Orthodontic Bite Classifications . Class i is a normal relationship between the upper and lower teeth and jaws, or balanced bite. Class i, class ii, and class iii. Each class represents a specific type of teeth arrangement and jaw. The classes are based on your bite and whether your upper or lower teeth are misaligned: There are three classes of malocclusion. In orthodontics, bites are classified into three main categories: Classification of bites & how orthodontics can help. People with normal occlusion have a perfect bite and the points of the molars of each set of teeth fit the grooves of the molars of the other set. Class 1 malocclusion is the most.
from www.youtube.com
In orthodontics, bites are classified into three main categories: There are three classes of malocclusion. Classification of bites & how orthodontics can help. Class 1 malocclusion is the most. Class i is a normal relationship between the upper and lower teeth and jaws, or balanced bite. People with normal occlusion have a perfect bite and the points of the molars of each set of teeth fit the grooves of the molars of the other set. Class i, class ii, and class iii. The classes are based on your bite and whether your upper or lower teeth are misaligned: Each class represents a specific type of teeth arrangement and jaw.
Class II Open Bite Correction!! OrThODonTiSt YouTube
Orthodontic Bite Classifications Class i, class ii, and class iii. People with normal occlusion have a perfect bite and the points of the molars of each set of teeth fit the grooves of the molars of the other set. Class i, class ii, and class iii. In orthodontics, bites are classified into three main categories: Class i is a normal relationship between the upper and lower teeth and jaws, or balanced bite. Classification of bites & how orthodontics can help. Each class represents a specific type of teeth arrangement and jaw. The classes are based on your bite and whether your upper or lower teeth are misaligned: There are three classes of malocclusion. Class 1 malocclusion is the most.
From firstbite.com.au
Kids Orthodontics FirstBite Dental Essendon Dentist Orthodontic Bite Classifications Classification of bites & how orthodontics can help. Class i, class ii, and class iii. Each class represents a specific type of teeth arrangement and jaw. In orthodontics, bites are classified into three main categories: The classes are based on your bite and whether your upper or lower teeth are misaligned: Class i is a normal relationship between the upper. Orthodontic Bite Classifications.
From www.youtube.com
Correcting Openbite by Rubber Bands Orthodontic Instruction YouTube Orthodontic Bite Classifications Each class represents a specific type of teeth arrangement and jaw. Class 1 malocclusion is the most. The classes are based on your bite and whether your upper or lower teeth are misaligned: Class i, class ii, and class iii. In orthodontics, bites are classified into three main categories: Classification of bites & how orthodontics can help. People with normal. Orthodontic Bite Classifications.
From theorthocosmos.com
Blog The Ortho Cosmos Orthodontic Bite Classifications In orthodontics, bites are classified into three main categories: There are three classes of malocclusion. Each class represents a specific type of teeth arrangement and jaw. Classification of bites & how orthodontics can help. The classes are based on your bite and whether your upper or lower teeth are misaligned: People with normal occlusion have a perfect bite and the. Orthodontic Bite Classifications.
From www.lovebrushing.com
How Does My Bite Classification Impact My Orthodontic Treatment? Love Orthodontic Bite Classifications Each class represents a specific type of teeth arrangement and jaw. Class i is a normal relationship between the upper and lower teeth and jaws, or balanced bite. There are three classes of malocclusion. Classification of bites & how orthodontics can help. Class i, class ii, and class iii. The classes are based on your bite and whether your upper. Orthodontic Bite Classifications.
From www.facialart.com
OrthodonticRelated Procedures OrthodonticRelated Procedures Orthodontic Bite Classifications In orthodontics, bites are classified into three main categories: Classification of bites & how orthodontics can help. People with normal occlusion have a perfect bite and the points of the molars of each set of teeth fit the grooves of the molars of the other set. Class i, class ii, and class iii. There are three classes of malocclusion. Class. Orthodontic Bite Classifications.
From www.youtube.com
Orthodontic case presentation of Class II division 1, Damonortho Orthodontic Bite Classifications Class i, class ii, and class iii. Classification of bites & how orthodontics can help. Each class represents a specific type of teeth arrangement and jaw. The classes are based on your bite and whether your upper or lower teeth are misaligned: People with normal occlusion have a perfect bite and the points of the molars of each set of. Orthodontic Bite Classifications.
From www.youtube.com
What types of Orthodontic Retainer are there? Dr. Jiten Vadukul The Orthodontic Bite Classifications Class i, class ii, and class iii. Classification of bites & how orthodontics can help. People with normal occlusion have a perfect bite and the points of the molars of each set of teeth fit the grooves of the molars of the other set. Each class represents a specific type of teeth arrangement and jaw. Class 1 malocclusion is the. Orthodontic Bite Classifications.
