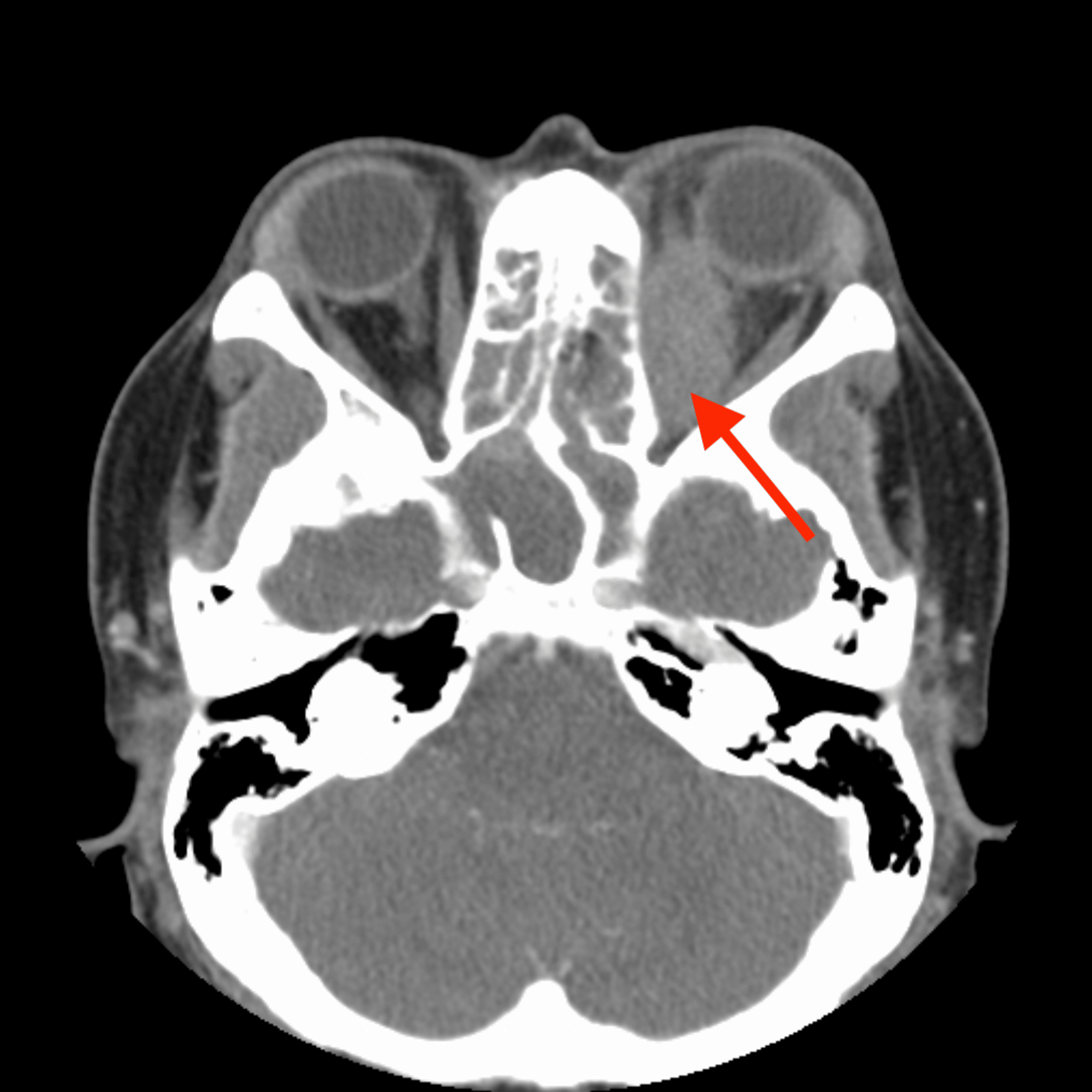
Facial Bones With Contrast Ct . Ct orbits (computed tomography of the orbits) involves the visualization of bony and soft tissue structures of the orbits. Here is an overview of the indications for contrasted ct: Ct for facial trauma is performed without iv contrast. The labeled structures are (excluding the correct side): Bone windows are used to evaluate most injuries, as they demonstrate. Groove for the middle meningeal artery. A ct of the head is an exam that takes very thin slice images of the. What is a ct of the head, orbits, sinuses or facial bones and what does it do? By providing detailed visualizations of the bones, teeth, sinuses, and surrounding soft tissues, ct maxillofacial imaging aids in.
