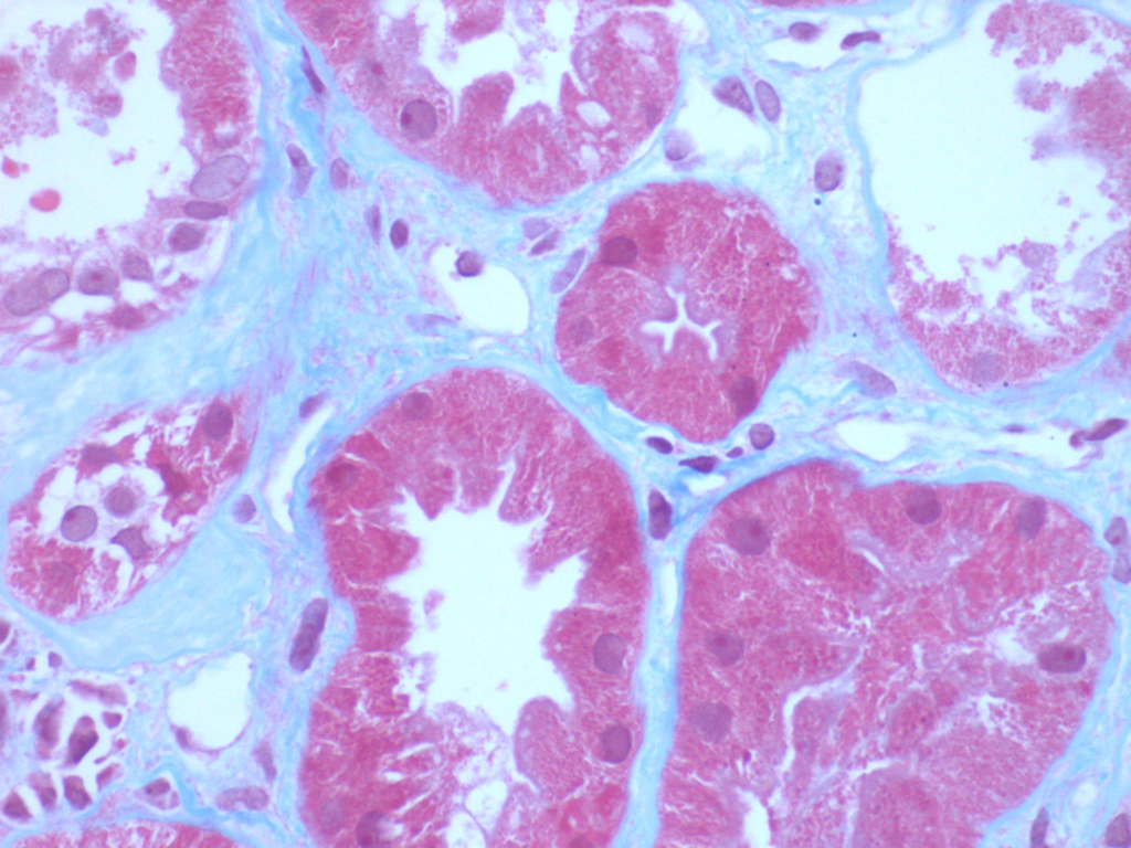
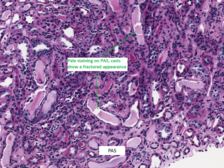
How Do Light Chains Damage Kidneys . As flcs are primarily cleared from the circulation by the kidneys, this organ is often damaged in pcd. It is thought that light chains (and particularly flcs) have a role in kidney disease. Here, we report the first series of kidney light chain deposition disease (lcdd) concomitant with light chain amyloidosis (lcdd+al), with or without light chain cast. To clarify the associations between polyclonal serum free light chain (sflc) levels and adverse outcomes in patients with chronic kidney disease (ckd) by conducting a. Because free light chains (flcs) are rapidly cleared from the serum and are largely filtered by the kidneys, this organ is a. The isoelectric point (pi) of the light chain may be an important determinant of its potential for inducing renal damage.
        
