How Many Times Can You Have Kyphoplasty . Kyphoplasty is a minimally invasive procedure where bone cement is injected to stabilize vertebral compression fractures for immediate pain relief. A couple of hours after surgery, most patients are able to walk. Kyphoplasty is usually an outpatient procedure. In some cases, you may feel. Kyphoplasty usually provides pain relief and improved mobility (movement) within 48 hours of the procedure. If you have a compression fracture of the spine, kyphoplasty is a procedure that might help relieve pain. Kyphoplasty is a short procedure that can relieve acute pain, and is usually performed within the first two months after the fracture. However, there's debate in the medical community surrounding its efficacy and usefulness. Kyphoplasty is a medical procedure used to treat vertebral compression fractures (vcfs) in the spine. It is a minimally invasive. Kyphoplasty can restore a damaged vertebra’s height and may also relieve pain.
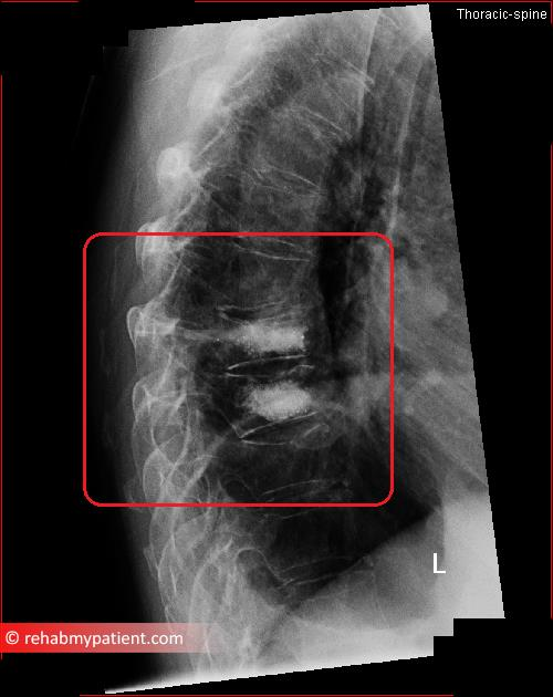
from www.rehabmypatient.com
Kyphoplasty usually provides pain relief and improved mobility (movement) within 48 hours of the procedure. However, there's debate in the medical community surrounding its efficacy and usefulness. Kyphoplasty is a minimally invasive procedure where bone cement is injected to stabilize vertebral compression fractures for immediate pain relief. If you have a compression fracture of the spine, kyphoplasty is a procedure that might help relieve pain. A couple of hours after surgery, most patients are able to walk. Kyphoplasty is a medical procedure used to treat vertebral compression fractures (vcfs) in the spine. In some cases, you may feel. Kyphoplasty can restore a damaged vertebra’s height and may also relieve pain. Kyphoplasty is a short procedure that can relieve acute pain, and is usually performed within the first two months after the fracture. It is a minimally invasive.
Kyphoplasty Rehab My Patient
How Many Times Can You Have Kyphoplasty Kyphoplasty is a medical procedure used to treat vertebral compression fractures (vcfs) in the spine. Kyphoplasty can restore a damaged vertebra’s height and may also relieve pain. A couple of hours after surgery, most patients are able to walk. Kyphoplasty is a short procedure that can relieve acute pain, and is usually performed within the first two months after the fracture. It is a minimally invasive. However, there's debate in the medical community surrounding its efficacy and usefulness. Kyphoplasty is a minimally invasive procedure where bone cement is injected to stabilize vertebral compression fractures for immediate pain relief. Kyphoplasty usually provides pain relief and improved mobility (movement) within 48 hours of the procedure. Kyphoplasty is usually an outpatient procedure. In some cases, you may feel. If you have a compression fracture of the spine, kyphoplasty is a procedure that might help relieve pain. Kyphoplasty is a medical procedure used to treat vertebral compression fractures (vcfs) in the spine.
From www.sciencephoto.com
Kyphoplasty Stock Image C006/3982 Science Photo Library How Many Times Can You Have Kyphoplasty Kyphoplasty is a short procedure that can relieve acute pain, and is usually performed within the first two months after the fracture. Kyphoplasty is a minimally invasive procedure where bone cement is injected to stabilize vertebral compression fractures for immediate pain relief. Kyphoplasty usually provides pain relief and improved mobility (movement) within 48 hours of the procedure. Kyphoplasty is a. How Many Times Can You Have Kyphoplasty.