From askanorthodontist.com
What do the Elastic Rubber Bands on Braces do? Ask an Orthodontic Bite Classifications Classification of bites & how orthodontics can help. Class i, class ii, and class iii. There are three classes of malocclusion. People with normal occlusion have a perfect bite and the points of the molars of each set of teeth fit the grooves of the molars of the other set. The classes are based on your bite and whether your. Orthodontic Bite Classifications.
From mungfali.com
Occlusion Classification Chart Orthodontic Bite Classifications Each class represents a specific type of teeth arrangement and jaw. In orthodontics, bites are classified into three main categories: People with normal occlusion have a perfect bite and the points of the molars of each set of teeth fit the grooves of the molars of the other set. The classes are based on your bite and whether your upper. Orthodontic Bite Classifications.
From moderndentalclinic.in
ORTHODONTICS Modern Dental Clinic, Calicut Orthodontic Bite Classifications People with normal occlusion have a perfect bite and the points of the molars of each set of teeth fit the grooves of the molars of the other set. Each class represents a specific type of teeth arrangement and jaw. In orthodontics, bites are classified into three main categories: Class 1 malocclusion is the most. Class i is a normal. Orthodontic Bite Classifications.
From www.youtube.com
Simple Orthodontic treatment of Class I with spacing & right cross bite Orthodontic Bite Classifications The classes are based on your bite and whether your upper or lower teeth are misaligned: In orthodontics, bites are classified into three main categories: Class i is a normal relationship between the upper and lower teeth and jaws, or balanced bite. Each class represents a specific type of teeth arrangement and jaw. Classification of bites & how orthodontics can. Orthodontic Bite Classifications.
From www.lovebrushing.com
How Does My Bite Classification Impact Orthodontic Treatment Orthodontic Bite Classifications There are three classes of malocclusion. Class i is a normal relationship between the upper and lower teeth and jaws, or balanced bite. Class 1 malocclusion is the most. Each class represents a specific type of teeth arrangement and jaw. Class i, class ii, and class iii. In orthodontics, bites are classified into three main categories: Classification of bites &. Orthodontic Bite Classifications.
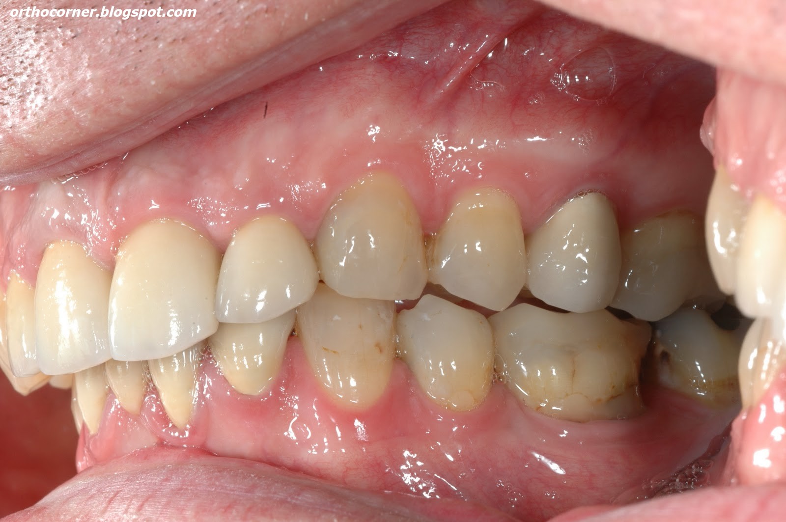
From orthocorner.blogspot.com
Orthodontic Corner Class II div 2 Deep Bite, Where is the Limit Orthodontic Bite Classifications Each class represents a specific type of teeth arrangement and jaw. Class i, class ii, and class iii. There are three classes of malocclusion. Class i is a normal relationship between the upper and lower teeth and jaws, or balanced bite. The classes are based on your bite and whether your upper or lower teeth are misaligned: Classification of bites. Orthodontic Bite Classifications.
From www.skeeocreative.com
What are the three classifications of orthodontic treatment? Orthodontic Bite Classifications Class i is a normal relationship between the upper and lower teeth and jaws, or balanced bite. There are three classes of malocclusion. The classes are based on your bite and whether your upper or lower teeth are misaligned: People with normal occlusion have a perfect bite and the points of the molars of each set of teeth fit the. Orthodontic Bite Classifications.
