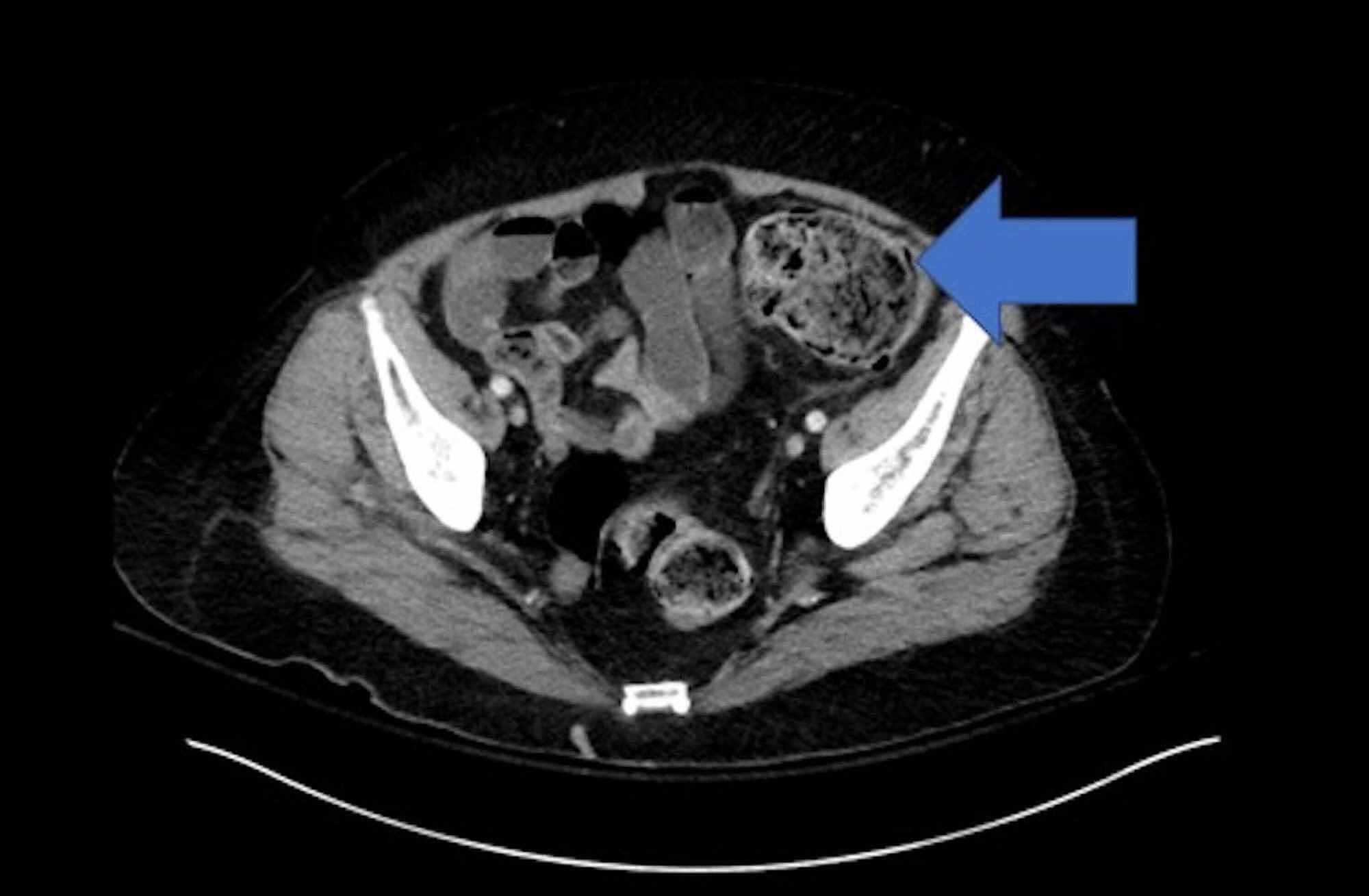
Ischemic Colitis On Ct .   this paper aims at evaluating ct findings of occlusive and nonocclusive.   ischaemic colitis occurs when there is an acute, transient compromise in blood flow, below that required for. To summarize the frequency of findings on iv contrast, enhanced computer tomography (ct) in.   ct in acute abdomen is useful to exclude serious medical conditions.  the most frequently observed ct findings in ischemic colitis in our series were fat stranding, wall thickening, and abnormal.   ct with intravenous contrast is the imaging modality of choice.  manifestations of ischemic colitis on ct include colonic wall thickening, edema, thumbprinting, bowel dilatation, and effusion of intestinal circumference.
        
