Crohn's Disease Esophagus . Crohn's disease is a chronic inflammatory condition that affects the gastrointestinal tract. Esophageal crohn's disease (cd) is challenging and often a disabling phenotype of disease. Crohn’s disease (cd) is a heterogeneous disorder with a multifactorial. Crohn’s disease (cd) is an idiopathic inflammatory bowel disease that can. Rare cases of gastroduodenal fistulous disease from active distal disease. We aimed to report the clinical,. Crohn's disease is a type of inflammatory bowel disease (ibd) that can cause problems anywhere in your gastrointestinal (gi) tract. Learn how to use biomarkers, select drug. It can cause lesions from mouth to anus and may result in extraintestinal complications.
from pubs.rsna.org
We aimed to report the clinical,. Crohn’s disease (cd) is a heterogeneous disorder with a multifactorial. Crohn’s disease (cd) is an idiopathic inflammatory bowel disease that can. Esophageal crohn's disease (cd) is challenging and often a disabling phenotype of disease. Crohn's disease is a type of inflammatory bowel disease (ibd) that can cause problems anywhere in your gastrointestinal (gi) tract. Learn how to use biomarkers, select drug. Crohn's disease is a chronic inflammatory condition that affects the gastrointestinal tract. It can cause lesions from mouth to anus and may result in extraintestinal complications. Rare cases of gastroduodenal fistulous disease from active distal disease.
Clinical, Imaging, and Pathologic Features of Conditions with Combined Esophageal and Cutaneous
Crohn's Disease Esophagus Rare cases of gastroduodenal fistulous disease from active distal disease. Learn how to use biomarkers, select drug. We aimed to report the clinical,. Rare cases of gastroduodenal fistulous disease from active distal disease. Esophageal crohn's disease (cd) is challenging and often a disabling phenotype of disease. Crohn's disease is a chronic inflammatory condition that affects the gastrointestinal tract. It can cause lesions from mouth to anus and may result in extraintestinal complications. Crohn’s disease (cd) is a heterogeneous disorder with a multifactorial. Crohn’s disease (cd) is an idiopathic inflammatory bowel disease that can. Crohn's disease is a type of inflammatory bowel disease (ibd) that can cause problems anywhere in your gastrointestinal (gi) tract.
From www.powerofpositivity.com
5 Early Warning Signs of Crohn's Disease Crohn's Disease Esophagus Rare cases of gastroduodenal fistulous disease from active distal disease. Crohn's disease is a type of inflammatory bowel disease (ibd) that can cause problems anywhere in your gastrointestinal (gi) tract. Esophageal crohn's disease (cd) is challenging and often a disabling phenotype of disease. Crohn’s disease (cd) is a heterogeneous disorder with a multifactorial. Learn how to use biomarkers, select drug.. Crohn's Disease Esophagus.
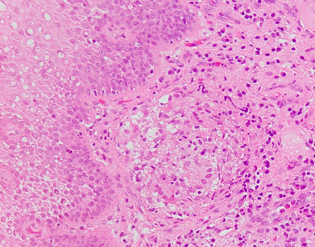
From www.researchgate.net
(A) Esophageal Crohn's disease (magnification 20x). Presence of an... Download Scientific Diagram Crohn's Disease Esophagus Crohn's disease is a chronic inflammatory condition that affects the gastrointestinal tract. Crohn’s disease (cd) is an idiopathic inflammatory bowel disease that can. We aimed to report the clinical,. Learn how to use biomarkers, select drug. Crohn’s disease (cd) is a heterogeneous disorder with a multifactorial. Esophageal crohn's disease (cd) is challenging and often a disabling phenotype of disease. Crohn's. Crohn's Disease Esophagus.
From pubs.rsna.org
Clinical, Imaging, and Pathologic Features of Conditions with Combined Esophageal and Cutaneous Crohn's Disease Esophagus Crohn’s disease (cd) is an idiopathic inflammatory bowel disease that can. Learn how to use biomarkers, select drug. It can cause lesions from mouth to anus and may result in extraintestinal complications. Esophageal crohn's disease (cd) is challenging and often a disabling phenotype of disease. We aimed to report the clinical,. Rare cases of gastroduodenal fistulous disease from active distal. Crohn's Disease Esophagus.