From yorkortho.ca
Orthodontic Problems Understanding The Different Types Orthodontic Bite Classifications In orthodontics, bites are classified into three main categories: Class 1 malocclusion is the most. There are three classes of malocclusion. Classification of bites & how orthodontics can help. Class i, class ii, and class iii. Class i is a normal relationship between the upper and lower teeth and jaws, or balanced bite. The classes are based on your bite. Orthodontic Bite Classifications.
From medinaz.com
ANGLE’S CLASSIFICATION MALOCCLUSION Dental Notes Orthodontic Bite Classifications There are three classes of malocclusion. Classification of bites & how orthodontics can help. Class i is a normal relationship between the upper and lower teeth and jaws, or balanced bite. In orthodontics, bites are classified into three main categories: Each class represents a specific type of teeth arrangement and jaw. The classes are based on your bite and whether. Orthodontic Bite Classifications.
From carpinello-orthodontics.patientrewardshub.com
Carpinello Orthodontics Content Orthodontic Bite Classifications People with normal occlusion have a perfect bite and the points of the molars of each set of teeth fit the grooves of the molars of the other set. Class 1 malocclusion is the most. There are three classes of malocclusion. Class i is a normal relationship between the upper and lower teeth and jaws, or balanced bite. The classes. Orthodontic Bite Classifications.
From www.mcreynoldsorthodontics.com
Emergency Care McReynolds Orthodontics Keller TX Orthodontic Bite Classifications Classification of bites & how orthodontics can help. Class i, class ii, and class iii. People with normal occlusion have a perfect bite and the points of the molars of each set of teeth fit the grooves of the molars of the other set. Each class represents a specific type of teeth arrangement and jaw. Class i is a normal. Orthodontic Bite Classifications.
From www.youtube.com
Class II Open Bite Correction!! OrThODonTiSt YouTube Orthodontic Bite Classifications The classes are based on your bite and whether your upper or lower teeth are misaligned: People with normal occlusion have a perfect bite and the points of the molars of each set of teeth fit the grooves of the molars of the other set. Class 1 malocclusion is the most. Class i, class ii, and class iii. Class i. Orthodontic Bite Classifications.
From www.bodyexpert.online
Malocclusion treatments, types and consequences Orthodontic Bite Classifications Each class represents a specific type of teeth arrangement and jaw. Class i, class ii, and class iii. Classification of bites & how orthodontics can help. Class i is a normal relationship between the upper and lower teeth and jaws, or balanced bite. The classes are based on your bite and whether your upper or lower teeth are misaligned: Class. Orthodontic Bite Classifications.
From www.bovbakerortho.com
Our Results Jaw Alignment Bovenizer & Baker Orthodontics in Cary, NC Orthodontic Bite Classifications People with normal occlusion have a perfect bite and the points of the molars of each set of teeth fit the grooves of the molars of the other set. There are three classes of malocclusion. Class i, class ii, and class iii. Classification of bites & how orthodontics can help. Class i is a normal relationship between the upper and. Orthodontic Bite Classifications.
From apospublications.com
The bitetype malocclusion classification An extended Anglemethod Orthodontic Bite Classifications There are three classes of malocclusion. Class 1 malocclusion is the most. Class i is a normal relationship between the upper and lower teeth and jaws, or balanced bite. In orthodontics, bites are classified into three main categories: Classification of bites & how orthodontics can help. Class i, class ii, and class iii. People with normal occlusion have a perfect. Orthodontic Bite Classifications.
From www.slideshare.net
Classification of malocclusion Orthodontic Bite Classifications Class 1 malocclusion is the most. Class i is a normal relationship between the upper and lower teeth and jaws, or balanced bite. People with normal occlusion have a perfect bite and the points of the molars of each set of teeth fit the grooves of the molars of the other set. Each class represents a specific type of teeth. Orthodontic Bite Classifications.
From www.archwired.com
What Does Bite Mean In Orthodontics? ArchWired Orthodontic Bite Classifications The classes are based on your bite and whether your upper or lower teeth are misaligned: Class 1 malocclusion is the most. Class i is a normal relationship between the upper and lower teeth and jaws, or balanced bite. Classification of bites & how orthodontics can help. There are three classes of malocclusion. People with normal occlusion have a perfect. Orthodontic Bite Classifications.
