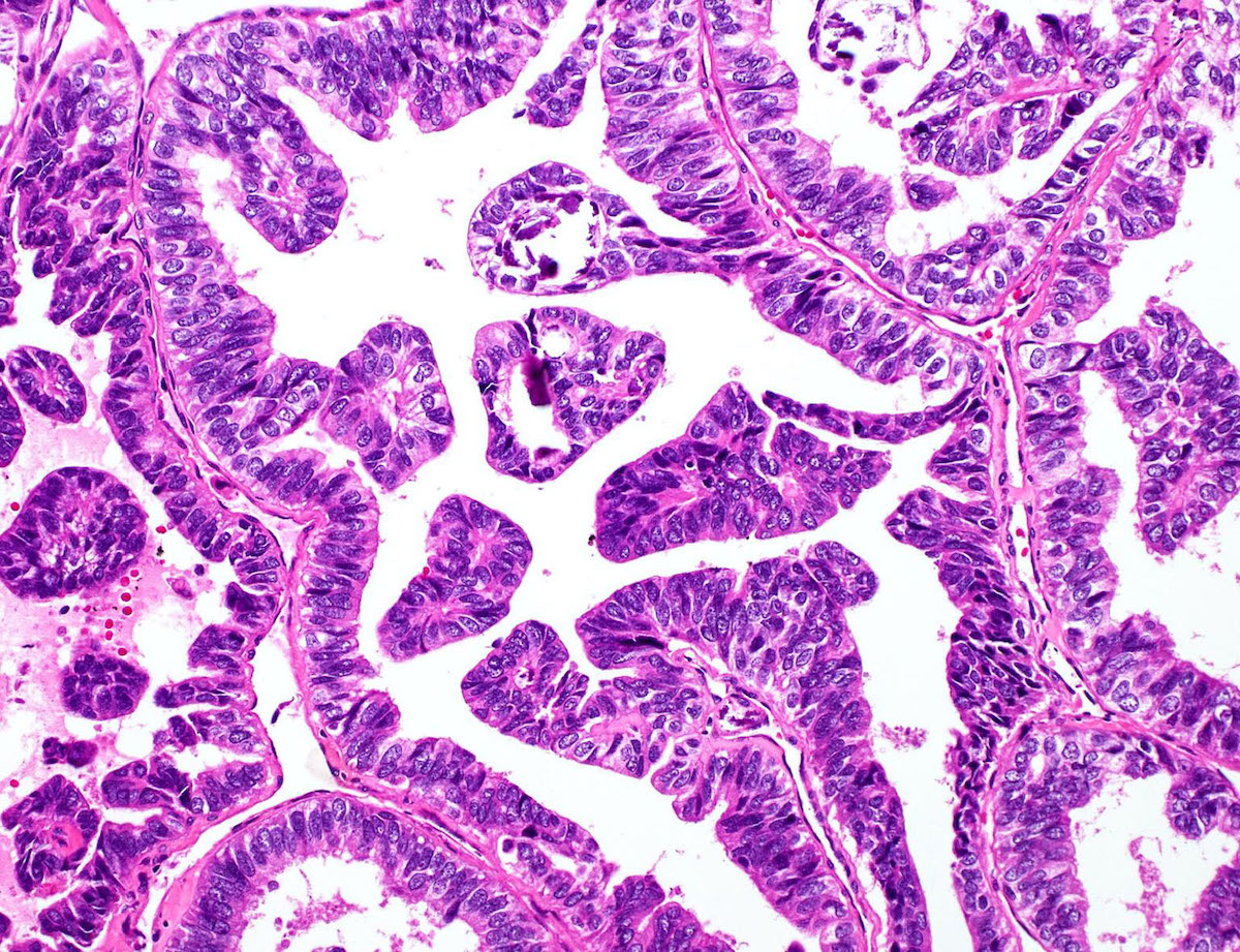
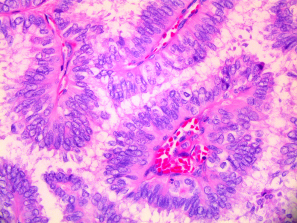
Is Columnar Cell Change Cancer . The world health organization currently classifies ccls without atypia as columnar cell change (ccc) and columnar cell hyperplasia. Columnar cell lesions in the breast have been recognised by histopathologists for a long period of time, but under a wide variety of names. With the increasing use of mammography screening scans in the last 30 years, columnar cell lesions (ccls) have been diagnosed. Flat epithelial atypia (fea) is a benign proliferative breast lesion characterized by columnar cell changes with cytologic atypia. Lacks low grade cytologic atypia of flat epithelial. Terminal duct lobular units are lined by columnar epithelial cells.
