowth. Gingival Hyperplasia Back Teeth.
From www.researchgate.net
Lipoid proteinosis. (A) Gingival hyperplasia due to infiltration of... Download Scientific Diagram Gingival Hyperplasia Back Teeth Gingival hyperplasia, also referred to as gingival enlargement, is the overgrowth of gum tissue around your teeth. Gingival hyperplasia is a condition of the mouth involving overgrowth of the gingiva (the gum tissue) surrounding the teeth. What are the possible causes? There are several causes of gingival enlargement and they can be grouped into four categories: Gingival enlargement refers to. Gingival Hyperplasia Back Teeth.
From periobasics.com
Gingival enlargement Clinical Periodontology Gingival Hyperplasia Back Teeth If your gums are growing over your teeth or swelling up to form bumps, you may have a condition known as gingival hyperplasia. Once the condition begins, it creates a cycle of difficulty performing good oral hygiene, leading to higher risk (and possibly more severe symptoms) of overgrowth. Gingival hyperplasia, also referred to as gingival enlargement, is the overgrowth of. Gingival Hyperplasia Back Teeth.
From mungfali.com
Orthodontic Gingival Hyperplasia Gingival Hyperplasia Back Teeth There are several causes of gingival enlargement and they can be grouped into four categories: Gingival hyperplasia is the abnormal growth of excessive gum tissue that can cover the teeth, possibly interfering with tooth alignment and leading to impaired oral. 1) inflammatory gingival enlargement, 2). Gingival hyperplasia, also referred to as gingival enlargement, is the overgrowth of gum tissue around. Gingival Hyperplasia Back Teeth.
From jamanetwork.com
"Strawberry" Gingival Hyperplasia A Pathognomonic Mucocutaneous Finding in Wegener Gingival Hyperplasia Back Teeth 1) inflammatory gingival enlargement, 2). Gingival enlargement refers to excessive growth of the gums, and may also be known as gingival hyperplasia or hypertrophy. Gingival hyperplasia, also referred to as gingival enlargement, is the overgrowth of gum tissue around your teeth. If your gums are growing over your teeth or swelling up to form bumps, you may have a condition. Gingival Hyperplasia Back Teeth.
From smartypance.com
Diseases of the teeth and gums (ReelDx) Smarty PANCE Gingival Hyperplasia Back Teeth Gingival hyperplasia, also referred to as gingival enlargement, is the overgrowth of gum tissue around your teeth. 1) inflammatory gingival enlargement, 2). Gingival enlargement refers to excessive growth of the gums, and may also be known as gingival hyperplasia or hypertrophy. Gingival hyperplasia is a condition of the mouth involving overgrowth of the gingiva (the gum tissue) surrounding the teeth.. Gingival Hyperplasia Back Teeth.
From www.cureus.com
Cureus DrugInduced Gingival Hyperplasia in a Hypertensive Patient A Case Report Gingival Hyperplasia Back Teeth If your gums are growing over your teeth or swelling up to form bumps, you may have a condition known as gingival hyperplasia. Gingival enlargement refers to excessive growth of the gums, and may also be known as gingival hyperplasia or hypertrophy. Gingival hyperplasia is a condition of the mouth involving overgrowth of the gingiva (the gum tissue) surrounding the. Gingival Hyperplasia Back Teeth.
From ar.inspiredpencil.com
Gingival Hyperplasia With Braces Gingival Hyperplasia Back Teeth 1) inflammatory gingival enlargement, 2). Gingival enlargement refers to excessive growth of the gums, and may also be known as gingival hyperplasia or hypertrophy. What are the possible causes? If your gums are growing over your teeth or swelling up to form bumps, you may have a condition known as gingival hyperplasia. Gingival hyperplasia is a condition of the mouth. Gingival Hyperplasia Back Teeth.