         
         
        from www.bmj.com 
     
        
          ischaemic colitis occurs when there is an acute, transient compromise in blood flow, below that required for.   ct with intravenous contrast is the imaging modality of choice.   this paper aims at evaluating ct findings of occlusive and nonocclusive. To summarize the frequency of findings on iv contrast, enhanced computer tomography (ct) in.  the most frequently observed ct findings in ischemic colitis in our series were fat stranding, wall thickening, and abnormal.  manifestations of ischemic colitis on ct include colonic wall thickening, edema, thumbprinting, bowel dilatation, and effusion of intestinal circumference.   ct in acute abdomen is useful to exclude serious medical conditions.
    
    	
            
	
		 
	 
         
    Ischaemic colitis The BMJ 
    Ischemic Colitis On Ct    ct in acute abdomen is useful to exclude serious medical conditions.   ct with intravenous contrast is the imaging modality of choice.  the most frequently observed ct findings in ischemic colitis in our series were fat stranding, wall thickening, and abnormal. To summarize the frequency of findings on iv contrast, enhanced computer tomography (ct) in.  manifestations of ischemic colitis on ct include colonic wall thickening, edema, thumbprinting, bowel dilatation, and effusion of intestinal circumference.   ct in acute abdomen is useful to exclude serious medical conditions.   this paper aims at evaluating ct findings of occlusive and nonocclusive.   ischaemic colitis occurs when there is an acute, transient compromise in blood flow, below that required for.
            
	
		 
	 
         
 
    
         
        From pubs.rsna.org 
                    CT Evaluation of the Colon Inflammatory Disease RadioGraphics Ischemic Colitis On Ct    ct with intravenous contrast is the imaging modality of choice.  manifestations of ischemic colitis on ct include colonic wall thickening, edema, thumbprinting, bowel dilatation, and effusion of intestinal circumference.   ischaemic colitis occurs when there is an acute, transient compromise in blood flow, below that required for.  the most frequently observed ct findings in ischemic colitis in. Ischemic Colitis On Ct.
     
    
         
        From www.pinkybone.com 
                    Colite ischémique PinkyBone Ischemic Colitis On Ct   the most frequently observed ct findings in ischemic colitis in our series were fat stranding, wall thickening, and abnormal.   ct in acute abdomen is useful to exclude serious medical conditions.   ischaemic colitis occurs when there is an acute, transient compromise in blood flow, below that required for.   this paper aims at evaluating ct findings of occlusive. Ischemic Colitis On Ct.
     
    
         
        From litfl.com 
                    Abdominal CT enteritis and colitis • LITFL • Radiology Library Ischemic Colitis On Ct   manifestations of ischemic colitis on ct include colonic wall thickening, edema, thumbprinting, bowel dilatation, and effusion of intestinal circumference.   ischaemic colitis occurs when there is an acute, transient compromise in blood flow, below that required for.  the most frequently observed ct findings in ischemic colitis in our series were fat stranding, wall thickening, and abnormal.   ct. Ischemic Colitis On Ct.
     
    
         
        From radiopaedia.org 
                    Nonocclusive ischemic colitis Image Ischemic Colitis On Ct  To summarize the frequency of findings on iv contrast, enhanced computer tomography (ct) in.   ct in acute abdomen is useful to exclude serious medical conditions.   this paper aims at evaluating ct findings of occlusive and nonocclusive.   ct with intravenous contrast is the imaging modality of choice.  manifestations of ischemic colitis on ct include colonic wall thickening,. Ischemic Colitis On Ct.
     
