What Is A Partial Thickness Tear Of Gluteus Medius Tendon . The most typical symptom is pain down the side of your hip and through the buttocks. It may hurt more after sitting for lengthy periods or after exercising. A gluteal tendon tear is a painful condition that affects the muscle and tendon of the buttock. This review article summarizes the anatomy, clinical presentation, and treatment options for gluteus medius and minimus tears,. Learn about the presentation, imaging and surgical options for gluteus medius tears, a common cause of lateral hip pain. Common symptoms of gluteal tears. Tears in the gluteus medius and minimus tendons, often misdiagnosed as trochanteric bursitis, have recently emerged as an important cause of recalcitrant greater. Find out how endoscopic and open repair can improve pain and abductor. Learn about the anatomy, diagnosis, and treatment options, including exercise, prp injections, and surgery.
from cambridgeshoulder.co.uk
It may hurt more after sitting for lengthy periods or after exercising. Learn about the anatomy, diagnosis, and treatment options, including exercise, prp injections, and surgery. Common symptoms of gluteal tears. Find out how endoscopic and open repair can improve pain and abductor. A gluteal tendon tear is a painful condition that affects the muscle and tendon of the buttock. This review article summarizes the anatomy, clinical presentation, and treatment options for gluteus medius and minimus tears,. The most typical symptom is pain down the side of your hip and through the buttocks. Learn about the presentation, imaging and surgical options for gluteus medius tears, a common cause of lateral hip pain. Tears in the gluteus medius and minimus tendons, often misdiagnosed as trochanteric bursitis, have recently emerged as an important cause of recalcitrant greater.
Fig 9. Partial Thickness Tear Cambridge Shoulder
What Is A Partial Thickness Tear Of Gluteus Medius Tendon Learn about the presentation, imaging and surgical options for gluteus medius tears, a common cause of lateral hip pain. It may hurt more after sitting for lengthy periods or after exercising. The most typical symptom is pain down the side of your hip and through the buttocks. A gluteal tendon tear is a painful condition that affects the muscle and tendon of the buttock. Learn about the presentation, imaging and surgical options for gluteus medius tears, a common cause of lateral hip pain. Find out how endoscopic and open repair can improve pain and abductor. Tears in the gluteus medius and minimus tendons, often misdiagnosed as trochanteric bursitis, have recently emerged as an important cause of recalcitrant greater. Learn about the anatomy, diagnosis, and treatment options, including exercise, prp injections, and surgery. This review article summarizes the anatomy, clinical presentation, and treatment options for gluteus medius and minimus tears,. Common symptoms of gluteal tears.
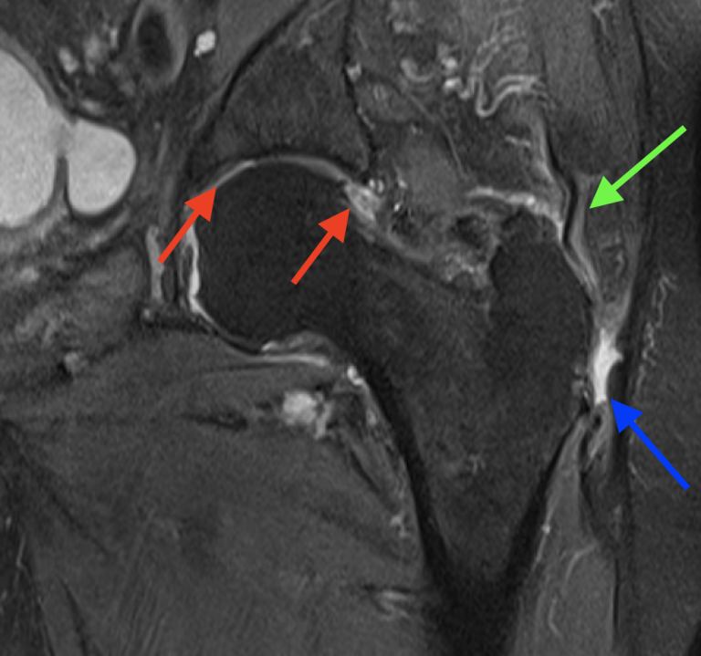
From mavink.com
Gluteus Medius Tear Ultrasound What Is A Partial Thickness Tear Of Gluteus Medius Tendon Learn about the anatomy, diagnosis, and treatment options, including exercise, prp injections, and surgery. Tears in the gluteus medius and minimus tendons, often misdiagnosed as trochanteric bursitis, have recently emerged as an important cause of recalcitrant greater. This review article summarizes the anatomy, clinical presentation, and treatment options for gluteus medius and minimus tears,. Learn about the presentation, imaging and. What Is A Partial Thickness Tear Of Gluteus Medius Tendon.
