Does Chest X Ray Show Latent Tb . The world health organization published guidelines for diagnosis and treatment of tuberculosis infection (tbi) in. Have typically normal chest radiographs. Should consider treatment for latent tb infection to prevent tb disease. A positive test result for tb infection means you have tb germs in your body. Have negative sputum smears and cultures. Your health care provider will do other tests to determine if you have inactive tb or active tb. A positive test indicates you. This test is seeing if your immune system reacts, or has made an antibody, to tuberculosis.
from www.semanticscholar.org
Have negative sputum smears and cultures. The world health organization published guidelines for diagnosis and treatment of tuberculosis infection (tbi) in. A positive test indicates you. Should consider treatment for latent tb infection to prevent tb disease. This test is seeing if your immune system reacts, or has made an antibody, to tuberculosis. Have typically normal chest radiographs. Your health care provider will do other tests to determine if you have inactive tb or active tb. A positive test result for tb infection means you have tb germs in your body.
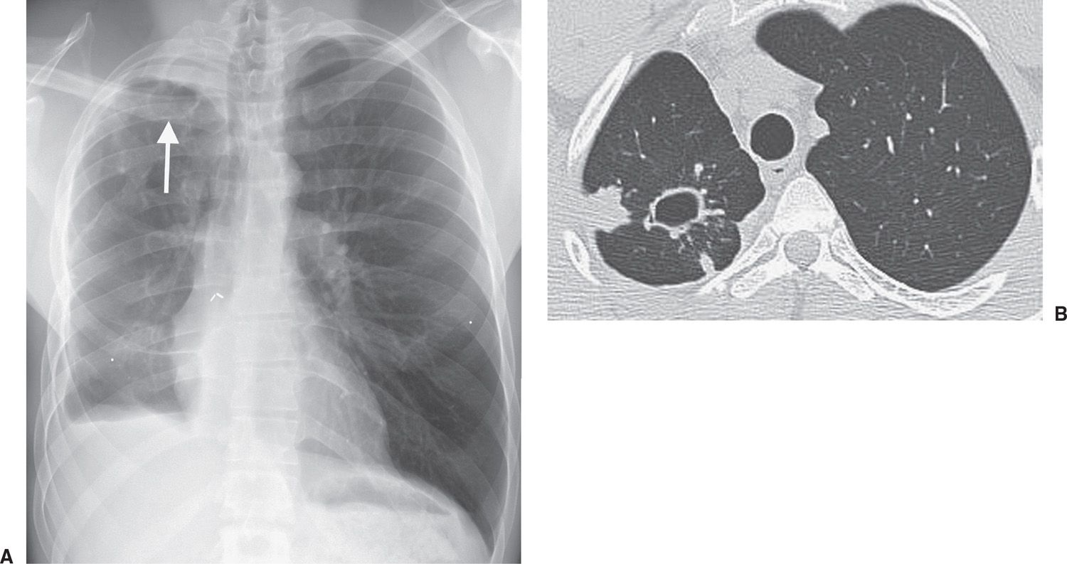
Figure 2 from Diagnostic Accuracy of Chest Radiography for the
Does Chest X Ray Show Latent Tb Have typically normal chest radiographs. Have typically normal chest radiographs. This test is seeing if your immune system reacts, or has made an antibody, to tuberculosis. The world health organization published guidelines for diagnosis and treatment of tuberculosis infection (tbi) in. A positive test indicates you. Your health care provider will do other tests to determine if you have inactive tb or active tb. Have negative sputum smears and cultures. A positive test result for tb infection means you have tb germs in your body. Should consider treatment for latent tb infection to prevent tb disease.
From newyorkmedicaljournal.org
When to Screen for Latent Tuberculosis in Patients with Solid Tumors Does Chest X Ray Show Latent Tb A positive test result for tb infection means you have tb germs in your body. Have negative sputum smears and cultures. Should consider treatment for latent tb infection to prevent tb disease. Have typically normal chest radiographs. Your health care provider will do other tests to determine if you have inactive tb or active tb. This test is seeing if. Does Chest X Ray Show Latent Tb.