From sacksortho.com
Does Bite Classification Matter for My Braces Treatment? Orthodontic Bite Classifications Each class represents a specific type of teeth arrangement and jaw. There are three classes of malocclusion. Class 1 malocclusion is the most. People with normal occlusion have a perfect bite and the points of the molars of each set of teeth fit the grooves of the molars of the other set. Class i is a normal relationship between the. Orthodontic Bite Classifications.
From www.nemesortho.com
Deep Bite and Class II Correction Orthodontic Bite Classifications Each class represents a specific type of teeth arrangement and jaw. There are three classes of malocclusion. Class 1 malocclusion is the most. In orthodontics, bites are classified into three main categories: Class i, class ii, and class iii. Class i is a normal relationship between the upper and lower teeth and jaws, or balanced bite. Classification of bites &. Orthodontic Bite Classifications.
From loudounorthodontics.com
How Do Invisalign Bite Ramps Work on Aligners? Orthodontic Bite Classifications There are three classes of malocclusion. Class 1 malocclusion is the most. In orthodontics, bites are classified into three main categories: People with normal occlusion have a perfect bite and the points of the molars of each set of teeth fit the grooves of the molars of the other set. The classes are based on your bite and whether your. Orthodontic Bite Classifications.
From winningsmilespd.com
Orthodontics Winning Smiles Orthodontic Bite Classifications Class i, class ii, and class iii. Each class represents a specific type of teeth arrangement and jaw. In orthodontics, bites are classified into three main categories: Class i is a normal relationship between the upper and lower teeth and jaws, or balanced bite. The classes are based on your bite and whether your upper or lower teeth are misaligned:. Orthodontic Bite Classifications.
From dentodontics.com
ANGLE’S CLASSIFICATION OF MALOCCLUSION DENTODONTICS Orthodontic Bite Classifications Each class represents a specific type of teeth arrangement and jaw. Classification of bites & how orthodontics can help. The classes are based on your bite and whether your upper or lower teeth are misaligned: People with normal occlusion have a perfect bite and the points of the molars of each set of teeth fit the grooves of the molars. Orthodontic Bite Classifications.
From support.clearcorrect.com
Bite Ramps ClearCorrect Support Orthodontic Bite Classifications Class 1 malocclusion is the most. The classes are based on your bite and whether your upper or lower teeth are misaligned: There are three classes of malocclusion. Class i is a normal relationship between the upper and lower teeth and jaws, or balanced bite. People with normal occlusion have a perfect bite and the points of the molars of. Orthodontic Bite Classifications.
From sebastopolorthodontics.com
Common Problems Sebastopol Orthodontics Orthodontic Bite Classifications Each class represents a specific type of teeth arrangement and jaw. People with normal occlusion have a perfect bite and the points of the molars of each set of teeth fit the grooves of the molars of the other set. Class 1 malocclusion is the most. Class i is a normal relationship between the upper and lower teeth and jaws,. Orthodontic Bite Classifications.
From www.bendsleepapneadentist.com
3 Orthodontic Treatment Classifications Explained Orthodontic Bite Classifications There are three classes of malocclusion. Classification of bites & how orthodontics can help. Class i, class ii, and class iii. Class i is a normal relationship between the upper and lower teeth and jaws, or balanced bite. Each class represents a specific type of teeth arrangement and jaw. Class 1 malocclusion is the most. In orthodontics, bites are classified. Orthodontic Bite Classifications.
From charlestonorthodonticspecialists.com
Understanding Bite Classes Charleston Orthodontics Powered By Smile Orthodontic Bite Classifications Class i is a normal relationship between the upper and lower teeth and jaws, or balanced bite. The classes are based on your bite and whether your upper or lower teeth are misaligned: There are three classes of malocclusion. In orthodontics, bites are classified into three main categories: Class i, class ii, and class iii. Class 1 malocclusion is the. Orthodontic Bite Classifications.
From www.thetoothmover.com
Class II Treatment Photos Orthodontics Cary NC Clayton NC Orthodontic Bite Classifications In orthodontics, bites are classified into three main categories: People with normal occlusion have a perfect bite and the points of the molars of each set of teeth fit the grooves of the molars of the other set. Each class represents a specific type of teeth arrangement and jaw. Classification of bites & how orthodontics can help. The classes are. Orthodontic Bite Classifications.
From windsordentists.com.au
Invisalign Windsor Dentists North Brisbane Orthodontic Bite Classifications People with normal occlusion have a perfect bite and the points of the molars of each set of teeth fit the grooves of the molars of the other set. Class i, class ii, and class iii. Class i is a normal relationship between the upper and lower teeth and jaws, or balanced bite. Class 1 malocclusion is the most. The. Orthodontic Bite Classifications.