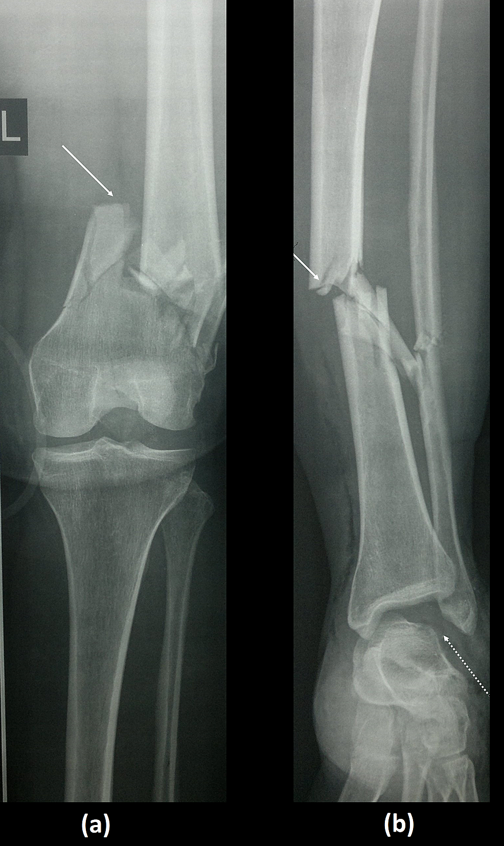
Floating Knees . in 1975, blake and mcbryde established the concept of ‘floating knee’. floating knee is a flail knee joint resulting from fractures of the shafts or adjacent metaphyses of the femur and ipsilateral tibia (see image below). floating knee, referred to as ipsilateral fractures of the femur and tibia, is usually. floating knee refers to the knee joint and not necessarily the connection to either long bone. floating knee is a flail knee joint resulting from fractures of the shafts or adjacent metaphyses of the femur and ipsilateral tibia (see image below). the term ‘floating knee’ was first coined by blake and mcbryde in 1975 [1] to describe an ipsilateral fracture of the.
from www.braceability.com
the term ‘floating knee’ was first coined by blake and mcbryde in 1975 [1] to describe an ipsilateral fracture of the. floating knee, referred to as ipsilateral fractures of the femur and tibia, is usually. in 1975, blake and mcbryde established the concept of ‘floating knee’. floating knee is a flail knee joint resulting from fractures of the shafts or adjacent metaphyses of the femur and ipsilateral tibia (see image below). floating knee refers to the knee joint and not necessarily the connection to either long bone. floating knee is a flail knee joint resulting from fractures of the shafts or adjacent metaphyses of the femur and ipsilateral tibia (see image below).
Kneecap Instability Medial vs Lateral Patellar Dislocation
Floating Knees floating knee is a flail knee joint resulting from fractures of the shafts or adjacent metaphyses of the femur and ipsilateral tibia (see image below). floating knee is a flail knee joint resulting from fractures of the shafts or adjacent metaphyses of the femur and ipsilateral tibia (see image below). floating knee refers to the knee joint and not necessarily the connection to either long bone. floating knee is a flail knee joint resulting from fractures of the shafts or adjacent metaphyses of the femur and ipsilateral tibia (see image below). in 1975, blake and mcbryde established the concept of ‘floating knee’. floating knee, referred to as ipsilateral fractures of the femur and tibia, is usually. the term ‘floating knee’ was first coined by blake and mcbryde in 1975 [1] to describe an ipsilateral fracture of the.
From boneandspine.com
Floating knee Injuries in Adults and Children Bone and Spine Floating Knees in 1975, blake and mcbryde established the concept of ‘floating knee’. floating knee is a flail knee joint resulting from fractures of the shafts or adjacent metaphyses of the femur and ipsilateral tibia (see image below). floating knee refers to the knee joint and not necessarily the connection to either long bone. floating knee is a. Floating Knees.
From www.injuryjournal.com
Floating knee A modified Fraser's classification and the results of a Floating Knees in 1975, blake and mcbryde established the concept of ‘floating knee’. the term ‘floating knee’ was first coined by blake and mcbryde in 1975 [1] to describe an ipsilateral fracture of the. floating knee, referred to as ipsilateral fractures of the femur and tibia, is usually. floating knee is a flail knee joint resulting from fractures. Floating Knees.
From www.cureus.com
Cureus Complete Extrusion of Talar Body Associated With Ipsilateral Floating Knees floating knee refers to the knee joint and not necessarily the connection to either long bone. floating knee, referred to as ipsilateral fractures of the femur and tibia, is usually. the term ‘floating knee’ was first coined by blake and mcbryde in 1975 [1] to describe an ipsilateral fracture of the. floating knee is a flail. Floating Knees.
