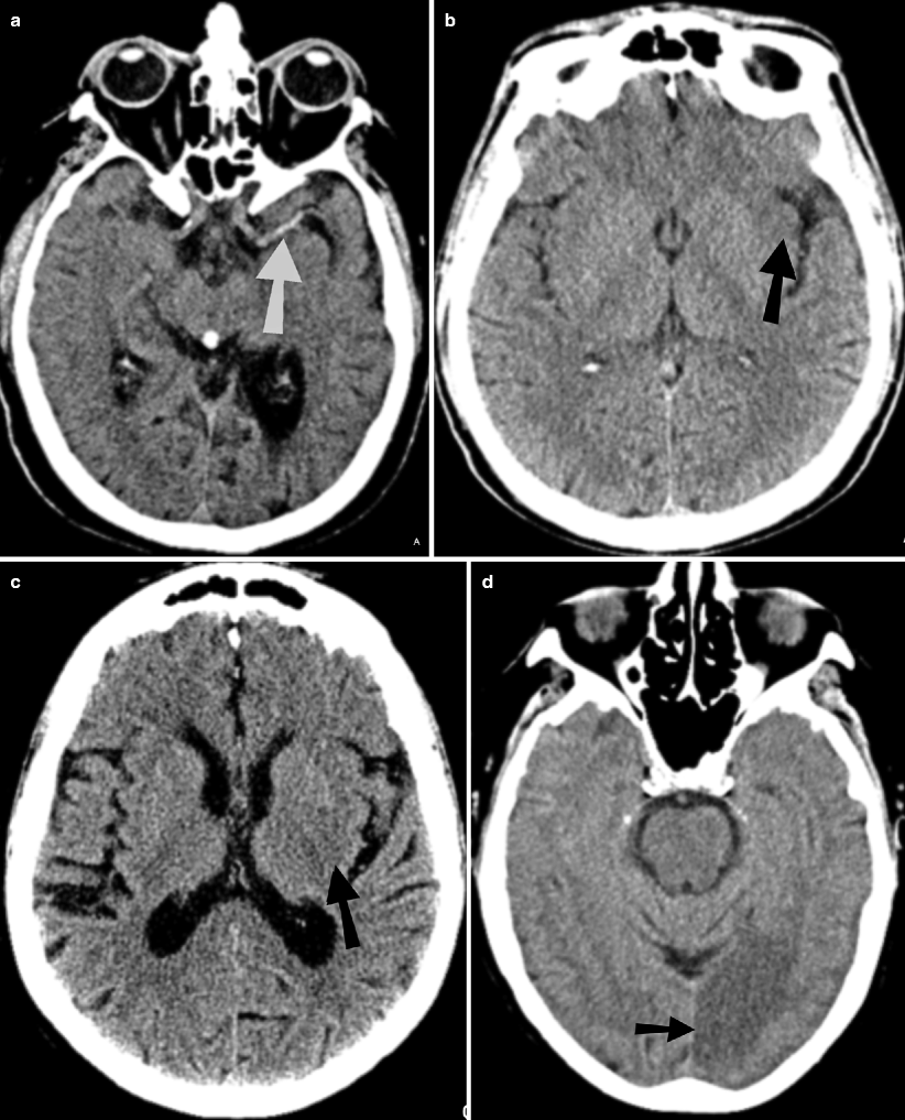
Old Stroke Radiology . Unenhanced ct can be performed quickly, can help identify early signs of stroke, and can help rule out hemorrhage. Exclude hemorrhage differentiate between irreversibly affected brain tissue and. The key to interpreting ct perfusion in the setting of acute ischemic stroke is understanding and identifying the infarct core and. Use of various mr imaging sequences in dating ischemic stroke is discussed, with a brief review of the current and most widely accepted guidelines for thrombolytic and. The goal of imaging in a patient with acute stroke is: In this first article, we review various imaging modalities that are utilized to diagnose acute ischemic stroke. Ncct findings in ischemic stroke depend on the age of infarction: Hyperacute (less than 12 hours), acute (12 to 24 hours), subacute (24 hours to 5 days), and old (within weeks after stroke). The second part, appearing in the november/december 2021 issue.