    
         
        From www.bmj.com 
                    Ischaemic colitis The BMJ Ischemic Colitis On Ct   manifestations of ischemic colitis on ct include colonic wall thickening, edema, thumbprinting, bowel dilatation, and effusion of intestinal circumference.   this paper aims at evaluating ct findings of occlusive and nonocclusive. To summarize the frequency of findings on iv contrast, enhanced computer tomography (ct) in.  the most frequently observed ct findings in ischemic colitis in our series were. Ischemic Colitis On Ct.
     
    
         
        From pubs.rsna.org 
                    CT and MR Imaging Findings of Bowel Ischemia from Various Primary Ischemic Colitis On Ct   manifestations of ischemic colitis on ct include colonic wall thickening, edema, thumbprinting, bowel dilatation, and effusion of intestinal circumference.  the most frequently observed ct findings in ischemic colitis in our series were fat stranding, wall thickening, and abnormal.   ct in acute abdomen is useful to exclude serious medical conditions.   ct with intravenous contrast is the imaging. Ischemic Colitis On Ct.
     
    
         
        From www.ctisus.com 
                    Ischemic Colitis Left Colon Colon Case Studies CTisus CT Scanning Ischemic Colitis On Ct  To summarize the frequency of findings on iv contrast, enhanced computer tomography (ct) in.   this paper aims at evaluating ct findings of occlusive and nonocclusive.   ischaemic colitis occurs when there is an acute, transient compromise in blood flow, below that required for.   ct in acute abdomen is useful to exclude serious medical conditions.  manifestations of ischemic. Ischemic Colitis On Ct.
     
    
         
        From www.ctisus.com 
                    Ischemic Colitis of the Cecum and Right Colon Which Simulates Cecal Ischemic Colitis On Ct   the most frequently observed ct findings in ischemic colitis in our series were fat stranding, wall thickening, and abnormal.   ct with intravenous contrast is the imaging modality of choice.   ct in acute abdomen is useful to exclude serious medical conditions.  manifestations of ischemic colitis on ct include colonic wall thickening, edema, thumbprinting, bowel dilatation, and effusion. Ischemic Colitis On Ct.
     
    
         
        From www.petctscan.com 
                    Ischemic Colitis Small Bowel Case Studies CTisus CT Scanning Ischemic Colitis On Ct  To summarize the frequency of findings on iv contrast, enhanced computer tomography (ct) in.   this paper aims at evaluating ct findings of occlusive and nonocclusive.  the most frequently observed ct findings in ischemic colitis in our series were fat stranding, wall thickening, and abnormal.   ct in acute abdomen is useful to exclude serious medical conditions.  manifestations. Ischemic Colitis On Ct.
     
    
         
        From www.svuhradiology.ie 
                    Colitis CT Radiology at St. Vincent's University Hospital Ischemic Colitis On Ct   the most frequently observed ct findings in ischemic colitis in our series were fat stranding, wall thickening, and abnormal.   ischaemic colitis occurs when there is an acute, transient compromise in blood flow, below that required for.   ct in acute abdomen is useful to exclude serious medical conditions.   this paper aims at evaluating ct findings of occlusive. Ischemic Colitis On Ct.
     
    
         
        From www.ctisus.com 
                    Ischemic Colitis Splenic Flexure Colon Case Studies CTisus CT Scanning Ischemic Colitis On Ct  To summarize the frequency of findings on iv contrast, enhanced computer tomography (ct) in.   ct in acute abdomen is useful to exclude serious medical conditions.  manifestations of ischemic colitis on ct include colonic wall thickening, edema, thumbprinting, bowel dilatation, and effusion of intestinal circumference.  the most frequently observed ct findings in ischemic colitis in our series were. Ischemic Colitis On Ct.
     
    
         
        From ctisus.com 
                    Ischemic Colitis Splenic Flexure Colon Case Studies CTisus CT Scanning Ischemic Colitis On Ct  To summarize the frequency of findings on iv contrast, enhanced computer tomography (ct) in.  manifestations of ischemic colitis on ct include colonic wall thickening, edema, thumbprinting, bowel dilatation, and effusion of intestinal circumference.  the most frequently observed ct findings in ischemic colitis in our series were fat stranding, wall thickening, and abnormal.   ischaemic colitis occurs when there. Ischemic Colitis On Ct.
     