         
         
        from www.ajkd.org 
     
        
        Because free light chains (flcs) are rapidly cleared from the serum and are largely filtered by the kidneys, this organ is a. Here, we report the first series of kidney light chain deposition disease (lcdd) concomitant with light chain amyloidosis (lcdd+al), with or without light chain cast. It is thought that light chains (and particularly flcs) have a role in kidney disease. As flcs are primarily cleared from the circulation by the kidneys, this organ is often damaged in pcd. To clarify the associations between polyclonal serum free light chain (sflc) levels and adverse outcomes in patients with chronic kidney disease (ckd) by conducting a. The isoelectric point (pi) of the light chain may be an important determinant of its potential for inducing renal damage.
    
    	
            
	
		 
	 
         
    Acute Renal Colic Due to Immunoglobulin Free Light Chain Kidney Stones A Case Report of an 
    How Do Light Chains Damage Kidneys  As flcs are primarily cleared from the circulation by the kidneys, this organ is often damaged in pcd. It is thought that light chains (and particularly flcs) have a role in kidney disease. Here, we report the first series of kidney light chain deposition disease (lcdd) concomitant with light chain amyloidosis (lcdd+al), with or without light chain cast. The isoelectric point (pi) of the light chain may be an important determinant of its potential for inducing renal damage. To clarify the associations between polyclonal serum free light chain (sflc) levels and adverse outcomes in patients with chronic kidney disease (ckd) by conducting a. Because free light chains (flcs) are rapidly cleared from the serum and are largely filtered by the kidneys, this organ is a. As flcs are primarily cleared from the circulation by the kidneys, this organ is often damaged in pcd.
            
	
		 
	 
         
 
    
         
        From www.researchgate.net 
                    Free light chains and the kidney Download Scientific Diagram How Do Light Chains Damage Kidneys  As flcs are primarily cleared from the circulation by the kidneys, this organ is often damaged in pcd. Because free light chains (flcs) are rapidly cleared from the serum and are largely filtered by the kidneys, this organ is a. It is thought that light chains (and particularly flcs) have a role in kidney disease. Here, we report the first. How Do Light Chains Damage Kidneys.
     
    
         
        From shellysavonlea.net 
                    Kappa Light Chain Myeloma Wikipedia Shelly Lighting How Do Light Chains Damage Kidneys  Because free light chains (flcs) are rapidly cleared from the serum and are largely filtered by the kidneys, this organ is a. The isoelectric point (pi) of the light chain may be an important determinant of its potential for inducing renal damage. As flcs are primarily cleared from the circulation by the kidneys, this organ is often damaged in pcd.. How Do Light Chains Damage Kidneys.
     
    
         
        From www.frontiersin.org 
                    Frontiers Highcutoff hemodialysis in multiple myeloma patients with acute kidney injury How Do Light Chains Damage Kidneys  Here, we report the first series of kidney light chain deposition disease (lcdd) concomitant with light chain amyloidosis (lcdd+al), with or without light chain cast. To clarify the associations between polyclonal serum free light chain (sflc) levels and adverse outcomes in patients with chronic kidney disease (ckd) by conducting a. As flcs are primarily cleared from the circulation by the. How Do Light Chains Damage Kidneys.
     
    
         
        From www.ajkd.org 
                    Light Chain Deposition Disease American Journal of Kidney Diseases How Do Light Chains Damage Kidneys  Because free light chains (flcs) are rapidly cleared from the serum and are largely filtered by the kidneys, this organ is a. To clarify the associations between polyclonal serum free light chain (sflc) levels and adverse outcomes in patients with chronic kidney disease (ckd) by conducting a. It is thought that light chains (and particularly flcs) have a role in. How Do Light Chains Damage Kidneys.
     
    
         
        From www.renalfellow.org 
                    Kidney Biopsy of the Month Light Chain Cast Nephropathy Renal Fellow Network How Do Light Chains Damage Kidneys  It is thought that light chains (and particularly flcs) have a role in kidney disease. Because free light chains (flcs) are rapidly cleared from the serum and are largely filtered by the kidneys, this organ is a. Here, we report the first series of kidney light chain deposition disease (lcdd) concomitant with light chain amyloidosis (lcdd+al), with or without light. How Do Light Chains Damage Kidneys.
     
