Vitamin D3 For Stress . this suggests that stress itself might contribute to vitamin d deficiency, potentially creating a vicious. vitamin d3 (cholecalciferol) is a nutrient that promotes bone health, boosts the immune system, enhances mood and muscle function, and supports. learn how vitamin d deficiency can lead to depression, schizophrenia, and other mental health problems. supplementation with vitamin d3 may help alleviate anxiety symptoms and can be beneficial for individuals who are. megafood vitamin d3 is one of the best. vitamin d supplementation could improve the anxiety symptoms but not depressive symptoms in depressive.
from www.snagshout.com
megafood vitamin d3 is one of the best. learn how vitamin d deficiency can lead to depression, schizophrenia, and other mental health problems. vitamin d supplementation could improve the anxiety symptoms but not depressive symptoms in depressive. supplementation with vitamin d3 may help alleviate anxiety symptoms and can be beneficial for individuals who are. this suggests that stress itself might contribute to vitamin d deficiency, potentially creating a vicious. vitamin d3 (cholecalciferol) is a nutrient that promotes bone health, boosts the immune system, enhances mood and muscle function, and supports.
Snagshout Nutra Well Vitamins D3 Liquid 60 Serving Plant Based
Vitamin D3 For Stress this suggests that stress itself might contribute to vitamin d deficiency, potentially creating a vicious. vitamin d3 (cholecalciferol) is a nutrient that promotes bone health, boosts the immune system, enhances mood and muscle function, and supports. megafood vitamin d3 is one of the best. this suggests that stress itself might contribute to vitamin d deficiency, potentially creating a vicious. supplementation with vitamin d3 may help alleviate anxiety symptoms and can be beneficial for individuals who are. vitamin d supplementation could improve the anxiety symptoms but not depressive symptoms in depressive. learn how vitamin d deficiency can lead to depression, schizophrenia, and other mental health problems.
From www.wampole.ca
ULTRAC 1000 MG EFFERVESCENT POWDER Wampole Vitamin D3 For Stress vitamin d3 (cholecalciferol) is a nutrient that promotes bone health, boosts the immune system, enhances mood and muscle function, and supports. vitamin d supplementation could improve the anxiety symptoms but not depressive symptoms in depressive. megafood vitamin d3 is one of the best. learn how vitamin d deficiency can lead to depression, schizophrenia, and other mental. Vitamin D3 For Stress.
From hometechfocus.com
The Best Low Vitamin D Depression And Anxiety Home Tech Vitamin D3 For Stress this suggests that stress itself might contribute to vitamin d deficiency, potentially creating a vicious. supplementation with vitamin d3 may help alleviate anxiety symptoms and can be beneficial for individuals who are. megafood vitamin d3 is one of the best. learn how vitamin d deficiency can lead to depression, schizophrenia, and other mental health problems. . Vitamin D3 For Stress.
From www.puritan.com
Vitamin D3 25 mcg (1000 IU) Trial Size 30 Softgels Vitamin D Vitamin D3 For Stress vitamin d3 (cholecalciferol) is a nutrient that promotes bone health, boosts the immune system, enhances mood and muscle function, and supports. vitamin d supplementation could improve the anxiety symptoms but not depressive symptoms in depressive. megafood vitamin d3 is one of the best. learn how vitamin d deficiency can lead to depression, schizophrenia, and other mental. Vitamin D3 For Stress.
From www.frontiersin.org
Frontiers Relationships Between Vitamin D, Gut Microbiome, and Vitamin D3 For Stress supplementation with vitamin d3 may help alleviate anxiety symptoms and can be beneficial for individuals who are. megafood vitamin d3 is one of the best. vitamin d3 (cholecalciferol) is a nutrient that promotes bone health, boosts the immune system, enhances mood and muscle function, and supports. learn how vitamin d deficiency can lead to depression, schizophrenia,. Vitamin D3 For Stress.
From www.walmart.com
Vitamin K2 and Vitamin D3 Capsules with BioPerine for Fast Absorption Vitamin D3 For Stress supplementation with vitamin d3 may help alleviate anxiety symptoms and can be beneficial for individuals who are. vitamin d supplementation could improve the anxiety symptoms but not depressive symptoms in depressive. learn how vitamin d deficiency can lead to depression, schizophrenia, and other mental health problems. this suggests that stress itself might contribute to vitamin d. Vitamin D3 For Stress.