From exyphwici.blob.core.windows.net
Can Chest X Ray Detect Latent Tb at Leota Higgins blog Does Chest X Ray Show Latent Tb Should consider treatment for latent tb infection to prevent tb disease. This test is seeing if your immune system reacts, or has made an antibody, to tuberculosis. Your health care provider will do other tests to determine if you have inactive tb or active tb. Have typically normal chest radiographs. The world health organization published guidelines for diagnosis and treatment. Does Chest X Ray Show Latent Tb.
From www.msdmanuals.com
Tuberculosis (TB) Infectious Diseases MSD Manual Professional Edition Does Chest X Ray Show Latent Tb Have typically normal chest radiographs. The world health organization published guidelines for diagnosis and treatment of tuberculosis infection (tbi) in. Your health care provider will do other tests to determine if you have inactive tb or active tb. Should consider treatment for latent tb infection to prevent tb disease. Have negative sputum smears and cultures. This test is seeing if. Does Chest X Ray Show Latent Tb.
From mungfali.com
Pulmonary Tuberculosis Chest X Ray Does Chest X Ray Show Latent Tb A positive test result for tb infection means you have tb germs in your body. A positive test indicates you. Have negative sputum smears and cultures. Should consider treatment for latent tb infection to prevent tb disease. The world health organization published guidelines for diagnosis and treatment of tuberculosis infection (tbi) in. This test is seeing if your immune system. Does Chest X Ray Show Latent Tb.
From telegra.ph
Reactivation tb on chest ct Telegraph Does Chest X Ray Show Latent Tb The world health organization published guidelines for diagnosis and treatment of tuberculosis infection (tbi) in. A positive test result for tb infection means you have tb germs in your body. Have typically normal chest radiographs. Should consider treatment for latent tb infection to prevent tb disease. Your health care provider will do other tests to determine if you have inactive. Does Chest X Ray Show Latent Tb.
From mavink.com
Tuberculosis On X Ray Does Chest X Ray Show Latent Tb A positive test result for tb infection means you have tb germs in your body. This test is seeing if your immune system reacts, or has made an antibody, to tuberculosis. Have typically normal chest radiographs. A positive test indicates you. Should consider treatment for latent tb infection to prevent tb disease. Have negative sputum smears and cultures. Your health. Does Chest X Ray Show Latent Tb.
From www.alamy.com
Pulmonary Tuberculosis ( TB ) Chest xray show alveolar infiltration Does Chest X Ray Show Latent Tb Your health care provider will do other tests to determine if you have inactive tb or active tb. A positive test result for tb infection means you have tb germs in your body. A positive test indicates you. The world health organization published guidelines for diagnosis and treatment of tuberculosis infection (tbi) in. Have typically normal chest radiographs. Should consider. Does Chest X Ray Show Latent Tb.
From www.alamy.com
film chest xray show interstitial infiltrate both lung due to Does Chest X Ray Show Latent Tb Your health care provider will do other tests to determine if you have inactive tb or active tb. A positive test indicates you. Have typically normal chest radiographs. A positive test result for tb infection means you have tb germs in your body. The world health organization published guidelines for diagnosis and treatment of tuberculosis infection (tbi) in. This test. Does Chest X Ray Show Latent Tb.
From www.ankitparakh.com
Latent Tuberculosis or Tuberculosis disease What is the difference Does Chest X Ray Show Latent Tb A positive test indicates you. Should consider treatment for latent tb infection to prevent tb disease. This test is seeing if your immune system reacts, or has made an antibody, to tuberculosis. Have negative sputum smears and cultures. Have typically normal chest radiographs. A positive test result for tb infection means you have tb germs in your body. The world. Does Chest X Ray Show Latent Tb.