    
         
        From www.pinterest.com 
                    A light chain disease(LCD) means too much light chain occurs in serum or urine. Once the light How Do Light Chains Damage Kidneys  As flcs are primarily cleared from the circulation by the kidneys, this organ is often damaged in pcd. Because free light chains (flcs) are rapidly cleared from the serum and are largely filtered by the kidneys, this organ is a. Here, we report the first series of kidney light chain deposition disease (lcdd) concomitant with light chain amyloidosis (lcdd+al), with. How Do Light Chains Damage Kidneys.
     
    
         
        From www.nejm.org 
                    Acute Kidney Injury in Patients with Cancer NEJM How Do Light Chains Damage Kidneys  It is thought that light chains (and particularly flcs) have a role in kidney disease. The isoelectric point (pi) of the light chain may be an important determinant of its potential for inducing renal damage. As flcs are primarily cleared from the circulation by the kidneys, this organ is often damaged in pcd. To clarify the associations between polyclonal serum. How Do Light Chains Damage Kidneys.
     
    
         
        From www.researchgate.net 
                    Renal biopsy showing light chain deposition disease in a patient with a... Download Scientific How Do Light Chains Damage Kidneys  The isoelectric point (pi) of the light chain may be an important determinant of its potential for inducing renal damage. It is thought that light chains (and particularly flcs) have a role in kidney disease. Here, we report the first series of kidney light chain deposition disease (lcdd) concomitant with light chain amyloidosis (lcdd+al), with or without light chain cast.. How Do Light Chains Damage Kidneys.
     
    
         
        From www.researchgate.net 
                     Ultrastructural findings in kidney light chain deposition disease... Download Scientific Diagram How Do Light Chains Damage Kidneys  Here, we report the first series of kidney light chain deposition disease (lcdd) concomitant with light chain amyloidosis (lcdd+al), with or without light chain cast. The isoelectric point (pi) of the light chain may be an important determinant of its potential for inducing renal damage. To clarify the associations between polyclonal serum free light chain (sflc) levels and adverse outcomes. How Do Light Chains Damage Kidneys.
     
    
         
        From www.youtube.com 
                    Light Chain Disease, Kidney Failure and Amyloid FORD BREWER MD MPH YouTube How Do Light Chains Damage Kidneys  To clarify the associations between polyclonal serum free light chain (sflc) levels and adverse outcomes in patients with chronic kidney disease (ckd) by conducting a. Here, we report the first series of kidney light chain deposition disease (lcdd) concomitant with light chain amyloidosis (lcdd+al), with or without light chain cast. It is thought that light chains (and particularly flcs) have. How Do Light Chains Damage Kidneys.
     
    
         
        From www.researchgate.net 
                    Pathology of monoclonal free light chainmediated proximal tubule... Download Scientific Diagram How Do Light Chains Damage Kidneys  The isoelectric point (pi) of the light chain may be an important determinant of its potential for inducing renal damage. To clarify the associations between polyclonal serum free light chain (sflc) levels and adverse outcomes in patients with chronic kidney disease (ckd) by conducting a. As flcs are primarily cleared from the circulation by the kidneys, this organ is often. How Do Light Chains Damage Kidneys.
     
    
         
        From www.slideserve.com 
                    PPT Multiple Myeloma PowerPoint Presentation, free download ID1563891 How Do Light Chains Damage Kidneys  To clarify the associations between polyclonal serum free light chain (sflc) levels and adverse outcomes in patients with chronic kidney disease (ckd) by conducting a. The isoelectric point (pi) of the light chain may be an important determinant of its potential for inducing renal damage. As flcs are primarily cleared from the circulation by the kidneys, this organ is often. How Do Light Chains Damage Kidneys.
     