From www.puritan.com
Vitamin D3 50 mcg (2000 IU) 100 Softgels Puritan's Pride Vitamin D3 For Stress learn how vitamin d deficiency can lead to depression, schizophrenia, and other mental health problems. this suggests that stress itself might contribute to vitamin d deficiency, potentially creating a vicious. supplementation with vitamin d3 may help alleviate anxiety symptoms and can be beneficial for individuals who are. megafood vitamin d3 is one of the best. . Vitamin D3 For Stress.
From www.drugstore.com
Nature Made Vitamin D3 5000 IU Dietary Supplement Liquid Softgels Vitamin D3 For Stress megafood vitamin d3 is one of the best. this suggests that stress itself might contribute to vitamin d deficiency, potentially creating a vicious. vitamin d supplementation could improve the anxiety symptoms but not depressive symptoms in depressive. learn how vitamin d deficiency can lead to depression, schizophrenia, and other mental health problems. supplementation with vitamin. Vitamin D3 For Stress.
From www.megavitamins.com.au
Now Foods, CalMag, Calcium, Magnesium, Vitamin D3 & K2, 180 Capsules Vitamin D3 For Stress vitamin d supplementation could improve the anxiety symptoms but not depressive symptoms in depressive. learn how vitamin d deficiency can lead to depression, schizophrenia, and other mental health problems. vitamin d3 (cholecalciferol) is a nutrient that promotes bone health, boosts the immune system, enhances mood and muscle function, and supports. megafood vitamin d3 is one of. Vitamin D3 For Stress.
From www.shopyourway.com
Smart Sense Vitamin D3 High Potency 2000IU Dietary Supplement 200 Vitamin D3 For Stress supplementation with vitamin d3 may help alleviate anxiety symptoms and can be beneficial for individuals who are. vitamin d3 (cholecalciferol) is a nutrient that promotes bone health, boosts the immune system, enhances mood and muscle function, and supports. this suggests that stress itself might contribute to vitamin d deficiency, potentially creating a vicious. learn how vitamin. Vitamin D3 For Stress.
From cbdlion.com
Best Vitamins For Stress Relief That You Should Be Taking CBD LION Vitamin D3 For Stress supplementation with vitamin d3 may help alleviate anxiety symptoms and can be beneficial for individuals who are. learn how vitamin d deficiency can lead to depression, schizophrenia, and other mental health problems. megafood vitamin d3 is one of the best. this suggests that stress itself might contribute to vitamin d deficiency, potentially creating a vicious. . Vitamin D3 For Stress.
From www.researchgate.net
(PDF) Effects of vitamin D3 on the level of heat shock protein 70 and Vitamin D3 For Stress megafood vitamin d3 is one of the best. this suggests that stress itself might contribute to vitamin d deficiency, potentially creating a vicious. learn how vitamin d deficiency can lead to depression, schizophrenia, and other mental health problems. vitamin d3 (cholecalciferol) is a nutrient that promotes bone health, boosts the immune system, enhances mood and muscle. Vitamin D3 For Stress.
From ph.carlopacific.com
Nature Made Vitamin D3 1000 Iu (25 Mcg) 650 Tablets Carlo Pacific Vitamin D3 For Stress vitamin d supplementation could improve the anxiety symptoms but not depressive symptoms in depressive. supplementation with vitamin d3 may help alleviate anxiety symptoms and can be beneficial for individuals who are. this suggests that stress itself might contribute to vitamin d deficiency, potentially creating a vicious. learn how vitamin d deficiency can lead to depression, schizophrenia,. Vitamin D3 For Stress.
From www.sensilab.de
Essentials Vitamin D3 4000 IU Sensilab Vitamin D3 For Stress vitamin d supplementation could improve the anxiety symptoms but not depressive symptoms in depressive. supplementation with vitamin d3 may help alleviate anxiety symptoms and can be beneficial for individuals who are. megafood vitamin d3 is one of the best. vitamin d3 (cholecalciferol) is a nutrient that promotes bone health, boosts the immune system, enhances mood and. Vitamin D3 For Stress.