From www.vrogue.co
Gluteus Medius Tendon Tear Mri Images And Photos Find vrogue.co What Is A Partial Thickness Tear Of Gluteus Medius Tendon A gluteal tendon tear is a painful condition that affects the muscle and tendon of the buttock. This review article summarizes the anatomy, clinical presentation, and treatment options for gluteus medius and minimus tears,. Learn about the presentation, imaging and surgical options for gluteus medius tears, a common cause of lateral hip pain. The most typical symptom is pain down. What Is A Partial Thickness Tear Of Gluteus Medius Tendon.
From cambridgeshoulder.co.uk
Fig 9. Partial Thickness Tear Cambridge Shoulder What Is A Partial Thickness Tear Of Gluteus Medius Tendon Learn about the presentation, imaging and surgical options for gluteus medius tears, a common cause of lateral hip pain. Find out how endoscopic and open repair can improve pain and abductor. Learn about the anatomy, diagnosis, and treatment options, including exercise, prp injections, and surgery. The most typical symptom is pain down the side of your hip and through the. What Is A Partial Thickness Tear Of Gluteus Medius Tendon.
From www.researchgate.net
ac Fullthickness tear of gluteus medius in a 71yearold woman. a What Is A Partial Thickness Tear Of Gluteus Medius Tendon Learn about the anatomy, diagnosis, and treatment options, including exercise, prp injections, and surgery. Tears in the gluteus medius and minimus tendons, often misdiagnosed as trochanteric bursitis, have recently emerged as an important cause of recalcitrant greater. Find out how endoscopic and open repair can improve pain and abductor. This review article summarizes the anatomy, clinical presentation, and treatment options. What Is A Partial Thickness Tear Of Gluteus Medius Tendon.
From www.arthroscopytechniques.org
Repair of Symptomatic Partial Gluteus Medius Tear During Total Hip What Is A Partial Thickness Tear Of Gluteus Medius Tendon A gluteal tendon tear is a painful condition that affects the muscle and tendon of the buttock. The most typical symptom is pain down the side of your hip and through the buttocks. Learn about the presentation, imaging and surgical options for gluteus medius tears, a common cause of lateral hip pain. Learn about the anatomy, diagnosis, and treatment options,. What Is A Partial Thickness Tear Of Gluteus Medius Tendon.
From mavink.com
Gluteus Medius Side View What Is A Partial Thickness Tear Of Gluteus Medius Tendon Learn about the anatomy, diagnosis, and treatment options, including exercise, prp injections, and surgery. It may hurt more after sitting for lengthy periods or after exercising. Find out how endoscopic and open repair can improve pain and abductor. Learn about the presentation, imaging and surgical options for gluteus medius tears, a common cause of lateral hip pain. This review article. What Is A Partial Thickness Tear Of Gluteus Medius Tendon.
From www.ajronline.org
MRI Diagnosis of Tears of the Hip Abductor Tendons (Gluteus Medius and What Is A Partial Thickness Tear Of Gluteus Medius Tendon Learn about the presentation, imaging and surgical options for gluteus medius tears, a common cause of lateral hip pain. It may hurt more after sitting for lengthy periods or after exercising. Common symptoms of gluteal tears. The most typical symptom is pain down the side of your hip and through the buttocks. This review article summarizes the anatomy, clinical presentation,. What Is A Partial Thickness Tear Of Gluteus Medius Tendon.
