Facet Effusion Definition . Larry parker, md, orthopedic surgeon. Determine the appropriate evaluation of facet joint disease. Lumbar facet joint disorders most commonly cause lower back pain that is. Evaluate the treatment and management options available. The term segmental instability of the lumbar spine is not clearly defined, especially as it relates to degenerative. Identify the etiology of facet joint disease. Symptoms and diagnosis of facet joint disorders. The term “segmental instability” of the lumbar spine is not clearly defined, especially as it relates to degenerative spondylolisthesis. A diagnostic positive facet joint block can indicate facet joints as the source of chronic spinal pain [], but the rate of false positives remains high. The facet pain syndrome from osteoarthritis is suspected from a patient’s history (referred pain pattern) and physical.
from thejns.org
Determine the appropriate evaluation of facet joint disease. The term “segmental instability” of the lumbar spine is not clearly defined, especially as it relates to degenerative spondylolisthesis. Lumbar facet joint disorders most commonly cause lower back pain that is. Symptoms and diagnosis of facet joint disorders. The term segmental instability of the lumbar spine is not clearly defined, especially as it relates to degenerative. Evaluate the treatment and management options available. Identify the etiology of facet joint disease. The facet pain syndrome from osteoarthritis is suspected from a patient’s history (referred pain pattern) and physical. Larry parker, md, orthopedic surgeon. A diagnostic positive facet joint block can indicate facet joints as the source of chronic spinal pain [], but the rate of false positives remains high.
Relationship between facet joint opening on CT and facet joint effusion
Facet Effusion Definition Symptoms and diagnosis of facet joint disorders. Determine the appropriate evaluation of facet joint disease. The term “segmental instability” of the lumbar spine is not clearly defined, especially as it relates to degenerative spondylolisthesis. Larry parker, md, orthopedic surgeon. The facet pain syndrome from osteoarthritis is suspected from a patient’s history (referred pain pattern) and physical. The term segmental instability of the lumbar spine is not clearly defined, especially as it relates to degenerative. Identify the etiology of facet joint disease. Symptoms and diagnosis of facet joint disorders. Evaluate the treatment and management options available. Lumbar facet joint disorders most commonly cause lower back pain that is. A diagnostic positive facet joint block can indicate facet joints as the source of chronic spinal pain [], but the rate of false positives remains high.
From www.cureus.com
Excessive Fluid in the Lumbar Facet Joint as a Predictor of Facet Effusion Definition The term segmental instability of the lumbar spine is not clearly defined, especially as it relates to degenerative. The facet pain syndrome from osteoarthritis is suspected from a patient’s history (referred pain pattern) and physical. Lumbar facet joint disorders most commonly cause lower back pain that is. Identify the etiology of facet joint disease. A diagnostic positive facet joint block. Facet Effusion Definition.
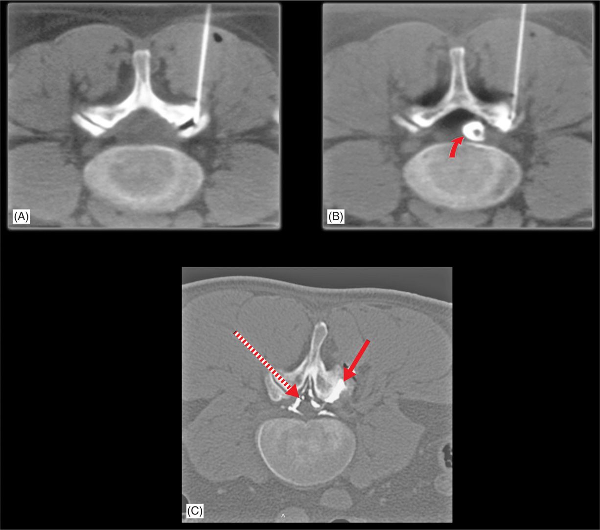
From myemail.constantcontact.com
ACQUIRED LUMBAR CENTRAL CANAL SPINAL STENOSIS, FACET JOINT EFFUSION AND Facet Effusion Definition A diagnostic positive facet joint block can indicate facet joints as the source of chronic spinal pain [], but the rate of false positives remains high. Lumbar facet joint disorders most commonly cause lower back pain that is. Larry parker, md, orthopedic surgeon. Determine the appropriate evaluation of facet joint disease. Symptoms and diagnosis of facet joint disorders. The term. Facet Effusion Definition.