    
         
        From www.researchgate.net 
                    Light chainmediated renal damage in multiple myeloma Download Scientific Diagram How Do Light Chains Damage Kidneys  The isoelectric point (pi) of the light chain may be an important determinant of its potential for inducing renal damage. Because free light chains (flcs) are rapidly cleared from the serum and are largely filtered by the kidneys, this organ is a. Here, we report the first series of kidney light chain deposition disease (lcdd) concomitant with light chain amyloidosis. How Do Light Chains Damage Kidneys.
     
    
         
        From www.researchgate.net 
                    (PDF) Light chain crystalline kidney disease Diagnostic urine microscopy as the "liquid kidney How Do Light Chains Damage Kidneys  Here, we report the first series of kidney light chain deposition disease (lcdd) concomitant with light chain amyloidosis (lcdd+al), with or without light chain cast. The isoelectric point (pi) of the light chain may be an important determinant of its potential for inducing renal damage. To clarify the associations between polyclonal serum free light chain (sflc) levels and adverse outcomes. How Do Light Chains Damage Kidneys.
     
    
         
        From www.renalfellow.org 
                    Kidney Biopsy of the Month Light Chain Cast Nephropathy Renal Fellow Network How Do Light Chains Damage Kidneys  As flcs are primarily cleared from the circulation by the kidneys, this organ is often damaged in pcd. It is thought that light chains (and particularly flcs) have a role in kidney disease. Here, we report the first series of kidney light chain deposition disease (lcdd) concomitant with light chain amyloidosis (lcdd+al), with or without light chain cast. Because free. How Do Light Chains Damage Kidneys.
     
    
         
        From www.arkanalabs.com 
                    Kappa Light Chain Cast Nephropathy Teaching Point Arkana Labs How Do Light Chains Damage Kidneys  Here, we report the first series of kidney light chain deposition disease (lcdd) concomitant with light chain amyloidosis (lcdd+al), with or without light chain cast. To clarify the associations between polyclonal serum free light chain (sflc) levels and adverse outcomes in patients with chronic kidney disease (ckd) by conducting a. As flcs are primarily cleared from the circulation by the. How Do Light Chains Damage Kidneys.
     
    
         
        From www.slideserve.com 
                    PPT Early Reduction of SerumFree Light Chains Associates with Renal Recovery in Myeloma How Do Light Chains Damage Kidneys  Because free light chains (flcs) are rapidly cleared from the serum and are largely filtered by the kidneys, this organ is a. To clarify the associations between polyclonal serum free light chain (sflc) levels and adverse outcomes in patients with chronic kidney disease (ckd) by conducting a. The isoelectric point (pi) of the light chain may be an important determinant. How Do Light Chains Damage Kidneys.
     
    
         
        From www.wikilite.com 
                    An overview of the kidney and monoclonal free light chains Wikilite How Do Light Chains Damage Kidneys  It is thought that light chains (and particularly flcs) have a role in kidney disease. Because free light chains (flcs) are rapidly cleared from the serum and are largely filtered by the kidneys, this organ is a. To clarify the associations between polyclonal serum free light chain (sflc) levels and adverse outcomes in patients with chronic kidney disease (ckd) by. How Do Light Chains Damage Kidneys.
     
    
         
        From www.researchgate.net 
                    Mechanisms of AL amyloidosis and tissue damage. Damage is caused by... Download Scientific Diagram How Do Light Chains Damage Kidneys  It is thought that light chains (and particularly flcs) have a role in kidney disease. To clarify the associations between polyclonal serum free light chain (sflc) levels and adverse outcomes in patients with chronic kidney disease (ckd) by conducting a. Because free light chains (flcs) are rapidly cleared from the serum and are largely filtered by the kidneys, this organ. How Do Light Chains Damage Kidneys.
     
    
         
        From peerj.com 
                    Different roles of urinary light chains and serum light chains as potential biomarkers for How Do Light Chains Damage Kidneys  Because free light chains (flcs) are rapidly cleared from the serum and are largely filtered by the kidneys, this organ is a. The isoelectric point (pi) of the light chain may be an important determinant of its potential for inducing renal damage. To clarify the associations between polyclonal serum free light chain (sflc) levels and adverse outcomes in patients with. How Do Light Chains Damage Kidneys.
     
