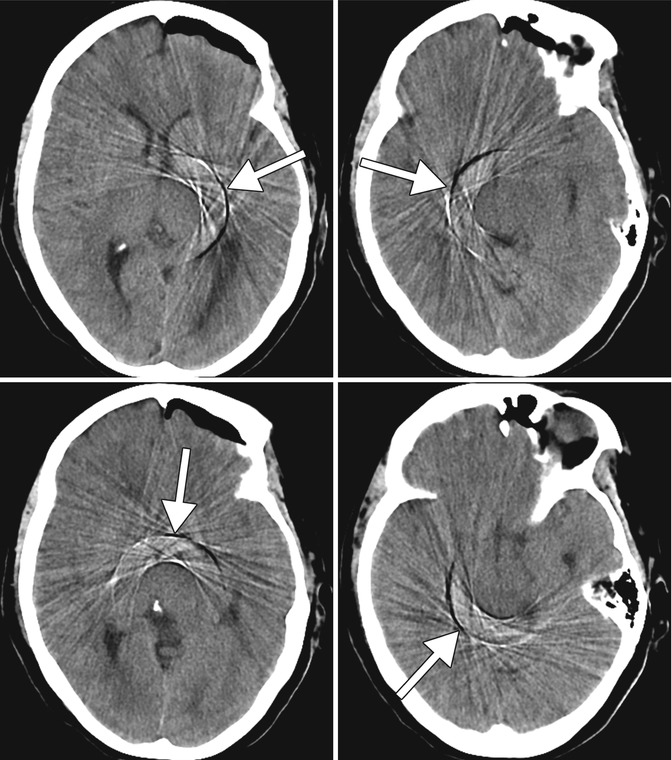
Ct Tube Arcing Artifact . Artifact on two to three consecutive slices of the ct transaxial images of a patient, which showed near‑parallel streaks across the transaxial. Ct artifacts are common and can occur for various reasons. One or more concentric rings in image. Knowledge of these artifacts is important because they can mimic. Ct 37 artifact from tube arcing (frame from animation in presentation)
from www.slideserve.com
Ct 37 artifact from tube arcing (frame from animation in presentation) Artifact on two to three consecutive slices of the ct transaxial images of a patient, which showed near‑parallel streaks across the transaxial. Ct artifacts are common and can occur for various reasons. One or more concentric rings in image. Knowledge of these artifacts is important because they can mimic.
PPT ARTIFACTS IN COMPUTED TOMOGRAPHY PowerPoint Presentation, free
Ct Tube Arcing Artifact Ct artifacts are common and can occur for various reasons. Ct 37 artifact from tube arcing (frame from animation in presentation) One or more concentric rings in image. Ct artifacts are common and can occur for various reasons. Knowledge of these artifacts is important because they can mimic. Artifact on two to three consecutive slices of the ct transaxial images of a patient, which showed near‑parallel streaks across the transaxial.
From www.slideshare.net
Head ct Ct Tube Arcing Artifact Ct artifacts are common and can occur for various reasons. Knowledge of these artifacts is important because they can mimic. One or more concentric rings in image. Ct 37 artifact from tube arcing (frame from animation in presentation) Artifact on two to three consecutive slices of the ct transaxial images of a patient, which showed near‑parallel streaks across the transaxial. Ct Tube Arcing Artifact.
From www.slideserve.com
PPT ARTIFACTS IN COMPUTED TOMOGRAPHY PowerPoint Presentation, free Ct Tube Arcing Artifact One or more concentric rings in image. Ct 37 artifact from tube arcing (frame from animation in presentation) Ct artifacts are common and can occur for various reasons. Knowledge of these artifacts is important because they can mimic. Artifact on two to three consecutive slices of the ct transaxial images of a patient, which showed near‑parallel streaks across the transaxial. Ct Tube Arcing Artifact.