from www.youtube.com
In this first article, we review various imaging modalities that are utilized to diagnose acute ischemic stroke. Use of various mr imaging sequences in dating ischemic stroke is discussed, with a brief review of the current and most widely accepted guidelines for thrombolytic and. The goal of imaging in a patient with acute stroke is: Exclude hemorrhage differentiate between irreversibly affected brain tissue and. Hyperacute (less than 12 hours), acute (12 to 24 hours), subacute (24 hours to 5 days), and old (within weeks after stroke). The key to interpreting ct perfusion in the setting of acute ischemic stroke is understanding and identifying the infarct core and. Unenhanced ct can be performed quickly, can help identify early signs of stroke, and can help rule out hemorrhage. Ncct findings in ischemic stroke depend on the age of infarction: The second part, appearing in the november/december 2021 issue.
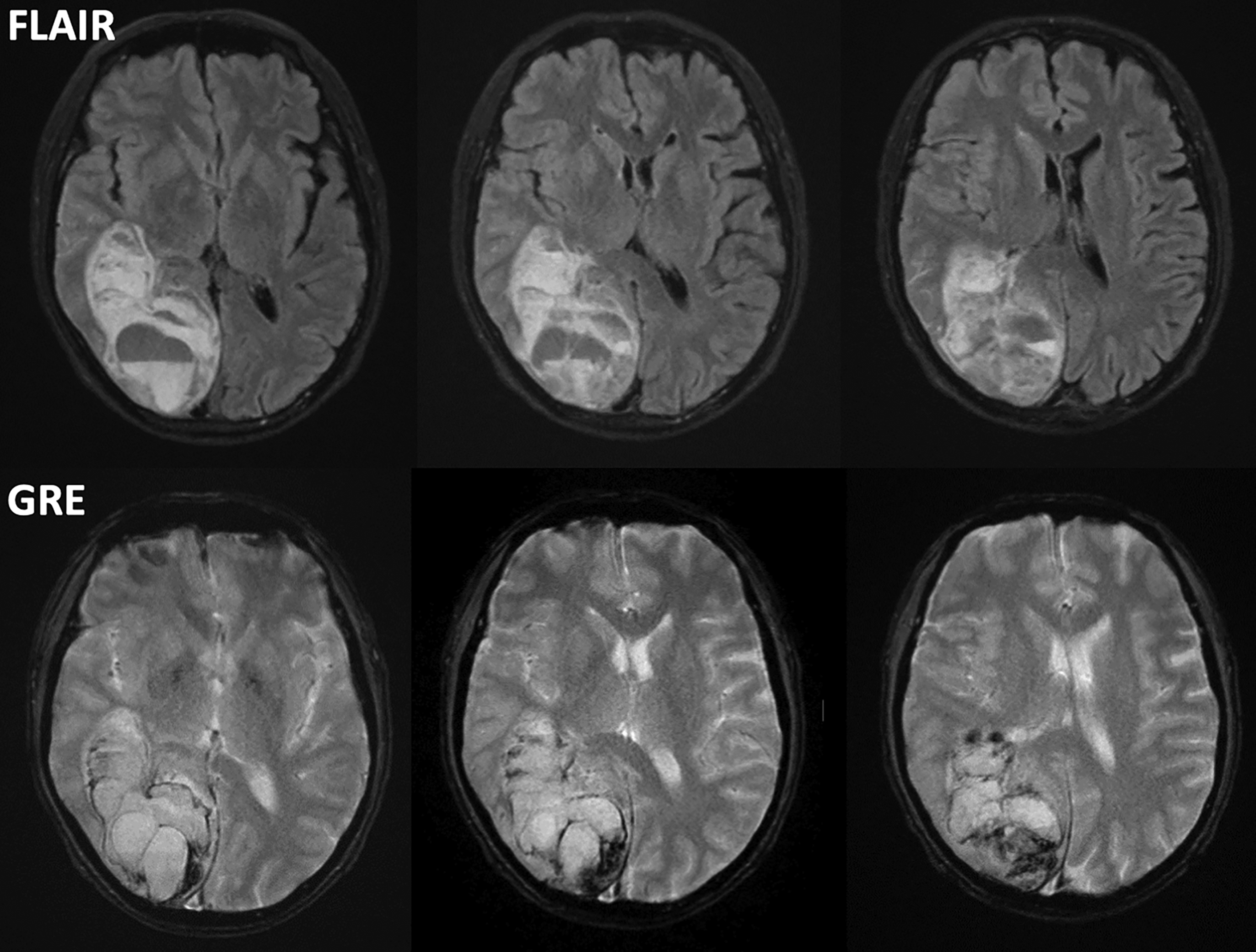
Stroke Haemorrhagic transformation radiology video tutorial (CT, MRI
Old Stroke Radiology Hyperacute (less than 12 hours), acute (12 to 24 hours), subacute (24 hours to 5 days), and old (within weeks after stroke). In this first article, we review various imaging modalities that are utilized to diagnose acute ischemic stroke. Ncct findings in ischemic stroke depend on the age of infarction: Unenhanced ct can be performed quickly, can help identify early signs of stroke, and can help rule out hemorrhage. Hyperacute (less than 12 hours), acute (12 to 24 hours), subacute (24 hours to 5 days), and old (within weeks after stroke). The second part, appearing in the november/december 2021 issue. The goal of imaging in a patient with acute stroke is: The key to interpreting ct perfusion in the setting of acute ischemic stroke is understanding and identifying the infarct core and. Exclude hemorrhage differentiate between irreversibly affected brain tissue and. Use of various mr imaging sequences in dating ischemic stroke is discussed, with a brief review of the current and most widely accepted guidelines for thrombolytic and.