From www.aptivahealth.com
Kyphoplasty Restore Spinal Health Aptiva Health How Many Times Can You Have Kyphoplasty Kyphoplasty can restore a damaged vertebra’s height and may also relieve pain. However, there's debate in the medical community surrounding its efficacy and usefulness. If you have a compression fracture of the spine, kyphoplasty is a procedure that might help relieve pain. Kyphoplasty usually provides pain relief and improved mobility (movement) within 48 hours of the procedure. In some cases,. How Many Times Can You Have Kyphoplasty.
From www.spine-health.com
Kyphoplasty for Spinal Fractures from Osteoporosis How Many Times Can You Have Kyphoplasty If you have a compression fracture of the spine, kyphoplasty is a procedure that might help relieve pain. Kyphoplasty usually provides pain relief and improved mobility (movement) within 48 hours of the procedure. In some cases, you may feel. Kyphoplasty is usually an outpatient procedure. Kyphoplasty is a medical procedure used to treat vertebral compression fractures (vcfs) in the spine.. How Many Times Can You Have Kyphoplasty.
From www.youtube.com
Live Kyphoplasty Patient Before and After YouTube How Many Times Can You Have Kyphoplasty Kyphoplasty is usually an outpatient procedure. If you have a compression fracture of the spine, kyphoplasty is a procedure that might help relieve pain. It is a minimally invasive. In some cases, you may feel. Kyphoplasty is a medical procedure used to treat vertebral compression fractures (vcfs) in the spine. Kyphoplasty usually provides pain relief and improved mobility (movement) within. How Many Times Can You Have Kyphoplasty.
From meckrad.com
Kyphoplasty Mecklenburg Radiology Associates How Many Times Can You Have Kyphoplasty Kyphoplasty is a medical procedure used to treat vertebral compression fractures (vcfs) in the spine. Kyphoplasty is usually an outpatient procedure. Kyphoplasty is a minimally invasive procedure where bone cement is injected to stabilize vertebral compression fractures for immediate pain relief. If you have a compression fracture of the spine, kyphoplasty is a procedure that might help relieve pain. In. How Many Times Can You Have Kyphoplasty.
From sdpainclinic.com
Kyphoplasty Interventional Spine & Pain Management Encinitas, CA. How Many Times Can You Have Kyphoplasty Kyphoplasty can restore a damaged vertebra’s height and may also relieve pain. It is a minimally invasive. A couple of hours after surgery, most patients are able to walk. Kyphoplasty is usually an outpatient procedure. In some cases, you may feel. However, there's debate in the medical community surrounding its efficacy and usefulness. Kyphoplasty usually provides pain relief and improved. How Many Times Can You Have Kyphoplasty.
From spinesdorset.com
Kyphoplasty Spines Dorset How Many Times Can You Have Kyphoplasty It is a minimally invasive. Kyphoplasty is a medical procedure used to treat vertebral compression fractures (vcfs) in the spine. Kyphoplasty can restore a damaged vertebra’s height and may also relieve pain. In some cases, you may feel. Kyphoplasty is usually an outpatient procedure. A couple of hours after surgery, most patients are able to walk. If you have a. How Many Times Can You Have Kyphoplasty.
From cd-qa.franciscanhealth.org
Kyphoplasty Can Work Wonders For Treating Spinal Fractures Franciscan How Many Times Can You Have Kyphoplasty Kyphoplasty is a medical procedure used to treat vertebral compression fractures (vcfs) in the spine. Kyphoplasty can restore a damaged vertebra’s height and may also relieve pain. If you have a compression fracture of the spine, kyphoplasty is a procedure that might help relieve pain. In some cases, you may feel. Kyphoplasty is usually an outpatient procedure. A couple of. How Many Times Can You Have Kyphoplasty.
From www.chicagoneuropain.com
Understanding Kyphoplasty Recovery Time A Comprehensive Guide How Many Times Can You Have Kyphoplasty Kyphoplasty is a minimally invasive procedure where bone cement is injected to stabilize vertebral compression fractures for immediate pain relief. Kyphoplasty is a short procedure that can relieve acute pain, and is usually performed within the first two months after the fracture. Kyphoplasty is usually an outpatient procedure. Kyphoplasty can restore a damaged vertebra’s height and may also relieve pain.. How Many Times Can You Have Kyphoplasty.