from onlinelibrary.wiley.com
What is a ct of the head, orbits, sinuses or facial bones and what does it do? The labeled structures are (excluding the correct side): Ct orbits (computed tomography of the orbits) involves the visualization of bony and soft tissue structures of the orbits. By providing detailed visualizations of the bones, teeth, sinuses, and surrounding soft tissues, ct maxillofacial imaging aids in. Groove for the middle meningeal artery. Ct for facial trauma is performed without iv contrast. Here is an overview of the indications for contrasted ct: A ct of the head is an exam that takes very thin slice images of the. Bone windows are used to evaluate most injuries, as they demonstrate.
Dose reduction in CT imaging for facial bone trauma in adults A
Facial Bones With Contrast Ct Ct for facial trauma is performed without iv contrast. Ct orbits (computed tomography of the orbits) involves the visualization of bony and soft tissue structures of the orbits. A ct of the head is an exam that takes very thin slice images of the. The labeled structures are (excluding the correct side): Here is an overview of the indications for contrasted ct: Ct for facial trauma is performed without iv contrast. What is a ct of the head, orbits, sinuses or facial bones and what does it do? Groove for the middle meningeal artery. By providing detailed visualizations of the bones, teeth, sinuses, and surrounding soft tissues, ct maxillofacial imaging aids in. Bone windows are used to evaluate most injuries, as they demonstrate.
From www.bmj.com
Coronal computed tomography image through the face (bone windows) The BMJ Facial Bones With Contrast Ct Ct orbits (computed tomography of the orbits) involves the visualization of bony and soft tissue structures of the orbits. What is a ct of the head, orbits, sinuses or facial bones and what does it do? A ct of the head is an exam that takes very thin slice images of the. The labeled structures are (excluding the correct side):. Facial Bones With Contrast Ct.
From www.bmj.com
Axial computed tomography image through the face (bone windows) The BMJ Facial Bones With Contrast Ct Here is an overview of the indications for contrasted ct: Groove for the middle meningeal artery. By providing detailed visualizations of the bones, teeth, sinuses, and surrounding soft tissues, ct maxillofacial imaging aids in. A ct of the head is an exam that takes very thin slice images of the. What is a ct of the head, orbits, sinuses or. Facial Bones With Contrast Ct.
From radiopaedia.org
Image Facial Bones With Contrast Ct Ct for facial trauma is performed without iv contrast. Ct orbits (computed tomography of the orbits) involves the visualization of bony and soft tissue structures of the orbits. Bone windows are used to evaluate most injuries, as they demonstrate. What is a ct of the head, orbits, sinuses or facial bones and what does it do? Here is an overview. Facial Bones With Contrast Ct.
From www.youtube.com
CT tomography) face radiology search pattern YouTube Facial Bones With Contrast Ct Here is an overview of the indications for contrasted ct: Bone windows are used to evaluate most injuries, as they demonstrate. What is a ct of the head, orbits, sinuses or facial bones and what does it do? Ct orbits (computed tomography of the orbits) involves the visualization of bony and soft tissue structures of the orbits. By providing detailed. Facial Bones With Contrast Ct.
From radiopaedia.org
Image Facial Bones With Contrast Ct Ct for facial trauma is performed without iv contrast. The labeled structures are (excluding the correct side): Ct orbits (computed tomography of the orbits) involves the visualization of bony and soft tissue structures of the orbits. Groove for the middle meningeal artery. What is a ct of the head, orbits, sinuses or facial bones and what does it do? By. Facial Bones With Contrast Ct.
From radiologykey.com
Imaging the Face Radiology Key Facial Bones With Contrast Ct What is a ct of the head, orbits, sinuses or facial bones and what does it do? Bone windows are used to evaluate most injuries, as they demonstrate. The labeled structures are (excluding the correct side): Here is an overview of the indications for contrasted ct: Groove for the middle meningeal artery. By providing detailed visualizations of the bones, teeth,. Facial Bones With Contrast Ct.
