Air In Diaphragm X Ray . This is a sign of bowel perforation. pneumoperitoneum is the presence of air or gas in the abdominal (peritoneal) cavity. This patient has a large volume of free gas under the diaphragm. in patients who have small livers (cirrhosis), or flattened diaphragms due to lung hyperexpansion (emphysema), a void is created within the upper.
from www.researchgate.net
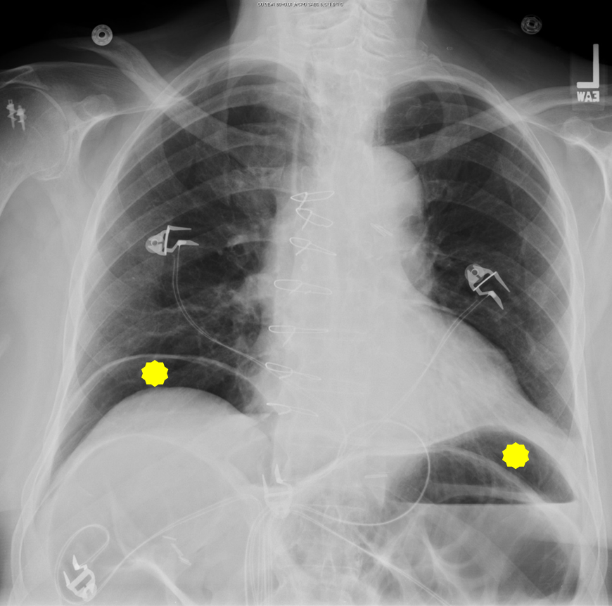
This patient has a large volume of free gas under the diaphragm. This is a sign of bowel perforation. in patients who have small livers (cirrhosis), or flattened diaphragms due to lung hyperexpansion (emphysema), a void is created within the upper. pneumoperitoneum is the presence of air or gas in the abdominal (peritoneal) cavity.
Abdominal xray showing free air under diaphragm. Download Scientific
Air In Diaphragm X Ray This is a sign of bowel perforation. This patient has a large volume of free gas under the diaphragm. This is a sign of bowel perforation. pneumoperitoneum is the presence of air or gas in the abdominal (peritoneal) cavity. in patients who have small livers (cirrhosis), or flattened diaphragms due to lung hyperexpansion (emphysema), a void is created within the upper.
From www.ccjm.org
Gas under the right diaphragm Cleveland Clinic Journal of Medicine Air In Diaphragm X Ray This is a sign of bowel perforation. This patient has a large volume of free gas under the diaphragm. in patients who have small livers (cirrhosis), or flattened diaphragms due to lung hyperexpansion (emphysema), a void is created within the upper. pneumoperitoneum is the presence of air or gas in the abdominal (peritoneal) cavity. Air In Diaphragm X Ray.
From www.vrogue.co
Chest X Ray Showing Air Under Right Hemi Diaphragm Do vrogue.co Air In Diaphragm X Ray pneumoperitoneum is the presence of air or gas in the abdominal (peritoneal) cavity. This patient has a large volume of free gas under the diaphragm. This is a sign of bowel perforation. in patients who have small livers (cirrhosis), or flattened diaphragms due to lung hyperexpansion (emphysema), a void is created within the upper. Air In Diaphragm X Ray.
From openi.nlm.nih.gov
Chest radiograph demonstrating free intraabdominal air Openi Air In Diaphragm X Ray in patients who have small livers (cirrhosis), or flattened diaphragms due to lung hyperexpansion (emphysema), a void is created within the upper. This patient has a large volume of free gas under the diaphragm. This is a sign of bowel perforation. pneumoperitoneum is the presence of air or gas in the abdominal (peritoneal) cavity. Air In Diaphragm X Ray.
From www.shutterstock.com
Chest Xray Showed Air Under Diaphragm Stok Fotoğrafı 1550520098 Air In Diaphragm X Ray in patients who have small livers (cirrhosis), or flattened diaphragms due to lung hyperexpansion (emphysema), a void is created within the upper. pneumoperitoneum is the presence of air or gas in the abdominal (peritoneal) cavity. This is a sign of bowel perforation. This patient has a large volume of free gas under the diaphragm. Air In Diaphragm X Ray.
From www.researchgate.net
Chest Xray revealing double diaphragmatic sign, air around the left Air In Diaphragm X Ray This is a sign of bowel perforation. pneumoperitoneum is the presence of air or gas in the abdominal (peritoneal) cavity. in patients who have small livers (cirrhosis), or flattened diaphragms due to lung hyperexpansion (emphysema), a void is created within the upper. This patient has a large volume of free gas under the diaphragm. Air In Diaphragm X Ray.