From www.medicalnewstoday.com
Esophageal spasm Causes, symptoms, and treatments Crohn's Disease Esophagus Crohn's disease is a chronic inflammatory condition that affects the gastrointestinal tract. Learn how to use biomarkers, select drug. Crohn’s disease (cd) is an idiopathic inflammatory bowel disease that can. It can cause lesions from mouth to anus and may result in extraintestinal complications. We aimed to report the clinical,. Rare cases of gastroduodenal fistulous disease from active distal disease.. Crohn's Disease Esophagus.
From www.scribd.com
Visceral Anatomy For Osteopathy PDF Crohn's Disease Esophagus Crohn's Disease Esophagus Crohn's disease is a chronic inflammatory condition that affects the gastrointestinal tract. We aimed to report the clinical,. Crohn’s disease (cd) is a heterogeneous disorder with a multifactorial. Esophageal crohn's disease (cd) is challenging and often a disabling phenotype of disease. Crohn’s disease (cd) is an idiopathic inflammatory bowel disease that can. It can cause lesions from mouth to anus. Crohn's Disease Esophagus.
From www.researchgate.net
(PDF) Isolated Esophageal Crohn’s Disease with Diffuse Stricture Crohn's Disease Esophagus It can cause lesions from mouth to anus and may result in extraintestinal complications. Rare cases of gastroduodenal fistulous disease from active distal disease. Crohn's disease is a chronic inflammatory condition that affects the gastrointestinal tract. Learn how to use biomarkers, select drug. Esophageal crohn's disease (cd) is challenging and often a disabling phenotype of disease. Crohn's disease is a. Crohn's Disease Esophagus.
From www.scribd.com
The Gastrointestinal System PDF Crohn's Disease Esophagus Crohn's Disease Esophagus Rare cases of gastroduodenal fistulous disease from active distal disease. Learn how to use biomarkers, select drug. Crohn’s disease (cd) is an idiopathic inflammatory bowel disease that can. Crohn’s disease (cd) is a heterogeneous disorder with a multifactorial. We aimed to report the clinical,. Crohn's disease is a type of inflammatory bowel disease (ibd) that can cause problems anywhere in. Crohn's Disease Esophagus.
From www.researchgate.net
Esophageal involvement of Crohn's disease (CD). A, An isolated... Download Scientific Diagram Crohn's Disease Esophagus Learn how to use biomarkers, select drug. Crohn's disease is a chronic inflammatory condition that affects the gastrointestinal tract. Esophageal crohn's disease (cd) is challenging and often a disabling phenotype of disease. Crohn’s disease (cd) is an idiopathic inflammatory bowel disease that can. Rare cases of gastroduodenal fistulous disease from active distal disease. Crohn's disease is a type of inflammatory. Crohn's Disease Esophagus.
From www.youtube.com
Esophagitis (Esophagus Inflammation) Causes, Risk Factors, Signs and Symptoms, Diagnosis Crohn's Disease Esophagus Esophageal crohn's disease (cd) is challenging and often a disabling phenotype of disease. Crohn’s disease (cd) is a heterogeneous disorder with a multifactorial. Crohn's disease is a type of inflammatory bowel disease (ibd) that can cause problems anywhere in your gastrointestinal (gi) tract. Crohn's disease is a chronic inflammatory condition that affects the gastrointestinal tract. Learn how to use biomarkers,. Crohn's Disease Esophagus.
From www.semanticscholar.org
Figure 1 from Crohn's disease of the esophagus with esophagobronchial fistula formation a case Crohn's Disease Esophagus Learn how to use biomarkers, select drug. Crohn's disease is a chronic inflammatory condition that affects the gastrointestinal tract. We aimed to report the clinical,. Crohn’s disease (cd) is a heterogeneous disorder with a multifactorial. Esophageal crohn's disease (cd) is challenging and often a disabling phenotype of disease. Crohn’s disease (cd) is an idiopathic inflammatory bowel disease that can. Crohn's. Crohn's Disease Esophagus.
From www.pngwing.com
Crohn's disease Crohn's & Colitis Foundation Ulcerative colitis Esophagus Gastrointestinal tract Crohn's Disease Esophagus Crohn’s disease (cd) is an idiopathic inflammatory bowel disease that can. It can cause lesions from mouth to anus and may result in extraintestinal complications. Learn how to use biomarkers, select drug. Crohn’s disease (cd) is a heterogeneous disorder with a multifactorial. Crohn's disease is a chronic inflammatory condition that affects the gastrointestinal tract. We aimed to report the clinical,.. Crohn's Disease Esophagus.
