Quick Braces Teeth . They utilise innovative techniques and materials to expedite the teeth straightening process, making them an appealing option for individuals seeking quick results. How fastbraces move teeth quickly and safely? 312 before & after photos. Patented braces technology methods that help dentists straighten teeth really fast, safely and easily, even in about 100 days Patented braces technology methods that help dentists straighten teeth really fast, safely and easily, even in about 100 days Fast braces, also known as accelerated orthodontics, are designed to reduce the time required to straighten teeth compared to traditional braces. Fastbraces claim to straighten teeth in as little as 100 days. 89% worth it rating based on 18 reviews. Learn how this alternative to traditional braces works and if they're. The expeditious nature of fastbraces lies in their ability to harness the principles of. Fastbraces is a type of fixed orthodontic braces that is, as the name suggests, fast.
from www.youtube.com
Fast braces, also known as accelerated orthodontics, are designed to reduce the time required to straighten teeth compared to traditional braces. 89% worth it rating based on 18 reviews. How fastbraces move teeth quickly and safely? Learn how this alternative to traditional braces works and if they're. They utilise innovative techniques and materials to expedite the teeth straightening process, making them an appealing option for individuals seeking quick results. The expeditious nature of fastbraces lies in their ability to harness the principles of. Patented braces technology methods that help dentists straighten teeth really fast, safely and easily, even in about 100 days Fastbraces claim to straighten teeth in as little as 100 days. Patented braces technology methods that help dentists straighten teeth really fast, safely and easily, even in about 100 days Fastbraces is a type of fixed orthodontic braces that is, as the name suggests, fast.
Dental Braces Step by Step Tooth Time Family Dentistry New
Quick Braces Teeth 89% worth it rating based on 18 reviews. How fastbraces move teeth quickly and safely? They utilise innovative techniques and materials to expedite the teeth straightening process, making them an appealing option for individuals seeking quick results. 89% worth it rating based on 18 reviews. Learn how this alternative to traditional braces works and if they're. Patented braces technology methods that help dentists straighten teeth really fast, safely and easily, even in about 100 days Fast braces, also known as accelerated orthodontics, are designed to reduce the time required to straighten teeth compared to traditional braces. 312 before & after photos. Fastbraces claim to straighten teeth in as little as 100 days. Fastbraces is a type of fixed orthodontic braces that is, as the name suggests, fast. The expeditious nature of fastbraces lies in their ability to harness the principles of. Patented braces technology methods that help dentists straighten teeth really fast, safely and easily, even in about 100 days
From peakorthodontics.co.nz
How Do Braces Straighten Your Teeth? Peak Orthodontics Quick Braces Teeth How fastbraces move teeth quickly and safely? They utilise innovative techniques and materials to expedite the teeth straightening process, making them an appealing option for individuals seeking quick results. The expeditious nature of fastbraces lies in their ability to harness the principles of. 312 before & after photos. 89% worth it rating based on 18 reviews. Patented braces technology methods. Quick Braces Teeth.
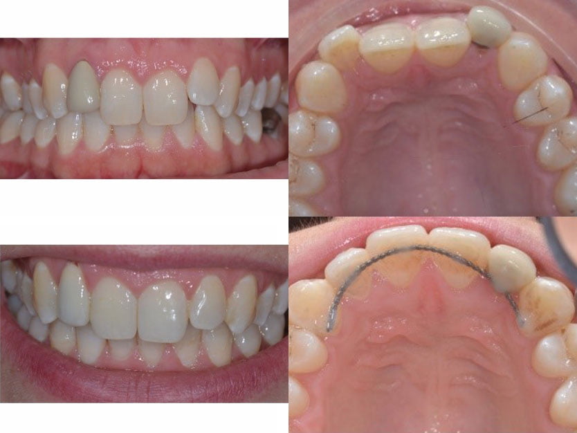
From www.granvilledental.co.uk
Dental braces in Leicester at Granville. Quick Braces Teeth 312 before & after photos. Patented braces technology methods that help dentists straighten teeth really fast, safely and easily, even in about 100 days They utilise innovative techniques and materials to expedite the teeth straightening process, making them an appealing option for individuals seeking quick results. Learn how this alternative to traditional braces works and if they're. The expeditious nature. Quick Braces Teeth.