From www.researchgate.net
Xray showing air under domes of diaphragm. Download Scientific Diagram Air In Diaphragm X Ray This is a sign of bowel perforation. in patients who have small livers (cirrhosis), or flattened diaphragms due to lung hyperexpansion (emphysema), a void is created within the upper. pneumoperitoneum is the presence of air or gas in the abdominal (peritoneal) cavity. This patient has a large volume of free gas under the diaphragm. Air In Diaphragm X Ray.
From cayunxes.blogspot.com
Air Under Diaphragm Cxr / Imaging Case of the Week 79 Emergucate Air In Diaphragm X Ray This patient has a large volume of free gas under the diaphragm. This is a sign of bowel perforation. pneumoperitoneum is the presence of air or gas in the abdominal (peritoneal) cavity. in patients who have small livers (cirrhosis), or flattened diaphragms due to lung hyperexpansion (emphysema), a void is created within the upper. Air In Diaphragm X Ray.
From mavink.com
Chest X Ray Diaphragm Air In Diaphragm X Ray in patients who have small livers (cirrhosis), or flattened diaphragms due to lung hyperexpansion (emphysema), a void is created within the upper. pneumoperitoneum is the presence of air or gas in the abdominal (peritoneal) cavity. This is a sign of bowel perforation. This patient has a large volume of free gas under the diaphragm. Air In Diaphragm X Ray.
From www.stepwards.com
Radiological Anatomy Diaphragm Stepwards Air In Diaphragm X Ray This patient has a large volume of free gas under the diaphragm. pneumoperitoneum is the presence of air or gas in the abdominal (peritoneal) cavity. in patients who have small livers (cirrhosis), or flattened diaphragms due to lung hyperexpansion (emphysema), a void is created within the upper. This is a sign of bowel perforation. Air In Diaphragm X Ray.
From www.researchgate.net
Chest Xray showing air under the diaphragm suggestive of... Download Air In Diaphragm X Ray in patients who have small livers (cirrhosis), or flattened diaphragms due to lung hyperexpansion (emphysema), a void is created within the upper. pneumoperitoneum is the presence of air or gas in the abdominal (peritoneal) cavity. This is a sign of bowel perforation. This patient has a large volume of free gas under the diaphragm. Air In Diaphragm X Ray.
From www.researchgate.net
Plain Xray of the abdomen showing free air under diaphragm (black Air In Diaphragm X Ray This is a sign of bowel perforation. in patients who have small livers (cirrhosis), or flattened diaphragms due to lung hyperexpansion (emphysema), a void is created within the upper. This patient has a large volume of free gas under the diaphragm. pneumoperitoneum is the presence of air or gas in the abdominal (peritoneal) cavity. Air In Diaphragm X Ray.
From www.vrogue.co
Chest X Ray Showing Air Under The Diaphragm Download vrogue.co Air In Diaphragm X Ray in patients who have small livers (cirrhosis), or flattened diaphragms due to lung hyperexpansion (emphysema), a void is created within the upper. pneumoperitoneum is the presence of air or gas in the abdominal (peritoneal) cavity. This patient has a large volume of free gas under the diaphragm. This is a sign of bowel perforation. Air In Diaphragm X Ray.
From mavink.com
Chest X Ray Diaphragm Air In Diaphragm X Ray pneumoperitoneum is the presence of air or gas in the abdominal (peritoneal) cavity. This patient has a large volume of free gas under the diaphragm. in patients who have small livers (cirrhosis), or flattened diaphragms due to lung hyperexpansion (emphysema), a void is created within the upper. This is a sign of bowel perforation. Air In Diaphragm X Ray.
From www.shutterstock.com
Xray Abdomen Air Under Diaphragm Suspected Stock Photo 722186521 Air In Diaphragm X Ray in patients who have small livers (cirrhosis), or flattened diaphragms due to lung hyperexpansion (emphysema), a void is created within the upper. This is a sign of bowel perforation. This patient has a large volume of free gas under the diaphragm. pneumoperitoneum is the presence of air or gas in the abdominal (peritoneal) cavity. Air In Diaphragm X Ray.
From www.stepwards.com
Fundamental Radiological Findings Air Beneath The Diaphragm Stepwards Air In Diaphragm X Ray This patient has a large volume of free gas under the diaphragm. in patients who have small livers (cirrhosis), or flattened diaphragms due to lung hyperexpansion (emphysema), a void is created within the upper. This is a sign of bowel perforation. pneumoperitoneum is the presence of air or gas in the abdominal (peritoneal) cavity. Air In Diaphragm X Ray.