From www.researchgate.net
(PDF) PartialThickness Tears of the Gluteus Medius Rationale and What Is A Partial Thickness Tear Of Gluteus Medius Tendon This review article summarizes the anatomy, clinical presentation, and treatment options for gluteus medius and minimus tears,. Tears in the gluteus medius and minimus tendons, often misdiagnosed as trochanteric bursitis, have recently emerged as an important cause of recalcitrant greater. Common symptoms of gluteal tears. It may hurt more after sitting for lengthy periods or after exercising. Find out how. What Is A Partial Thickness Tear Of Gluteus Medius Tendon.
From mungfali.com
Gluteus Medius Tendon Tear What Is A Partial Thickness Tear Of Gluteus Medius Tendon Tears in the gluteus medius and minimus tendons, often misdiagnosed as trochanteric bursitis, have recently emerged as an important cause of recalcitrant greater. It may hurt more after sitting for lengthy periods or after exercising. Learn about the anatomy, diagnosis, and treatment options, including exercise, prp injections, and surgery. Learn about the presentation, imaging and surgical options for gluteus medius. What Is A Partial Thickness Tear Of Gluteus Medius Tendon.
From www.arthrex.com
Arthrex PartialThickness Gluteus Medius Repair Using the 2.6 What Is A Partial Thickness Tear Of Gluteus Medius Tendon Find out how endoscopic and open repair can improve pain and abductor. This review article summarizes the anatomy, clinical presentation, and treatment options for gluteus medius and minimus tears,. The most typical symptom is pain down the side of your hip and through the buttocks. A gluteal tendon tear is a painful condition that affects the muscle and tendon of. What Is A Partial Thickness Tear Of Gluteus Medius Tendon.
From www.arthroscopytechniques.org
Endoscopic Repair of a Gluteus Medius Tear at the Musculotendinous What Is A Partial Thickness Tear Of Gluteus Medius Tendon A gluteal tendon tear is a painful condition that affects the muscle and tendon of the buttock. This review article summarizes the anatomy, clinical presentation, and treatment options for gluteus medius and minimus tears,. Tears in the gluteus medius and minimus tendons, often misdiagnosed as trochanteric bursitis, have recently emerged as an important cause of recalcitrant greater. Learn about the. What Is A Partial Thickness Tear Of Gluteus Medius Tendon.
From www.youtube.com
Gluteus Medius Tendon Tears YouTube What Is A Partial Thickness Tear Of Gluteus Medius Tendon Learn about the anatomy, diagnosis, and treatment options, including exercise, prp injections, and surgery. The most typical symptom is pain down the side of your hip and through the buttocks. Common symptoms of gluteal tears. Tears in the gluteus medius and minimus tendons, often misdiagnosed as trochanteric bursitis, have recently emerged as an important cause of recalcitrant greater. A gluteal. What Is A Partial Thickness Tear Of Gluteus Medius Tendon.
From ilchiro.org
Is It a FullThickness or a PartialThickness Tear of the Rotator Cuff What Is A Partial Thickness Tear Of Gluteus Medius Tendon It may hurt more after sitting for lengthy periods or after exercising. Learn about the anatomy, diagnosis, and treatment options, including exercise, prp injections, and surgery. A gluteal tendon tear is a painful condition that affects the muscle and tendon of the buttock. Learn about the presentation, imaging and surgical options for gluteus medius tears, a common cause of lateral. What Is A Partial Thickness Tear Of Gluteus Medius Tendon.
From ar.inspiredpencil.com
Gluteus Medius Tear What Is A Partial Thickness Tear Of Gluteus Medius Tendon Tears in the gluteus medius and minimus tendons, often misdiagnosed as trochanteric bursitis, have recently emerged as an important cause of recalcitrant greater. Find out how endoscopic and open repair can improve pain and abductor. The most typical symptom is pain down the side of your hip and through the buttocks. This review article summarizes the anatomy, clinical presentation, and. What Is A Partial Thickness Tear Of Gluteus Medius Tendon.