From www.toothfairydental.co.nz
Fast Braces Tooth Fairy Dental Quick Braces Teeth How fastbraces move teeth quickly and safely? The expeditious nature of fastbraces lies in their ability to harness the principles of. Patented braces technology methods that help dentists straighten teeth really fast, safely and easily, even in about 100 days Patented braces technology methods that help dentists straighten teeth really fast, safely and easily, even in about 100 days They. Quick Braces Teeth.
From www.yorkplacedental.com
Lingual 2D & Inman Aligner Quick Braces Straighten Teeth Quick Braces Teeth Fast braces, also known as accelerated orthodontics, are designed to reduce the time required to straighten teeth compared to traditional braces. 312 before & after photos. They utilise innovative techniques and materials to expedite the teeth straightening process, making them an appealing option for individuals seeking quick results. The expeditious nature of fastbraces lies in their ability to harness the. Quick Braces Teeth.
From aus.quickstraightteeth.net
QST Dentist Home Quick Straight Teeth Australia Quick Braces Teeth 89% worth it rating based on 18 reviews. The expeditious nature of fastbraces lies in their ability to harness the principles of. Learn how this alternative to traditional braces works and if they're. How fastbraces move teeth quickly and safely? Patented braces technology methods that help dentists straighten teeth really fast, safely and easily, even in about 100 days 312. Quick Braces Teeth.
From www.youtube.com
Dental Braces Step by Step Tooth Time Family Dentistry New Quick Braces Teeth Fastbraces is a type of fixed orthodontic braces that is, as the name suggests, fast. Patented braces technology methods that help dentists straighten teeth really fast, safely and easily, even in about 100 days Fast braces, also known as accelerated orthodontics, are designed to reduce the time required to straighten teeth compared to traditional braces. 312 before & after photos.. Quick Braces Teeth.
From www.youtube.com
Adult Braces NEW UPDATE!!! PONTIC TOOTH BOTTOM BRACES YouTube Quick Braces Teeth The expeditious nature of fastbraces lies in their ability to harness the principles of. Patented braces technology methods that help dentists straighten teeth really fast, safely and easily, even in about 100 days They utilise innovative techniques and materials to expedite the teeth straightening process, making them an appealing option for individuals seeking quick results. Fastbraces claim to straighten teeth. Quick Braces Teeth.
From www.chiswickdental.co.uk
Fast Braces® Chiswick Dentist Cosmetic Dentist W4 Quick Braces Teeth Fastbraces is a type of fixed orthodontic braces that is, as the name suggests, fast. Fast braces, also known as accelerated orthodontics, are designed to reduce the time required to straighten teeth compared to traditional braces. Fastbraces claim to straighten teeth in as little as 100 days. Patented braces technology methods that help dentists straighten teeth really fast, safely and. Quick Braces Teeth.
From www.stanleysmiles.com
Can You Get Invisalign After Braces? Stanley Dentistry Quick Braces Teeth Fast braces, also known as accelerated orthodontics, are designed to reduce the time required to straighten teeth compared to traditional braces. The expeditious nature of fastbraces lies in their ability to harness the principles of. 89% worth it rating based on 18 reviews. 312 before & after photos. Patented braces technology methods that help dentists straighten teeth really fast, safely. Quick Braces Teeth.
From www.thangadds.com
Fastbraces in Kincaid, Straight Teeth 91706 Quick Braces Teeth The expeditious nature of fastbraces lies in their ability to harness the principles of. Patented braces technology methods that help dentists straighten teeth really fast, safely and easily, even in about 100 days 89% worth it rating based on 18 reviews. 312 before & after photos. Fast braces, also known as accelerated orthodontics, are designed to reduce the time required. Quick Braces Teeth.
