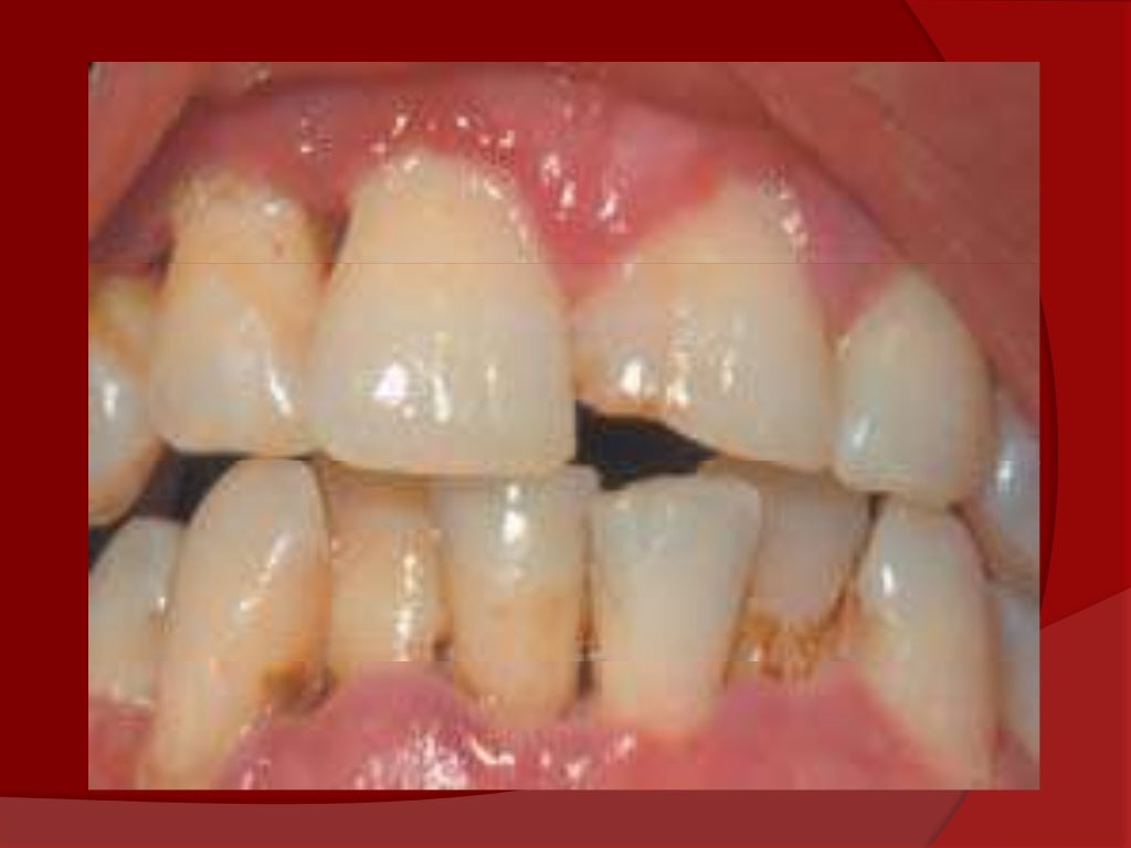
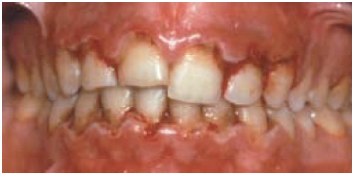
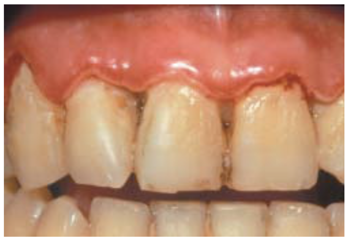
Gingivitis Necrotizante . Symptoms are acute pain, bleeding, and foul breath. Los síntomas son dolor agudo, sangrado y aliento de olor. Diagnosis is based on clinical findings. Treatment is gentle debridement, improved oral hygiene, mouth rinses, supportive care, and, if debridement must be delayed, antibiotics. La gingivitis ulcerativa necrosante aguda es una infección dolorosa de las encías. Acute necrotizing ulcerative gingivitis (anug) is a rare infectious disease of the gum tissue, affecting <1% of the population. Covers the management of acute necrotizing ulcerative gingivitis where the gums are acutely painful and swollen; The aim of this narrative literature review was to describe the available evidence on the diagnosis and treatment of ng, and present. Anug presents as an acute, painful, and destructive. They bleed easily and have. There are three major forms: It has an acute clinical presentation with the distinctive. Acute necrotizing ulcerative gingivitis is a painful infection of the gums. Necrotizing ulcerative gingivitis (nug) is a typical form of periodontal diseases.