From radiologykey.com
Acute Stroke Imaging Radiology Key Old Stroke Radiology The key to interpreting ct perfusion in the setting of acute ischemic stroke is understanding and identifying the infarct core and. In this first article, we review various imaging modalities that are utilized to diagnose acute ischemic stroke. Exclude hemorrhage differentiate between irreversibly affected brain tissue and. The goal of imaging in a patient with acute stroke is: Unenhanced ct. Old Stroke Radiology.
From radiologykey.com
Stroke Radiology Key Old Stroke Radiology Ncct findings in ischemic stroke depend on the age of infarction: The goal of imaging in a patient with acute stroke is: Hyperacute (less than 12 hours), acute (12 to 24 hours), subacute (24 hours to 5 days), and old (within weeks after stroke). Exclude hemorrhage differentiate between irreversibly affected brain tissue and. The second part, appearing in the november/december. Old Stroke Radiology.
From www.ahajournals.org
Watershed Strokes After Cardiac Surgery Stroke Old Stroke Radiology Hyperacute (less than 12 hours), acute (12 to 24 hours), subacute (24 hours to 5 days), and old (within weeks after stroke). Exclude hemorrhage differentiate between irreversibly affected brain tissue and. The second part, appearing in the november/december 2021 issue. Ncct findings in ischemic stroke depend on the age of infarction: In this first article, we review various imaging modalities. Old Stroke Radiology.
From www.medicinejournal.co.uk
Stroke in the acute setting Medicine Old Stroke Radiology In this first article, we review various imaging modalities that are utilized to diagnose acute ischemic stroke. Hyperacute (less than 12 hours), acute (12 to 24 hours), subacute (24 hours to 5 days), and old (within weeks after stroke). Ncct findings in ischemic stroke depend on the age of infarction: Exclude hemorrhage differentiate between irreversibly affected brain tissue and. The. Old Stroke Radiology.