    
         
        From radiologykey.com 
                    Ischemic Colitis Radiology Key Ischemic Colitis On Ct   the most frequently observed ct findings in ischemic colitis in our series were fat stranding, wall thickening, and abnormal.   ct with intravenous contrast is the imaging modality of choice.   this paper aims at evaluating ct findings of occlusive and nonocclusive.   ct in acute abdomen is useful to exclude serious medical conditions. To summarize the frequency of. Ischemic Colitis On Ct.
     
    
         
        From www.radiologic.theclinics.com 
                    Imaging of Ischemic Colitis Radiologic Clinics Ischemic Colitis On Ct  To summarize the frequency of findings on iv contrast, enhanced computer tomography (ct) in.   ct in acute abdomen is useful to exclude serious medical conditions.   ischaemic colitis occurs when there is an acute, transient compromise in blood flow, below that required for.  the most frequently observed ct findings in ischemic colitis in our series were fat stranding,. Ischemic Colitis On Ct.
     
    
         
        From www.wikidoc.org 
                    Ischemic colitis CT wikidoc Ischemic Colitis On Ct    ischaemic colitis occurs when there is an acute, transient compromise in blood flow, below that required for.  manifestations of ischemic colitis on ct include colonic wall thickening, edema, thumbprinting, bowel dilatation, and effusion of intestinal circumference. To summarize the frequency of findings on iv contrast, enhanced computer tomography (ct) in.   this paper aims at evaluating ct findings. Ischemic Colitis On Ct.
     
    
         
        From radiopaedia.org 
                    Ischemic colitis Image Ischemic Colitis On Ct    this paper aims at evaluating ct findings of occlusive and nonocclusive.   ischaemic colitis occurs when there is an acute, transient compromise in blood flow, below that required for.  manifestations of ischemic colitis on ct include colonic wall thickening, edema, thumbprinting, bowel dilatation, and effusion of intestinal circumference. To summarize the frequency of findings on iv contrast, enhanced. Ischemic Colitis On Ct.
     
    
         
        From www.petctscan.com 
                    Ischemic Colitis Small Bowel Case Studies CTisus CT Scanning Ischemic Colitis On Ct   the most frequently observed ct findings in ischemic colitis in our series were fat stranding, wall thickening, and abnormal.   ct in acute abdomen is useful to exclude serious medical conditions. To summarize the frequency of findings on iv contrast, enhanced computer tomography (ct) in.   ischaemic colitis occurs when there is an acute, transient compromise in blood flow,. Ischemic Colitis On Ct.
     
    
         
        From www.ctisus.com 
                    Ischemic Colitis Left Colon Colon Case Studies CTisus CT Scanning Ischemic Colitis On Ct  To summarize the frequency of findings on iv contrast, enhanced computer tomography (ct) in.   ct with intravenous contrast is the imaging modality of choice.  manifestations of ischemic colitis on ct include colonic wall thickening, edema, thumbprinting, bowel dilatation, and effusion of intestinal circumference.  the most frequently observed ct findings in ischemic colitis in our series were fat. Ischemic Colitis On Ct.
     
    
         
        From www.petctscan.com 
                    Ischemic Colitis Small Bowel Case Studies CTisus CT Scanning Ischemic Colitis On Ct    ct with intravenous contrast is the imaging modality of choice.  manifestations of ischemic colitis on ct include colonic wall thickening, edema, thumbprinting, bowel dilatation, and effusion of intestinal circumference.  the most frequently observed ct findings in ischemic colitis in our series were fat stranding, wall thickening, and abnormal. To summarize the frequency of findings on iv contrast,. Ischemic Colitis On Ct.
     
    
         
        From radiologykey.com 
                    Ischemic Colitis Radiology Key Ischemic Colitis On Ct   the most frequently observed ct findings in ischemic colitis in our series were fat stranding, wall thickening, and abnormal.   ischaemic colitis occurs when there is an acute, transient compromise in blood flow, below that required for.   ct in acute abdomen is useful to exclude serious medical conditions.  manifestations of ischemic colitis on ct include colonic wall. Ischemic Colitis On Ct.
     