From www.unimediks.com
Kyphoplasty Procedure UNIMEDIKS Restoring Vertebral Height and How Many Times Can You Have Kyphoplasty Kyphoplasty can restore a damaged vertebra’s height and may also relieve pain. Kyphoplasty is a minimally invasive procedure where bone cement is injected to stabilize vertebral compression fractures for immediate pain relief. A couple of hours after surgery, most patients are able to walk. If you have a compression fracture of the spine, kyphoplasty is a procedure that might help. How Many Times Can You Have Kyphoplasty.
From www.louisianapain.com
A Guide To Understanding Kyphoplasty Louisiana Pain Specialists Pain How Many Times Can You Have Kyphoplasty It is a minimally invasive. Kyphoplasty is a minimally invasive procedure where bone cement is injected to stabilize vertebral compression fractures for immediate pain relief. Kyphoplasty can restore a damaged vertebra’s height and may also relieve pain. However, there's debate in the medical community surrounding its efficacy and usefulness. Kyphoplasty is usually an outpatient procedure. If you have a compression. How Many Times Can You Have Kyphoplasty.
From meddco.com
Procedures for the treatment of Kyphoplasty How Many Times Can You Have Kyphoplasty Kyphoplasty can restore a damaged vertebra’s height and may also relieve pain. It is a minimally invasive. If you have a compression fracture of the spine, kyphoplasty is a procedure that might help relieve pain. In some cases, you may feel. Kyphoplasty is usually an outpatient procedure. Kyphoplasty usually provides pain relief and improved mobility (movement) within 48 hours of. How Many Times Can You Have Kyphoplasty.
From ortho-surgeon.com
Kyphoplasty Surgery Boca Raton Orthopaedic Surgery Associates How Many Times Can You Have Kyphoplasty Kyphoplasty is a short procedure that can relieve acute pain, and is usually performed within the first two months after the fracture. If you have a compression fracture of the spine, kyphoplasty is a procedure that might help relieve pain. However, there's debate in the medical community surrounding its efficacy and usefulness. Kyphoplasty is a medical procedure used to treat. How Many Times Can You Have Kyphoplasty.
From neupsykey.com
Kyphoplasty Neupsy Key How Many Times Can You Have Kyphoplasty Kyphoplasty is usually an outpatient procedure. A couple of hours after surgery, most patients are able to walk. However, there's debate in the medical community surrounding its efficacy and usefulness. Kyphoplasty usually provides pain relief and improved mobility (movement) within 48 hours of the procedure. If you have a compression fracture of the spine, kyphoplasty is a procedure that might. How Many Times Can You Have Kyphoplasty.
From www.newhealthadvisor.org
How Long Is the Kyphoplasty Recovery Time? New Health Advisor How Many Times Can You Have Kyphoplasty Kyphoplasty is usually an outpatient procedure. A couple of hours after surgery, most patients are able to walk. Kyphoplasty can restore a damaged vertebra’s height and may also relieve pain. Kyphoplasty is a medical procedure used to treat vertebral compression fractures (vcfs) in the spine. Kyphoplasty usually provides pain relief and improved mobility (movement) within 48 hours of the procedure.. How Many Times Can You Have Kyphoplasty.
From www.aptivahealth.com
Kyphoplasty Restore Spinal Health Aptiva Health How Many Times Can You Have Kyphoplasty Kyphoplasty is a medical procedure used to treat vertebral compression fractures (vcfs) in the spine. It is a minimally invasive. Kyphoplasty is a short procedure that can relieve acute pain, and is usually performed within the first two months after the fracture. Kyphoplasty is a minimally invasive procedure where bone cement is injected to stabilize vertebral compression fractures for immediate. How Many Times Can You Have Kyphoplasty.
From rockymountainbrainandspineinstitute.com
Kyphoplasty Rocky Mountain Brain and Spine Institute How Many Times Can You Have Kyphoplasty Kyphoplasty usually provides pain relief and improved mobility (movement) within 48 hours of the procedure. However, there's debate in the medical community surrounding its efficacy and usefulness. If you have a compression fracture of the spine, kyphoplasty is a procedure that might help relieve pain. Kyphoplasty is a short procedure that can relieve acute pain, and is usually performed within. How Many Times Can You Have Kyphoplasty.
From presentationgroup.com
Kyphoplasty Order How Many Times Can You Have Kyphoplasty However, there's debate in the medical community surrounding its efficacy and usefulness. Kyphoplasty usually provides pain relief and improved mobility (movement) within 48 hours of the procedure. Kyphoplasty can restore a damaged vertebra’s height and may also relieve pain. Kyphoplasty is a short procedure that can relieve acute pain, and is usually performed within the first two months after the. How Many Times Can You Have Kyphoplasty.