From www.youtube.com
Chest XRay Lung Normal Vs Abnormal Image Appearances Part 1 TB Does Chest X Ray Show Latent Tb Have negative sputum smears and cultures. Have typically normal chest radiographs. The world health organization published guidelines for diagnosis and treatment of tuberculosis infection (tbi) in. Should consider treatment for latent tb infection to prevent tb disease. A positive test indicates you. This test is seeing if your immune system reacts, or has made an antibody, to tuberculosis. Your health. Does Chest X Ray Show Latent Tb.
From mavink.com
Active Tuberculosis Chest X Ray Does Chest X Ray Show Latent Tb Have typically normal chest radiographs. A positive test result for tb infection means you have tb germs in your body. Have negative sputum smears and cultures. This test is seeing if your immune system reacts, or has made an antibody, to tuberculosis. Should consider treatment for latent tb infection to prevent tb disease. Your health care provider will do other. Does Chest X Ray Show Latent Tb.
From pubs.rsna.org
Pulmonary Tuberculosis Role of Radiology in Diagnosis and Management Does Chest X Ray Show Latent Tb The world health organization published guidelines for diagnosis and treatment of tuberculosis infection (tbi) in. Should consider treatment for latent tb infection to prevent tb disease. Have typically normal chest radiographs. A positive test indicates you. Have negative sputum smears and cultures. Your health care provider will do other tests to determine if you have inactive tb or active tb.. Does Chest X Ray Show Latent Tb.
From www.shutterstock.com
Collection Chest X Ray Show Mycobacterium Tuberculosis Infection (Tb Does Chest X Ray Show Latent Tb Should consider treatment for latent tb infection to prevent tb disease. A positive test indicates you. A positive test result for tb infection means you have tb germs in your body. Your health care provider will do other tests to determine if you have inactive tb or active tb. The world health organization published guidelines for diagnosis and treatment of. Does Chest X Ray Show Latent Tb.
From www.shutterstock.com
Chest Xray Show Pulmonary Tb Reticulonodular Stock Photo 1038478972 Does Chest X Ray Show Latent Tb Have typically normal chest radiographs. Your health care provider will do other tests to determine if you have inactive tb or active tb. Should consider treatment for latent tb infection to prevent tb disease. Have negative sputum smears and cultures. The world health organization published guidelines for diagnosis and treatment of tuberculosis infection (tbi) in. A positive test indicates you.. Does Chest X Ray Show Latent Tb.
From www.alamy.com
film chest xray show cavity at right upper lung due to Mycobacterium Does Chest X Ray Show Latent Tb The world health organization published guidelines for diagnosis and treatment of tuberculosis infection (tbi) in. Your health care provider will do other tests to determine if you have inactive tb or active tb. Should consider treatment for latent tb infection to prevent tb disease. This test is seeing if your immune system reacts, or has made an antibody, to tuberculosis.. Does Chest X Ray Show Latent Tb.
From mungfali.com
Tuberculosis Chest X Ray Does Chest X Ray Show Latent Tb Have negative sputum smears and cultures. This test is seeing if your immune system reacts, or has made an antibody, to tuberculosis. A positive test result for tb infection means you have tb germs in your body. Your health care provider will do other tests to determine if you have inactive tb or active tb. Have typically normal chest radiographs.. Does Chest X Ray Show Latent Tb.
From www.semanticscholar.org
Figure 2 from Diagnostic Accuracy of Chest Radiography for the Does Chest X Ray Show Latent Tb A positive test result for tb infection means you have tb germs in your body. Should consider treatment for latent tb infection to prevent tb disease. Have typically normal chest radiographs. A positive test indicates you. Your health care provider will do other tests to determine if you have inactive tb or active tb. The world health organization published guidelines. Does Chest X Ray Show Latent Tb.
From ar.inspiredpencil.com
Chest X Ray Tb Vs Normal Does Chest X Ray Show Latent Tb Your health care provider will do other tests to determine if you have inactive tb or active tb. Have typically normal chest radiographs. A positive test indicates you. A positive test result for tb infection means you have tb germs in your body. This test is seeing if your immune system reacts, or has made an antibody, to tuberculosis. Should. Does Chest X Ray Show Latent Tb.