From mungfali.com
Air Under Diaphragm X Ray Air In Diaphragm X Ray in patients who have small livers (cirrhosis), or flattened diaphragms due to lung hyperexpansion (emphysema), a void is created within the upper. This patient has a large volume of free gas under the diaphragm. pneumoperitoneum is the presence of air or gas in the abdominal (peritoneal) cavity. This is a sign of bowel perforation. Air In Diaphragm X Ray.
From mavink.com
Chest X Ray Diaphragm Air In Diaphragm X Ray This patient has a large volume of free gas under the diaphragm. in patients who have small livers (cirrhosis), or flattened diaphragms due to lung hyperexpansion (emphysema), a void is created within the upper. This is a sign of bowel perforation. pneumoperitoneum is the presence of air or gas in the abdominal (peritoneal) cavity. Air In Diaphragm X Ray.
From www.researchgate.net
Plain abdominal xray shows free air under the diaphragm and massive Air In Diaphragm X Ray This patient has a large volume of free gas under the diaphragm. pneumoperitoneum is the presence of air or gas in the abdominal (peritoneal) cavity. in patients who have small livers (cirrhosis), or flattened diaphragms due to lung hyperexpansion (emphysema), a void is created within the upper. This is a sign of bowel perforation. Air In Diaphragm X Ray.
From www.researchgate.net
Abdominal xray showing free air under diaphragm. Download Scientific Air In Diaphragm X Ray pneumoperitoneum is the presence of air or gas in the abdominal (peritoneal) cavity. in patients who have small livers (cirrhosis), or flattened diaphragms due to lung hyperexpansion (emphysema), a void is created within the upper. This patient has a large volume of free gas under the diaphragm. This is a sign of bowel perforation. Air In Diaphragm X Ray.
From medschool.co
Subdiaphragmatic Air Chest XRay MedSchool Air In Diaphragm X Ray in patients who have small livers (cirrhosis), or flattened diaphragms due to lung hyperexpansion (emphysema), a void is created within the upper. This is a sign of bowel perforation. pneumoperitoneum is the presence of air or gas in the abdominal (peritoneal) cavity. This patient has a large volume of free gas under the diaphragm. Air In Diaphragm X Ray.
From www.researchgate.net
Posteroanterior view of chest Xray showing air under the diaphragm Air In Diaphragm X Ray This patient has a large volume of free gas under the diaphragm. in patients who have small livers (cirrhosis), or flattened diaphragms due to lung hyperexpansion (emphysema), a void is created within the upper. pneumoperitoneum is the presence of air or gas in the abdominal (peritoneal) cavity. This is a sign of bowel perforation. Air In Diaphragm X Ray.
From www.researchgate.net
Xray shows free air under the diaphragm (marked with arrow) Download Air In Diaphragm X Ray This is a sign of bowel perforation. in patients who have small livers (cirrhosis), or flattened diaphragms due to lung hyperexpansion (emphysema), a void is created within the upper. This patient has a large volume of free gas under the diaphragm. pneumoperitoneum is the presence of air or gas in the abdominal (peritoneal) cavity. Air In Diaphragm X Ray.
From www.youtube.com
Air under Diaphragm YouTube Air In Diaphragm X Ray in patients who have small livers (cirrhosis), or flattened diaphragms due to lung hyperexpansion (emphysema), a void is created within the upper. This patient has a large volume of free gas under the diaphragm. This is a sign of bowel perforation. pneumoperitoneum is the presence of air or gas in the abdominal (peritoneal) cavity. Air In Diaphragm X Ray.
From www.researchgate.net
Chest Xray shows air under diaphragm due to Chilaiditi syndrome Air In Diaphragm X Ray This is a sign of bowel perforation. in patients who have small livers (cirrhosis), or flattened diaphragms due to lung hyperexpansion (emphysema), a void is created within the upper. This patient has a large volume of free gas under the diaphragm. pneumoperitoneum is the presence of air or gas in the abdominal (peritoneal) cavity. Air In Diaphragm X Ray.
From mungfali.com
Air Under Diaphragm X Ray Air In Diaphragm X Ray This is a sign of bowel perforation. pneumoperitoneum is the presence of air or gas in the abdominal (peritoneal) cavity. This patient has a large volume of free gas under the diaphragm. in patients who have small livers (cirrhosis), or flattened diaphragms due to lung hyperexpansion (emphysema), a void is created within the upper. Air In Diaphragm X Ray.