From www.ahajournals.org
Imaging Advances Stroke Old Stroke Radiology Unenhanced ct can be performed quickly, can help identify early signs of stroke, and can help rule out hemorrhage. Exclude hemorrhage differentiate between irreversibly affected brain tissue and. Ncct findings in ischemic stroke depend on the age of infarction: The second part, appearing in the november/december 2021 issue. Hyperacute (less than 12 hours), acute (12 to 24 hours), subacute (24. Old Stroke Radiology.
From www.sciencephoto.com
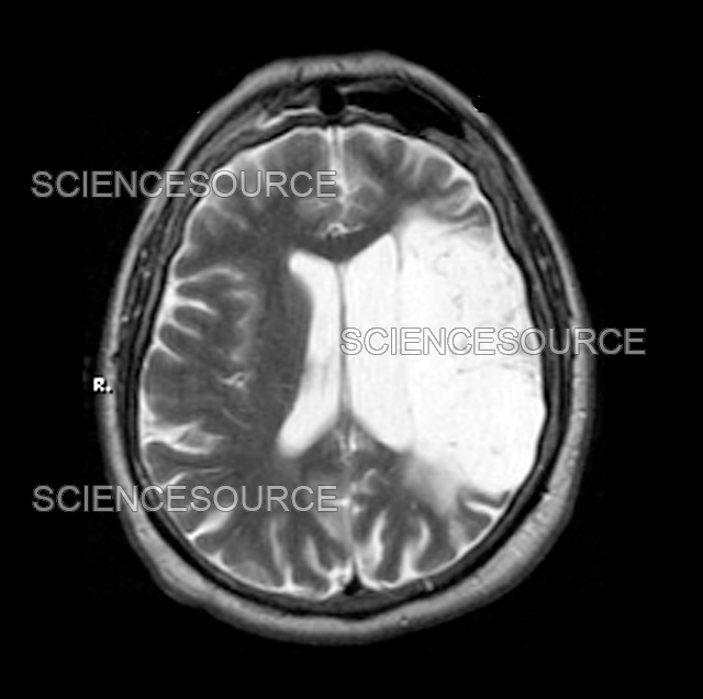
Old Stroke, MRI Stock Image C004/7487 Science Photo Library Old Stroke Radiology The second part, appearing in the november/december 2021 issue. Use of various mr imaging sequences in dating ischemic stroke is discussed, with a brief review of the current and most widely accepted guidelines for thrombolytic and. Hyperacute (less than 12 hours), acute (12 to 24 hours), subacute (24 hours to 5 days), and old (within weeks after stroke). The key. Old Stroke Radiology.
From ar.inspiredpencil.com
Stroke Brain Mri Old Stroke Radiology Hyperacute (less than 12 hours), acute (12 to 24 hours), subacute (24 hours to 5 days), and old (within weeks after stroke). In this first article, we review various imaging modalities that are utilized to diagnose acute ischemic stroke. The key to interpreting ct perfusion in the setting of acute ischemic stroke is understanding and identifying the infarct core and.. Old Stroke Radiology.
From www.researchgate.net
MR imaging in posterior circulation stroke before (ac) and after (df Old Stroke Radiology Ncct findings in ischemic stroke depend on the age of infarction: Hyperacute (less than 12 hours), acute (12 to 24 hours), subacute (24 hours to 5 days), and old (within weeks after stroke). In this first article, we review various imaging modalities that are utilized to diagnose acute ischemic stroke. Exclude hemorrhage differentiate between irreversibly affected brain tissue and. Unenhanced. Old Stroke Radiology.
From jnnp.bmj.com
RADIOLOGY OF STROKE Journal of Neurology, Neurosurgery & Psychiatry Old Stroke Radiology Hyperacute (less than 12 hours), acute (12 to 24 hours), subacute (24 hours to 5 days), and old (within weeks after stroke). Ncct findings in ischemic stroke depend on the age of infarction: Unenhanced ct can be performed quickly, can help identify early signs of stroke, and can help rule out hemorrhage. In this first article, we review various imaging. Old Stroke Radiology.