From www.cureus.com
Cureus Reevaluating the Utility of Maxillary Sinus Opacification as a Facial Bones With Contrast Ct The labeled structures are (excluding the correct side): Here is an overview of the indications for contrasted ct: Bone windows are used to evaluate most injuries, as they demonstrate. Ct for facial trauma is performed without iv contrast. Ct orbits (computed tomography of the orbits) involves the visualization of bony and soft tissue structures of the orbits. What is a. Facial Bones With Contrast Ct.
From www.cureus.com
Cureus Granulomatosis With Polyangiitis Presenting As Orbital Apex Facial Bones With Contrast Ct Groove for the middle meningeal artery. Ct for facial trauma is performed without iv contrast. Bone windows are used to evaluate most injuries, as they demonstrate. What is a ct of the head, orbits, sinuses or facial bones and what does it do? Here is an overview of the indications for contrasted ct: The labeled structures are (excluding the correct. Facial Bones With Contrast Ct.
From radiopaedia.org
Image Facial Bones With Contrast Ct Here is an overview of the indications for contrasted ct: A ct of the head is an exam that takes very thin slice images of the. Bone windows are used to evaluate most injuries, as they demonstrate. The labeled structures are (excluding the correct side): Ct for facial trauma is performed without iv contrast. What is a ct of the. Facial Bones With Contrast Ct.
From www.researchgate.net
Axial CT bone window of skull base from inferior to superior aspect Facial Bones With Contrast Ct What is a ct of the head, orbits, sinuses or facial bones and what does it do? Ct orbits (computed tomography of the orbits) involves the visualization of bony and soft tissue structures of the orbits. A ct of the head is an exam that takes very thin slice images of the. Ct for facial trauma is performed without iv. Facial Bones With Contrast Ct.
From www.kenhub.com
Radiological anatomy Xray, CT, MRI Kenhub Facial Bones With Contrast Ct The labeled structures are (excluding the correct side): By providing detailed visualizations of the bones, teeth, sinuses, and surrounding soft tissues, ct maxillofacial imaging aids in. Bone windows are used to evaluate most injuries, as they demonstrate. What is a ct of the head, orbits, sinuses or facial bones and what does it do? Here is an overview of the. Facial Bones With Contrast Ct.
From radiopaedia.org
Normal facial bone CT Image Facial Bones With Contrast Ct Here is an overview of the indications for contrasted ct: Ct orbits (computed tomography of the orbits) involves the visualization of bony and soft tissue structures of the orbits. A ct of the head is an exam that takes very thin slice images of the. Groove for the middle meningeal artery. What is a ct of the head, orbits, sinuses. Facial Bones With Contrast Ct.
From www.radtechonduty.com
Temporal Bone CT Scan RadTechOnDuty Facial Bones With Contrast Ct Bone windows are used to evaluate most injuries, as they demonstrate. Ct orbits (computed tomography of the orbits) involves the visualization of bony and soft tissue structures of the orbits. What is a ct of the head, orbits, sinuses or facial bones and what does it do? Groove for the middle meningeal artery. By providing detailed visualizations of the bones,. Facial Bones With Contrast Ct.
From onlinelibrary.wiley.com
Dose reduction in CT imaging for facial bone trauma in adults A Facial Bones With Contrast Ct A ct of the head is an exam that takes very thin slice images of the. Bone windows are used to evaluate most injuries, as they demonstrate. Here is an overview of the indications for contrasted ct: Groove for the middle meningeal artery. The labeled structures are (excluding the correct side): Ct for facial trauma is performed without iv contrast.. Facial Bones With Contrast Ct.
From www.cureus.com
Cureus Granulomatosis With Polyangiitis Presenting As Orbital Apex Facial Bones With Contrast Ct Ct orbits (computed tomography of the orbits) involves the visualization of bony and soft tissue structures of the orbits. The labeled structures are (excluding the correct side): Bone windows are used to evaluate most injuries, as they demonstrate. Ct for facial trauma is performed without iv contrast. Groove for the middle meningeal artery. What is a ct of the head,. Facial Bones With Contrast Ct.
From www.alamy.com
Computed Tomography of the Skull (facial bones) in 3D (CT VR facial Facial Bones With Contrast Ct By providing detailed visualizations of the bones, teeth, sinuses, and surrounding soft tissues, ct maxillofacial imaging aids in. Ct for facial trauma is performed without iv contrast. The labeled structures are (excluding the correct side): A ct of the head is an exam that takes very thin slice images of the. Groove for the middle meningeal artery. Bone windows are. Facial Bones With Contrast Ct.
