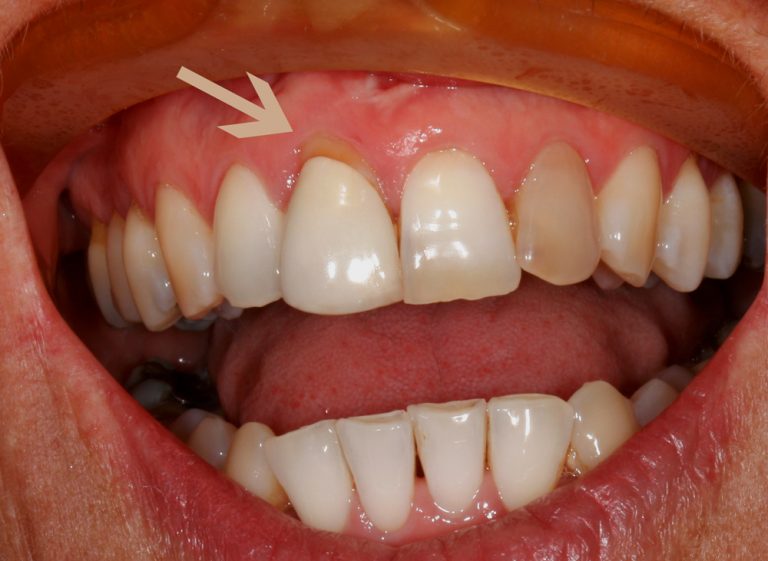
Dental Bridge Receding Gums . Today i share the variations of how dental bridges can be applied and how these options might save you a ton of cash. gum recession is when your gum tissue pulls away from your teeth, exposing the roots underneath. But before we explore how to fix gums from receding, let’s first. dental bridges are a type of restoration used to replace missing teeth or damaged teeth. It consists of one or more artificial teeth held in place by attaching them. I also cover other ways to fill a gap in your smile you might not have thought of. yes, dental implants can be a suitable alternative to traditional bridges, especially if gum recession has compromised the stability of adjacent. — by dr veronica roller. — if you’re looking for receding gums treatment, you’ve come to the right blog. It’s caused by a number. our cosmetic dentists gently slide gum tissue over receded teeth without the use of incisions or sutures. — signs indicating a bridge may be affecting gum health include persistent bad breath, gum redness, swelling, bleeding, or persistent discomfort. A dental bridge is a proven way to help fill in a missing tooth.
from www.infodentis.com
— by dr veronica roller. dental bridges are a type of restoration used to replace missing teeth or damaged teeth. It’s caused by a number. A dental bridge is a proven way to help fill in a missing tooth. — if you’re looking for receding gums treatment, you’ve come to the right blog. It consists of one or more artificial teeth held in place by attaching them. our cosmetic dentists gently slide gum tissue over receded teeth without the use of incisions or sutures. — signs indicating a bridge may be affecting gum health include persistent bad breath, gum redness, swelling, bleeding, or persistent discomfort. Today i share the variations of how dental bridges can be applied and how these options might save you a ton of cash. gum recession is when your gum tissue pulls away from your teeth, exposing the roots underneath.
How Can We Stop Receding Gums?
Dental Bridge Receding Gums — signs indicating a bridge may be affecting gum health include persistent bad breath, gum redness, swelling, bleeding, or persistent discomfort. It consists of one or more artificial teeth held in place by attaching them. A dental bridge is a proven way to help fill in a missing tooth. I also cover other ways to fill a gap in your smile you might not have thought of. — if you’re looking for receding gums treatment, you’ve come to the right blog. dental bridges are a type of restoration used to replace missing teeth or damaged teeth. — signs indicating a bridge may be affecting gum health include persistent bad breath, gum redness, swelling, bleeding, or persistent discomfort. It’s caused by a number. But before we explore how to fix gums from receding, let’s first. our cosmetic dentists gently slide gum tissue over receded teeth without the use of incisions or sutures. gum recession is when your gum tissue pulls away from your teeth, exposing the roots underneath. Today i share the variations of how dental bridges can be applied and how these options might save you a ton of cash. yes, dental implants can be a suitable alternative to traditional bridges, especially if gum recession has compromised the stability of adjacent. — by dr veronica roller.
From www.verywellhealth.com
Dental Bridge Types, Advantages, Disadvantages Dental Bridge Receding Gums But before we explore how to fix gums from receding, let’s first. I also cover other ways to fill a gap in your smile you might not have thought of. — by dr veronica roller. gum recession is when your gum tissue pulls away from your teeth, exposing the roots underneath. It’s caused by a number. Today i. Dental Bridge Receding Gums.