From www.dreamstime.com
Kyphoplasty Invasive Surgery for Spinal Compression Fracture Outline How Many Times Can You Have Kyphoplasty However, there's debate in the medical community surrounding its efficacy and usefulness. Kyphoplasty is a medical procedure used to treat vertebral compression fractures (vcfs) in the spine. Kyphoplasty usually provides pain relief and improved mobility (movement) within 48 hours of the procedure. It is a minimally invasive. A couple of hours after surgery, most patients are able to walk. If. How Many Times Can You Have Kyphoplasty.
From bluenethospitals.com
Kyphoplasty. Before, During and After Surgery. How Many Times Can You Have Kyphoplasty It is a minimally invasive. Kyphoplasty is a minimally invasive procedure where bone cement is injected to stabilize vertebral compression fractures for immediate pain relief. Kyphoplasty is a medical procedure used to treat vertebral compression fractures (vcfs) in the spine. Kyphoplasty can restore a damaged vertebra’s height and may also relieve pain. A couple of hours after surgery, most patients. How Many Times Can You Have Kyphoplasty.
From ihsprecisiontherapy.com
Kyphoplasty Precision Therapy at IHS How Many Times Can You Have Kyphoplasty Kyphoplasty usually provides pain relief and improved mobility (movement) within 48 hours of the procedure. Kyphoplasty can restore a damaged vertebra’s height and may also relieve pain. It is a minimally invasive. Kyphoplasty is a short procedure that can relieve acute pain, and is usually performed within the first two months after the fracture. In some cases, you may feel.. How Many Times Can You Have Kyphoplasty.
From patientslounge.com
Balloon Kyphoplasty Procedure A Personal Experience Patient's Lounge How Many Times Can You Have Kyphoplasty Kyphoplasty is a medical procedure used to treat vertebral compression fractures (vcfs) in the spine. Kyphoplasty can restore a damaged vertebra’s height and may also relieve pain. Kyphoplasty usually provides pain relief and improved mobility (movement) within 48 hours of the procedure. Kyphoplasty is a short procedure that can relieve acute pain, and is usually performed within the first two. How Many Times Can You Have Kyphoplasty.
From blog.radiology.virginia.edu
What Is Kyphoplasty? UVA Radiology and Imaging How Many Times Can You Have Kyphoplasty Kyphoplasty is a medical procedure used to treat vertebral compression fractures (vcfs) in the spine. Kyphoplasty is a short procedure that can relieve acute pain, and is usually performed within the first two months after the fracture. It is a minimally invasive. Kyphoplasty is usually an outpatient procedure. A couple of hours after surgery, most patients are able to walk.. How Many Times Can You Have Kyphoplasty.
From www.carolinaspaincenter.com
Kyphoplasty Carolinas Pain Center How Many Times Can You Have Kyphoplasty Kyphoplasty is a medical procedure used to treat vertebral compression fractures (vcfs) in the spine. In some cases, you may feel. Kyphoplasty is a short procedure that can relieve acute pain, and is usually performed within the first two months after the fracture. Kyphoplasty can restore a damaged vertebra’s height and may also relieve pain. If you have a compression. How Many Times Can You Have Kyphoplasty.
From www.saspine.com
What Are Kyphoplasty Vertebroplasty Surgeries? SA Spine How Many Times Can You Have Kyphoplasty In some cases, you may feel. It is a minimally invasive. However, there's debate in the medical community surrounding its efficacy and usefulness. Kyphoplasty is usually an outpatient procedure. A couple of hours after surgery, most patients are able to walk. If you have a compression fracture of the spine, kyphoplasty is a procedure that might help relieve pain. Kyphoplasty. How Many Times Can You Have Kyphoplasty.
From utah-spine.com
Kyphoplasty Utah Spine Specialists How Many Times Can You Have Kyphoplasty However, there's debate in the medical community surrounding its efficacy and usefulness. Kyphoplasty is a short procedure that can relieve acute pain, and is usually performed within the first two months after the fracture. Kyphoplasty can restore a damaged vertebra’s height and may also relieve pain. Kyphoplasty is usually an outpatient procedure. If you have a compression fracture of the. How Many Times Can You Have Kyphoplasty.
