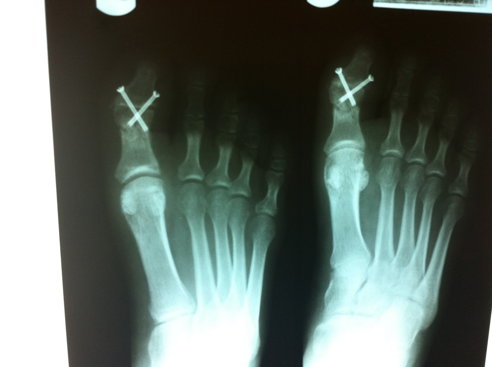
Running After Toe Fusion . It may help relieve pain and improve the. However in certain instances, when your bone is weaker than. In this post, i answer most people’s questions regarding the surgery. Hi had fusion op on left big toe sep 2014. Recovery is going to plan, however i am wondering when or if i can start jogging/running. Big toe joint fusion surgery is one of the most commonly performed foot and ankle procedures. Follow the instructions your surgeon gives you about putting weight on the foot. Most patients must use crutches after the. Who is a good candidate for big toe fusion? Big toe fusion surgery has gained traction over the years and is now a common procedure for podiatrists. How long does it take to recover? You may need big toe joint fusion surgery if you are suffering from big toe arthritis with symptoms of stiffness, swelling and inflammation. Most patients can walk after the fusion without putting weight down on the toe. Big toe fusion surgery is often recommended for patients suffering from big toearthritis and severe bunions. After a first mtp fusion, most people are able to return to an active lifestyle — including walking, hiking, biking, swimming, and jogging — without pain in their toe.
from www.michiganfootdoctors.com
Follow the instructions your surgeon gives you about putting weight on the foot. Most patients can walk after the fusion without putting weight down on the toe. After a first mtp fusion, most people are able to return to an active lifestyle — including walking, hiking, biking, swimming, and jogging — without pain in their toe. It may help relieve pain and improve the. Most patients must use crutches after the. Big toe joint fusion surgery is one of the most commonly performed foot and ankle procedures. Who is a good candidate for big toe fusion? You may need big toe joint fusion surgery if you are suffering from big toe arthritis with symptoms of stiffness, swelling and inflammation. In this post, i answer most people’s questions regarding the surgery. How long does it take to recover?
Pros and Cons of Big Toe Joint Fusion [The Best Big Toe Joint Surgery?]
Running After Toe Fusion How long does it take to recover? Big toe fusion surgery is often recommended for patients suffering from big toearthritis and severe bunions. Recovery is going to plan, however i am wondering when or if i can start jogging/running. You may need big toe joint fusion surgery if you are suffering from big toe arthritis with symptoms of stiffness, swelling and inflammation. Who is a good candidate for big toe fusion? In this post, i answer most people’s questions regarding the surgery. After a first mtp fusion, most people are able to return to an active lifestyle — including walking, hiking, biking, swimming, and jogging — without pain in their toe. Carrying out these regular exercises after your big toe fusion surgery is essential to prevent stiffness in the rest of the foot, restore your range of. Most patients can walk after the fusion without putting weight down on the toe. Hi had fusion op on left big toe sep 2014. It may help relieve pain and improve the. However in certain instances, when your bone is weaker than. Most patients must use crutches after the. How long does it take to recover? Big toe joint fusion surgery is one of the most commonly performed foot and ankle procedures. Big toe fusion surgery has gained traction over the years and is now a common procedure for podiatrists.
From seeking-savasana.blogspot.com
Journey Big Toe FusionLive Surgery Results Running After Toe Fusion Big toe fusion surgery is often recommended for patients suffering from big toearthritis and severe bunions. Hi had fusion op on left big toe sep 2014. Who is a good candidate for big toe fusion? Carrying out these regular exercises after your big toe fusion surgery is essential to prevent stiffness in the rest of the foot, restore your range. Running After Toe Fusion.
From www.michiganfootdoctors.com
Pros and Cons of Big Toe Joint Fusion [The Best Big Toe Joint Surgery?] Running After Toe Fusion You may need big toe joint fusion surgery if you are suffering from big toe arthritis with symptoms of stiffness, swelling and inflammation. However in certain instances, when your bone is weaker than. After a first mtp fusion, most people are able to return to an active lifestyle — including walking, hiking, biking, swimming, and jogging — without pain in. Running After Toe Fusion.
From www.londonorthopaedicsurgery.co.uk
Foot Fusion Surgery Private Surgeon London London Foot and Ankle Running After Toe Fusion Who is a good candidate for big toe fusion? However in certain instances, when your bone is weaker than. Hi had fusion op on left big toe sep 2014. Most patients must use crutches after the. Most patients can walk after the fusion without putting weight down on the toe. After a first mtp fusion, most people are able to. Running After Toe Fusion.