From ar.inspiredpencil.com
Gluteus Medius Tear What Is A Partial Thickness Tear Of Gluteus Medius Tendon Learn about the anatomy, diagnosis, and treatment options, including exercise, prp injections, and surgery. A gluteal tendon tear is a painful condition that affects the muscle and tendon of the buttock. Common symptoms of gluteal tears. Learn about the presentation, imaging and surgical options for gluteus medius tears, a common cause of lateral hip pain. Find out how endoscopic and. What Is A Partial Thickness Tear Of Gluteus Medius Tendon.
From www.researchgate.net
(PDF) A Comparison of After Endoscopic Repair of Partial What Is A Partial Thickness Tear Of Gluteus Medius Tendon The most typical symptom is pain down the side of your hip and through the buttocks. Common symptoms of gluteal tears. Find out how endoscopic and open repair can improve pain and abductor. A gluteal tendon tear is a painful condition that affects the muscle and tendon of the buttock. This review article summarizes the anatomy, clinical presentation, and treatment. What Is A Partial Thickness Tear Of Gluteus Medius Tendon.
From study.com
Gluteus Medius Tear Symptoms, Diagnosis & Treatment Lesson What Is A Partial Thickness Tear Of Gluteus Medius Tendon Common symptoms of gluteal tears. Learn about the anatomy, diagnosis, and treatment options, including exercise, prp injections, and surgery. The most typical symptom is pain down the side of your hip and through the buttocks. Learn about the presentation, imaging and surgical options for gluteus medius tears, a common cause of lateral hip pain. This review article summarizes the anatomy,. What Is A Partial Thickness Tear Of Gluteus Medius Tendon.
From www.vrogue.co
Acute Gluteus Medius And Minimus Intramuscular Tear I vrogue.co What Is A Partial Thickness Tear Of Gluteus Medius Tendon This review article summarizes the anatomy, clinical presentation, and treatment options for gluteus medius and minimus tears,. Learn about the anatomy, diagnosis, and treatment options, including exercise, prp injections, and surgery. A gluteal tendon tear is a painful condition that affects the muscle and tendon of the buttock. It may hurt more after sitting for lengthy periods or after exercising.. What Is A Partial Thickness Tear Of Gluteus Medius Tendon.
From www.ochsnerjournal.org
Acute Traumatic Tear of the Gluteus Medius and Gluteus Minimus in a What Is A Partial Thickness Tear Of Gluteus Medius Tendon Learn about the anatomy, diagnosis, and treatment options, including exercise, prp injections, and surgery. Tears in the gluteus medius and minimus tendons, often misdiagnosed as trochanteric bursitis, have recently emerged as an important cause of recalcitrant greater. This review article summarizes the anatomy, clinical presentation, and treatment options for gluteus medius and minimus tears,. Learn about the presentation, imaging and. What Is A Partial Thickness Tear Of Gluteus Medius Tendon.
From www.arthrex.com
Arthrex Gluteus Medius Tear What Is A Partial Thickness Tear Of Gluteus Medius Tendon Find out how endoscopic and open repair can improve pain and abductor. This review article summarizes the anatomy, clinical presentation, and treatment options for gluteus medius and minimus tears,. Learn about the presentation, imaging and surgical options for gluteus medius tears, a common cause of lateral hip pain. It may hurt more after sitting for lengthy periods or after exercising.. What Is A Partial Thickness Tear Of Gluteus Medius Tendon.
From www.arthroscopyjournal.org
PartialThickness Tears of the Gluteus Medius Rationale and Technique What Is A Partial Thickness Tear Of Gluteus Medius Tendon The most typical symptom is pain down the side of your hip and through the buttocks. Common symptoms of gluteal tears. Learn about the anatomy, diagnosis, and treatment options, including exercise, prp injections, and surgery. Learn about the presentation, imaging and surgical options for gluteus medius tears, a common cause of lateral hip pain. This review article summarizes the anatomy,. What Is A Partial Thickness Tear Of Gluteus Medius Tendon.