From www.infodentis.com
How Can We Stop Receding Gums? Dental Bridge Receding Gums I also cover other ways to fill a gap in your smile you might not have thought of. — signs indicating a bridge may be affecting gum health include persistent bad breath, gum redness, swelling, bleeding, or persistent discomfort. A dental bridge is a proven way to help fill in a missing tooth. gum recession is when your. Dental Bridge Receding Gums.
From www.animalia-life.club
Receding Gums Stages Dental Bridge Receding Gums It’s caused by a number. Today i share the variations of how dental bridges can be applied and how these options might save you a ton of cash. But before we explore how to fix gums from receding, let’s first. — signs indicating a bridge may be affecting gum health include persistent bad breath, gum redness, swelling, bleeding, or. Dental Bridge Receding Gums.
From www.smileondentists.com
Porcelain Dental Bridges Dentist Marina del Rey SmileOn Dentistry Dental Bridge Receding Gums It’s caused by a number. dental bridges are a type of restoration used to replace missing teeth or damaged teeth. — if you’re looking for receding gums treatment, you’ve come to the right blog. — signs indicating a bridge may be affecting gum health include persistent bad breath, gum redness, swelling, bleeding, or persistent discomfort. our. Dental Bridge Receding Gums.
From appletreedentistry.net
What Is A Dental Bridge? Dental Bridge Receding Gums yes, dental implants can be a suitable alternative to traditional bridges, especially if gum recession has compromised the stability of adjacent. dental bridges are a type of restoration used to replace missing teeth or damaged teeth. But before we explore how to fix gums from receding, let’s first. — signs indicating a bridge may be affecting gum. Dental Bridge Receding Gums.
From caugheydds.com
Bridge with Pink Porcelain Gums Elizabeth Caughey DDSElizabeth Dental Bridge Receding Gums It consists of one or more artificial teeth held in place by attaching them. — signs indicating a bridge may be affecting gum health include persistent bad breath, gum redness, swelling, bleeding, or persistent discomfort. — if you’re looking for receding gums treatment, you’ve come to the right blog. A dental bridge is a proven way to help. Dental Bridge Receding Gums.
From museumdental.com
How to Fix receding Gums? Museum Dental Center Los Angeles Dental Bridge Receding Gums — if you’re looking for receding gums treatment, you’ve come to the right blog. A dental bridge is a proven way to help fill in a missing tooth. our cosmetic dentists gently slide gum tissue over receded teeth without the use of incisions or sutures. But before we explore how to fix gums from receding, let’s first. . Dental Bridge Receding Gums.
From www.enhancemyself.com
Dental Bridge Types, Procedure, Cost, Recovery Dental Bridge Receding Gums I also cover other ways to fill a gap in your smile you might not have thought of. It’s caused by a number. — signs indicating a bridge may be affecting gum health include persistent bad breath, gum redness, swelling, bleeding, or persistent discomfort. A dental bridge is a proven way to help fill in a missing tooth. . Dental Bridge Receding Gums.
From www.konigdds.com
What is a Fixed Dental Bridge? Konig Center for Cosmetic Dental Bridge Receding Gums dental bridges are a type of restoration used to replace missing teeth or damaged teeth. gum recession is when your gum tissue pulls away from your teeth, exposing the roots underneath. But before we explore how to fix gums from receding, let’s first. — if you’re looking for receding gums treatment, you’ve come to the right blog.. Dental Bridge Receding Gums.
From www.infodentis.com
Dental Bridges, a Complete Overview Dental Bridge Receding Gums yes, dental implants can be a suitable alternative to traditional bridges, especially if gum recession has compromised the stability of adjacent. It’s caused by a number. But before we explore how to fix gums from receding, let’s first. — by dr veronica roller. A dental bridge is a proven way to help fill in a missing tooth. It. Dental Bridge Receding Gums.
From aurorahillsdental.com
Dental Bridges Aurora Restorative Dentistry Pontic Teeth Dental Bridge Receding Gums I also cover other ways to fill a gap in your smile you might not have thought of. — signs indicating a bridge may be affecting gum health include persistent bad breath, gum redness, swelling, bleeding, or persistent discomfort. yes, dental implants can be a suitable alternative to traditional bridges, especially if gum recession has compromised the stability. Dental Bridge Receding Gums.
From arlington-dentistry.com
Dental Bridges Arlington Dentistry Dental Bridge Receding Gums our cosmetic dentists gently slide gum tissue over receded teeth without the use of incisions or sutures. But before we explore how to fix gums from receding, let’s first. It consists of one or more artificial teeth held in place by attaching them. I also cover other ways to fill a gap in your smile you might not have. Dental Bridge Receding Gums.
From www.youtube.com
Gum contouring for final bridge YouTube Dental Bridge Receding Gums But before we explore how to fix gums from receding, let’s first. — if you’re looking for receding gums treatment, you’ve come to the right blog. — signs indicating a bridge may be affecting gum health include persistent bad breath, gum redness, swelling, bleeding, or persistent discomfort. Today i share the variations of how dental bridges can be. Dental Bridge Receding Gums.