From allspinesurgerycenter.com
Facet Hypertrophy Symptoms, Diagnosis, Treatment AllSpine Facet Effusion Definition Symptoms and diagnosis of facet joint disorders. The facet pain syndrome from osteoarthritis is suspected from a patient’s history (referred pain pattern) and physical. The term segmental instability of the lumbar spine is not clearly defined, especially as it relates to degenerative. A diagnostic positive facet joint block can indicate facet joints as the source of chronic spinal pain [],. Facet Effusion Definition.
From learnmuscles.com
Facet Syndrome of the Lumbar Spine Facet Effusion Definition Evaluate the treatment and management options available. The facet pain syndrome from osteoarthritis is suspected from a patient’s history (referred pain pattern) and physical. The term “segmental instability” of the lumbar spine is not clearly defined, especially as it relates to degenerative spondylolisthesis. Larry parker, md, orthopedic surgeon. Determine the appropriate evaluation of facet joint disease. Symptoms and diagnosis of. Facet Effusion Definition.
From myemail.constantcontact.com
ACQUIRED LUMBAR CENTRAL CANAL SPINAL STENOSIS, FACET JOINT EFFUSION AND Facet Effusion Definition Lumbar facet joint disorders most commonly cause lower back pain that is. Larry parker, md, orthopedic surgeon. Determine the appropriate evaluation of facet joint disease. The facet pain syndrome from osteoarthritis is suspected from a patient’s history (referred pain pattern) and physical. Symptoms and diagnosis of facet joint disorders. The term “segmental instability” of the lumbar spine is not clearly. Facet Effusion Definition.
From healthjade.net
Arthropathy definition, facet arthropathy, lumbar facet arthropathy Facet Effusion Definition Larry parker, md, orthopedic surgeon. The facet pain syndrome from osteoarthritis is suspected from a patient’s history (referred pain pattern) and physical. Evaluate the treatment and management options available. The term “segmental instability” of the lumbar spine is not clearly defined, especially as it relates to degenerative spondylolisthesis. Identify the etiology of facet joint disease. A diagnostic positive facet joint. Facet Effusion Definition.
From loeoxgprp.blob.core.windows.net
Facet Joint Disease at Amy Nelson blog Facet Effusion Definition The facet pain syndrome from osteoarthritis is suspected from a patient’s history (referred pain pattern) and physical. Larry parker, md, orthopedic surgeon. The term “segmental instability” of the lumbar spine is not clearly defined, especially as it relates to degenerative spondylolisthesis. Lumbar facet joint disorders most commonly cause lower back pain that is. Identify the etiology of facet joint disease.. Facet Effusion Definition.
From thepainsource.com
Lumbar Facet Joint Synovial Cyst The Pain Source Facet Effusion Definition Lumbar facet joint disorders most commonly cause lower back pain that is. Determine the appropriate evaluation of facet joint disease. A diagnostic positive facet joint block can indicate facet joints as the source of chronic spinal pain [], but the rate of false positives remains high. Symptoms and diagnosis of facet joint disorders. Larry parker, md, orthopedic surgeon. The term. Facet Effusion Definition.
From myemail.constantcontact.com
ACQUIRED LUMBAR CENTRAL CANAL SPINAL STENOSIS, FACET JOINT EFFUSION AND Facet Effusion Definition Larry parker, md, orthopedic surgeon. A diagnostic positive facet joint block can indicate facet joints as the source of chronic spinal pain [], but the rate of false positives remains high. The term “segmental instability” of the lumbar spine is not clearly defined, especially as it relates to degenerative spondylolisthesis. Lumbar facet joint disorders most commonly cause lower back pain. Facet Effusion Definition.
From dynamicdiscdesigns.com
Diagnosing methodology for lumbar segmental instability Facet Effusion Definition The term “segmental instability” of the lumbar spine is not clearly defined, especially as it relates to degenerative spondylolisthesis. Determine the appropriate evaluation of facet joint disease. Larry parker, md, orthopedic surgeon. The facet pain syndrome from osteoarthritis is suspected from a patient’s history (referred pain pattern) and physical. Evaluate the treatment and management options available. Lumbar facet joint disorders. Facet Effusion Definition.