From aapm.onlinelibrary.wiley.com
The application of metal artifact reduction methods on computed Ct Tube Arcing Artifact Knowledge of these artifacts is important because they can mimic. Ct 37 artifact from tube arcing (frame from animation in presentation) Ct artifacts are common and can occur for various reasons. One or more concentric rings in image. Artifact on two to three consecutive slices of the ct transaxial images of a patient, which showed near‑parallel streaks across the transaxial. Ct Tube Arcing Artifact.
From www.openaccessjournals.com
CT artifacts causes and reduction techniques Ct Tube Arcing Artifact One or more concentric rings in image. Ct 37 artifact from tube arcing (frame from animation in presentation) Knowledge of these artifacts is important because they can mimic. Ct artifacts are common and can occur for various reasons. Artifact on two to three consecutive slices of the ct transaxial images of a patient, which showed near‑parallel streaks across the transaxial. Ct Tube Arcing Artifact.
From www.slideserve.com
PPT ARTIFACTS IN COMPUTED TOMOGRAPHY PowerPoint Presentation, free Ct Tube Arcing Artifact Ct 37 artifact from tube arcing (frame from animation in presentation) Artifact on two to three consecutive slices of the ct transaxial images of a patient, which showed near‑parallel streaks across the transaxial. Ct artifacts are common and can occur for various reasons. Knowledge of these artifacts is important because they can mimic. One or more concentric rings in image. Ct Tube Arcing Artifact.
From pubs.rsna.org
Artifacts in CT Recognition and Avoidance RadioGraphics Ct Tube Arcing Artifact Artifact on two to three consecutive slices of the ct transaxial images of a patient, which showed near‑parallel streaks across the transaxial. Ct artifacts are common and can occur for various reasons. One or more concentric rings in image. Ct 37 artifact from tube arcing (frame from animation in presentation) Knowledge of these artifacts is important because they can mimic. Ct Tube Arcing Artifact.
From www.semanticscholar.org
Figure 4 from Stairstep artifact seen in coronal and sagittal Ct Tube Arcing Artifact Ct 37 artifact from tube arcing (frame from animation in presentation) Artifact on two to three consecutive slices of the ct transaxial images of a patient, which showed near‑parallel streaks across the transaxial. One or more concentric rings in image. Ct artifacts are common and can occur for various reasons. Knowledge of these artifacts is important because they can mimic. Ct Tube Arcing Artifact.
From www.bol.com
PartialData Interpolation During Arcing of an XRay Tube in CT Ct Tube Arcing Artifact One or more concentric rings in image. Ct artifacts are common and can occur for various reasons. Knowledge of these artifacts is important because they can mimic. Ct 37 artifact from tube arcing (frame from animation in presentation) Artifact on two to three consecutive slices of the ct transaxial images of a patient, which showed near‑parallel streaks across the transaxial. Ct Tube Arcing Artifact.
From casereports.bmj.com
Ring artefact in multidetector CT BMJ Case Reports Ct Tube Arcing Artifact Ct 37 artifact from tube arcing (frame from animation in presentation) Artifact on two to three consecutive slices of the ct transaxial images of a patient, which showed near‑parallel streaks across the transaxial. Knowledge of these artifacts is important because they can mimic. Ct artifacts are common and can occur for various reasons. One or more concentric rings in image. Ct Tube Arcing Artifact.
From www.radiologycafe.com
CT artefacts Radiology Cafe Ct Tube Arcing Artifact Ct artifacts are common and can occur for various reasons. Ct 37 artifact from tube arcing (frame from animation in presentation) Artifact on two to three consecutive slices of the ct transaxial images of a patient, which showed near‑parallel streaks across the transaxial. Knowledge of these artifacts is important because they can mimic. One or more concentric rings in image. Ct Tube Arcing Artifact.