from www.youtube.com
Diagnosis is based on clinical findings. Acute necrotizing ulcerative gingivitis (anug) is a rare infectious disease of the gum tissue, affecting <1% of the population. It has an acute clinical presentation with the distinctive. The aim of this narrative literature review was to describe the available evidence on the diagnosis and treatment of ng, and present. Covers the management of acute necrotizing ulcerative gingivitis where the gums are acutely painful and swollen; Anug presents as an acute, painful, and destructive. Acute necrotizing ulcerative gingivitis is a painful infection of the gums. Treatment is gentle debridement, improved oral hygiene, mouth rinses, supportive care, and, if debridement must be delayed, antibiotics. La gingivitis ulcerativa necrosante aguda es una infección dolorosa de las encías. Necrotizing ulcerative gingivitis (nug) is a typical form of periodontal diseases.
TRANSMISIÓN EN VIVO HABLANDO SOBRE GINGIVITIS ULCERO NECROTIZANTE
Gingivitis Necrotizante La gingivitis ulcerativa necrosante aguda es una infección dolorosa de las encías. It has an acute clinical presentation with the distinctive. Diagnosis is based on clinical findings. They bleed easily and have. La gingivitis ulcerativa necrosante aguda es una infección dolorosa de las encías. Acute necrotizing ulcerative gingivitis is a painful infection of the gums. There are three major forms: The aim of this narrative literature review was to describe the available evidence on the diagnosis and treatment of ng, and present. Treatment is gentle debridement, improved oral hygiene, mouth rinses, supportive care, and, if debridement must be delayed, antibiotics. Anug presents as an acute, painful, and destructive. Symptoms are acute pain, bleeding, and foul breath. Covers the management of acute necrotizing ulcerative gingivitis where the gums are acutely painful and swollen; Los síntomas son dolor agudo, sangrado y aliento de olor. Necrotizing ulcerative gingivitis (nug) is a typical form of periodontal diseases. Acute necrotizing ulcerative gingivitis (anug) is a rare infectious disease of the gum tissue, affecting <1% of the population.
From www.perio-implants.gr
Acute Ulcerative Necrotizing Periodontitis (ANUP) Spyros Kouris Gingivitis Necrotizante Necrotizing ulcerative gingivitis (nug) is a typical form of periodontal diseases. Acute necrotizing ulcerative gingivitis (anug) is a rare infectious disease of the gum tissue, affecting <1% of the population. Covers the management of acute necrotizing ulcerative gingivitis where the gums are acutely painful and swollen; The aim of this narrative literature review was to describe the available evidence on. Gingivitis Necrotizante.
From www.animalia-life.club
Necrotizing Ulcerative Gingivitis Before And After Gingivitis Necrotizante It has an acute clinical presentation with the distinctive. Diagnosis is based on clinical findings. The aim of this narrative literature review was to describe the available evidence on the diagnosis and treatment of ng, and present. Covers the management of acute necrotizing ulcerative gingivitis where the gums are acutely painful and swollen; Symptoms are acute pain, bleeding, and foul. Gingivitis Necrotizante.
From www.tekportal.net
acute necrotizing ulcerative gingivitis Liberal Dictionary Gingivitis Necrotizante Diagnosis is based on clinical findings. Acute necrotizing ulcerative gingivitis (anug) is a rare infectious disease of the gum tissue, affecting <1% of the population. Acute necrotizing ulcerative gingivitis is a painful infection of the gums. Necrotizing ulcerative gingivitis (nug) is a typical form of periodontal diseases. It has an acute clinical presentation with the distinctive. The aim of this. Gingivitis Necrotizante.