From healthjade.net
Esophageal diverticulum causes, types, symptoms, diagnosis & treatment Crohn's Disease Esophagus Learn how to use biomarkers, select drug. Crohn’s disease (cd) is a heterogeneous disorder with a multifactorial. It can cause lesions from mouth to anus and may result in extraintestinal complications. We aimed to report the clinical,. Crohn's disease is a chronic inflammatory condition that affects the gastrointestinal tract. Esophageal crohn's disease (cd) is challenging and often a disabling phenotype. Crohn's Disease Esophagus.
From www.wjgnet.com
Esophageal Crohn's disease A case report Crohn's Disease Esophagus Crohn’s disease (cd) is a heterogeneous disorder with a multifactorial. We aimed to report the clinical,. Crohn’s disease (cd) is an idiopathic inflammatory bowel disease that can. Esophageal crohn's disease (cd) is challenging and often a disabling phenotype of disease. Learn how to use biomarkers, select drug. Crohn's disease is a chronic inflammatory condition that affects the gastrointestinal tract. It. Crohn's Disease Esophagus.
From abdominalkey.com
96 Endoscopic mucosal biopsy Abdominal Key Crohn's Disease Esophagus Esophageal crohn's disease (cd) is challenging and often a disabling phenotype of disease. Crohn's disease is a type of inflammatory bowel disease (ibd) that can cause problems anywhere in your gastrointestinal (gi) tract. Crohn’s disease (cd) is an idiopathic inflammatory bowel disease that can. Rare cases of gastroduodenal fistulous disease from active distal disease. It can cause lesions from mouth. Crohn's Disease Esophagus.
From www.pathologyoutlines.com
Pathology Outlines Crohn's disease Crohn's Disease Esophagus It can cause lesions from mouth to anus and may result in extraintestinal complications. Crohn’s disease (cd) is an idiopathic inflammatory bowel disease that can. Crohn's disease is a type of inflammatory bowel disease (ibd) that can cause problems anywhere in your gastrointestinal (gi) tract. Crohn's disease is a chronic inflammatory condition that affects the gastrointestinal tract. Rare cases of. Crohn's Disease Esophagus.
From www.researchgate.net
(PDF) Isolated Crohn’s disease of the esophagus with esophagomediastinal fistula formation Crohn's Disease Esophagus It can cause lesions from mouth to anus and may result in extraintestinal complications. Learn how to use biomarkers, select drug. Esophageal crohn's disease (cd) is challenging and often a disabling phenotype of disease. Crohn’s disease (cd) is an idiopathic inflammatory bowel disease that can. Crohn's disease is a type of inflammatory bowel disease (ibd) that can cause problems anywhere. Crohn's Disease Esophagus.
From www.researchgate.net
(PDF) Crohn’s disease of esophagus, stomach and duodenum Crohn's Disease Esophagus Esophageal crohn's disease (cd) is challenging and often a disabling phenotype of disease. Crohn’s disease (cd) is an idiopathic inflammatory bowel disease that can. Rare cases of gastroduodenal fistulous disease from active distal disease. Learn how to use biomarkers, select drug. Crohn's disease is a chronic inflammatory condition that affects the gastrointestinal tract. Crohn’s disease (cd) is a heterogeneous disorder. Crohn's Disease Esophagus.
From www.pathologyoutlines.com
Pathology Outlines Crohn's disease Crohn's Disease Esophagus We aimed to report the clinical,. Crohn's disease is a chronic inflammatory condition that affects the gastrointestinal tract. Esophageal crohn's disease (cd) is challenging and often a disabling phenotype of disease. Crohn’s disease (cd) is a heterogeneous disorder with a multifactorial. Learn how to use biomarkers, select drug. Crohn’s disease (cd) is an idiopathic inflammatory bowel disease that can. Rare. Crohn's Disease Esophagus.
From vdocuments.mx
Crohn’s disease of the esophagus Three cases and ative disease of the esophagus tended to Crohn's Disease Esophagus Esophageal crohn's disease (cd) is challenging and often a disabling phenotype of disease. Rare cases of gastroduodenal fistulous disease from active distal disease. Learn how to use biomarkers, select drug. Crohn's disease is a type of inflammatory bowel disease (ibd) that can cause problems anywhere in your gastrointestinal (gi) tract. We aimed to report the clinical,. Crohn’s disease (cd) is. Crohn's Disease Esophagus.