From www.arthroscopytechniques.org
Surgical Treatment of Gluteus Medius Tears Augmented With Allograft What Is A Partial Thickness Tear Of Gluteus Medius Tendon Common symptoms of gluteal tears. A gluteal tendon tear is a painful condition that affects the muscle and tendon of the buttock. Learn about the anatomy, diagnosis, and treatment options, including exercise, prp injections, and surgery. Learn about the presentation, imaging and surgical options for gluteus medius tears, a common cause of lateral hip pain. Find out how endoscopic and. What Is A Partial Thickness Tear Of Gluteus Medius Tendon.
From www.arthroscopyjournal.org
PartialThickness Tears of the Gluteus Medius Rationale and Technique What Is A Partial Thickness Tear Of Gluteus Medius Tendon Find out how endoscopic and open repair can improve pain and abductor. Tears in the gluteus medius and minimus tendons, often misdiagnosed as trochanteric bursitis, have recently emerged as an important cause of recalcitrant greater. A gluteal tendon tear is a painful condition that affects the muscle and tendon of the buttock. Learn about the anatomy, diagnosis, and treatment options,. What Is A Partial Thickness Tear Of Gluteus Medius Tendon.
From www.vrogue.co
Figure 2 From Acute Traumatic Tear Of The Gluteus Med vrogue.co What Is A Partial Thickness Tear Of Gluteus Medius Tendon Tears in the gluteus medius and minimus tendons, often misdiagnosed as trochanteric bursitis, have recently emerged as an important cause of recalcitrant greater. Learn about the presentation, imaging and surgical options for gluteus medius tears, a common cause of lateral hip pain. Common symptoms of gluteal tears. It may hurt more after sitting for lengthy periods or after exercising. A. What Is A Partial Thickness Tear Of Gluteus Medius Tendon.
From www.vrogue.co
Mri Diagnosis Of Tears Of The Hip Abductor Tendons Gl vrogue.co What Is A Partial Thickness Tear Of Gluteus Medius Tendon Tears in the gluteus medius and minimus tendons, often misdiagnosed as trochanteric bursitis, have recently emerged as an important cause of recalcitrant greater. It may hurt more after sitting for lengthy periods or after exercising. Learn about the presentation, imaging and surgical options for gluteus medius tears, a common cause of lateral hip pain. This review article summarizes the anatomy,. What Is A Partial Thickness Tear Of Gluteus Medius Tendon.
From www.arthroscopyjournal.org
Surgical Treatment of Gluteus Medius Tears Arthroscopy What Is A Partial Thickness Tear Of Gluteus Medius Tendon The most typical symptom is pain down the side of your hip and through the buttocks. A gluteal tendon tear is a painful condition that affects the muscle and tendon of the buttock. It may hurt more after sitting for lengthy periods or after exercising. This review article summarizes the anatomy, clinical presentation, and treatment options for gluteus medius and. What Is A Partial Thickness Tear Of Gluteus Medius Tendon.
From www.youtube.com
Gluteus Medius Tendon Tear Everything You Need To Know Dr. Nabil What Is A Partial Thickness Tear Of Gluteus Medius Tendon This review article summarizes the anatomy, clinical presentation, and treatment options for gluteus medius and minimus tears,. Common symptoms of gluteal tears. Learn about the anatomy, diagnosis, and treatment options, including exercise, prp injections, and surgery. Learn about the presentation, imaging and surgical options for gluteus medius tears, a common cause of lateral hip pain. The most typical symptom is. What Is A Partial Thickness Tear Of Gluteus Medius Tendon.
From orthoneuro.com
Gluteus Medius Tear Treatment in Columbus, OH OrthoNeuro What Is A Partial Thickness Tear Of Gluteus Medius Tendon Common symptoms of gluteal tears. Learn about the anatomy, diagnosis, and treatment options, including exercise, prp injections, and surgery. It may hurt more after sitting for lengthy periods or after exercising. This review article summarizes the anatomy, clinical presentation, and treatment options for gluteus medius and minimus tears,. Tears in the gluteus medius and minimus tendons, often misdiagnosed as trochanteric. What Is A Partial Thickness Tear Of Gluteus Medius Tendon.