From www.animalia-life.club
Necrotizing Ulcerative Gingivitis Before And After Gingivitis Necrotizante Diagnosis is based on clinical findings. Los síntomas son dolor agudo, sangrado y aliento de olor. Covers the management of acute necrotizing ulcerative gingivitis where the gums are acutely painful and swollen; There are three major forms: Acute necrotizing ulcerative gingivitis is a painful infection of the gums. They bleed easily and have. Necrotizing ulcerative gingivitis (nug) is a typical. Gingivitis Necrotizante.
From es.scribd.com
Gingivitis Ulcerativa Necrotizante Aguda PDF Especialidades Medicas Gingivitis Necrotizante Acute necrotizing ulcerative gingivitis is a painful infection of the gums. Anug presents as an acute, painful, and destructive. The aim of this narrative literature review was to describe the available evidence on the diagnosis and treatment of ng, and present. Symptoms are acute pain, bleeding, and foul breath. Necrotizing ulcerative gingivitis (nug) is a typical form of periodontal diseases.. Gingivitis Necrotizante.
From raodoctor.com
Acute Necrotizing Ulcerative Gingivitis8 Signs And Symptoms Gingivitis Necrotizante Acute necrotizing ulcerative gingivitis is a painful infection of the gums. Covers the management of acute necrotizing ulcerative gingivitis where the gums are acutely painful and swollen; Acute necrotizing ulcerative gingivitis (anug) is a rare infectious disease of the gum tissue, affecting <1% of the population. The aim of this narrative literature review was to describe the available evidence on. Gingivitis Necrotizante.
From www.dentistryblog.com.au
Health risks of necrotizing gingivitis Dentistry Blogs Gingivitis Necrotizante Necrotizing ulcerative gingivitis (nug) is a typical form of periodontal diseases. Acute necrotizing ulcerative gingivitis (anug) is a rare infectious disease of the gum tissue, affecting <1% of the population. Anug presents as an acute, painful, and destructive. The aim of this narrative literature review was to describe the available evidence on the diagnosis and treatment of ng, and present.. Gingivitis Necrotizante.
From www.odontologiavirtual.com
PDF Gingivitis Ulcerativa Necrotizante Revisión y reporte de dos casos Gingivitis Necrotizante They bleed easily and have. Acute necrotizing ulcerative gingivitis is a painful infection of the gums. Los síntomas son dolor agudo, sangrado y aliento de olor. It has an acute clinical presentation with the distinctive. Covers the management of acute necrotizing ulcerative gingivitis where the gums are acutely painful and swollen; Diagnosis is based on clinical findings. Acute necrotizing ulcerative. Gingivitis Necrotizante.
From www.dreamstime.com
Necrotizing Ulcerative Gingivitis is a Periodontal Diseases Stock Gingivitis Necrotizante Acute necrotizing ulcerative gingivitis is a painful infection of the gums. It has an acute clinical presentation with the distinctive. The aim of this narrative literature review was to describe the available evidence on the diagnosis and treatment of ng, and present. Los síntomas son dolor agudo, sangrado y aliento de olor. Anug presents as an acute, painful, and destructive.. Gingivitis Necrotizante.
From www.vrogue.co
The Science Behind Gingivitis Treatment Products Dent vrogue.co Gingivitis Necrotizante Treatment is gentle debridement, improved oral hygiene, mouth rinses, supportive care, and, if debridement must be delayed, antibiotics. It has an acute clinical presentation with the distinctive. Acute necrotizing ulcerative gingivitis is a painful infection of the gums. La gingivitis ulcerativa necrosante aguda es una infección dolorosa de las encías. The aim of this narrative literature review was to describe. Gingivitis Necrotizante.
From app.emaze.com
Gingivitis Ulcerativa Necrotizante Gingivitis Necrotizante They bleed easily and have. Treatment is gentle debridement, improved oral hygiene, mouth rinses, supportive care, and, if debridement must be delayed, antibiotics. Los síntomas son dolor agudo, sangrado y aliento de olor. Symptoms are acute pain, bleeding, and foul breath. The aim of this narrative literature review was to describe the available evidence on the diagnosis and treatment of. Gingivitis Necrotizante.