From www.drkatarmal.com
Treatment of Gingival Hyperplasia Dr. Bharat Katarmal Dental & Implant Clinic Gingival Hyperplasia Back Teeth Once the condition begins, it creates a cycle of difficulty performing good oral hygiene, leading to higher risk (and possibly more severe symptoms) of overgrowth. Gingival enlargement refers to excessive growth of the gums, and may also be known as gingival hyperplasia or hypertrophy. 1) inflammatory gingival enlargement, 2). The affected gum tissue often becomes. Gingival hyperplasia is the abnormal. Gingival Hyperplasia Back Teeth.
From www.shutterstock.com
Gingival Hyperplasia Medical Poster Vector Illustration Stock Vector (Royalty Free) 2213388959 Gingival Hyperplasia Back Teeth Gingival hyperplasia, also referred to as gingival enlargement, is the overgrowth of gum tissue around your teeth. If your gums are growing over your teeth or appear to be bumpy and protuding, you may have a condition known as gingival hyperplasia. Gingival hyperplasia is the abnormal growth of excessive gum tissue that can cover the teeth, possibly interfering with tooth. Gingival Hyperplasia Back Teeth.
From www.merckmanuals.com
Gingival Hyperplasia Dental Disorders Merck Manuals Professional Edition Gingival Hyperplasia Back Teeth Once the condition begins, it creates a cycle of difficulty performing good oral hygiene, leading to higher risk (and possibly more severe symptoms) of overgrowth. What are the possible causes? Gingival hyperplasia, also referred to as gingival enlargement, is the overgrowth of gum tissue around your teeth. The affected gum tissue often becomes. Gingival hyperplasia is a condition of the. Gingival Hyperplasia Back Teeth.
From healthjade.net
Gingival hypertrophy causes, symptoms, diagnosis & treatment Gingival Hyperplasia Back Teeth 1) inflammatory gingival enlargement, 2). Gingival enlargement refers to excessive growth of the gums, and may also be known as gingival hyperplasia or hypertrophy. What are the possible causes? Once the condition begins, it creates a cycle of difficulty performing good oral hygiene, leading to higher risk (and possibly more severe symptoms) of overgrowth. The affected gum tissue often becomes.. Gingival Hyperplasia Back Teeth.
From www.semortho.com
Basic laser procedures in orthodontic practice Seminars in Orthodontics Gingival Hyperplasia Back Teeth If your gums are growing over your teeth or appear to be bumpy and protuding, you may have a condition known as gingival hyperplasia. Once the condition begins, it creates a cycle of difficulty performing good oral hygiene, leading to higher risk (and possibly more severe symptoms) of overgrowth. Gingival enlargement refers to excessive growth of the gums, and may. Gingival Hyperplasia Back Teeth.
From www.internationaljournalofcardiology.com
Amlodipine induced gingival hyperplasia A rare entity International Journal of Cardiology Gingival Hyperplasia Back Teeth If your gums are growing over your teeth or swelling up to form bumps, you may have a condition known as gingival hyperplasia. 1) inflammatory gingival enlargement, 2). If your gums are growing over your teeth or appear to be bumpy and protuding, you may have a condition known as gingival hyperplasia. Gingival enlargement refers to excessive growth of the. Gingival Hyperplasia Back Teeth.
From www.lovettdentistrykohrville.com
What Is Gingivitis? Your Guide To Your Gums General Dentistry Texas Gingival Hyperplasia Back Teeth Gingival enlargement refers to excessive growth of the gums, and may also be known as gingival hyperplasia or hypertrophy. If your gums are growing over your teeth or appear to be bumpy and protuding, you may have a condition known as gingival hyperplasia. The affected gum tissue often becomes. There are several causes of gingival enlargement and they can be. Gingival Hyperplasia Back Teeth.
From ar.inspiredpencil.com
Gingival Hyperplasia Gingival Hyperplasia Back Teeth Gingival hyperplasia, also referred to as gingival enlargement, is the overgrowth of gum tissue around your teeth. What are the possible causes? If your gums are growing over your teeth or appear to be bumpy and protuding, you may have a condition known as gingival hyperplasia. Gingival hyperplasia is a condition of the mouth involving overgrowth of the gingiva (the. Gingival Hyperplasia Back Teeth.