From pinnacledentistryco.com
Dental Bonding In Colorado Springs, CO Pinnacle Dentistry Dental Bridge Receding Gums our cosmetic dentists gently slide gum tissue over receded teeth without the use of incisions or sutures. gum recession is when your gum tissue pulls away from your teeth, exposing the roots underneath. dental bridges are a type of restoration used to replace missing teeth or damaged teeth. It consists of one or more artificial teeth held. Dental Bridge Receding Gums.
From www.facialart.com
Receding Gum Tissue After Dental Implant Treatments Receding Gum Dental Bridge Receding Gums — by dr veronica roller. gum recession is when your gum tissue pulls away from your teeth, exposing the roots underneath. — signs indicating a bridge may be affecting gum health include persistent bad breath, gum redness, swelling, bleeding, or persistent discomfort. It’s caused by a number. yes, dental implants can be a suitable alternative to. Dental Bridge Receding Gums.
From mychampiondental.com
Gum Grafting A Solution to Receding Gums Champion Dental Dental Bridge Receding Gums — by dr veronica roller. yes, dental implants can be a suitable alternative to traditional bridges, especially if gum recession has compromised the stability of adjacent. It consists of one or more artificial teeth held in place by attaching them. It’s caused by a number. — if you’re looking for receding gums treatment, you’ve come to the. Dental Bridge Receding Gums.
From exoknpzhd.blob.core.windows.net
Gluing A Dental Bridge at Taylor Carman blog Dental Bridge Receding Gums — if you’re looking for receding gums treatment, you’ve come to the right blog. Today i share the variations of how dental bridges can be applied and how these options might save you a ton of cash. dental bridges are a type of restoration used to replace missing teeth or damaged teeth. It’s caused by a number. A. Dental Bridge Receding Gums.
From www.animalia-life.club
Receding Gums Stages Dental Bridge Receding Gums — signs indicating a bridge may be affecting gum health include persistent bad breath, gum redness, swelling, bleeding, or persistent discomfort. Today i share the variations of how dental bridges can be applied and how these options might save you a ton of cash. It’s caused by a number. gum recession is when your gum tissue pulls away. Dental Bridge Receding Gums.
From www.northwestdds.com
Dental Bridges Northwest Dental Glyndon Maryland Dental Bridge Receding Gums — signs indicating a bridge may be affecting gum health include persistent bad breath, gum redness, swelling, bleeding, or persistent discomfort. gum recession is when your gum tissue pulls away from your teeth, exposing the roots underneath. It consists of one or more artificial teeth held in place by attaching them. But before we explore how to fix. Dental Bridge Receding Gums.
From welchdentalgroup.com
I Have Receding Gums, Can I Still Get Dental Implants? Welch Dental Group Dental Bridge Receding Gums Today i share the variations of how dental bridges can be applied and how these options might save you a ton of cash. gum recession is when your gum tissue pulls away from your teeth, exposing the roots underneath. It’s caused by a number. — if you’re looking for receding gums treatment, you’ve come to the right blog.. Dental Bridge Receding Gums.
From exommitue.blob.core.windows.net
Video Of Gum Surgery at Lillie Baker blog Dental Bridge Receding Gums Today i share the variations of how dental bridges can be applied and how these options might save you a ton of cash. It’s caused by a number. yes, dental implants can be a suitable alternative to traditional bridges, especially if gum recession has compromised the stability of adjacent. A dental bridge is a proven way to help fill. Dental Bridge Receding Gums.
From www.resslerdental.com
Fix receding gums graft repair Boynton Beach Gum Specialist Dental Bridge Receding Gums I also cover other ways to fill a gap in your smile you might not have thought of. — if you’re looking for receding gums treatment, you’ve come to the right blog. But before we explore how to fix gums from receding, let’s first. It’s caused by a number. dental bridges are a type of restoration used to. Dental Bridge Receding Gums.
From www.theoralcarecentre.com.sg
Receding Gums Oralcare Dental Bridge Receding Gums gum recession is when your gum tissue pulls away from your teeth, exposing the roots underneath. A dental bridge is a proven way to help fill in a missing tooth. — by dr veronica roller. It’s caused by a number. our cosmetic dentists gently slide gum tissue over receded teeth without the use of incisions or sutures.. Dental Bridge Receding Gums.
From www.youtube.com
Fix Dental Implant Gum Recession YouTube Dental Bridge Receding Gums Today i share the variations of how dental bridges can be applied and how these options might save you a ton of cash. It’s caused by a number. our cosmetic dentists gently slide gum tissue over receded teeth without the use of incisions or sutures. — by dr veronica roller. — signs indicating a bridge may be. Dental Bridge Receding Gums.