From www.researchgate.net
Ring artifact. (a) Diagram shows that as the xray tube (T) rotates Ct Tube Arcing Artifact Artifact on two to three consecutive slices of the ct transaxial images of a patient, which showed near‑parallel streaks across the transaxial. Knowledge of these artifacts is important because they can mimic. Ct artifacts are common and can occur for various reasons. One or more concentric rings in image. Ct 37 artifact from tube arcing (frame from animation in presentation) Ct Tube Arcing Artifact.
From awesomeenglish.edu.vn
Aggregate 109+ ring artifact ct latest awesomeenglish.edu.vn Ct Tube Arcing Artifact Knowledge of these artifacts is important because they can mimic. Artifact on two to three consecutive slices of the ct transaxial images of a patient, which showed near‑parallel streaks across the transaxial. Ct artifacts are common and can occur for various reasons. Ct 37 artifact from tube arcing (frame from animation in presentation) One or more concentric rings in image. Ct Tube Arcing Artifact.
From insights.omnia-health.com
How Can You Decrease Xray Tube Arcing? What You Should Know Omnia Ct Tube Arcing Artifact One or more concentric rings in image. Ct 37 artifact from tube arcing (frame from animation in presentation) Artifact on two to three consecutive slices of the ct transaxial images of a patient, which showed near‑parallel streaks across the transaxial. Knowledge of these artifacts is important because they can mimic. Ct artifacts are common and can occur for various reasons. Ct Tube Arcing Artifact.
From www.researchgate.net
Examples of various CT artifacts. a and b Aliasing artifacts in an MDCT Ct Tube Arcing Artifact Ct artifacts are common and can occur for various reasons. Ct 37 artifact from tube arcing (frame from animation in presentation) Knowledge of these artifacts is important because they can mimic. Artifact on two to three consecutive slices of the ct transaxial images of a patient, which showed near‑parallel streaks across the transaxial. One or more concentric rings in image. Ct Tube Arcing Artifact.
From tech.snmjournals.org
An Unusual Cause of the Ring Artifact on Transaxial CT Images Journal Ct Tube Arcing Artifact Ct artifacts are common and can occur for various reasons. Ct 37 artifact from tube arcing (frame from animation in presentation) One or more concentric rings in image. Artifact on two to three consecutive slices of the ct transaxial images of a patient, which showed near‑parallel streaks across the transaxial. Knowledge of these artifacts is important because they can mimic. Ct Tube Arcing Artifact.
From jnis.bmj.com
E160 Detailed evaluation of brain conebeam CT imaging artifacts a Ct Tube Arcing Artifact Ct artifacts are common and can occur for various reasons. Ct 37 artifact from tube arcing (frame from animation in presentation) Knowledge of these artifacts is important because they can mimic. Artifact on two to three consecutive slices of the ct transaxial images of a patient, which showed near‑parallel streaks across the transaxial. One or more concentric rings in image. Ct Tube Arcing Artifact.
From www.slideserve.com
PPT ARTIFACTS IN COMPUTED TOMOGRAPHY PowerPoint Presentation, free Ct Tube Arcing Artifact Knowledge of these artifacts is important because they can mimic. One or more concentric rings in image. Ct 37 artifact from tube arcing (frame from animation in presentation) Artifact on two to three consecutive slices of the ct transaxial images of a patient, which showed near‑parallel streaks across the transaxial. Ct artifacts are common and can occur for various reasons. Ct Tube Arcing Artifact.
From www.researchgate.net
13. Typical conebeam artifacts demonstrated for a CT system with 16 × Ct Tube Arcing Artifact One or more concentric rings in image. Ct 37 artifact from tube arcing (frame from animation in presentation) Knowledge of these artifacts is important because they can mimic. Ct artifacts are common and can occur for various reasons. Artifact on two to three consecutive slices of the ct transaxial images of a patient, which showed near‑parallel streaks across the transaxial. Ct Tube Arcing Artifact.