from pubs.rsna.org
Terminal duct lobular units are lined by columnar epithelial cells. Flat epithelial atypia (fea) is a benign proliferative breast lesion characterized by columnar cell changes with cytologic atypia. Columnar cell lesions in the breast have been recognised by histopathologists for a long period of time, but under a wide variety of names. The world health organization currently classifies ccls without atypia as columnar cell change (ccc) and columnar cell hyperplasia. Lacks low grade cytologic atypia of flat epithelial. With the increasing use of mammography screening scans in the last 30 years, columnar cell lesions (ccls) have been diagnosed.
Columnar Cell Lesions of the Breast Mammographic Findings with
Is Columnar Cell Change Cancer Columnar cell lesions in the breast have been recognised by histopathologists for a long period of time, but under a wide variety of names. Flat epithelial atypia (fea) is a benign proliferative breast lesion characterized by columnar cell changes with cytologic atypia. With the increasing use of mammography screening scans in the last 30 years, columnar cell lesions (ccls) have been diagnosed. Terminal duct lobular units are lined by columnar epithelial cells. Lacks low grade cytologic atypia of flat epithelial. Columnar cell lesions in the breast have been recognised by histopathologists for a long period of time, but under a wide variety of names. The world health organization currently classifies ccls without atypia as columnar cell change (ccc) and columnar cell hyperplasia.
From jcp.bmj.com
Nonoperative breast pathology columnar cell lesions Journal of Is Columnar Cell Change Cancer Columnar cell lesions in the breast have been recognised by histopathologists for a long period of time, but under a wide variety of names. Flat epithelial atypia (fea) is a benign proliferative breast lesion characterized by columnar cell changes with cytologic atypia. Lacks low grade cytologic atypia of flat epithelial. The world health organization currently classifies ccls without atypia as. Is Columnar Cell Change Cancer.
From jcp.bmj.com
Pathological diagnosis of columnar cell lesions of the breast are Is Columnar Cell Change Cancer Terminal duct lobular units are lined by columnar epithelial cells. The world health organization currently classifies ccls without atypia as columnar cell change (ccc) and columnar cell hyperplasia. With the increasing use of mammography screening scans in the last 30 years, columnar cell lesions (ccls) have been diagnosed. Lacks low grade cytologic atypia of flat epithelial. Flat epithelial atypia (fea). Is Columnar Cell Change Cancer.
From www.spandidos-publications.com
Barrett's esophagus and esophageal cancer An overview Is Columnar Cell Change Cancer The world health organization currently classifies ccls without atypia as columnar cell change (ccc) and columnar cell hyperplasia. Flat epithelial atypia (fea) is a benign proliferative breast lesion characterized by columnar cell changes with cytologic atypia. Lacks low grade cytologic atypia of flat epithelial. With the increasing use of mammography screening scans in the last 30 years, columnar cell lesions. Is Columnar Cell Change Cancer.
From courses.lumenlearning.com
Epithelial Tissues Biology for Majors II Is Columnar Cell Change Cancer With the increasing use of mammography screening scans in the last 30 years, columnar cell lesions (ccls) have been diagnosed. Flat epithelial atypia (fea) is a benign proliferative breast lesion characterized by columnar cell changes with cytologic atypia. Columnar cell lesions in the breast have been recognised by histopathologists for a long period of time, but under a wide variety. Is Columnar Cell Change Cancer.