    
         
        From www.renalfellow.org 
                    Kidney Biopsy of the Month Light Chain Cast Nephropathy Renal Fellow Network How Do Light Chains Damage Kidneys  Here, we report the first series of kidney light chain deposition disease (lcdd) concomitant with light chain amyloidosis (lcdd+al), with or without light chain cast. The isoelectric point (pi) of the light chain may be an important determinant of its potential for inducing renal damage. It is thought that light chains (and particularly flcs) have a role in kidney disease.. How Do Light Chains Damage Kidneys.
     
    
         
        From www.mdpi.com 
                    IJMS Free FullText Free Light Chains κ and λ as New Biomarkers of Selected Diseases How Do Light Chains Damage Kidneys  It is thought that light chains (and particularly flcs) have a role in kidney disease. As flcs are primarily cleared from the circulation by the kidneys, this organ is often damaged in pcd. Because free light chains (flcs) are rapidly cleared from the serum and are largely filtered by the kidneys, this organ is a. The isoelectric point (pi) of. How Do Light Chains Damage Kidneys.
     
    
         
        From www.slideserve.com 
                    PPT Kidney Tubulo interstitial disorders PowerPoint Presentation ID2240686 How Do Light Chains Damage Kidneys  Here, we report the first series of kidney light chain deposition disease (lcdd) concomitant with light chain amyloidosis (lcdd+al), with or without light chain cast. To clarify the associations between polyclonal serum free light chain (sflc) levels and adverse outcomes in patients with chronic kidney disease (ckd) by conducting a. The isoelectric point (pi) of the light chain may be. How Do Light Chains Damage Kidneys.
     
    
         
        From www.researchgate.net 
                    Renal biopsy showing light chain deposition disease in a patient with a... Download Scientific How Do Light Chains Damage Kidneys  Here, we report the first series of kidney light chain deposition disease (lcdd) concomitant with light chain amyloidosis (lcdd+al), with or without light chain cast. Because free light chains (flcs) are rapidly cleared from the serum and are largely filtered by the kidneys, this organ is a. It is thought that light chains (and particularly flcs) have a role in. How Do Light Chains Damage Kidneys.
     
    
         
        From shellysavonlea.net 
                    Kappa Light Chain Multiple Myeloma With Systemic Amyloidosis Shelly Lighting How Do Light Chains Damage Kidneys  As flcs are primarily cleared from the circulation by the kidneys, this organ is often damaged in pcd. Here, we report the first series of kidney light chain deposition disease (lcdd) concomitant with light chain amyloidosis (lcdd+al), with or without light chain cast. Because free light chains (flcs) are rapidly cleared from the serum and are largely filtered by the. How Do Light Chains Damage Kidneys.
     
    
         
        From www.renalfellow.org 
                    Kidney Biopsy of the Month Light Chain Proximal Tubulopathy with Crystals (LCPT) Renal Fellow How Do Light Chains Damage Kidneys  Here, we report the first series of kidney light chain deposition disease (lcdd) concomitant with light chain amyloidosis (lcdd+al), with or without light chain cast. It is thought that light chains (and particularly flcs) have a role in kidney disease. Because free light chains (flcs) are rapidly cleared from the serum and are largely filtered by the kidneys, this organ. How Do Light Chains Damage Kidneys.
     
    
         
        From www.ajkd.org 
                    Acute Renal Colic Due to Immunoglobulin Free Light Chain Kidney Stones A Case Report of an How Do Light Chains Damage Kidneys  The isoelectric point (pi) of the light chain may be an important determinant of its potential for inducing renal damage. Here, we report the first series of kidney light chain deposition disease (lcdd) concomitant with light chain amyloidosis (lcdd+al), with or without light chain cast. It is thought that light chains (and particularly flcs) have a role in kidney disease.. How Do Light Chains Damage Kidneys.
     