From www.neuroimaging.theclinics.com
Acute Ischemic Stroke Neuroimaging Clinics Old Stroke Radiology The goal of imaging in a patient with acute stroke is: The key to interpreting ct perfusion in the setting of acute ischemic stroke is understanding and identifying the infarct core and. Ncct findings in ischemic stroke depend on the age of infarction: Unenhanced ct can be performed quickly, can help identify early signs of stroke, and can help rule. Old Stroke Radiology.
From radiologykey.com
Acute Stroke Imaging Radiology Key Old Stroke Radiology In this first article, we review various imaging modalities that are utilized to diagnose acute ischemic stroke. The key to interpreting ct perfusion in the setting of acute ischemic stroke is understanding and identifying the infarct core and. Ncct findings in ischemic stroke depend on the age of infarction: Use of various mr imaging sequences in dating ischemic stroke is. Old Stroke Radiology.
From radiologykey.com
Acute Stroke Imaging Radiology Key Old Stroke Radiology In this first article, we review various imaging modalities that are utilized to diagnose acute ischemic stroke. The second part, appearing in the november/december 2021 issue. The goal of imaging in a patient with acute stroke is: Exclude hemorrhage differentiate between irreversibly affected brain tissue and. Use of various mr imaging sequences in dating ischemic stroke is discussed, with a. Old Stroke Radiology.
From www.sciencephoto.com
Old Stroke, MRI Stock Image C004/7485 Science Photo Library Old Stroke Radiology Ncct findings in ischemic stroke depend on the age of infarction: Hyperacute (less than 12 hours), acute (12 to 24 hours), subacute (24 hours to 5 days), and old (within weeks after stroke). Use of various mr imaging sequences in dating ischemic stroke is discussed, with a brief review of the current and most widely accepted guidelines for thrombolytic and.. Old Stroke Radiology.
From jnnp.bmj.com
RADIOLOGY OF STROKE Journal of Neurology, Neurosurgery & Psychiatry Old Stroke Radiology The key to interpreting ct perfusion in the setting of acute ischemic stroke is understanding and identifying the infarct core and. Unenhanced ct can be performed quickly, can help identify early signs of stroke, and can help rule out hemorrhage. Exclude hemorrhage differentiate between irreversibly affected brain tissue and. Ncct findings in ischemic stroke depend on the age of infarction:. Old Stroke Radiology.
From jamanetwork.com
Stroke Imaging Cerebrovascular Disease JAMA JAMA Network Old Stroke Radiology Unenhanced ct can be performed quickly, can help identify early signs of stroke, and can help rule out hemorrhage. Ncct findings in ischemic stroke depend on the age of infarction: The second part, appearing in the november/december 2021 issue. The goal of imaging in a patient with acute stroke is: The key to interpreting ct perfusion in the setting of. Old Stroke Radiology.
From www.wikidoc.org
Stroke CT scan wikidoc Old Stroke Radiology The second part, appearing in the november/december 2021 issue. Hyperacute (less than 12 hours), acute (12 to 24 hours), subacute (24 hours to 5 days), and old (within weeks after stroke). Use of various mr imaging sequences in dating ischemic stroke is discussed, with a brief review of the current and most widely accepted guidelines for thrombolytic and. In this. Old Stroke Radiology.
From radiologykey.com
Acute Ischemic Stroke Radiology Key Old Stroke Radiology Ncct findings in ischemic stroke depend on the age of infarction: The goal of imaging in a patient with acute stroke is: The second part, appearing in the november/december 2021 issue. Unenhanced ct can be performed quickly, can help identify early signs of stroke, and can help rule out hemorrhage. The key to interpreting ct perfusion in the setting of. Old Stroke Radiology.
From www.ahajournals.org
MRI Detection of Early BloodBrain Barrier Disruption Stroke Old Stroke Radiology In this first article, we review various imaging modalities that are utilized to diagnose acute ischemic stroke. Ncct findings in ischemic stroke depend on the age of infarction: The second part, appearing in the november/december 2021 issue. The key to interpreting ct perfusion in the setting of acute ischemic stroke is understanding and identifying the infarct core and. Use of. Old Stroke Radiology.