    
         
        From www.msdmanuals.com 
                    Image Ischemic Colitis on CT MSD Manual Professional Edition Ischemic Colitis On Ct    ischaemic colitis occurs when there is an acute, transient compromise in blood flow, below that required for.  the most frequently observed ct findings in ischemic colitis in our series were fat stranding, wall thickening, and abnormal.  manifestations of ischemic colitis on ct include colonic wall thickening, edema, thumbprinting, bowel dilatation, and effusion of intestinal circumference.   ct. Ischemic Colitis On Ct.
     
    
         
        From www.ctisus.com 
                    Ischemic Colitis Left Colon due to Venous Stasis Colon Case Studies Ischemic Colitis On Ct    ct with intravenous contrast is the imaging modality of choice.  manifestations of ischemic colitis on ct include colonic wall thickening, edema, thumbprinting, bowel dilatation, and effusion of intestinal circumference.   ischaemic colitis occurs when there is an acute, transient compromise in blood flow, below that required for.  the most frequently observed ct findings in ischemic colitis in. Ischemic Colitis On Ct.
     
    
         
        From pubs.rsna.org 
                    CT Evaluation of the Colon Inflammatory Disease RadioGraphics Ischemic Colitis On Ct    ischaemic colitis occurs when there is an acute, transient compromise in blood flow, below that required for.  manifestations of ischemic colitis on ct include colonic wall thickening, edema, thumbprinting, bowel dilatation, and effusion of intestinal circumference.   this paper aims at evaluating ct findings of occlusive and nonocclusive.   ct in acute abdomen is useful to exclude serious. Ischemic Colitis On Ct.
     
    
         
        From www.ctisus.com 
                    Ischemic Colitis Left Colon due to Venous Stasis Colon Case Studies Ischemic Colitis On Ct   the most frequently observed ct findings in ischemic colitis in our series were fat stranding, wall thickening, and abnormal. To summarize the frequency of findings on iv contrast, enhanced computer tomography (ct) in.   ct with intravenous contrast is the imaging modality of choice.   ischaemic colitis occurs when there is an acute, transient compromise in blood flow, below. Ischemic Colitis On Ct.
     
    
         
        From www.cureus.com 
                    Cureus Fulminant Ischemic Pancolitis A Severe Variant of Ischemic Ischemic Colitis On Ct    ct with intravenous contrast is the imaging modality of choice.  the most frequently observed ct findings in ischemic colitis in our series were fat stranding, wall thickening, and abnormal. To summarize the frequency of findings on iv contrast, enhanced computer tomography (ct) in.  manifestations of ischemic colitis on ct include colonic wall thickening, edema, thumbprinting, bowel dilatation,. Ischemic Colitis On Ct.
     
    
         
        From www.ctisus.com 
                    Ischemic Colitis Splenic Flexure Colon Case Studies CTisus CT Scanning Ischemic Colitis On Ct    this paper aims at evaluating ct findings of occlusive and nonocclusive.   ct in acute abdomen is useful to exclude serious medical conditions.  manifestations of ischemic colitis on ct include colonic wall thickening, edema, thumbprinting, bowel dilatation, and effusion of intestinal circumference. To summarize the frequency of findings on iv contrast, enhanced computer tomography (ct) in.   ct. Ischemic Colitis On Ct.
     
    
         
        From radiologykey.com 
                    Ischemic Colitis Radiology Key Ischemic Colitis On Ct   manifestations of ischemic colitis on ct include colonic wall thickening, edema, thumbprinting, bowel dilatation, and effusion of intestinal circumference.   ischaemic colitis occurs when there is an acute, transient compromise in blood flow, below that required for. To summarize the frequency of findings on iv contrast, enhanced computer tomography (ct) in.   this paper aims at evaluating ct findings. Ischemic Colitis On Ct.
     