From longislandbraces.com
Initial Consultation & Evaluation for Getting Braces Expert Advice Quick Braces Teeth How fastbraces move teeth quickly and safely? They utilise innovative techniques and materials to expedite the teeth straightening process, making them an appealing option for individuals seeking quick results. 312 before & after photos. 89% worth it rating based on 18 reviews. Patented braces technology methods that help dentists straighten teeth really fast, safely and easily, even in about 100. Quick Braces Teeth.
From clevelandorthodontics.com
Advantages and Disadvantages of Quick Braces Your Questions Answered Quick Braces Teeth Patented braces technology methods that help dentists straighten teeth really fast, safely and easily, even in about 100 days How fastbraces move teeth quickly and safely? Patented braces technology methods that help dentists straighten teeth really fast, safely and easily, even in about 100 days The expeditious nature of fastbraces lies in their ability to harness the principles of. 89%. Quick Braces Teeth.
From techplanet.today
Transformation with Fast Braces Before and After Quick Braces Teeth 312 before & after photos. Fast braces, also known as accelerated orthodontics, are designed to reduce the time required to straighten teeth compared to traditional braces. How fastbraces move teeth quickly and safely? They utilise innovative techniques and materials to expedite the teeth straightening process, making them an appealing option for individuals seeking quick results. Fastbraces claim to straighten teeth. Quick Braces Teeth.
From www.whitesdental.co.uk
How Fast Do Teeth Move In Braces Orthodontist Whites Dental Quick Braces Teeth Learn how this alternative to traditional braces works and if they're. Patented braces technology methods that help dentists straighten teeth really fast, safely and easily, even in about 100 days 89% worth it rating based on 18 reviews. They utilise innovative techniques and materials to expedite the teeth straightening process, making them an appealing option for individuals seeking quick results.. Quick Braces Teeth.
From loveyoursmileorthodontics.com.au
Closeup multicolored Braces on Teeth. Beautiful Female Smile with Self Quick Braces Teeth Fast braces, also known as accelerated orthodontics, are designed to reduce the time required to straighten teeth compared to traditional braces. Learn how this alternative to traditional braces works and if they're. Patented braces technology methods that help dentists straighten teeth really fast, safely and easily, even in about 100 days Patented braces technology methods that help dentists straighten teeth. Quick Braces Teeth.
From www.one-dentalcare.co.uk
Cfast Quick Braces One Dental Care Cosmetic Dentists in Dalry Quick Braces Teeth Patented braces technology methods that help dentists straighten teeth really fast, safely and easily, even in about 100 days How fastbraces move teeth quickly and safely? 89% worth it rating based on 18 reviews. They utilise innovative techniques and materials to expedite the teeth straightening process, making them an appealing option for individuals seeking quick results. Fastbraces claim to straighten. Quick Braces Teeth.
From valderramaortho.com
Close up open mouth with Ceramic and Metal Braces on beautiful Teeth Quick Braces Teeth Fast braces, also known as accelerated orthodontics, are designed to reduce the time required to straighten teeth compared to traditional braces. Patented braces technology methods that help dentists straighten teeth really fast, safely and easily, even in about 100 days How fastbraces move teeth quickly and safely? Fastbraces is a type of fixed orthodontic braces that is, as the name. Quick Braces Teeth.
From molldremdentistry.com
Choosing the Right Braces Exploring the Different Types Available and Quick Braces Teeth 312 before & after photos. Patented braces technology methods that help dentists straighten teeth really fast, safely and easily, even in about 100 days Fast braces, also known as accelerated orthodontics, are designed to reduce the time required to straighten teeth compared to traditional braces. Learn how this alternative to traditional braces works and if they're. They utilise innovative techniques. Quick Braces Teeth.