From www.medpagetoday.com
Cardiology Strokesarticles page [2] MedPage Today Old Stroke Radiology The key to interpreting ct perfusion in the setting of acute ischemic stroke is understanding and identifying the infarct core and. Hyperacute (less than 12 hours), acute (12 to 24 hours), subacute (24 hours to 5 days), and old (within weeks after stroke). The second part, appearing in the november/december 2021 issue. Use of various mr imaging sequences in dating. Old Stroke Radiology.
From www.icuanswers.com
Ischemic Stroke Old Stroke Radiology Ncct findings in ischemic stroke depend on the age of infarction: The second part, appearing in the november/december 2021 issue. Unenhanced ct can be performed quickly, can help identify early signs of stroke, and can help rule out hemorrhage. Hyperacute (less than 12 hours), acute (12 to 24 hours), subacute (24 hours to 5 days), and old (within weeks after. Old Stroke Radiology.
From radiologykey.com
Acute Ischemic Stroke Radiology Key Old Stroke Radiology Unenhanced ct can be performed quickly, can help identify early signs of stroke, and can help rule out hemorrhage. The second part, appearing in the november/december 2021 issue. Use of various mr imaging sequences in dating ischemic stroke is discussed, with a brief review of the current and most widely accepted guidelines for thrombolytic and. In this first article, we. Old Stroke Radiology.
From www.ahajournals.org
A Standardized MRI Stroke Protocol Stroke Old Stroke Radiology Ncct findings in ischemic stroke depend on the age of infarction: In this first article, we review various imaging modalities that are utilized to diagnose acute ischemic stroke. Hyperacute (less than 12 hours), acute (12 to 24 hours), subacute (24 hours to 5 days), and old (within weeks after stroke). The goal of imaging in a patient with acute stroke. Old Stroke Radiology.
From www.ahajournals.org
Hemorrhagic Focus Within the Recent Small Subcortical Infarcts on Long Old Stroke Radiology The second part, appearing in the november/december 2021 issue. Exclude hemorrhage differentiate between irreversibly affected brain tissue and. Unenhanced ct can be performed quickly, can help identify early signs of stroke, and can help rule out hemorrhage. Use of various mr imaging sequences in dating ischemic stroke is discussed, with a brief review of the current and most widely accepted. Old Stroke Radiology.
From radiologykey.com
Stroke Radiology Key Old Stroke Radiology The second part, appearing in the november/december 2021 issue. Exclude hemorrhage differentiate between irreversibly affected brain tissue and. The goal of imaging in a patient with acute stroke is: Ncct findings in ischemic stroke depend on the age of infarction: Unenhanced ct can be performed quickly, can help identify early signs of stroke, and can help rule out hemorrhage. Use. Old Stroke Radiology.
From radiologykey.com
Stroke and Its Imaging Evaluation Radiology Key Old Stroke Radiology Ncct findings in ischemic stroke depend on the age of infarction: Exclude hemorrhage differentiate between irreversibly affected brain tissue and. The second part, appearing in the november/december 2021 issue. Hyperacute (less than 12 hours), acute (12 to 24 hours), subacute (24 hours to 5 days), and old (within weeks after stroke). In this first article, we review various imaging modalities. Old Stroke Radiology.
From www.youtube.com
Diagnosing strokes with imaging CT, MRI, and Angiography NCLEXRN Old Stroke Radiology Ncct findings in ischemic stroke depend on the age of infarction: Hyperacute (less than 12 hours), acute (12 to 24 hours), subacute (24 hours to 5 days), and old (within weeks after stroke). In this first article, we review various imaging modalities that are utilized to diagnose acute ischemic stroke. The goal of imaging in a patient with acute stroke. Old Stroke Radiology.