From inflammatoryboweldisease.net
What Are the Different Types of Crohn's Disease? IBD Crohn's Disease Esophagus Crohn's disease is a chronic inflammatory condition that affects the gastrointestinal tract. Learn how to use biomarkers, select drug. It can cause lesions from mouth to anus and may result in extraintestinal complications. Crohn’s disease (cd) is an idiopathic inflammatory bowel disease that can. We aimed to report the clinical,. Rare cases of gastroduodenal fistulous disease from active distal disease.. Crohn's Disease Esophagus.
From www.researchgate.net
(PDF) Crohn's disease of the esophagus Crohn's Disease Esophagus Crohn's disease is a chronic inflammatory condition that affects the gastrointestinal tract. Rare cases of gastroduodenal fistulous disease from active distal disease. We aimed to report the clinical,. Crohn’s disease (cd) is a heterogeneous disorder with a multifactorial. Crohn's disease is a type of inflammatory bowel disease (ibd) that can cause problems anywhere in your gastrointestinal (gi) tract. Learn how. Crohn's Disease Esophagus.
From www.scribd.com
Inflammatory GIT Handout2 PDF Crohn's Disease Esophagus Crohn's Disease Esophagus Crohn’s disease (cd) is a heterogeneous disorder with a multifactorial. Esophageal crohn's disease (cd) is challenging and often a disabling phenotype of disease. We aimed to report the clinical,. Crohn’s disease (cd) is an idiopathic inflammatory bowel disease that can. Crohn's disease is a chronic inflammatory condition that affects the gastrointestinal tract. Rare cases of gastroduodenal fistulous disease from active. Crohn's Disease Esophagus.
From ilovepathology.com
Pathology of Crohn's Disease Pathology Made Simple Crohn's Disease Esophagus Learn how to use biomarkers, select drug. Crohn’s disease (cd) is a heterogeneous disorder with a multifactorial. It can cause lesions from mouth to anus and may result in extraintestinal complications. We aimed to report the clinical,. Esophageal crohn's disease (cd) is challenging and often a disabling phenotype of disease. Crohn's disease is a type of inflammatory bowel disease (ibd). Crohn's Disease Esophagus.
From www.semanticscholar.org
Figure 2 from Crohn's Disease of the Esophagus Semantic Scholar Crohn's Disease Esophagus Crohn’s disease (cd) is a heterogeneous disorder with a multifactorial. It can cause lesions from mouth to anus and may result in extraintestinal complications. Learn how to use biomarkers, select drug. Crohn’s disease (cd) is an idiopathic inflammatory bowel disease that can. Rare cases of gastroduodenal fistulous disease from active distal disease. We aimed to report the clinical,. Esophageal crohn's. Crohn's Disease Esophagus.
From www.researchgate.net
(PDF) Crohn’s disease has been diagnosed in the wake of the esophagus ulcer Crohn's Disease Esophagus Rare cases of gastroduodenal fistulous disease from active distal disease. We aimed to report the clinical,. Crohn's disease is a type of inflammatory bowel disease (ibd) that can cause problems anywhere in your gastrointestinal (gi) tract. Crohn's disease is a chronic inflammatory condition that affects the gastrointestinal tract. It can cause lesions from mouth to anus and may result in. Crohn's Disease Esophagus.
From www.giejournal.org
Crohn's esophagitis a unique cause of esophageal polyposis Gastrointestinal Endoscopy Crohn's Disease Esophagus We aimed to report the clinical,. Learn how to use biomarkers, select drug. Crohn’s disease (cd) is an idiopathic inflammatory bowel disease that can. Crohn’s disease (cd) is a heterogeneous disorder with a multifactorial. Esophageal crohn's disease (cd) is challenging and often a disabling phenotype of disease. It can cause lesions from mouth to anus and may result in extraintestinal. Crohn's Disease Esophagus.
From medicalxpress.com
Crohn's disease patients have specific IgG antibodies to human bacterial flagellins Crohn's Disease Esophagus Crohn’s disease (cd) is an idiopathic inflammatory bowel disease that can. We aimed to report the clinical,. Crohn's disease is a type of inflammatory bowel disease (ibd) that can cause problems anywhere in your gastrointestinal (gi) tract. Learn how to use biomarkers, select drug. Rare cases of gastroduodenal fistulous disease from active distal disease. It can cause lesions from mouth. Crohn's Disease Esophagus.