From www.yourdentistryguide.com
Traditional Dental Braces vs Invisalign Aligners Consumer Guide to Quick Braces Teeth Patented braces technology methods that help dentists straighten teeth really fast, safely and easily, even in about 100 days How fastbraces move teeth quickly and safely? They utilise innovative techniques and materials to expedite the teeth straightening process, making them an appealing option for individuals seeking quick results. Fastbraces claim to straighten teeth in as little as 100 days. 312. Quick Braces Teeth.
From www.youtube.com
How Do Braces Straighten Teeth? YouTube Quick Braces Teeth They utilise innovative techniques and materials to expedite the teeth straightening process, making them an appealing option for individuals seeking quick results. Learn how this alternative to traditional braces works and if they're. Fast braces, also known as accelerated orthodontics, are designed to reduce the time required to straighten teeth compared to traditional braces. How fastbraces move teeth quickly and. Quick Braces Teeth.
From www.youtube.com
MY 3 YEAR BRACES EXPERIENCE!! (Before/After + Q & A) YouTube Quick Braces Teeth Learn how this alternative to traditional braces works and if they're. Fast braces, also known as accelerated orthodontics, are designed to reduce the time required to straighten teeth compared to traditional braces. 89% worth it rating based on 18 reviews. They utilise innovative techniques and materials to expedite the teeth straightening process, making them an appealing option for individuals seeking. Quick Braces Teeth.
From www.inspirationalbodies.com
What to Expect When Getting Orthodontic Braces? Inspirational Bodies Quick Braces Teeth Learn how this alternative to traditional braces works and if they're. They utilise innovative techniques and materials to expedite the teeth straightening process, making them an appealing option for individuals seeking quick results. Fastbraces claim to straighten teeth in as little as 100 days. The expeditious nature of fastbraces lies in their ability to harness the principles of. 89% worth. Quick Braces Teeth.
From www.woodhilldentalspecialties.com
Before & After Braces See the Amazing Results Yourself! • Woodhill Quick Braces Teeth Fastbraces is a type of fixed orthodontic braces that is, as the name suggests, fast. They utilise innovative techniques and materials to expedite the teeth straightening process, making them an appealing option for individuals seeking quick results. Learn how this alternative to traditional braces works and if they're. Patented braces technology methods that help dentists straighten teeth really fast, safely. Quick Braces Teeth.
From www.magnumclinic.ae
Metal Braces For Your Teeth A Definitive Guide Quick Braces Teeth Fastbraces is a type of fixed orthodontic braces that is, as the name suggests, fast. Patented braces technology methods that help dentists straighten teeth really fast, safely and easily, even in about 100 days How fastbraces move teeth quickly and safely? Learn how this alternative to traditional braces works and if they're. The expeditious nature of fastbraces lies in their. Quick Braces Teeth.
From youbraces.com
Custom Braces with Deep Bite FAST BRACES Passamano Orthodontics Quick Braces Teeth Patented braces technology methods that help dentists straighten teeth really fast, safely and easily, even in about 100 days 312 before & after photos. The expeditious nature of fastbraces lies in their ability to harness the principles of. Learn how this alternative to traditional braces works and if they're. Fast braces, also known as accelerated orthodontics, are designed to reduce. Quick Braces Teeth.
From cezxjpih.blob.core.windows.net
What Are The 10 Types Of Braces at Helen Hutcherson blog Quick Braces Teeth Learn how this alternative to traditional braces works and if they're. The expeditious nature of fastbraces lies in their ability to harness the principles of. They utilise innovative techniques and materials to expedite the teeth straightening process, making them an appealing option for individuals seeking quick results. Fastbraces is a type of fixed orthodontic braces that is, as the name. Quick Braces Teeth.