From mungfali.com
Orthodontic Gingival Hyperplasia Gingival Hyperplasia Back Teeth Gingival hyperplasia is a condition of the mouth involving overgrowth of the gingiva (the gum tissue) surrounding the teeth. If your gums are growing over your teeth or swelling up to form bumps, you may have a condition known as gingival hyperplasia. Gingival hyperplasia, also referred to as gingival enlargement, is the overgrowth of gum tissue around your teeth. Once. Gingival Hyperplasia Back Teeth.
From www.researchgate.net
Intraoral clinical aspect. Gingival hyperplasia is widespread and... Download Scientific Diagram Gingival Hyperplasia Back Teeth Once the condition begins, it creates a cycle of difficulty performing good oral hygiene, leading to higher risk (and possibly more severe symptoms) of overgrowth. Gingival hyperplasia, also referred to as gingival enlargement, is the overgrowth of gum tissue around your teeth. What are the possible causes? The affected gum tissue often becomes. 1) inflammatory gingival enlargement, 2). Gingival hyperplasia. Gingival Hyperplasia Back Teeth.
From casereports.bmj.com
Phenytoininduced gingival enlargement a dental awakening for patients with epilepsy BMJ Case Gingival Hyperplasia Back Teeth Gingival hyperplasia, also referred to as gingival enlargement, is the overgrowth of gum tissue around your teeth. 1) inflammatory gingival enlargement, 2). What are the possible causes? There are several causes of gingival enlargement and they can be grouped into four categories: Gingival hyperplasia is the abnormal growth of excessive gum tissue that can cover the teeth, possibly interfering with. Gingival Hyperplasia Back Teeth.
From www.researchgate.net
Healing of gingival hyperplasia at the eight week of chemotherapy. No... Download Scientific Gingival Hyperplasia Back Teeth Gingival hyperplasia, also referred to as gingival enlargement, is the overgrowth of gum tissue around your teeth. What are the possible causes? There are several causes of gingival enlargement and they can be grouped into four categories: 1) inflammatory gingival enlargement, 2). The affected gum tissue often becomes. If your gums are growing over your teeth or appear to be. Gingival Hyperplasia Back Teeth.
From www.edpdental.com
What is Gingivitis? Gingivitis Symptoms and Treatment Gingival Hyperplasia Back Teeth Gingival enlargement refers to excessive growth of the gums, and may also be known as gingival hyperplasia or hypertrophy. What are the possible causes? The affected gum tissue often becomes. Gingival hyperplasia, also referred to as gingival enlargement, is the overgrowth of gum tissue around your teeth. Once the condition begins, it creates a cycle of difficulty performing good oral. Gingival Hyperplasia Back Teeth.
From www.studiodentaire.com
Gingival hyperplasia Studio Dentaire Gingival Hyperplasia Back Teeth 1) inflammatory gingival enlargement, 2). Once the condition begins, it creates a cycle of difficulty performing good oral hygiene, leading to higher risk (and possibly more severe symptoms) of overgrowth. If your gums are growing over your teeth or swelling up to form bumps, you may have a condition known as gingival hyperplasia. There are several causes of gingival enlargement. Gingival Hyperplasia Back Teeth.
From www.rockville-all-smiles-dentistry.com
Common Symptoms of Gingival Hyperplasia rockvilleallsmilesdentistry Gingival Hyperplasia Back Teeth If your gums are growing over your teeth or swelling up to form bumps, you may have a condition known as gingival hyperplasia. Gingival enlargement refers to excessive growth of the gums, and may also be known as gingival hyperplasia or hypertrophy. There are several causes of gingival enlargement and they can be grouped into four categories: Once the condition. Gingival Hyperplasia Back Teeth.