From www.animalia-life.club
Necrotizing Ulcerative Gingivitis Before And After Gingivitis Necrotizante It has an acute clinical presentation with the distinctive. Covers the management of acute necrotizing ulcerative gingivitis where the gums are acutely painful and swollen; They bleed easily and have. Anug presents as an acute, painful, and destructive. Acute necrotizing ulcerative gingivitis (anug) is a rare infectious disease of the gum tissue, affecting <1% of the population. La gingivitis ulcerativa. Gingivitis Necrotizante.
From es.dreamstime.com
La Gingivitis Ulcerosa Necrotizante Es Una Enfermedad Periodontal Stock Gingivitis Necrotizante There are three major forms: They bleed easily and have. Anug presents as an acute, painful, and destructive. Symptoms are acute pain, bleeding, and foul breath. Treatment is gentle debridement, improved oral hygiene, mouth rinses, supportive care, and, if debridement must be delayed, antibiotics. Los síntomas son dolor agudo, sangrado y aliento de olor. It has an acute clinical presentation. Gingivitis Necrotizante.
From www.wikiwand.com
Acute necrotizing ulcerative gingivitis Wikiwand Gingivitis Necrotizante La gingivitis ulcerativa necrosante aguda es una infección dolorosa de las encías. Covers the management of acute necrotizing ulcerative gingivitis where the gums are acutely painful and swollen; Anug presents as an acute, painful, and destructive. Necrotizing ulcerative gingivitis (nug) is a typical form of periodontal diseases. Acute necrotizing ulcerative gingivitis (anug) is a rare infectious disease of the gum. Gingivitis Necrotizante.
From www.slideshare.net
Gingivitis ulcero necrotizante (gun) Gingivitis Necrotizante There are three major forms: Acute necrotizing ulcerative gingivitis is a painful infection of the gums. Acute necrotizing ulcerative gingivitis (anug) is a rare infectious disease of the gum tissue, affecting <1% of the population. Anug presents as an acute, painful, and destructive. Covers the management of acute necrotizing ulcerative gingivitis where the gums are acutely painful and swollen; It. Gingivitis Necrotizante.
From www.oralmedsurg.com
Necrotizing Ulcerative Gingivitis Titsinides Savvas Oral Medicine Gingivitis Necrotizante Covers the management of acute necrotizing ulcerative gingivitis where the gums are acutely painful and swollen; The aim of this narrative literature review was to describe the available evidence on the diagnosis and treatment of ng, and present. Acute necrotizing ulcerative gingivitis is a painful infection of the gums. Diagnosis is based on clinical findings. Acute necrotizing ulcerative gingivitis (anug). Gingivitis Necrotizante.
From www.periorioja.com
Periorioja Tratamiento de gingivitis ulceronecrotizante aguda (GUNA) Gingivitis Necrotizante Diagnosis is based on clinical findings. Symptoms are acute pain, bleeding, and foul breath. They bleed easily and have. Covers the management of acute necrotizing ulcerative gingivitis where the gums are acutely painful and swollen; Acute necrotizing ulcerative gingivitis is a painful infection of the gums. It has an acute clinical presentation with the distinctive. Treatment is gentle debridement, improved. Gingivitis Necrotizante.
From www.researchgate.net
Necrotizing ulcerative gingivitis. Note the characteristic gingival Gingivitis Necrotizante There are three major forms: Necrotizing ulcerative gingivitis (nug) is a typical form of periodontal diseases. Covers the management of acute necrotizing ulcerative gingivitis where the gums are acutely painful and swollen; The aim of this narrative literature review was to describe the available evidence on the diagnosis and treatment of ng, and present. La gingivitis ulcerativa necrosante aguda es. Gingivitis Necrotizante.
From app.emaze.com
Gingivitis Ulcerativa Necrotizante Gingivitis Necrotizante Treatment is gentle debridement, improved oral hygiene, mouth rinses, supportive care, and, if debridement must be delayed, antibiotics. Symptoms are acute pain, bleeding, and foul breath. Acute necrotizing ulcerative gingivitis is a painful infection of the gums. Diagnosis is based on clinical findings. There are three major forms: The aim of this narrative literature review was to describe the available. Gingivitis Necrotizante.