From awesomeenglish.edu.vn
Discover more than 128 concentric ring artifact ct super hot Ct Tube Arcing Artifact Ct 37 artifact from tube arcing (frame from animation in presentation) One or more concentric rings in image. Ct artifacts are common and can occur for various reasons. Artifact on two to three consecutive slices of the ct transaxial images of a patient, which showed near‑parallel streaks across the transaxial. Knowledge of these artifacts is important because they can mimic. Ct Tube Arcing Artifact.
From www.semanticscholar.org
Figure 2 from CT artifacts Causes and reduction techniques Semantic Ct Tube Arcing Artifact Knowledge of these artifacts is important because they can mimic. Ct 37 artifact from tube arcing (frame from animation in presentation) One or more concentric rings in image. Artifact on two to three consecutive slices of the ct transaxial images of a patient, which showed near‑parallel streaks across the transaxial. Ct artifacts are common and can occur for various reasons. Ct Tube Arcing Artifact.
From www.researchgate.net
(PDF) A rare cause of tube arcing artifact seen in computed tomography Ct Tube Arcing Artifact One or more concentric rings in image. Ct artifacts are common and can occur for various reasons. Ct 37 artifact from tube arcing (frame from animation in presentation) Knowledge of these artifacts is important because they can mimic. Artifact on two to three consecutive slices of the ct transaxial images of a patient, which showed near‑parallel streaks across the transaxial. Ct Tube Arcing Artifact.
From www.semanticscholar.org
Figure 1 from Stairstep artifact seen in coronal and sagittal Ct Tube Arcing Artifact Ct artifacts are common and can occur for various reasons. Knowledge of these artifacts is important because they can mimic. Ct 37 artifact from tube arcing (frame from animation in presentation) One or more concentric rings in image. Artifact on two to three consecutive slices of the ct transaxial images of a patient, which showed near‑parallel streaks across the transaxial. Ct Tube Arcing Artifact.
From radiopaedia.org
CT brain with severe motion artifact Image Ct Tube Arcing Artifact One or more concentric rings in image. Ct artifacts are common and can occur for various reasons. Ct 37 artifact from tube arcing (frame from animation in presentation) Knowledge of these artifacts is important because they can mimic. Artifact on two to three consecutive slices of the ct transaxial images of a patient, which showed near‑parallel streaks across the transaxial. Ct Tube Arcing Artifact.
From casereports.bmj.com
Ring artefacts in cranial CT BMJ Case Reports Ct Tube Arcing Artifact Knowledge of these artifacts is important because they can mimic. One or more concentric rings in image. Artifact on two to three consecutive slices of the ct transaxial images of a patient, which showed near‑parallel streaks across the transaxial. Ct 37 artifact from tube arcing (frame from animation in presentation) Ct artifacts are common and can occur for various reasons. Ct Tube Arcing Artifact.
From www.researchgate.net
(PDF) A rare cause of tube arcing artifact seen in computed tomography Ct Tube Arcing Artifact Artifact on two to three consecutive slices of the ct transaxial images of a patient, which showed near‑parallel streaks across the transaxial. One or more concentric rings in image. Ct 37 artifact from tube arcing (frame from animation in presentation) Knowledge of these artifacts is important because they can mimic. Ct artifacts are common and can occur for various reasons. Ct Tube Arcing Artifact.
From tech.snmjournals.org
CT Artifact Recognition for the Nuclear Technologist Journal of Ct Tube Arcing Artifact Knowledge of these artifacts is important because they can mimic. Artifact on two to three consecutive slices of the ct transaxial images of a patient, which showed near‑parallel streaks across the transaxial. Ct 37 artifact from tube arcing (frame from animation in presentation) One or more concentric rings in image. Ct artifacts are common and can occur for various reasons. Ct Tube Arcing Artifact.
From epos.myesr.org
EPOS™ Ct Tube Arcing Artifact One or more concentric rings in image. Ct 37 artifact from tube arcing (frame from animation in presentation) Artifact on two to three consecutive slices of the ct transaxial images of a patient, which showed near‑parallel streaks across the transaxial. Knowledge of these artifacts is important because they can mimic. Ct artifacts are common and can occur for various reasons. Ct Tube Arcing Artifact.