From www.semanticscholar.org
Figure 1 from Facet Joint Effusion Significance In Degenerative Spinal Facet Effusion Definition Determine the appropriate evaluation of facet joint disease. Identify the etiology of facet joint disease. Lumbar facet joint disorders most commonly cause lower back pain that is. The term segmental instability of the lumbar spine is not clearly defined, especially as it relates to degenerative. Larry parker, md, orthopedic surgeon. Evaluate the treatment and management options available. The term “segmental. Facet Effusion Definition.
From klaidvkoc.blob.core.windows.net
Facet Definition Term at Sabrina Moody blog Facet Effusion Definition The term segmental instability of the lumbar spine is not clearly defined, especially as it relates to degenerative. Determine the appropriate evaluation of facet joint disease. The facet pain syndrome from osteoarthritis is suspected from a patient’s history (referred pain pattern) and physical. Larry parker, md, orthopedic surgeon. A diagnostic positive facet joint block can indicate facet joints as the. Facet Effusion Definition.
From www.cureus.com
Excessive Fluid in the Lumbar Facet Joint as a Predictor of Facet Effusion Definition Identify the etiology of facet joint disease. Larry parker, md, orthopedic surgeon. The term “segmental instability” of the lumbar spine is not clearly defined, especially as it relates to degenerative spondylolisthesis. The facet pain syndrome from osteoarthritis is suspected from a patient’s history (referred pain pattern) and physical. Symptoms and diagnosis of facet joint disorders. Determine the appropriate evaluation of. Facet Effusion Definition.
From www.semanticscholar.org
Figure 1 from Association of Lumbar Synovial Cysts with Facet Effusion Facet Effusion Definition Identify the etiology of facet joint disease. Evaluate the treatment and management options available. The term “segmental instability” of the lumbar spine is not clearly defined, especially as it relates to degenerative spondylolisthesis. A diagnostic positive facet joint block can indicate facet joints as the source of chronic spinal pain [], but the rate of false positives remains high. Determine. Facet Effusion Definition.
From joirryuzl.blob.core.windows.net
Facet Joint Effusion Definition at Helen Stapleton blog Facet Effusion Definition The term “segmental instability” of the lumbar spine is not clearly defined, especially as it relates to degenerative spondylolisthesis. The facet pain syndrome from osteoarthritis is suspected from a patient’s history (referred pain pattern) and physical. A diagnostic positive facet joint block can indicate facet joints as the source of chronic spinal pain [], but the rate of false positives. Facet Effusion Definition.
From myemail.constantcontact.com
ACQUIRED LUMBAR CENTRAL CANAL SPINAL STENOSIS, FACET JOINT EFFUSION AND Facet Effusion Definition Symptoms and diagnosis of facet joint disorders. The facet pain syndrome from osteoarthritis is suspected from a patient’s history (referred pain pattern) and physical. The term segmental instability of the lumbar spine is not clearly defined, especially as it relates to degenerative. Identify the etiology of facet joint disease. A diagnostic positive facet joint block can indicate facet joints as. Facet Effusion Definition.
From www.osmosis.org
Facet Arthropathy What Is It, Causes, Signs and Symptoms, and More Facet Effusion Definition Larry parker, md, orthopedic surgeon. Evaluate the treatment and management options available. Determine the appropriate evaluation of facet joint disease. Symptoms and diagnosis of facet joint disorders. The term “segmental instability” of the lumbar spine is not clearly defined, especially as it relates to degenerative spondylolisthesis. The facet pain syndrome from osteoarthritis is suspected from a patient’s history (referred pain. Facet Effusion Definition.
From www.researchgate.net
Measurement of the facet joint effusion and facet joint width. A Facet Effusion Definition A diagnostic positive facet joint block can indicate facet joints as the source of chronic spinal pain [], but the rate of false positives remains high. Identify the etiology of facet joint disease. The term “segmental instability” of the lumbar spine is not clearly defined, especially as it relates to degenerative spondylolisthesis. Symptoms and diagnosis of facet joint disorders. Evaluate. Facet Effusion Definition.