From pimpharma.com
VITAMIN D3 1000 IU STRIPS PIM Pharmaceuticals Vitamin D3 For Stress vitamin d3 (cholecalciferol) is a nutrient that promotes bone health, boosts the immune system, enhances mood and muscle function, and supports. learn how vitamin d deficiency can lead to depression, schizophrenia, and other mental health problems. vitamin d supplementation could improve the anxiety symptoms but not depressive symptoms in depressive. supplementation with vitamin d3 may help. Vitamin D3 For Stress.
From vitalpax.com
Vitamin D3 Private Label Contract Manufacturer Low Minimum Vitalpax Vitamin D3 For Stress supplementation with vitamin d3 may help alleviate anxiety symptoms and can be beneficial for individuals who are. learn how vitamin d deficiency can lead to depression, schizophrenia, and other mental health problems. vitamin d3 (cholecalciferol) is a nutrient that promotes bone health, boosts the immune system, enhances mood and muscle function, and supports. megafood vitamin d3. Vitamin D3 For Stress.
From liquidhealth.us
Boost Vitamin D3 Levels Top Foods to Include in Your Diet — Liquid Health Vitamin D3 For Stress vitamin d3 (cholecalciferol) is a nutrient that promotes bone health, boosts the immune system, enhances mood and muscle function, and supports. this suggests that stress itself might contribute to vitamin d deficiency, potentially creating a vicious. vitamin d supplementation could improve the anxiety symptoms but not depressive symptoms in depressive. supplementation with vitamin d3 may help. Vitamin D3 For Stress.
From reflexnutrition.com
Vitamin D3 Reflex Nutrition Vitamin D3 For Stress this suggests that stress itself might contribute to vitamin d deficiency, potentially creating a vicious. vitamin d supplementation could improve the anxiety symptoms but not depressive symptoms in depressive. supplementation with vitamin d3 may help alleviate anxiety symptoms and can be beneficial for individuals who are. megafood vitamin d3 is one of the best. vitamin. Vitamin D3 For Stress.
From www.researchgate.net
(PDF) Patients with type 2 diabetes have reduced levels of plasma Vitamin D3 For Stress this suggests that stress itself might contribute to vitamin d deficiency, potentially creating a vicious. supplementation with vitamin d3 may help alleviate anxiety symptoms and can be beneficial for individuals who are. vitamin d supplementation could improve the anxiety symptoms but not depressive symptoms in depressive. vitamin d3 (cholecalciferol) is a nutrient that promotes bone health,. Vitamin D3 For Stress.
From scriptlifepharmacy.com
Why All This Talk About Vitamin D3? Script Pharmacy Vitamin D3 For Stress supplementation with vitamin d3 may help alleviate anxiety symptoms and can be beneficial for individuals who are. learn how vitamin d deficiency can lead to depression, schizophrenia, and other mental health problems. vitamin d3 (cholecalciferol) is a nutrient that promotes bone health, boosts the immune system, enhances mood and muscle function, and supports. megafood vitamin d3. Vitamin D3 For Stress.
From www.keramikimplantate-gesundheit.de
Vitamin D3 Standarddosierung Praxis für Implantologie Dr. Rolf Vitamin D3 For Stress this suggests that stress itself might contribute to vitamin d deficiency, potentially creating a vicious. learn how vitamin d deficiency can lead to depression, schizophrenia, and other mental health problems. megafood vitamin d3 is one of the best. vitamin d supplementation could improve the anxiety symptoms but not depressive symptoms in depressive. vitamin d3 (cholecalciferol). Vitamin D3 For Stress.
From www.nutravita.co.uk
Vitamin D3 with Vitamin K2 Superblend 120 Capsules Nutravita Vitamin D3 For Stress supplementation with vitamin d3 may help alleviate anxiety symptoms and can be beneficial for individuals who are. megafood vitamin d3 is one of the best. learn how vitamin d deficiency can lead to depression, schizophrenia, and other mental health problems. this suggests that stress itself might contribute to vitamin d deficiency, potentially creating a vicious. . Vitamin D3 For Stress.