From newburydentist.co.uk
Quick Braces Newbury Smile Studio Quick Braces Teeth The expeditious nature of fastbraces lies in their ability to harness the principles of. Patented braces technology methods that help dentists straighten teeth really fast, safely and easily, even in about 100 days 89% worth it rating based on 18 reviews. They utilise innovative techniques and materials to expedite the teeth straightening process, making them an appealing option for individuals. Quick Braces Teeth.
From loenfuoyg.blob.core.windows.net
Braces Before And After Snaggle Tooth at Edna Moon blog Quick Braces Teeth Fastbraces claim to straighten teeth in as little as 100 days. The expeditious nature of fastbraces lies in their ability to harness the principles of. 89% worth it rating based on 18 reviews. Fastbraces is a type of fixed orthodontic braces that is, as the name suggests, fast. Learn how this alternative to traditional braces works and if they're. How. Quick Braces Teeth.
From www.lindleydental.co.uk
Adult Braces Quick Straight teeth Dentist Huddersfield Quick Braces Teeth Patented braces technology methods that help dentists straighten teeth really fast, safely and easily, even in about 100 days Learn how this alternative to traditional braces works and if they're. Fastbraces is a type of fixed orthodontic braces that is, as the name suggests, fast. The expeditious nature of fastbraces lies in their ability to harness the principles of. Fastbraces. Quick Braces Teeth.
From www.designdentistry.ca
How Do Braces Effectively Straighten Teeth? West Edmonton Dentist Quick Braces Teeth Learn how this alternative to traditional braces works and if they're. How fastbraces move teeth quickly and safely? Fastbraces claim to straighten teeth in as little as 100 days. The expeditious nature of fastbraces lies in their ability to harness the principles of. They utilise innovative techniques and materials to expedite the teeth straightening process, making them an appealing option. Quick Braces Teeth.
From www.northsydneydentistry.com.au
Teeth Braces North Sydney Dentistry Quick Braces Teeth They utilise innovative techniques and materials to expedite the teeth straightening process, making them an appealing option for individuals seeking quick results. Fastbraces claim to straighten teeth in as little as 100 days. 89% worth it rating based on 18 reviews. Fast braces, also known as accelerated orthodontics, are designed to reduce the time required to straighten teeth compared to. Quick Braces Teeth.
From smilevilleorthodontics.co.uk
Ceramic Braces Smileville Orthodontics Quick Braces Teeth How fastbraces move teeth quickly and safely? They utilise innovative techniques and materials to expedite the teeth straightening process, making them an appealing option for individuals seeking quick results. Fast braces, also known as accelerated orthodontics, are designed to reduce the time required to straighten teeth compared to traditional braces. The expeditious nature of fastbraces lies in their ability to. Quick Braces Teeth.
From www.sawgrassortho.com
How Do Braces Move The Teeth? Quick Braces Teeth Fastbraces is a type of fixed orthodontic braces that is, as the name suggests, fast. Patented braces technology methods that help dentists straighten teeth really fast, safely and easily, even in about 100 days Fastbraces claim to straighten teeth in as little as 100 days. They utilise innovative techniques and materials to expedite the teeth straightening process, making them an. Quick Braces Teeth.
From www.smileessential.co.uk
Quick Straight Teeth Leicester Smile Essential Quick Braces Teeth 312 before & after photos. Fastbraces claim to straighten teeth in as little as 100 days. Patented braces technology methods that help dentists straighten teeth really fast, safely and easily, even in about 100 days Fastbraces is a type of fixed orthodontic braces that is, as the name suggests, fast. The expeditious nature of fastbraces lies in their ability to. Quick Braces Teeth.
From teethwalls.blogspot.com
How Do Braces Move Your Teeth TeethWalls Quick Braces Teeth 312 before & after photos. Learn how this alternative to traditional braces works and if they're. They utilise innovative techniques and materials to expedite the teeth straightening process, making them an appealing option for individuals seeking quick results. Fastbraces is a type of fixed orthodontic braces that is, as the name suggests, fast. 89% worth it rating based on 18. Quick Braces Teeth.