    
         
        From www.ctisus.com 
                    Ischemic Colitis Left Colon Chest Case Studies CTisus CT Scanning Ischemic Colitis On Ct    ct in acute abdomen is useful to exclude serious medical conditions.  the most frequently observed ct findings in ischemic colitis in our series were fat stranding, wall thickening, and abnormal.   ct with intravenous contrast is the imaging modality of choice.  manifestations of ischemic colitis on ct include colonic wall thickening, edema, thumbprinting, bowel dilatation, and effusion. Ischemic Colitis On Ct.
     
    
         
        From www.ctisus.com 
                    Ischemic Colitis Rectum and Sigmoid Colon Colon Case Studies CTisus Ischemic Colitis On Ct    this paper aims at evaluating ct findings of occlusive and nonocclusive.  the most frequently observed ct findings in ischemic colitis in our series were fat stranding, wall thickening, and abnormal.   ischaemic colitis occurs when there is an acute, transient compromise in blood flow, below that required for.   ct in acute abdomen is useful to exclude serious. Ischemic Colitis On Ct.
     
    
         
        From www.petctscan.com 
                    Ischemic Colitis Small Bowel Case Studies CTisus CT Scanning Ischemic Colitis On Ct    ct in acute abdomen is useful to exclude serious medical conditions.   ct with intravenous contrast is the imaging modality of choice.   this paper aims at evaluating ct findings of occlusive and nonocclusive.  manifestations of ischemic colitis on ct include colonic wall thickening, edema, thumbprinting, bowel dilatation, and effusion of intestinal circumference. To summarize the frequency of. Ischemic Colitis On Ct.
     
    
         
        From www.eurorad.org 
                    Ischemic colitis Eurorad Ischemic Colitis On Ct   manifestations of ischemic colitis on ct include colonic wall thickening, edema, thumbprinting, bowel dilatation, and effusion of intestinal circumference. To summarize the frequency of findings on iv contrast, enhanced computer tomography (ct) in.   this paper aims at evaluating ct findings of occlusive and nonocclusive.  the most frequently observed ct findings in ischemic colitis in our series were. Ischemic Colitis On Ct.
     
    
         
        From ctisus.com 
                    Ischemic Colitis Small Bowel Case Studies CTisus CT Scanning Ischemic Colitis On Ct   the most frequently observed ct findings in ischemic colitis in our series were fat stranding, wall thickening, and abnormal.   ischaemic colitis occurs when there is an acute, transient compromise in blood flow, below that required for.   this paper aims at evaluating ct findings of occlusive and nonocclusive.  manifestations of ischemic colitis on ct include colonic wall. Ischemic Colitis On Ct.
     
    
         
        From www.wikidoc.org 
                    Ischemic colitis abdominal x ray wikidoc Ischemic Colitis On Ct    this paper aims at evaluating ct findings of occlusive and nonocclusive.  the most frequently observed ct findings in ischemic colitis in our series were fat stranding, wall thickening, and abnormal. To summarize the frequency of findings on iv contrast, enhanced computer tomography (ct) in.  manifestations of ischemic colitis on ct include colonic wall thickening, edema, thumbprinting, bowel. Ischemic Colitis On Ct.
     
    
         
        From www.ctisus.com 
                    Ischemic Colitis Left Colon Colon Case Studies CTisus CT Scanning Ischemic Colitis On Ct    this paper aims at evaluating ct findings of occlusive and nonocclusive. To summarize the frequency of findings on iv contrast, enhanced computer tomography (ct) in.  manifestations of ischemic colitis on ct include colonic wall thickening, edema, thumbprinting, bowel dilatation, and effusion of intestinal circumference.   ischaemic colitis occurs when there is an acute, transient compromise in blood flow,. Ischemic Colitis On Ct.
     
    
         
        From www.wikidoc.org 
                    Ischemic colitis CT wikidoc Ischemic Colitis On Ct    this paper aims at evaluating ct findings of occlusive and nonocclusive.  manifestations of ischemic colitis on ct include colonic wall thickening, edema, thumbprinting, bowel dilatation, and effusion of intestinal circumference.   ischaemic colitis occurs when there is an acute, transient compromise in blood flow, below that required for.  the most frequently observed ct findings in ischemic colitis. Ischemic Colitis On Ct.