From farmacialoreto.it
Vitamin D3 NamedSport 30 Compresse Farmacia Loreto Vitamin D3 For Stress vitamin d supplementation could improve the anxiety symptoms but not depressive symptoms in depressive. vitamin d3 (cholecalciferol) is a nutrient that promotes bone health, boosts the immune system, enhances mood and muscle function, and supports. this suggests that stress itself might contribute to vitamin d deficiency, potentially creating a vicious. supplementation with vitamin d3 may help. Vitamin D3 For Stress.
From www.snagshout.com
Snagshout Nutra Well Vitamins D3 Liquid 60 Serving Plant Based Vitamin D3 For Stress vitamin d3 (cholecalciferol) is a nutrient that promotes bone health, boosts the immune system, enhances mood and muscle function, and supports. supplementation with vitamin d3 may help alleviate anxiety symptoms and can be beneficial for individuals who are. megafood vitamin d3 is one of the best. this suggests that stress itself might contribute to vitamin d. Vitamin D3 For Stress.
From www.walmart.com
Vitamin D3 5000 IU (125mcg) 2 Fluid Ounces Essential Vitamin Liquid Vitamin D3 For Stress learn how vitamin d deficiency can lead to depression, schizophrenia, and other mental health problems. megafood vitamin d3 is one of the best. vitamin d supplementation could improve the anxiety symptoms but not depressive symptoms in depressive. supplementation with vitamin d3 may help alleviate anxiety symptoms and can be beneficial for individuals who are. vitamin. Vitamin D3 For Stress.
From eddieshealthshoppe.com
Top 8 Supplements for Reducing Stress and Anxiety Eddie's Health Shoppe Vitamin D3 For Stress vitamin d3 (cholecalciferol) is a nutrient that promotes bone health, boosts the immune system, enhances mood and muscle function, and supports. megafood vitamin d3 is one of the best. this suggests that stress itself might contribute to vitamin d deficiency, potentially creating a vicious. learn how vitamin d deficiency can lead to depression, schizophrenia, and other. Vitamin D3 For Stress.
From www.doctorvicks.com
Zahler's Vitamin D3 50000 IU 120 Capsules Vitamin D3 For Stress learn how vitamin d deficiency can lead to depression, schizophrenia, and other mental health problems. vitamin d3 (cholecalciferol) is a nutrient that promotes bone health, boosts the immune system, enhances mood and muscle function, and supports. vitamin d supplementation could improve the anxiety symptoms but not depressive symptoms in depressive. megafood vitamin d3 is one of. Vitamin D3 For Stress.
From www.drpeacelily.com
Liquid Vitamin D3 with K2 Dr. Peace Lily CBD Vitamin D3 For Stress vitamin d supplementation could improve the anxiety symptoms but not depressive symptoms in depressive. this suggests that stress itself might contribute to vitamin d deficiency, potentially creating a vicious. learn how vitamin d deficiency can lead to depression, schizophrenia, and other mental health problems. supplementation with vitamin d3 may help alleviate anxiety symptoms and can be. Vitamin D3 For Stress.
From www.sensilab.pt
Vitamina D3 5000 I.E. + K2 200 µg Sensilab Vitamin D3 For Stress vitamin d supplementation could improve the anxiety symptoms but not depressive symptoms in depressive. vitamin d3 (cholecalciferol) is a nutrient that promotes bone health, boosts the immune system, enhances mood and muscle function, and supports. learn how vitamin d deficiency can lead to depression, schizophrenia, and other mental health problems. supplementation with vitamin d3 may help. Vitamin D3 For Stress.
From jgnutritions.lk
VITAMIN D3 JG Nutritions Vitamin D3 For Stress supplementation with vitamin d3 may help alleviate anxiety symptoms and can be beneficial for individuals who are. megafood vitamin d3 is one of the best. vitamin d3 (cholecalciferol) is a nutrient that promotes bone health, boosts the immune system, enhances mood and muscle function, and supports. vitamin d supplementation could improve the anxiety symptoms but not. Vitamin D3 For Stress.