From exyphwici.blob.core.windows.net
Can Chest X Ray Detect Latent Tb at Leota Higgins blog Does Chest X Ray Show Latent Tb Have negative sputum smears and cultures. A positive test indicates you. Should consider treatment for latent tb infection to prevent tb disease. The world health organization published guidelines for diagnosis and treatment of tuberculosis infection (tbi) in. A positive test result for tb infection means you have tb germs in your body. This test is seeing if your immune system. Does Chest X Ray Show Latent Tb.
From www.youtube.com
Chest x ray Tuberculosis healed, (TB), Inactive TB YouTube Does Chest X Ray Show Latent Tb This test is seeing if your immune system reacts, or has made an antibody, to tuberculosis. Your health care provider will do other tests to determine if you have inactive tb or active tb. A positive test result for tb infection means you have tb germs in your body. The world health organization published guidelines for diagnosis and treatment of. Does Chest X Ray Show Latent Tb.
From stock.adobe.com
Chest xray Showing Normal chest and Pulmonary Tuberculosis ( TB Does Chest X Ray Show Latent Tb Have typically normal chest radiographs. Your health care provider will do other tests to determine if you have inactive tb or active tb. Should consider treatment for latent tb infection to prevent tb disease. A positive test indicates you. This test is seeing if your immune system reacts, or has made an antibody, to tuberculosis. Have negative sputum smears and. Does Chest X Ray Show Latent Tb.
From www.wikidoc.org
Tuberculosis chest x ray wikidoc Does Chest X Ray Show Latent Tb A positive test result for tb infection means you have tb germs in your body. Your health care provider will do other tests to determine if you have inactive tb or active tb. Should consider treatment for latent tb infection to prevent tb disease. Have typically normal chest radiographs. This test is seeing if your immune system reacts, or has. Does Chest X Ray Show Latent Tb.
From www.mdpi.com
Infectious Disease Reports Free FullText A Rare Case of Latent Does Chest X Ray Show Latent Tb Should consider treatment for latent tb infection to prevent tb disease. Have typically normal chest radiographs. Have negative sputum smears and cultures. A positive test indicates you. The world health organization published guidelines for diagnosis and treatment of tuberculosis infection (tbi) in. Your health care provider will do other tests to determine if you have inactive tb or active tb.. Does Chest X Ray Show Latent Tb.
From www.atmasvasth.com
Chest Xray for Screening for Tuberculosis Does Chest X Ray Show Latent Tb A positive test indicates you. This test is seeing if your immune system reacts, or has made an antibody, to tuberculosis. Have typically normal chest radiographs. A positive test result for tb infection means you have tb germs in your body. The world health organization published guidelines for diagnosis and treatment of tuberculosis infection (tbi) in. Have negative sputum smears. Does Chest X Ray Show Latent Tb.
From exyphwici.blob.core.windows.net
Can Chest X Ray Detect Latent Tb at Leota Higgins blog Does Chest X Ray Show Latent Tb Your health care provider will do other tests to determine if you have inactive tb or active tb. Should consider treatment for latent tb infection to prevent tb disease. Have typically normal chest radiographs. Have negative sputum smears and cultures. A positive test indicates you. The world health organization published guidelines for diagnosis and treatment of tuberculosis infection (tbi) in.. Does Chest X Ray Show Latent Tb.
From mungfali.com
Pulmonary Tuberculosis Chest X Ray Does Chest X Ray Show Latent Tb The world health organization published guidelines for diagnosis and treatment of tuberculosis infection (tbi) in. A positive test indicates you. Should consider treatment for latent tb infection to prevent tb disease. Have negative sputum smears and cultures. A positive test result for tb infection means you have tb germs in your body. This test is seeing if your immune system. Does Chest X Ray Show Latent Tb.