From pubs.rsna.org
Columnar Cell Lesions of the Breast Mammographic Findings with Is Columnar Cell Change Cancer Columnar cell lesions in the breast have been recognised by histopathologists for a long period of time, but under a wide variety of names. The world health organization currently classifies ccls without atypia as columnar cell change (ccc) and columnar cell hyperplasia. Lacks low grade cytologic atypia of flat epithelial. Flat epithelial atypia (fea) is a benign proliferative breast lesion. Is Columnar Cell Change Cancer.
From www.pathologyoutlines.com
Pathology Outlines Columnar cell change / hyperplasia Is Columnar Cell Change Cancer With the increasing use of mammography screening scans in the last 30 years, columnar cell lesions (ccls) have been diagnosed. Columnar cell lesions in the breast have been recognised by histopathologists for a long period of time, but under a wide variety of names. Terminal duct lobular units are lined by columnar epithelial cells. The world health organization currently classifies. Is Columnar Cell Change Cancer.
From www.pathologyoutlines.com
Pathology Outlines Columnar cell change / hyperplasia Is Columnar Cell Change Cancer With the increasing use of mammography screening scans in the last 30 years, columnar cell lesions (ccls) have been diagnosed. Columnar cell lesions in the breast have been recognised by histopathologists for a long period of time, but under a wide variety of names. Lacks low grade cytologic atypia of flat epithelial. Flat epithelial atypia (fea) is a benign proliferative. Is Columnar Cell Change Cancer.
From www.mdpi.com
Current Oncology Free FullText Are Columnar Cell Lesions the Is Columnar Cell Change Cancer The world health organization currently classifies ccls without atypia as columnar cell change (ccc) and columnar cell hyperplasia. Terminal duct lobular units are lined by columnar epithelial cells. With the increasing use of mammography screening scans in the last 30 years, columnar cell lesions (ccls) have been diagnosed. Columnar cell lesions in the breast have been recognised by histopathologists for. Is Columnar Cell Change Cancer.
From jcp.bmj.com
Pathological diagnosis of columnar cell lesions of the breast are Is Columnar Cell Change Cancer Flat epithelial atypia (fea) is a benign proliferative breast lesion characterized by columnar cell changes with cytologic atypia. Lacks low grade cytologic atypia of flat epithelial. With the increasing use of mammography screening scans in the last 30 years, columnar cell lesions (ccls) have been diagnosed. Columnar cell lesions in the breast have been recognised by histopathologists for a long. Is Columnar Cell Change Cancer.
From medicine.uiowa.edu
Variants of Papillary Thyroid Carcinoma (Microcarcinoma, Tall Cell Is Columnar Cell Change Cancer Flat epithelial atypia (fea) is a benign proliferative breast lesion characterized by columnar cell changes with cytologic atypia. Lacks low grade cytologic atypia of flat epithelial. Terminal duct lobular units are lined by columnar epithelial cells. The world health organization currently classifies ccls without atypia as columnar cell change (ccc) and columnar cell hyperplasia. Columnar cell lesions in the breast. Is Columnar Cell Change Cancer.
From obgynkey.com
Columnar Cell Neoplasia of the Cervix Obgyn Key Is Columnar Cell Change Cancer With the increasing use of mammography screening scans in the last 30 years, columnar cell lesions (ccls) have been diagnosed. Terminal duct lobular units are lined by columnar epithelial cells. Flat epithelial atypia (fea) is a benign proliferative breast lesion characterized by columnar cell changes with cytologic atypia. Columnar cell lesions in the breast have been recognised by histopathologists for. Is Columnar Cell Change Cancer.