From drdavidshepherd.com.au
Great Toe Fusion David Shepherd Running After Toe Fusion After a first mtp fusion, most people are able to return to an active lifestyle — including walking, hiking, biking, swimming, and jogging — without pain in their toe. Follow the instructions your surgeon gives you about putting weight on the foot. Big toe joint fusion surgery is one of the most commonly performed foot and ankle procedures. However in. Running After Toe Fusion.
From os.clinic
Toe fusion surgery treatment, recovery & longterm impact Running After Toe Fusion How long does it take to recover? It may help relieve pain and improve the. Carrying out these regular exercises after your big toe fusion surgery is essential to prevent stiffness in the rest of the foot, restore your range of. Follow the instructions your surgeon gives you about putting weight on the foot. You may need big toe joint. Running After Toe Fusion.
From www.michiganfootdoctors.com
Pros and Cons of Big Toe Joint Fusion [The Best Big Toe Joint Surgery?] Running After Toe Fusion However in certain instances, when your bone is weaker than. Most patients must use crutches after the. You may need big toe joint fusion surgery if you are suffering from big toe arthritis with symptoms of stiffness, swelling and inflammation. Carrying out these regular exercises after your big toe fusion surgery is essential to prevent stiffness in the rest of. Running After Toe Fusion.
From districtfootankle.com
Great Toe Joint Fusion Surgery Alexandria VA Podiatrist Running After Toe Fusion Most patients can walk after the fusion without putting weight down on the toe. Big toe fusion surgery is often recommended for patients suffering from big toearthritis and severe bunions. You may need big toe joint fusion surgery if you are suffering from big toe arthritis with symptoms of stiffness, swelling and inflammation. Carrying out these regular exercises after your. Running After Toe Fusion.
From www.danielbohl.com
Big Toe Arthritis — Daniel Bohl, MD Midwest Orthopaedics at RUSH Running After Toe Fusion After a first mtp fusion, most people are able to return to an active lifestyle — including walking, hiking, biking, swimming, and jogging — without pain in their toe. You may need big toe joint fusion surgery if you are suffering from big toe arthritis with symptoms of stiffness, swelling and inflammation. Most patients can walk after the fusion without. Running After Toe Fusion.
From sportsortho.co.uk
Big Toe Fusion London Sports Orthopaedics Running After Toe Fusion Big toe joint fusion surgery is one of the most commonly performed foot and ankle procedures. Big toe fusion surgery is often recommended for patients suffering from big toearthritis and severe bunions. Who is a good candidate for big toe fusion? Follow the instructions your surgeon gives you about putting weight on the foot. Recovery is going to plan, however. Running After Toe Fusion.
From www.youtube.com
Exercises for Big Toe Following Bunion Surgery YouTube Running After Toe Fusion Follow the instructions your surgeon gives you about putting weight on the foot. How long does it take to recover? You may need big toe joint fusion surgery if you are suffering from big toe arthritis with symptoms of stiffness, swelling and inflammation. Big toe fusion surgery has gained traction over the years and is now a common procedure for. Running After Toe Fusion.
From www.hunterfootandankle.com.au
What Can I Do After A Big Toe Fusion? Running After Toe Fusion Most patients must use crutches after the. Big toe fusion surgery is often recommended for patients suffering from big toearthritis and severe bunions. Hi had fusion op on left big toe sep 2014. Big toe joint fusion surgery is one of the most commonly performed foot and ankle procedures. Most patients can walk after the fusion without putting weight down. Running After Toe Fusion.
From rosee-petals.blogspot.com
Rose Petals Toe fusion SUCCESS! Running After Toe Fusion Carrying out these regular exercises after your big toe fusion surgery is essential to prevent stiffness in the rest of the foot, restore your range of. Big toe fusion surgery has gained traction over the years and is now a common procedure for podiatrists. You may need big toe joint fusion surgery if you are suffering from big toe arthritis. Running After Toe Fusion.
From christopherpmillermd.com
Hallux Rigidus Arthritis of the big toe Christopher Miller Running After Toe Fusion Big toe fusion surgery is often recommended for patients suffering from big toearthritis and severe bunions. It may help relieve pain and improve the. Follow the instructions your surgeon gives you about putting weight on the foot. Recovery is going to plan, however i am wondering when or if i can start jogging/running. Most patients must use crutches after the.. Running After Toe Fusion.