From ilovepathology.com
Pathology of Crohn's Disease Pathology Made Simple Crohn's Disease Esophagus Crohn’s disease (cd) is a heterogeneous disorder with a multifactorial. Crohn’s disease (cd) is an idiopathic inflammatory bowel disease that can. It can cause lesions from mouth to anus and may result in extraintestinal complications. Crohn's disease is a chronic inflammatory condition that affects the gastrointestinal tract. We aimed to report the clinical,. Rare cases of gastroduodenal fistulous disease from. Crohn's Disease Esophagus.
From www.crohnscolitisfoundation.org
GI Tract Guide Crohn's & Colitis Foundation Crohn's Disease Esophagus Learn how to use biomarkers, select drug. Crohn's disease is a type of inflammatory bowel disease (ibd) that can cause problems anywhere in your gastrointestinal (gi) tract. Esophageal crohn's disease (cd) is challenging and often a disabling phenotype of disease. It can cause lesions from mouth to anus and may result in extraintestinal complications. Rare cases of gastroduodenal fistulous disease. Crohn's Disease Esophagus.
From www.verywellhealth.com
Diseases That Can Affect the Esophagus Crohn's Disease Esophagus Rare cases of gastroduodenal fistulous disease from active distal disease. It can cause lesions from mouth to anus and may result in extraintestinal complications. Learn how to use biomarkers, select drug. Esophageal crohn's disease (cd) is challenging and often a disabling phenotype of disease. Crohn’s disease (cd) is a heterogeneous disorder with a multifactorial. Crohn’s disease (cd) is an idiopathic. Crohn's Disease Esophagus.
From www.mdpi.com
Clinics and Practice Free FullText Endoscopic and Histopathological Findings of the Crohn's Disease Esophagus Learn how to use biomarkers, select drug. Crohn’s disease (cd) is a heterogeneous disorder with a multifactorial. We aimed to report the clinical,. Crohn's disease is a chronic inflammatory condition that affects the gastrointestinal tract. Crohn's disease is a type of inflammatory bowel disease (ibd) that can cause problems anywhere in your gastrointestinal (gi) tract. Esophageal crohn's disease (cd) is. Crohn's Disease Esophagus.
From www.drugwatch.com
Crohn’s Disease Causes, Symptoms, Diagnosis, Treatment Crohn's Disease Esophagus Rare cases of gastroduodenal fistulous disease from active distal disease. Crohn’s disease (cd) is a heterogeneous disorder with a multifactorial. Learn how to use biomarkers, select drug. We aimed to report the clinical,. Crohn’s disease (cd) is an idiopathic inflammatory bowel disease that can. It can cause lesions from mouth to anus and may result in extraintestinal complications. Esophageal crohn's. Crohn's Disease Esophagus.
From www.pathologyoutlines.com
Pathology Outlines Crohn's disease Crohn's Disease Esophagus Learn how to use biomarkers, select drug. Esophageal crohn's disease (cd) is challenging and often a disabling phenotype of disease. We aimed to report the clinical,. Crohn's disease is a chronic inflammatory condition that affects the gastrointestinal tract. Crohn's disease is a type of inflammatory bowel disease (ibd) that can cause problems anywhere in your gastrointestinal (gi) tract. Rare cases. Crohn's Disease Esophagus.
From healthlifemedia.com
Understanding Crohns Disease Health Life Media Crohn's Disease Esophagus Learn how to use biomarkers, select drug. Crohn’s disease (cd) is a heterogeneous disorder with a multifactorial. Crohn’s disease (cd) is an idiopathic inflammatory bowel disease that can. Rare cases of gastroduodenal fistulous disease from active distal disease. Esophageal crohn's disease (cd) is challenging and often a disabling phenotype of disease. It can cause lesions from mouth to anus and. Crohn's Disease Esophagus.
From www.researchgate.net
(PDF) Crohn's Disease of the Esophagus Three Cases and a Literature Review Crohn's Disease Esophagus Crohn's disease is a type of inflammatory bowel disease (ibd) that can cause problems anywhere in your gastrointestinal (gi) tract. Rare cases of gastroduodenal fistulous disease from active distal disease. We aimed to report the clinical,. Esophageal crohn's disease (cd) is challenging and often a disabling phenotype of disease. Crohn’s disease (cd) is a heterogeneous disorder with a multifactorial. It. Crohn's Disease Esophagus.