From diagnosticpathology.biomedcentral.com
Colon adenoma and adenocarcinoma with clear cell components two case Is Columnar Cell Change Cancer With the increasing use of mammography screening scans in the last 30 years, columnar cell lesions (ccls) have been diagnosed. Terminal duct lobular units are lined by columnar epithelial cells. Flat epithelial atypia (fea) is a benign proliferative breast lesion characterized by columnar cell changes with cytologic atypia. The world health organization currently classifies ccls without atypia as columnar cell. Is Columnar Cell Change Cancer.
From jcp.bmj.com
Pathological diagnosis of columnar cell lesions of the breast are Is Columnar Cell Change Cancer Lacks low grade cytologic atypia of flat epithelial. Columnar cell lesions in the breast have been recognised by histopathologists for a long period of time, but under a wide variety of names. Flat epithelial atypia (fea) is a benign proliferative breast lesion characterized by columnar cell changes with cytologic atypia. The world health organization currently classifies ccls without atypia as. Is Columnar Cell Change Cancer.
From bmccancer.biomedcentral.com
Columnar cell lesions of the canine mammary gland pathological Is Columnar Cell Change Cancer Flat epithelial atypia (fea) is a benign proliferative breast lesion characterized by columnar cell changes with cytologic atypia. Lacks low grade cytologic atypia of flat epithelial. The world health organization currently classifies ccls without atypia as columnar cell change (ccc) and columnar cell hyperplasia. Terminal duct lobular units are lined by columnar epithelial cells. With the increasing use of mammography. Is Columnar Cell Change Cancer.
From jcp.bmj.com
Nonoperative breast pathology columnar cell lesions Journal of Is Columnar Cell Change Cancer With the increasing use of mammography screening scans in the last 30 years, columnar cell lesions (ccls) have been diagnosed. Terminal duct lobular units are lined by columnar epithelial cells. Flat epithelial atypia (fea) is a benign proliferative breast lesion characterized by columnar cell changes with cytologic atypia. The world health organization currently classifies ccls without atypia as columnar cell. Is Columnar Cell Change Cancer.
From www.pathologyoutlines.com
Pathology Outlines Columnar cell change / hyperplasia Is Columnar Cell Change Cancer With the increasing use of mammography screening scans in the last 30 years, columnar cell lesions (ccls) have been diagnosed. Lacks low grade cytologic atypia of flat epithelial. Columnar cell lesions in the breast have been recognised by histopathologists for a long period of time, but under a wide variety of names. The world health organization currently classifies ccls without. Is Columnar Cell Change Cancer.
From jcp.bmj.com
Nonoperative breast pathology columnar cell lesions Journal of Is Columnar Cell Change Cancer Columnar cell lesions in the breast have been recognised by histopathologists for a long period of time, but under a wide variety of names. Lacks low grade cytologic atypia of flat epithelial. The world health organization currently classifies ccls without atypia as columnar cell change (ccc) and columnar cell hyperplasia. Flat epithelial atypia (fea) is a benign proliferative breast lesion. Is Columnar Cell Change Cancer.
From edm.bioscientifica.com
Rare distant metastases to pancreas, liver, and lung as initial Is Columnar Cell Change Cancer With the increasing use of mammography screening scans in the last 30 years, columnar cell lesions (ccls) have been diagnosed. Terminal duct lobular units are lined by columnar epithelial cells. The world health organization currently classifies ccls without atypia as columnar cell change (ccc) and columnar cell hyperplasia. Flat epithelial atypia (fea) is a benign proliferative breast lesion characterized by. Is Columnar Cell Change Cancer.
From www.pathologyoutlines.com
Pathology Outlines Columnar cell variant Is Columnar Cell Change Cancer With the increasing use of mammography screening scans in the last 30 years, columnar cell lesions (ccls) have been diagnosed. Terminal duct lobular units are lined by columnar epithelial cells. Flat epithelial atypia (fea) is a benign proliferative breast lesion characterized by columnar cell changes with cytologic atypia. The world health organization currently classifies ccls without atypia as columnar cell. Is Columnar Cell Change Cancer.