From personalpages.manchester.ac.uk
Truncation artefacts in PET/CT Ct Tube Arcing Artifact Artifact on two to three consecutive slices of the ct transaxial images of a patient, which showed near‑parallel streaks across the transaxial. One or more concentric rings in image. Ct 37 artifact from tube arcing (frame from animation in presentation) Ct artifacts are common and can occur for various reasons. Knowledge of these artifacts is important because they can mimic. Ct Tube Arcing Artifact.
From www.slideserve.com
PPT ARTIFACTS IN COMPUTED TOMOGRAPHY PowerPoint Presentation, free Ct Tube Arcing Artifact Ct artifacts are common and can occur for various reasons. Ct 37 artifact from tube arcing (frame from animation in presentation) Knowledge of these artifacts is important because they can mimic. One or more concentric rings in image. Artifact on two to three consecutive slices of the ct transaxial images of a patient, which showed near‑parallel streaks across the transaxial. Ct Tube Arcing Artifact.
From 1technation.com
Is My CT Tube Arcing? How to Diagnose and Troubleshoot TechNation Ct Tube Arcing Artifact Ct 37 artifact from tube arcing (frame from animation in presentation) Knowledge of these artifacts is important because they can mimic. One or more concentric rings in image. Artifact on two to three consecutive slices of the ct transaxial images of a patient, which showed near‑parallel streaks across the transaxial. Ct artifacts are common and can occur for various reasons. Ct Tube Arcing Artifact.
From www.slideserve.com
PPT ARTIFACTS IN COMPUTED TOMOGRAPHY PowerPoint Presentation, free Ct Tube Arcing Artifact One or more concentric rings in image. Ct 37 artifact from tube arcing (frame from animation in presentation) Knowledge of these artifacts is important because they can mimic. Artifact on two to three consecutive slices of the ct transaxial images of a patient, which showed near‑parallel streaks across the transaxial. Ct artifacts are common and can occur for various reasons. Ct Tube Arcing Artifact.
From www.slideserve.com
PPT ARTIFACTS IN COMPUTED TOMOGRAPHY PowerPoint Presentation, free Ct Tube Arcing Artifact Artifact on two to three consecutive slices of the ct transaxial images of a patient, which showed near‑parallel streaks across the transaxial. One or more concentric rings in image. Knowledge of these artifacts is important because they can mimic. Ct 37 artifact from tube arcing (frame from animation in presentation) Ct artifacts are common and can occur for various reasons. Ct Tube Arcing Artifact.
From www.mdpi.com
Applied Sciences Free FullText Cone Beam CT Imaging of the Ct Tube Arcing Artifact Ct 37 artifact from tube arcing (frame from animation in presentation) Knowledge of these artifacts is important because they can mimic. One or more concentric rings in image. Artifact on two to three consecutive slices of the ct transaxial images of a patient, which showed near‑parallel streaks across the transaxial. Ct artifacts are common and can occur for various reasons. Ct Tube Arcing Artifact.
From radiopaedia.org
Image Ct Tube Arcing Artifact Ct artifacts are common and can occur for various reasons. Ct 37 artifact from tube arcing (frame from animation in presentation) Artifact on two to three consecutive slices of the ct transaxial images of a patient, which showed near‑parallel streaks across the transaxial. One or more concentric rings in image. Knowledge of these artifacts is important because they can mimic. Ct Tube Arcing Artifact.
From radrounds.com
Xray Tube Arcing Artefact radRounds Radiology Network Ct Tube Arcing Artifact Artifact on two to three consecutive slices of the ct transaxial images of a patient, which showed near‑parallel streaks across the transaxial. Ct 37 artifact from tube arcing (frame from animation in presentation) Knowledge of these artifacts is important because they can mimic. Ct artifacts are common and can occur for various reasons. One or more concentric rings in image. Ct Tube Arcing Artifact.