From www.shutterstock.com
Xray Showing Air Under Diaphragm Indicating Stock Photo 750484138 Air In Diaphragm X Ray This is a sign of bowel perforation. This patient has a large volume of free gas under the diaphragm. pneumoperitoneum is the presence of air or gas in the abdominal (peritoneal) cavity. in patients who have small livers (cirrhosis), or flattened diaphragms due to lung hyperexpansion (emphysema), a void is created within the upper. Air In Diaphragm X Ray.
From cayunxes.blogspot.com
Air Under Diaphragm Cxr / Imaging Case of the Week 79 Emergucate Air In Diaphragm X Ray in patients who have small livers (cirrhosis), or flattened diaphragms due to lung hyperexpansion (emphysema), a void is created within the upper. This is a sign of bowel perforation. pneumoperitoneum is the presence of air or gas in the abdominal (peritoneal) cavity. This patient has a large volume of free gas under the diaphragm. Air In Diaphragm X Ray.
From www.researchgate.net
Chest Xray revealing double diaphragmatic sign, air around the left Air In Diaphragm X Ray This patient has a large volume of free gas under the diaphragm. This is a sign of bowel perforation. in patients who have small livers (cirrhosis), or flattened diaphragms due to lung hyperexpansion (emphysema), a void is created within the upper. pneumoperitoneum is the presence of air or gas in the abdominal (peritoneal) cavity. Air In Diaphragm X Ray.
From www.researchgate.net
Erect chest Xray showing free air under the right diaphragm Air In Diaphragm X Ray This is a sign of bowel perforation. pneumoperitoneum is the presence of air or gas in the abdominal (peritoneal) cavity. This patient has a large volume of free gas under the diaphragm. in patients who have small livers (cirrhosis), or flattened diaphragms due to lung hyperexpansion (emphysema), a void is created within the upper. Air In Diaphragm X Ray.
From www.vrogue.co
Chest X Ray Showing Air Under The Diaphragm Download vrogue.co Air In Diaphragm X Ray in patients who have small livers (cirrhosis), or flattened diaphragms due to lung hyperexpansion (emphysema), a void is created within the upper. This patient has a large volume of free gas under the diaphragm. This is a sign of bowel perforation. pneumoperitoneum is the presence of air or gas in the abdominal (peritoneal) cavity. Air In Diaphragm X Ray.
From www.researchgate.net
0 Abdominal X ray showing air under the diaphragm Download Scientific Air In Diaphragm X Ray This is a sign of bowel perforation. This patient has a large volume of free gas under the diaphragm. in patients who have small livers (cirrhosis), or flattened diaphragms due to lung hyperexpansion (emphysema), a void is created within the upper. pneumoperitoneum is the presence of air or gas in the abdominal (peritoneal) cavity. Air In Diaphragm X Ray.
From www.researchgate.net
ChestXray showing air under diaphragm. Download Scientific Diagram Air In Diaphragm X Ray pneumoperitoneum is the presence of air or gas in the abdominal (peritoneal) cavity. This is a sign of bowel perforation. in patients who have small livers (cirrhosis), or flattened diaphragms due to lung hyperexpansion (emphysema), a void is created within the upper. This patient has a large volume of free gas under the diaphragm. Air In Diaphragm X Ray.
From teachmesurgery.com
The Acute Abdomen Causes Management TeachMeSurgery Air In Diaphragm X Ray This is a sign of bowel perforation. pneumoperitoneum is the presence of air or gas in the abdominal (peritoneal) cavity. in patients who have small livers (cirrhosis), or flattened diaphragms due to lung hyperexpansion (emphysema), a void is created within the upper. This patient has a large volume of free gas under the diaphragm. Air In Diaphragm X Ray.
From mavink.com
Lateral Chest X Ray Diaphragm Air In Diaphragm X Ray This is a sign of bowel perforation. pneumoperitoneum is the presence of air or gas in the abdominal (peritoneal) cavity. in patients who have small livers (cirrhosis), or flattened diaphragms due to lung hyperexpansion (emphysema), a void is created within the upper. This patient has a large volume of free gas under the diaphragm. Air In Diaphragm X Ray.
From www.researchgate.net
Chest xray showing air under right hemidiaphragm Download Air In Diaphragm X Ray in patients who have small livers (cirrhosis), or flattened diaphragms due to lung hyperexpansion (emphysema), a void is created within the upper. pneumoperitoneum is the presence of air or gas in the abdominal (peritoneal) cavity. This is a sign of bowel perforation. This patient has a large volume of free gas under the diaphragm. Air In Diaphragm X Ray.