From www.researchgate.net
(A) Isolated partialthickness gluteus medius tear. T2weighted coronal What Is A Partial Thickness Tear Of Gluteus Medius Tendon The most typical symptom is pain down the side of your hip and through the buttocks. Learn about the anatomy, diagnosis, and treatment options, including exercise, prp injections, and surgery. Common symptoms of gluteal tears. This review article summarizes the anatomy, clinical presentation, and treatment options for gluteus medius and minimus tears,. Tears in the gluteus medius and minimus tendons,. What Is A Partial Thickness Tear Of Gluteus Medius Tendon.
From davidslattery.com
Causes of Gluteal Tendon Tears David Slattery What Is A Partial Thickness Tear Of Gluteus Medius Tendon Learn about the anatomy, diagnosis, and treatment options, including exercise, prp injections, and surgery. This review article summarizes the anatomy, clinical presentation, and treatment options for gluteus medius and minimus tears,. It may hurt more after sitting for lengthy periods or after exercising. Find out how endoscopic and open repair can improve pain and abductor. A gluteal tendon tear is. What Is A Partial Thickness Tear Of Gluteus Medius Tendon.
From www.ochsnerjournal.org
Acute Traumatic Tear of the Gluteus Medius and Gluteus Minimus in a What Is A Partial Thickness Tear Of Gluteus Medius Tendon Common symptoms of gluteal tears. It may hurt more after sitting for lengthy periods or after exercising. The most typical symptom is pain down the side of your hip and through the buttocks. Tears in the gluteus medius and minimus tendons, often misdiagnosed as trochanteric bursitis, have recently emerged as an important cause of recalcitrant greater. Find out how endoscopic. What Is A Partial Thickness Tear Of Gluteus Medius Tendon.
From mungfali.com
Gluteus Medius Tendon Tear What Is A Partial Thickness Tear Of Gluteus Medius Tendon A gluteal tendon tear is a painful condition that affects the muscle and tendon of the buttock. Tears in the gluteus medius and minimus tendons, often misdiagnosed as trochanteric bursitis, have recently emerged as an important cause of recalcitrant greater. Find out how endoscopic and open repair can improve pain and abductor. Learn about the anatomy, diagnosis, and treatment options,. What Is A Partial Thickness Tear Of Gluteus Medius Tendon.
From draustinchen.com
Gluteus Medius Tear Austin Chen MD What Is A Partial Thickness Tear Of Gluteus Medius Tendon This review article summarizes the anatomy, clinical presentation, and treatment options for gluteus medius and minimus tears,. A gluteal tendon tear is a painful condition that affects the muscle and tendon of the buttock. Find out how endoscopic and open repair can improve pain and abductor. Common symptoms of gluteal tears. Learn about the anatomy, diagnosis, and treatment options, including. What Is A Partial Thickness Tear Of Gluteus Medius Tendon.
From www.vrogue.co
Acute Traumatic Tear Of The Gluteus Medius And Gluteu vrogue.co What Is A Partial Thickness Tear Of Gluteus Medius Tendon Tears in the gluteus medius and minimus tendons, often misdiagnosed as trochanteric bursitis, have recently emerged as an important cause of recalcitrant greater. Common symptoms of gluteal tears. Learn about the anatomy, diagnosis, and treatment options, including exercise, prp injections, and surgery. It may hurt more after sitting for lengthy periods or after exercising. The most typical symptom is pain. What Is A Partial Thickness Tear Of Gluteus Medius Tendon.
From doldmd.com
Gluteus Medius and Minimus Tears Frisco, TX Orthopedic Surgeon What Is A Partial Thickness Tear Of Gluteus Medius Tendon Tears in the gluteus medius and minimus tendons, often misdiagnosed as trochanteric bursitis, have recently emerged as an important cause of recalcitrant greater. Learn about the presentation, imaging and surgical options for gluteus medius tears, a common cause of lateral hip pain. Learn about the anatomy, diagnosis, and treatment options, including exercise, prp injections, and surgery. This review article summarizes. What Is A Partial Thickness Tear Of Gluteus Medius Tendon.