From www.researchgate.net
Kyphoplasty case series from UIHC during 2008 to 2020 patient How Many Times Can You Have Kyphoplasty If you have a compression fracture of the spine, kyphoplasty is a procedure that might help relieve pain. A couple of hours after surgery, most patients are able to walk. Kyphoplasty is a medical procedure used to treat vertebral compression fractures (vcfs) in the spine. Kyphoplasty is a short procedure that can relieve acute pain, and is usually performed within. How Many Times Can You Have Kyphoplasty.
From www.aptivahealth.com
Kyphoplasty Restore Spinal Health Aptiva Health How Many Times Can You Have Kyphoplasty Kyphoplasty usually provides pain relief and improved mobility (movement) within 48 hours of the procedure. Kyphoplasty is a short procedure that can relieve acute pain, and is usually performed within the first two months after the fracture. Kyphoplasty is a minimally invasive procedure where bone cement is injected to stabilize vertebral compression fractures for immediate pain relief. However, there's debate. How Many Times Can You Have Kyphoplasty.
From spineone.com
Kyphoplasty for Spine Compression Fracture Treatment SpineOne How Many Times Can You Have Kyphoplasty In some cases, you may feel. However, there's debate in the medical community surrounding its efficacy and usefulness. If you have a compression fracture of the spine, kyphoplasty is a procedure that might help relieve pain. It is a minimally invasive. Kyphoplasty can restore a damaged vertebra’s height and may also relieve pain. Kyphoplasty is a minimally invasive procedure where. How Many Times Can You Have Kyphoplasty.
From www.tourmyindia.com
Kyphoplasty Treatment & Cost Guide How Many Times Can You Have Kyphoplasty It is a minimally invasive. However, there's debate in the medical community surrounding its efficacy and usefulness. Kyphoplasty is a short procedure that can relieve acute pain, and is usually performed within the first two months after the fracture. Kyphoplasty is a medical procedure used to treat vertebral compression fractures (vcfs) in the spine. If you have a compression fracture. How Many Times Can You Have Kyphoplasty.
From www.rehabmypatient.com
Kyphoplasty Rehab My Patient How Many Times Can You Have Kyphoplasty In some cases, you may feel. If you have a compression fracture of the spine, kyphoplasty is a procedure that might help relieve pain. Kyphoplasty is a minimally invasive procedure where bone cement is injected to stabilize vertebral compression fractures for immediate pain relief. Kyphoplasty can restore a damaged vertebra’s height and may also relieve pain. A couple of hours. How Many Times Can You Have Kyphoplasty.
From www.treatmentpossible.com
Kyphoplasty Surgery in India Kyphoplasty Surgery Cost in India How Many Times Can You Have Kyphoplasty Kyphoplasty is usually an outpatient procedure. In some cases, you may feel. However, there's debate in the medical community surrounding its efficacy and usefulness. If you have a compression fracture of the spine, kyphoplasty is a procedure that might help relieve pain. Kyphoplasty is a medical procedure used to treat vertebral compression fractures (vcfs) in the spine. It is a. How Many Times Can You Have Kyphoplasty.
From floridasurgeryconsultants.com
Kyphoplasty Florida Surgery Consultants How Many Times Can You Have Kyphoplasty A couple of hours after surgery, most patients are able to walk. It is a minimally invasive. Kyphoplasty is a minimally invasive procedure where bone cement is injected to stabilize vertebral compression fractures for immediate pain relief. However, there's debate in the medical community surrounding its efficacy and usefulness. Kyphoplasty is a short procedure that can relieve acute pain, and. How Many Times Can You Have Kyphoplasty.
From spinecenterdelaware.com
Procedures Center For Spine Surgery How Many Times Can You Have Kyphoplasty Kyphoplasty can restore a damaged vertebra’s height and may also relieve pain. A couple of hours after surgery, most patients are able to walk. It is a minimally invasive. In some cases, you may feel. However, there's debate in the medical community surrounding its efficacy and usefulness. Kyphoplasty is a medical procedure used to treat vertebral compression fractures (vcfs) in. How Many Times Can You Have Kyphoplasty.
From www.youtube.com
Understanding Kyphoplasty What Can OCPBC Do for You? The Orthopedic How Many Times Can You Have Kyphoplasty A couple of hours after surgery, most patients are able to walk. Kyphoplasty is a short procedure that can relieve acute pain, and is usually performed within the first two months after the fracture. If you have a compression fracture of the spine, kyphoplasty is a procedure that might help relieve pain. Kyphoplasty usually provides pain relief and improved mobility. How Many Times Can You Have Kyphoplasty.