From exoilwmjh.blob.core.windows.net
Infection In Receding Gums at Howard Foster blog Dental Bridge Receding Gums I also cover other ways to fill a gap in your smile you might not have thought of. But before we explore how to fix gums from receding, let’s first. yes, dental implants can be a suitable alternative to traditional bridges, especially if gum recession has compromised the stability of adjacent. It’s caused by a number. — if. Dental Bridge Receding Gums.
From sunshinesmilesdentistry.com
Why are my gums receding? Dental Bridge Receding Gums A dental bridge is a proven way to help fill in a missing tooth. Today i share the variations of how dental bridges can be applied and how these options might save you a ton of cash. gum recession is when your gum tissue pulls away from your teeth, exposing the roots underneath. dental bridges are a type. Dental Bridge Receding Gums.
From www.tompkinsdental.com
Receding Gums and 6 Other Signs of Gum Disease Tompkins Dental Dental Bridge Receding Gums — signs indicating a bridge may be affecting gum health include persistent bad breath, gum redness, swelling, bleeding, or persistent discomfort. our cosmetic dentists gently slide gum tissue over receded teeth without the use of incisions or sutures. It’s caused by a number. dental bridges are a type of restoration used to replace missing teeth or damaged. Dental Bridge Receding Gums.
From dxomdmctj.blob.core.windows.net
Do Dental Bridges Wear Out at Milagro Burch blog Dental Bridge Receding Gums But before we explore how to fix gums from receding, let’s first. — by dr veronica roller. yes, dental implants can be a suitable alternative to traditional bridges, especially if gum recession has compromised the stability of adjacent. — signs indicating a bridge may be affecting gum health include persistent bad breath, gum redness, swelling, bleeding, or. Dental Bridge Receding Gums.
From www.burbankdentalimplants.com
Shaping And Forming Gum Around Front Teeth Dental Implants Ramsey Dental Bridge Receding Gums Today i share the variations of how dental bridges can be applied and how these options might save you a ton of cash. But before we explore how to fix gums from receding, let’s first. I also cover other ways to fill a gap in your smile you might not have thought of. dental bridges are a type of. Dental Bridge Receding Gums.
From www.facialart.com
Gum Recession Around Dental Implants Gum Recession Around Dental Dental Bridge Receding Gums I also cover other ways to fill a gap in your smile you might not have thought of. It consists of one or more artificial teeth held in place by attaching them. dental bridges are a type of restoration used to replace missing teeth or damaged teeth. — if you’re looking for receding gums treatment, you’ve come to. Dental Bridge Receding Gums.
From exoknpzhd.blob.core.windows.net
Gluing A Dental Bridge at Taylor Carman blog Dental Bridge Receding Gums yes, dental implants can be a suitable alternative to traditional bridges, especially if gum recession has compromised the stability of adjacent. — signs indicating a bridge may be affecting gum health include persistent bad breath, gum redness, swelling, bleeding, or persistent discomfort. But before we explore how to fix gums from receding, let’s first. A dental bridge is. Dental Bridge Receding Gums.
From dentalworld.co.uk
Dental Bridge Work Explanation Alternative to Dental Implants Dental Bridge Receding Gums It consists of one or more artificial teeth held in place by attaching them. — signs indicating a bridge may be affecting gum health include persistent bad breath, gum redness, swelling, bleeding, or persistent discomfort. gum recession is when your gum tissue pulls away from your teeth, exposing the roots underneath. I also cover other ways to fill. Dental Bridge Receding Gums.
From www.dentaldelaware.com
Receding Gums Cases Southern Delaware Dental Specialists Dental Bridge Receding Gums gum recession is when your gum tissue pulls away from your teeth, exposing the roots underneath. yes, dental implants can be a suitable alternative to traditional bridges, especially if gum recession has compromised the stability of adjacent. A dental bridge is a proven way to help fill in a missing tooth. I also cover other ways to fill. Dental Bridge Receding Gums.
From www.stoneridgedentalcare.com
Dental Bridges For Your Perfect Smile at Stoneridge Dental Dental Bridge Receding Gums — signs indicating a bridge may be affecting gum health include persistent bad breath, gum redness, swelling, bleeding, or persistent discomfort. our cosmetic dentists gently slide gum tissue over receded teeth without the use of incisions or sutures. It consists of one or more artificial teeth held in place by attaching them. dental bridges are a type. Dental Bridge Receding Gums.
From www.burbankdentalimplants.com
Shaping And Forming Gum Around Front Teeth Dental Implants Ramsey Dental Bridge Receding Gums — by dr veronica roller. But before we explore how to fix gums from receding, let’s first. gum recession is when your gum tissue pulls away from your teeth, exposing the roots underneath. yes, dental implants can be a suitable alternative to traditional bridges, especially if gum recession has compromised the stability of adjacent. I also cover. Dental Bridge Receding Gums.