From www.youtube.com
Big toe fusion with bone graft YouTube Running After Toe Fusion Recovery is going to plan, however i am wondering when or if i can start jogging/running. It may help relieve pain and improve the. Follow the instructions your surgeon gives you about putting weight on the foot. How long does it take to recover? Most patients can walk after the fusion without putting weight down on the toe. Most patients. Running After Toe Fusion.
From milescallahan.com.au
Mr Miles Callahan Great Toe Fusion Running After Toe Fusion How long does it take to recover? In this post, i answer most people’s questions regarding the surgery. Most patients must use crutches after the. It may help relieve pain and improve the. Big toe joint fusion surgery is one of the most commonly performed foot and ankle procedures. Carrying out these regular exercises after your big toe fusion surgery. Running After Toe Fusion.
From footeducation.com
Subtalar Fusion FootEducation Running After Toe Fusion Big toe fusion surgery has gained traction over the years and is now a common procedure for podiatrists. After a first mtp fusion, most people are able to return to an active lifestyle — including walking, hiking, biking, swimming, and jogging — without pain in their toe. Follow the instructions your surgeon gives you about putting weight on the foot.. Running After Toe Fusion.
From www.drblakeshealingsole.com
Foot and Ankle Problems By Dr. Richard Blake Big Toe Joint Fusion Running After Toe Fusion Hi had fusion op on left big toe sep 2014. Big toe fusion surgery is often recommended for patients suffering from big toearthritis and severe bunions. Recovery is going to plan, however i am wondering when or if i can start jogging/running. Big toe fusion surgery has gained traction over the years and is now a common procedure for podiatrists.. Running After Toe Fusion.
From www.youtube.com
Transforming Lives Big Toe Fusion Surgery YouTube Running After Toe Fusion Big toe joint fusion surgery is one of the most commonly performed foot and ankle procedures. In this post, i answer most people’s questions regarding the surgery. Most patients must use crutches after the. Big toe fusion surgery is often recommended for patients suffering from big toearthritis and severe bunions. Hi had fusion op on left big toe sep 2014.. Running After Toe Fusion.
From mummyvswork.co.uk
Mid foot fusion surgery 3 weeks on Running After Toe Fusion Who is a good candidate for big toe fusion? Follow the instructions your surgeon gives you about putting weight on the foot. Hi had fusion op on left big toe sep 2014. How long does it take to recover? In this post, i answer most people’s questions regarding the surgery. Big toe fusion surgery has gained traction over the years. Running After Toe Fusion.
From www.outdoorspree.com
Hiking After Big Toe Fusion Should You Do It? OutdoorSpree Running After Toe Fusion How long does it take to recover? Carrying out these regular exercises after your big toe fusion surgery is essential to prevent stiffness in the rest of the foot, restore your range of. Big toe fusion surgery is often recommended for patients suffering from big toearthritis and severe bunions. It may help relieve pain and improve the. Follow the instructions. Running After Toe Fusion.
From www.youtube.com
Big Toe Joint Foot (MTJ) Fusion **Is It Worth It?** YouTube Running After Toe Fusion Big toe joint fusion surgery is one of the most commonly performed foot and ankle procedures. Who is a good candidate for big toe fusion? How long does it take to recover? It may help relieve pain and improve the. Most patients must use crutches after the. Big toe fusion surgery is often recommended for patients suffering from big toearthritis. Running After Toe Fusion.
From www.lapiplasty.com
Big Toe Joint Fusion™ Treace Running After Toe Fusion Big toe fusion surgery is often recommended for patients suffering from big toearthritis and severe bunions. You may need big toe joint fusion surgery if you are suffering from big toe arthritis with symptoms of stiffness, swelling and inflammation. Recovery is going to plan, however i am wondering when or if i can start jogging/running. Big toe fusion surgery has. Running After Toe Fusion.
From www.youtube.com
Gait after Triple Arthrodesis Surgery for PTTD SFISM YouTube Running After Toe Fusion It may help relieve pain and improve the. In this post, i answer most people’s questions regarding the surgery. How long does it take to recover? Big toe fusion surgery has gained traction over the years and is now a common procedure for podiatrists. Most patients can walk after the fusion without putting weight down on the toe. Follow the. Running After Toe Fusion.
From os.clinic
Big toe joint fusion surgery treatment, recovery & longterm impact Running After Toe Fusion Big toe fusion surgery has gained traction over the years and is now a common procedure for podiatrists. How long does it take to recover? It may help relieve pain and improve the. Who is a good candidate for big toe fusion? Big toe joint fusion surgery is one of the most commonly performed foot and ankle procedures. Most patients. Running After Toe Fusion.