From jnnp.bmj.com
RADIOLOGY OF STROKE Journal of Neurology, Neurosurgery & Psychiatry Old Stroke Radiology Unenhanced ct can be performed quickly, can help identify early signs of stroke, and can help rule out hemorrhage. The second part, appearing in the november/december 2021 issue. Ncct findings in ischemic stroke depend on the age of infarction: The goal of imaging in a patient with acute stroke is: Hyperacute (less than 12 hours), acute (12 to 24 hours),. Old Stroke Radiology.
From www.ahajournals.org
Identification of Embolic Stroke Patterns by DiffusionWeighted MRI in Old Stroke Radiology Exclude hemorrhage differentiate between irreversibly affected brain tissue and. The second part, appearing in the november/december 2021 issue. The key to interpreting ct perfusion in the setting of acute ischemic stroke is understanding and identifying the infarct core and. The goal of imaging in a patient with acute stroke is: Unenhanced ct can be performed quickly, can help identify early. Old Stroke Radiology.
From radiologykey.com
Stroke Radiology Key Old Stroke Radiology The second part, appearing in the november/december 2021 issue. The goal of imaging in a patient with acute stroke is: In this first article, we review various imaging modalities that are utilized to diagnose acute ischemic stroke. Exclude hemorrhage differentiate between irreversibly affected brain tissue and. Ncct findings in ischemic stroke depend on the age of infarction: Hyperacute (less than. Old Stroke Radiology.
From radiologykey.com
Stroke Radiology Key Old Stroke Radiology Exclude hemorrhage differentiate between irreversibly affected brain tissue and. The key to interpreting ct perfusion in the setting of acute ischemic stroke is understanding and identifying the infarct core and. The goal of imaging in a patient with acute stroke is: Hyperacute (less than 12 hours), acute (12 to 24 hours), subacute (24 hours to 5 days), and old (within. Old Stroke Radiology.
From ar.inspiredpencil.com
Stroke Ct Scan Old Stroke Radiology Hyperacute (less than 12 hours), acute (12 to 24 hours), subacute (24 hours to 5 days), and old (within weeks after stroke). Unenhanced ct can be performed quickly, can help identify early signs of stroke, and can help rule out hemorrhage. Exclude hemorrhage differentiate between irreversibly affected brain tissue and. In this first article, we review various imaging modalities that. Old Stroke Radiology.
From www.wikidoc.org
Epilepsy MRI wikidoc Old Stroke Radiology The second part, appearing in the november/december 2021 issue. The goal of imaging in a patient with acute stroke is: Hyperacute (less than 12 hours), acute (12 to 24 hours), subacute (24 hours to 5 days), and old (within weeks after stroke). In this first article, we review various imaging modalities that are utilized to diagnose acute ischemic stroke. Use. Old Stroke Radiology.
From www.sciencesource.com
Photograph Old Stroke, MRI Science Source Images Old Stroke Radiology Exclude hemorrhage differentiate between irreversibly affected brain tissue and. Hyperacute (less than 12 hours), acute (12 to 24 hours), subacute (24 hours to 5 days), and old (within weeks after stroke). Unenhanced ct can be performed quickly, can help identify early signs of stroke, and can help rule out hemorrhage. The goal of imaging in a patient with acute stroke. Old Stroke Radiology.
From radiologykey.com
Imaging Stroke Patients with Unclear Onset Times Radiology Key Old Stroke Radiology Hyperacute (less than 12 hours), acute (12 to 24 hours), subacute (24 hours to 5 days), and old (within weeks after stroke). In this first article, we review various imaging modalities that are utilized to diagnose acute ischemic stroke. The second part, appearing in the november/december 2021 issue. Use of various mr imaging sequences in dating ischemic stroke is discussed,. Old Stroke Radiology.
From www.youtube.com
Stroke Haemorrhagic transformation radiology video tutorial (CT, MRI Old Stroke Radiology Ncct findings in ischemic stroke depend on the age of infarction: The goal of imaging in a patient with acute stroke is: Exclude hemorrhage differentiate between irreversibly affected brain tissue and. The second part, appearing in the november/december 2021 issue. In this first article, we review various imaging modalities that are utilized to diagnose acute ischemic stroke. Use of various. Old Stroke Radiology.