From www.injuryjournal.com
Floating knee A modified Fraser's classification and the results of a Floating Knees floating knee refers to the knee joint and not necessarily the connection to either long bone. in 1975, blake and mcbryde established the concept of ‘floating knee’. floating knee is a flail knee joint resulting from fractures of the shafts or adjacent metaphyses of the femur and ipsilateral tibia (see image below). the term ‘floating knee’. Floating Knees.
From www.injuryjournal.com
Floating knee A modified Fraser's classification and the results of a Floating Knees floating knee is a flail knee joint resulting from fractures of the shafts or adjacent metaphyses of the femur and ipsilateral tibia (see image below). floating knee, referred to as ipsilateral fractures of the femur and tibia, is usually. floating knee is a flail knee joint resulting from fractures of the shafts or adjacent metaphyses of the. Floating Knees.
From james-mccormack.com
Floating Knee What Is Floating Knee? Floating Knees floating knee refers to the knee joint and not necessarily the connection to either long bone. floating knee is a flail knee joint resulting from fractures of the shafts or adjacent metaphyses of the femur and ipsilateral tibia (see image below). floating knee is a flail knee joint resulting from fractures of the shafts or adjacent metaphyses. Floating Knees.
From radiopaedia.org
Floating knee Image Floating Knees floating knee refers to the knee joint and not necessarily the connection to either long bone. in 1975, blake and mcbryde established the concept of ‘floating knee’. floating knee is a flail knee joint resulting from fractures of the shafts or adjacent metaphyses of the femur and ipsilateral tibia (see image below). floating knee, referred to. Floating Knees.
From healthjade.net
Floating knee definition, causes, symptoms, diagnosis, treatment Floating Knees floating knee refers to the knee joint and not necessarily the connection to either long bone. floating knee, referred to as ipsilateral fractures of the femur and tibia, is usually. floating knee is a flail knee joint resulting from fractures of the shafts or adjacent metaphyses of the femur and ipsilateral tibia (see image below). the. Floating Knees.
From link.springer.com
Floating Knee SpringerLink Floating Knees floating knee refers to the knee joint and not necessarily the connection to either long bone. floating knee is a flail knee joint resulting from fractures of the shafts or adjacent metaphyses of the femur and ipsilateral tibia (see image below). floating knee, referred to as ipsilateral fractures of the femur and tibia, is usually. the. Floating Knees.
From www.injuryjournal.com
Floating knee A modified Fraser's classification and the results of a Floating Knees floating knee, referred to as ipsilateral fractures of the femur and tibia, is usually. in 1975, blake and mcbryde established the concept of ‘floating knee’. floating knee is a flail knee joint resulting from fractures of the shafts or adjacent metaphyses of the femur and ipsilateral tibia (see image below). floating knee is a flail knee. Floating Knees.
From www.injuryjournal.com
Floating knee A modified Fraser's classification and the results of a Floating Knees floating knee is a flail knee joint resulting from fractures of the shafts or adjacent metaphyses of the femur and ipsilateral tibia (see image below). the term ‘floating knee’ was first coined by blake and mcbryde in 1975 [1] to describe an ipsilateral fracture of the. floating knee, referred to as ipsilateral fractures of the femur and. Floating Knees.
From orthopodsindonesia.com
Floating Knee ORTHOPODS INDONESIA Floating Knees floating knee, referred to as ipsilateral fractures of the femur and tibia, is usually. in 1975, blake and mcbryde established the concept of ‘floating knee’. floating knee is a flail knee joint resulting from fractures of the shafts or adjacent metaphyses of the femur and ipsilateral tibia (see image below). floating knee refers to the knee. Floating Knees.
From www.gleneagles.com.sg
Knee (Prepatellar) Bursitis Causes, Symptoms & Signs Gleneagles Floating Knees in 1975, blake and mcbryde established the concept of ‘floating knee’. the term ‘floating knee’ was first coined by blake and mcbryde in 1975 [1] to describe an ipsilateral fracture of the. floating knee is a flail knee joint resulting from fractures of the shafts or adjacent metaphyses of the femur and ipsilateral tibia (see image below).. Floating Knees.