From www.researchgate.net
Representative resonance image showing facet effusion (arrows Facet Effusion Definition The term “segmental instability” of the lumbar spine is not clearly defined, especially as it relates to degenerative spondylolisthesis. A diagnostic positive facet joint block can indicate facet joints as the source of chronic spinal pain [], but the rate of false positives remains high. The facet pain syndrome from osteoarthritis is suspected from a patient’s history (referred pain pattern). Facet Effusion Definition.
From pubs.rsna.org
Differential Diagnosis of Facet Joint Disorders RadioGraphics Facet Effusion Definition Evaluate the treatment and management options available. Lumbar facet joint disorders most commonly cause lower back pain that is. Identify the etiology of facet joint disease. The term segmental instability of the lumbar spine is not clearly defined, especially as it relates to degenerative. The facet pain syndrome from osteoarthritis is suspected from a patient’s history (referred pain pattern) and. Facet Effusion Definition.
From www.scielo.br
SciELO Brasil IMAGE CORRELATION BETWEEN FACET EFFUSION AND LUMBAR Facet Effusion Definition Larry parker, md, orthopedic surgeon. Symptoms and diagnosis of facet joint disorders. Identify the etiology of facet joint disease. The term “segmental instability” of the lumbar spine is not clearly defined, especially as it relates to degenerative spondylolisthesis. Determine the appropriate evaluation of facet joint disease. Evaluate the treatment and management options available. A diagnostic positive facet joint block can. Facet Effusion Definition.
From www.researchgate.net
(PDF) Lumbar facet joint effusion in MRI A sign of instability in Facet Effusion Definition Evaluate the treatment and management options available. Symptoms and diagnosis of facet joint disorders. Lumbar facet joint disorders most commonly cause lower back pain that is. Larry parker, md, orthopedic surgeon. The term segmental instability of the lumbar spine is not clearly defined, especially as it relates to degenerative. The term “segmental instability” of the lumbar spine is not clearly. Facet Effusion Definition.
From www.sportsmedreview.com
Facet Joint Arthropathy Sports Medicine Review Facet Effusion Definition Determine the appropriate evaluation of facet joint disease. Evaluate the treatment and management options available. The term segmental instability of the lumbar spine is not clearly defined, especially as it relates to degenerative. Lumbar facet joint disorders most commonly cause lower back pain that is. Identify the etiology of facet joint disease. The facet pain syndrome from osteoarthritis is suspected. Facet Effusion Definition.
From www.semanticscholar.org
Figure 2 from Facet Joint Effusion Significance In Degenerative Spinal Facet Effusion Definition The term segmental instability of the lumbar spine is not clearly defined, especially as it relates to degenerative. A diagnostic positive facet joint block can indicate facet joints as the source of chronic spinal pain [], but the rate of false positives remains high. Larry parker, md, orthopedic surgeon. Determine the appropriate evaluation of facet joint disease. Identify the etiology. Facet Effusion Definition.
From www.researchgate.net
A facet joint effusion over 1.5 mm seen on MRI (supine MRI shown) may Facet Effusion Definition The term segmental instability of the lumbar spine is not clearly defined, especially as it relates to degenerative. Identify the etiology of facet joint disease. Lumbar facet joint disorders most commonly cause lower back pain that is. Symptoms and diagnosis of facet joint disorders. The facet pain syndrome from osteoarthritis is suspected from a patient’s history (referred pain pattern) and. Facet Effusion Definition.
From www.cureus.com
Cureus Lumbar Facet Joint Fluid A Reliable Sign of Lumbar Instability Facet Effusion Definition Lumbar facet joint disorders most commonly cause lower back pain that is. A diagnostic positive facet joint block can indicate facet joints as the source of chronic spinal pain [], but the rate of false positives remains high. The facet pain syndrome from osteoarthritis is suspected from a patient’s history (referred pain pattern) and physical. Larry parker, md, orthopedic surgeon.. Facet Effusion Definition.
From radiologykey.com
Facet Joint Effusion Radiology Key Facet Effusion Definition The facet pain syndrome from osteoarthritis is suspected from a patient’s history (referred pain pattern) and physical. A diagnostic positive facet joint block can indicate facet joints as the source of chronic spinal pain [], but the rate of false positives remains high. Determine the appropriate evaluation of facet joint disease. Larry parker, md, orthopedic surgeon. Symptoms and diagnosis of. Facet Effusion Definition.