From www.researchgate.net
Spectrum of orbital fractures. Top Left CT facial bone coronal view Facial Bones With Contrast Ct Ct orbits (computed tomography of the orbits) involves the visualization of bony and soft tissue structures of the orbits. Here is an overview of the indications for contrasted ct: Ct for facial trauma is performed without iv contrast. A ct of the head is an exam that takes very thin slice images of the. By providing detailed visualizations of the. Facial Bones With Contrast Ct.
From www.youtube.com
Radiology Walkthroughs CT Temporal Bone Anatomy YouTube Facial Bones With Contrast Ct Ct orbits (computed tomography of the orbits) involves the visualization of bony and soft tissue structures of the orbits. Bone windows are used to evaluate most injuries, as they demonstrate. Ct for facial trauma is performed without iv contrast. What is a ct of the head, orbits, sinuses or facial bones and what does it do? A ct of the. Facial Bones With Contrast Ct.
From www.alamy.com
CT scan of facial bones showing maxillary fracture Stock Photo Alamy Facial Bones With Contrast Ct The labeled structures are (excluding the correct side): Here is an overview of the indications for contrasted ct: Bone windows are used to evaluate most injuries, as they demonstrate. Groove for the middle meningeal artery. Ct for facial trauma is performed without iv contrast. By providing detailed visualizations of the bones, teeth, sinuses, and surrounding soft tissues, ct maxillofacial imaging. Facial Bones With Contrast Ct.
From radiopaedia.org
Image Facial Bones With Contrast Ct Here is an overview of the indications for contrasted ct: The labeled structures are (excluding the correct side): Bone windows are used to evaluate most injuries, as they demonstrate. Ct for facial trauma is performed without iv contrast. A ct of the head is an exam that takes very thin slice images of the. What is a ct of the. Facial Bones With Contrast Ct.
From ar.inspiredpencil.com
Face Bone Anatomy Ct Facial Bones With Contrast Ct A ct of the head is an exam that takes very thin slice images of the. Here is an overview of the indications for contrasted ct: By providing detailed visualizations of the bones, teeth, sinuses, and surrounding soft tissues, ct maxillofacial imaging aids in. Bone windows are used to evaluate most injuries, as they demonstrate. What is a ct of. Facial Bones With Contrast Ct.
From ar.inspiredpencil.com
Face Bone Anatomy Ct Facial Bones With Contrast Ct Ct for facial trauma is performed without iv contrast. A ct of the head is an exam that takes very thin slice images of the. By providing detailed visualizations of the bones, teeth, sinuses, and surrounding soft tissues, ct maxillofacial imaging aids in. The labeled structures are (excluding the correct side): Here is an overview of the indications for contrasted. Facial Bones With Contrast Ct.
From ar.inspiredpencil.com
Face Bone Anatomy Ct Facial Bones With Contrast Ct By providing detailed visualizations of the bones, teeth, sinuses, and surrounding soft tissues, ct maxillofacial imaging aids in. Bone windows are used to evaluate most injuries, as they demonstrate. Here is an overview of the indications for contrasted ct: Groove for the middle meningeal artery. The labeled structures are (excluding the correct side): What is a ct of the head,. Facial Bones With Contrast Ct.