From www.injuryjournal.com
Floating knee A modified Fraser's classification and the results of a Floating Knees floating knee is a flail knee joint resulting from fractures of the shafts or adjacent metaphyses of the femur and ipsilateral tibia (see image below). floating knee is a flail knee joint resulting from fractures of the shafts or adjacent metaphyses of the femur and ipsilateral tibia (see image below). in 1975, blake and mcbryde established the. Floating Knees.
From www.braceability.com
Kneecap Instability Medial vs Lateral Patellar Dislocation Floating Knees in 1975, blake and mcbryde established the concept of ‘floating knee’. floating knee is a flail knee joint resulting from fractures of the shafts or adjacent metaphyses of the femur and ipsilateral tibia (see image below). floating knee, referred to as ipsilateral fractures of the femur and tibia, is usually. floating knee is a flail knee. Floating Knees.
From orthopodsindonesia.com
Floating Knee ORTHOPODS INDONESIA Floating Knees floating knee refers to the knee joint and not necessarily the connection to either long bone. floating knee is a flail knee joint resulting from fractures of the shafts or adjacent metaphyses of the femur and ipsilateral tibia (see image below). in 1975, blake and mcbryde established the concept of ‘floating knee’. the term ‘floating knee’. Floating Knees.
From theorthonotes.com
Floating Knee Orthopedics Notes Floating Knees the term ‘floating knee’ was first coined by blake and mcbryde in 1975 [1] to describe an ipsilateral fracture of the. floating knee, referred to as ipsilateral fractures of the femur and tibia, is usually. floating knee is a flail knee joint resulting from fractures of the shafts or adjacent metaphyses of the femur and ipsilateral tibia. Floating Knees.
From www.carolinaspaincenter.com
Recurrent Patellar Dislocation Carolinas Pain Center Floating Knees floating knee is a flail knee joint resulting from fractures of the shafts or adjacent metaphyses of the femur and ipsilateral tibia (see image below). floating knee, referred to as ipsilateral fractures of the femur and tibia, is usually. in 1975, blake and mcbryde established the concept of ‘floating knee’. floating knee is a flail knee. Floating Knees.
From healthjade.net
Floating knee definition, causes, symptoms, diagnosis, treatment Floating Knees floating knee refers to the knee joint and not necessarily the connection to either long bone. floating knee, referred to as ipsilateral fractures of the femur and tibia, is usually. the term ‘floating knee’ was first coined by blake and mcbryde in 1975 [1] to describe an ipsilateral fracture of the. floating knee is a flail. Floating Knees.
From www.scribd.com
Management of The Floating Knee. PDF Knee Orthopedic Surgery Floating Knees floating knee is a flail knee joint resulting from fractures of the shafts or adjacent metaphyses of the femur and ipsilateral tibia (see image below). in 1975, blake and mcbryde established the concept of ‘floating knee’. floating knee refers to the knee joint and not necessarily the connection to either long bone. the term ‘floating knee’. Floating Knees.
From link.springer.com
Floating Knee SpringerLink Floating Knees in 1975, blake and mcbryde established the concept of ‘floating knee’. floating knee is a flail knee joint resulting from fractures of the shafts or adjacent metaphyses of the femur and ipsilateral tibia (see image below). floating knee, referred to as ipsilateral fractures of the femur and tibia, is usually. the term ‘floating knee’ was first. Floating Knees.
From journals.lww.com
Management of the Floating Knee Ipsilateral Fractures of th... JAAOS Floating Knees floating knee is a flail knee joint resulting from fractures of the shafts or adjacent metaphyses of the femur and ipsilateral tibia (see image below). floating knee, referred to as ipsilateral fractures of the femur and tibia, is usually. floating knee refers to the knee joint and not necessarily the connection to either long bone. in. Floating Knees.
From www.ajronline.org
The “Floating” Meniscus MRI in Knee Trauma and Implications for Floating Knees floating knee is a flail knee joint resulting from fractures of the shafts or adjacent metaphyses of the femur and ipsilateral tibia (see image below). in 1975, blake and mcbryde established the concept of ‘floating knee’. floating knee is a flail knee joint resulting from fractures of the shafts or adjacent metaphyses of the femur and ipsilateral. Floating Knees.
From www.researchgate.net
Case 9, type IIc floating knee with (A) closed fractures of the left Floating Knees floating knee is a flail knee joint resulting from fractures of the shafts or adjacent metaphyses of the femur and ipsilateral tibia (see image below). floating knee, referred to as ipsilateral fractures of the femur and tibia, is usually. floating knee refers to the knee joint and not necessarily the connection to either long bone. in. Floating Knees.