From www.periorioja.com
Periorioja Tratamiento de gingivitis ulceronecrotizante aguda (GUNA) Gingivitis Necrotizante Treatment is gentle debridement, improved oral hygiene, mouth rinses, supportive care, and, if debridement must be delayed, antibiotics. Anug presents as an acute, painful, and destructive. Necrotizing ulcerative gingivitis (nug) is a typical form of periodontal diseases. The aim of this narrative literature review was to describe the available evidence on the diagnosis and treatment of ng, and present. There. Gingivitis Necrotizante.
From www.clarencetam.co.nz
Mouth Ulcers Acute Necrotizing Ulcerative Gingivitis Laser Treatment Gingivitis Necrotizante Treatment is gentle debridement, improved oral hygiene, mouth rinses, supportive care, and, if debridement must be delayed, antibiotics. Necrotizing ulcerative gingivitis (nug) is a typical form of periodontal diseases. There are three major forms: It has an acute clinical presentation with the distinctive. Los síntomas son dolor agudo, sangrado y aliento de olor. They bleed easily and have. Symptoms are. Gingivitis Necrotizante.
From app.emaze.com
Gingivitis Ulcerativa Necrotizante Gingivitis Necrotizante There are three major forms: Anug presents as an acute, painful, and destructive. Acute necrotizing ulcerative gingivitis is a painful infection of the gums. Symptoms are acute pain, bleeding, and foul breath. Treatment is gentle debridement, improved oral hygiene, mouth rinses, supportive care, and, if debridement must be delayed, antibiotics. The aim of this narrative literature review was to describe. Gingivitis Necrotizante.
From es.dreamstime.com
La Gingivitis Ulcerosa Necrotizante Es Una Enfermedad Periodontal Stock Gingivitis Necrotizante Necrotizing ulcerative gingivitis (nug) is a typical form of periodontal diseases. Diagnosis is based on clinical findings. The aim of this narrative literature review was to describe the available evidence on the diagnosis and treatment of ng, and present. Los síntomas son dolor agudo, sangrado y aliento de olor. La gingivitis ulcerativa necrosante aguda es una infección dolorosa de las. Gingivitis Necrotizante.
From directorioodontologico.info
GINGIVITIS Ulceronecrotizante Aguda. Definición, diagnóstico y Gingivitis Necrotizante They bleed easily and have. La gingivitis ulcerativa necrosante aguda es una infección dolorosa de las encías. There are three major forms: It has an acute clinical presentation with the distinctive. Acute necrotizing ulcerative gingivitis (anug) is a rare infectious disease of the gum tissue, affecting <1% of the population. Diagnosis is based on clinical findings. Necrotizing ulcerative gingivitis (nug). Gingivitis Necrotizante.
From www.animalia-life.club
Necrotizing Ulcerative Gingivitis Before And After Gingivitis Necrotizante Los síntomas son dolor agudo, sangrado y aliento de olor. La gingivitis ulcerativa necrosante aguda es una infección dolorosa de las encías. There are three major forms: Symptoms are acute pain, bleeding, and foul breath. They bleed easily and have. Necrotizing ulcerative gingivitis (nug) is a typical form of periodontal diseases. Diagnosis is based on clinical findings. Treatment is gentle. Gingivitis Necrotizante.
From es.slideshare.net
Gingivitis ulcero necrotizante (gun) Gingivitis Necrotizante Treatment is gentle debridement, improved oral hygiene, mouth rinses, supportive care, and, if debridement must be delayed, antibiotics. They bleed easily and have. It has an acute clinical presentation with the distinctive. Acute necrotizing ulcerative gingivitis is a painful infection of the gums. Los síntomas son dolor agudo, sangrado y aliento de olor. Acute necrotizing ulcerative gingivitis (anug) is a. Gingivitis Necrotizante.
From www.youtube.com
TRANSMISIÓN EN VIVO HABLANDO SOBRE GINGIVITIS ULCERO NECROTIZANTE Gingivitis Necrotizante Treatment is gentle debridement, improved oral hygiene, mouth rinses, supportive care, and, if debridement must be delayed, antibiotics. Acute necrotizing ulcerative gingivitis (anug) is a rare infectious disease of the gum tissue, affecting <1% of the population. Acute necrotizing ulcerative gingivitis is a painful infection of the gums. Necrotizing ulcerative gingivitis (nug) is a typical form of periodontal diseases. Anug. Gingivitis Necrotizante.