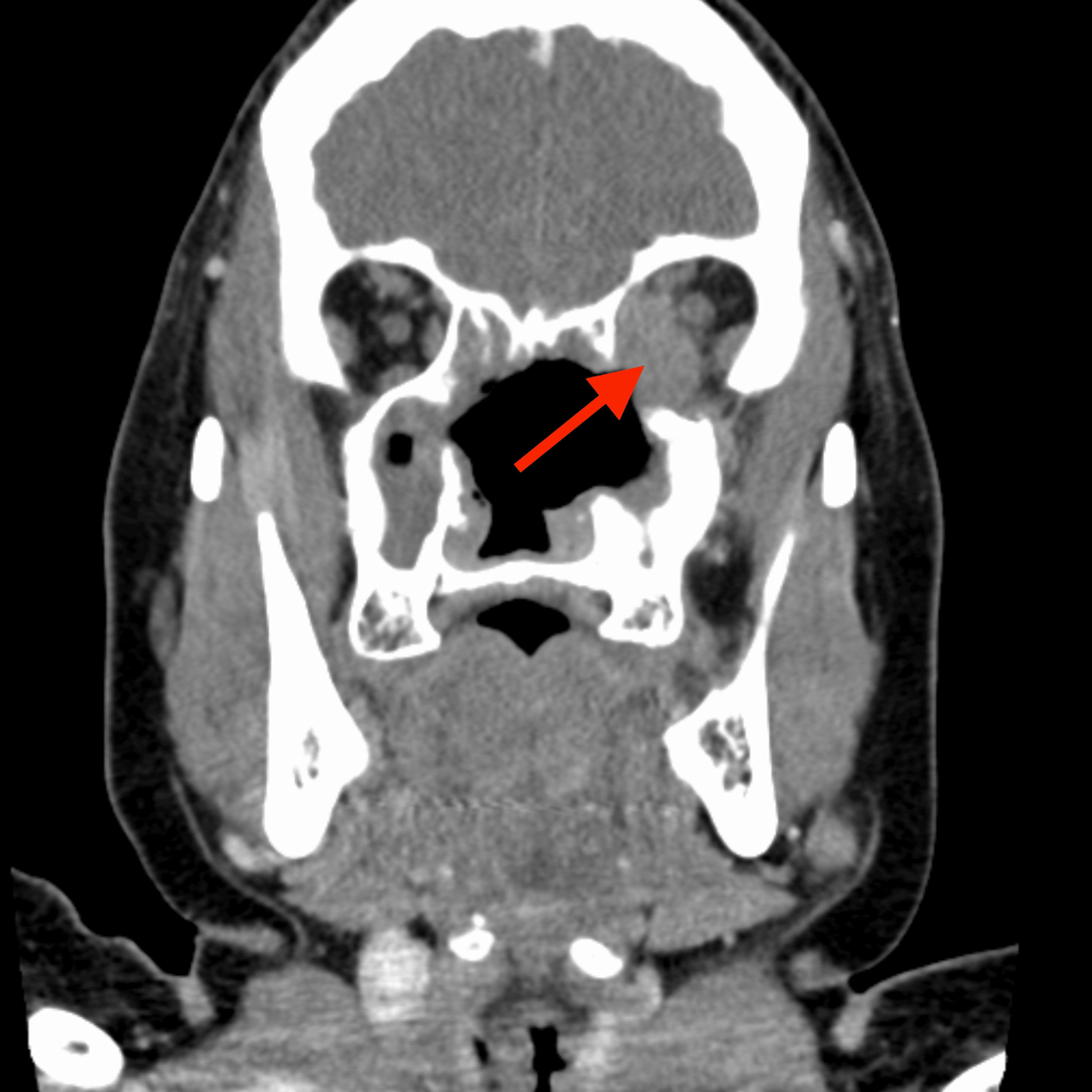
From www.researchgate.net
CT facial bones with contrast showing leftsided preseptal cellulitis Facial Bones With Contrast Ct The labeled structures are (excluding the correct side): Here is an overview of the indications for contrasted ct: Bone windows are used to evaluate most injuries, as they demonstrate. Ct orbits (computed tomography of the orbits) involves the visualization of bony and soft tissue structures of the orbits. Groove for the middle meningeal artery. What is a ct of the. Facial Bones With Contrast Ct.
From www.researchgate.net
(AE) Coronal, axial and sagittal CT images of the bone window Facial Bones With Contrast Ct Here is an overview of the indications for contrasted ct: Ct for facial trauma is performed without iv contrast. What is a ct of the head, orbits, sinuses or facial bones and what does it do? Groove for the middle meningeal artery. The labeled structures are (excluding the correct side): A ct of the head is an exam that takes. Facial Bones With Contrast Ct.
From www.journalmc.org
Facial Cellulitis and Thrombosis With Pulmonary Septic Emboli Mimicking Facial Bones With Contrast Ct Here is an overview of the indications for contrasted ct: By providing detailed visualizations of the bones, teeth, sinuses, and surrounding soft tissues, ct maxillofacial imaging aids in. Groove for the middle meningeal artery. What is a ct of the head, orbits, sinuses or facial bones and what does it do? A ct of the head is an exam that. Facial Bones With Contrast Ct.