From jcp.bmj.com
Cancer stem cells in colorectal cancer a review Journal of Clinical Is Columnar Cell Change Cancer With the increasing use of mammography screening scans in the last 30 years, columnar cell lesions (ccls) have been diagnosed. The world health organization currently classifies ccls without atypia as columnar cell change (ccc) and columnar cell hyperplasia. Flat epithelial atypia (fea) is a benign proliferative breast lesion characterized by columnar cell changes with cytologic atypia. Lacks low grade cytologic. Is Columnar Cell Change Cancer.
From bmccancer.biomedcentral.com
Columnar cell lesions of the canine mammary gland pathological Is Columnar Cell Change Cancer Terminal duct lobular units are lined by columnar epithelial cells. With the increasing use of mammography screening scans in the last 30 years, columnar cell lesions (ccls) have been diagnosed. Lacks low grade cytologic atypia of flat epithelial. The world health organization currently classifies ccls without atypia as columnar cell change (ccc) and columnar cell hyperplasia. Columnar cell lesions in. Is Columnar Cell Change Cancer.
From www.pathologyoutlines.com
Pathology Outlines Columnar cell change / hyperplasia Is Columnar Cell Change Cancer Lacks low grade cytologic atypia of flat epithelial. With the increasing use of mammography screening scans in the last 30 years, columnar cell lesions (ccls) have been diagnosed. Columnar cell lesions in the breast have been recognised by histopathologists for a long period of time, but under a wide variety of names. Terminal duct lobular units are lined by columnar. Is Columnar Cell Change Cancer.
From www.mdpi.com
Current Oncology Free FullText Are Columnar Cell Lesions the Is Columnar Cell Change Cancer The world health organization currently classifies ccls without atypia as columnar cell change (ccc) and columnar cell hyperplasia. Terminal duct lobular units are lined by columnar epithelial cells. Flat epithelial atypia (fea) is a benign proliferative breast lesion characterized by columnar cell changes with cytologic atypia. Columnar cell lesions in the breast have been recognised by histopathologists for a long. Is Columnar Cell Change Cancer.
From www.pathologyoutlines.com
Pathology Outlines Columnar cell Is Columnar Cell Change Cancer Columnar cell lesions in the breast have been recognised by histopathologists for a long period of time, but under a wide variety of names. Flat epithelial atypia (fea) is a benign proliferative breast lesion characterized by columnar cell changes with cytologic atypia. The world health organization currently classifies ccls without atypia as columnar cell change (ccc) and columnar cell hyperplasia.. Is Columnar Cell Change Cancer.
From www.pathologyoutlines.com
Pathology Outlines Columnar cell variant Is Columnar Cell Change Cancer Flat epithelial atypia (fea) is a benign proliferative breast lesion characterized by columnar cell changes with cytologic atypia. Terminal duct lobular units are lined by columnar epithelial cells. Columnar cell lesions in the breast have been recognised by histopathologists for a long period of time, but under a wide variety of names. The world health organization currently classifies ccls without. Is Columnar Cell Change Cancer.
From www.pathologyoutlines.com
Pathology Outlines Columnar cell Is Columnar Cell Change Cancer With the increasing use of mammography screening scans in the last 30 years, columnar cell lesions (ccls) have been diagnosed. The world health organization currently classifies ccls without atypia as columnar cell change (ccc) and columnar cell hyperplasia. Flat epithelial atypia (fea) is a benign proliferative breast lesion characterized by columnar cell changes with cytologic atypia. Columnar cell lesions in. Is Columnar Cell Change Cancer.
From www.pathologyoutlines.com
Pathology Outlines Columnar cell change / hyperplasia Is Columnar Cell Change Cancer Flat epithelial atypia (fea) is a benign proliferative breast lesion characterized by columnar cell changes with cytologic atypia. With the increasing use of mammography screening scans in the last 30 years, columnar cell lesions (ccls) have been diagnosed. Columnar cell lesions in the breast have been recognised by histopathologists for a long period of time, but under a wide variety. Is Columnar Cell Change Cancer.