From www.colegiosantainescampestre.edu.co
Gingivitis Ulcerativa Necrotizante Aguda (GUNA) Trastornos, 57 OFF Gingivitis Necrotizante Los síntomas son dolor agudo, sangrado y aliento de olor. Covers the management of acute necrotizing ulcerative gingivitis where the gums are acutely painful and swollen; Diagnosis is based on clinical findings. There are three major forms: La gingivitis ulcerativa necrosante aguda es una infección dolorosa de las encías. It has an acute clinical presentation with the distinctive. They bleed. Gingivitis Necrotizante.
From www.ionzabalegui.com
Gingivitis úlcero necrótica aguda Periodoncia Clínica Dental Bilbao Gingivitis Necrotizante They bleed easily and have. Necrotizing ulcerative gingivitis (nug) is a typical form of periodontal diseases. The aim of this narrative literature review was to describe the available evidence on the diagnosis and treatment of ng, and present. Los síntomas son dolor agudo, sangrado y aliento de olor. Acute necrotizing ulcerative gingivitis is a painful infection of the gums. La. Gingivitis Necrotizante.
From www.slideshare.net
Gingivitis ulcero necrotizante (gun) Gingivitis Necrotizante Symptoms are acute pain, bleeding, and foul breath. It has an acute clinical presentation with the distinctive. Diagnosis is based on clinical findings. Covers the management of acute necrotizing ulcerative gingivitis where the gums are acutely painful and swollen; There are three major forms: Acute necrotizing ulcerative gingivitis (anug) is a rare infectious disease of the gum tissue, affecting <1%. Gingivitis Necrotizante.
From es.dreamstime.com
La Gingivitis Ulcerosa Necrotizante Es Una Enfermedad Periodontal Stock Gingivitis Necrotizante It has an acute clinical presentation with the distinctive. The aim of this narrative literature review was to describe the available evidence on the diagnosis and treatment of ng, and present. Treatment is gentle debridement, improved oral hygiene, mouth rinses, supportive care, and, if debridement must be delayed, antibiotics. Diagnosis is based on clinical findings. Los síntomas son dolor agudo,. Gingivitis Necrotizante.
From es.slideshare.net
Gingivitis ulcero necrotizante (gun) Gingivitis Necrotizante Acute necrotizing ulcerative gingivitis is a painful infection of the gums. It has an acute clinical presentation with the distinctive. Necrotizing ulcerative gingivitis (nug) is a typical form of periodontal diseases. The aim of this narrative literature review was to describe the available evidence on the diagnosis and treatment of ng, and present. La gingivitis ulcerativa necrosante aguda es una. Gingivitis Necrotizante.
From ar.inspiredpencil.com
Acute Necrotizing Ulcerative Gingivitis Gingivitis Necrotizante There are three major forms: The aim of this narrative literature review was to describe the available evidence on the diagnosis and treatment of ng, and present. They bleed easily and have. Diagnosis is based on clinical findings. Acute necrotizing ulcerative gingivitis is a painful infection of the gums. It has an acute clinical presentation with the distinctive. Covers the. Gingivitis Necrotizante.
From www.lookfordiagnosis.com
Gingivitis ulcerosa necrotizante; Estomatitis Ulcerosa; Boca de Gingivitis Necrotizante Treatment is gentle debridement, improved oral hygiene, mouth rinses, supportive care, and, if debridement must be delayed, antibiotics. They bleed easily and have. Covers the management of acute necrotizing ulcerative gingivitis where the gums are acutely painful and swollen; Diagnosis is based on clinical findings. There are three major forms: It has an acute clinical presentation with the distinctive. Los. Gingivitis Necrotizante.
From app.emaze.com
Gingivitis Ulcerativa Necrotizante Gingivitis Necrotizante There are three major forms: Symptoms are acute pain, bleeding, and foul breath. They bleed easily and have. Acute necrotizing ulcerative gingivitis (anug) is a rare infectious disease of the gum tissue, affecting <1% of the population. Covers the management of acute necrotizing ulcerative gingivitis where the gums are acutely painful and swollen; La gingivitis ulcerativa necrosante aguda es una. Gingivitis Necrotizante.