From mavink.com
Tuberculosis Chest X Ray Does Chest X Ray Show Latent Tb The world health organization published guidelines for diagnosis and treatment of tuberculosis infection (tbi) in. Should consider treatment for latent tb infection to prevent tb disease. A positive test indicates you. This test is seeing if your immune system reacts, or has made an antibody, to tuberculosis. Have negative sputum smears and cultures. Your health care provider will do other. Does Chest X Ray Show Latent Tb.
From anp-tuberculosis.blogspot.com
Anatomy and Physiology Tuberculosis DIAGNOSIS Does Chest X Ray Show Latent Tb A positive test indicates you. Should consider treatment for latent tb infection to prevent tb disease. The world health organization published guidelines for diagnosis and treatment of tuberculosis infection (tbi) in. A positive test result for tb infection means you have tb germs in your body. Have typically normal chest radiographs. This test is seeing if your immune system reacts,. Does Chest X Ray Show Latent Tb.
From cetndytj.blob.core.windows.net
How Often To Do Chest XRay For Tb at Patrick Patterson blog Does Chest X Ray Show Latent Tb A positive test indicates you. Should consider treatment for latent tb infection to prevent tb disease. Have typically normal chest radiographs. Have negative sputum smears and cultures. The world health organization published guidelines for diagnosis and treatment of tuberculosis infection (tbi) in. A positive test result for tb infection means you have tb germs in your body. This test is. Does Chest X Ray Show Latent Tb.
From www.researchgate.net
Chest Xray in a patient with disseminated TB showing the... Download Does Chest X Ray Show Latent Tb This test is seeing if your immune system reacts, or has made an antibody, to tuberculosis. A positive test indicates you. Should consider treatment for latent tb infection to prevent tb disease. A positive test result for tb infection means you have tb germs in your body. Your health care provider will do other tests to determine if you have. Does Chest X Ray Show Latent Tb.
From www.youtube.com
Tuberculosis, Active TB , Chest x ray YouTube Does Chest X Ray Show Latent Tb This test is seeing if your immune system reacts, or has made an antibody, to tuberculosis. Have negative sputum smears and cultures. Have typically normal chest radiographs. A positive test result for tb infection means you have tb germs in your body. The world health organization published guidelines for diagnosis and treatment of tuberculosis infection (tbi) in. Your health care. Does Chest X Ray Show Latent Tb.
From www.animalia-life.club
Tuberculosis Lung X Ray Does Chest X Ray Show Latent Tb This test is seeing if your immune system reacts, or has made an antibody, to tuberculosis. Have typically normal chest radiographs. Your health care provider will do other tests to determine if you have inactive tb or active tb. A positive test indicates you. Have negative sputum smears and cultures. A positive test result for tb infection means you have. Does Chest X Ray Show Latent Tb.
From avopix.com
chest xray show infiltration both lung TB Royalty Free Stock Does Chest X Ray Show Latent Tb Have typically normal chest radiographs. The world health organization published guidelines for diagnosis and treatment of tuberculosis infection (tbi) in. Have negative sputum smears and cultures. This test is seeing if your immune system reacts, or has made an antibody, to tuberculosis. Your health care provider will do other tests to determine if you have inactive tb or active tb.. Does Chest X Ray Show Latent Tb.
From www.frontiersin.org
Frontiers A Tailored, SelfAttention Deep Convolutional Does Chest X Ray Show Latent Tb This test is seeing if your immune system reacts, or has made an antibody, to tuberculosis. The world health organization published guidelines for diagnosis and treatment of tuberculosis infection (tbi) in. A positive test indicates you. Your health care provider will do other tests to determine if you have inactive tb or active tb. Should consider treatment for latent tb. Does Chest X Ray Show Latent Tb.
From www.wisegeek.com
What Is a Tuberculosis Chest XRay? (with pictures) Does Chest X Ray Show Latent Tb A positive test indicates you. Should consider treatment for latent tb infection to prevent tb disease. Your health care provider will do other tests to determine if you have inactive tb or active tb. The world health organization published guidelines for diagnosis and treatment of tuberculosis infection (tbi) in. This test is seeing if your immune system reacts, or has. Does Chest X Ray Show Latent Tb.