From www.cancer.gov
Definition of endocervix NCI Dictionary of Cancer Terms NCI Is Columnar Cell Change Cancer Flat epithelial atypia (fea) is a benign proliferative breast lesion characterized by columnar cell changes with cytologic atypia. With the increasing use of mammography screening scans in the last 30 years, columnar cell lesions (ccls) have been diagnosed. Columnar cell lesions in the breast have been recognised by histopathologists for a long period of time, but under a wide variety. Is Columnar Cell Change Cancer.
From www.pathologyoutlines.com
Pathology Outlines Hormone receptors Is Columnar Cell Change Cancer Columnar cell lesions in the breast have been recognised by histopathologists for a long period of time, but under a wide variety of names. With the increasing use of mammography screening scans in the last 30 years, columnar cell lesions (ccls) have been diagnosed. The world health organization currently classifies ccls without atypia as columnar cell change (ccc) and columnar. Is Columnar Cell Change Cancer.
From www.pathologyoutlines.com
Pathology Outlines Flat epithelial atypia Is Columnar Cell Change Cancer Terminal duct lobular units are lined by columnar epithelial cells. Columnar cell lesions in the breast have been recognised by histopathologists for a long period of time, but under a wide variety of names. Lacks low grade cytologic atypia of flat epithelial. The world health organization currently classifies ccls without atypia as columnar cell change (ccc) and columnar cell hyperplasia.. Is Columnar Cell Change Cancer.
From jcp.bmj.com
Pathological diagnosis of columnar cell lesions of the breast are Is Columnar Cell Change Cancer Terminal duct lobular units are lined by columnar epithelial cells. The world health organization currently classifies ccls without atypia as columnar cell change (ccc) and columnar cell hyperplasia. With the increasing use of mammography screening scans in the last 30 years, columnar cell lesions (ccls) have been diagnosed. Lacks low grade cytologic atypia of flat epithelial. Flat epithelial atypia (fea). Is Columnar Cell Change Cancer.
From www.pathologyoutlines.com
Pathology Outlines Columnar cell change / hyperplasia Is Columnar Cell Change Cancer Terminal duct lobular units are lined by columnar epithelial cells. Lacks low grade cytologic atypia of flat epithelial. Flat epithelial atypia (fea) is a benign proliferative breast lesion characterized by columnar cell changes with cytologic atypia. Columnar cell lesions in the breast have been recognised by histopathologists for a long period of time, but under a wide variety of names.. Is Columnar Cell Change Cancer.
From www.mdpi.com
Current Oncology Free FullText Are Columnar Cell Lesions the Is Columnar Cell Change Cancer The world health organization currently classifies ccls without atypia as columnar cell change (ccc) and columnar cell hyperplasia. Flat epithelial atypia (fea) is a benign proliferative breast lesion characterized by columnar cell changes with cytologic atypia. Lacks low grade cytologic atypia of flat epithelial. With the increasing use of mammography screening scans in the last 30 years, columnar cell lesions. Is Columnar Cell Change Cancer.
From www.mdpi.com
Cancers Free FullText Conversion of Stem Cells to Cancer Stem Is Columnar Cell Change Cancer Terminal duct lobular units are lined by columnar epithelial cells. With the increasing use of mammography screening scans in the last 30 years, columnar cell lesions (ccls) have been diagnosed. The world health organization currently classifies ccls without atypia as columnar cell change (ccc) and columnar cell hyperplasia. Columnar cell lesions in the breast have been recognised by histopathologists for. Is Columnar Cell Change Cancer.
From jcp.bmj.com
Nonoperative breast pathology columnar cell lesions Journal of Is Columnar Cell Change Cancer The world health organization currently classifies ccls without atypia as columnar cell change (ccc) and columnar cell hyperplasia. Terminal duct lobular units are lined by columnar epithelial cells. Lacks low grade cytologic atypia of flat epithelial. Columnar cell lesions in the breast have been recognised by histopathologists for a long period of time, but under a wide variety of names.. Is Columnar Cell Change Cancer.