From www.researchgate.net
Floating knee injuries grading system (Karlström and Olerud 18 Floating Knees floating knee, referred to as ipsilateral fractures of the femur and tibia, is usually. in 1975, blake and mcbryde established the concept of ‘floating knee’. floating knee refers to the knee joint and not necessarily the connection to either long bone. floating knee is a flail knee joint resulting from fractures of the shafts or adjacent. Floating Knees.
From www.researchgate.net
Coronal (left) and sagittal (right) slices of obliterated floating knee Floating Knees in 1975, blake and mcbryde established the concept of ‘floating knee’. floating knee is a flail knee joint resulting from fractures of the shafts or adjacent metaphyses of the femur and ipsilateral tibia (see image below). floating knee, referred to as ipsilateral fractures of the femur and tibia, is usually. the term ‘floating knee’ was first. Floating Knees.
From www.researchgate.net
Postoperative 12 months clinical images. Figure 13 Modified Fraser's Floating Knees the term ‘floating knee’ was first coined by blake and mcbryde in 1975 [1] to describe an ipsilateral fracture of the. floating knee is a flail knee joint resulting from fractures of the shafts or adjacent metaphyses of the femur and ipsilateral tibia (see image below). floating knee refers to the knee joint and not necessarily the. Floating Knees.
From www.researchgate.net
Type 2A Floating knee showing involvement of distal femur and proximal Floating Knees floating knee, referred to as ipsilateral fractures of the femur and tibia, is usually. floating knee refers to the knee joint and not necessarily the connection to either long bone. in 1975, blake and mcbryde established the concept of ‘floating knee’. the term ‘floating knee’ was first coined by blake and mcbryde in 1975 [1] to. Floating Knees.
From ec2-52-62-202-235.ap-southeast-2.compute.amazonaws.com
Femoral Shaft Fractures The Bone School Floating Knees in 1975, blake and mcbryde established the concept of ‘floating knee’. floating knee refers to the knee joint and not necessarily the connection to either long bone. floating knee is a flail knee joint resulting from fractures of the shafts or adjacent metaphyses of the femur and ipsilateral tibia (see image below). the term ‘floating knee’. Floating Knees.
From healthjade.net
Floating knee definition, causes, symptoms, diagnosis, treatment Floating Knees floating knee refers to the knee joint and not necessarily the connection to either long bone. floating knee is a flail knee joint resulting from fractures of the shafts or adjacent metaphyses of the femur and ipsilateral tibia (see image below). floating knee is a flail knee joint resulting from fractures of the shafts or adjacent metaphyses. Floating Knees.
From eor.bioscientifica.com
The floating knee a review on ipsilateral femoral and tibial fractures Floating Knees floating knee, referred to as ipsilateral fractures of the femur and tibia, is usually. floating knee is a flail knee joint resulting from fractures of the shafts or adjacent metaphyses of the femur and ipsilateral tibia (see image below). in 1975, blake and mcbryde established the concept of ‘floating knee’. the term ‘floating knee’ was first. Floating Knees.
From www.injuryjournal.com
Floating knee injuries An analytical study using a conglomerated Floating Knees floating knee is a flail knee joint resulting from fractures of the shafts or adjacent metaphyses of the femur and ipsilateral tibia (see image below). in 1975, blake and mcbryde established the concept of ‘floating knee’. floating knee refers to the knee joint and not necessarily the connection to either long bone. floating knee is a. Floating Knees.
From www.slideshare.net
Floating Knee Floating Knees floating knee, referred to as ipsilateral fractures of the femur and tibia, is usually. floating knee is a flail knee joint resulting from fractures of the shafts or adjacent metaphyses of the femur and ipsilateral tibia (see image below). floating knee is a flail knee joint resulting from fractures of the shafts or adjacent metaphyses of the. Floating Knees.
From www.orthobullets.com
Patellar Instability Knee & Sports Orthobullets Floating Knees floating knee is a flail knee joint resulting from fractures of the shafts or adjacent metaphyses of the femur and ipsilateral tibia (see image below). the term ‘floating knee’ was first coined by blake and mcbryde in 1975 [1] to describe an ipsilateral fracture of the. floating knee refers to the knee joint and not necessarily the. Floating Knees.
From mollyibr.weebly.com
What Is A Luxating Patella? Molly Floating Knees floating knee is a flail knee joint resulting from fractures of the shafts or adjacent metaphyses of the femur and ipsilateral tibia (see image below). floating knee is a flail knee joint resulting from fractures of the shafts or adjacent metaphyses of the femur and ipsilateral tibia (see image below). floating knee, referred to as ipsilateral fractures. Floating Knees.