From joirryuzl.blob.core.windows.net
Facet Joint Effusion Definition at Helen Stapleton blog Facet Effusion Definition Lumbar facet joint disorders most commonly cause lower back pain that is. A diagnostic positive facet joint block can indicate facet joints as the source of chronic spinal pain [], but the rate of false positives remains high. Evaluate the treatment and management options available. Determine the appropriate evaluation of facet joint disease. The facet pain syndrome from osteoarthritis is. Facet Effusion Definition.
From thejns.org
Relationship between facet joint opening on CT and facet joint effusion Facet Effusion Definition Lumbar facet joint disorders most commonly cause lower back pain that is. Larry parker, md, orthopedic surgeon. The term “segmental instability” of the lumbar spine is not clearly defined, especially as it relates to degenerative spondylolisthesis. The facet pain syndrome from osteoarthritis is suspected from a patient’s history (referred pain pattern) and physical. Evaluate the treatment and management options available.. Facet Effusion Definition.
From radsource.us
Facet Synovitis Radsource Facet Effusion Definition The facet pain syndrome from osteoarthritis is suspected from a patient’s history (referred pain pattern) and physical. Symptoms and diagnosis of facet joint disorders. Identify the etiology of facet joint disease. Determine the appropriate evaluation of facet joint disease. Lumbar facet joint disorders most commonly cause lower back pain that is. Larry parker, md, orthopedic surgeon. The term “segmental instability”. Facet Effusion Definition.
From vdocuments.mx
Lumbar facet joint effusion in MRI a sign of instability in Facet Effusion Definition Larry parker, md, orthopedic surgeon. Symptoms and diagnosis of facet joint disorders. The term “segmental instability” of the lumbar spine is not clearly defined, especially as it relates to degenerative spondylolisthesis. Lumbar facet joint disorders most commonly cause lower back pain that is. Evaluate the treatment and management options available. The term segmental instability of the lumbar spine is not. Facet Effusion Definition.
From www.youtube.com
Cervical Facet joint Effusion A Sign of instability in cervical Facet Effusion Definition The facet pain syndrome from osteoarthritis is suspected from a patient’s history (referred pain pattern) and physical. Determine the appropriate evaluation of facet joint disease. Identify the etiology of facet joint disease. The term segmental instability of the lumbar spine is not clearly defined, especially as it relates to degenerative. Symptoms and diagnosis of facet joint disorders. Lumbar facet joint. Facet Effusion Definition.
From myemail.constantcontact.com
ACQUIRED LUMBAR CENTRAL CANAL SPINAL STENOSIS, FACET JOINT EFFUSION AND Facet Effusion Definition Larry parker, md, orthopedic surgeon. The term “segmental instability” of the lumbar spine is not clearly defined, especially as it relates to degenerative spondylolisthesis. Evaluate the treatment and management options available. Symptoms and diagnosis of facet joint disorders. Identify the etiology of facet joint disease. The term segmental instability of the lumbar spine is not clearly defined, especially as it. Facet Effusion Definition.
From joirryuzl.blob.core.windows.net
Facet Joint Effusion Definition at Helen Stapleton blog Facet Effusion Definition The facet pain syndrome from osteoarthritis is suspected from a patient’s history (referred pain pattern) and physical. Symptoms and diagnosis of facet joint disorders. The term “segmental instability” of the lumbar spine is not clearly defined, especially as it relates to degenerative spondylolisthesis. Larry parker, md, orthopedic surgeon. Evaluate the treatment and management options available. Identify the etiology of facet. Facet Effusion Definition.
From aneskey.com
Lumbar Facet Joint Cyst Drainage and Injection Anesthesia Key Facet Effusion Definition Evaluate the treatment and management options available. A diagnostic positive facet joint block can indicate facet joints as the source of chronic spinal pain [], but the rate of false positives remains high. Lumbar facet joint disorders most commonly cause lower back pain that is. The term segmental instability of the lumbar spine is not clearly defined, especially as it. Facet Effusion Definition.