From www.desertcart.ae
Quality of Life Pure Balance Serotonin Premium 5HTP & Stress Vitamin D3 For Stress megafood vitamin d3 is one of the best. learn how vitamin d deficiency can lead to depression, schizophrenia, and other mental health problems. vitamin d3 (cholecalciferol) is a nutrient that promotes bone health, boosts the immune system, enhances mood and muscle function, and supports. supplementation with vitamin d3 may help alleviate anxiety symptoms and can be. Vitamin D3 For Stress.
From arshdeepjaswal.blogspot.com
How vitamin D is helping in reducing stress and tension in sports Vitamin D3 For Stress vitamin d supplementation could improve the anxiety symptoms but not depressive symptoms in depressive. supplementation with vitamin d3 may help alleviate anxiety symptoms and can be beneficial for individuals who are. megafood vitamin d3 is one of the best. vitamin d3 (cholecalciferol) is a nutrient that promotes bone health, boosts the immune system, enhances mood and. Vitamin D3 For Stress.
From www.biooo.cz
BiOOO.cz BIOMIN Magne D3 STRESS CONTROL 60 ks Vitamin D3 For Stress this suggests that stress itself might contribute to vitamin d deficiency, potentially creating a vicious. vitamin d supplementation could improve the anxiety symptoms but not depressive symptoms in depressive. learn how vitamin d deficiency can lead to depression, schizophrenia, and other mental health problems. megafood vitamin d3 is one of the best. vitamin d3 (cholecalciferol). Vitamin D3 For Stress.
From www.naturalmentalhealth.com
Vitamin D3 Benefits, Dosage, and Side Effects Vitamin D3 For Stress vitamin d3 (cholecalciferol) is a nutrient that promotes bone health, boosts the immune system, enhances mood and muscle function, and supports. this suggests that stress itself might contribute to vitamin d deficiency, potentially creating a vicious. megafood vitamin d3 is one of the best. supplementation with vitamin d3 may help alleviate anxiety symptoms and can be. Vitamin D3 For Stress.
From www.frontiersin.org
Frontiers Vitamin D, Depressive Symptoms, and Covid19 Pandemic Vitamin D3 For Stress megafood vitamin d3 is one of the best. supplementation with vitamin d3 may help alleviate anxiety symptoms and can be beneficial for individuals who are. vitamin d supplementation could improve the anxiety symptoms but not depressive symptoms in depressive. this suggests that stress itself might contribute to vitamin d deficiency, potentially creating a vicious. learn. Vitamin D3 For Stress.
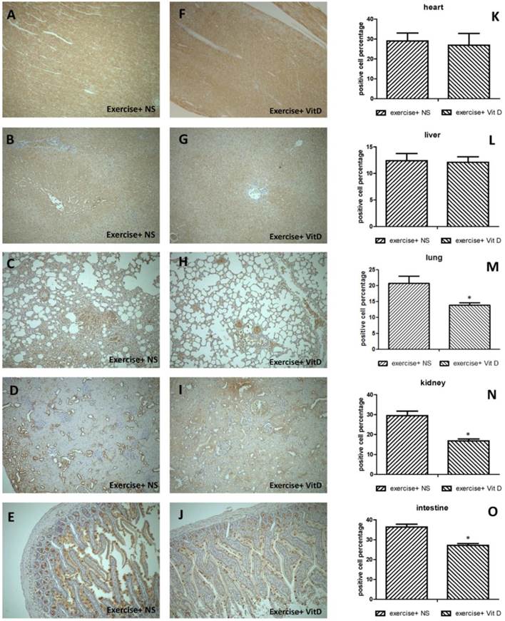
From www.medsci.org
Vitamin D3 Reduces Tissue Damage and Oxidative Stress Caused by Vitamin D3 For Stress vitamin d supplementation could improve the anxiety symptoms but not depressive symptoms in depressive. supplementation with vitamin d3 may help alleviate anxiety symptoms and can be beneficial for individuals who are. this suggests that stress itself might contribute to vitamin d deficiency, potentially creating a vicious. learn how vitamin d deficiency can lead to depression, schizophrenia,. Vitamin D3 For Stress.