From sportsortho.co.uk
Big Toe Fusion London Sports Orthopaedics Running After Toe Fusion Big toe joint fusion surgery is one of the most commonly performed foot and ankle procedures. You may need big toe joint fusion surgery if you are suffering from big toe arthritis with symptoms of stiffness, swelling and inflammation. However in certain instances, when your bone is weaker than. Most patients can walk after the fusion without putting weight down. Running After Toe Fusion.
From milescallahan.com.au
Mr Miles Callahan Great Toe Fusion Running After Toe Fusion Carrying out these regular exercises after your big toe fusion surgery is essential to prevent stiffness in the rest of the foot, restore your range of. Most patients must use crutches after the. Big toe joint fusion surgery is one of the most commonly performed foot and ankle procedures. After a first mtp fusion, most people are able to return. Running After Toe Fusion.
From drdavidshepherd.com.au
Great Toe Fusion David Shepherd Running After Toe Fusion In this post, i answer most people’s questions regarding the surgery. After a first mtp fusion, most people are able to return to an active lifestyle — including walking, hiking, biking, swimming, and jogging — without pain in their toe. Big toe fusion surgery has gained traction over the years and is now a common procedure for podiatrists. It may. Running After Toe Fusion.
From www.davidredfernsurgery.com
1st MTPJ Fusion Big Toe Arthrodesis David Redfern Running After Toe Fusion In this post, i answer most people’s questions regarding the surgery. Who is a good candidate for big toe fusion? After a first mtp fusion, most people are able to return to an active lifestyle — including walking, hiking, biking, swimming, and jogging — without pain in their toe. Recovery is going to plan, however i am wondering when or. Running After Toe Fusion.
From www.youtube.com
Arthrodesis (Big Toe Fusion) Walking Pre and Post Op YouTube Running After Toe Fusion However in certain instances, when your bone is weaker than. Who is a good candidate for big toe fusion? Hi had fusion op on left big toe sep 2014. Big toe fusion surgery has gained traction over the years and is now a common procedure for podiatrists. Big toe joint fusion surgery is one of the most commonly performed foot. Running After Toe Fusion.
From www.drmikesmith.com.au
1st MTP Joint (Big Toe Joint) Fusion Dr Mike Smith Adelaide Running After Toe Fusion You may need big toe joint fusion surgery if you are suffering from big toe arthritis with symptoms of stiffness, swelling and inflammation. Recovery is going to plan, however i am wondering when or if i can start jogging/running. Big toe fusion surgery is often recommended for patients suffering from big toearthritis and severe bunions. How long does it take. Running After Toe Fusion.
From mummyvswork.co.uk
Mid foot fusion surgery 3 weeks on Running After Toe Fusion Most patients must use crutches after the. Recovery is going to plan, however i am wondering when or if i can start jogging/running. Big toe fusion surgery has gained traction over the years and is now a common procedure for podiatrists. Most patients can walk after the fusion without putting weight down on the toe. It may help relieve pain. Running After Toe Fusion.
From www.chicagoanklesurgery.com
Big Toe Fusion — Chicago Foot & Ankle Orthopaedic Surgeons Running After Toe Fusion Most patients can walk after the fusion without putting weight down on the toe. However in certain instances, when your bone is weaker than. Most patients must use crutches after the. How long does it take to recover? You may need big toe joint fusion surgery if you are suffering from big toe arthritis with symptoms of stiffness, swelling and. Running After Toe Fusion.
From cityfootcare.com
Going ToetoToe Fusion vs. Arthroplasty for Hammertoe + Case study of Running After Toe Fusion Big toe fusion surgery has gained traction over the years and is now a common procedure for podiatrists. However in certain instances, when your bone is weaker than. You may need big toe joint fusion surgery if you are suffering from big toe arthritis with symptoms of stiffness, swelling and inflammation. Recovery is going to plan, however i am wondering. Running After Toe Fusion.
From www.lifeslittlesteps.com
Big Toe Joint Fusion Surgery Treatment for Arthritis Pain Running After Toe Fusion Follow the instructions your surgeon gives you about putting weight on the foot. Hi had fusion op on left big toe sep 2014. Big toe fusion surgery has gained traction over the years and is now a common procedure for podiatrists. Big toe fusion surgery is often recommended for patients suffering from big toearthritis and severe bunions. It may help. Running After Toe Fusion.
From www.drmikesmith.com.au
1st MTP Joint (Big Toe Joint) Fusion Dr Mike Smith Adelaide Running After Toe Fusion In this post, i answer most people’s questions regarding the surgery. Carrying out these regular exercises after your big toe fusion surgery is essential to prevent stiffness in the rest of the foot, restore your range of. Hi had fusion op on left big toe sep 2014. Who is a good candidate for big toe fusion? Big toe fusion surgery. Running After Toe Fusion.