    
         
        From www.kidney-international.org 
                    The use of immunoglobulin light chain assays in the diagnosis of paraproteinrelated kidney How Do Light Chains Damage Kidneys  To clarify the associations between polyclonal serum free light chain (sflc) levels and adverse outcomes in patients with chronic kidney disease (ckd) by conducting a. Here, we report the first series of kidney light chain deposition disease (lcdd) concomitant with light chain amyloidosis (lcdd+al), with or without light chain cast. Because free light chains (flcs) are rapidly cleared from the. How Do Light Chains Damage Kidneys.
     
    
         
        From www.ajkd.org 
                    AJKD Atlas of Renal Pathology Light Chain Cast Nephropathy American Journal of Kidney Diseases How Do Light Chains Damage Kidneys  It is thought that light chains (and particularly flcs) have a role in kidney disease. The isoelectric point (pi) of the light chain may be an important determinant of its potential for inducing renal damage. Here, we report the first series of kidney light chain deposition disease (lcdd) concomitant with light chain amyloidosis (lcdd+al), with or without light chain cast.. How Do Light Chains Damage Kidneys.
     
    
         
        From www.renalfellow.org 
                    Kidney Biopsy of the Month Light Chain Cast Nephropathy Renal Fellow Network How Do Light Chains Damage Kidneys  Because free light chains (flcs) are rapidly cleared from the serum and are largely filtered by the kidneys, this organ is a. As flcs are primarily cleared from the circulation by the kidneys, this organ is often damaged in pcd. The isoelectric point (pi) of the light chain may be an important determinant of its potential for inducing renal damage.. How Do Light Chains Damage Kidneys.
     
    
         
        From www.frontiersin.org 
                    Frontiers A Deep Insight Into Regulatory T Cell Metabolism in Renal Disease Facts and How Do Light Chains Damage Kidneys  Here, we report the first series of kidney light chain deposition disease (lcdd) concomitant with light chain amyloidosis (lcdd+al), with or without light chain cast. To clarify the associations between polyclonal serum free light chain (sflc) levels and adverse outcomes in patients with chronic kidney disease (ckd) by conducting a. Because free light chains (flcs) are rapidly cleared from the. How Do Light Chains Damage Kidneys.
     
    
         
        From www.researchgate.net 
                    Free light chains and the kidney Download Scientific Diagram How Do Light Chains Damage Kidneys  To clarify the associations between polyclonal serum free light chain (sflc) levels and adverse outcomes in patients with chronic kidney disease (ckd) by conducting a. It is thought that light chains (and particularly flcs) have a role in kidney disease. Because free light chains (flcs) are rapidly cleared from the serum and are largely filtered by the kidneys, this organ. How Do Light Chains Damage Kidneys.
     
    
         
        From www.researchgate.net 
                    Light Chain Cast Nephropathy a diagnostic/therapeutic Flow Chart.... Download Scientific Diagram How Do Light Chains Damage Kidneys  It is thought that light chains (and particularly flcs) have a role in kidney disease. The isoelectric point (pi) of the light chain may be an important determinant of its potential for inducing renal damage. Here, we report the first series of kidney light chain deposition disease (lcdd) concomitant with light chain amyloidosis (lcdd+al), with or without light chain cast.. How Do Light Chains Damage Kidneys.
     
    
         
        From www.researchgate.net 
                    (PDF) The difference of free light chains as a predictor of kidney damage in patients with How Do Light Chains Damage Kidneys  Here, we report the first series of kidney light chain deposition disease (lcdd) concomitant with light chain amyloidosis (lcdd+al), with or without light chain cast. Because free light chains (flcs) are rapidly cleared from the serum and are largely filtered by the kidneys, this organ is a. The isoelectric point (pi) of the light chain may be an important determinant. How Do Light Chains Damage Kidneys.
     
    
         
        From www.slideshare.net 
                    Serum Free Light Chains How Do Light Chains Damage Kidneys  It is thought that light chains (and particularly flcs) have a role in kidney disease. Because free light chains (flcs) are rapidly cleared from the serum and are largely filtered by the kidneys, this organ is a. To clarify the associations between polyclonal serum free light chain (sflc) levels and adverse outcomes in patients with chronic kidney disease (ckd) by. How Do Light Chains Damage Kidneys.