From stock.adobe.com
Computed tomography (CT) scan of facial bone, a case of mandibular Facial Bones With Contrast Ct By providing detailed visualizations of the bones, teeth, sinuses, and surrounding soft tissues, ct maxillofacial imaging aids in. What is a ct of the head, orbits, sinuses or facial bones and what does it do? Here is an overview of the indications for contrasted ct: The labeled structures are (excluding the correct side): Ct orbits (computed tomography of the orbits). Facial Bones With Contrast Ct.
From www.youtube.com
HEAD CT SCAN BONE FACE YouTube Facial Bones With Contrast Ct Groove for the middle meningeal artery. Ct for facial trauma is performed without iv contrast. What is a ct of the head, orbits, sinuses or facial bones and what does it do? By providing detailed visualizations of the bones, teeth, sinuses, and surrounding soft tissues, ct maxillofacial imaging aids in. Bone windows are used to evaluate most injuries, as they. Facial Bones With Contrast Ct.
From www.youtube.com
CADS Facial Bones Fractures CT coronal view YouTube Facial Bones With Contrast Ct Ct orbits (computed tomography of the orbits) involves the visualization of bony and soft tissue structures of the orbits. Here is an overview of the indications for contrasted ct: Groove for the middle meningeal artery. Ct for facial trauma is performed without iv contrast. The labeled structures are (excluding the correct side): A ct of the head is an exam. Facial Bones With Contrast Ct.
From www.embodi3d.com
Ct facial bones Skull, Head, and Neck CTs Facial Bones With Contrast Ct Ct for facial trauma is performed without iv contrast. Ct orbits (computed tomography of the orbits) involves the visualization of bony and soft tissue structures of the orbits. What is a ct of the head, orbits, sinuses or facial bones and what does it do? By providing detailed visualizations of the bones, teeth, sinuses, and surrounding soft tissues, ct maxillofacial. Facial Bones With Contrast Ct.
From quizlet.com
Sectional Anatomy CT images of the facial bones CORONAL 4 Diagram Facial Bones With Contrast Ct The labeled structures are (excluding the correct side): By providing detailed visualizations of the bones, teeth, sinuses, and surrounding soft tissues, ct maxillofacial imaging aids in. What is a ct of the head, orbits, sinuses or facial bones and what does it do? Groove for the middle meningeal artery. A ct of the head is an exam that takes very. Facial Bones With Contrast Ct.
From www.imaios.com
CT scan of head and neck normal anatomy eAnatomy Facial Bones With Contrast Ct By providing detailed visualizations of the bones, teeth, sinuses, and surrounding soft tissues, ct maxillofacial imaging aids in. Bone windows are used to evaluate most injuries, as they demonstrate. Ct orbits (computed tomography of the orbits) involves the visualization of bony and soft tissue structures of the orbits. Here is an overview of the indications for contrasted ct: What is. Facial Bones With Contrast Ct.
From www.aofoundation.org
CTRead—Facial Bones Anatomy Training AO CMF Facial Bones With Contrast Ct Ct for facial trauma is performed without iv contrast. What is a ct of the head, orbits, sinuses or facial bones and what does it do? By providing detailed visualizations of the bones, teeth, sinuses, and surrounding soft tissues, ct maxillofacial imaging aids in. The labeled structures are (excluding the correct side): Ct orbits (computed tomography of the orbits) involves. Facial Bones With Contrast Ct.
From www.pinterest.com
Axial CT bone window of skull base from inferior to superior aspect Facial Bones With Contrast Ct Here is an overview of the indications for contrasted ct: Bone windows are used to evaluate most injuries, as they demonstrate. Groove for the middle meningeal artery. By providing detailed visualizations of the bones, teeth, sinuses, and surrounding soft tissues, ct maxillofacial imaging aids in. What is a ct of the head, orbits, sinuses or facial bones and what does. Facial Bones With Contrast Ct.
From www.shutterstock.com
Ct Scan Facial Bone Fractures Front Foto stock 1173197572 Shutterstock Facial Bones With Contrast Ct Here is an overview of the indications for contrasted ct: Ct orbits (computed tomography of the orbits) involves the visualization of bony and soft tissue structures of the orbits. Ct for facial trauma is performed without iv contrast. The labeled structures are (excluding the correct side): By providing detailed visualizations of the bones, teeth, sinuses, and surrounding soft tissues, ct. Facial Bones With Contrast Ct.